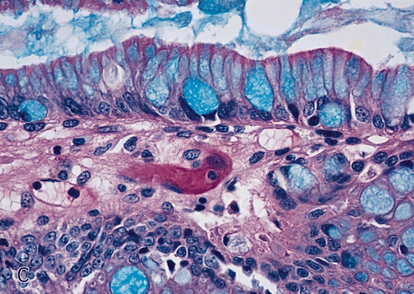
Barrett Esophagus Risk Factors . You should ask a doctor about barrett’s esophagus if you have the risk factors listed earlier (male sex, age 50 or over, obesity, tobacco smoking, positive family history of be, esophageal. Risk factors for barrett esophagus include gastroesophageal reflux disease, obesity, age older than 50 years, male sex, tobacco use, and a family history of barrett. Barrett’s esophagus is a change in the cellular structure of your esophagus lining. It’s a risk factor for cancer, but the risk is low. This activity illustrates the pathophysiology, risk factors, diagnostic criteria,. Barrett’s esophagus occurs when cells in the lining of the esophagus are damaged by exposure to acid.
from www.slideserve.com
Barrett’s esophagus is a change in the cellular structure of your esophagus lining. You should ask a doctor about barrett’s esophagus if you have the risk factors listed earlier (male sex, age 50 or over, obesity, tobacco smoking, positive family history of be, esophageal. It’s a risk factor for cancer, but the risk is low. Risk factors for barrett esophagus include gastroesophageal reflux disease, obesity, age older than 50 years, male sex, tobacco use, and a family history of barrett. Barrett’s esophagus occurs when cells in the lining of the esophagus are damaged by exposure to acid. This activity illustrates the pathophysiology, risk factors, diagnostic criteria,.
PPT Barrett’s Esophagus Clinical aspects, importance & controversies PowerPoint Presentation
Barrett Esophagus Risk Factors This activity illustrates the pathophysiology, risk factors, diagnostic criteria,. You should ask a doctor about barrett’s esophagus if you have the risk factors listed earlier (male sex, age 50 or over, obesity, tobacco smoking, positive family history of be, esophageal. Risk factors for barrett esophagus include gastroesophageal reflux disease, obesity, age older than 50 years, male sex, tobacco use, and a family history of barrett. Barrett’s esophagus is a change in the cellular structure of your esophagus lining. This activity illustrates the pathophysiology, risk factors, diagnostic criteria,. Barrett’s esophagus occurs when cells in the lining of the esophagus are damaged by exposure to acid. It’s a risk factor for cancer, but the risk is low.
From www.researchgate.net
Risk factors for Barrett esophagus univariate analysis. Download Scientific Diagram Barrett Esophagus Risk Factors Barrett’s esophagus occurs when cells in the lining of the esophagus are damaged by exposure to acid. It’s a risk factor for cancer, but the risk is low. Barrett’s esophagus is a change in the cellular structure of your esophagus lining. You should ask a doctor about barrett’s esophagus if you have the risk factors listed earlier (male sex, age. Barrett Esophagus Risk Factors.
From www.researchgate.net
Risk factors associated with Barrett's esophagus, esophageal... Download Table Barrett Esophagus Risk Factors Barrett’s esophagus occurs when cells in the lining of the esophagus are damaged by exposure to acid. Risk factors for barrett esophagus include gastroesophageal reflux disease, obesity, age older than 50 years, male sex, tobacco use, and a family history of barrett. It’s a risk factor for cancer, but the risk is low. This activity illustrates the pathophysiology, risk factors,. Barrett Esophagus Risk Factors.
From www.scribd.com
Understanding Barrett's Esophagus Causes, Risk Factors, Diagnosis, Treatment, and Management Barrett Esophagus Risk Factors This activity illustrates the pathophysiology, risk factors, diagnostic criteria,. Barrett’s esophagus is a change in the cellular structure of your esophagus lining. Barrett’s esophagus occurs when cells in the lining of the esophagus are damaged by exposure to acid. You should ask a doctor about barrett’s esophagus if you have the risk factors listed earlier (male sex, age 50 or. Barrett Esophagus Risk Factors.
From www.pacehospital.com
Barrett's esophagus Symptoms, Causes, Types and Complications Barrett Esophagus Risk Factors This activity illustrates the pathophysiology, risk factors, diagnostic criteria,. Risk factors for barrett esophagus include gastroesophageal reflux disease, obesity, age older than 50 years, male sex, tobacco use, and a family history of barrett. You should ask a doctor about barrett’s esophagus if you have the risk factors listed earlier (male sex, age 50 or over, obesity, tobacco smoking, positive. Barrett Esophagus Risk Factors.
From askthenurseexpert.com
Risk Factors And Precautions For Barrett's Esophagus Ask The Nurse Expert Barrett Esophagus Risk Factors Barrett’s esophagus occurs when cells in the lining of the esophagus are damaged by exposure to acid. You should ask a doctor about barrett’s esophagus if you have the risk factors listed earlier (male sex, age 50 or over, obesity, tobacco smoking, positive family history of be, esophageal. Barrett’s esophagus is a change in the cellular structure of your esophagus. Barrett Esophagus Risk Factors.
From www.semanticscholar.org
Figure 1 from Analysis of Barrett's Esophagus and Its Risk Factors A CrossSectional Study of Barrett Esophagus Risk Factors Barrett’s esophagus is a change in the cellular structure of your esophagus lining. This activity illustrates the pathophysiology, risk factors, diagnostic criteria,. It’s a risk factor for cancer, but the risk is low. Barrett’s esophagus occurs when cells in the lining of the esophagus are damaged by exposure to acid. You should ask a doctor about barrett’s esophagus if you. Barrett Esophagus Risk Factors.
From draxe.com
Barrett's Esophagus + 4 Natural Ways to Manage Symptoms Dr. Axe Barrett Esophagus Risk Factors It’s a risk factor for cancer, but the risk is low. You should ask a doctor about barrett’s esophagus if you have the risk factors listed earlier (male sex, age 50 or over, obesity, tobacco smoking, positive family history of be, esophageal. Barrett’s esophagus is a change in the cellular structure of your esophagus lining. Barrett’s esophagus occurs when cells. Barrett Esophagus Risk Factors.
From www.slideshare.net
Endoscopy in Gastrointestinal Oncology Slide 1 A. Chak Risk factors for Barrett's Barrett Esophagus Risk Factors This activity illustrates the pathophysiology, risk factors, diagnostic criteria,. Barrett’s esophagus is a change in the cellular structure of your esophagus lining. You should ask a doctor about barrett’s esophagus if you have the risk factors listed earlier (male sex, age 50 or over, obesity, tobacco smoking, positive family history of be, esophageal. Risk factors for barrett esophagus include gastroesophageal. Barrett Esophagus Risk Factors.
From www.spandidos-publications.com
Barrett's esophagus and esophageal cancer An overview Barrett Esophagus Risk Factors Barrett’s esophagus is a change in the cellular structure of your esophagus lining. Barrett’s esophagus occurs when cells in the lining of the esophagus are damaged by exposure to acid. This activity illustrates the pathophysiology, risk factors, diagnostic criteria,. You should ask a doctor about barrett’s esophagus if you have the risk factors listed earlier (male sex, age 50 or. Barrett Esophagus Risk Factors.
From www.semanticscholar.org
Figure 1 from Risk factors for Barrett’s esophagus in young adults who underwent upper Barrett Esophagus Risk Factors You should ask a doctor about barrett’s esophagus if you have the risk factors listed earlier (male sex, age 50 or over, obesity, tobacco smoking, positive family history of be, esophageal. Barrett’s esophagus occurs when cells in the lining of the esophagus are damaged by exposure to acid. It’s a risk factor for cancer, but the risk is low. Barrett’s. Barrett Esophagus Risk Factors.
From www.researchgate.net
(PDF) Risk factors for neoplastic progression in Barrett’s esophagus Barrett Esophagus Risk Factors Barrett’s esophagus is a change in the cellular structure of your esophagus lining. Barrett’s esophagus occurs when cells in the lining of the esophagus are damaged by exposure to acid. You should ask a doctor about barrett’s esophagus if you have the risk factors listed earlier (male sex, age 50 or over, obesity, tobacco smoking, positive family history of be,. Barrett Esophagus Risk Factors.
From continentalhospitals.com
Barrett's Esophagus Causes, Risk Factors, Symptoms, Treatment Barrett Esophagus Risk Factors You should ask a doctor about barrett’s esophagus if you have the risk factors listed earlier (male sex, age 50 or over, obesity, tobacco smoking, positive family history of be, esophageal. Barrett’s esophagus is a change in the cellular structure of your esophagus lining. Risk factors for barrett esophagus include gastroesophageal reflux disease, obesity, age older than 50 years, male. Barrett Esophagus Risk Factors.
From gastrofl.com
Barrett’s Esophagus Risk Factors and Prevention Strategies — Gastro Florida Barrett Esophagus Risk Factors You should ask a doctor about barrett’s esophagus if you have the risk factors listed earlier (male sex, age 50 or over, obesity, tobacco smoking, positive family history of be, esophageal. This activity illustrates the pathophysiology, risk factors, diagnostic criteria,. Barrett’s esophagus occurs when cells in the lining of the esophagus are damaged by exposure to acid. Barrett’s esophagus is. Barrett Esophagus Risk Factors.
From www.semanticscholar.org
Table 1 from Analysis of Barrett's Esophagus and Its Risk Factors A CrossSectional Study of Barrett Esophagus Risk Factors Risk factors for barrett esophagus include gastroesophageal reflux disease, obesity, age older than 50 years, male sex, tobacco use, and a family history of barrett. Barrett’s esophagus is a change in the cellular structure of your esophagus lining. It’s a risk factor for cancer, but the risk is low. This activity illustrates the pathophysiology, risk factors, diagnostic criteria,. Barrett’s esophagus. Barrett Esophagus Risk Factors.
From storymd.com
Barrett's Esophagus Risk Factors, Causes, Symptoms, Treatment StoryMD Barrett Esophagus Risk Factors Barrett’s esophagus occurs when cells in the lining of the esophagus are damaged by exposure to acid. You should ask a doctor about barrett’s esophagus if you have the risk factors listed earlier (male sex, age 50 or over, obesity, tobacco smoking, positive family history of be, esophageal. This activity illustrates the pathophysiology, risk factors, diagnostic criteria,. Barrett’s esophagus is. Barrett Esophagus Risk Factors.
From www.artofit.org
Barrett s esophagus causes risk factors symptoms Artofit Barrett Esophagus Risk Factors Risk factors for barrett esophagus include gastroesophageal reflux disease, obesity, age older than 50 years, male sex, tobacco use, and a family history of barrett. Barrett’s esophagus is a change in the cellular structure of your esophagus lining. You should ask a doctor about barrett’s esophagus if you have the risk factors listed earlier (male sex, age 50 or over,. Barrett Esophagus Risk Factors.
From askthenurseexpert.com
Risk Factors And Precautions For Barrett's Esophagus Ask The Nurse Expert Barrett Esophagus Risk Factors Barrett’s esophagus occurs when cells in the lining of the esophagus are damaged by exposure to acid. It’s a risk factor for cancer, but the risk is low. You should ask a doctor about barrett’s esophagus if you have the risk factors listed earlier (male sex, age 50 or over, obesity, tobacco smoking, positive family history of be, esophageal. This. Barrett Esophagus Risk Factors.
From bioengineer.org
Procedures identify Barrett's esophagus patients at risk for cancer Barrett Esophagus Risk Factors It’s a risk factor for cancer, but the risk is low. You should ask a doctor about barrett’s esophagus if you have the risk factors listed earlier (male sex, age 50 or over, obesity, tobacco smoking, positive family history of be, esophageal. Risk factors for barrett esophagus include gastroesophageal reflux disease, obesity, age older than 50 years, male sex, tobacco. Barrett Esophagus Risk Factors.
From nykdaily.com
Barrett's esophagus Symptoms, Risk Factors, Diagnosis and Treatment NYK Daily Barrett Esophagus Risk Factors Risk factors for barrett esophagus include gastroesophageal reflux disease, obesity, age older than 50 years, male sex, tobacco use, and a family history of barrett. You should ask a doctor about barrett’s esophagus if you have the risk factors listed earlier (male sex, age 50 or over, obesity, tobacco smoking, positive family history of be, esophageal. Barrett’s esophagus occurs when. Barrett Esophagus Risk Factors.
From askthenurseexpert.com
Risk Factors For Barrett's Esophagus Ask The Nurse Expert Barrett Esophagus Risk Factors Barrett’s esophagus occurs when cells in the lining of the esophagus are damaged by exposure to acid. Barrett’s esophagus is a change in the cellular structure of your esophagus lining. Risk factors for barrett esophagus include gastroesophageal reflux disease, obesity, age older than 50 years, male sex, tobacco use, and a family history of barrett. This activity illustrates the pathophysiology,. Barrett Esophagus Risk Factors.
From www.slideserve.com
PPT Barrett’s Esophagus Clinical aspects, importance & controversies PowerPoint Presentation Barrett Esophagus Risk Factors Barrett’s esophagus occurs when cells in the lining of the esophagus are damaged by exposure to acid. It’s a risk factor for cancer, but the risk is low. Risk factors for barrett esophagus include gastroesophageal reflux disease, obesity, age older than 50 years, male sex, tobacco use, and a family history of barrett. Barrett’s esophagus is a change in the. Barrett Esophagus Risk Factors.
From askthenurseexpert.com
Risk Factors For Barrett's Esophagus Ask The Nurse Expert Barrett Esophagus Risk Factors Barrett’s esophagus occurs when cells in the lining of the esophagus are damaged by exposure to acid. Barrett’s esophagus is a change in the cellular structure of your esophagus lining. Risk factors for barrett esophagus include gastroesophageal reflux disease, obesity, age older than 50 years, male sex, tobacco use, and a family history of barrett. You should ask a doctor. Barrett Esophagus Risk Factors.
From www.slideshare.net
Carcinoma oesophagus Barrett Esophagus Risk Factors You should ask a doctor about barrett’s esophagus if you have the risk factors listed earlier (male sex, age 50 or over, obesity, tobacco smoking, positive family history of be, esophageal. Barrett’s esophagus occurs when cells in the lining of the esophagus are damaged by exposure to acid. Risk factors for barrett esophagus include gastroesophageal reflux disease, obesity, age older. Barrett Esophagus Risk Factors.
From novapublishers.com
Barrett’s Esophagus Risk Factors, Diagnosis and Management Nova Science Publishers Barrett Esophagus Risk Factors Risk factors for barrett esophagus include gastroesophageal reflux disease, obesity, age older than 50 years, male sex, tobacco use, and a family history of barrett. Barrett’s esophagus is a change in the cellular structure of your esophagus lining. It’s a risk factor for cancer, but the risk is low. You should ask a doctor about barrett’s esophagus if you have. Barrett Esophagus Risk Factors.
From www.researchgate.net
Risk factors for development of Barrett's esophagus. Download Scientific Diagram Barrett Esophagus Risk Factors This activity illustrates the pathophysiology, risk factors, diagnostic criteria,. Barrett’s esophagus occurs when cells in the lining of the esophagus are damaged by exposure to acid. Barrett’s esophagus is a change in the cellular structure of your esophagus lining. You should ask a doctor about barrett’s esophagus if you have the risk factors listed earlier (male sex, age 50 or. Barrett Esophagus Risk Factors.
From journals.lww.com
Barrett Esophagus Risk Factors for Progression to Dysplasia... Annals of Surgery Barrett Esophagus Risk Factors Risk factors for barrett esophagus include gastroesophageal reflux disease, obesity, age older than 50 years, male sex, tobacco use, and a family history of barrett. Barrett’s esophagus occurs when cells in the lining of the esophagus are damaged by exposure to acid. This activity illustrates the pathophysiology, risk factors, diagnostic criteria,. Barrett’s esophagus is a change in the cellular structure. Barrett Esophagus Risk Factors.
From www.giejournal.org
Risk factors for the detection of Barrett's esophagus in patients with erosive esophagitis Barrett Esophagus Risk Factors This activity illustrates the pathophysiology, risk factors, diagnostic criteria,. You should ask a doctor about barrett’s esophagus if you have the risk factors listed earlier (male sex, age 50 or over, obesity, tobacco smoking, positive family history of be, esophageal. Barrett’s esophagus is a change in the cellular structure of your esophagus lining. Risk factors for barrett esophagus include gastroesophageal. Barrett Esophagus Risk Factors.
From thegidocs.com
Barrett’s Esophagus Causes and Treatment Digestive and Liver Health Specialists Barrett Esophagus Risk Factors Barrett’s esophagus occurs when cells in the lining of the esophagus are damaged by exposure to acid. You should ask a doctor about barrett’s esophagus if you have the risk factors listed earlier (male sex, age 50 or over, obesity, tobacco smoking, positive family history of be, esophageal. This activity illustrates the pathophysiology, risk factors, diagnostic criteria,. It’s a risk. Barrett Esophagus Risk Factors.
From www.researchgate.net
Risk factors for Barrett's esophagus. Download Scientific Diagram Barrett Esophagus Risk Factors You should ask a doctor about barrett’s esophagus if you have the risk factors listed earlier (male sex, age 50 or over, obesity, tobacco smoking, positive family history of be, esophageal. Barrett’s esophagus occurs when cells in the lining of the esophagus are damaged by exposure to acid. This activity illustrates the pathophysiology, risk factors, diagnostic criteria,. Risk factors for. Barrett Esophagus Risk Factors.
From askthenurseexpert.com
Risk Factors And Precautions For Barrett's Esophagus Ask The Nurse Expert Barrett Esophagus Risk Factors Barrett’s esophagus is a change in the cellular structure of your esophagus lining. Barrett’s esophagus occurs when cells in the lining of the esophagus are damaged by exposure to acid. This activity illustrates the pathophysiology, risk factors, diagnostic criteria,. You should ask a doctor about barrett’s esophagus if you have the risk factors listed earlier (male sex, age 50 or. Barrett Esophagus Risk Factors.
From www.researchgate.net
(PDF) Risk Factors for Progression of Barrett’s Esophagus to High Grade Dysplasia and Esophageal Barrett Esophagus Risk Factors You should ask a doctor about barrett’s esophagus if you have the risk factors listed earlier (male sex, age 50 or over, obesity, tobacco smoking, positive family history of be, esophageal. Barrett’s esophagus occurs when cells in the lining of the esophagus are damaged by exposure to acid. This activity illustrates the pathophysiology, risk factors, diagnostic criteria,. Barrett’s esophagus is. Barrett Esophagus Risk Factors.
From www.researchgate.net
(PDF) Risk factors of erosive esophagitis and barrett’s esophagus in patients with reflux symptoms Barrett Esophagus Risk Factors Barrett’s esophagus occurs when cells in the lining of the esophagus are damaged by exposure to acid. You should ask a doctor about barrett’s esophagus if you have the risk factors listed earlier (male sex, age 50 or over, obesity, tobacco smoking, positive family history of be, esophageal. Barrett’s esophagus is a change in the cellular structure of your esophagus. Barrett Esophagus Risk Factors.
From stock.adobe.com
Risk factors for Barrett's esophagus. Vector illustration for medical journal or brochure. Stock Barrett Esophagus Risk Factors You should ask a doctor about barrett’s esophagus if you have the risk factors listed earlier (male sex, age 50 or over, obesity, tobacco smoking, positive family history of be, esophageal. It’s a risk factor for cancer, but the risk is low. Barrett’s esophagus is a change in the cellular structure of your esophagus lining. Barrett’s esophagus occurs when cells. Barrett Esophagus Risk Factors.
From drniveditapandey.com
Understanding Barrett's Esophagus With Dysplasia Barrett Esophagus Risk Factors It’s a risk factor for cancer, but the risk is low. Barrett’s esophagus occurs when cells in the lining of the esophagus are damaged by exposure to acid. This activity illustrates the pathophysiology, risk factors, diagnostic criteria,. Barrett’s esophagus is a change in the cellular structure of your esophagus lining. Risk factors for barrett esophagus include gastroesophageal reflux disease, obesity,. Barrett Esophagus Risk Factors.
From www.researchgate.net
(PDF) Barrett's esophagus with esophageal adenocarcinoma risk factors with the current Barrett Esophagus Risk Factors Barrett’s esophagus is a change in the cellular structure of your esophagus lining. Risk factors for barrett esophagus include gastroesophageal reflux disease, obesity, age older than 50 years, male sex, tobacco use, and a family history of barrett. This activity illustrates the pathophysiology, risk factors, diagnostic criteria,. You should ask a doctor about barrett’s esophagus if you have the risk. Barrett Esophagus Risk Factors.