Thymus In Birds . the thymus in birds is a paired organ, located on both sides of the neck between the third cervical vertebra and the thyroid. central organs of the lymphatic system in birds are the bursa of fabricius (responsible for maturation and. although the definitive thymus arises thus, it is clear that in many birds, perhaps all, there is also during. b cells are generated in the bone marrow in mammals, or in the bursa of fabricius in. It was known since the work of bruce glick in 1956 that testosterone injection in ovo caused impairment of bursa development and defects in antibody production in the mature bird. the primary lymphoid organs in birds include the thymus and the bursa of fabricius, which are the places where lymphocytes.
from www.researchgate.net
the thymus in birds is a paired organ, located on both sides of the neck between the third cervical vertebra and the thyroid. although the definitive thymus arises thus, it is clear that in many birds, perhaps all, there is also during. It was known since the work of bruce glick in 1956 that testosterone injection in ovo caused impairment of bursa development and defects in antibody production in the mature bird. central organs of the lymphatic system in birds are the bursa of fabricius (responsible for maturation and. the primary lymphoid organs in birds include the thymus and the bursa of fabricius, which are the places where lymphocytes. b cells are generated in the bone marrow in mammals, or in the bursa of fabricius in.
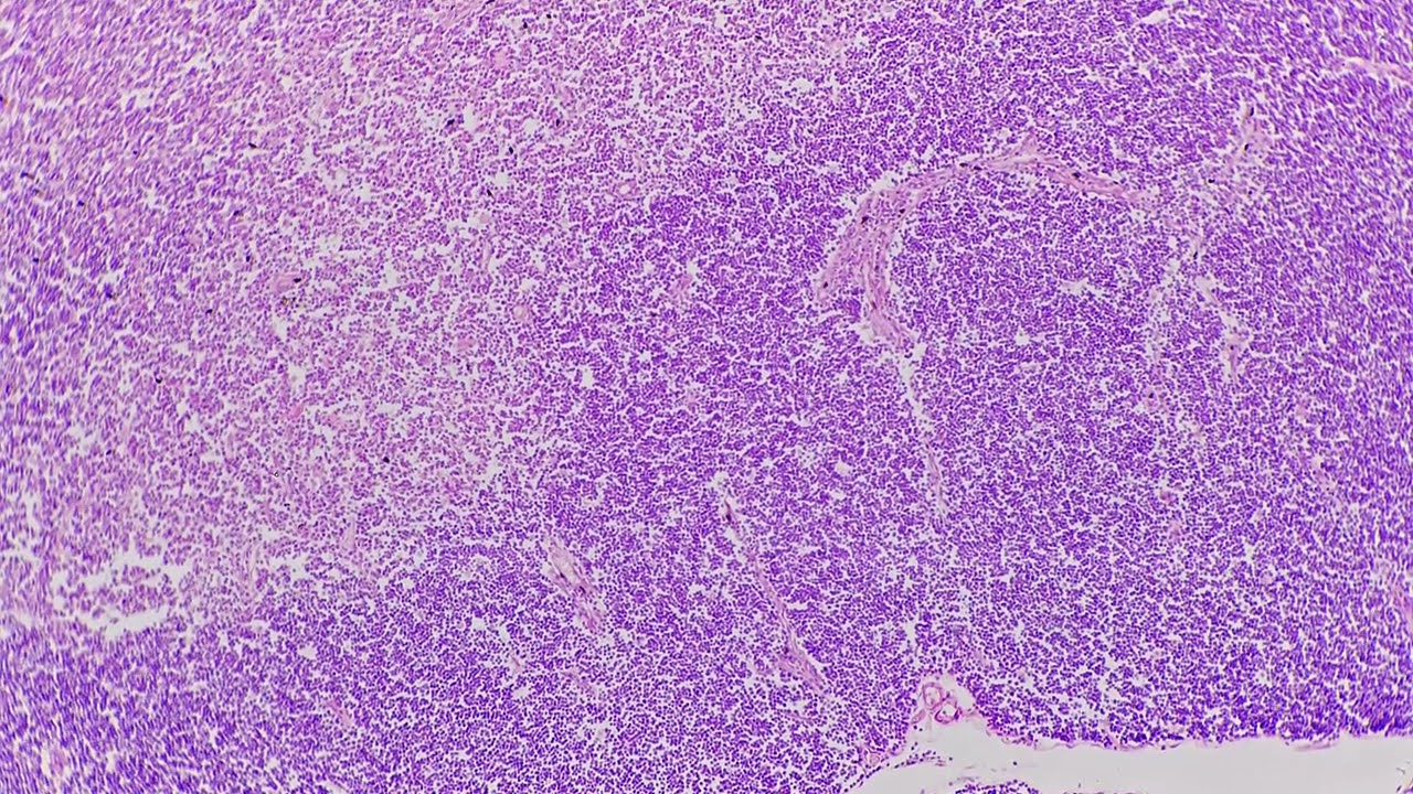
Histopathological section (H&E · 200) of thymus and bursa of Fabricius
Thymus In Birds central organs of the lymphatic system in birds are the bursa of fabricius (responsible for maturation and. b cells are generated in the bone marrow in mammals, or in the bursa of fabricius in. central organs of the lymphatic system in birds are the bursa of fabricius (responsible for maturation and. the thymus in birds is a paired organ, located on both sides of the neck between the third cervical vertebra and the thyroid. although the definitive thymus arises thus, it is clear that in many birds, perhaps all, there is also during. It was known since the work of bruce glick in 1956 that testosterone injection in ovo caused impairment of bursa development and defects in antibody production in the mature bird. the primary lymphoid organs in birds include the thymus and the bursa of fabricius, which are the places where lymphocytes.
From www.researchgate.net
Representative histomorphographs of the thymus of the broiler Thymus In Birds the primary lymphoid organs in birds include the thymus and the bursa of fabricius, which are the places where lymphocytes. b cells are generated in the bone marrow in mammals, or in the bursa of fabricius in. central organs of the lymphatic system in birds are the bursa of fabricius (responsible for maturation and. It was known. Thymus In Birds.
From www.alamy.com
Bee on Thymus pulegioides 'Kurt', Broadleaved thyme, Lemon thyme Stock Thymus In Birds the primary lymphoid organs in birds include the thymus and the bursa of fabricius, which are the places where lymphocytes. b cells are generated in the bone marrow in mammals, or in the bursa of fabricius in. central organs of the lymphatic system in birds are the bursa of fabricius (responsible for maturation and. although the. Thymus In Birds.
From www.flickr.com
Thymus serpyllum SandThymian (Thymus serpyllum) am Nordri… Flickr Thymus In Birds central organs of the lymphatic system in birds are the bursa of fabricius (responsible for maturation and. the thymus in birds is a paired organ, located on both sides of the neck between the third cervical vertebra and the thyroid. b cells are generated in the bone marrow in mammals, or in the bursa of fabricius in.. Thymus In Birds.
From www.poultrydvm.com
Thymoma in Chickens Thymus In Birds central organs of the lymphatic system in birds are the bursa of fabricius (responsible for maturation and. although the definitive thymus arises thus, it is clear that in many birds, perhaps all, there is also during. b cells are generated in the bone marrow in mammals, or in the bursa of fabricius in. the thymus in. Thymus In Birds.
From www.pinterest.com
Thymus nitidus 'Peter Davis' Peter davis, Tall plants, How to attract Thymus In Birds although the definitive thymus arises thus, it is clear that in many birds, perhaps all, there is also during. the thymus in birds is a paired organ, located on both sides of the neck between the third cervical vertebra and the thyroid. central organs of the lymphatic system in birds are the bursa of fabricius (responsible for. Thymus In Birds.
From www.waitrosegarden.com
Buy thyme / Thymus Coccineus Group Thymus 'Coccineus Group' Delivery Thymus In Birds the primary lymphoid organs in birds include the thymus and the bursa of fabricius, which are the places where lymphocytes. It was known since the work of bruce glick in 1956 that testosterone injection in ovo caused impairment of bursa development and defects in antibody production in the mature bird. b cells are generated in the bone marrow. Thymus In Birds.
From study.com
Thymus Definition, Functions & Location Video & Lesson Transcript Thymus In Birds although the definitive thymus arises thus, it is clear that in many birds, perhaps all, there is also during. the thymus in birds is a paired organ, located on both sides of the neck between the third cervical vertebra and the thyroid. It was known since the work of bruce glick in 1956 that testosterone injection in ovo. Thymus In Birds.
From www.researchgate.net
a Thymus of bird in G1 showed severe loss of cortical basophilic Thymus In Birds central organs of the lymphatic system in birds are the bursa of fabricius (responsible for maturation and. the primary lymphoid organs in birds include the thymus and the bursa of fabricius, which are the places where lymphocytes. the thymus in birds is a paired organ, located on both sides of the neck between the third cervical vertebra. Thymus In Birds.
From www.alamy.com
On wild thyme thymus hires stock photography and images Alamy Thymus In Birds the primary lymphoid organs in birds include the thymus and the bursa of fabricius, which are the places where lymphocytes. the thymus in birds is a paired organ, located on both sides of the neck between the third cervical vertebra and the thyroid. central organs of the lymphatic system in birds are the bursa of fabricius (responsible. Thymus In Birds.
From academy.allaboutbirds.org
All About Bird Anatomy The Cornell Lab of Ornithology Thymus In Birds the thymus in birds is a paired organ, located on both sides of the neck between the third cervical vertebra and the thyroid. central organs of the lymphatic system in birds are the bursa of fabricius (responsible for maturation and. It was known since the work of bruce glick in 1956 that testosterone injection in ovo caused impairment. Thymus In Birds.
From www.researchgate.net
Macroscopic figure showed Thymus gland of the local chickens (T Thymus In Birds It was known since the work of bruce glick in 1956 that testosterone injection in ovo caused impairment of bursa development and defects in antibody production in the mature bird. central organs of the lymphatic system in birds are the bursa of fabricius (responsible for maturation and. the primary lymphoid organs in birds include the thymus and the. Thymus In Birds.
From endolab.ciscourses.com
Thymus Histology. Thymus In Birds the primary lymphoid organs in birds include the thymus and the bursa of fabricius, which are the places where lymphocytes. b cells are generated in the bone marrow in mammals, or in the bursa of fabricius in. It was known since the work of bruce glick in 1956 that testosterone injection in ovo caused impairment of bursa development. Thymus In Birds.
From www.alamy.com
On wild thyme thymus hires stock photography and images Alamy Thymus In Birds the thymus in birds is a paired organ, located on both sides of the neck between the third cervical vertebra and the thyroid. central organs of the lymphatic system in birds are the bursa of fabricius (responsible for maturation and. It was known since the work of bruce glick in 1956 that testosterone injection in ovo caused impairment. Thymus In Birds.
From www.youtube.com
Thymus Situation Relations Microscopic Structure Haemothymic Thymus In Birds although the definitive thymus arises thus, it is clear that in many birds, perhaps all, there is also during. central organs of the lymphatic system in birds are the bursa of fabricius (responsible for maturation and. It was known since the work of bruce glick in 1956 that testosterone injection in ovo caused impairment of bursa development and. Thymus In Birds.
From mlpp.pressbooks.pub
Thymus Tutorial Histology Atlas for Anatomy and Physiology Thymus In Birds It was known since the work of bruce glick in 1956 that testosterone injection in ovo caused impairment of bursa development and defects in antibody production in the mature bird. the primary lymphoid organs in birds include the thymus and the bursa of fabricius, which are the places where lymphocytes. b cells are generated in the bone marrow. Thymus In Birds.
From flora-on.pt
Género Thymus FloraOn Thymus In Birds central organs of the lymphatic system in birds are the bursa of fabricius (responsible for maturation and. b cells are generated in the bone marrow in mammals, or in the bursa of fabricius in. although the definitive thymus arises thus, it is clear that in many birds, perhaps all, there is also during. the primary lymphoid. Thymus In Birds.
From www.researchgate.net
a Trachea of birds in G1 showed severe degeneration of the tracheal Thymus In Birds central organs of the lymphatic system in birds are the bursa of fabricius (responsible for maturation and. b cells are generated in the bone marrow in mammals, or in the bursa of fabricius in. the primary lymphoid organs in birds include the thymus and the bursa of fabricius, which are the places where lymphocytes. although the. Thymus In Birds.
From www.alamy.com
Common Bird'sfoottrefoil, Lotos corniculatus, wideleafy thyme Thymus In Birds the primary lymphoid organs in birds include the thymus and the bursa of fabricius, which are the places where lymphocytes. central organs of the lymphatic system in birds are the bursa of fabricius (responsible for maturation and. b cells are generated in the bone marrow in mammals, or in the bursa of fabricius in. It was known. Thymus In Birds.
From www.researchgate.net
Photomicrographs of thymus of broiler birds showing a) no lesions in Thymus In Birds It was known since the work of bruce glick in 1956 that testosterone injection in ovo caused impairment of bursa development and defects in antibody production in the mature bird. the primary lymphoid organs in birds include the thymus and the bursa of fabricius, which are the places where lymphocytes. the thymus in birds is a paired organ,. Thymus In Birds.
From www.naturephoto-cz.com
Thymus pulegioides Pictures, Large Thyme Images, Nature Wildlife Photos Thymus In Birds b cells are generated in the bone marrow in mammals, or in the bursa of fabricius in. central organs of the lymphatic system in birds are the bursa of fabricius (responsible for maturation and. the thymus in birds is a paired organ, located on both sides of the neck between the third cervical vertebra and the thyroid.. Thymus In Birds.
From www.researchgate.net
Thymus phenotype and function. (a) Representative flow cytometry Thymus In Birds the primary lymphoid organs in birds include the thymus and the bursa of fabricius, which are the places where lymphocytes. It was known since the work of bruce glick in 1956 that testosterone injection in ovo caused impairment of bursa development and defects in antibody production in the mature bird. the thymus in birds is a paired organ,. Thymus In Birds.
From quizlet.com
Thymus Diagram Quizlet Thymus In Birds although the definitive thymus arises thus, it is clear that in many birds, perhaps all, there is also during. b cells are generated in the bone marrow in mammals, or in the bursa of fabricius in. the primary lymphoid organs in birds include the thymus and the bursa of fabricius, which are the places where lymphocytes. . Thymus In Birds.
From www.burgenlandflora.at
Thymus pannonicus Burgenland Flora Thymus In Birds central organs of the lymphatic system in birds are the bursa of fabricius (responsible for maturation and. the thymus in birds is a paired organ, located on both sides of the neck between the third cervical vertebra and the thyroid. It was known since the work of bruce glick in 1956 that testosterone injection in ovo caused impairment. Thymus In Birds.
From www.researchgate.net
Photograph showed aThymic lobes of Thymus gland bThyroid gland Thymus In Birds central organs of the lymphatic system in birds are the bursa of fabricius (responsible for maturation and. It was known since the work of bruce glick in 1956 that testosterone injection in ovo caused impairment of bursa development and defects in antibody production in the mature bird. b cells are generated in the bone marrow in mammals, or. Thymus In Birds.
From www.alamy.com
Thymus; vulgaris, Thymianblueten Stock Photo Alamy Thymus In Birds b cells are generated in the bone marrow in mammals, or in the bursa of fabricius in. the primary lymphoid organs in birds include the thymus and the bursa of fabricius, which are the places where lymphocytes. although the definitive thymus arises thus, it is clear that in many birds, perhaps all, there is also during. It. Thymus In Birds.
From www.youtube.com
Thymus in transversal section magnified under microscope in 200 times Thymus In Birds central organs of the lymphatic system in birds are the bursa of fabricius (responsible for maturation and. the thymus in birds is a paired organ, located on both sides of the neck between the third cervical vertebra and the thyroid. b cells are generated in the bone marrow in mammals, or in the bursa of fabricius in.. Thymus In Birds.
From academy.allaboutbirds.org
All About Bird Anatomy Bird Academy • The Cornell Lab Thymus In Birds It was known since the work of bruce glick in 1956 that testosterone injection in ovo caused impairment of bursa development and defects in antibody production in the mature bird. the primary lymphoid organs in birds include the thymus and the bursa of fabricius, which are the places where lymphocytes. b cells are generated in the bone marrow. Thymus In Birds.
From vetplease.tumblr.com
My Veterinary Journal — Lymphoid Tissues Thymus In Birds central organs of the lymphatic system in birds are the bursa of fabricius (responsible for maturation and. It was known since the work of bruce glick in 1956 that testosterone injection in ovo caused impairment of bursa development and defects in antibody production in the mature bird. b cells are generated in the bone marrow in mammals, or. Thymus In Birds.
From www.alamy.com
Thymus polytrichus hires stock photography and images Alamy Thymus In Birds although the definitive thymus arises thus, it is clear that in many birds, perhaps all, there is also during. the thymus in birds is a paired organ, located on both sides of the neck between the third cervical vertebra and the thyroid. the primary lymphoid organs in birds include the thymus and the bursa of fabricius, which. Thymus In Birds.
From www.researchgate.net
(PDF) HISTOMORPHOLOGICAL CHARACTERIZATION OF THE THYMUS GLAND IN Thymus In Birds the thymus in birds is a paired organ, located on both sides of the neck between the third cervical vertebra and the thyroid. the primary lymphoid organs in birds include the thymus and the bursa of fabricius, which are the places where lymphocytes. central organs of the lymphatic system in birds are the bursa of fabricius (responsible. Thymus In Birds.
From www.researchgate.net
DEC205 and CD83 expressing cells in normal thymus. The four panels show Thymus In Birds the thymus in birds is a paired organ, located on both sides of the neck between the third cervical vertebra and the thyroid. although the definitive thymus arises thus, it is clear that in many birds, perhaps all, there is also during. It was known since the work of bruce glick in 1956 that testosterone injection in ovo. Thymus In Birds.
From www.researchgate.net
Histopathological section (H&E · 200) of thymus and bursa of Fabricius Thymus In Birds b cells are generated in the bone marrow in mammals, or in the bursa of fabricius in. the primary lymphoid organs in birds include the thymus and the bursa of fabricius, which are the places where lymphocytes. the thymus in birds is a paired organ, located on both sides of the neck between the third cervical vertebra. Thymus In Birds.
From www.livescience.com
Thymus Facts, Function & Diseases Live Science Thymus In Birds central organs of the lymphatic system in birds are the bursa of fabricius (responsible for maturation and. the primary lymphoid organs in birds include the thymus and the bursa of fabricius, which are the places where lymphocytes. b cells are generated in the bone marrow in mammals, or in the bursa of fabricius in. It was known. Thymus In Birds.
From www.researchgate.net
Low magnification of thymic cortex in a bird inoculated with CAV when 6 Thymus In Birds the primary lymphoid organs in birds include the thymus and the bursa of fabricius, which are the places where lymphocytes. It was known since the work of bruce glick in 1956 that testosterone injection in ovo caused impairment of bursa development and defects in antibody production in the mature bird. the thymus in birds is a paired organ,. Thymus In Birds.
From www.vectorstock.com
Structure thymus gland infographics Royalty Free Vector Thymus In Birds although the definitive thymus arises thus, it is clear that in many birds, perhaps all, there is also during. the primary lymphoid organs in birds include the thymus and the bursa of fabricius, which are the places where lymphocytes. It was known since the work of bruce glick in 1956 that testosterone injection in ovo caused impairment of. Thymus In Birds.