From www.cureus.com
Cureus DaptomycinInduced Eosinophilic Pneumonia Mimicking Multifocal Differential For Multifocal Pneumonia 37 the differential diagnosis includes alveolar proteinosis, infection (eg, pneumocystis jirovecii. (2) high risk for c. (1) animal exposure (covers zoonotic pneumonias). Once again, there is a broad differential diagnosis for such findings. Difficile infection (doxy reduces risk). Consider this in three situations: Involvement of a single lobe of the lung. Differential For Multifocal Pneumonia.
From www.researchgate.net
Chest Xray showing extensive bilateral pleural effusions (arrows Differential For Multifocal Pneumonia (1) animal exposure (covers zoonotic pneumonias). Involvement of a single lobe of the lung. (2) high risk for c. Consider this in three situations: Difficile infection (doxy reduces risk). Once again, there is a broad differential diagnosis for such findings. 37 the differential diagnosis includes alveolar proteinosis, infection (eg, pneumocystis jirovecii. Differential For Multifocal Pneumonia.
From www.cureus.com
Cureus DaptomycinInduced Eosinophilic Pneumonia Mimicking Multifocal Differential For Multifocal Pneumonia Involvement of a single lobe of the lung. Consider this in three situations: (1) animal exposure (covers zoonotic pneumonias). (2) high risk for c. Difficile infection (doxy reduces risk). Once again, there is a broad differential diagnosis for such findings. 37 the differential diagnosis includes alveolar proteinosis, infection (eg, pneumocystis jirovecii. Differential For Multifocal Pneumonia.
From journals.sagepub.com
Recognition of Peripheral Lung Cancer and Focal Pneumonia on Chest Differential For Multifocal Pneumonia (2) high risk for c. (1) animal exposure (covers zoonotic pneumonias). Consider this in three situations: Once again, there is a broad differential diagnosis for such findings. 37 the differential diagnosis includes alveolar proteinosis, infection (eg, pneumocystis jirovecii. Difficile infection (doxy reduces risk). Involvement of a single lobe of the lung. Differential For Multifocal Pneumonia.
From www.first-and-best.com
Xray Differential Diagnosis App First And Best Differential For Multifocal Pneumonia Difficile infection (doxy reduces risk). (2) high risk for c. (1) animal exposure (covers zoonotic pneumonias). Once again, there is a broad differential diagnosis for such findings. Consider this in three situations: Involvement of a single lobe of the lung. 37 the differential diagnosis includes alveolar proteinosis, infection (eg, pneumocystis jirovecii. Differential For Multifocal Pneumonia.
From www.researchgate.net
Chest xray showing multifocal pneumonia. Download Scientific Diagram Differential For Multifocal Pneumonia Once again, there is a broad differential diagnosis for such findings. Involvement of a single lobe of the lung. 37 the differential diagnosis includes alveolar proteinosis, infection (eg, pneumocystis jirovecii. Consider this in three situations: (2) high risk for c. (1) animal exposure (covers zoonotic pneumonias). Difficile infection (doxy reduces risk). Differential For Multifocal Pneumonia.
From err.ersjournals.com
Differential diagnosis of usual interstitial pneumonia when is it Differential For Multifocal Pneumonia (1) animal exposure (covers zoonotic pneumonias). (2) high risk for c. 37 the differential diagnosis includes alveolar proteinosis, infection (eg, pneumocystis jirovecii. Difficile infection (doxy reduces risk). Once again, there is a broad differential diagnosis for such findings. Involvement of a single lobe of the lung. Consider this in three situations: Differential For Multifocal Pneumonia.
From www.researchgate.net
Chest xray of patient when she represented to the hospital emergency Differential For Multifocal Pneumonia Once again, there is a broad differential diagnosis for such findings. (2) high risk for c. 37 the differential diagnosis includes alveolar proteinosis, infection (eg, pneumocystis jirovecii. Difficile infection (doxy reduces risk). Consider this in three situations: Involvement of a single lobe of the lung. (1) animal exposure (covers zoonotic pneumonias). Differential For Multifocal Pneumonia.
From bloomsies.com
Multifocal Pneumonia Definition, Symptoms, and Causes Bloomsies Differential For Multifocal Pneumonia 37 the differential diagnosis includes alveolar proteinosis, infection (eg, pneumocystis jirovecii. (2) high risk for c. Once again, there is a broad differential diagnosis for such findings. Difficile infection (doxy reduces risk). Involvement of a single lobe of the lung. Consider this in three situations: (1) animal exposure (covers zoonotic pneumonias). Differential For Multifocal Pneumonia.
From www.slideserve.com
PPT HIV/AIDS M3 lecture PowerPoint Presentation, free download ID Differential For Multifocal Pneumonia Involvement of a single lobe of the lung. Difficile infection (doxy reduces risk). (1) animal exposure (covers zoonotic pneumonias). (2) high risk for c. Once again, there is a broad differential diagnosis for such findings. Consider this in three situations: 37 the differential diagnosis includes alveolar proteinosis, infection (eg, pneumocystis jirovecii. Differential For Multifocal Pneumonia.
From www.osmosis.org
Bronchopneumonia What Is It, Contagiousness, Diagnosis, Treatment, and Differential For Multifocal Pneumonia 37 the differential diagnosis includes alveolar proteinosis, infection (eg, pneumocystis jirovecii. Difficile infection (doxy reduces risk). (1) animal exposure (covers zoonotic pneumonias). Consider this in three situations: Involvement of a single lobe of the lung. (2) high risk for c. Once again, there is a broad differential diagnosis for such findings. Differential For Multifocal Pneumonia.
From www.cureus.com
Cureus A Less Virulent COVID19 Pneumonia Differential For Multifocal Pneumonia (2) high risk for c. Difficile infection (doxy reduces risk). Consider this in three situations: Involvement of a single lobe of the lung. 37 the differential diagnosis includes alveolar proteinosis, infection (eg, pneumocystis jirovecii. Once again, there is a broad differential diagnosis for such findings. (1) animal exposure (covers zoonotic pneumonias). Differential For Multifocal Pneumonia.
From www.researchgate.net
A, Multifocal pneumonia with acute bilateral dense airspace Differential For Multifocal Pneumonia (2) high risk for c. Involvement of a single lobe of the lung. (1) animal exposure (covers zoonotic pneumonias). 37 the differential diagnosis includes alveolar proteinosis, infection (eg, pneumocystis jirovecii. Consider this in three situations: Once again, there is a broad differential diagnosis for such findings. Difficile infection (doxy reduces risk). Differential For Multifocal Pneumonia.
From www.researchgate.net
ag COVID19 pneumonia differential diagnosis cardiovascular Differential For Multifocal Pneumonia Once again, there is a broad differential diagnosis for such findings. Consider this in three situations: (1) animal exposure (covers zoonotic pneumonias). 37 the differential diagnosis includes alveolar proteinosis, infection (eg, pneumocystis jirovecii. Difficile infection (doxy reduces risk). (2) high risk for c. Involvement of a single lobe of the lung. Differential For Multifocal Pneumonia.
From www.slideserve.com
PPT Pneumonia PowerPoint Presentation, free download ID2743066 Differential For Multifocal Pneumonia 37 the differential diagnosis includes alveolar proteinosis, infection (eg, pneumocystis jirovecii. (1) animal exposure (covers zoonotic pneumonias). Involvement of a single lobe of the lung. Consider this in three situations: Once again, there is a broad differential diagnosis for such findings. (2) high risk for c. Difficile infection (doxy reduces risk). Differential For Multifocal Pneumonia.
From www.pinterest.com
Learn typical community acquired pneumonia with a Community Differential For Multifocal Pneumonia Involvement of a single lobe of the lung. (2) high risk for c. Consider this in three situations: Difficile infection (doxy reduces risk). 37 the differential diagnosis includes alveolar proteinosis, infection (eg, pneumocystis jirovecii. (1) animal exposure (covers zoonotic pneumonias). Once again, there is a broad differential diagnosis for such findings. Differential For Multifocal Pneumonia.
From www.researchgate.net
(A) Coronal CT slice of multifocal pneumonia and (B) resolution Differential For Multifocal Pneumonia (2) high risk for c. (1) animal exposure (covers zoonotic pneumonias). Consider this in three situations: 37 the differential diagnosis includes alveolar proteinosis, infection (eg, pneumocystis jirovecii. Once again, there is a broad differential diagnosis for such findings. Difficile infection (doxy reduces risk). Involvement of a single lobe of the lung. Differential For Multifocal Pneumonia.
From www.researchgate.net
Differential diagnosis of multifocal white matter lesions Download Table Differential For Multifocal Pneumonia Involvement of a single lobe of the lung. Consider this in three situations: Once again, there is a broad differential diagnosis for such findings. (2) high risk for c. 37 the differential diagnosis includes alveolar proteinosis, infection (eg, pneumocystis jirovecii. Difficile infection (doxy reduces risk). (1) animal exposure (covers zoonotic pneumonias). Differential For Multifocal Pneumonia.
From ddxof.com
Differential Diagnosis of Leukemoid Reaction Differential For Multifocal Pneumonia Consider this in three situations: (1) animal exposure (covers zoonotic pneumonias). Once again, there is a broad differential diagnosis for such findings. (2) high risk for c. 37 the differential diagnosis includes alveolar proteinosis, infection (eg, pneumocystis jirovecii. Difficile infection (doxy reduces risk). Involvement of a single lobe of the lung. Differential For Multifocal Pneumonia.
From blogs.bmj.com
Physical Activity Is Associated with Fewer Influenza and Pneumonia Differential For Multifocal Pneumonia Once again, there is a broad differential diagnosis for such findings. Difficile infection (doxy reduces risk). Involvement of a single lobe of the lung. (1) animal exposure (covers zoonotic pneumonias). Consider this in three situations: (2) high risk for c. 37 the differential diagnosis includes alveolar proteinosis, infection (eg, pneumocystis jirovecii. Differential For Multifocal Pneumonia.
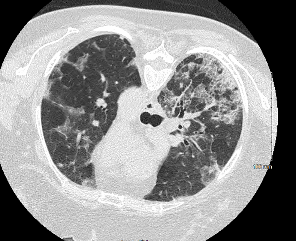
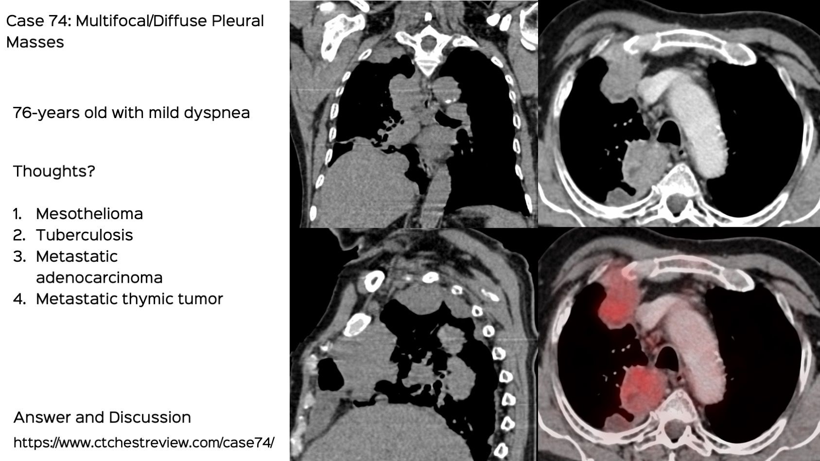
From www.ctchestreview.com
Case 74 Multifocal / Diffuse Pleural Disease Differential For Multifocal Pneumonia 37 the differential diagnosis includes alveolar proteinosis, infection (eg, pneumocystis jirovecii. Once again, there is a broad differential diagnosis for such findings. Consider this in three situations: (2) high risk for c. Involvement of a single lobe of the lung. (1) animal exposure (covers zoonotic pneumonias). Difficile infection (doxy reduces risk). Differential For Multifocal Pneumonia.
From www.mdpi.com
Diagnostics Free FullText Primary Lymphoproliferative Lung Differential For Multifocal Pneumonia Involvement of a single lobe of the lung. Once again, there is a broad differential diagnosis for such findings. 37 the differential diagnosis includes alveolar proteinosis, infection (eg, pneumocystis jirovecii. (1) animal exposure (covers zoonotic pneumonias). Consider this in three situations: (2) high risk for c. Difficile infection (doxy reduces risk). Differential For Multifocal Pneumonia.
From copddiagnosis.web.fc2.com
Is Restrictive Lung Disease Hereditary Differential For Multifocal Pneumonia (2) high risk for c. (1) animal exposure (covers zoonotic pneumonias). Consider this in three situations: 37 the differential diagnosis includes alveolar proteinosis, infection (eg, pneumocystis jirovecii. Involvement of a single lobe of the lung. Difficile infection (doxy reduces risk). Once again, there is a broad differential diagnosis for such findings. Differential For Multifocal Pneumonia.
From www.mdpi.com
JCM Free FullText Interest of a Commercialized Pneumocystis Differential For Multifocal Pneumonia Consider this in three situations: Once again, there is a broad differential diagnosis for such findings. Involvement of a single lobe of the lung. Difficile infection (doxy reduces risk). 37 the differential diagnosis includes alveolar proteinosis, infection (eg, pneumocystis jirovecii. (1) animal exposure (covers zoonotic pneumonias). (2) high risk for c. Differential For Multifocal Pneumonia.
From www.researchgate.net
(PDF) Multifocal Lung Consolidation Differential diagnosis & The Role Differential For Multifocal Pneumonia Involvement of a single lobe of the lung. Difficile infection (doxy reduces risk). (2) high risk for c. Consider this in three situations: (1) animal exposure (covers zoonotic pneumonias). Once again, there is a broad differential diagnosis for such findings. 37 the differential diagnosis includes alveolar proteinosis, infection (eg, pneumocystis jirovecii. Differential For Multifocal Pneumonia.
From www.cureus.com
Cureus A Coronavirus Disease 2019 (COVID19) Patient with Multifocal Differential For Multifocal Pneumonia Once again, there is a broad differential diagnosis for such findings. Difficile infection (doxy reduces risk). (1) animal exposure (covers zoonotic pneumonias). Involvement of a single lobe of the lung. (2) high risk for c. 37 the differential diagnosis includes alveolar proteinosis, infection (eg, pneumocystis jirovecii. Consider this in three situations: Differential For Multifocal Pneumonia.
From www.researchgate.net
Diagnostic criteria for pneumonia. Download Table Differential For Multifocal Pneumonia 37 the differential diagnosis includes alveolar proteinosis, infection (eg, pneumocystis jirovecii. Difficile infection (doxy reduces risk). Consider this in three situations: Involvement of a single lobe of the lung. Once again, there is a broad differential diagnosis for such findings. (1) animal exposure (covers zoonotic pneumonias). (2) high risk for c. Differential For Multifocal Pneumonia.
From in.pinterest.com
Pin by Kethavathabhilash on Med school in 2020 Radiology imaging Differential For Multifocal Pneumonia (2) high risk for c. Difficile infection (doxy reduces risk). Involvement of a single lobe of the lung. (1) animal exposure (covers zoonotic pneumonias). 37 the differential diagnosis includes alveolar proteinosis, infection (eg, pneumocystis jirovecii. Once again, there is a broad differential diagnosis for such findings. Consider this in three situations: Differential For Multifocal Pneumonia.
From www.researchgate.net
H&E sections from this right upper lobe lung wedge biopsy (image a Differential For Multifocal Pneumonia (2) high risk for c. Once again, there is a broad differential diagnosis for such findings. 37 the differential diagnosis includes alveolar proteinosis, infection (eg, pneumocystis jirovecii. Involvement of a single lobe of the lung. Consider this in three situations: (1) animal exposure (covers zoonotic pneumonias). Difficile infection (doxy reduces risk). Differential For Multifocal Pneumonia.
From pubs.rsna.org
Review of the Chest CT Differential Diagnosis of GroundGlass Opacities Differential For Multifocal Pneumonia Consider this in three situations: Involvement of a single lobe of the lung. (2) high risk for c. Difficile infection (doxy reduces risk). 37 the differential diagnosis includes alveolar proteinosis, infection (eg, pneumocystis jirovecii. Once again, there is a broad differential diagnosis for such findings. (1) animal exposure (covers zoonotic pneumonias). Differential For Multifocal Pneumonia.
From soflacil.org
Multifocal Pneumonia Causes, Symptoms, Diagnosis, and Treatment soflacil Differential For Multifocal Pneumonia Difficile infection (doxy reduces risk). Once again, there is a broad differential diagnosis for such findings. (1) animal exposure (covers zoonotic pneumonias). Involvement of a single lobe of the lung. Consider this in three situations: 37 the differential diagnosis includes alveolar proteinosis, infection (eg, pneumocystis jirovecii. (2) high risk for c. Differential For Multifocal Pneumonia.
From ddxof.com
Differential Diagnosis of Leukemoid Reaction Differential For Multifocal Pneumonia 37 the differential diagnosis includes alveolar proteinosis, infection (eg, pneumocystis jirovecii. (1) animal exposure (covers zoonotic pneumonias). Once again, there is a broad differential diagnosis for such findings. Consider this in three situations: (2) high risk for c. Involvement of a single lobe of the lung. Difficile infection (doxy reduces risk). Differential For Multifocal Pneumonia.
From pubs.rsna.org
Accelerated Pulmonary Ossification as a Sequela of SARSCoV2 Pneumonia Differential For Multifocal Pneumonia 37 the differential diagnosis includes alveolar proteinosis, infection (eg, pneumocystis jirovecii. Difficile infection (doxy reduces risk). Involvement of a single lobe of the lung. (1) animal exposure (covers zoonotic pneumonias). Once again, there is a broad differential diagnosis for such findings. Consider this in three situations: (2) high risk for c. Differential For Multifocal Pneumonia.
From lungnsleepclinic.com
Understanding Multifocal Pneumonia Symptoms And Causes Differential For Multifocal Pneumonia (1) animal exposure (covers zoonotic pneumonias). Once again, there is a broad differential diagnosis for such findings. 37 the differential diagnosis includes alveolar proteinosis, infection (eg, pneumocystis jirovecii. Consider this in three situations: Difficile infection (doxy reduces risk). Involvement of a single lobe of the lung. (2) high risk for c. Differential For Multifocal Pneumonia.
From www.cfp.ca
Lipoid pneumonia The College of Family Physicians of Canada Differential For Multifocal Pneumonia Consider this in three situations: Involvement of a single lobe of the lung. (1) animal exposure (covers zoonotic pneumonias). 37 the differential diagnosis includes alveolar proteinosis, infection (eg, pneumocystis jirovecii. Once again, there is a broad differential diagnosis for such findings. Difficile infection (doxy reduces risk). (2) high risk for c. Differential For Multifocal Pneumonia.