Quintus Varus Definition . Most commonly referred to as overlapping or overriding fifth toe, crossover toe, or digiti quinti varus is a congenital deformity that results from soft tissue contractions. La bosse est le plus souvent douloureuse et inflammatoire, gênant la marche. The bunionette, also known as quintus varus or tailor’s bunion, is a toe deformity caused by a deformation of the 5th metatarsal bone. The bunionette, also known as quintus varus or tailor’s bunion, is a toe deformity caused by a deformation of the 5th metatarsal bone. Quintus varus, also known as tailor’s bunion or bunionette, is caused by an inflammation of the fifth metatarsal, the bone at. Bunionette deformities, commonly called tailor's bunion, are prominences on the lateral aspect of the 5th metatarsal head. Le quintus varus est une déformation du cinquième petit orteil.
from voetentraining.nl
The bunionette, also known as quintus varus or tailor’s bunion, is a toe deformity caused by a deformation of the 5th metatarsal bone. Quintus varus, also known as tailor’s bunion or bunionette, is caused by an inflammation of the fifth metatarsal, the bone at. The bunionette, also known as quintus varus or tailor’s bunion, is a toe deformity caused by a deformation of the 5th metatarsal bone. Bunionette deformities, commonly called tailor's bunion, are prominences on the lateral aspect of the 5th metatarsal head. Most commonly referred to as overlapping or overriding fifth toe, crossover toe, or digiti quinti varus is a congenital deformity that results from soft tissue contractions. La bosse est le plus souvent douloureuse et inflammatoire, gênant la marche. Le quintus varus est une déformation du cinquième petit orteil.
Waarom verergert de digitus quintus varus (tailors bunion)?
Quintus Varus Definition The bunionette, also known as quintus varus or tailor’s bunion, is a toe deformity caused by a deformation of the 5th metatarsal bone. La bosse est le plus souvent douloureuse et inflammatoire, gênant la marche. Most commonly referred to as overlapping or overriding fifth toe, crossover toe, or digiti quinti varus is a congenital deformity that results from soft tissue contractions. Quintus varus, also known as tailor’s bunion or bunionette, is caused by an inflammation of the fifth metatarsal, the bone at. Bunionette deformities, commonly called tailor's bunion, are prominences on the lateral aspect of the 5th metatarsal head. The bunionette, also known as quintus varus or tailor’s bunion, is a toe deformity caused by a deformation of the 5th metatarsal bone. The bunionette, also known as quintus varus or tailor’s bunion, is a toe deformity caused by a deformation of the 5th metatarsal bone. Le quintus varus est une déformation du cinquième petit orteil.
From www.easyinsole.com
Digitus Quintus Varus Quintus Varus Definition Quintus varus, also known as tailor’s bunion or bunionette, is caused by an inflammation of the fifth metatarsal, the bone at. La bosse est le plus souvent douloureuse et inflammatoire, gênant la marche. Most commonly referred to as overlapping or overriding fifth toe, crossover toe, or digiti quinti varus is a congenital deformity that results from soft tissue contractions. Le. Quintus Varus Definition.
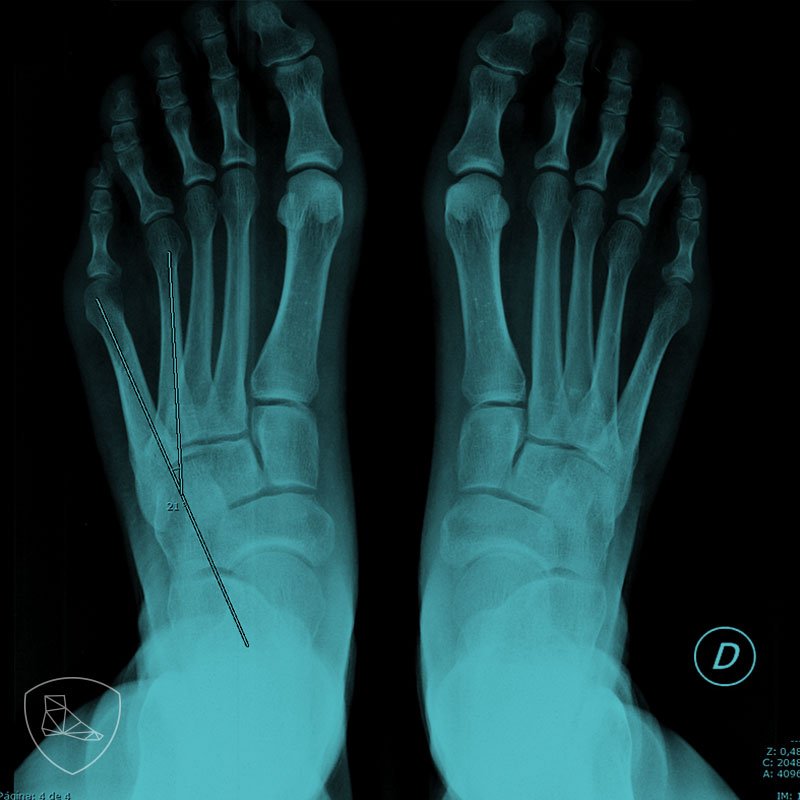
From voetentraining.nl
Waarom verergert de digitus quintus varus (tailors bunion)? Quintus Varus Definition Le quintus varus est une déformation du cinquième petit orteil. Bunionette deformities, commonly called tailor's bunion, are prominences on the lateral aspect of the 5th metatarsal head. The bunionette, also known as quintus varus or tailor’s bunion, is a toe deformity caused by a deformation of the 5th metatarsal bone. Quintus varus, also known as tailor’s bunion or bunionette, is. Quintus Varus Definition.
From drjeremieknafo.fr
Quintus Varus Dr Jérémie Knafo Quintus Varus Definition The bunionette, also known as quintus varus or tailor’s bunion, is a toe deformity caused by a deformation of the 5th metatarsal bone. Quintus varus, also known as tailor’s bunion or bunionette, is caused by an inflammation of the fifth metatarsal, the bone at. Bunionette deformities, commonly called tailor's bunion, are prominences on the lateral aspect of the 5th metatarsal. Quintus Varus Definition.
From aware.doctor
Guia básica del Quintus Varus aware.doctor Quintus Varus Definition Most commonly referred to as overlapping or overriding fifth toe, crossover toe, or digiti quinti varus is a congenital deformity that results from soft tissue contractions. Quintus varus, also known as tailor’s bunion or bunionette, is caused by an inflammation of the fifth metatarsal, the bone at. Le quintus varus est une déformation du cinquième petit orteil. La bosse est. Quintus Varus Definition.
From nantesorthopedie-podologie.fr
Qu’est ce qu’un quintus varus Quintus Varus Definition Most commonly referred to as overlapping or overriding fifth toe, crossover toe, or digiti quinti varus is a congenital deformity that results from soft tissue contractions. Le quintus varus est une déformation du cinquième petit orteil. Bunionette deformities, commonly called tailor's bunion, are prominences on the lateral aspect of the 5th metatarsal head. Quintus varus, also known as tailor’s bunion. Quintus Varus Definition.
From www.semanticscholar.org
Figure 2 from Cure du quintus varus supradductus à la manière de Quintus Varus Definition The bunionette, also known as quintus varus or tailor’s bunion, is a toe deformity caused by a deformation of the 5th metatarsal bone. Most commonly referred to as overlapping or overriding fifth toe, crossover toe, or digiti quinti varus is a congenital deformity that results from soft tissue contractions. Le quintus varus est une déformation du cinquième petit orteil. La. Quintus Varus Definition.
From aware.doctor
Guia básica del Quintus Varus aware.doctor Quintus Varus Definition Most commonly referred to as overlapping or overriding fifth toe, crossover toe, or digiti quinti varus is a congenital deformity that results from soft tissue contractions. Bunionette deformities, commonly called tailor's bunion, are prominences on the lateral aspect of the 5th metatarsal head. The bunionette, also known as quintus varus or tailor’s bunion, is a toe deformity caused by a. Quintus Varus Definition.
From www.dr-bovier-lapierre.fr
Quintus varus Dr BovierLapierre Quintus Varus Definition Bunionette deformities, commonly called tailor's bunion, are prominences on the lateral aspect of the 5th metatarsal head. Quintus varus, also known as tailor’s bunion or bunionette, is caused by an inflammation of the fifth metatarsal, the bone at. The bunionette, also known as quintus varus or tailor’s bunion, is a toe deformity caused by a deformation of the 5th metatarsal. Quintus Varus Definition.
From www.chirurgie-du-pied.fr
Quintus varus ChirurgieduPied.fr Quintus Varus Definition La bosse est le plus souvent douloureuse et inflammatoire, gênant la marche. The bunionette, also known as quintus varus or tailor’s bunion, is a toe deformity caused by a deformation of the 5th metatarsal bone. The bunionette, also known as quintus varus or tailor’s bunion, is a toe deformity caused by a deformation of the 5th metatarsal bone. Bunionette deformities,. Quintus Varus Definition.
From www.semanticscholar.org
Figure 2 from Patología del quinto radio. Parte III Quintus Varus Quintus Varus Definition Bunionette deformities, commonly called tailor's bunion, are prominences on the lateral aspect of the 5th metatarsal head. The bunionette, also known as quintus varus or tailor’s bunion, is a toe deformity caused by a deformation of the 5th metatarsal bone. Most commonly referred to as overlapping or overriding fifth toe, crossover toe, or digiti quinti varus is a congenital deformity. Quintus Varus Definition.
From www.tutraumatologo.com
QUINTUS VARUS SUPRADUCTUS Quintus Varus Definition Le quintus varus est une déformation du cinquième petit orteil. Most commonly referred to as overlapping or overriding fifth toe, crossover toe, or digiti quinti varus is a congenital deformity that results from soft tissue contractions. The bunionette, also known as quintus varus or tailor’s bunion, is a toe deformity caused by a deformation of the 5th metatarsal bone. Quintus. Quintus Varus Definition.
From www.drnastai.de
Schneiderballen (Digitus quintus varus) Dr.medic Manuel Nastai Quintus Varus Definition Le quintus varus est une déformation du cinquième petit orteil. Quintus varus, also known as tailor’s bunion or bunionette, is caused by an inflammation of the fifth metatarsal, the bone at. Bunionette deformities, commonly called tailor's bunion, are prominences on the lateral aspect of the 5th metatarsal head. Most commonly referred to as overlapping or overriding fifth toe, crossover toe,. Quintus Varus Definition.
From chirurgie-orthopedie-agen.com
Centre Hospitalier d'Agen Quintus Varus Definition Bunionette deformities, commonly called tailor's bunion, are prominences on the lateral aspect of the 5th metatarsal head. La bosse est le plus souvent douloureuse et inflammatoire, gênant la marche. Le quintus varus est une déformation du cinquième petit orteil. Most commonly referred to as overlapping or overriding fifth toe, crossover toe, or digiti quinti varus is a congenital deformity that. Quintus Varus Definition.
From aware.doctor
Guia básica del Quintus Varus aware.doctor Quintus Varus Definition The bunionette, also known as quintus varus or tailor’s bunion, is a toe deformity caused by a deformation of the 5th metatarsal bone. Most commonly referred to as overlapping or overriding fifth toe, crossover toe, or digiti quinti varus is a congenital deformity that results from soft tissue contractions. Quintus varus, also known as tailor’s bunion or bunionette, is caused. Quintus Varus Definition.
From www.chirurgie-du-pied.fr
Quintus varus Chirurgie du Pied Quintus Varus Definition The bunionette, also known as quintus varus or tailor’s bunion, is a toe deformity caused by a deformation of the 5th metatarsal bone. The bunionette, also known as quintus varus or tailor’s bunion, is a toe deformity caused by a deformation of the 5th metatarsal bone. Quintus varus, also known as tailor’s bunion or bunionette, is caused by an inflammation. Quintus Varus Definition.
From www.drnastai.de
Schneiderballen (Digitus quintus varus) Dr. Manuel Nastai Fuß und Quintus Varus Definition Le quintus varus est une déformation du cinquième petit orteil. La bosse est le plus souvent douloureuse et inflammatoire, gênant la marche. The bunionette, also known as quintus varus or tailor’s bunion, is a toe deformity caused by a deformation of the 5th metatarsal bone. Quintus varus, also known as tailor’s bunion or bunionette, is caused by an inflammation of. Quintus Varus Definition.
From www.siss.be
Gérer un Quintus Varus Comprendre et Aborder cette Affection du Pied Quintus Varus Definition Quintus varus, also known as tailor’s bunion or bunionette, is caused by an inflammation of the fifth metatarsal, the bone at. Most commonly referred to as overlapping or overriding fifth toe, crossover toe, or digiti quinti varus is a congenital deformity that results from soft tissue contractions. Le quintus varus est une déformation du cinquième petit orteil. The bunionette, also. Quintus Varus Definition.
From www.blog.doctorhaoudichirurgienorthopediste.fr
QUINTUS VARUS Dr Kamal Haoudi blog Quintus Varus Definition The bunionette, also known as quintus varus or tailor’s bunion, is a toe deformity caused by a deformation of the 5th metatarsal bone. Bunionette deformities, commonly called tailor's bunion, are prominences on the lateral aspect of the 5th metatarsal head. The bunionette, also known as quintus varus or tailor’s bunion, is a toe deformity caused by a deformation of the. Quintus Varus Definition.
From www.flickr.com
Hallux valgusquintus varus wsussman Flickr Quintus Varus Definition La bosse est le plus souvent douloureuse et inflammatoire, gênant la marche. The bunionette, also known as quintus varus or tailor’s bunion, is a toe deformity caused by a deformation of the 5th metatarsal bone. Quintus varus, also known as tailor’s bunion or bunionette, is caused by an inflammation of the fifth metatarsal, the bone at. Le quintus varus est. Quintus Varus Definition.
From www.centrepiedgeneve.ch
Genève ou Quintus Varus Centre du chirurgie du pied Quintus Varus Definition The bunionette, also known as quintus varus or tailor’s bunion, is a toe deformity caused by a deformation of the 5th metatarsal bone. The bunionette, also known as quintus varus or tailor’s bunion, is a toe deformity caused by a deformation of the 5th metatarsal bone. La bosse est le plus souvent douloureuse et inflammatoire, gênant la marche. Quintus varus,. Quintus Varus Definition.
From www.researchgate.net
Tibia alignment Varus (1a), normal (1b), and varus (1c) knee. Red Quintus Varus Definition The bunionette, also known as quintus varus or tailor’s bunion, is a toe deformity caused by a deformation of the 5th metatarsal bone. Quintus varus, also known as tailor’s bunion or bunionette, is caused by an inflammation of the fifth metatarsal, the bone at. Le quintus varus est une déformation du cinquième petit orteil. Bunionette deformities, commonly called tailor's bunion,. Quintus Varus Definition.
From aware.doctor
Guia básica del Quintus Varus aware.doctor Quintus Varus Definition Bunionette deformities, commonly called tailor's bunion, are prominences on the lateral aspect of the 5th metatarsal head. La bosse est le plus souvent douloureuse et inflammatoire, gênant la marche. Quintus varus, also known as tailor’s bunion or bunionette, is caused by an inflammation of the fifth metatarsal, the bone at. The bunionette, also known as quintus varus or tailor’s bunion,. Quintus Varus Definition.
From www.tutraumatologo.com
QUINTUS VARUS SUPRADUCTUS Quintus Varus Definition Quintus varus, also known as tailor’s bunion or bunionette, is caused by an inflammation of the fifth metatarsal, the bone at. La bosse est le plus souvent douloureuse et inflammatoire, gênant la marche. The bunionette, also known as quintus varus or tailor’s bunion, is a toe deformity caused by a deformation of the 5th metatarsal bone. Le quintus varus est. Quintus Varus Definition.
From www.slideserve.com
PPT LE PIED DE L’ENFANT PowerPoint Presentation, free download ID Quintus Varus Definition Le quintus varus est une déformation du cinquième petit orteil. The bunionette, also known as quintus varus or tailor’s bunion, is a toe deformity caused by a deformation of the 5th metatarsal bone. Quintus varus, also known as tailor’s bunion or bunionette, is caused by an inflammation of the fifth metatarsal, the bone at. The bunionette, also known as quintus. Quintus Varus Definition.
From www.dr-bovier-lapierre.fr
Quintus varus Dr BovierLapierre Quintus Varus Definition Bunionette deformities, commonly called tailor's bunion, are prominences on the lateral aspect of the 5th metatarsal head. The bunionette, also known as quintus varus or tailor’s bunion, is a toe deformity caused by a deformation of the 5th metatarsal bone. Le quintus varus est une déformation du cinquième petit orteil. The bunionette, also known as quintus varus or tailor’s bunion,. Quintus Varus Definition.
From www.isco-strasbourg.fr
Pathologies Pied ISCO Institut Spécialisé de Chirurgie Orthopédique Quintus Varus Definition The bunionette, also known as quintus varus or tailor’s bunion, is a toe deformity caused by a deformation of the 5th metatarsal bone. Quintus varus, also known as tailor’s bunion or bunionette, is caused by an inflammation of the fifth metatarsal, the bone at. Bunionette deformities, commonly called tailor's bunion, are prominences on the lateral aspect of the 5th metatarsal. Quintus Varus Definition.
From www.tutraumatologo.com
QUINTUS VARUS SUPRADUCTUS Quintus Varus Definition Le quintus varus est une déformation du cinquième petit orteil. The bunionette, also known as quintus varus or tailor’s bunion, is a toe deformity caused by a deformation of the 5th metatarsal bone. Bunionette deformities, commonly called tailor's bunion, are prominences on the lateral aspect of the 5th metatarsal head. The bunionette, also known as quintus varus or tailor’s bunion,. Quintus Varus Definition.
From www.drnastai.de
Digitus quintus varus et superductus Dr.medic Manuel Nastai Quintus Varus Definition The bunionette, also known as quintus varus or tailor’s bunion, is a toe deformity caused by a deformation of the 5th metatarsal bone. La bosse est le plus souvent douloureuse et inflammatoire, gênant la marche. Most commonly referred to as overlapping or overriding fifth toe, crossover toe, or digiti quinti varus is a congenital deformity that results from soft tissue. Quintus Varus Definition.
From www.passeportsante.net
Quintus varus causes, complications , que faire Quintus Varus Definition Le quintus varus est une déformation du cinquième petit orteil. La bosse est le plus souvent douloureuse et inflammatoire, gênant la marche. Bunionette deformities, commonly called tailor's bunion, are prominences on the lateral aspect of the 5th metatarsal head. Quintus varus, also known as tailor’s bunion or bunionette, is caused by an inflammation of the fifth metatarsal, the bone at.. Quintus Varus Definition.
From www.tutraumatologo.com
QUINTUS VARUS SUPRADUCTUS Quintus Varus Definition Quintus varus, also known as tailor’s bunion or bunionette, is caused by an inflammation of the fifth metatarsal, the bone at. Bunionette deformities, commonly called tailor's bunion, are prominences on the lateral aspect of the 5th metatarsal head. Le quintus varus est une déformation du cinquième petit orteil. La bosse est le plus souvent douloureuse et inflammatoire, gênant la marche.. Quintus Varus Definition.
From aware.doctor
Guia básica del Quintus Varus aware.doctor Quintus Varus Definition Most commonly referred to as overlapping or overriding fifth toe, crossover toe, or digiti quinti varus is a congenital deformity that results from soft tissue contractions. The bunionette, also known as quintus varus or tailor’s bunion, is a toe deformity caused by a deformation of the 5th metatarsal bone. La bosse est le plus souvent douloureuse et inflammatoire, gênant la. Quintus Varus Definition.
From www.ar.leading-medicine-guide.de
Schneiderballen Informationen & Spezialisten finden Quintus Varus Definition The bunionette, also known as quintus varus or tailor’s bunion, is a toe deformity caused by a deformation of the 5th metatarsal bone. Le quintus varus est une déformation du cinquième petit orteil. Bunionette deformities, commonly called tailor's bunion, are prominences on the lateral aspect of the 5th metatarsal head. Quintus varus, also known as tailor’s bunion or bunionette, is. Quintus Varus Definition.
From insa-nice.fr
Quintus Varus Institut Niçois du Sport et de l'Arthrose à Nice Quintus Varus Definition Le quintus varus est une déformation du cinquième petit orteil. The bunionette, also known as quintus varus or tailor’s bunion, is a toe deformity caused by a deformation of the 5th metatarsal bone. Quintus varus, also known as tailor’s bunion or bunionette, is caused by an inflammation of the fifth metatarsal, the bone at. La bosse est le plus souvent. Quintus Varus Definition.
From www.dr-bovier-lapierre.fr
Quintus varus Dr BovierLapierre Quintus Varus Definition La bosse est le plus souvent douloureuse et inflammatoire, gênant la marche. Bunionette deformities, commonly called tailor's bunion, are prominences on the lateral aspect of the 5th metatarsal head. Quintus varus, also known as tailor’s bunion or bunionette, is caused by an inflammation of the fifth metatarsal, the bone at. Most commonly referred to as overlapping or overriding fifth toe,. Quintus Varus Definition.
From orthesego.com
L'oignon L'hallux valgus et le quintus varus Quintus Varus Definition Bunionette deformities, commonly called tailor's bunion, are prominences on the lateral aspect of the 5th metatarsal head. Most commonly referred to as overlapping or overriding fifth toe, crossover toe, or digiti quinti varus is a congenital deformity that results from soft tissue contractions. The bunionette, also known as quintus varus or tailor’s bunion, is a toe deformity caused by a. Quintus Varus Definition.