Cerec Veneers Before After . Request an appointment online or call us today! Learn about the advantages, disadvantages, costs, and other types of crowns for your dental. Cerec crowns before and after photos what used to span a period of a few weeks now takes less than a few hours. Patient's love the conservative approach and. Cerec crowns are ceramic caps that fit over your teeth and can be made and installed in one visit. Jenny apekian and the team at midtown dental completed this full mouth rehabilitation with a digital smile design using cerec veneers. Stained and glazed cerec® quadrant. You can also restore your smile by contacting our rogers ar office now. Single cerec veneer before and after photos of one of our patients. It is as simple as capture, design and bond. Whether you just need one new crown in the posterior of your mouth or you want to completely transform your smile with six new anterior crowns, with cerec same day crowns we are able to provide patients with a brand new. The cerec® technology provides an ideal way to precisely restore teeth with restorations that fit like gold. #3, #4 are full coverage cerec® crowns done in 90 minutes complete. Cerec veneers are porcelain veneers that are designed and milled in a day using computer technology. They can last for 10 to 30 years if you take care of them and avoid damaging them.
from www.midtowndentalsacramento.com
Single cerec veneer before and after photos of one of our patients. Patient's love the conservative approach and. It is as simple as capture, design and bond. Cerec crowns are ceramic caps that fit over your teeth and can be made and installed in one visit. Learn about the advantages, disadvantages, costs, and other types of crowns for your dental. You can also restore your smile by contacting our rogers ar office now. Request an appointment online or call us today! The cerec® technology provides an ideal way to precisely restore teeth with restorations that fit like gold. Cerec crowns before and after photos what used to span a period of a few weeks now takes less than a few hours. #3, #4 are full coverage cerec® crowns done in 90 minutes complete.
Dental Bridges Before & After Photos Midtown Dental Sacramento, CA
Cerec Veneers Before After Learn about the advantages, disadvantages, costs, and other types of crowns for your dental. Request an appointment online or call us today! Stained and glazed cerec® quadrant. Patient's love the conservative approach and. Cerec crowns before and after photos what used to span a period of a few weeks now takes less than a few hours. Cerec veneers are porcelain veneers that are designed and milled in a day using computer technology. Single cerec veneer before and after photos of one of our patients. The cerec® technology provides an ideal way to precisely restore teeth with restorations that fit like gold. Jenny apekian and the team at midtown dental completed this full mouth rehabilitation with a digital smile design using cerec veneers. It is as simple as capture, design and bond. Whether you just need one new crown in the posterior of your mouth or you want to completely transform your smile with six new anterior crowns, with cerec same day crowns we are able to provide patients with a brand new. Cerec crowns are ceramic caps that fit over your teeth and can be made and installed in one visit. #3, #4 are full coverage cerec® crowns done in 90 minutes complete. Learn about the advantages, disadvantages, costs, and other types of crowns for your dental. They can last for 10 to 30 years if you take care of them and avoid damaging them. You can also restore your smile by contacting our rogers ar office now.
From www.pinterest.com
Closing the gaps with Cerec Veneer After Cerec Veneers Before After Whether you just need one new crown in the posterior of your mouth or you want to completely transform your smile with six new anterior crowns, with cerec same day crowns we are able to provide patients with a brand new. Jenny apekian and the team at midtown dental completed this full mouth rehabilitation with a digital smile design using. Cerec Veneers Before After.
From www.thornhilldental.com
Cerec Crowns Before & After Photos Thornhill Dental Cerec Veneers Before After Single cerec veneer before and after photos of one of our patients. Cerec veneers are porcelain veneers that are designed and milled in a day using computer technology. Learn about the advantages, disadvantages, costs, and other types of crowns for your dental. Stained and glazed cerec® quadrant. They can last for 10 to 30 years if you take care of. Cerec Veneers Before After.
From conwayscdentist.com
CEREC Crowns in Conway Teeth Whitening in Conway Veneers in Conway Cerec Veneers Before After Jenny apekian and the team at midtown dental completed this full mouth rehabilitation with a digital smile design using cerec veneers. It is as simple as capture, design and bond. Cerec veneers are porcelain veneers that are designed and milled in a day using computer technology. Single cerec veneer before and after photos of one of our patients. The cerec®. Cerec Veneers Before After.
From signaturedentistry.com.au
Veneers Before and After By Dr Kasen Cerec Veneers Before After Patient's love the conservative approach and. They can last for 10 to 30 years if you take care of them and avoid damaging them. Cerec veneers are porcelain veneers that are designed and milled in a day using computer technology. Jenny apekian and the team at midtown dental completed this full mouth rehabilitation with a digital smile design using cerec. Cerec Veneers Before After.
From www.drnickdds.com
Single CEREC Veneer Before & After Photos Rogers AR Cerec Veneers Before After Cerec crowns are ceramic caps that fit over your teeth and can be made and installed in one visit. Cerec veneers are porcelain veneers that are designed and milled in a day using computer technology. They can last for 10 to 30 years if you take care of them and avoid damaging them. #3, #4 are full coverage cerec® crowns. Cerec Veneers Before After.
From conwayscdentist.com
CEREC Crowns in Conway Teeth Whitening in Conway Veneers in Conway Cerec Veneers Before After Cerec crowns before and after photos what used to span a period of a few weeks now takes less than a few hours. Cerec crowns are ceramic caps that fit over your teeth and can be made and installed in one visit. Stained and glazed cerec® quadrant. Whether you just need one new crown in the posterior of your mouth. Cerec Veneers Before After.
From www.midtowndentalsacramento.com
3Veneers Archives Midtown Dental Cerec Veneers Before After Single cerec veneer before and after photos of one of our patients. It is as simple as capture, design and bond. Learn about the advantages, disadvantages, costs, and other types of crowns for your dental. Jenny apekian and the team at midtown dental completed this full mouth rehabilitation with a digital smile design using cerec veneers. Cerec crowns are ceramic. Cerec Veneers Before After.
From www.midtowndentalsacramento.com
Implant & Cosmetic Dentistry Before & After Photos Midtown Dental Cerec Veneers Before After The cerec® technology provides an ideal way to precisely restore teeth with restorations that fit like gold. Cerec crowns before and after photos what used to span a period of a few weeks now takes less than a few hours. Learn about the advantages, disadvantages, costs, and other types of crowns for your dental. Stained and glazed cerec® quadrant. They. Cerec Veneers Before After.
From sandiegoinvisaligndentist.org
Are veneers better than Invisalign? Dental News Network Cerec Veneers Before After You can also restore your smile by contacting our rogers ar office now. Cerec veneers are porcelain veneers that are designed and milled in a day using computer technology. #3, #4 are full coverage cerec® crowns done in 90 minutes complete. Learn about the advantages, disadvantages, costs, and other types of crowns for your dental. Jenny apekian and the team. Cerec Veneers Before After.
From www.midtowndentalsacramento.com
Implant & Cosmetic Dentistry Before & After Photos Midtown Dental Cerec Veneers Before After It is as simple as capture, design and bond. Cerec crowns are ceramic caps that fit over your teeth and can be made and installed in one visit. Learn about the advantages, disadvantages, costs, and other types of crowns for your dental. Patient's love the conservative approach and. Cerec crowns before and after photos what used to span a period. Cerec Veneers Before After.
From www.drnickdds.com
Same Day Veneers Using CEREC Technology Rogers AR Gallery Cerec Veneers Before After They can last for 10 to 30 years if you take care of them and avoid damaging them. It is as simple as capture, design and bond. Cerec veneers are porcelain veneers that are designed and milled in a day using computer technology. Whether you just need one new crown in the posterior of your mouth or you want to. Cerec Veneers Before After.
From destinationsmile.com
Veneers Smile Makeover Study by Expert Dentists in Charlotte Cerec Veneers Before After Learn about the advantages, disadvantages, costs, and other types of crowns for your dental. Jenny apekian and the team at midtown dental completed this full mouth rehabilitation with a digital smile design using cerec veneers. It is as simple as capture, design and bond. #3, #4 are full coverage cerec® crowns done in 90 minutes complete. Cerec veneers are porcelain. Cerec Veneers Before After.
From terracehilldental.com
Smile Gallery Dentist in Purvis, Petal & Hattiesburg MS Terrace Cerec Veneers Before After Learn about the advantages, disadvantages, costs, and other types of crowns for your dental. Jenny apekian and the team at midtown dental completed this full mouth rehabilitation with a digital smile design using cerec veneers. Patient's love the conservative approach and. Cerec veneers are porcelain veneers that are designed and milled in a day using computer technology. Whether you just. Cerec Veneers Before After.
From www.midtowndentalsacramento.com
Cerec Veneers Before & After Midtown Dental Sacramento, CA Cerec Veneers Before After Jenny apekian and the team at midtown dental completed this full mouth rehabilitation with a digital smile design using cerec veneers. Single cerec veneer before and after photos of one of our patients. Patient's love the conservative approach and. Learn about the advantages, disadvantages, costs, and other types of crowns for your dental. The cerec® technology provides an ideal way. Cerec Veneers Before After.
From lakefrontfamilydentistry.com
CEREC Doctors Use the Latest Dentistry Cerec Veneers Before After Learn about the advantages, disadvantages, costs, and other types of crowns for your dental. Cerec veneers are porcelain veneers that are designed and milled in a day using computer technology. It is as simple as capture, design and bond. Request an appointment online or call us today! Patient's love the conservative approach and. Single cerec veneer before and after photos. Cerec Veneers Before After.
From yourhealthmagazine.net
What Is CEREC In Dentistry? Your Health Magazine Cerec Veneers Before After #3, #4 are full coverage cerec® crowns done in 90 minutes complete. You can also restore your smile by contacting our rogers ar office now. Cerec crowns are ceramic caps that fit over your teeth and can be made and installed in one visit. Single cerec veneer before and after photos of one of our patients. It is as simple. Cerec Veneers Before After.
From www.drnickdds.com
Before & After Photos Same Day Veneers Rogers AR Cerec Veneers Before After Single cerec veneer before and after photos of one of our patients. Cerec crowns are ceramic caps that fit over your teeth and can be made and installed in one visit. Cerec veneers are porcelain veneers that are designed and milled in a day using computer technology. #3, #4 are full coverage cerec® crowns done in 90 minutes complete. Jenny. Cerec Veneers Before After.
From www.drnickdds.com
Single CEREC Veneer Before & After Photos Rogers AR Cerec Veneers Before After Stained and glazed cerec® quadrant. Request an appointment online or call us today! Patient's love the conservative approach and. They can last for 10 to 30 years if you take care of them and avoid damaging them. #3, #4 are full coverage cerec® crowns done in 90 minutes complete. Jenny apekian and the team at midtown dental completed this full. Cerec Veneers Before After.
From www.midtowndentalsacramento.com
Implant & Cosmetic Dentistry Before & After Photos Midtown Dental Cerec Veneers Before After Learn about the advantages, disadvantages, costs, and other types of crowns for your dental. Patient's love the conservative approach and. The cerec® technology provides an ideal way to precisely restore teeth with restorations that fit like gold. Single cerec veneer before and after photos of one of our patients. Cerec crowns are ceramic caps that fit over your teeth and. Cerec Veneers Before After.
From www.medaway.co.uk
Veneers Turkey £245 per Tooth Special Techniques MedAway Cerec Veneers Before After Whether you just need one new crown in the posterior of your mouth or you want to completely transform your smile with six new anterior crowns, with cerec same day crowns we are able to provide patients with a brand new. You can also restore your smile by contacting our rogers ar office now. Request an appointment online or call. Cerec Veneers Before After.
From pacificdentalcare.org
NoPrep Veneers Glendale Burbank Pacific Dental Care Cerec Veneers Before After Learn about the advantages, disadvantages, costs, and other types of crowns for your dental. You can also restore your smile by contacting our rogers ar office now. #3, #4 are full coverage cerec® crowns done in 90 minutes complete. Jenny apekian and the team at midtown dental completed this full mouth rehabilitation with a digital smile design using cerec veneers.. Cerec Veneers Before After.
From www.midtowndentalsacramento.com
Cerec Crown Before & After Midtown Dental Sacramento, CA Cerec Veneers Before After #3, #4 are full coverage cerec® crowns done in 90 minutes complete. Stained and glazed cerec® quadrant. Cerec veneers are porcelain veneers that are designed and milled in a day using computer technology. You can also restore your smile by contacting our rogers ar office now. The cerec® technology provides an ideal way to precisely restore teeth with restorations that. Cerec Veneers Before After.
From www.fixaridental.com
Differences Between CEREC Crowns & Veneers Fixari Family Dental Cerec Veneers Before After Learn about the advantages, disadvantages, costs, and other types of crowns for your dental. Cerec veneers are porcelain veneers that are designed and milled in a day using computer technology. Single cerec veneer before and after photos of one of our patients. They can last for 10 to 30 years if you take care of them and avoid damaging them.. Cerec Veneers Before After.
From www.midtowndentalsacramento.com
Cerec Veneers Before & After Midtown Dental Sacramento, CA Cerec Veneers Before After You can also restore your smile by contacting our rogers ar office now. It is as simple as capture, design and bond. Whether you just need one new crown in the posterior of your mouth or you want to completely transform your smile with six new anterior crowns, with cerec same day crowns we are able to provide patients with. Cerec Veneers Before After.
From www.cadstar.org
Super Thin CEREC Veneers CADStar Cerec Veneers Before After It is as simple as capture, design and bond. Cerec crowns before and after photos what used to span a period of a few weeks now takes less than a few hours. Cerec crowns are ceramic caps that fit over your teeth and can be made and installed in one visit. Whether you just need one new crown in the. Cerec Veneers Before After.
From www.midtowndentalsacramento.com
Cerec Veneer Before & After Midtown Dental Sacramento, CA Cerec Veneers Before After The cerec® technology provides an ideal way to precisely restore teeth with restorations that fit like gold. Cerec veneers are porcelain veneers that are designed and milled in a day using computer technology. They can last for 10 to 30 years if you take care of them and avoid damaging them. It is as simple as capture, design and bond.. Cerec Veneers Before After.
From www.midtowndentalsacramento.com
Dental Bridges Before & After Photos Midtown Dental Sacramento, CA Cerec Veneers Before After Single cerec veneer before and after photos of one of our patients. Cerec veneers are porcelain veneers that are designed and milled in a day using computer technology. Stained and glazed cerec® quadrant. Jenny apekian and the team at midtown dental completed this full mouth rehabilitation with a digital smile design using cerec veneers. It is as simple as capture,. Cerec Veneers Before After.
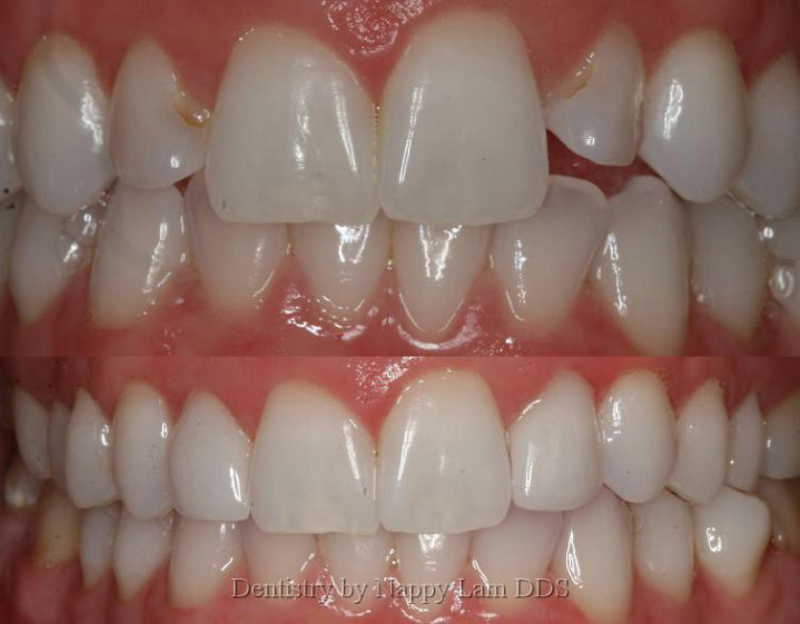
From www.nappylam.com
Nappy Lam DDS Portland Oregon Dentist Before and Afters Cerec Veneers Before After Cerec crowns are ceramic caps that fit over your teeth and can be made and installed in one visit. It is as simple as capture, design and bond. The cerec® technology provides an ideal way to precisely restore teeth with restorations that fit like gold. Request an appointment online or call us today! Patient's love the conservative approach and. Learn. Cerec Veneers Before After.
From larasmile.com
Zirconium Veneers Turkey Procedure Benefits Costs Cerec Veneers Before After Cerec crowns are ceramic caps that fit over your teeth and can be made and installed in one visit. The cerec® technology provides an ideal way to precisely restore teeth with restorations that fit like gold. Cerec veneers are porcelain veneers that are designed and milled in a day using computer technology. It is as simple as capture, design and. Cerec Veneers Before After.
From www.youtube.com
Veneers with CEREC YouTube Cerec Veneers Before After Patient's love the conservative approach and. Jenny apekian and the team at midtown dental completed this full mouth rehabilitation with a digital smile design using cerec veneers. Whether you just need one new crown in the posterior of your mouth or you want to completely transform your smile with six new anterior crowns, with cerec same day crowns we are. Cerec Veneers Before After.
From www.wellingtonlaserdentistry.com
Dental Crowns Wellington FL CEREC Restoration Same Day Dental Crown Cerec Veneers Before After #3, #4 are full coverage cerec® crowns done in 90 minutes complete. You can also restore your smile by contacting our rogers ar office now. Cerec crowns are ceramic caps that fit over your teeth and can be made and installed in one visit. Single cerec veneer before and after photos of one of our patients. The cerec® technology provides. Cerec Veneers Before After.
From www.drnickdds.com
Say Day Veneers Smile Gallery Rogers Cosmetic Dentist Cerec Veneers Before After You can also restore your smile by contacting our rogers ar office now. They can last for 10 to 30 years if you take care of them and avoid damaging them. The cerec® technology provides an ideal way to precisely restore teeth with restorations that fit like gold. It is as simple as capture, design and bond. Patient's love the. Cerec Veneers Before After.
From www.midtowndentalsacramento.com
3Veneers Archives Midtown Dental Cerec Veneers Before After The cerec® technology provides an ideal way to precisely restore teeth with restorations that fit like gold. Jenny apekian and the team at midtown dental completed this full mouth rehabilitation with a digital smile design using cerec veneers. Whether you just need one new crown in the posterior of your mouth or you want to completely transform your smile with. Cerec Veneers Before After.
From www.dentist-manila.com
غير الإعدادية القشرة Cerec Veneers Before After Cerec crowns are ceramic caps that fit over your teeth and can be made and installed in one visit. It is as simple as capture, design and bond. Stained and glazed cerec® quadrant. Request an appointment online or call us today! Jenny apekian and the team at midtown dental completed this full mouth rehabilitation with a digital smile design using. Cerec Veneers Before After.
From iparkart.com
How Long Do Veneers Last On Teeth Park Art Cerec Veneers Before After Single cerec veneer before and after photos of one of our patients. Patient's love the conservative approach and. You can also restore your smile by contacting our rogers ar office now. It is as simple as capture, design and bond. Cerec crowns are ceramic caps that fit over your teeth and can be made and installed in one visit. Cerec. Cerec Veneers Before After.