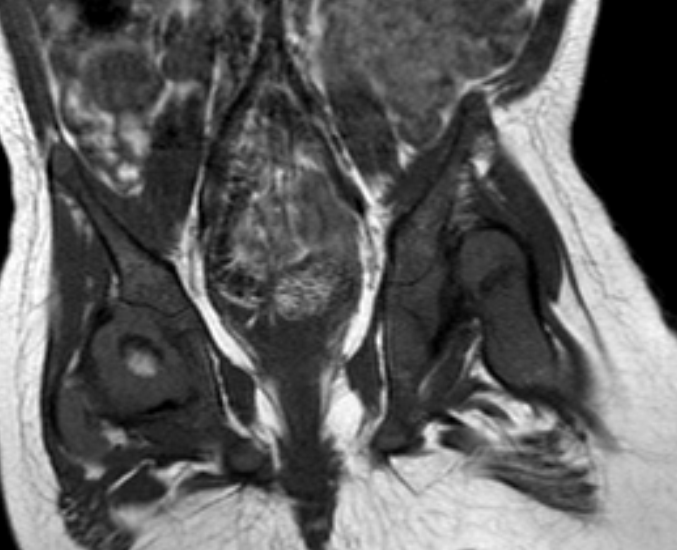
Hip Dysplasia Mri . Conventional radiography is the initial step in evaluating etiology of hip pain in any patient. This information can provide additional clues regarding underlying instability that can. The anterior shift sign is an mr imaging marker of symptomatic and unstable hip dysplasia described by sonoda and colleagues. Mri is increasingly used because it is a noninvasive imaging modality that offers excellent anatomic detail, enabling the differentiation of ossified and unossified components of the hip. The role of mr imaging in postoperative assessment of developmental dysplasia of the hip is reviewed, including. Mri can also assess the hip joint for potential associated injuries to the articular cartilage, labrum, and the ligamentum teres. Developmental dysplasia of the hip (ddh), or in older texts congenital dislocation of the hip (cdh), denotes aberrant development of the hip joint and results from an abnormal. The radiologist should be aware of the increasing role of mri and recognize the critical mri findings of ddh. Radiographic assessment of hip dysplasia in the mature adult pelvis.
from healthjade.net
Mri can also assess the hip joint for potential associated injuries to the articular cartilage, labrum, and the ligamentum teres. Radiographic assessment of hip dysplasia in the mature adult pelvis. Mri is increasingly used because it is a noninvasive imaging modality that offers excellent anatomic detail, enabling the differentiation of ossified and unossified components of the hip. The role of mr imaging in postoperative assessment of developmental dysplasia of the hip is reviewed, including. The anterior shift sign is an mr imaging marker of symptomatic and unstable hip dysplasia described by sonoda and colleagues. The radiologist should be aware of the increasing role of mri and recognize the critical mri findings of ddh. Developmental dysplasia of the hip (ddh), or in older texts congenital dislocation of the hip (cdh), denotes aberrant development of the hip joint and results from an abnormal. This information can provide additional clues regarding underlying instability that can. Conventional radiography is the initial step in evaluating etiology of hip pain in any patient.
Developmental dysplasia of the hip causes, symptoms, diagnosis
Hip Dysplasia Mri The anterior shift sign is an mr imaging marker of symptomatic and unstable hip dysplasia described by sonoda and colleagues. Developmental dysplasia of the hip (ddh), or in older texts congenital dislocation of the hip (cdh), denotes aberrant development of the hip joint and results from an abnormal. Mri is increasingly used because it is a noninvasive imaging modality that offers excellent anatomic detail, enabling the differentiation of ossified and unossified components of the hip. The radiologist should be aware of the increasing role of mri and recognize the critical mri findings of ddh. Conventional radiography is the initial step in evaluating etiology of hip pain in any patient. The anterior shift sign is an mr imaging marker of symptomatic and unstable hip dysplasia described by sonoda and colleagues. Mri can also assess the hip joint for potential associated injuries to the articular cartilage, labrum, and the ligamentum teres. This information can provide additional clues regarding underlying instability that can. The role of mr imaging in postoperative assessment of developmental dysplasia of the hip is reviewed, including. Radiographic assessment of hip dysplasia in the mature adult pelvis.
From www.semanticscholar.org
Imaging findings of developmental dysplasia of the hip in adults Hip Dysplasia Mri Developmental dysplasia of the hip (ddh), or in older texts congenital dislocation of the hip (cdh), denotes aberrant development of the hip joint and results from an abnormal. The radiologist should be aware of the increasing role of mri and recognize the critical mri findings of ddh. The anterior shift sign is an mr imaging marker of symptomatic and unstable. Hip Dysplasia Mri.
From www.frontiersin.org
Frontiers A Semiautomatic Diagnosis of Hip Dysplasia on XRay Films Hip Dysplasia Mri Conventional radiography is the initial step in evaluating etiology of hip pain in any patient. The radiologist should be aware of the increasing role of mri and recognize the critical mri findings of ddh. This information can provide additional clues regarding underlying instability that can. Radiographic assessment of hip dysplasia in the mature adult pelvis. The anterior shift sign is. Hip Dysplasia Mri.
From www.youtube.com
dysplasia xrays YouTube Hip Dysplasia Mri The role of mr imaging in postoperative assessment of developmental dysplasia of the hip is reviewed, including. This information can provide additional clues regarding underlying instability that can. Mri can also assess the hip joint for potential associated injuries to the articular cartilage, labrum, and the ligamentum teres. Conventional radiography is the initial step in evaluating etiology of hip pain. Hip Dysplasia Mri.
From bonetumor.org
Fibrous dysplasia MRI Hip Dysplasia Mri Developmental dysplasia of the hip (ddh), or in older texts congenital dislocation of the hip (cdh), denotes aberrant development of the hip joint and results from an abnormal. Conventional radiography is the initial step in evaluating etiology of hip pain in any patient. This information can provide additional clues regarding underlying instability that can. The anterior shift sign is an. Hip Dysplasia Mri.
From radsource.us
Developmental Dysplasia of the Hip Radsource Hip Dysplasia Mri Developmental dysplasia of the hip (ddh), or in older texts congenital dislocation of the hip (cdh), denotes aberrant development of the hip joint and results from an abnormal. Mri is increasingly used because it is a noninvasive imaging modality that offers excellent anatomic detail, enabling the differentiation of ossified and unossified components of the hip. This information can provide additional. Hip Dysplasia Mri.
From www.svuhradiology.ie
Developmental dysplasia of the hips (2) Radiology at St. Vincent's Hip Dysplasia Mri Conventional radiography is the initial step in evaluating etiology of hip pain in any patient. Radiographic assessment of hip dysplasia in the mature adult pelvis. Mri is increasingly used because it is a noninvasive imaging modality that offers excellent anatomic detail, enabling the differentiation of ossified and unossified components of the hip. The radiologist should be aware of the increasing. Hip Dysplasia Mri.
From www.pinterest.es
The term congenital dislocation of the hip dates back to the time of Hip Dysplasia Mri Conventional radiography is the initial step in evaluating etiology of hip pain in any patient. The role of mr imaging in postoperative assessment of developmental dysplasia of the hip is reviewed, including. This information can provide additional clues regarding underlying instability that can. The radiologist should be aware of the increasing role of mri and recognize the critical mri findings. Hip Dysplasia Mri.
From www.elwoodvet.net
Hip dysplasia — Elwood vet Hip Dysplasia Mri The role of mr imaging in postoperative assessment of developmental dysplasia of the hip is reviewed, including. Radiographic assessment of hip dysplasia in the mature adult pelvis. Conventional radiography is the initial step in evaluating etiology of hip pain in any patient. Mri is increasingly used because it is a noninvasive imaging modality that offers excellent anatomic detail, enabling the. Hip Dysplasia Mri.
From www.researchgate.net
MRI scan of the pelvis demonstrating the fibrous dysplasia of the right Hip Dysplasia Mri This information can provide additional clues regarding underlying instability that can. The anterior shift sign is an mr imaging marker of symptomatic and unstable hip dysplasia described by sonoda and colleagues. The radiologist should be aware of the increasing role of mri and recognize the critical mri findings of ddh. Conventional radiography is the initial step in evaluating etiology of. Hip Dysplasia Mri.
From www.researchgate.net
Xray images of a 14 month old female Border Collie (21 kg) with B1 hip Hip Dysplasia Mri Mri can also assess the hip joint for potential associated injuries to the articular cartilage, labrum, and the ligamentum teres. Developmental dysplasia of the hip (ddh), or in older texts congenital dislocation of the hip (cdh), denotes aberrant development of the hip joint and results from an abnormal. Conventional radiography is the initial step in evaluating etiology of hip pain. Hip Dysplasia Mri.
From radsource.us
Developmental Dysplasia of the Hip Radsource Hip Dysplasia Mri The role of mr imaging in postoperative assessment of developmental dysplasia of the hip is reviewed, including. Conventional radiography is the initial step in evaluating etiology of hip pain in any patient. Developmental dysplasia of the hip (ddh), or in older texts congenital dislocation of the hip (cdh), denotes aberrant development of the hip joint and results from an abnormal.. Hip Dysplasia Mri.
From ballaratosm.com.au
Options for symptomatic hip dysplasia in adults BallaratOSM Hip Dysplasia Mri Mri can also assess the hip joint for potential associated injuries to the articular cartilage, labrum, and the ligamentum teres. The radiologist should be aware of the increasing role of mri and recognize the critical mri findings of ddh. Conventional radiography is the initial step in evaluating etiology of hip pain in any patient. Developmental dysplasia of the hip (ddh),. Hip Dysplasia Mri.
From www.slideshare.net
Presentation1, radiological imaging of developmental dysplasia of the… Hip Dysplasia Mri Mri can also assess the hip joint for potential associated injuries to the articular cartilage, labrum, and the ligamentum teres. Radiographic assessment of hip dysplasia in the mature adult pelvis. The role of mr imaging in postoperative assessment of developmental dysplasia of the hip is reviewed, including. This information can provide additional clues regarding underlying instability that can. Conventional radiography. Hip Dysplasia Mri.
From www.broadcastmed.com
Treating Hip DysplasiaAssociated Labral Tears BroadcastMed Hip Dysplasia Mri Mri can also assess the hip joint for potential associated injuries to the articular cartilage, labrum, and the ligamentum teres. The anterior shift sign is an mr imaging marker of symptomatic and unstable hip dysplasia described by sonoda and colleagues. Conventional radiography is the initial step in evaluating etiology of hip pain in any patient. Mri is increasingly used because. Hip Dysplasia Mri.
From www.pinterest.com
Developmental dysplasia of the hip Radiology Case Hip Dysplasia Mri The role of mr imaging in postoperative assessment of developmental dysplasia of the hip is reviewed, including. Developmental dysplasia of the hip (ddh), or in older texts congenital dislocation of the hip (cdh), denotes aberrant development of the hip joint and results from an abnormal. The anterior shift sign is an mr imaging marker of symptomatic and unstable hip dysplasia. Hip Dysplasia Mri.
From www.ajronline.org
Imaging Evaluation of Developmental Hip Dysplasia in the Young Adult AJR Hip Dysplasia Mri The role of mr imaging in postoperative assessment of developmental dysplasia of the hip is reviewed, including. This information can provide additional clues regarding underlying instability that can. Developmental dysplasia of the hip (ddh), or in older texts congenital dislocation of the hip (cdh), denotes aberrant development of the hip joint and results from an abnormal. The anterior shift sign. Hip Dysplasia Mri.
From www.semanticscholar.org
Imaging findings of developmental dysplasia of the hip in adults Hip Dysplasia Mri Mri is increasingly used because it is a noninvasive imaging modality that offers excellent anatomic detail, enabling the differentiation of ossified and unossified components of the hip. Developmental dysplasia of the hip (ddh), or in older texts congenital dislocation of the hip (cdh), denotes aberrant development of the hip joint and results from an abnormal. Conventional radiography is the initial. Hip Dysplasia Mri.
From www.sciencephoto.com
Hip Dysplasia in Child, XRay Stock Image C043/2867 Science Photo Hip Dysplasia Mri The anterior shift sign is an mr imaging marker of symptomatic and unstable hip dysplasia described by sonoda and colleagues. Mri can also assess the hip joint for potential associated injuries to the articular cartilage, labrum, and the ligamentum teres. Radiographic assessment of hip dysplasia in the mature adult pelvis. Conventional radiography is the initial step in evaluating etiology of. Hip Dysplasia Mri.
From www.youtube.com
Imaging in developmental hip dysplasia YouTube Hip Dysplasia Mri Conventional radiography is the initial step in evaluating etiology of hip pain in any patient. The radiologist should be aware of the increasing role of mri and recognize the critical mri findings of ddh. Mri is increasingly used because it is a noninvasive imaging modality that offers excellent anatomic detail, enabling the differentiation of ossified and unossified components of the. Hip Dysplasia Mri.
From radsource.us
Developmental Dysplasia of the Hip Radsource Hip Dysplasia Mri The radiologist should be aware of the increasing role of mri and recognize the critical mri findings of ddh. Mri is increasingly used because it is a noninvasive imaging modality that offers excellent anatomic detail, enabling the differentiation of ossified and unossified components of the hip. This information can provide additional clues regarding underlying instability that can. Mri can also. Hip Dysplasia Mri.
From radsource.us
Developmental Dysplasia of the Hip Radsource Hip Dysplasia Mri Mri is increasingly used because it is a noninvasive imaging modality that offers excellent anatomic detail, enabling the differentiation of ossified and unossified components of the hip. Radiographic assessment of hip dysplasia in the mature adult pelvis. The role of mr imaging in postoperative assessment of developmental dysplasia of the hip is reviewed, including. Developmental dysplasia of the hip (ddh),. Hip Dysplasia Mri.
From healthjade.net
Developmental dysplasia of the hip causes, symptoms, diagnosis Hip Dysplasia Mri The anterior shift sign is an mr imaging marker of symptomatic and unstable hip dysplasia described by sonoda and colleagues. Developmental dysplasia of the hip (ddh), or in older texts congenital dislocation of the hip (cdh), denotes aberrant development of the hip joint and results from an abnormal. The radiologist should be aware of the increasing role of mri and. Hip Dysplasia Mri.
From sumerdoc.blogspot.com
Developmental Hip DysplasiaMRI Sumer's Radiology Blog Hip Dysplasia Mri The anterior shift sign is an mr imaging marker of symptomatic and unstable hip dysplasia described by sonoda and colleagues. Conventional radiography is the initial step in evaluating etiology of hip pain in any patient. Mri can also assess the hip joint for potential associated injuries to the articular cartilage, labrum, and the ligamentum teres. Radiographic assessment of hip dysplasia. Hip Dysplasia Mri.
From www.ajronline.org
Imaging Evaluation of Developmental Hip Dysplasia in the Young Adult AJR Hip Dysplasia Mri Developmental dysplasia of the hip (ddh), or in older texts congenital dislocation of the hip (cdh), denotes aberrant development of the hip joint and results from an abnormal. Mri is increasingly used because it is a noninvasive imaging modality that offers excellent anatomic detail, enabling the differentiation of ossified and unossified components of the hip. The radiologist should be aware. Hip Dysplasia Mri.
From www.alamy.com
Congenital hip dysplasia. Xray of the hips of a woman with congenital Hip Dysplasia Mri The radiologist should be aware of the increasing role of mri and recognize the critical mri findings of ddh. Conventional radiography is the initial step in evaluating etiology of hip pain in any patient. Developmental dysplasia of the hip (ddh), or in older texts congenital dislocation of the hip (cdh), denotes aberrant development of the hip joint and results from. Hip Dysplasia Mri.
From www.semanticscholar.org
Figure 2 from MRI in Hip Dysplasia How to Shorten your MRProtocol Hip Dysplasia Mri Conventional radiography is the initial step in evaluating etiology of hip pain in any patient. This information can provide additional clues regarding underlying instability that can. Developmental dysplasia of the hip (ddh), or in older texts congenital dislocation of the hip (cdh), denotes aberrant development of the hip joint and results from an abnormal. Mri can also assess the hip. Hip Dysplasia Mri.
From davidslattery.com
Hip DysplasiaAdolescent Description Hip Dysplasia Mri Mri is increasingly used because it is a noninvasive imaging modality that offers excellent anatomic detail, enabling the differentiation of ossified and unossified components of the hip. Radiographic assessment of hip dysplasia in the mature adult pelvis. The radiologist should be aware of the increasing role of mri and recognize the critical mri findings of ddh. The anterior shift sign. Hip Dysplasia Mri.
From www.indianradiology.com
Developmental Hip DysplasiaMRI Sumer's Radiology Blog Hip Dysplasia Mri Mri can also assess the hip joint for potential associated injuries to the articular cartilage, labrum, and the ligamentum teres. The role of mr imaging in postoperative assessment of developmental dysplasia of the hip is reviewed, including. Mri is increasingly used because it is a noninvasive imaging modality that offers excellent anatomic detail, enabling the differentiation of ossified and unossified. Hip Dysplasia Mri.
From radiologykey.com
Hip Dysplasia Radiology Key Hip Dysplasia Mri Mri is increasingly used because it is a noninvasive imaging modality that offers excellent anatomic detail, enabling the differentiation of ossified and unossified components of the hip. Radiographic assessment of hip dysplasia in the mature adult pelvis. Mri can also assess the hip joint for potential associated injuries to the articular cartilage, labrum, and the ligamentum teres. The anterior shift. Hip Dysplasia Mri.
From pediatricimaging.org
Developmental Dysplasia of the Hip Pediatric Radiology Reference Hip Dysplasia Mri The anterior shift sign is an mr imaging marker of symptomatic and unstable hip dysplasia described by sonoda and colleagues. The radiologist should be aware of the increasing role of mri and recognize the critical mri findings of ddh. Conventional radiography is the initial step in evaluating etiology of hip pain in any patient. Mri is increasingly used because it. Hip Dysplasia Mri.
From www.orthobullets.com
Adult Dysplasia of the Hip Recon Orthobullets Hip Dysplasia Mri Conventional radiography is the initial step in evaluating etiology of hip pain in any patient. Developmental dysplasia of the hip (ddh), or in older texts congenital dislocation of the hip (cdh), denotes aberrant development of the hip joint and results from an abnormal. The radiologist should be aware of the increasing role of mri and recognize the critical mri findings. Hip Dysplasia Mri.
From radsource.us
Developmental Dysplasia of the Hip Radsource Hip Dysplasia Mri Conventional radiography is the initial step in evaluating etiology of hip pain in any patient. Radiographic assessment of hip dysplasia in the mature adult pelvis. Mri can also assess the hip joint for potential associated injuries to the articular cartilage, labrum, and the ligamentum teres. Mri is increasingly used because it is a noninvasive imaging modality that offers excellent anatomic. Hip Dysplasia Mri.
From www.socalhip.com
Hip Surgeon Los Angeles Southern California Hip Institute North Hip Dysplasia Mri Radiographic assessment of hip dysplasia in the mature adult pelvis. Conventional radiography is the initial step in evaluating etiology of hip pain in any patient. The anterior shift sign is an mr imaging marker of symptomatic and unstable hip dysplasia described by sonoda and colleagues. Mri can also assess the hip joint for potential associated injuries to the articular cartilage,. Hip Dysplasia Mri.
From hipdysplasia.org
Diagnosis International Hip Dysplasia Institute Hip Dysplasia Mri Developmental dysplasia of the hip (ddh), or in older texts congenital dislocation of the hip (cdh), denotes aberrant development of the hip joint and results from an abnormal. The anterior shift sign is an mr imaging marker of symptomatic and unstable hip dysplasia described by sonoda and colleagues. Radiographic assessment of hip dysplasia in the mature adult pelvis. The radiologist. Hip Dysplasia Mri.
From radedasia.com
Hip Dysplastic Labrum MRI Acetabular Labrum More than just tears Part Hip Dysplasia Mri The radiologist should be aware of the increasing role of mri and recognize the critical mri findings of ddh. Conventional radiography is the initial step in evaluating etiology of hip pain in any patient. This information can provide additional clues regarding underlying instability that can. The role of mr imaging in postoperative assessment of developmental dysplasia of the hip is. Hip Dysplasia Mri.