Is Riedel Lead Free . Why are thin wine glasses better? Riedel glasses are lead crystals but their lead content is well within the eu standards. Thin glasses do not obstruct with the taste of the wine in a way that allows you to sip the wine instead of gulping it accidentally. Are riedel items lead free? Not only are they made from crystal for everyday luxury, but they’re dishwasher safe for easy cleanup (as are many of riedel’s glasses, by the way). The addition of lead oxide gives the. Functional and versatile, these glasses were made to bring out the aromas and balance the tannins of all your favorite red wines. Since 2015 riedel is exclusively producing crystal glass, which is a high quality, brilliant material that does not use lead oxide as principle ingredient. Thick glass tend to widen the opening of the mouth.
from www.houzz.com
Why are thin wine glasses better? Since 2015 riedel is exclusively producing crystal glass, which is a high quality, brilliant material that does not use lead oxide as principle ingredient. The addition of lead oxide gives the. Functional and versatile, these glasses were made to bring out the aromas and balance the tannins of all your favorite red wines. Thick glass tend to widen the opening of the mouth. Thin glasses do not obstruct with the taste of the wine in a way that allows you to sip the wine instead of gulping it accidentally. Not only are they made from crystal for everyday luxury, but they’re dishwasher safe for easy cleanup (as are many of riedel’s glasses, by the way). Are riedel items lead free? Riedel glasses are lead crystals but their lead content is well within the eu standards.
Riedel Vinum Gourmet LeadFree Crystal 6 Pc Water Glass Set w/Waiter's
Is Riedel Lead Free Thick glass tend to widen the opening of the mouth. Are riedel items lead free? Not only are they made from crystal for everyday luxury, but they’re dishwasher safe for easy cleanup (as are many of riedel’s glasses, by the way). Functional and versatile, these glasses were made to bring out the aromas and balance the tannins of all your favorite red wines. Thin glasses do not obstruct with the taste of the wine in a way that allows you to sip the wine instead of gulping it accidentally. The addition of lead oxide gives the. Why are thin wine glasses better? Riedel glasses are lead crystals but their lead content is well within the eu standards. Since 2015 riedel is exclusively producing crystal glass, which is a high quality, brilliant material that does not use lead oxide as principle ingredient. Thick glass tend to widen the opening of the mouth.
From www.wineware.co.uk
Riedel Restaurant Extreme Pinot Noir Red Wine Glass 770ml 454/07 Is Riedel Lead Free Are riedel items lead free? Functional and versatile, these glasses were made to bring out the aromas and balance the tannins of all your favorite red wines. Not only are they made from crystal for everyday luxury, but they’re dishwasher safe for easy cleanup (as are many of riedel’s glasses, by the way). The addition of lead oxide gives the.. Is Riedel Lead Free.
From www.foundfeatherfarmshop.com
Stunning Vintage Riedel Lead Crystal Swirl Bowl Is Riedel Lead Free Are riedel items lead free? Not only are they made from crystal for everyday luxury, but they’re dishwasher safe for easy cleanup (as are many of riedel’s glasses, by the way). The addition of lead oxide gives the. Riedel glasses are lead crystals but their lead content is well within the eu standards. Thin glasses do not obstruct with the. Is Riedel Lead Free.
From www.riedel.com
RIEDEL The Wine Glass Company RIEDEL Is Riedel Lead Free The addition of lead oxide gives the. Functional and versatile, these glasses were made to bring out the aromas and balance the tannins of all your favorite red wines. Why are thin wine glasses better? Not only are they made from crystal for everyday luxury, but they’re dishwasher safe for easy cleanup (as are many of riedel’s glasses, by the. Is Riedel Lead Free.
From savagevines.co.uk
Riedel Happy O Optic Wine Glasses (4 Pack) Crystal Wine Glasses Is Riedel Lead Free Since 2015 riedel is exclusively producing crystal glass, which is a high quality, brilliant material that does not use lead oxide as principle ingredient. Why are thin wine glasses better? Functional and versatile, these glasses were made to bring out the aromas and balance the tannins of all your favorite red wines. Thick glass tend to widen the opening of. Is Riedel Lead Free.
From www.houzz.com
Riedel Vinum LeadFree Fine Crystal 6 Piece Water Glass Set w/Waiter's Is Riedel Lead Free Riedel glasses are lead crystals but their lead content is well within the eu standards. Functional and versatile, these glasses were made to bring out the aromas and balance the tannins of all your favorite red wines. Thick glass tend to widen the opening of the mouth. Why are thin wine glasses better? The addition of lead oxide gives the.. Is Riedel Lead Free.
From 7gadgets.com
Riedel HandMade Lead Crystal Curly Decanter Is Riedel Lead Free Not only are they made from crystal for everyday luxury, but they’re dishwasher safe for easy cleanup (as are many of riedel’s glasses, by the way). The addition of lead oxide gives the. Riedel glasses are lead crystals but their lead content is well within the eu standards. Functional and versatile, these glasses were made to bring out the aromas. Is Riedel Lead Free.
From cravelocal.com
Gourmet Gift Guide For Those Last Minute Holiday Shoppers Is Riedel Lead Free The addition of lead oxide gives the. Why are thin wine glasses better? Thick glass tend to widen the opening of the mouth. Not only are they made from crystal for everyday luxury, but they’re dishwasher safe for easy cleanup (as are many of riedel’s glasses, by the way). Riedel glasses are lead crystals but their lead content is well. Is Riedel Lead Free.
From www.raypcb.com
Lead Free Solder Vs Lead Solder Which is Better? RAYPCB Is Riedel Lead Free Since 2015 riedel is exclusively producing crystal glass, which is a high quality, brilliant material that does not use lead oxide as principle ingredient. Are riedel items lead free? Not only are they made from crystal for everyday luxury, but they’re dishwasher safe for easy cleanup (as are many of riedel’s glasses, by the way). Thick glass tend to widen. Is Riedel Lead Free.
From www.youtube.com
Leaded VS Lead Free(which one is the best for soldering) YouTube Is Riedel Lead Free Are riedel items lead free? Why are thin wine glasses better? Functional and versatile, these glasses were made to bring out the aromas and balance the tannins of all your favorite red wines. Thin glasses do not obstruct with the taste of the wine in a way that allows you to sip the wine instead of gulping it accidentally. Thick. Is Riedel Lead Free.
From ysg.com.sg
RIEDEL VINUM WATER NON LEAD (SET OF 2'S) 6416/02 Is Riedel Lead Free Since 2015 riedel is exclusively producing crystal glass, which is a high quality, brilliant material that does not use lead oxide as principle ingredient. Not only are they made from crystal for everyday luxury, but they’re dishwasher safe for easy cleanup (as are many of riedel’s glasses, by the way). Functional and versatile, these glasses were made to bring out. Is Riedel Lead Free.
From www.propertyroom.com
Riedel Lead Crystal Cobra Verde Limited Decanter With Wood Case and COA Is Riedel Lead Free Since 2015 riedel is exclusively producing crystal glass, which is a high quality, brilliant material that does not use lead oxide as principle ingredient. Thick glass tend to widen the opening of the mouth. Functional and versatile, these glasses were made to bring out the aromas and balance the tannins of all your favorite red wines. Riedel glasses are lead. Is Riedel Lead Free.
From in.pinterest.com
Riedel Vinum Martini Glasses Set of 2 5309 Martini, Martini glasses Is Riedel Lead Free Why are thin wine glasses better? Thin glasses do not obstruct with the taste of the wine in a way that allows you to sip the wine instead of gulping it accidentally. Not only are they made from crystal for everyday luxury, but they’re dishwasher safe for easy cleanup (as are many of riedel’s glasses, by the way). Are riedel. Is Riedel Lead Free.
From www.alibaba.com
Hotel Restaurant Lead Free Crystal Antique Riedel Small Wine Decanter Is Riedel Lead Free Why are thin wine glasses better? The addition of lead oxide gives the. Not only are they made from crystal for everyday luxury, but they’re dishwasher safe for easy cleanup (as are many of riedel’s glasses, by the way). Thin glasses do not obstruct with the taste of the wine in a way that allows you to sip the wine. Is Riedel Lead Free.
From www.pinterest.com
Pair of Josef Riedel Lead Crystal Duetto Curved Vintage Art Deco Is Riedel Lead Free Not only are they made from crystal for everyday luxury, but they’re dishwasher safe for easy cleanup (as are many of riedel’s glasses, by the way). Thick glass tend to widen the opening of the mouth. Why are thin wine glasses better? Are riedel items lead free? Functional and versatile, these glasses were made to bring out the aromas and. Is Riedel Lead Free.
From www.liveauctionworld.com
Qty 5 Boxes (12 glasses each 60 total) Riedel Viognier Crystal (Lead Is Riedel Lead Free Functional and versatile, these glasses were made to bring out the aromas and balance the tannins of all your favorite red wines. The addition of lead oxide gives the. Thin glasses do not obstruct with the taste of the wine in a way that allows you to sip the wine instead of gulping it accidentally. Riedel glasses are lead crystals. Is Riedel Lead Free.
From www.awardszone.com
24.75oz. Riedel Lead Crystal Vinum Burgundy CB 167S2 J Charles Crystal Is Riedel Lead Free Not only are they made from crystal for everyday luxury, but they’re dishwasher safe for easy cleanup (as are many of riedel’s glasses, by the way). Since 2015 riedel is exclusively producing crystal glass, which is a high quality, brilliant material that does not use lead oxide as principle ingredient. Why are thin wine glasses better? Functional and versatile, these. Is Riedel Lead Free.
From www.pinterest.com
Riedel Vivant 4pk Champagne Flute Set 9oz, Clear Champagne flutes Is Riedel Lead Free Are riedel items lead free? Thin glasses do not obstruct with the taste of the wine in a way that allows you to sip the wine instead of gulping it accidentally. Not only are they made from crystal for everyday luxury, but they’re dishwasher safe for easy cleanup (as are many of riedel’s glasses, by the way). Since 2015 riedel. Is Riedel Lead Free.
From www.foundfeatherfarmshop.com
Stunning Riedel Lead Crystal Vintage Beverage Pitcher Is Riedel Lead Free Thin glasses do not obstruct with the taste of the wine in a way that allows you to sip the wine instead of gulping it accidentally. Since 2015 riedel is exclusively producing crystal glass, which is a high quality, brilliant material that does not use lead oxide as principle ingredient. Not only are they made from crystal for everyday luxury,. Is Riedel Lead Free.
From srgwine.com.au
Riedel Ultra Decanter SRG Wine Is Riedel Lead Free Are riedel items lead free? Thick glass tend to widen the opening of the mouth. Functional and versatile, these glasses were made to bring out the aromas and balance the tannins of all your favorite red wines. Why are thin wine glasses better? Thin glasses do not obstruct with the taste of the wine in a way that allows you. Is Riedel Lead Free.
From khqa.com
Riedel Foundation grant supports improved dental care for those in need Is Riedel Lead Free Thick glass tend to widen the opening of the mouth. Riedel glasses are lead crystals but their lead content is well within the eu standards. Not only are they made from crystal for everyday luxury, but they’re dishwasher safe for easy cleanup (as are many of riedel’s glasses, by the way). Thin glasses do not obstruct with the taste of. Is Riedel Lead Free.
From yongestreetwinery.com
Riedel H2O Water, Whiskey and Juice Glass Set of 2 Yonge Street Winery Is Riedel Lead Free Riedel glasses are lead crystals but their lead content is well within the eu standards. Why are thin wine glasses better? Functional and versatile, these glasses were made to bring out the aromas and balance the tannins of all your favorite red wines. Are riedel items lead free? Since 2015 riedel is exclusively producing crystal glass, which is a high. Is Riedel Lead Free.
From www.pinterest.com
Riedel Accanto Lead Free Crystal 19.75 Oz Red Wine Glasses Set of 4 Is Riedel Lead Free Functional and versatile, these glasses were made to bring out the aromas and balance the tannins of all your favorite red wines. The addition of lead oxide gives the. Are riedel items lead free? Thick glass tend to widen the opening of the mouth. Riedel glasses are lead crystals but their lead content is well within the eu standards. Why. Is Riedel Lead Free.
From shopee.ph
Riedel Accanto White Wine Glass Lead Free Cyrstal Shopee Philippines Is Riedel Lead Free Thick glass tend to widen the opening of the mouth. The addition of lead oxide gives the. Why are thin wine glasses better? Thin glasses do not obstruct with the taste of the wine in a way that allows you to sip the wine instead of gulping it accidentally. Not only are they made from crystal for everyday luxury, but. Is Riedel Lead Free.
From www.pinterest.com
Bright offers a variety of Riedel's Restaurant series of leadfree Is Riedel Lead Free The addition of lead oxide gives the. Thick glass tend to widen the opening of the mouth. Functional and versatile, these glasses were made to bring out the aromas and balance the tannins of all your favorite red wines. Are riedel items lead free? Since 2015 riedel is exclusively producing crystal glass, which is a high quality, brilliant material that. Is Riedel Lead Free.
From www.foundfeatherfarmshop.com
Stunning Riedel Lead Crystal Vintage Beverage Pitcher Is Riedel Lead Free Why are thin wine glasses better? The addition of lead oxide gives the. Are riedel items lead free? Thick glass tend to widen the opening of the mouth. Since 2015 riedel is exclusively producing crystal glass, which is a high quality, brilliant material that does not use lead oxide as principle ingredient. Thin glasses do not obstruct with the taste. Is Riedel Lead Free.
From www.houzz.com
Riedel Vinum Gourmet LeadFree Crystal 6 Pc Water Glass Set w/Waiter's Is Riedel Lead Free Thick glass tend to widen the opening of the mouth. Not only are they made from crystal for everyday luxury, but they’re dishwasher safe for easy cleanup (as are many of riedel’s glasses, by the way). Are riedel items lead free? The addition of lead oxide gives the. Why are thin wine glasses better? Riedel glasses are lead crystals but. Is Riedel Lead Free.
From tamararubin.com
2013 Riedel Glass 300,000 ppm Lead. Leaded crystal should not be used Is Riedel Lead Free Riedel glasses are lead crystals but their lead content is well within the eu standards. The addition of lead oxide gives the. Are riedel items lead free? Not only are they made from crystal for everyday luxury, but they’re dishwasher safe for easy cleanup (as are many of riedel’s glasses, by the way). Thin glasses do not obstruct with the. Is Riedel Lead Free.
From www.pinterest.com
Authentic Riedel Ultra Magnum Decanter Wine Decanter Lead Etsy in Is Riedel Lead Free Why are thin wine glasses better? The addition of lead oxide gives the. Thick glass tend to widen the opening of the mouth. Since 2015 riedel is exclusively producing crystal glass, which is a high quality, brilliant material that does not use lead oxide as principle ingredient. Riedel glasses are lead crystals but their lead content is well within the. Is Riedel Lead Free.
From www.semissourian.com
Pujols belts out three home runs as Cardinals take 21 lead in World S... Is Riedel Lead Free Riedel glasses are lead crystals but their lead content is well within the eu standards. The addition of lead oxide gives the. Why are thin wine glasses better? Thin glasses do not obstruct with the taste of the wine in a way that allows you to sip the wine instead of gulping it accidentally. Thick glass tend to widen the. Is Riedel Lead Free.
From electronicshacks.com
Lead vs LeadFree Solder What’s the Difference? ElectronicsHacks Is Riedel Lead Free The addition of lead oxide gives the. Riedel glasses are lead crystals but their lead content is well within the eu standards. Functional and versatile, these glasses were made to bring out the aromas and balance the tannins of all your favorite red wines. Are riedel items lead free? Thin glasses do not obstruct with the taste of the wine. Is Riedel Lead Free.
From www.nordicnest.kr
리델 O 위스키 글라스 2개 세트 Riedel 리델 노르딕네스트 Is Riedel Lead Free Are riedel items lead free? Since 2015 riedel is exclusively producing crystal glass, which is a high quality, brilliant material that does not use lead oxide as principle ingredient. Not only are they made from crystal for everyday luxury, but they’re dishwasher safe for easy cleanup (as are many of riedel’s glasses, by the way). Thick glass tend to widen. Is Riedel Lead Free.
From www.nextpcb.com
Lead vs Leadfree Solder An Ultimate Guide NextPCB Is Riedel Lead Free Not only are they made from crystal for everyday luxury, but they’re dishwasher safe for easy cleanup (as are many of riedel’s glasses, by the way). Riedel glasses are lead crystals but their lead content is well within the eu standards. Functional and versatile, these glasses were made to bring out the aromas and balance the tannins of all your. Is Riedel Lead Free.
From www.foundfeatherfarmshop.com
Stunning Riedel Lead Crystal Vintage Beverage Pitcher Is Riedel Lead Free Since 2015 riedel is exclusively producing crystal glass, which is a high quality, brilliant material that does not use lead oxide as principle ingredient. Functional and versatile, these glasses were made to bring out the aromas and balance the tannins of all your favorite red wines. Why are thin wine glasses better? Are riedel items lead free? Not only are. Is Riedel Lead Free.
From www.cureus.com
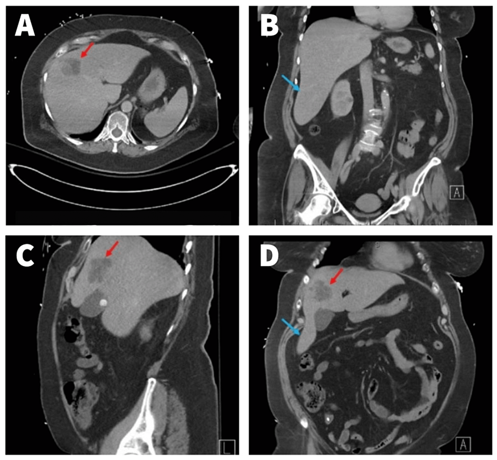
Incidental Finding of Riedel’s Lobe of the Liver and Intrahepatic Is Riedel Lead Free Riedel glasses are lead crystals but their lead content is well within the eu standards. Since 2015 riedel is exclusively producing crystal glass, which is a high quality, brilliant material that does not use lead oxide as principle ingredient. Thick glass tend to widen the opening of the mouth. Functional and versatile, these glasses were made to bring out the. Is Riedel Lead Free.
From www.latimes.com
Austrian wine glass company Riedel designs a glass specifically for Is Riedel Lead Free Thin glasses do not obstruct with the taste of the wine in a way that allows you to sip the wine instead of gulping it accidentally. Why are thin wine glasses better? Functional and versatile, these glasses were made to bring out the aromas and balance the tannins of all your favorite red wines. Since 2015 riedel is exclusively producing. Is Riedel Lead Free.