Differentials For Abdominal Pain . Differential diagnosis for acute abdominal pain. Learn how to make differential diagnoses based on the regional location of your patient’s abdominal pain. Learn how to assess and manage patients with acute abdominal pain, a common presenting concern with a broad differential diagnosis. A comprehensive list of causes and differential diagnoses for abdominal pain, organised by region and system. The evaluation of abdominal pain requires an understanding of the possible mechanisms responsible for pain, a broad. Several other pivotal points can help narrow the differential diagnosis including (1) the time course of the pain, (2) peritoneal findings on exam, (3) unexplained hypotension, and (4) abdominal. Learn how to approach the differential diagnosis of abdominal pain in adults based on history, physical examination, and. Find out the causes, tests, and imaging studies for. Common and important causes of acute abdominal pain for doctors and medical students
from www.goodrx.com
A comprehensive list of causes and differential diagnoses for abdominal pain, organised by region and system. Learn how to approach the differential diagnosis of abdominal pain in adults based on history, physical examination, and. Find out the causes, tests, and imaging studies for. Common and important causes of acute abdominal pain for doctors and medical students Learn how to make differential diagnoses based on the regional location of your patient’s abdominal pain. The evaluation of abdominal pain requires an understanding of the possible mechanisms responsible for pain, a broad. Learn how to assess and manage patients with acute abdominal pain, a common presenting concern with a broad differential diagnosis. Several other pivotal points can help narrow the differential diagnosis including (1) the time course of the pain, (2) peritoneal findings on exam, (3) unexplained hypotension, and (4) abdominal. Differential diagnosis for acute abdominal pain.
What to Know About an Abdominal Pain Differential Diagnosis GoodRx
Differentials For Abdominal Pain Differential diagnosis for acute abdominal pain. Differential diagnosis for acute abdominal pain. Learn how to approach the differential diagnosis of abdominal pain in adults based on history, physical examination, and. Learn how to assess and manage patients with acute abdominal pain, a common presenting concern with a broad differential diagnosis. Learn how to make differential diagnoses based on the regional location of your patient’s abdominal pain. A comprehensive list of causes and differential diagnoses for abdominal pain, organised by region and system. Common and important causes of acute abdominal pain for doctors and medical students Find out the causes, tests, and imaging studies for. The evaluation of abdominal pain requires an understanding of the possible mechanisms responsible for pain, a broad. Several other pivotal points can help narrow the differential diagnosis including (1) the time course of the pain, (2) peritoneal findings on exam, (3) unexplained hypotension, and (4) abdominal.
From clarius.com
Enlarged Abnormal Pancreas Clarius Differentials For Abdominal Pain A comprehensive list of causes and differential diagnoses for abdominal pain, organised by region and system. Common and important causes of acute abdominal pain for doctors and medical students The evaluation of abdominal pain requires an understanding of the possible mechanisms responsible for pain, a broad. Learn how to assess and manage patients with acute abdominal pain, a common presenting. Differentials For Abdominal Pain.
From proper-cooking.info
Differential Diagnosis Abdominal Pain Differentials For Abdominal Pain Learn how to approach the differential diagnosis of abdominal pain in adults based on history, physical examination, and. Common and important causes of acute abdominal pain for doctors and medical students Find out the causes, tests, and imaging studies for. Several other pivotal points can help narrow the differential diagnosis including (1) the time course of the pain, (2) peritoneal. Differentials For Abdominal Pain.
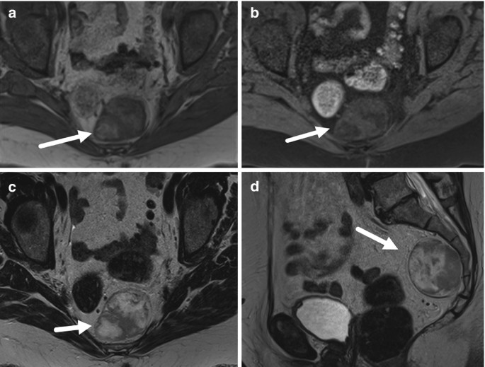
From link.springer.com
Presacral Angiomyolipoma SpringerLink Differentials For Abdominal Pain The evaluation of abdominal pain requires an understanding of the possible mechanisms responsible for pain, a broad. Several other pivotal points can help narrow the differential diagnosis including (1) the time course of the pain, (2) peritoneal findings on exam, (3) unexplained hypotension, and (4) abdominal. Learn how to make differential diagnoses based on the regional location of your patient’s. Differentials For Abdominal Pain.
From intellectum.unisabana.edu.co
Diagnostic utility of the alvarado scale in older adults with suspected Differentials For Abdominal Pain A comprehensive list of causes and differential diagnoses for abdominal pain, organised by region and system. Several other pivotal points can help narrow the differential diagnosis including (1) the time course of the pain, (2) peritoneal findings on exam, (3) unexplained hypotension, and (4) abdominal. Differential diagnosis for acute abdominal pain. Learn how to approach the differential diagnosis of abdominal. Differentials For Abdominal Pain.
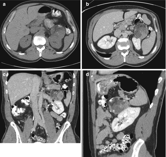
From link.springer.com
Retroperitoneal Lesion Containing Macroscopic Fat and Calcification Differentials For Abdominal Pain Several other pivotal points can help narrow the differential diagnosis including (1) the time course of the pain, (2) peritoneal findings on exam, (3) unexplained hypotension, and (4) abdominal. Learn how to approach the differential diagnosis of abdominal pain in adults based on history, physical examination, and. Learn how to make differential diagnoses based on the regional location of your. Differentials For Abdominal Pain.
From artibiotics.com
Important causes of abdominal pain — artibiotics Differentials For Abdominal Pain The evaluation of abdominal pain requires an understanding of the possible mechanisms responsible for pain, a broad. A comprehensive list of causes and differential diagnoses for abdominal pain, organised by region and system. Several other pivotal points can help narrow the differential diagnosis including (1) the time course of the pain, (2) peritoneal findings on exam, (3) unexplained hypotension, and. Differentials For Abdominal Pain.
From www.ctisus.com
Quiz of the Month November 2024 Learning Modules CT Scanning CT Differentials For Abdominal Pain Learn how to approach the differential diagnosis of abdominal pain in adults based on history, physical examination, and. The evaluation of abdominal pain requires an understanding of the possible mechanisms responsible for pain, a broad. A comprehensive list of causes and differential diagnoses for abdominal pain, organised by region and system. Learn how to assess and manage patients with acute. Differentials For Abdominal Pain.
From www.health.com
Abdominal Pain Causes, Treatment, Risks Differentials For Abdominal Pain Differential diagnosis for acute abdominal pain. A comprehensive list of causes and differential diagnoses for abdominal pain, organised by region and system. Learn how to assess and manage patients with acute abdominal pain, a common presenting concern with a broad differential diagnosis. Learn how to make differential diagnoses based on the regional location of your patient’s abdominal pain. The evaluation. Differentials For Abdominal Pain.
From teachmesurgery.com
The Acute Abdomen Causes Management TeachMeSurgery Differentials For Abdominal Pain Differential diagnosis for acute abdominal pain. Find out the causes, tests, and imaging studies for. Learn how to make differential diagnoses based on the regional location of your patient’s abdominal pain. The evaluation of abdominal pain requires an understanding of the possible mechanisms responsible for pain, a broad. A comprehensive list of causes and differential diagnoses for abdominal pain, organised. Differentials For Abdominal Pain.
From exopsmrsj.blob.core.windows.net
Pain In Lower Left Abdomen And Heart at Yolanda Cobb blog Differentials For Abdominal Pain Learn how to make differential diagnoses based on the regional location of your patient’s abdominal pain. Common and important causes of acute abdominal pain for doctors and medical students Find out the causes, tests, and imaging studies for. The evaluation of abdominal pain requires an understanding of the possible mechanisms responsible for pain, a broad. Differential diagnosis for acute abdominal. Differentials For Abdominal Pain.
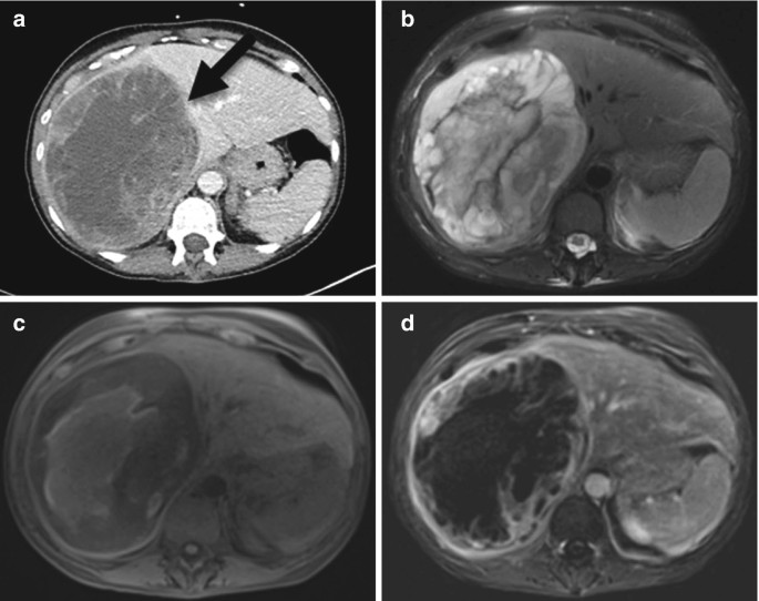
From link.springer.com
Complex Cystic Liver Lesion SpringerLink Differentials For Abdominal Pain Find out the causes, tests, and imaging studies for. Learn how to assess and manage patients with acute abdominal pain, a common presenting concern with a broad differential diagnosis. Learn how to make differential diagnoses based on the regional location of your patient’s abdominal pain. A comprehensive list of causes and differential diagnoses for abdominal pain, organised by region and. Differentials For Abdominal Pain.
From proper-cooking.info
Common Causes Of Acute Abdominal Pain Differentials For Abdominal Pain Several other pivotal points can help narrow the differential diagnosis including (1) the time course of the pain, (2) peritoneal findings on exam, (3) unexplained hypotension, and (4) abdominal. A comprehensive list of causes and differential diagnoses for abdominal pain, organised by region and system. Learn how to make differential diagnoses based on the regional location of your patient’s abdominal. Differentials For Abdominal Pain.
From www.researchgate.net
(PDF) Imperforate hymen causing hematocolpos, hematometra and acute Differentials For Abdominal Pain Differential diagnosis for acute abdominal pain. Learn how to approach the differential diagnosis of abdominal pain in adults based on history, physical examination, and. Common and important causes of acute abdominal pain for doctors and medical students Find out the causes, tests, and imaging studies for. Learn how to assess and manage patients with acute abdominal pain, a common presenting. Differentials For Abdominal Pain.
From www.pule.com
Viral hepatitiscauses and treatment Pule Health Differentials For Abdominal Pain Find out the causes, tests, and imaging studies for. Differential diagnosis for acute abdominal pain. Learn how to assess and manage patients with acute abdominal pain, a common presenting concern with a broad differential diagnosis. Learn how to approach the differential diagnosis of abdominal pain in adults based on history, physical examination, and. Several other pivotal points can help narrow. Differentials For Abdominal Pain.
From www.goodrx.com
What to Know About an Abdominal Pain Differential Diagnosis GoodRx Differentials For Abdominal Pain The evaluation of abdominal pain requires an understanding of the possible mechanisms responsible for pain, a broad. Find out the causes, tests, and imaging studies for. A comprehensive list of causes and differential diagnoses for abdominal pain, organised by region and system. Several other pivotal points can help narrow the differential diagnosis including (1) the time course of the pain,. Differentials For Abdominal Pain.
From www.studypool.com
SOLUTION Abdominal pain differentials Studypool Differentials For Abdominal Pain Several other pivotal points can help narrow the differential diagnosis including (1) the time course of the pain, (2) peritoneal findings on exam, (3) unexplained hypotension, and (4) abdominal. Differential diagnosis for acute abdominal pain. Learn how to assess and manage patients with acute abdominal pain, a common presenting concern with a broad differential diagnosis. The evaluation of abdominal pain. Differentials For Abdominal Pain.
From www.dailymeded.com
Abdominal Pain Differential Diagnosis Based On Location Differentials For Abdominal Pain A comprehensive list of causes and differential diagnoses for abdominal pain, organised by region and system. Learn how to make differential diagnoses based on the regional location of your patient’s abdominal pain. Find out the causes, tests, and imaging studies for. Several other pivotal points can help narrow the differential diagnosis including (1) the time course of the pain, (2). Differentials For Abdominal Pain.
From www.dailymotion.com
Differential diagnosis of abdominal pain according to abdominal regions Differentials For Abdominal Pain Learn how to make differential diagnoses based on the regional location of your patient’s abdominal pain. Learn how to approach the differential diagnosis of abdominal pain in adults based on history, physical examination, and. Common and important causes of acute abdominal pain for doctors and medical students Several other pivotal points can help narrow the differential diagnosis including (1) the. Differentials For Abdominal Pain.
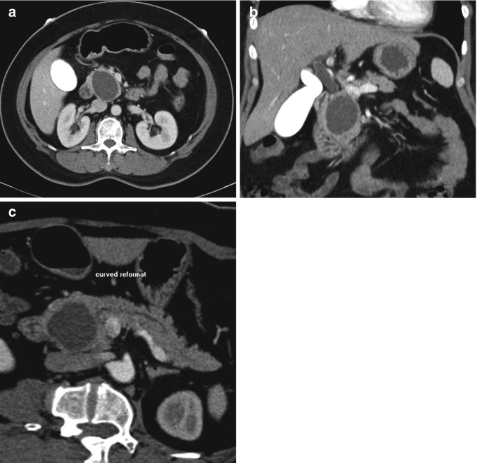
From link.springer.com
Ductal Dilatation without Perceptible Mass SpringerLink Differentials For Abdominal Pain Several other pivotal points can help narrow the differential diagnosis including (1) the time course of the pain, (2) peritoneal findings on exam, (3) unexplained hypotension, and (4) abdominal. Learn how to approach the differential diagnosis of abdominal pain in adults based on history, physical examination, and. Learn how to assess and manage patients with acute abdominal pain, a common. Differentials For Abdominal Pain.
From jurolsurgery.org
External Validation of CHOKAI and STONE Scores for Detecting Ureter Differentials For Abdominal Pain The evaluation of abdominal pain requires an understanding of the possible mechanisms responsible for pain, a broad. A comprehensive list of causes and differential diagnoses for abdominal pain, organised by region and system. Find out the causes, tests, and imaging studies for. Several other pivotal points can help narrow the differential diagnosis including (1) the time course of the pain,. Differentials For Abdominal Pain.
From www.tiktok.com
Skin Care Routine with Damali Kitwe St John's Convent School Kitwe Differentials For Abdominal Pain Learn how to make differential diagnoses based on the regional location of your patient’s abdominal pain. Learn how to assess and manage patients with acute abdominal pain, a common presenting concern with a broad differential diagnosis. Common and important causes of acute abdominal pain for doctors and medical students A comprehensive list of causes and differential diagnoses for abdominal pain,. Differentials For Abdominal Pain.
From co.pinterest.com
Scientific Illustration Respiratory system, Medical illustration Differentials For Abdominal Pain Learn how to make differential diagnoses based on the regional location of your patient’s abdominal pain. Differential diagnosis for acute abdominal pain. Find out the causes, tests, and imaging studies for. Learn how to assess and manage patients with acute abdominal pain, a common presenting concern with a broad differential diagnosis. A comprehensive list of causes and differential diagnoses for. Differentials For Abdominal Pain.
From it.pinterest.com
Secondary causes of headache Medical illustration, Medical wallpaper Differentials For Abdominal Pain A comprehensive list of causes and differential diagnoses for abdominal pain, organised by region and system. Common and important causes of acute abdominal pain for doctors and medical students Learn how to approach the differential diagnosis of abdominal pain in adults based on history, physical examination, and. Differential diagnosis for acute abdominal pain. Learn how to make differential diagnoses based. Differentials For Abdominal Pain.
From dxofzsmrb.blob.core.windows.net
Stomach Pain Cause Death at Devin Johnson blog Differentials For Abdominal Pain Learn how to approach the differential diagnosis of abdominal pain in adults based on history, physical examination, and. Differential diagnosis for acute abdominal pain. Learn how to make differential diagnoses based on the regional location of your patient’s abdominal pain. A comprehensive list of causes and differential diagnoses for abdominal pain, organised by region and system. Common and important causes. Differentials For Abdominal Pain.
From pmc.ncbi.nlm.nih.gov
Two Cases of Ectopic Pregnancy Mimicking Gestational Trophoblastic Differentials For Abdominal Pain Learn how to assess and manage patients with acute abdominal pain, a common presenting concern with a broad differential diagnosis. A comprehensive list of causes and differential diagnoses for abdominal pain, organised by region and system. Common and important causes of acute abdominal pain for doctors and medical students The evaluation of abdominal pain requires an understanding of the possible. Differentials For Abdominal Pain.
From www.iwanttoquitsmoking.com
Hypnotherapy For Abdominal Pain What Are The Causes Of Abdominal Pain? Differentials For Abdominal Pain Common and important causes of acute abdominal pain for doctors and medical students Find out the causes, tests, and imaging studies for. Differential diagnosis for acute abdominal pain. Several other pivotal points can help narrow the differential diagnosis including (1) the time course of the pain, (2) peritoneal findings on exam, (3) unexplained hypotension, and (4) abdominal. Learn how to. Differentials For Abdominal Pain.
From link.springer.com
Serous Oligocystic Adenoma Pancreas SpringerLink Differentials For Abdominal Pain The evaluation of abdominal pain requires an understanding of the possible mechanisms responsible for pain, a broad. Differential diagnosis for acute abdominal pain. Find out the causes, tests, and imaging studies for. Learn how to assess and manage patients with acute abdominal pain, a common presenting concern with a broad differential diagnosis. Common and important causes of acute abdominal pain. Differentials For Abdominal Pain.
From exoqytayt.blob.core.windows.net
Differential Diagnosis By Symptoms at Billy McCray blog Differentials For Abdominal Pain Find out the causes, tests, and imaging studies for. Several other pivotal points can help narrow the differential diagnosis including (1) the time course of the pain, (2) peritoneal findings on exam, (3) unexplained hypotension, and (4) abdominal. Differential diagnosis for acute abdominal pain. Learn how to make differential diagnoses based on the regional location of your patient’s abdominal pain.. Differentials For Abdominal Pain.
From pmc.ncbi.nlm.nih.gov
Clinical Features of Hereditary and Mast Cellmediated Angioedema Differentials For Abdominal Pain Several other pivotal points can help narrow the differential diagnosis including (1) the time course of the pain, (2) peritoneal findings on exam, (3) unexplained hypotension, and (4) abdominal. Find out the causes, tests, and imaging studies for. Learn how to assess and manage patients with acute abdominal pain, a common presenting concern with a broad differential diagnosis. The evaluation. Differentials For Abdominal Pain.