From br.pinterest.com
Codmans triangle in Radiographer, Review Board, Rad Triangle X-Ray Company With over 50 years of combined. Triangle xray provides imaging products for medical and veterinary imaging as well as radiographic systems. Provides sales, service, applications, project management, and other support for medical imaging needs for. Triangle X-Ray Company.
From blog.optident.co.uk
How Bioclear Empowers Dentists To Treat Black Triangles Optident Triangle X-Ray Company Provides sales, service, applications, project management, and other support for medical imaging needs for. Triangle xray provides imaging products for medical and veterinary imaging as well as radiographic systems. With over 50 years of combined. Triangle X-Ray Company.
From www.mini-meca-rc.com
Triangle avant supérieur XRAY 342131 Triangle X-Ray Company Triangle xray provides imaging products for medical and veterinary imaging as well as radiographic systems. With over 50 years of combined. Provides sales, service, applications, project management, and other support for medical imaging needs for. Triangle X-Ray Company.
From www.mdpi.com
JCM Free FullText Kambin’s Triangle Approach versus Traditional Triangle X-Ray Company Triangle xray provides imaging products for medical and veterinary imaging as well as radiographic systems. With over 50 years of combined. Provides sales, service, applications, project management, and other support for medical imaging needs for. Triangle X-Ray Company.
From www.rcteam.com
XRay Support triangles avant inférieur FR alu 302710O Triangle X-Ray Company Triangle xray provides imaging products for medical and veterinary imaging as well as radiographic systems. Provides sales, service, applications, project management, and other support for medical imaging needs for. With over 50 years of combined. Triangle X-Ray Company.
From www.rcteam.com
Xray Triangle Axis XB4 (x2) 367210 Triangle X-Ray Company With over 50 years of combined. Provides sales, service, applications, project management, and other support for medical imaging needs for. Triangle xray provides imaging products for medical and veterinary imaging as well as radiographic systems. Triangle X-Ray Company.
From www.magicxraymarker.com
Triangles Plastic Lead Xray Markers Magic Xray Markers Triangle X-Ray Company Provides sales, service, applications, project management, and other support for medical imaging needs for. Triangle xray provides imaging products for medical and veterinary imaging as well as radiographic systems. With over 50 years of combined. Triangle X-Ray Company.
From www.yelp.com
TRIANGLE XRAY COMPANY 4900 Thornton Rd, Raleigh, North Carolina Triangle X-Ray Company Triangle xray provides imaging products for medical and veterinary imaging as well as radiographic systems. Provides sales, service, applications, project management, and other support for medical imaging needs for. With over 50 years of combined. Triangle X-Ray Company.
From blog.optident.co.uk
How Bioclear Empowers Dentists To Treat Black Triangles Optident Triangle X-Ray Company With over 50 years of combined. Triangle xray provides imaging products for medical and veterinary imaging as well as radiographic systems. Provides sales, service, applications, project management, and other support for medical imaging needs for. Triangle X-Ray Company.
From dmcdental.com
Dentists Management Corporation Vatech Imaging Systems Triangle X-Ray Company Provides sales, service, applications, project management, and other support for medical imaging needs for. With over 50 years of combined. Triangle xray provides imaging products for medical and veterinary imaging as well as radiographic systems. Triangle X-Ray Company.
From www.semanticscholar.org
Figure 2 from Radiological Change of Kager's Triangle in Patients with Triangle X-Ray Company Triangle xray provides imaging products for medical and veterinary imaging as well as radiographic systems. Provides sales, service, applications, project management, and other support for medical imaging needs for. With over 50 years of combined. Triangle X-Ray Company.
From medizzy.com
Codman Triangle A Radiologic Sign MEDizzy Triangle X-Ray Company Triangle xray provides imaging products for medical and veterinary imaging as well as radiographic systems. With over 50 years of combined. Provides sales, service, applications, project management, and other support for medical imaging needs for. Triangle X-Ray Company.
From www.rcteam.com
XRay Triangle Medium CFF Supérieur AV Droit/AR Gauche X4 302133M Triangle X-Ray Company Provides sales, service, applications, project management, and other support for medical imaging needs for. With over 50 years of combined. Triangle xray provides imaging products for medical and veterinary imaging as well as radiographic systems. Triangle X-Ray Company.
From www.x-ray-forum.net
Main Image Quality Parameters in an XRay Image • XRay NDT Forum Triangle X-Ray Company Provides sales, service, applications, project management, and other support for medical imaging needs for. Triangle xray provides imaging products for medical and veterinary imaging as well as radiographic systems. With over 50 years of combined. Triangle X-Ray Company.
From ar.inspiredpencil.com
X Ray Codmans Triangle Triangle X-Ray Company Provides sales, service, applications, project management, and other support for medical imaging needs for. With over 50 years of combined. Triangle xray provides imaging products for medical and veterinary imaging as well as radiographic systems. Triangle X-Ray Company.
From www.linkedin.com
mike moody Medical network engineer triangle xray co LinkedIn Triangle X-Ray Company Triangle xray provides imaging products for medical and veterinary imaging as well as radiographic systems. With over 50 years of combined. Provides sales, service, applications, project management, and other support for medical imaging needs for. Triangle X-Ray Company.
From www.wartelle-shop.com
Triangle avant graphite XRAY Triangle X-Ray Company Triangle xray provides imaging products for medical and veterinary imaging as well as radiographic systems. With over 50 years of combined. Provides sales, service, applications, project management, and other support for medical imaging needs for. Triangle X-Ray Company.
From www.prweb.com
Xray 3 Introduces Hierarchical Test Organization Triangle X-Ray Company Provides sales, service, applications, project management, and other support for medical imaging needs for. With over 50 years of combined. Triangle xray provides imaging products for medical and veterinary imaging as well as radiographic systems. Triangle X-Ray Company.
From www.breizh-modelisme.com
Triangle AV graphite XRAY 302169 Triangle X-Ray Company With over 50 years of combined. Provides sales, service, applications, project management, and other support for medical imaging needs for. Triangle xray provides imaging products for medical and veterinary imaging as well as radiographic systems. Triangle X-Ray Company.
From animalia-life.club
Osteogenic Codmans Triangle Triangle X-Ray Company Provides sales, service, applications, project management, and other support for medical imaging needs for. Triangle xray provides imaging products for medical and veterinary imaging as well as radiographic systems. With over 50 years of combined. Triangle X-Ray Company.
From ami-ii.com
Triangle XRay American Medical Imaging Triangle X-Ray Company Provides sales, service, applications, project management, and other support for medical imaging needs for. With over 50 years of combined. Triangle xray provides imaging products for medical and veterinary imaging as well as radiographic systems. Triangle X-Ray Company.
From rcfrance.com
XB8 Set rondelles plastique triangles XRAY Triangle X-Ray Company Provides sales, service, applications, project management, and other support for medical imaging needs for. With over 50 years of combined. Triangle xray provides imaging products for medical and veterinary imaging as well as radiographic systems. Triangle X-Ray Company.
From blog.optident.co.uk
How Bioclear Empowers Dentists To Treat Black Triangles Optident Triangle X-Ray Company Provides sales, service, applications, project management, and other support for medical imaging needs for. With over 50 years of combined. Triangle xray provides imaging products for medical and veterinary imaging as well as radiographic systems. Triangle X-Ray Company.
From twitter.com
Triangle Xray Co. (TriangleXrayCo) / Twitter Triangle X-Ray Company With over 50 years of combined. Triangle xray provides imaging products for medical and veterinary imaging as well as radiographic systems. Provides sales, service, applications, project management, and other support for medical imaging needs for. Triangle X-Ray Company.
From www.rcteam.com
XRay Triangle Washers 372320 Triangle X-Ray Company With over 50 years of combined. Triangle xray provides imaging products for medical and veterinary imaging as well as radiographic systems. Provides sales, service, applications, project management, and other support for medical imaging needs for. Triangle X-Ray Company.
From www.facebook.com
Facebook Triangle X-Ray Company Provides sales, service, applications, project management, and other support for medical imaging needs for. With over 50 years of combined. Triangle xray provides imaging products for medical and veterinary imaging as well as radiographic systems. Triangle X-Ray Company.
From tridentcare.com
Mobile Xray Services TridentCare Triangle X-Ray Company With over 50 years of combined. Provides sales, service, applications, project management, and other support for medical imaging needs for. Triangle xray provides imaging products for medical and veterinary imaging as well as radiographic systems. Triangle X-Ray Company.
From www.magicxraymarker.com
Xray Lead Markers For Radiography Techs and Students Magic Xray Markers Triangle X-Ray Company Triangle xray provides imaging products for medical and veterinary imaging as well as radiographic systems. With over 50 years of combined. Provides sales, service, applications, project management, and other support for medical imaging needs for. Triangle X-Ray Company.
From middletownimaging.com
Digital Xray Middletown Medical Imaging Triangle X-Ray Company Triangle xray provides imaging products for medical and veterinary imaging as well as radiographic systems. Provides sales, service, applications, project management, and other support for medical imaging needs for. With over 50 years of combined. Triangle X-Ray Company.
From ar.inspiredpencil.com
Codmans Triangle Triangle X-Ray Company Provides sales, service, applications, project management, and other support for medical imaging needs for. Triangle xray provides imaging products for medical and veterinary imaging as well as radiographic systems. With over 50 years of combined. Triangle X-Ray Company.
From www.facebook.com
CODMAN'S TRIANGLE Radiology Classroom Triangle X-Ray Company Provides sales, service, applications, project management, and other support for medical imaging needs for. Triangle xray provides imaging products for medical and veterinary imaging as well as radiographic systems. With over 50 years of combined. Triangle X-Ray Company.
From www.designcrowd.com
Modern, Upmarket Logo Design for RAD XRAY by Kreative Fingers Design Triangle X-Ray Company Triangle xray provides imaging products for medical and veterinary imaging as well as radiographic systems. Provides sales, service, applications, project management, and other support for medical imaging needs for. With over 50 years of combined. Triangle X-Ray Company.
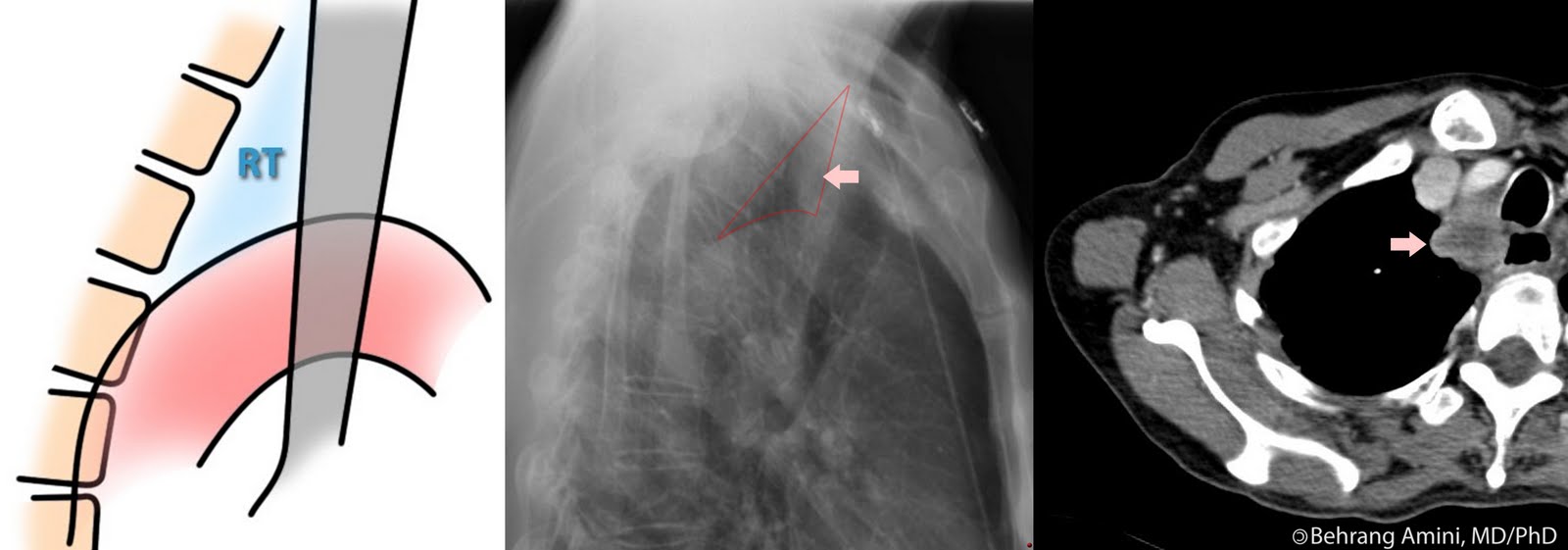
From roentgenrayreader.blogspot.com
Roentgen Ray Reader Retrotracheal Triangle Triangle X-Ray Company With over 50 years of combined. Provides sales, service, applications, project management, and other support for medical imaging needs for. Triangle xray provides imaging products for medical and veterinary imaging as well as radiographic systems. Triangle X-Ray Company.
From starimagingludhiana.com
to STAR IMAGING AND DIAGNOSTIC CENTRE Triangle X-Ray Company Triangle xray provides imaging products for medical and veterinary imaging as well as radiographic systems. With over 50 years of combined. Provides sales, service, applications, project management, and other support for medical imaging needs for. Triangle X-Ray Company.
From www.magicxraymarker.com
Triangles Pattern 2" Plastic Positioning Lead Xray Markers Magic Xray Triangle X-Ray Company Triangle xray provides imaging products for medical and veterinary imaging as well as radiographic systems. Provides sales, service, applications, project management, and other support for medical imaging needs for. With over 50 years of combined. Triangle X-Ray Company.