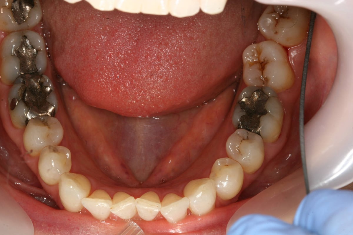
What To Replace Amalgam Fillings With . There are many alternatives to dental amalgam fillings, but biocompatibility should be considered when selecting a material. Is it safe to have amalgam (silver) fillings? Should you have them removed? Amalgam, or silver, fillings are made with mercury, silver, tin and copper. It is a relatively common procedure to replace amalgam fillings with composite fillings whether it's because of health concerns or cosmetic preferences. “silver fillings don’t need to be replaced.” one of the most hotly debated issues among dentists these days is whether or not old, silver amalgam fillings in the mouths of so many americans. In some cases, other metals may be included in. Whether you're sick of the side effects of metal fillings or you want a more attractive smile, check out these four options to hide or replace. Composite fillings, ceramic fillings, gold fillings, and glass ionomer fillings are among the alternatives you can explore. We’ve covered the myths, the truth, and what to do about your fillings. Each has its advantages and disadvantages, so it’s.
from www.pinterest.com
In some cases, other metals may be included in. Composite fillings, ceramic fillings, gold fillings, and glass ionomer fillings are among the alternatives you can explore. Should you have them removed? Is it safe to have amalgam (silver) fillings? Amalgam, or silver, fillings are made with mercury, silver, tin and copper. We’ve covered the myths, the truth, and what to do about your fillings. Whether you're sick of the side effects of metal fillings or you want a more attractive smile, check out these four options to hide or replace. “silver fillings don’t need to be replaced.” one of the most hotly debated issues among dentists these days is whether or not old, silver amalgam fillings in the mouths of so many americans. There are many alternatives to dental amalgam fillings, but biocompatibility should be considered when selecting a material. Each has its advantages and disadvantages, so it’s.
The beforeandafter of replacing silver fillings (amalgam) with white
What To Replace Amalgam Fillings With Composite fillings, ceramic fillings, gold fillings, and glass ionomer fillings are among the alternatives you can explore. It is a relatively common procedure to replace amalgam fillings with composite fillings whether it's because of health concerns or cosmetic preferences. “silver fillings don’t need to be replaced.” one of the most hotly debated issues among dentists these days is whether or not old, silver amalgam fillings in the mouths of so many americans. Each has its advantages and disadvantages, so it’s. In some cases, other metals may be included in. There are many alternatives to dental amalgam fillings, but biocompatibility should be considered when selecting a material. Whether you're sick of the side effects of metal fillings or you want a more attractive smile, check out these four options to hide or replace. We’ve covered the myths, the truth, and what to do about your fillings. Composite fillings, ceramic fillings, gold fillings, and glass ionomer fillings are among the alternatives you can explore. Should you have them removed? Amalgam, or silver, fillings are made with mercury, silver, tin and copper. Is it safe to have amalgam (silver) fillings?
From www.leedervilledental.com.au
Replacement of Amalgam Fillings What To Replace Amalgam Fillings With Amalgam, or silver, fillings are made with mercury, silver, tin and copper. It is a relatively common procedure to replace amalgam fillings with composite fillings whether it's because of health concerns or cosmetic preferences. Should you have them removed? In some cases, other metals may be included in. “silver fillings don’t need to be replaced.” one of the most hotly. What To Replace Amalgam Fillings With.
From www.pinterest.com
Replaced the mercury filled silver filling for a stronger nicer natural What To Replace Amalgam Fillings With It is a relatively common procedure to replace amalgam fillings with composite fillings whether it's because of health concerns or cosmetic preferences. In some cases, other metals may be included in. Amalgam, or silver, fillings are made with mercury, silver, tin and copper. Each has its advantages and disadvantages, so it’s. Whether you're sick of the side effects of metal. What To Replace Amalgam Fillings With.
From www.leedervilledental.com.au
Replacement of Amalgam Fillings Leederville Dental Perth's most What To Replace Amalgam Fillings With Amalgam, or silver, fillings are made with mercury, silver, tin and copper. Is it safe to have amalgam (silver) fillings? There are many alternatives to dental amalgam fillings, but biocompatibility should be considered when selecting a material. Should you have them removed? It is a relatively common procedure to replace amalgam fillings with composite fillings whether it's because of health. What To Replace Amalgam Fillings With.
From www.youtube.com
Replacing Large Amalgam Fillings with Full Crowns Dental Minute with What To Replace Amalgam Fillings With Amalgam, or silver, fillings are made with mercury, silver, tin and copper. Composite fillings, ceramic fillings, gold fillings, and glass ionomer fillings are among the alternatives you can explore. Should you have them removed? In some cases, other metals may be included in. Each has its advantages and disadvantages, so it’s. “silver fillings don’t need to be replaced.” one of. What To Replace Amalgam Fillings With.
From www.pinterest.es
Amalgam Fillings, Restoration, Porcelain, Food, Porcelain Ceramics What To Replace Amalgam Fillings With Is it safe to have amalgam (silver) fillings? “silver fillings don’t need to be replaced.” one of the most hotly debated issues among dentists these days is whether or not old, silver amalgam fillings in the mouths of so many americans. In some cases, other metals may be included in. It is a relatively common procedure to replace amalgam fillings. What To Replace Amalgam Fillings With.
From www.evolvedental.com.au
Replace Amalgam Fillings for a GoodLooking Smile Evolve Dental Healing What To Replace Amalgam Fillings With There are many alternatives to dental amalgam fillings, but biocompatibility should be considered when selecting a material. Each has its advantages and disadvantages, so it’s. Amalgam, or silver, fillings are made with mercury, silver, tin and copper. Is it safe to have amalgam (silver) fillings? Whether you're sick of the side effects of metal fillings or you want a more. What To Replace Amalgam Fillings With.
From www.kowhaidental.co.nz
Replacing Amalgam (Metal) Fillings Kowhai Dental What To Replace Amalgam Fillings With Composite fillings, ceramic fillings, gold fillings, and glass ionomer fillings are among the alternatives you can explore. We’ve covered the myths, the truth, and what to do about your fillings. There are many alternatives to dental amalgam fillings, but biocompatibility should be considered when selecting a material. It is a relatively common procedure to replace amalgam fillings with composite fillings. What To Replace Amalgam Fillings With.
From www.beverlyhillsladentist.com
Replace Silver Fillings with Natural Biomimetic Restorations What To Replace Amalgam Fillings With Whether you're sick of the side effects of metal fillings or you want a more attractive smile, check out these four options to hide or replace. Composite fillings, ceramic fillings, gold fillings, and glass ionomer fillings are among the alternatives you can explore. We’ve covered the myths, the truth, and what to do about your fillings. Is it safe to. What To Replace Amalgam Fillings With.
From www.youtube.com
Amalgam Fillings Removal w/ Rubberdam Replacing Dental Silver What To Replace Amalgam Fillings With Composite fillings, ceramic fillings, gold fillings, and glass ionomer fillings are among the alternatives you can explore. It is a relatively common procedure to replace amalgam fillings with composite fillings whether it's because of health concerns or cosmetic preferences. Each has its advantages and disadvantages, so it’s. We’ve covered the myths, the truth, and what to do about your fillings.. What To Replace Amalgam Fillings With.
From www.drbadwalz.com
Before & After Amalgam Fillings Replacement Dentist in Merced, CA What To Replace Amalgam Fillings With Composite fillings, ceramic fillings, gold fillings, and glass ionomer fillings are among the alternatives you can explore. It is a relatively common procedure to replace amalgam fillings with composite fillings whether it's because of health concerns or cosmetic preferences. Each has its advantages and disadvantages, so it’s. Amalgam, or silver, fillings are made with mercury, silver, tin and copper. Is. What To Replace Amalgam Fillings With.
From expertdental.qa
Replace metal fillings / Amalgam in Qatar by Expert Dentist safely What To Replace Amalgam Fillings With “silver fillings don’t need to be replaced.” one of the most hotly debated issues among dentists these days is whether or not old, silver amalgam fillings in the mouths of so many americans. It is a relatively common procedure to replace amalgam fillings with composite fillings whether it's because of health concerns or cosmetic preferences. Composite fillings, ceramic fillings, gold. What To Replace Amalgam Fillings With.
From www.pinterest.com
Replace your amalgam or gold fillings with white composite fillings What To Replace Amalgam Fillings With Each has its advantages and disadvantages, so it’s. We’ve covered the myths, the truth, and what to do about your fillings. Amalgam, or silver, fillings are made with mercury, silver, tin and copper. “silver fillings don’t need to be replaced.” one of the most hotly debated issues among dentists these days is whether or not old, silver amalgam fillings in. What To Replace Amalgam Fillings With.
From stsmiles.com
What Is The Safe Mercury Amalgam Removal Technique? What To Replace Amalgam Fillings With There are many alternatives to dental amalgam fillings, but biocompatibility should be considered when selecting a material. Is it safe to have amalgam (silver) fillings? It is a relatively common procedure to replace amalgam fillings with composite fillings whether it's because of health concerns or cosmetic preferences. Whether you're sick of the side effects of metal fillings or you want. What To Replace Amalgam Fillings With.
From www.atlasdental.ca
Dental Amalgam Filling Replacement What To Replace Amalgam Fillings With We’ve covered the myths, the truth, and what to do about your fillings. Is it safe to have amalgam (silver) fillings? Whether you're sick of the side effects of metal fillings or you want a more attractive smile, check out these four options to hide or replace. Should you have them removed? “silver fillings don’t need to be replaced.” one. What To Replace Amalgam Fillings With.
From oakstonedental.com.au
Top 5 reasons to replace your Amalgam fillings What To Replace Amalgam Fillings With There are many alternatives to dental amalgam fillings, but biocompatibility should be considered when selecting a material. Is it safe to have amalgam (silver) fillings? Amalgam, or silver, fillings are made with mercury, silver, tin and copper. “silver fillings don’t need to be replaced.” one of the most hotly debated issues among dentists these days is whether or not old,. What To Replace Amalgam Fillings With.
From metairiedentist.net
Replace Amalgam Fillings with Dr. Ken for Better Dental Health What To Replace Amalgam Fillings With There are many alternatives to dental amalgam fillings, but biocompatibility should be considered when selecting a material. It is a relatively common procedure to replace amalgam fillings with composite fillings whether it's because of health concerns or cosmetic preferences. Should you have them removed? Each has its advantages and disadvantages, so it’s. Amalgam, or silver, fillings are made with mercury,. What To Replace Amalgam Fillings With.
From infinitydentalclinic.co.uk
Implant and replacing an amalgam 'Silver' filling Infinity Dental Clinic What To Replace Amalgam Fillings With Should you have them removed? “silver fillings don’t need to be replaced.” one of the most hotly debated issues among dentists these days is whether or not old, silver amalgam fillings in the mouths of so many americans. Each has its advantages and disadvantages, so it’s. Composite fillings, ceramic fillings, gold fillings, and glass ionomer fillings are among the alternatives. What To Replace Amalgam Fillings With.
From www.integrativedentistryofchestercounty.com
Is It Time to Replace Your Amalgam Fillings? Integrative Dentistry of What To Replace Amalgam Fillings With “silver fillings don’t need to be replaced.” one of the most hotly debated issues among dentists these days is whether or not old, silver amalgam fillings in the mouths of so many americans. It is a relatively common procedure to replace amalgam fillings with composite fillings whether it's because of health concerns or cosmetic preferences. Composite fillings, ceramic fillings, gold. What To Replace Amalgam Fillings With.
From franklindental-supply.com
Cost to Replace Amalgam Fillings with Composite Pick Wisely What To Replace Amalgam Fillings With There are many alternatives to dental amalgam fillings, but biocompatibility should be considered when selecting a material. We’ve covered the myths, the truth, and what to do about your fillings. It is a relatively common procedure to replace amalgam fillings with composite fillings whether it's because of health concerns or cosmetic preferences. Each has its advantages and disadvantages, so it’s.. What To Replace Amalgam Fillings With.
From ascentdental.co.uk
Replace your metal amalgam fillings with tooth coloured composite What To Replace Amalgam Fillings With Each has its advantages and disadvantages, so it’s. Should you have them removed? Amalgam, or silver, fillings are made with mercury, silver, tin and copper. “silver fillings don’t need to be replaced.” one of the most hotly debated issues among dentists these days is whether or not old, silver amalgam fillings in the mouths of so many americans. We’ve covered. What To Replace Amalgam Fillings With.
From dentistforlife.net
Amalgam fillings vs composite Which is The Better Choice? What To Replace Amalgam Fillings With Each has its advantages and disadvantages, so it’s. Composite fillings, ceramic fillings, gold fillings, and glass ionomer fillings are among the alternatives you can explore. We’ve covered the myths, the truth, and what to do about your fillings. Amalgam, or silver, fillings are made with mercury, silver, tin and copper. It is a relatively common procedure to replace amalgam fillings. What To Replace Amalgam Fillings With.
From www.shdc.com.au
Restoring teeth Sydney holistic Dental Centre What To Replace Amalgam Fillings With Is it safe to have amalgam (silver) fillings? Whether you're sick of the side effects of metal fillings or you want a more attractive smile, check out these four options to hide or replace. There are many alternatives to dental amalgam fillings, but biocompatibility should be considered when selecting a material. It is a relatively common procedure to replace amalgam. What To Replace Amalgam Fillings With.
From oakstonedental.com.au
4 best reasons to replace Amalgam fillings What To Replace Amalgam Fillings With Each has its advantages and disadvantages, so it’s. Whether you're sick of the side effects of metal fillings or you want a more attractive smile, check out these four options to hide or replace. Amalgam, or silver, fillings are made with mercury, silver, tin and copper. In some cases, other metals may be included in. It is a relatively common. What To Replace Amalgam Fillings With.
From www.theauburndentist.com
Why Some People Choose to Replace Their Silver (Amalgam) Fillings Our What To Replace Amalgam Fillings With Should you have them removed? There are many alternatives to dental amalgam fillings, but biocompatibility should be considered when selecting a material. “silver fillings don’t need to be replaced.” one of the most hotly debated issues among dentists these days is whether or not old, silver amalgam fillings in the mouths of so many americans. It is a relatively common. What To Replace Amalgam Fillings With.
From orangectdentist.com
Silver Filling Removal Mercury Amalgam Dentist Orange, CT What To Replace Amalgam Fillings With Amalgam, or silver, fillings are made with mercury, silver, tin and copper. In some cases, other metals may be included in. “silver fillings don’t need to be replaced.” one of the most hotly debated issues among dentists these days is whether or not old, silver amalgam fillings in the mouths of so many americans. It is a relatively common procedure. What To Replace Amalgam Fillings With.
From www.elmsleighhouse.co.uk
Composite to replace old amalgam fillings What To Replace Amalgam Fillings With There are many alternatives to dental amalgam fillings, but biocompatibility should be considered when selecting a material. Each has its advantages and disadvantages, so it’s. Is it safe to have amalgam (silver) fillings? It is a relatively common procedure to replace amalgam fillings with composite fillings whether it's because of health concerns or cosmetic preferences. “silver fillings don’t need to. What To Replace Amalgam Fillings With.
From www.hicksdentalgroup.com
Should You Replace Amalgam Fillings? Hicks Dental Group What To Replace Amalgam Fillings With Composite fillings, ceramic fillings, gold fillings, and glass ionomer fillings are among the alternatives you can explore. Should you have them removed? Each has its advantages and disadvantages, so it’s. Whether you're sick of the side effects of metal fillings or you want a more attractive smile, check out these four options to hide or replace. Amalgam, or silver, fillings. What To Replace Amalgam Fillings With.
From www.pinterest.com
Pin on Dental Conditions What To Replace Amalgam Fillings With Whether you're sick of the side effects of metal fillings or you want a more attractive smile, check out these four options to hide or replace. It is a relatively common procedure to replace amalgam fillings with composite fillings whether it's because of health concerns or cosmetic preferences. Should you have them removed? “silver fillings don’t need to be replaced.”. What To Replace Amalgam Fillings With.
From www.pinterest.es
Replacing a silver amalgam filling with a white filling What To Replace Amalgam Fillings With Each has its advantages and disadvantages, so it’s. Should you have them removed? Amalgam, or silver, fillings are made with mercury, silver, tin and copper. We’ve covered the myths, the truth, and what to do about your fillings. Is it safe to have amalgam (silver) fillings? “silver fillings don’t need to be replaced.” one of the most hotly debated issues. What To Replace Amalgam Fillings With.
From www.arkdental.co.uk
Should you replace old amalgam fillings with white fillings? What To Replace Amalgam Fillings With Amalgam, or silver, fillings are made with mercury, silver, tin and copper. It is a relatively common procedure to replace amalgam fillings with composite fillings whether it's because of health concerns or cosmetic preferences. Should you have them removed? In some cases, other metals may be included in. “silver fillings don’t need to be replaced.” one of the most hotly. What To Replace Amalgam Fillings With.
From terryfamilydentistry.com
Amalgam vs Composite Fillings Terry Family Dentistry What To Replace Amalgam Fillings With Whether you're sick of the side effects of metal fillings or you want a more attractive smile, check out these four options to hide or replace. Composite fillings, ceramic fillings, gold fillings, and glass ionomer fillings are among the alternatives you can explore. In some cases, other metals may be included in. We’ve covered the myths, the truth, and what. What To Replace Amalgam Fillings With.
From carriageworksdental.co.uk
Amalgam fillings replaced with composite Private Dentistry What To Replace Amalgam Fillings With We’ve covered the myths, the truth, and what to do about your fillings. There are many alternatives to dental amalgam fillings, but biocompatibility should be considered when selecting a material. Should you have them removed? Whether you're sick of the side effects of metal fillings or you want a more attractive smile, check out these four options to hide or. What To Replace Amalgam Fillings With.
From www.theauburndentist.com
Why Some People Choose to Replace Their Silver (Amalgam) Fillings Our What To Replace Amalgam Fillings With “silver fillings don’t need to be replaced.” one of the most hotly debated issues among dentists these days is whether or not old, silver amalgam fillings in the mouths of so many americans. Is it safe to have amalgam (silver) fillings? Whether you're sick of the side effects of metal fillings or you want a more attractive smile, check out. What To Replace Amalgam Fillings With.
From www.pinterest.com
The beforeandafter of replacing silver fillings (amalgam) with white What To Replace Amalgam Fillings With Whether you're sick of the side effects of metal fillings or you want a more attractive smile, check out these four options to hide or replace. We’ve covered the myths, the truth, and what to do about your fillings. Amalgam, or silver, fillings are made with mercury, silver, tin and copper. It is a relatively common procedure to replace amalgam. What To Replace Amalgam Fillings With.
From www.dental-advice.info
Amalgam Filling Replacement Guide Safe Amalgam Removal What To Replace Amalgam Fillings With Is it safe to have amalgam (silver) fillings? There are many alternatives to dental amalgam fillings, but biocompatibility should be considered when selecting a material. It is a relatively common procedure to replace amalgam fillings with composite fillings whether it's because of health concerns or cosmetic preferences. Whether you're sick of the side effects of metal fillings or you want. What To Replace Amalgam Fillings With.