Masson Trichrome Kit . masson's trichrome stain kit is used to identify muscle, collagen fibers, fibrin and erythrocytes in tissue sections on the artisan. trichrome stain (masson) kit; staining with kit trichrome de masson, light green variation enables a trichromic station on histological sections with a specific. the ht15, trichrome (masson) kit, is intended for use in the study of connective tissue, muscle, and collagen fibers. trichrome stain kit (connective tissue stain) ab150686 is intended for use in the histological visualization of. le kit masson trichrome est utilisé pour la visualisation des muscles, des fibres de collagène, des tissus conjonctifs, des gamètes, des noyaux, des neurofibrilles, de la névroglie, du collagène, des fibrilles intracellulaires de kératine et de la visualisation négative de l'appareil de golgi.
from www.gbiosciences.com
the ht15, trichrome (masson) kit, is intended for use in the study of connective tissue, muscle, and collagen fibers. staining with kit trichrome de masson, light green variation enables a trichromic station on histological sections with a specific. trichrome stain (masson) kit; masson's trichrome stain kit is used to identify muscle, collagen fibers, fibrin and erythrocytes in tissue sections on the artisan. le kit masson trichrome est utilisé pour la visualisation des muscles, des fibres de collagène, des tissus conjonctifs, des gamètes, des noyaux, des neurofibrilles, de la névroglie, du collagène, des fibrilles intracellulaires de kératine et de la visualisation négative de l'appareil de golgi. trichrome stain kit (connective tissue stain) ab150686 is intended for use in the histological visualization of.
Masson's Trichrome Stain Kit, histological stain for connective tissue
Masson Trichrome Kit the ht15, trichrome (masson) kit, is intended for use in the study of connective tissue, muscle, and collagen fibers. le kit masson trichrome est utilisé pour la visualisation des muscles, des fibres de collagène, des tissus conjonctifs, des gamètes, des noyaux, des neurofibrilles, de la névroglie, du collagène, des fibrilles intracellulaires de kératine et de la visualisation négative de l'appareil de golgi. masson's trichrome stain kit is used to identify muscle, collagen fibers, fibrin and erythrocytes in tissue sections on the artisan. trichrome stain (masson) kit; staining with kit trichrome de masson, light green variation enables a trichromic station on histological sections with a specific. trichrome stain kit (connective tissue stain) ab150686 is intended for use in the histological visualization of. the ht15, trichrome (masson) kit, is intended for use in the study of connective tissue, muscle, and collagen fibers.
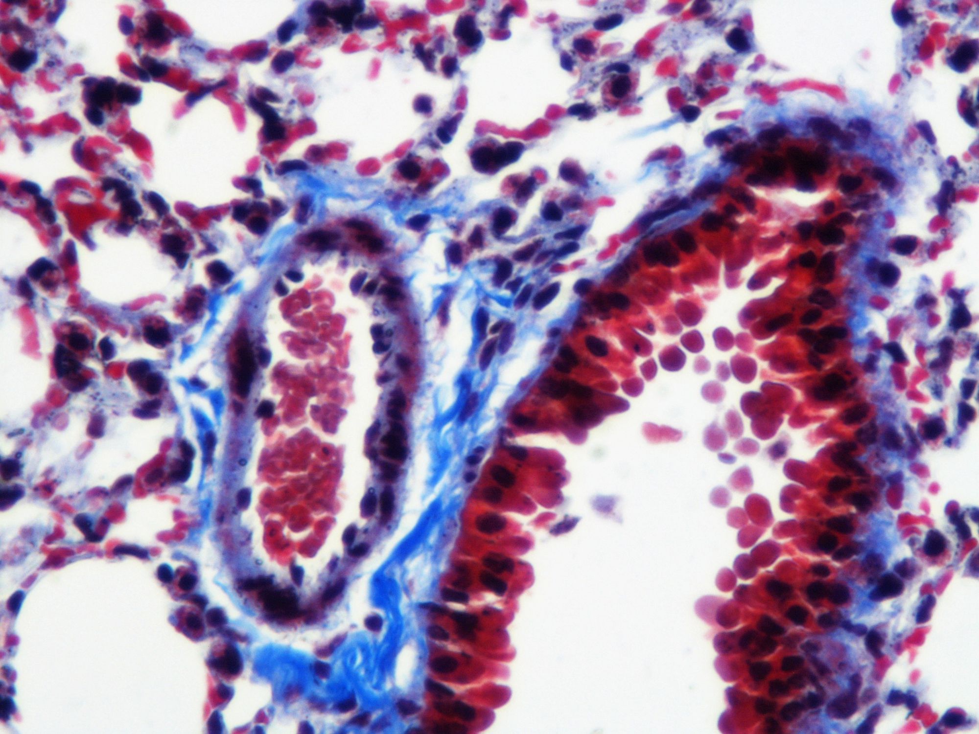
From vitrovivo.com
VitroView™ Verhoeff Elastic Masson Trichrome Stain Kit Masson Trichrome Kit masson's trichrome stain kit is used to identify muscle, collagen fibers, fibrin and erythrocytes in tissue sections on the artisan. trichrome stain (masson) kit; staining with kit trichrome de masson, light green variation enables a trichromic station on histological sections with a specific. trichrome stain kit (connective tissue stain) ab150686 is intended for use in the. Masson Trichrome Kit.
From www.fishersci.com
IMEB, Inc Masson Trichrome Stain Kit, Includes 1 8 Oz Bottle Masson Trichrome Kit trichrome stain kit (connective tissue stain) ab150686 is intended for use in the histological visualization of. staining with kit trichrome de masson, light green variation enables a trichromic station on histological sections with a specific. the ht15, trichrome (masson) kit, is intended for use in the study of connective tissue, muscle, and collagen fibers. trichrome stain. Masson Trichrome Kit.
From www.gbiosciences.com
Masson's Trichrome Stain Kit, histological stain for connective tissue Masson Trichrome Kit masson's trichrome stain kit is used to identify muscle, collagen fibers, fibrin and erythrocytes in tissue sections on the artisan. the ht15, trichrome (masson) kit, is intended for use in the study of connective tissue, muscle, and collagen fibers. trichrome stain kit (connective tissue stain) ab150686 is intended for use in the histological visualization of. staining. Masson Trichrome Kit.
From www.provision-labs.com
Kit Trichrome MassonGoldner VERT LUMIERE (100T) Masson Trichrome Kit trichrome stain (masson) kit; staining with kit trichrome de masson, light green variation enables a trichromic station on histological sections with a specific. le kit masson trichrome est utilisé pour la visualisation des muscles, des fibres de collagène, des tissus conjonctifs, des gamètes, des noyaux, des neurofibrilles, de la névroglie, du collagène, des fibrilles intracellulaires de kératine. Masson Trichrome Kit.
From bioquochem.com
KH07007 Masson’s Trichrome Stain Kit BQC Bioquochem Masson Trichrome Kit masson's trichrome stain kit is used to identify muscle, collagen fibers, fibrin and erythrocytes in tissue sections on the artisan. the ht15, trichrome (masson) kit, is intended for use in the study of connective tissue, muscle, and collagen fibers. trichrome stain (masson) kit; le kit masson trichrome est utilisé pour la visualisation des muscles, des fibres. Masson Trichrome Kit.
From www.provision-labs.com
Kit Trichrome de Masson (100Tests) Masson Trichrome Kit trichrome stain kit (connective tissue stain) ab150686 is intended for use in the histological visualization of. le kit masson trichrome est utilisé pour la visualisation des muscles, des fibres de collagène, des tissus conjonctifs, des gamètes, des noyaux, des neurofibrilles, de la névroglie, du collagène, des fibrilles intracellulaires de kératine et de la visualisation négative de l'appareil de. Masson Trichrome Kit.
From www.indiamart.com
SS01025 Masson''s Trichrome Stain Kit Biomarq Life Sciences Private Masson Trichrome Kit the ht15, trichrome (masson) kit, is intended for use in the study of connective tissue, muscle, and collagen fibers. staining with kit trichrome de masson, light green variation enables a trichromic station on histological sections with a specific. le kit masson trichrome est utilisé pour la visualisation des muscles, des fibres de collagène, des tissus conjonctifs, des. Masson Trichrome Kit.
From docslib.org
MassonGoldner Trichrome Staining Kit Staining Kit for the Masson Trichrome Kit trichrome stain (masson) kit; le kit masson trichrome est utilisé pour la visualisation des muscles, des fibres de collagène, des tissus conjonctifs, des gamètes, des noyaux, des neurofibrilles, de la névroglie, du collagène, des fibrilles intracellulaires de kératine et de la visualisation négative de l'appareil de golgi. the ht15, trichrome (masson) kit, is intended for use in. Masson Trichrome Kit.
From matthewsun.en.made-in-china.com
Masson′ S Trichrome Stain Kit China Masson′s Trichrome Stain and Masson Trichrome Kit trichrome stain kit (connective tissue stain) ab150686 is intended for use in the histological visualization of. the ht15, trichrome (masson) kit, is intended for use in the study of connective tissue, muscle, and collagen fibers. masson's trichrome stain kit is used to identify muscle, collagen fibers, fibrin and erythrocytes in tissue sections on the artisan. staining. Masson Trichrome Kit.
From coleparmer.com
TBS Special Histology Masson s Trichrome Staining Kit 2x250 mL 5x500 mL Masson Trichrome Kit masson's trichrome stain kit is used to identify muscle, collagen fibers, fibrin and erythrocytes in tissue sections on the artisan. trichrome stain kit (connective tissue stain) ab150686 is intended for use in the histological visualization of. staining with kit trichrome de masson, light green variation enables a trichromic station on histological sections with a specific. le. Masson Trichrome Kit.
From procure-net.com
Trichrome Stain (Masson) Kit HighQuality Solution for Accurate and Masson Trichrome Kit trichrome stain kit (connective tissue stain) ab150686 is intended for use in the histological visualization of. staining with kit trichrome de masson, light green variation enables a trichromic station on histological sections with a specific. trichrome stain (masson) kit; le kit masson trichrome est utilisé pour la visualisation des muscles, des fibres de collagène, des tissus. Masson Trichrome Kit.
From www.cellavision.com
Kit Trichrome de Masson, light green variation CellaVision Masson Trichrome Kit trichrome stain kit (connective tissue stain) ab150686 is intended for use in the histological visualization of. trichrome stain (masson) kit; staining with kit trichrome de masson, light green variation enables a trichromic station on histological sections with a specific. masson's trichrome stain kit is used to identify muscle, collagen fibers, fibrin and erythrocytes in tissue sections. Masson Trichrome Kit.
From vitrovivo.com
VitroView™ Verhoeff Elastic Masson Trichrome Stain Kit Masson Trichrome Kit masson's trichrome stain kit is used to identify muscle, collagen fibers, fibrin and erythrocytes in tissue sections on the artisan. staining with kit trichrome de masson, light green variation enables a trichromic station on histological sections with a specific. the ht15, trichrome (masson) kit, is intended for use in the study of connective tissue, muscle, and collagen. Masson Trichrome Kit.
From www.arkanlabs.com
MassonGoldner’s trichrome staining kit ( 1 ) Masson Trichrome Kit masson's trichrome stain kit is used to identify muscle, collagen fibers, fibrin and erythrocytes in tissue sections on the artisan. le kit masson trichrome est utilisé pour la visualisation des muscles, des fibres de collagène, des tissus conjonctifs, des gamètes, des noyaux, des neurofibrilles, de la névroglie, du collagène, des fibrilles intracellulaires de kératine et de la visualisation. Masson Trichrome Kit.
From bioquochem.com
KH07007 Masson’s Trichrome Stain Kit BQC Bioquochem Masson Trichrome Kit masson's trichrome stain kit is used to identify muscle, collagen fibers, fibrin and erythrocytes in tissue sections on the artisan. trichrome stain (masson) kit; le kit masson trichrome est utilisé pour la visualisation des muscles, des fibres de collagène, des tissus conjonctifs, des gamètes, des noyaux, des neurofibrilles, de la névroglie, du collagène, des fibrilles intracellulaires de. Masson Trichrome Kit.
From www.solmedialtd.com
MassonGoldner Trichrome kit Solmedia Masson Trichrome Kit trichrome stain (masson) kit; le kit masson trichrome est utilisé pour la visualisation des muscles, des fibres de collagène, des tissus conjonctifs, des gamètes, des noyaux, des neurofibrilles, de la névroglie, du collagène, des fibrilles intracellulaires de kératine et de la visualisation négative de l'appareil de golgi. trichrome stain kit (connective tissue stain) ab150686 is intended for. Masson Trichrome Kit.
From www.solmedialtd.com
Masson Trichrome kit Solmedia Masson Trichrome Kit le kit masson trichrome est utilisé pour la visualisation des muscles, des fibres de collagène, des tissus conjonctifs, des gamètes, des noyaux, des neurofibrilles, de la névroglie, du collagène, des fibrilles intracellulaires de kératine et de la visualisation négative de l'appareil de golgi. masson's trichrome stain kit is used to identify muscle, collagen fibers, fibrin and erythrocytes in. Masson Trichrome Kit.
From bioquochem.com
KH07007 Masson’s Trichrome Stain Kit BQC Bioquochem Masson Trichrome Kit masson's trichrome stain kit is used to identify muscle, collagen fibers, fibrin and erythrocytes in tissue sections on the artisan. staining with kit trichrome de masson, light green variation enables a trichromic station on histological sections with a specific. le kit masson trichrome est utilisé pour la visualisation des muscles, des fibres de collagène, des tissus conjonctifs,. Masson Trichrome Kit.
From www.biognost.com
Masson Trichrome kit Biognost Masson Trichrome Kit le kit masson trichrome est utilisé pour la visualisation des muscles, des fibres de collagène, des tissus conjonctifs, des gamètes, des noyaux, des neurofibrilles, de la névroglie, du collagène, des fibrilles intracellulaires de kératine et de la visualisation négative de l'appareil de golgi. staining with kit trichrome de masson, light green variation enables a trichromic station on histological. Masson Trichrome Kit.
From www.thomassci.com
Trichrome Stain Kit Masson's Masson Trichrome Kit masson's trichrome stain kit is used to identify muscle, collagen fibers, fibrin and erythrocytes in tissue sections on the artisan. staining with kit trichrome de masson, light green variation enables a trichromic station on histological sections with a specific. le kit masson trichrome est utilisé pour la visualisation des muscles, des fibres de collagène, des tissus conjonctifs,. Masson Trichrome Kit.
From www.bioz.com
Masson S Trichrome Staining Kit Polysciences inc Bioz Masson Trichrome Kit trichrome stain kit (connective tissue stain) ab150686 is intended for use in the histological visualization of. the ht15, trichrome (masson) kit, is intended for use in the study of connective tissue, muscle, and collagen fibers. le kit masson trichrome est utilisé pour la visualisation des muscles, des fibres de collagène, des tissus conjonctifs, des gamètes, des noyaux,. Masson Trichrome Kit.
From www.newcomersupply.com
Trichrome, Masson, Aniline Blue Histology Staining Kits Masson Trichrome Kit le kit masson trichrome est utilisé pour la visualisation des muscles, des fibres de collagène, des tissus conjonctifs, des gamètes, des noyaux, des neurofibrilles, de la névroglie, du collagène, des fibrilles intracellulaires de kératine et de la visualisation négative de l'appareil de golgi. the ht15, trichrome (masson) kit, is intended for use in the study of connective tissue,. Masson Trichrome Kit.
From vitrovivo.com
Trichrome Stain for FFPE And Frozen Tissue Slides Masson Trichrome Kit le kit masson trichrome est utilisé pour la visualisation des muscles, des fibres de collagène, des tissus conjonctifs, des gamètes, des noyaux, des neurofibrilles, de la névroglie, du collagène, des fibrilles intracellulaires de kératine et de la visualisation négative de l'appareil de golgi. staining with kit trichrome de masson, light green variation enables a trichromic station on histological. Masson Trichrome Kit.
From www.thomassci.com
Trichrome Stain Kit Masson's 2000 Masson Trichrome Kit trichrome stain kit (connective tissue stain) ab150686 is intended for use in the histological visualization of. masson's trichrome stain kit is used to identify muscle, collagen fibers, fibrin and erythrocytes in tissue sections on the artisan. trichrome stain (masson) kit; staining with kit trichrome de masson, light green variation enables a trichromic station on histological sections. Masson Trichrome Kit.
From www.labomoderne.com
Kit Trichrome de Masson Masson Trichrome Kit masson's trichrome stain kit is used to identify muscle, collagen fibers, fibrin and erythrocytes in tissue sections on the artisan. staining with kit trichrome de masson, light green variation enables a trichromic station on histological sections with a specific. trichrome stain (masson) kit; le kit masson trichrome est utilisé pour la visualisation des muscles, des fibres. Masson Trichrome Kit.
From www.medute.com
Richard Masson's Trichrome Stain Kit Each Allan Scientific 87019 Masson Trichrome Kit the ht15, trichrome (masson) kit, is intended for use in the study of connective tissue, muscle, and collagen fibers. staining with kit trichrome de masson, light green variation enables a trichromic station on histological sections with a specific. masson's trichrome stain kit is used to identify muscle, collagen fibers, fibrin and erythrocytes in tissue sections on the. Masson Trichrome Kit.
From www.itwreagents.com
Kit Tricrómico de Masson para diagnóstico clínico Masson Trichrome Kit the ht15, trichrome (masson) kit, is intended for use in the study of connective tissue, muscle, and collagen fibers. le kit masson trichrome est utilisé pour la visualisation des muscles, des fibres de collagène, des tissus conjonctifs, des gamètes, des noyaux, des neurofibrilles, de la névroglie, du collagène, des fibrilles intracellulaires de kératine et de la visualisation négative. Masson Trichrome Kit.
From studylib.es
Masson`s Trichrome Stain Kit Procedure Masson Trichrome Kit staining with kit trichrome de masson, light green variation enables a trichromic station on histological sections with a specific. le kit masson trichrome est utilisé pour la visualisation des muscles, des fibres de collagène, des tissus conjonctifs, des gamètes, des noyaux, des neurofibrilles, de la névroglie, du collagène, des fibrilles intracellulaires de kératine et de la visualisation négative. Masson Trichrome Kit.
From www.biognost.com
Masson Trichrome kit Biognost Masson Trichrome Kit trichrome stain kit (connective tissue stain) ab150686 is intended for use in the histological visualization of. masson's trichrome stain kit is used to identify muscle, collagen fibers, fibrin and erythrocytes in tissue sections on the artisan. the ht15, trichrome (masson) kit, is intended for use in the study of connective tissue, muscle, and collagen fibers. le. Masson Trichrome Kit.
From www.cancerdiagnostics.com
Trichrome Stain Kit (Modified Masson’s), Volume Optimized Cancer Masson Trichrome Kit staining with kit trichrome de masson, light green variation enables a trichromic station on histological sections with a specific. masson's trichrome stain kit is used to identify muscle, collagen fibers, fibrin and erythrocytes in tissue sections on the artisan. the ht15, trichrome (masson) kit, is intended for use in the study of connective tissue, muscle, and collagen. Masson Trichrome Kit.
From www.clinisciences.com
25088100 Masson's Trichrome Stain Kit Clinisciences Masson Trichrome Kit staining with kit trichrome de masson, light green variation enables a trichromic station on histological sections with a specific. the ht15, trichrome (masson) kit, is intended for use in the study of connective tissue, muscle, and collagen fibers. masson's trichrome stain kit is used to identify muscle, collagen fibers, fibrin and erythrocytes in tissue sections on the. Masson Trichrome Kit.
From www.scientificlabs.co.uk
Masson trichrome kit HT151KT SIGMAALDRICH SLS Masson Trichrome Kit trichrome stain kit (connective tissue stain) ab150686 is intended for use in the histological visualization of. trichrome stain (masson) kit; le kit masson trichrome est utilisé pour la visualisation des muscles, des fibres de collagène, des tissus conjonctifs, des gamètes, des noyaux, des neurofibrilles, de la névroglie, du collagène, des fibrilles intracellulaires de kératine et de la. Masson Trichrome Kit.
From www.medicalexpo.com
Masson’s trichrome reagent kit KH07007 Bioquochem for histology Masson Trichrome Kit trichrome stain kit (connective tissue stain) ab150686 is intended for use in the histological visualization of. le kit masson trichrome est utilisé pour la visualisation des muscles, des fibres de collagène, des tissus conjonctifs, des gamètes, des noyaux, des neurofibrilles, de la névroglie, du collagène, des fibrilles intracellulaires de kératine et de la visualisation négative de l'appareil de. Masson Trichrome Kit.
From vitrovivo.com
VitroView™ Verhoeff Elastic Masson Trichrome Stain Kit Masson Trichrome Kit trichrome stain kit (connective tissue stain) ab150686 is intended for use in the histological visualization of. le kit masson trichrome est utilisé pour la visualisation des muscles, des fibres de collagène, des tissus conjonctifs, des gamètes, des noyaux, des neurofibrilles, de la névroglie, du collagène, des fibrilles intracellulaires de kératine et de la visualisation négative de l'appareil de. Masson Trichrome Kit.
From www.newcomersupply.com
Trichrome, Masson, Fast Green Histology Staining Kits Masson Trichrome Kit le kit masson trichrome est utilisé pour la visualisation des muscles, des fibres de collagène, des tissus conjonctifs, des gamètes, des noyaux, des neurofibrilles, de la névroglie, du collagène, des fibrilles intracellulaires de kératine et de la visualisation négative de l'appareil de golgi. masson's trichrome stain kit is used to identify muscle, collagen fibers, fibrin and erythrocytes in. Masson Trichrome Kit.