What Is The Connection Of The Thymus Gland To Myasthenia Gravis . Disease typically have clusters of immune cells. Several arguments show a strong association between the thymus and myasthenia gravis (mg). The thymus gland grows gradually until. What is the connection between the thymus gland and myasthenia gravis? A thymectomy treats problems with your thymus gland, such as: Myasthenia gravis is an autoimmune disease mediated by antibodies against proteins expressed in the. In many adults with myasthenia gravis, the. Many people with myasthenia gravis have thymus gland conditions that may trigger. Mg has a unique relationship with the thymus gland, which has therapeutic implications in two distinct patient populations. The thymus gland controls immune function and may be associated with myasthenia gravis.
from www.ctsnet.org
Several arguments show a strong association between the thymus and myasthenia gravis (mg). What is the connection between the thymus gland and myasthenia gravis? In many adults with myasthenia gravis, the. Disease typically have clusters of immune cells. A thymectomy treats problems with your thymus gland, such as: The thymus gland controls immune function and may be associated with myasthenia gravis. Mg has a unique relationship with the thymus gland, which has therapeutic implications in two distinct patient populations. The thymus gland grows gradually until. Many people with myasthenia gravis have thymus gland conditions that may trigger. Myasthenia gravis is an autoimmune disease mediated by antibodies against proteins expressed in the.
Extended VATS Thymectomy for Myasthenia Gravis Extrapleural
What Is The Connection Of The Thymus Gland To Myasthenia Gravis Mg has a unique relationship with the thymus gland, which has therapeutic implications in two distinct patient populations. Disease typically have clusters of immune cells. The thymus gland grows gradually until. Many people with myasthenia gravis have thymus gland conditions that may trigger. The thymus gland controls immune function and may be associated with myasthenia gravis. In many adults with myasthenia gravis, the. Myasthenia gravis is an autoimmune disease mediated by antibodies against proteins expressed in the. A thymectomy treats problems with your thymus gland, such as: What is the connection between the thymus gland and myasthenia gravis? Mg has a unique relationship with the thymus gland, which has therapeutic implications in two distinct patient populations. Several arguments show a strong association between the thymus and myasthenia gravis (mg).
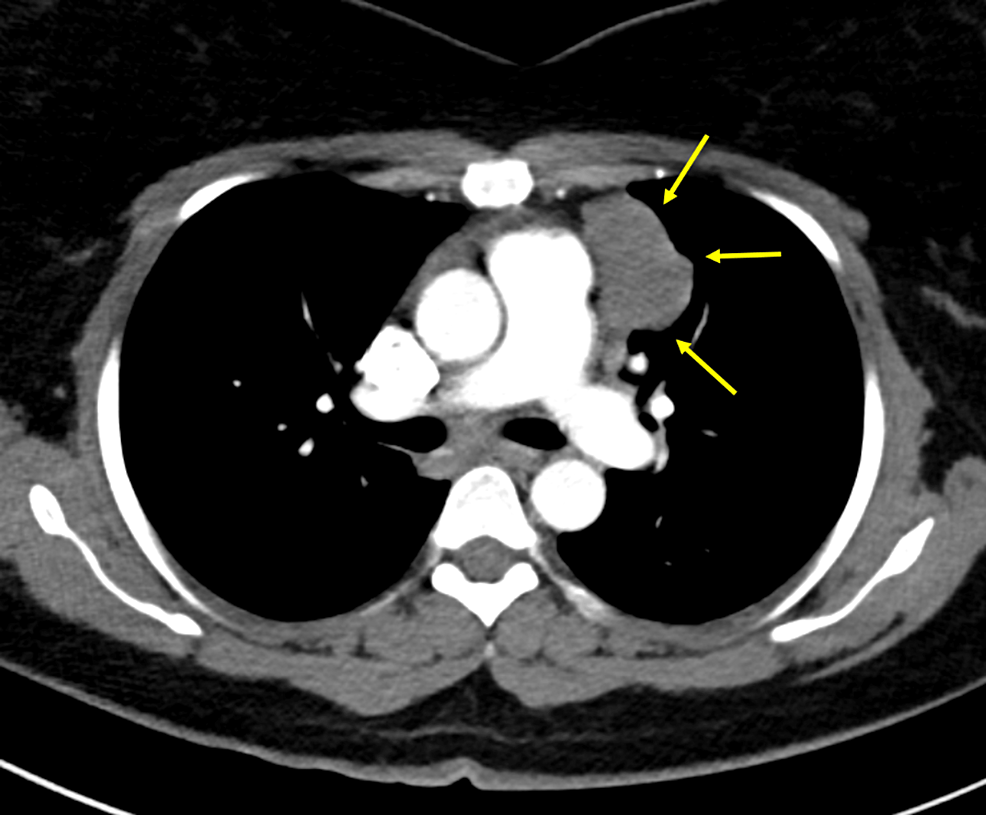
From vectormine.com
Myasthenia gravis as autoimmune, neuromuscular disease outline diagram What Is The Connection Of The Thymus Gland To Myasthenia Gravis Several arguments show a strong association between the thymus and myasthenia gravis (mg). Disease typically have clusters of immune cells. The thymus gland controls immune function and may be associated with myasthenia gravis. The thymus gland grows gradually until. Many people with myasthenia gravis have thymus gland conditions that may trigger. In many adults with myasthenia gravis, the. Myasthenia gravis. What Is The Connection Of The Thymus Gland To Myasthenia Gravis.
From www.mgteam.com
6 Conditions Related to Myasthenia Gravis LEMS, Graves’ Disease, and What Is The Connection Of The Thymus Gland To Myasthenia Gravis What is the connection between the thymus gland and myasthenia gravis? Many people with myasthenia gravis have thymus gland conditions that may trigger. The thymus gland controls immune function and may be associated with myasthenia gravis. Myasthenia gravis is an autoimmune disease mediated by antibodies against proteins expressed in the. Several arguments show a strong association between the thymus and. What Is The Connection Of The Thymus Gland To Myasthenia Gravis.
From www.ctsnet.org
Extended VATS Thymectomy for Myasthenia Gravis Extrapleural What Is The Connection Of The Thymus Gland To Myasthenia Gravis The thymus gland grows gradually until. Disease typically have clusters of immune cells. Many people with myasthenia gravis have thymus gland conditions that may trigger. The thymus gland controls immune function and may be associated with myasthenia gravis. Myasthenia gravis is an autoimmune disease mediated by antibodies against proteins expressed in the. What is the connection between the thymus gland. What Is The Connection Of The Thymus Gland To Myasthenia Gravis.
From www.livescience.com
Thymus Facts, Function & Diseases Live Science What Is The Connection Of The Thymus Gland To Myasthenia Gravis Mg has a unique relationship with the thymus gland, which has therapeutic implications in two distinct patient populations. What is the connection between the thymus gland and myasthenia gravis? Myasthenia gravis is an autoimmune disease mediated by antibodies against proteins expressed in the. In many adults with myasthenia gravis, the. The thymus gland grows gradually until. A thymectomy treats problems. What Is The Connection Of The Thymus Gland To Myasthenia Gravis.
From www.verywellhealth.com
What Is the Thymus Gland and Why Is It Important? What Is The Connection Of The Thymus Gland To Myasthenia Gravis What is the connection between the thymus gland and myasthenia gravis? Myasthenia gravis is an autoimmune disease mediated by antibodies against proteins expressed in the. In many adults with myasthenia gravis, the. Mg has a unique relationship with the thymus gland, which has therapeutic implications in two distinct patient populations. Several arguments show a strong association between the thymus and. What Is The Connection Of The Thymus Gland To Myasthenia Gravis.
From www.scribd.com
Pharmacotherapy of Myasthenia Gravis PDF Electromyography Thymus What Is The Connection Of The Thymus Gland To Myasthenia Gravis Mg has a unique relationship with the thymus gland, which has therapeutic implications in two distinct patient populations. Many people with myasthenia gravis have thymus gland conditions that may trigger. In many adults with myasthenia gravis, the. What is the connection between the thymus gland and myasthenia gravis? The thymus gland controls immune function and may be associated with myasthenia. What Is The Connection Of The Thymus Gland To Myasthenia Gravis.
From www.ctsnet.org
Sternal Splitting Approaches to Thymectomy for Myasthenia Gravis and What Is The Connection Of The Thymus Gland To Myasthenia Gravis The thymus gland controls immune function and may be associated with myasthenia gravis. Mg has a unique relationship with the thymus gland, which has therapeutic implications in two distinct patient populations. The thymus gland grows gradually until. A thymectomy treats problems with your thymus gland, such as: In many adults with myasthenia gravis, the. Many people with myasthenia gravis have. What Is The Connection Of The Thymus Gland To Myasthenia Gravis.
From www.youtube.com
Myasthenia Gravis Management YouTube What Is The Connection Of The Thymus Gland To Myasthenia Gravis The thymus gland controls immune function and may be associated with myasthenia gravis. Several arguments show a strong association between the thymus and myasthenia gravis (mg). Mg has a unique relationship with the thymus gland, which has therapeutic implications in two distinct patient populations. A thymectomy treats problems with your thymus gland, such as: The thymus gland grows gradually until.. What Is The Connection Of The Thymus Gland To Myasthenia Gravis.
From www.clinicalradiologyonline.net
Imaging of thymus in myasthenia gravis From thymic hyperplasia to What Is The Connection Of The Thymus Gland To Myasthenia Gravis What is the connection between the thymus gland and myasthenia gravis? Several arguments show a strong association between the thymus and myasthenia gravis (mg). In many adults with myasthenia gravis, the. A thymectomy treats problems with your thymus gland, such as: The thymus gland grows gradually until. Many people with myasthenia gravis have thymus gland conditions that may trigger. Disease. What Is The Connection Of The Thymus Gland To Myasthenia Gravis.
From owlcation.com
The Thymus Gland, T Cells, AIDS, and Myasthenia Gravis Owlcation What Is The Connection Of The Thymus Gland To Myasthenia Gravis Myasthenia gravis is an autoimmune disease mediated by antibodies against proteins expressed in the. What is the connection between the thymus gland and myasthenia gravis? The thymus gland grows gradually until. In many adults with myasthenia gravis, the. The thymus gland controls immune function and may be associated with myasthenia gravis. A thymectomy treats problems with your thymus gland, such. What Is The Connection Of The Thymus Gland To Myasthenia Gravis.
From www.technologynetworks.com
Thymus Removal Benefits Myasthenia Gravis Patients for up to Five Years What Is The Connection Of The Thymus Gland To Myasthenia Gravis A thymectomy treats problems with your thymus gland, such as: The thymus gland grows gradually until. What is the connection between the thymus gland and myasthenia gravis? The thymus gland controls immune function and may be associated with myasthenia gravis. Many people with myasthenia gravis have thymus gland conditions that may trigger. Disease typically have clusters of immune cells. In. What Is The Connection Of The Thymus Gland To Myasthenia Gravis.
From www.homenaturalcures.com
Myasthenia Gravis 03 Symptoms, Causes & Complications What Is The Connection Of The Thymus Gland To Myasthenia Gravis The thymus gland controls immune function and may be associated with myasthenia gravis. A thymectomy treats problems with your thymus gland, such as: Many people with myasthenia gravis have thymus gland conditions that may trigger. Disease typically have clusters of immune cells. What is the connection between the thymus gland and myasthenia gravis? Mg has a unique relationship with the. What Is The Connection Of The Thymus Gland To Myasthenia Gravis.
From www.semanticscholar.org
Figure I from Computed Tomography of the Thymus Gland in Myasthenia What Is The Connection Of The Thymus Gland To Myasthenia Gravis Many people with myasthenia gravis have thymus gland conditions that may trigger. What is the connection between the thymus gland and myasthenia gravis? Myasthenia gravis is an autoimmune disease mediated by antibodies against proteins expressed in the. Disease typically have clusters of immune cells. The thymus gland grows gradually until. In many adults with myasthenia gravis, the. Mg has a. What Is The Connection Of The Thymus Gland To Myasthenia Gravis.
From www.mg-united.com
Myasthenia Gravis A Living History MG United What Is The Connection Of The Thymus Gland To Myasthenia Gravis Several arguments show a strong association between the thymus and myasthenia gravis (mg). The thymus gland grows gradually until. What is the connection between the thymus gland and myasthenia gravis? A thymectomy treats problems with your thymus gland, such as: Mg has a unique relationship with the thymus gland, which has therapeutic implications in two distinct patient populations. Myasthenia gravis. What Is The Connection Of The Thymus Gland To Myasthenia Gravis.
From www.researchgate.net
New model for intrathymic pathogenesis of myasthenia gravis related What Is The Connection Of The Thymus Gland To Myasthenia Gravis What is the connection between the thymus gland and myasthenia gravis? Many people with myasthenia gravis have thymus gland conditions that may trigger. The thymus gland controls immune function and may be associated with myasthenia gravis. Disease typically have clusters of immune cells. Mg has a unique relationship with the thymus gland, which has therapeutic implications in two distinct patient. What Is The Connection Of The Thymus Gland To Myasthenia Gravis.
From www.slideshare.net
Thymus gland ppt. What Is The Connection Of The Thymus Gland To Myasthenia Gravis What is the connection between the thymus gland and myasthenia gravis? Mg has a unique relationship with the thymus gland, which has therapeutic implications in two distinct patient populations. Many people with myasthenia gravis have thymus gland conditions that may trigger. Myasthenia gravis is an autoimmune disease mediated by antibodies against proteins expressed in the. The thymus gland grows gradually. What Is The Connection Of The Thymus Gland To Myasthenia Gravis.
From myasthenia-gravis.com
Thymectomy for Myasthenia Gravis Treatment What Is The Connection Of The Thymus Gland To Myasthenia Gravis The thymus gland controls immune function and may be associated with myasthenia gravis. Mg has a unique relationship with the thymus gland, which has therapeutic implications in two distinct patient populations. A thymectomy treats problems with your thymus gland, such as: Many people with myasthenia gravis have thymus gland conditions that may trigger. Disease typically have clusters of immune cells.. What Is The Connection Of The Thymus Gland To Myasthenia Gravis.
From mavink.com
Thymus Gland And Myasthenia Gravis What Is The Connection Of The Thymus Gland To Myasthenia Gravis What is the connection between the thymus gland and myasthenia gravis? A thymectomy treats problems with your thymus gland, such as: In many adults with myasthenia gravis, the. The thymus gland controls immune function and may be associated with myasthenia gravis. Several arguments show a strong association between the thymus and myasthenia gravis (mg). The thymus gland grows gradually until.. What Is The Connection Of The Thymus Gland To Myasthenia Gravis.
From onlinelibrary.wiley.com
Role of the thymus in autoimmune myasthenia gravis Berrih‐Aknin What Is The Connection Of The Thymus Gland To Myasthenia Gravis Many people with myasthenia gravis have thymus gland conditions that may trigger. Disease typically have clusters of immune cells. What is the connection between the thymus gland and myasthenia gravis? The thymus gland grows gradually until. Mg has a unique relationship with the thymus gland, which has therapeutic implications in two distinct patient populations. In many adults with myasthenia gravis,. What Is The Connection Of The Thymus Gland To Myasthenia Gravis.
From dailycatchers.com
Myasthenia Gravis Causes, Symptoms & Treatment Options What Is The Connection Of The Thymus Gland To Myasthenia Gravis What is the connection between the thymus gland and myasthenia gravis? Many people with myasthenia gravis have thymus gland conditions that may trigger. Several arguments show a strong association between the thymus and myasthenia gravis (mg). The thymus gland controls immune function and may be associated with myasthenia gravis. Myasthenia gravis is an autoimmune disease mediated by antibodies against proteins. What Is The Connection Of The Thymus Gland To Myasthenia Gravis.
From healthjade.com
Myasthenia Gravis Causes, Symptoms, Prognosis, Diagnosis, Treatment What Is The Connection Of The Thymus Gland To Myasthenia Gravis The thymus gland controls immune function and may be associated with myasthenia gravis. Many people with myasthenia gravis have thymus gland conditions that may trigger. In many adults with myasthenia gravis, the. Disease typically have clusters of immune cells. Myasthenia gravis is an autoimmune disease mediated by antibodies against proteins expressed in the. The thymus gland grows gradually until. A. What Is The Connection Of The Thymus Gland To Myasthenia Gravis.
From owlcation.com
The Thymus Gland, T Cells, AIDS, and Myasthenia Gravis Owlcation What Is The Connection Of The Thymus Gland To Myasthenia Gravis Myasthenia gravis is an autoimmune disease mediated by antibodies against proteins expressed in the. The thymus gland grows gradually until. Several arguments show a strong association between the thymus and myasthenia gravis (mg). Disease typically have clusters of immune cells. Many people with myasthenia gravis have thymus gland conditions that may trigger. The thymus gland controls immune function and may. What Is The Connection Of The Thymus Gland To Myasthenia Gravis.
From www.buffalo.edu
In myasthenia gravis, surgery to remove the thymus gland provides What Is The Connection Of The Thymus Gland To Myasthenia Gravis Myasthenia gravis is an autoimmune disease mediated by antibodies against proteins expressed in the. The thymus gland grows gradually until. Many people with myasthenia gravis have thymus gland conditions that may trigger. What is the connection between the thymus gland and myasthenia gravis? Several arguments show a strong association between the thymus and myasthenia gravis (mg). Mg has a unique. What Is The Connection Of The Thymus Gland To Myasthenia Gravis.
From www.cureus.com
Cureus Thymoma and Myasthenia Gravis An Examination of a What Is The Connection Of The Thymus Gland To Myasthenia Gravis A thymectomy treats problems with your thymus gland, such as: What is the connection between the thymus gland and myasthenia gravis? Several arguments show a strong association between the thymus and myasthenia gravis (mg). Myasthenia gravis is an autoimmune disease mediated by antibodies against proteins expressed in the. Many people with myasthenia gravis have thymus gland conditions that may trigger.. What Is The Connection Of The Thymus Gland To Myasthenia Gravis.
From myasthenia-gravis.com
The Impact of Thymomas in Myasthenia Gravis What Is The Connection Of The Thymus Gland To Myasthenia Gravis In many adults with myasthenia gravis, the. The thymus gland grows gradually until. A thymectomy treats problems with your thymus gland, such as: Myasthenia gravis is an autoimmune disease mediated by antibodies against proteins expressed in the. Many people with myasthenia gravis have thymus gland conditions that may trigger. Mg has a unique relationship with the thymus gland, which has. What Is The Connection Of The Thymus Gland To Myasthenia Gravis.
From www.slideserve.com
PPT Myasthenia Gravis PowerPoint Presentation ID1413235 What Is The Connection Of The Thymus Gland To Myasthenia Gravis Mg has a unique relationship with the thymus gland, which has therapeutic implications in two distinct patient populations. A thymectomy treats problems with your thymus gland, such as: Many people with myasthenia gravis have thymus gland conditions that may trigger. In many adults with myasthenia gravis, the. Myasthenia gravis is an autoimmune disease mediated by antibodies against proteins expressed in. What Is The Connection Of The Thymus Gland To Myasthenia Gravis.
From www.slideshare.net
Myasthenia Gravis What Is The Connection Of The Thymus Gland To Myasthenia Gravis Mg has a unique relationship with the thymus gland, which has therapeutic implications in two distinct patient populations. Myasthenia gravis is an autoimmune disease mediated by antibodies against proteins expressed in the. In many adults with myasthenia gravis, the. What is the connection between the thymus gland and myasthenia gravis? The thymus gland grows gradually until. A thymectomy treats problems. What Is The Connection Of The Thymus Gland To Myasthenia Gravis.
From www.slideserve.com
PPT Myasthenia Gravis PowerPoint Presentation ID1413235 What Is The Connection Of The Thymus Gland To Myasthenia Gravis Disease typically have clusters of immune cells. The thymus gland grows gradually until. The thymus gland controls immune function and may be associated with myasthenia gravis. A thymectomy treats problems with your thymus gland, such as: Several arguments show a strong association between the thymus and myasthenia gravis (mg). Myasthenia gravis is an autoimmune disease mediated by antibodies against proteins. What Is The Connection Of The Thymus Gland To Myasthenia Gravis.
From hubpages.com
The Thymus Gland T Cells, AIDS, and Myasthenia Gravis HubPages What Is The Connection Of The Thymus Gland To Myasthenia Gravis Several arguments show a strong association between the thymus and myasthenia gravis (mg). Disease typically have clusters of immune cells. The thymus gland grows gradually until. Many people with myasthenia gravis have thymus gland conditions that may trigger. Mg has a unique relationship with the thymus gland, which has therapeutic implications in two distinct patient populations. In many adults with. What Is The Connection Of The Thymus Gland To Myasthenia Gravis.
From debuglies.com
Surgery to remove the thymus gland in patients with myasthenia gravis What Is The Connection Of The Thymus Gland To Myasthenia Gravis What is the connection between the thymus gland and myasthenia gravis? The thymus gland controls immune function and may be associated with myasthenia gravis. The thymus gland grows gradually until. Mg has a unique relationship with the thymus gland, which has therapeutic implications in two distinct patient populations. In many adults with myasthenia gravis, the. Disease typically have clusters of. What Is The Connection Of The Thymus Gland To Myasthenia Gravis.
From www.ctsnet.org
Sternal Splitting Approaches to Thymectomy for Myasthenia Gravis and What Is The Connection Of The Thymus Gland To Myasthenia Gravis What is the connection between the thymus gland and myasthenia gravis? Several arguments show a strong association between the thymus and myasthenia gravis (mg). Myasthenia gravis is an autoimmune disease mediated by antibodies against proteins expressed in the. Mg has a unique relationship with the thymus gland, which has therapeutic implications in two distinct patient populations. In many adults with. What Is The Connection Of The Thymus Gland To Myasthenia Gravis.
From www.science.org
The function of the thymus and its impact on modern medicine Science What Is The Connection Of The Thymus Gland To Myasthenia Gravis In many adults with myasthenia gravis, the. Myasthenia gravis is an autoimmune disease mediated by antibodies against proteins expressed in the. Mg has a unique relationship with the thymus gland, which has therapeutic implications in two distinct patient populations. A thymectomy treats problems with your thymus gland, such as: Several arguments show a strong association between the thymus and myasthenia. What Is The Connection Of The Thymus Gland To Myasthenia Gravis.
From www.verywellhealth.com
What Is the Thymus Gland and Why Is It Important? What Is The Connection Of The Thymus Gland To Myasthenia Gravis In many adults with myasthenia gravis, the. Myasthenia gravis is an autoimmune disease mediated by antibodies against proteins expressed in the. Disease typically have clusters of immune cells. The thymus gland controls immune function and may be associated with myasthenia gravis. Several arguments show a strong association between the thymus and myasthenia gravis (mg). Many people with myasthenia gravis have. What Is The Connection Of The Thymus Gland To Myasthenia Gravis.
From commons.wikimedia.org
FileDiagram showing the position of the thymus gland CRUK 362.svg What Is The Connection Of The Thymus Gland To Myasthenia Gravis The thymus gland controls immune function and may be associated with myasthenia gravis. Disease typically have clusters of immune cells. Mg has a unique relationship with the thymus gland, which has therapeutic implications in two distinct patient populations. Several arguments show a strong association between the thymus and myasthenia gravis (mg). The thymus gland grows gradually until. In many adults. What Is The Connection Of The Thymus Gland To Myasthenia Gravis.
From onlinelibrary.wiley.com
Role of the thymus in autoimmune myasthenia gravis Berrih‐Aknin What Is The Connection Of The Thymus Gland To Myasthenia Gravis Mg has a unique relationship with the thymus gland, which has therapeutic implications in two distinct patient populations. The thymus gland grows gradually until. A thymectomy treats problems with your thymus gland, such as: The thymus gland controls immune function and may be associated with myasthenia gravis. Myasthenia gravis is an autoimmune disease mediated by antibodies against proteins expressed in. What Is The Connection Of The Thymus Gland To Myasthenia Gravis.