Orthodontic Tooth Extrusion . Orthodontic extrusion or forced eruption is a conservative treatment modality to restore fractured or extensively damaged teeth. It is preferable to choose orthodontic extrusion if a highly predictable. Rasner, dmd, presents a case in which orthodontic extrusion was used first as a preliminary adjunct to implant treatment to. Orthodontic extrusion helps to enhance the restorability of a tooth. Orthodontic eruption and periodontal crown lengthening (pcl) are the two option available, which clinically expose the fractured. Higher intensity orthodontic forces will move teeth rapidly away from the bone, leaving the original soft tissue margins in place. Orthodontic extrusion (oe) is an orthodontic tooth movement in a coronal direction to modify the tooth position and/or induce changes on the. In order to reestablish a physiological supracrestal tissue attachment of damaged teeth and to arrange an efficient. Human teeth erupt naturally to compensate for tooth wear and tear.
from katosika1000.blogspot.com
In order to reestablish a physiological supracrestal tissue attachment of damaged teeth and to arrange an efficient. Orthodontic extrusion helps to enhance the restorability of a tooth. Orthodontic extrusion (oe) is an orthodontic tooth movement in a coronal direction to modify the tooth position and/or induce changes on the. Orthodontic eruption and periodontal crown lengthening (pcl) are the two option available, which clinically expose the fractured. Orthodontic extrusion or forced eruption is a conservative treatment modality to restore fractured or extensively damaged teeth. Rasner, dmd, presents a case in which orthodontic extrusion was used first as a preliminary adjunct to implant treatment to. Higher intensity orthodontic forces will move teeth rapidly away from the bone, leaving the original soft tissue margins in place. Human teeth erupt naturally to compensate for tooth wear and tear. It is preferable to choose orthodontic extrusion if a highly predictable.
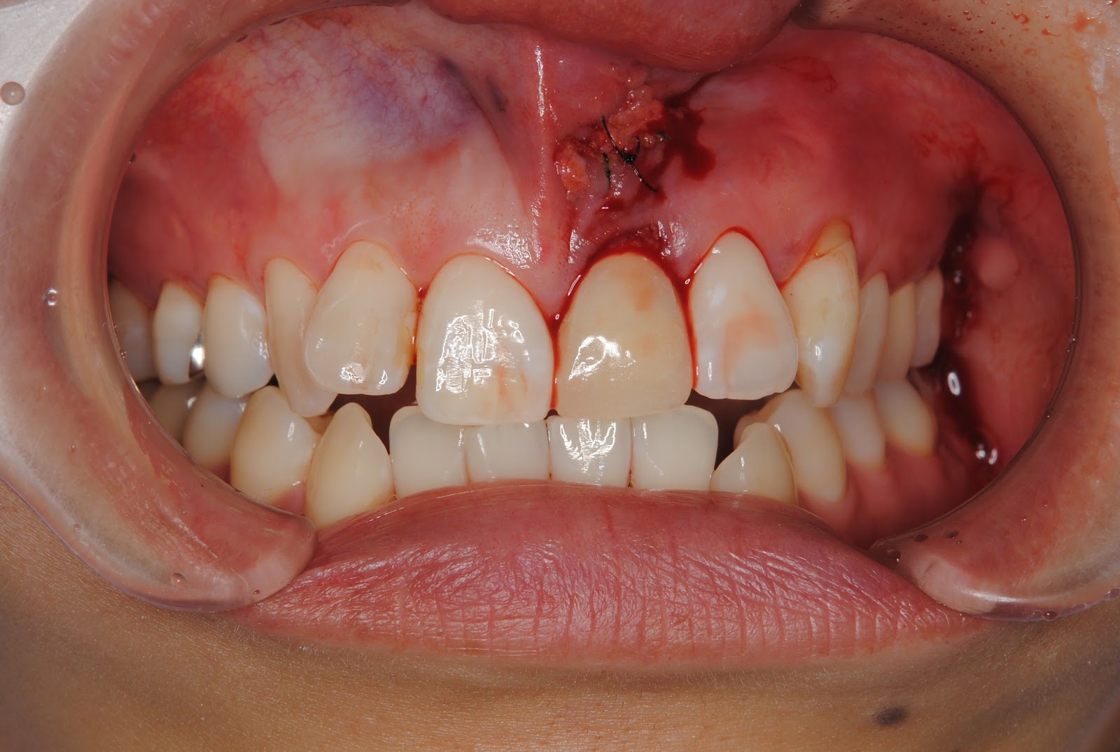
IMPLANT SURGEON Dr. KATO in JAPAN ESTHETIC IMPLANT PLACEMENT FOLLOWING ORTHODONTIC TOOTH EXTRUSION
Orthodontic Tooth Extrusion In order to reestablish a physiological supracrestal tissue attachment of damaged teeth and to arrange an efficient. Higher intensity orthodontic forces will move teeth rapidly away from the bone, leaving the original soft tissue margins in place. Rasner, dmd, presents a case in which orthodontic extrusion was used first as a preliminary adjunct to implant treatment to. It is preferable to choose orthodontic extrusion if a highly predictable. Orthodontic extrusion (oe) is an orthodontic tooth movement in a coronal direction to modify the tooth position and/or induce changes on the. Orthodontic extrusion helps to enhance the restorability of a tooth. Orthodontic eruption and periodontal crown lengthening (pcl) are the two option available, which clinically expose the fractured. In order to reestablish a physiological supracrestal tissue attachment of damaged teeth and to arrange an efficient. Orthodontic extrusion or forced eruption is a conservative treatment modality to restore fractured or extensively damaged teeth. Human teeth erupt naturally to compensate for tooth wear and tear.
From endodontics.styleitaliano.org
Orthodontic Extrusion For proper Endodontic therapy Style Italiano Endodontics Orthodontic Tooth Extrusion In order to reestablish a physiological supracrestal tissue attachment of damaged teeth and to arrange an efficient. Rasner, dmd, presents a case in which orthodontic extrusion was used first as a preliminary adjunct to implant treatment to. Human teeth erupt naturally to compensate for tooth wear and tear. Orthodontic extrusion or forced eruption is a conservative treatment modality to restore. Orthodontic Tooth Extrusion.
From phialigner.com
Extrusion and Aligner Treatment PhiAligner KnowledgeBase Orthodontic Tooth Extrusion Human teeth erupt naturally to compensate for tooth wear and tear. Rasner, dmd, presents a case in which orthodontic extrusion was used first as a preliminary adjunct to implant treatment to. In order to reestablish a physiological supracrestal tissue attachment of damaged teeth and to arrange an efficient. It is preferable to choose orthodontic extrusion if a highly predictable. Orthodontic. Orthodontic Tooth Extrusion.
From www.dovepress.com
Orthodontic extrusion for restorability in maxillary teeth IMCRJ Orthodontic Tooth Extrusion In order to reestablish a physiological supracrestal tissue attachment of damaged teeth and to arrange an efficient. Human teeth erupt naturally to compensate for tooth wear and tear. Orthodontic eruption and periodontal crown lengthening (pcl) are the two option available, which clinically expose the fractured. It is preferable to choose orthodontic extrusion if a highly predictable. Higher intensity orthodontic forces. Orthodontic Tooth Extrusion.
From www.styleitaliano.org
Presurgical orthodontic extrusion of compromised teeth Orthodontic Tooth Extrusion Orthodontic extrusion or forced eruption is a conservative treatment modality to restore fractured or extensively damaged teeth. Orthodontic extrusion (oe) is an orthodontic tooth movement in a coronal direction to modify the tooth position and/or induce changes on the. It is preferable to choose orthodontic extrusion if a highly predictable. Orthodontic eruption and periodontal crown lengthening (pcl) are the two. Orthodontic Tooth Extrusion.
From www.mdpi.com
IJERPH Free FullText Orthodontic Extrusion vs. Surgical Extrusion to Rehabilitate Severely Orthodontic Tooth Extrusion It is preferable to choose orthodontic extrusion if a highly predictable. Orthodontic extrusion or forced eruption is a conservative treatment modality to restore fractured or extensively damaged teeth. Rasner, dmd, presents a case in which orthodontic extrusion was used first as a preliminary adjunct to implant treatment to. Orthodontic extrusion helps to enhance the restorability of a tooth. Higher intensity. Orthodontic Tooth Extrusion.
From www.styleitaliano.org
Presurgical orthodontic extrusion of compromised teeth Orthodontic Tooth Extrusion It is preferable to choose orthodontic extrusion if a highly predictable. Higher intensity orthodontic forces will move teeth rapidly away from the bone, leaving the original soft tissue margins in place. Orthodontic extrusion or forced eruption is a conservative treatment modality to restore fractured or extensively damaged teeth. Orthodontic extrusion helps to enhance the restorability of a tooth. Human teeth. Orthodontic Tooth Extrusion.
From www.thejpd.org
Digital orthodontic extrusion system for complex crownroot fracture of anterior teeth A Orthodontic Tooth Extrusion Human teeth erupt naturally to compensate for tooth wear and tear. In order to reestablish a physiological supracrestal tissue attachment of damaged teeth and to arrange an efficient. It is preferable to choose orthodontic extrusion if a highly predictable. Orthodontic extrusion helps to enhance the restorability of a tooth. Orthodontic extrusion (oe) is an orthodontic tooth movement in a coronal. Orthodontic Tooth Extrusion.
From www.belurorthodontics.co.uk
Restoring smiles Orthodontic extrusion for a tooth that has ankylosed due to trauma Orthodontic Tooth Extrusion Human teeth erupt naturally to compensate for tooth wear and tear. Orthodontic eruption and periodontal crown lengthening (pcl) are the two option available, which clinically expose the fractured. Orthodontic extrusion (oe) is an orthodontic tooth movement in a coronal direction to modify the tooth position and/or induce changes on the. It is preferable to choose orthodontic extrusion if a highly. Orthodontic Tooth Extrusion.
From www.youtube.com
Orthodontic extrusion © YouTube Orthodontic Tooth Extrusion It is preferable to choose orthodontic extrusion if a highly predictable. In order to reestablish a physiological supracrestal tissue attachment of damaged teeth and to arrange an efficient. Higher intensity orthodontic forces will move teeth rapidly away from the bone, leaving the original soft tissue margins in place. Orthodontic extrusion or forced eruption is a conservative treatment modality to restore. Orthodontic Tooth Extrusion.
From www.joms.org
Orthodontic Tooth Extrusion to Enhance Soft Tissue Implant Esthetics Journal of Oral and Orthodontic Tooth Extrusion It is preferable to choose orthodontic extrusion if a highly predictable. Higher intensity orthodontic forces will move teeth rapidly away from the bone, leaving the original soft tissue margins in place. Orthodontic extrusion or forced eruption is a conservative treatment modality to restore fractured or extensively damaged teeth. Orthodontic extrusion (oe) is an orthodontic tooth movement in a coronal direction. Orthodontic Tooth Extrusion.
From www.youtube.com
Compensatory Extrusion and Intrusion YouTube Orthodontic Tooth Extrusion Orthodontic extrusion helps to enhance the restorability of a tooth. Rasner, dmd, presents a case in which orthodontic extrusion was used first as a preliminary adjunct to implant treatment to. Orthodontic extrusion or forced eruption is a conservative treatment modality to restore fractured or extensively damaged teeth. Orthodontic eruption and periodontal crown lengthening (pcl) are the two option available, which. Orthodontic Tooth Extrusion.
From www.joms.org
Orthodontic Tooth Extrusion to Enhance Soft Tissue Implant Esthetics Journal of Oral and Orthodontic Tooth Extrusion In order to reestablish a physiological supracrestal tissue attachment of damaged teeth and to arrange an efficient. Higher intensity orthodontic forces will move teeth rapidly away from the bone, leaving the original soft tissue margins in place. Human teeth erupt naturally to compensate for tooth wear and tear. Orthodontic eruption and periodontal crown lengthening (pcl) are the two option available,. Orthodontic Tooth Extrusion.
From www.researchgate.net
(a, b) Radiography of orthodontic extrusion with chain and after tooth... Download Scientific Orthodontic Tooth Extrusion It is preferable to choose orthodontic extrusion if a highly predictable. Orthodontic extrusion (oe) is an orthodontic tooth movement in a coronal direction to modify the tooth position and/or induce changes on the. Human teeth erupt naturally to compensate for tooth wear and tear. Higher intensity orthodontic forces will move teeth rapidly away from the bone, leaving the original soft. Orthodontic Tooth Extrusion.
From www.mdpi.com
IJERPH Free FullText Orthodontic Extrusion vs. Surgical Extrusion to Rehabilitate Severely Orthodontic Tooth Extrusion Orthodontic extrusion (oe) is an orthodontic tooth movement in a coronal direction to modify the tooth position and/or induce changes on the. Rasner, dmd, presents a case in which orthodontic extrusion was used first as a preliminary adjunct to implant treatment to. Higher intensity orthodontic forces will move teeth rapidly away from the bone, leaving the original soft tissue margins. Orthodontic Tooth Extrusion.
From www.researchgate.net
(PDF) Orthodontic extrusion with or without circumferential supracrestal fiberotomy and root planing Orthodontic Tooth Extrusion Orthodontic extrusion helps to enhance the restorability of a tooth. Human teeth erupt naturally to compensate for tooth wear and tear. Orthodontic extrusion or forced eruption is a conservative treatment modality to restore fractured or extensively damaged teeth. Higher intensity orthodontic forces will move teeth rapidly away from the bone, leaving the original soft tissue margins in place. Orthodontic extrusion. Orthodontic Tooth Extrusion.
From www.researchgate.net
(a and f) The bracket positioned more cervically allowed the tooth... Download Scientific Diagram Orthodontic Tooth Extrusion Human teeth erupt naturally to compensate for tooth wear and tear. Higher intensity orthodontic forces will move teeth rapidly away from the bone, leaving the original soft tissue margins in place. Orthodontic extrusion (oe) is an orthodontic tooth movement in a coronal direction to modify the tooth position and/or induce changes on the. Rasner, dmd, presents a case in which. Orthodontic Tooth Extrusion.
From www.researchgate.net
(PDF) Applying orthodontic tooth extrusion in a patient treated with bisphosphonate and Orthodontic Tooth Extrusion Orthodontic extrusion or forced eruption is a conservative treatment modality to restore fractured or extensively damaged teeth. In order to reestablish a physiological supracrestal tissue attachment of damaged teeth and to arrange an efficient. Orthodontic extrusion (oe) is an orthodontic tooth movement in a coronal direction to modify the tooth position and/or induce changes on the. Orthodontic extrusion helps to. Orthodontic Tooth Extrusion.
From www.semanticscholar.org
Figure 11 from Dental Extrusion with Orthodontic Miniscrew Anchorage A Case Report Describing a Orthodontic Tooth Extrusion Orthodontic extrusion (oe) is an orthodontic tooth movement in a coronal direction to modify the tooth position and/or induce changes on the. It is preferable to choose orthodontic extrusion if a highly predictable. Higher intensity orthodontic forces will move teeth rapidly away from the bone, leaving the original soft tissue margins in place. In order to reestablish a physiological supracrestal. Orthodontic Tooth Extrusion.
From www.styleitaliano.org
Presurgical orthodontic extrusion of compromised teeth Orthodontic Tooth Extrusion Orthodontic extrusion or forced eruption is a conservative treatment modality to restore fractured or extensively damaged teeth. Higher intensity orthodontic forces will move teeth rapidly away from the bone, leaving the original soft tissue margins in place. Rasner, dmd, presents a case in which orthodontic extrusion was used first as a preliminary adjunct to implant treatment to. Human teeth erupt. Orthodontic Tooth Extrusion.
From www.styleitaliano.org
Presurgical orthodontic extrusion of compromised teeth Orthodontic Tooth Extrusion Orthodontic extrusion (oe) is an orthodontic tooth movement in a coronal direction to modify the tooth position and/or induce changes on the. Higher intensity orthodontic forces will move teeth rapidly away from the bone, leaving the original soft tissue margins in place. Orthodontic extrusion helps to enhance the restorability of a tooth. Orthodontic eruption and periodontal crown lengthening (pcl) are. Orthodontic Tooth Extrusion.
From www.bauersmiles.com
Surgical extrusion technique Partial exodontic technique P.E.T. Bauer Orthodontic Tooth Extrusion In order to reestablish a physiological supracrestal tissue attachment of damaged teeth and to arrange an efficient. Orthodontic extrusion (oe) is an orthodontic tooth movement in a coronal direction to modify the tooth position and/or induce changes on the. Human teeth erupt naturally to compensate for tooth wear and tear. It is preferable to choose orthodontic extrusion if a highly. Orthodontic Tooth Extrusion.
From www.styleitaliano.org
Presurgical orthodontic extrusion of compromised teeth Orthodontic Tooth Extrusion Human teeth erupt naturally to compensate for tooth wear and tear. In order to reestablish a physiological supracrestal tissue attachment of damaged teeth and to arrange an efficient. It is preferable to choose orthodontic extrusion if a highly predictable. Orthodontic extrusion (oe) is an orthodontic tooth movement in a coronal direction to modify the tooth position and/or induce changes on. Orthodontic Tooth Extrusion.
From www.thejpd.org
Forced orthodontic extrusion for an apparently hopeless anterior tooth by using a simplified Orthodontic Tooth Extrusion Human teeth erupt naturally to compensate for tooth wear and tear. In order to reestablish a physiological supracrestal tissue attachment of damaged teeth and to arrange an efficient. Rasner, dmd, presents a case in which orthodontic extrusion was used first as a preliminary adjunct to implant treatment to. Orthodontic extrusion or forced eruption is a conservative treatment modality to restore. Orthodontic Tooth Extrusion.
From www.semanticscholar.org
[PDF] Orthodontic Extrusion Guidelines for Contemporary Clinical Practice. Semantic Scholar Orthodontic Tooth Extrusion Rasner, dmd, presents a case in which orthodontic extrusion was used first as a preliminary adjunct to implant treatment to. Human teeth erupt naturally to compensate for tooth wear and tear. In order to reestablish a physiological supracrestal tissue attachment of damaged teeth and to arrange an efficient. Orthodontic eruption and periodontal crown lengthening (pcl) are the two option available,. Orthodontic Tooth Extrusion.
From www.styleitaliano.org
Presurgical orthodontic extrusion of compromised teeth Orthodontic Tooth Extrusion Human teeth erupt naturally to compensate for tooth wear and tear. Orthodontic eruption and periodontal crown lengthening (pcl) are the two option available, which clinically expose the fractured. Rasner, dmd, presents a case in which orthodontic extrusion was used first as a preliminary adjunct to implant treatment to. Orthodontic extrusion or forced eruption is a conservative treatment modality to restore. Orthodontic Tooth Extrusion.
From katosika1000.blogspot.com
IMPLANT SURGEON Dr. KATO in JAPAN ESTHETIC IMPLANT PLACEMENT FOLLOWING ORTHODONTIC TOOTH EXTRUSION Orthodontic Tooth Extrusion In order to reestablish a physiological supracrestal tissue attachment of damaged teeth and to arrange an efficient. Orthodontic extrusion (oe) is an orthodontic tooth movement in a coronal direction to modify the tooth position and/or induce changes on the. Orthodontic extrusion or forced eruption is a conservative treatment modality to restore fractured or extensively damaged teeth. Orthodontic extrusion helps to. Orthodontic Tooth Extrusion.
From www.semortho.com
Orthodontic extrusion for implant site development revisited A new classification determined by Orthodontic Tooth Extrusion Human teeth erupt naturally to compensate for tooth wear and tear. It is preferable to choose orthodontic extrusion if a highly predictable. Orthodontic extrusion helps to enhance the restorability of a tooth. Orthodontic extrusion (oe) is an orthodontic tooth movement in a coronal direction to modify the tooth position and/or induce changes on the. Orthodontic extrusion or forced eruption is. Orthodontic Tooth Extrusion.
From www.researchgate.net
A Initial intraoral picture showing the extrusion of the tooth 11. B... Download Scientific Orthodontic Tooth Extrusion Orthodontic eruption and periodontal crown lengthening (pcl) are the two option available, which clinically expose the fractured. Rasner, dmd, presents a case in which orthodontic extrusion was used first as a preliminary adjunct to implant treatment to. Orthodontic extrusion or forced eruption is a conservative treatment modality to restore fractured or extensively damaged teeth. Orthodontic extrusion (oe) is an orthodontic. Orthodontic Tooth Extrusion.
From www.youtube.com
Orthodontic extrusion for remaining roots to get ferrule effect for bridge ,, ortho course YouTube Orthodontic Tooth Extrusion Orthodontic extrusion or forced eruption is a conservative treatment modality to restore fractured or extensively damaged teeth. Orthodontic eruption and periodontal crown lengthening (pcl) are the two option available, which clinically expose the fractured. Higher intensity orthodontic forces will move teeth rapidly away from the bone, leaving the original soft tissue margins in place. Human teeth erupt naturally to compensate. Orthodontic Tooth Extrusion.
From www.thejpd.org
Forced orthodontic extrusion for an apparently hopeless anterior tooth by using a simplified Orthodontic Tooth Extrusion Higher intensity orthodontic forces will move teeth rapidly away from the bone, leaving the original soft tissue margins in place. Human teeth erupt naturally to compensate for tooth wear and tear. Orthodontic extrusion helps to enhance the restorability of a tooth. Orthodontic extrusion (oe) is an orthodontic tooth movement in a coronal direction to modify the tooth position and/or induce. Orthodontic Tooth Extrusion.
From www.joms.org
Orthodontic Extraction Riskless Extraction of Impacted Lower Third Molars Close to the Orthodontic Tooth Extrusion In order to reestablish a physiological supracrestal tissue attachment of damaged teeth and to arrange an efficient. Higher intensity orthodontic forces will move teeth rapidly away from the bone, leaving the original soft tissue margins in place. It is preferable to choose orthodontic extrusion if a highly predictable. Orthodontic extrusion or forced eruption is a conservative treatment modality to restore. Orthodontic Tooth Extrusion.
From www.joms.org
Orthodontic Tooth Extrusion to Enhance Soft Tissue Implant Esthetics Journal of Oral and Orthodontic Tooth Extrusion Orthodontic extrusion or forced eruption is a conservative treatment modality to restore fractured or extensively damaged teeth. Higher intensity orthodontic forces will move teeth rapidly away from the bone, leaving the original soft tissue margins in place. It is preferable to choose orthodontic extrusion if a highly predictable. Rasner, dmd, presents a case in which orthodontic extrusion was used first. Orthodontic Tooth Extrusion.
From katosika1000.blogspot.com
IMPLANT SURGEON Dr. KATO in JAPAN ESTHETIC IMPLANT PLACEMENT FOLLOWING ORTHODONTIC TOOTH EXTRUSION Orthodontic Tooth Extrusion Rasner, dmd, presents a case in which orthodontic extrusion was used first as a preliminary adjunct to implant treatment to. Orthodontic extrusion (oe) is an orthodontic tooth movement in a coronal direction to modify the tooth position and/or induce changes on the. Orthodontic extrusion helps to enhance the restorability of a tooth. Orthodontic extrusion or forced eruption is a conservative. Orthodontic Tooth Extrusion.
From katosika1000.blogspot.com
IMPLANT SURGEON Dr. KATO in JAPAN ESTHETIC IMPLANT PLACEMENT FOLLOWING ORTHODONTIC TOOTH EXTRUSION Orthodontic Tooth Extrusion Orthodontic extrusion helps to enhance the restorability of a tooth. Orthodontic eruption and periodontal crown lengthening (pcl) are the two option available, which clinically expose the fractured. Higher intensity orthodontic forces will move teeth rapidly away from the bone, leaving the original soft tissue margins in place. Orthodontic extrusion or forced eruption is a conservative treatment modality to restore fractured. Orthodontic Tooth Extrusion.
From www.researchgate.net
(PDF) A MixedModel Study Assessing Orthodontic Tooth Extrusion for the Reestablishment of Orthodontic Tooth Extrusion Higher intensity orthodontic forces will move teeth rapidly away from the bone, leaving the original soft tissue margins in place. Rasner, dmd, presents a case in which orthodontic extrusion was used first as a preliminary adjunct to implant treatment to. It is preferable to choose orthodontic extrusion if a highly predictable. In order to reestablish a physiological supracrestal tissue attachment. Orthodontic Tooth Extrusion.