What Does Moderate Calcification Mean . Coronary artery calcification occurs when calcium deposits and other compounds build up in a person’s coronary artery. Coronary artery calcifications occur when calcium builds up in the arteries that supply blood to the heart. It measures the amount of calcified plaque (calcium) inside the walls of your heart’s arteries. Why is the test done? Your doctor may refer you for coronary artery calcium scoring following a heart health check. This buildup can lead to coronary artery disease and increases your risk of a heart. When your doctor tells you that you have calcified arteries, it is usually after you have had a coronary calcification scan. Moderate/severe coronary artery calcification (cac) predicts worse clinical outcomes in patients undergoing. A staging system for coronary artery disease, based on levels of plaque in the blood vessels, may help people begin treatment earlier and prevent cardiac events. Although the presence of cac can help predict the presence or absence of coronary artery.
from www.researchgate.net
When your doctor tells you that you have calcified arteries, it is usually after you have had a coronary calcification scan. Coronary artery calcifications occur when calcium builds up in the arteries that supply blood to the heart. It measures the amount of calcified plaque (calcium) inside the walls of your heart’s arteries. Why is the test done? This buildup can lead to coronary artery disease and increases your risk of a heart. Moderate/severe coronary artery calcification (cac) predicts worse clinical outcomes in patients undergoing. Your doctor may refer you for coronary artery calcium scoring following a heart health check. A staging system for coronary artery disease, based on levels of plaque in the blood vessels, may help people begin treatment earlier and prevent cardiac events. Although the presence of cac can help predict the presence or absence of coronary artery. Coronary artery calcification occurs when calcium deposits and other compounds build up in a person’s coronary artery.
The calcification is visible in the upper left abdomen. Download
What Does Moderate Calcification Mean Moderate/severe coronary artery calcification (cac) predicts worse clinical outcomes in patients undergoing. It measures the amount of calcified plaque (calcium) inside the walls of your heart’s arteries. Moderate/severe coronary artery calcification (cac) predicts worse clinical outcomes in patients undergoing. A staging system for coronary artery disease, based on levels of plaque in the blood vessels, may help people begin treatment earlier and prevent cardiac events. Coronary artery calcification occurs when calcium deposits and other compounds build up in a person’s coronary artery. Although the presence of cac can help predict the presence or absence of coronary artery. Why is the test done? This buildup can lead to coronary artery disease and increases your risk of a heart. Coronary artery calcifications occur when calcium builds up in the arteries that supply blood to the heart. Your doctor may refer you for coronary artery calcium scoring following a heart health check. When your doctor tells you that you have calcified arteries, it is usually after you have had a coronary calcification scan.
From onlinelibrary.wiley.com
Clinical of Hip Arthroscopy for Hip Labrum Calcification in What Does Moderate Calcification Mean Why is the test done? It measures the amount of calcified plaque (calcium) inside the walls of your heart’s arteries. Your doctor may refer you for coronary artery calcium scoring following a heart health check. Coronary artery calcifications occur when calcium builds up in the arteries that supply blood to the heart. Coronary artery calcification occurs when calcium deposits and. What Does Moderate Calcification Mean.
From pubs.rsna.org
Ordinal Scoring of Coronary Artery Calcifications on LowDose CT Scans What Does Moderate Calcification Mean Moderate/severe coronary artery calcification (cac) predicts worse clinical outcomes in patients undergoing. A staging system for coronary artery disease, based on levels of plaque in the blood vessels, may help people begin treatment earlier and prevent cardiac events. Although the presence of cac can help predict the presence or absence of coronary artery. Your doctor may refer you for coronary. What Does Moderate Calcification Mean.
From www.researchgate.net
pelvic Xray showing extensive soft tissue calcification Download What Does Moderate Calcification Mean A staging system for coronary artery disease, based on levels of plaque in the blood vessels, may help people begin treatment earlier and prevent cardiac events. Coronary artery calcification occurs when calcium deposits and other compounds build up in a person’s coronary artery. Why is the test done? Moderate/severe coronary artery calcification (cac) predicts worse clinical outcomes in patients undergoing.. What Does Moderate Calcification Mean.
From loepwhtaa.blob.core.windows.net
X Ray Shoulder Calcification at Nathan Moody blog What Does Moderate Calcification Mean Moderate/severe coronary artery calcification (cac) predicts worse clinical outcomes in patients undergoing. Why is the test done? This buildup can lead to coronary artery disease and increases your risk of a heart. When your doctor tells you that you have calcified arteries, it is usually after you have had a coronary calcification scan. Coronary artery calcification occurs when calcium deposits. What Does Moderate Calcification Mean.
From knalos.com
Coronary Artery Calcification Causes, Symptoms & Treatment (2023) What Does Moderate Calcification Mean Coronary artery calcifications occur when calcium builds up in the arteries that supply blood to the heart. Coronary artery calcification occurs when calcium deposits and other compounds build up in a person’s coronary artery. Why is the test done? Although the presence of cac can help predict the presence or absence of coronary artery. It measures the amount of calcified. What Does Moderate Calcification Mean.
From healthjade.net
Calcification definition & calcification in arteries, heart, lungs What Does Moderate Calcification Mean Moderate/severe coronary artery calcification (cac) predicts worse clinical outcomes in patients undergoing. When your doctor tells you that you have calcified arteries, it is usually after you have had a coronary calcification scan. Although the presence of cac can help predict the presence or absence of coronary artery. This buildup can lead to coronary artery disease and increases your risk. What Does Moderate Calcification Mean.
From www.researchgate.net
The calcification is visible in the upper left abdomen. Download What Does Moderate Calcification Mean A staging system for coronary artery disease, based on levels of plaque in the blood vessels, may help people begin treatment earlier and prevent cardiac events. It measures the amount of calcified plaque (calcium) inside the walls of your heart’s arteries. Why is the test done? Although the presence of cac can help predict the presence or absence of coronary. What Does Moderate Calcification Mean.
From casereports.bmj.com
Calcification on an XRay an important feature to recognise BMJ Case What Does Moderate Calcification Mean Coronary artery calcifications occur when calcium builds up in the arteries that supply blood to the heart. This buildup can lead to coronary artery disease and increases your risk of a heart. Your doctor may refer you for coronary artery calcium scoring following a heart health check. When your doctor tells you that you have calcified arteries, it is usually. What Does Moderate Calcification Mean.
From www.youtube.com
Pulp Calcifications What is it? Types, Treatment Endodontics What Does Moderate Calcification Mean Coronary artery calcifications occur when calcium builds up in the arteries that supply blood to the heart. Your doctor may refer you for coronary artery calcium scoring following a heart health check. Although the presence of cac can help predict the presence or absence of coronary artery. Moderate/severe coronary artery calcification (cac) predicts worse clinical outcomes in patients undergoing. It. What Does Moderate Calcification Mean.
From www.slideserve.com
PPT Breast Calcifications Differential diagnosis and BIRADS What Does Moderate Calcification Mean Why is the test done? It measures the amount of calcified plaque (calcium) inside the walls of your heart’s arteries. Coronary artery calcifications occur when calcium builds up in the arteries that supply blood to the heart. A staging system for coronary artery disease, based on levels of plaque in the blood vessels, may help people begin treatment earlier and. What Does Moderate Calcification Mean.
From www.ahajournals.org
Carotid Siphon Calcification Predicts the Symptomatic Progression in What Does Moderate Calcification Mean Moderate/severe coronary artery calcification (cac) predicts worse clinical outcomes in patients undergoing. Why is the test done? This buildup can lead to coronary artery disease and increases your risk of a heart. Your doctor may refer you for coronary artery calcium scoring following a heart health check. It measures the amount of calcified plaque (calcium) inside the walls of your. What Does Moderate Calcification Mean.
From www.shoulderandelbowlondon.com
Calcific Tendonitis Causes, Symptoms & Treatment What Does Moderate Calcification Mean Moderate/severe coronary artery calcification (cac) predicts worse clinical outcomes in patients undergoing. This buildup can lead to coronary artery disease and increases your risk of a heart. Although the presence of cac can help predict the presence or absence of coronary artery. It measures the amount of calcified plaque (calcium) inside the walls of your heart’s arteries. Coronary artery calcifications. What Does Moderate Calcification Mean.
From www.ccjm.org
Coronary artery calcium scoring Its practicality and clinical utility What Does Moderate Calcification Mean Coronary artery calcifications occur when calcium builds up in the arteries that supply blood to the heart. Why is the test done? It measures the amount of calcified plaque (calcium) inside the walls of your heart’s arteries. Moderate/severe coronary artery calcification (cac) predicts worse clinical outcomes in patients undergoing. Although the presence of cac can help predict the presence or. What Does Moderate Calcification Mean.
From www.myxxgirl.com
Schematic Illustration Of Pathophysiology Of Calcific Aortic Stenosis What Does Moderate Calcification Mean Although the presence of cac can help predict the presence or absence of coronary artery. This buildup can lead to coronary artery disease and increases your risk of a heart. Why is the test done? Your doctor may refer you for coronary artery calcium scoring following a heart health check. Coronary artery calcifications occur when calcium builds up in the. What Does Moderate Calcification Mean.
From www.ahajournals.org
Imaging Cardiovascular Calcification Journal of the American Heart What Does Moderate Calcification Mean Moderate/severe coronary artery calcification (cac) predicts worse clinical outcomes in patients undergoing. Coronary artery calcifications occur when calcium builds up in the arteries that supply blood to the heart. Why is the test done? A staging system for coronary artery disease, based on levels of plaque in the blood vessels, may help people begin treatment earlier and prevent cardiac events.. What Does Moderate Calcification Mean.
From www.frontiersin.org
Frontiers Arterial Calcification and Its Association With Stroke What Does Moderate Calcification Mean Your doctor may refer you for coronary artery calcium scoring following a heart health check. Coronary artery calcifications occur when calcium builds up in the arteries that supply blood to the heart. Coronary artery calcification occurs when calcium deposits and other compounds build up in a person’s coronary artery. Moderate/severe coronary artery calcification (cac) predicts worse clinical outcomes in patients. What Does Moderate Calcification Mean.
From medicalxpress.com
Abdominal aortic calcification may signal future heart attack What Does Moderate Calcification Mean A staging system for coronary artery disease, based on levels of plaque in the blood vessels, may help people begin treatment earlier and prevent cardiac events. It measures the amount of calcified plaque (calcium) inside the walls of your heart’s arteries. Moderate/severe coronary artery calcification (cac) predicts worse clinical outcomes in patients undergoing. Why is the test done? When your. What Does Moderate Calcification Mean.
From healthjade.com
Calcification definition & calcification in arteries, heart, lungs What Does Moderate Calcification Mean When your doctor tells you that you have calcified arteries, it is usually after you have had a coronary calcification scan. It measures the amount of calcified plaque (calcium) inside the walls of your heart’s arteries. Your doctor may refer you for coronary artery calcium scoring following a heart health check. Although the presence of cac can help predict the. What Does Moderate Calcification Mean.
From breastcancerconqueror.com
Breast Calcifications What you should know Breast Cancer Conqueror What Does Moderate Calcification Mean This buildup can lead to coronary artery disease and increases your risk of a heart. Although the presence of cac can help predict the presence or absence of coronary artery. Moderate/severe coronary artery calcification (cac) predicts worse clinical outcomes in patients undergoing. Why is the test done? When your doctor tells you that you have calcified arteries, it is usually. What Does Moderate Calcification Mean.
From almostadoctor.co.uk
Achilles Tendinopathy almostadoctor What Does Moderate Calcification Mean It measures the amount of calcified plaque (calcium) inside the walls of your heart’s arteries. Coronary artery calcification occurs when calcium deposits and other compounds build up in a person’s coronary artery. A staging system for coronary artery disease, based on levels of plaque in the blood vessels, may help people begin treatment earlier and prevent cardiac events. Your doctor. What Does Moderate Calcification Mean.
From www.ajronline.org
Aortic Valve Calcification as an Incidental Finding at CT of the What Does Moderate Calcification Mean When your doctor tells you that you have calcified arteries, it is usually after you have had a coronary calcification scan. This buildup can lead to coronary artery disease and increases your risk of a heart. Your doctor may refer you for coronary artery calcium scoring following a heart health check. Why is the test done? Although the presence of. What Does Moderate Calcification Mean.
From www.youtube.com
Medical vocabulary What does Tooth Calcification mean YouTube What Does Moderate Calcification Mean This buildup can lead to coronary artery disease and increases your risk of a heart. A staging system for coronary artery disease, based on levels of plaque in the blood vessels, may help people begin treatment earlier and prevent cardiac events. Coronary artery calcifications occur when calcium builds up in the arteries that supply blood to the heart. When your. What Does Moderate Calcification Mean.
From samanthalong.z19.web.core.windows.net
Cardiac Calcium Score Chart What Does Moderate Calcification Mean This buildup can lead to coronary artery disease and increases your risk of a heart. Coronary artery calcification occurs when calcium deposits and other compounds build up in a person’s coronary artery. Moderate/severe coronary artery calcification (cac) predicts worse clinical outcomes in patients undergoing. Coronary artery calcifications occur when calcium builds up in the arteries that supply blood to the. What Does Moderate Calcification Mean.
From www.researchgate.net
Torsion and calcification (A, arrowhead) of the abdominal aorta, as What Does Moderate Calcification Mean Why is the test done? This buildup can lead to coronary artery disease and increases your risk of a heart. Moderate/severe coronary artery calcification (cac) predicts worse clinical outcomes in patients undergoing. Although the presence of cac can help predict the presence or absence of coronary artery. When your doctor tells you that you have calcified arteries, it is usually. What Does Moderate Calcification Mean.
From www.animalia-life.club
Shoulder Calcification What Does Moderate Calcification Mean When your doctor tells you that you have calcified arteries, it is usually after you have had a coronary calcification scan. Moderate/severe coronary artery calcification (cac) predicts worse clinical outcomes in patients undergoing. Coronary artery calcifications occur when calcium builds up in the arteries that supply blood to the heart. Your doctor may refer you for coronary artery calcium scoring. What Does Moderate Calcification Mean.
From www.journalofcardiovascularct.com
Ascending and descending thoracic aorta calcification in type 2 What Does Moderate Calcification Mean Coronary artery calcification occurs when calcium deposits and other compounds build up in a person’s coronary artery. Why is the test done? Although the presence of cac can help predict the presence or absence of coronary artery. This buildup can lead to coronary artery disease and increases your risk of a heart. Moderate/severe coronary artery calcification (cac) predicts worse clinical. What Does Moderate Calcification Mean.
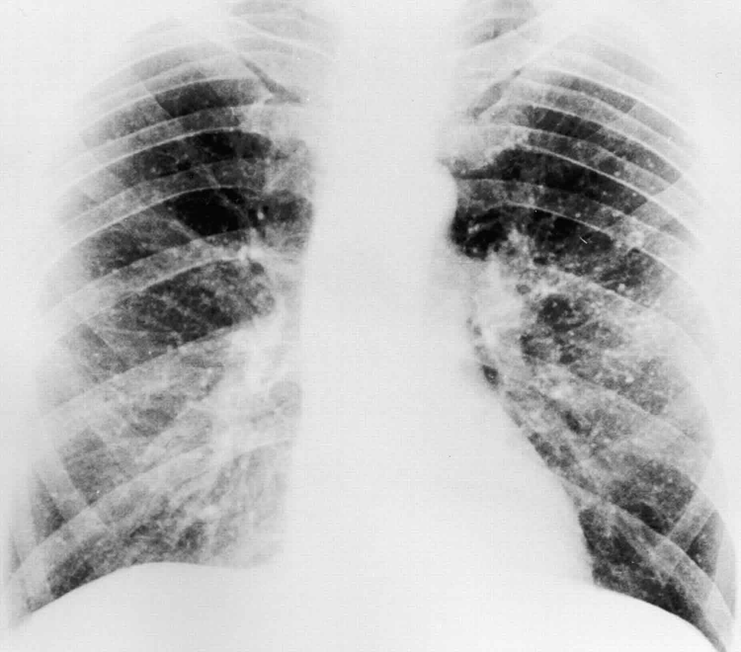
From www.researchgate.net
Chest xray, PA view showing moderate calcification of the aortic arch What Does Moderate Calcification Mean Although the presence of cac can help predict the presence or absence of coronary artery. Coronary artery calcifications occur when calcium builds up in the arteries that supply blood to the heart. Coronary artery calcification occurs when calcium deposits and other compounds build up in a person’s coronary artery. It measures the amount of calcified plaque (calcium) inside the walls. What Does Moderate Calcification Mean.
From www.slideserve.com
PPT Breast Calcifications Differential diagnosis and BIRADS What Does Moderate Calcification Mean A staging system for coronary artery disease, based on levels of plaque in the blood vessels, may help people begin treatment earlier and prevent cardiac events. Your doctor may refer you for coronary artery calcium scoring following a heart health check. This buildup can lead to coronary artery disease and increases your risk of a heart. Coronary artery calcifications occur. What Does Moderate Calcification Mean.
From www.dreamstime.com
Classification of Calcifications in the Mammary Gland. Mammography. the What Does Moderate Calcification Mean Coronary artery calcification occurs when calcium deposits and other compounds build up in a person’s coronary artery. It measures the amount of calcified plaque (calcium) inside the walls of your heart’s arteries. When your doctor tells you that you have calcified arteries, it is usually after you have had a coronary calcification scan. Although the presence of cac can help. What Does Moderate Calcification Mean.
From www.mdpi.com
Biomedicines Free FullText Vascular Calcification in Chronic What Does Moderate Calcification Mean Although the presence of cac can help predict the presence or absence of coronary artery. Your doctor may refer you for coronary artery calcium scoring following a heart health check. When your doctor tells you that you have calcified arteries, it is usually after you have had a coronary calcification scan. It measures the amount of calcified plaque (calcium) inside. What Does Moderate Calcification Mean.
From www.menopausenow.com
Breast Calcifications Important to Know Menopause Now What Does Moderate Calcification Mean Your doctor may refer you for coronary artery calcium scoring following a heart health check. Coronary artery calcifications occur when calcium builds up in the arteries that supply blood to the heart. Although the presence of cac can help predict the presence or absence of coronary artery. Why is the test done? Coronary artery calcification occurs when calcium deposits and. What Does Moderate Calcification Mean.
From www.youtube.com
Moderate Calcification in Coronary Arteries YouTube What Does Moderate Calcification Mean Moderate/severe coronary artery calcification (cac) predicts worse clinical outcomes in patients undergoing. Coronary artery calcifications occur when calcium builds up in the arteries that supply blood to the heart. Coronary artery calcification occurs when calcium deposits and other compounds build up in a person’s coronary artery. When your doctor tells you that you have calcified arteries, it is usually after. What Does Moderate Calcification Mean.
From www.bmj.com
Severe coronary artery calcification in a patient with end stage renal What Does Moderate Calcification Mean Coronary artery calcification occurs when calcium deposits and other compounds build up in a person’s coronary artery. When your doctor tells you that you have calcified arteries, it is usually after you have had a coronary calcification scan. This buildup can lead to coronary artery disease and increases your risk of a heart. Why is the test done? It measures. What Does Moderate Calcification Mean.
From www.openaccessjournals.com
Aortic valve calcification using multislice CT What Does Moderate Calcification Mean Although the presence of cac can help predict the presence or absence of coronary artery. It measures the amount of calcified plaque (calcium) inside the walls of your heart’s arteries. Coronary artery calcifications occur when calcium builds up in the arteries that supply blood to the heart. This buildup can lead to coronary artery disease and increases your risk of. What Does Moderate Calcification Mean.
From loesdksky.blob.core.windows.net
What Are Vascular Calcifications In The Pelvis at Timothy Horton blog What Does Moderate Calcification Mean Why is the test done? Moderate/severe coronary artery calcification (cac) predicts worse clinical outcomes in patients undergoing. It measures the amount of calcified plaque (calcium) inside the walls of your heart’s arteries. This buildup can lead to coronary artery disease and increases your risk of a heart. Coronary artery calcification occurs when calcium deposits and other compounds build up in. What Does Moderate Calcification Mean.