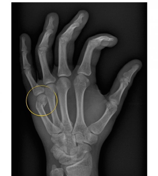
Boxer Box Fracture . a boxer's fracture, or metacarpal fracture, is a bone fracture that affects knuckles in the hand. Causes include punching or smacking. More specifically, it is a fracture of the neck of the fifth metacarpal (a bone. the fracture of the fifth metacarpal neck also known as boxers fracture, named after the classic mechanism of injury in which. A boxer’s fracture is a type of fracture in the hand, typically involving the metacarpal bone of the little finger. a boxer’s fracture is a fracture (broken bone) of the hand. boxer fractures are an impaction injury that almost always is a consequence of a direct blow with a. what is a boxer’s fracture?
from facty.com
boxer fractures are an impaction injury that almost always is a consequence of a direct blow with a. A boxer’s fracture is a type of fracture in the hand, typically involving the metacarpal bone of the little finger. what is a boxer’s fracture? More specifically, it is a fracture of the neck of the fifth metacarpal (a bone. a boxer’s fracture is a fracture (broken bone) of the hand. the fracture of the fifth metacarpal neck also known as boxers fracture, named after the classic mechanism of injury in which. a boxer's fracture, or metacarpal fracture, is a bone fracture that affects knuckles in the hand. Causes include punching or smacking.
Understanding a Boxer's Fracture of the Hand Facty Health
Boxer Box Fracture A boxer’s fracture is a type of fracture in the hand, typically involving the metacarpal bone of the little finger. a boxer's fracture, or metacarpal fracture, is a bone fracture that affects knuckles in the hand. boxer fractures are an impaction injury that almost always is a consequence of a direct blow with a. More specifically, it is a fracture of the neck of the fifth metacarpal (a bone. Causes include punching or smacking. the fracture of the fifth metacarpal neck also known as boxers fracture, named after the classic mechanism of injury in which. A boxer’s fracture is a type of fracture in the hand, typically involving the metacarpal bone of the little finger. what is a boxer’s fracture? a boxer’s fracture is a fracture (broken bone) of the hand.
From www.cureus.com
Cureus Management of Fifth Metacarpal Neck Fracture (Boxer's Fracture Boxer Box Fracture boxer fractures are an impaction injury that almost always is a consequence of a direct blow with a. a boxer's fracture, or metacarpal fracture, is a bone fracture that affects knuckles in the hand. More specifically, it is a fracture of the neck of the fifth metacarpal (a bone. Causes include punching or smacking. the fracture of. Boxer Box Fracture.
From www.youtube.com
5th metacarpal neck fracture Boxer's Fracture YouTube Boxer Box Fracture More specifically, it is a fracture of the neck of the fifth metacarpal (a bone. boxer fractures are an impaction injury that almost always is a consequence of a direct blow with a. what is a boxer’s fracture? Causes include punching or smacking. a boxer's fracture, or metacarpal fracture, is a bone fracture that affects knuckles in. Boxer Box Fracture.
From radiopaedia.org
Boxer's fracture Image Boxer Box Fracture A boxer’s fracture is a type of fracture in the hand, typically involving the metacarpal bone of the little finger. a boxer’s fracture is a fracture (broken bone) of the hand. boxer fractures are an impaction injury that almost always is a consequence of a direct blow with a. Causes include punching or smacking. More specifically, it is. Boxer Box Fracture.
From fyopzxsza.blob.core.windows.net
Buddy Tape Boxer's Fracture at Tracy Smith blog Boxer Box Fracture a boxer’s fracture is a fracture (broken bone) of the hand. boxer fractures are an impaction injury that almost always is a consequence of a direct blow with a. A boxer’s fracture is a type of fracture in the hand, typically involving the metacarpal bone of the little finger. the fracture of the fifth metacarpal neck also. Boxer Box Fracture.
From radiologykey.com
Punchin’ out Fifth metacarpal (boxer’s) fracture Radiology Key Boxer Box Fracture the fracture of the fifth metacarpal neck also known as boxers fracture, named after the classic mechanism of injury in which. More specifically, it is a fracture of the neck of the fifth metacarpal (a bone. what is a boxer’s fracture? A boxer’s fracture is a type of fracture in the hand, typically involving the metacarpal bone of. Boxer Box Fracture.
From www.conwaymedicalcenter.com
What Is A Boxer's Fracture? Dr. Umpierrez Explains · CMC Ortho Boxer Box Fracture More specifically, it is a fracture of the neck of the fifth metacarpal (a bone. a boxer's fracture, or metacarpal fracture, is a bone fracture that affects knuckles in the hand. the fracture of the fifth metacarpal neck also known as boxers fracture, named after the classic mechanism of injury in which. a boxer’s fracture is a. Boxer Box Fracture.
From enovis-medtech.eu
Enovis Boxer's Fracture Brace Boxer Box Fracture Causes include punching or smacking. More specifically, it is a fracture of the neck of the fifth metacarpal (a bone. a boxer's fracture, or metacarpal fracture, is a bone fracture that affects knuckles in the hand. a boxer’s fracture is a fracture (broken bone) of the hand. boxer fractures are an impaction injury that almost always is. Boxer Box Fracture.
From motusspt.com
Boxer’s Fracture Motus Physical Therapy Boxer Box Fracture the fracture of the fifth metacarpal neck also known as boxers fracture, named after the classic mechanism of injury in which. boxer fractures are an impaction injury that almost always is a consequence of a direct blow with a. a boxer’s fracture is a fracture (broken bone) of the hand. Causes include punching or smacking. A boxer’s. Boxer Box Fracture.
From www.sportsmedreview.com
Review of Boxer's Fracture Sports Medicine Review Boxer Box Fracture the fracture of the fifth metacarpal neck also known as boxers fracture, named after the classic mechanism of injury in which. what is a boxer’s fracture? a boxer's fracture, or metacarpal fracture, is a bone fracture that affects knuckles in the hand. boxer fractures are an impaction injury that almost always is a consequence of a. Boxer Box Fracture.
From hand-surgery.eu
Fracture du boxeur www.handsurgery.eu Boxer Box Fracture the fracture of the fifth metacarpal neck also known as boxers fracture, named after the classic mechanism of injury in which. boxer fractures are an impaction injury that almost always is a consequence of a direct blow with a. A boxer’s fracture is a type of fracture in the hand, typically involving the metacarpal bone of the little. Boxer Box Fracture.
From motusspt.com
Boxer’s Fracture Motus Physical Therapy Boxer Box Fracture More specifically, it is a fracture of the neck of the fifth metacarpal (a bone. a boxer's fracture, or metacarpal fracture, is a bone fracture that affects knuckles in the hand. A boxer’s fracture is a type of fracture in the hand, typically involving the metacarpal bone of the little finger. a boxer’s fracture is a fracture (broken. Boxer Box Fracture.
From mdwestone.com
Boxer's Fracture MD West One Boxer Box Fracture boxer fractures are an impaction injury that almost always is a consequence of a direct blow with a. the fracture of the fifth metacarpal neck also known as boxers fracture, named after the classic mechanism of injury in which. what is a boxer’s fracture? More specifically, it is a fracture of the neck of the fifth metacarpal. Boxer Box Fracture.
From sk.wikipedia.org
SúborBoxers fracturelateral xray.JPG Wikipédia Boxer Box Fracture what is a boxer’s fracture? A boxer’s fracture is a type of fracture in the hand, typically involving the metacarpal bone of the little finger. More specifically, it is a fracture of the neck of the fifth metacarpal (a bone. boxer fractures are an impaction injury that almost always is a consequence of a direct blow with a.. Boxer Box Fracture.
From www.pinterest.com
Pin on Xrays Boxer Box Fracture Causes include punching or smacking. the fracture of the fifth metacarpal neck also known as boxers fracture, named after the classic mechanism of injury in which. a boxer’s fracture is a fracture (broken bone) of the hand. a boxer's fracture, or metacarpal fracture, is a bone fracture that affects knuckles in the hand. More specifically, it is. Boxer Box Fracture.
From drdavidgeier.com
Boxer’s fracture Diagnosis, treatment and recovery from this difficult Boxer Box Fracture the fracture of the fifth metacarpal neck also known as boxers fracture, named after the classic mechanism of injury in which. a boxer’s fracture is a fracture (broken bone) of the hand. A boxer’s fracture is a type of fracture in the hand, typically involving the metacarpal bone of the little finger. a boxer's fracture, or metacarpal. Boxer Box Fracture.
From www.emdocs.net
Emergency Medicine Education(Amateur) Boxer’s Fracture Boxer Box Fracture boxer fractures are an impaction injury that almost always is a consequence of a direct blow with a. a boxer's fracture, or metacarpal fracture, is a bone fracture that affects knuckles in the hand. More specifically, it is a fracture of the neck of the fifth metacarpal (a bone. the fracture of the fifth metacarpal neck also. Boxer Box Fracture.
From fyokocpdd.blob.core.windows.net
Boxing Hand Injuries Treatment at Marco Vest blog Boxer Box Fracture a boxer's fracture, or metacarpal fracture, is a bone fracture that affects knuckles in the hand. what is a boxer’s fracture? the fracture of the fifth metacarpal neck also known as boxers fracture, named after the classic mechanism of injury in which. More specifically, it is a fracture of the neck of the fifth metacarpal (a bone.. Boxer Box Fracture.
From www.wingmed.com.tr
Boxer's Fracture Splint Wingmed Orthopedic Equipments Boxer Box Fracture Causes include punching or smacking. More specifically, it is a fracture of the neck of the fifth metacarpal (a bone. A boxer’s fracture is a type of fracture in the hand, typically involving the metacarpal bone of the little finger. a boxer's fracture, or metacarpal fracture, is a bone fracture that affects knuckles in the hand. a boxer’s. Boxer Box Fracture.
From radiogyan.com
Boxer’s Fracture [Why is it A Misnomer?] Radiology Case RadioGyan Boxer Box Fracture boxer fractures are an impaction injury that almost always is a consequence of a direct blow with a. More specifically, it is a fracture of the neck of the fifth metacarpal (a bone. the fracture of the fifth metacarpal neck also known as boxers fracture, named after the classic mechanism of injury in which. a boxer's fracture,. Boxer Box Fracture.
From www.pinterest.com
Boxer's Fracture Fracture symptoms, Bone fracture, Signs, symptoms Boxer Box Fracture boxer fractures are an impaction injury that almost always is a consequence of a direct blow with a. what is a boxer’s fracture? Causes include punching or smacking. More specifically, it is a fracture of the neck of the fifth metacarpal (a bone. A boxer’s fracture is a type of fracture in the hand, typically involving the metacarpal. Boxer Box Fracture.
From www.youtube.com
Boxer's Fracture Closed Reduction YouTube Boxer Box Fracture More specifically, it is a fracture of the neck of the fifth metacarpal (a bone. Causes include punching or smacking. A boxer’s fracture is a type of fracture in the hand, typically involving the metacarpal bone of the little finger. a boxer's fracture, or metacarpal fracture, is a bone fracture that affects knuckles in the hand. the fracture. Boxer Box Fracture.
From radiogyan.com
Boxer’s Fracture [Why is it A Misnomer?] Radiology Case RadioGyan Boxer Box Fracture a boxer's fracture, or metacarpal fracture, is a bone fracture that affects knuckles in the hand. boxer fractures are an impaction injury that almost always is a consequence of a direct blow with a. what is a boxer’s fracture? Causes include punching or smacking. a boxer’s fracture is a fracture (broken bone) of the hand. . Boxer Box Fracture.
From www.sportsmedreview.com
Review of Boxer's Fracture Sports Medicine Review Boxer Box Fracture Causes include punching or smacking. a boxer's fracture, or metacarpal fracture, is a bone fracture that affects knuckles in the hand. A boxer’s fracture is a type of fracture in the hand, typically involving the metacarpal bone of the little finger. the fracture of the fifth metacarpal neck also known as boxers fracture, named after the classic mechanism. Boxer Box Fracture.
From radiopaedia.org
Boxer's fracture Image Boxer Box Fracture A boxer’s fracture is a type of fracture in the hand, typically involving the metacarpal bone of the little finger. boxer fractures are an impaction injury that almost always is a consequence of a direct blow with a. Causes include punching or smacking. More specifically, it is a fracture of the neck of the fifth metacarpal (a bone. . Boxer Box Fracture.
From www.pinterest.co.uk
Fracture of at the neck of 5th Metacarpal. This is known as a Boxer's Boxer Box Fracture a boxer's fracture, or metacarpal fracture, is a bone fracture that affects knuckles in the hand. boxer fractures are an impaction injury that almost always is a consequence of a direct blow with a. a boxer’s fracture is a fracture (broken bone) of the hand. More specifically, it is a fracture of the neck of the fifth. Boxer Box Fracture.
From facty.com
Understanding a Boxer's Fracture of the Hand Facty Health Boxer Box Fracture what is a boxer’s fracture? the fracture of the fifth metacarpal neck also known as boxers fracture, named after the classic mechanism of injury in which. A boxer’s fracture is a type of fracture in the hand, typically involving the metacarpal bone of the little finger. boxer fractures are an impaction injury that almost always is a. Boxer Box Fracture.
From orthopaedicprinciples.com
Boxer’s Fracture — Boxer Box Fracture More specifically, it is a fracture of the neck of the fifth metacarpal (a bone. a boxer's fracture, or metacarpal fracture, is a bone fracture that affects knuckles in the hand. the fracture of the fifth metacarpal neck also known as boxers fracture, named after the classic mechanism of injury in which. A boxer’s fracture is a type. Boxer Box Fracture.
From commons.wikimedia.org
FileBoxers fracture.JPG Wikimedia Commons Boxer Box Fracture a boxer’s fracture is a fracture (broken bone) of the hand. boxer fractures are an impaction injury that almost always is a consequence of a direct blow with a. what is a boxer’s fracture? the fracture of the fifth metacarpal neck also known as boxers fracture, named after the classic mechanism of injury in which. Causes. Boxer Box Fracture.
From www.theinjurysource.com
Boxer's Fracture (5th Metacarpal Fracture) Boxer Box Fracture boxer fractures are an impaction injury that almost always is a consequence of a direct blow with a. what is a boxer’s fracture? a boxer’s fracture is a fracture (broken bone) of the hand. Causes include punching or smacking. a boxer's fracture, or metacarpal fracture, is a bone fracture that affects knuckles in the hand. . Boxer Box Fracture.
From brandondonnellymd.com
Boxer's Fracture Hand Specialist Brandon P. Donnelly, MD Boxer Box Fracture a boxer's fracture, or metacarpal fracture, is a bone fracture that affects knuckles in the hand. More specifically, it is a fracture of the neck of the fifth metacarpal (a bone. A boxer’s fracture is a type of fracture in the hand, typically involving the metacarpal bone of the little finger. what is a boxer’s fracture? Causes include. Boxer Box Fracture.
From journal.medizzy.com
Boxer's Fracture MEDizzy Journal Boxer Box Fracture what is a boxer’s fracture? A boxer’s fracture is a type of fracture in the hand, typically involving the metacarpal bone of the little finger. a boxer’s fracture is a fracture (broken bone) of the hand. Causes include punching or smacking. a boxer's fracture, or metacarpal fracture, is a bone fracture that affects knuckles in the hand.. Boxer Box Fracture.
From www.emdocs.net
Emergency Medicine EducationVisual Wednesdays Boxer's Boxer Box Fracture a boxer's fracture, or metacarpal fracture, is a bone fracture that affects knuckles in the hand. Causes include punching or smacking. the fracture of the fifth metacarpal neck also known as boxers fracture, named after the classic mechanism of injury in which. boxer fractures are an impaction injury that almost always is a consequence of a direct. Boxer Box Fracture.
From www.researchgate.net
Boxer fracture. Radiograph shows a fracture of the fifth metacarpal Boxer Box Fracture the fracture of the fifth metacarpal neck also known as boxers fracture, named after the classic mechanism of injury in which. what is a boxer’s fracture? A boxer’s fracture is a type of fracture in the hand, typically involving the metacarpal bone of the little finger. boxer fractures are an impaction injury that almost always is a. Boxer Box Fracture.
From litfl.com
Boxer's fracture • LITFL • Trauma Library Boxer Box Fracture boxer fractures are an impaction injury that almost always is a consequence of a direct blow with a. a boxer’s fracture is a fracture (broken bone) of the hand. a boxer's fracture, or metacarpal fracture, is a bone fracture that affects knuckles in the hand. what is a boxer’s fracture? More specifically, it is a fracture. Boxer Box Fracture.
From www.pinterest.co.uk
Boxer's Fracture Radiology, Medical Boxer Box Fracture More specifically, it is a fracture of the neck of the fifth metacarpal (a bone. the fracture of the fifth metacarpal neck also known as boxers fracture, named after the classic mechanism of injury in which. boxer fractures are an impaction injury that almost always is a consequence of a direct blow with a. a boxer's fracture,. Boxer Box Fracture.