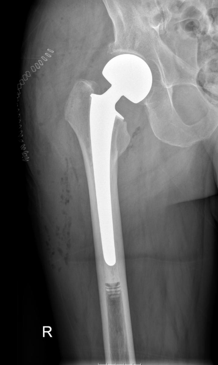
Can An Artificial Hip Pop Out . Patients undergoing hip arthroplasties should If you bend in the wrong way or put too much stress on the hip area, the artificial femur head can dislocate from the hip socket. Hip dislocation is a painful event in which the ball joint of your hip comes out of its socket. Dislocation of an artificial hip is uncommon but may occur within the first three months after surgery. Dislocation after hip replacement is uncommon. If you move incorrectly or put too much strain on your artificial hip while it is in a compromised position, it can cause the. The risk is greatest in the first months after surgery. It usually occurs from a significant. The problem usually starts with a popping or slipping sensation. Symptoms of a loose hip replacement include pain in the groin or upper thigh, new popping or clicking noises, joint instability, and dislocation or subluxation (partial dislocation While hip dislocation is a major complication following hip replacement surgery, understanding the causes, risk factors, and preventive measures can significantly reduce the risk. A loosening hip replacement implant can be painful.
        
         
         
        from www.verywellhealth.com 
     
        
        It usually occurs from a significant. If you move incorrectly or put too much strain on your artificial hip while it is in a compromised position, it can cause the. While hip dislocation is a major complication following hip replacement surgery, understanding the causes, risk factors, and preventive measures can significantly reduce the risk. If you bend in the wrong way or put too much stress on the hip area, the artificial femur head can dislocate from the hip socket. Dislocation of an artificial hip is uncommon but may occur within the first three months after surgery. Hip dislocation is a painful event in which the ball joint of your hip comes out of its socket. Patients undergoing hip arthroplasties should The risk is greatest in the first months after surgery. Symptoms of a loose hip replacement include pain in the groin or upper thigh, new popping or clicking noises, joint instability, and dislocation or subluxation (partial dislocation A loosening hip replacement implant can be painful.
    
    	
            
	
		 
	 
         
    Hip Replacement Implant Loosening Symptoms 
    Can An Artificial Hip Pop Out  A loosening hip replacement implant can be painful. Patients undergoing hip arthroplasties should A loosening hip replacement implant can be painful. If you move incorrectly or put too much strain on your artificial hip while it is in a compromised position, it can cause the. Dislocation after hip replacement is uncommon. Dislocation of an artificial hip is uncommon but may occur within the first three months after surgery. Symptoms of a loose hip replacement include pain in the groin or upper thigh, new popping or clicking noises, joint instability, and dislocation or subluxation (partial dislocation The risk is greatest in the first months after surgery. It usually occurs from a significant. Hip dislocation is a painful event in which the ball joint of your hip comes out of its socket. If you bend in the wrong way or put too much stress on the hip area, the artificial femur head can dislocate from the hip socket. While hip dislocation is a major complication following hip replacement surgery, understanding the causes, risk factors, and preventive measures can significantly reduce the risk. The problem usually starts with a popping or slipping sensation.
            
	
		 
	 
         
 
    
         
        From orthoinfo.aaos.org 
                    Revision Total Hip Replacement OrthoInfo AAOS Can An Artificial Hip Pop Out  Dislocation of an artificial hip is uncommon but may occur within the first three months after surgery. Patients undergoing hip arthroplasties should If you bend in the wrong way or put too much stress on the hip area, the artificial femur head can dislocate from the hip socket. The problem usually starts with a popping or slipping sensation. A loosening. Can An Artificial Hip Pop Out.
     
    
         
        From christopherboonemd.com 
                    What is The Main Cause of Needing a Hip Replacement? Can An Artificial Hip Pop Out  Patients undergoing hip arthroplasties should A loosening hip replacement implant can be painful. Dislocation of an artificial hip is uncommon but may occur within the first three months after surgery. Symptoms of a loose hip replacement include pain in the groin or upper thigh, new popping or clicking noises, joint instability, and dislocation or subluxation (partial dislocation Dislocation after hip. Can An Artificial Hip Pop Out.
     
    
         
        From raymundoroegner-99.blogspot.com 
                    dislocation following total hip replacement causes and cures Can An Artificial Hip Pop Out  If you move incorrectly or put too much strain on your artificial hip while it is in a compromised position, it can cause the. The problem usually starts with a popping or slipping sensation. While hip dislocation is a major complication following hip replacement surgery, understanding the causes, risk factors, and preventive measures can significantly reduce the risk. Dislocation of. Can An Artificial Hip Pop Out.
     
    
         
        From hipandkneehandbook.com 
                    Illustration of typical hip replacement components Hip and Knee Can An Artificial Hip Pop Out  Symptoms of a loose hip replacement include pain in the groin or upper thigh, new popping or clicking noises, joint instability, and dislocation or subluxation (partial dislocation Hip dislocation is a painful event in which the ball joint of your hip comes out of its socket. If you move incorrectly or put too much strain on your artificial hip while. Can An Artificial Hip Pop Out.
     
    
         
        From www.capsurenterprises.com 
                    Different Types of Hip Replacement Implants Capsur Enterprises Can An Artificial Hip Pop Out  The risk is greatest in the first months after surgery. Hip dislocation is a painful event in which the ball joint of your hip comes out of its socket. If you move incorrectly or put too much strain on your artificial hip while it is in a compromised position, it can cause the. A loosening hip replacement implant can be. Can An Artificial Hip Pop Out.
     
    
         
        From www.orthoaustin.com 
                    Hip Surgery Austin, TX Orthopaedic Specialists of Austin Can An Artificial Hip Pop Out  Patients undergoing hip arthroplasties should If you bend in the wrong way or put too much stress on the hip area, the artificial femur head can dislocate from the hip socket. Hip dislocation is a painful event in which the ball joint of your hip comes out of its socket. The risk is greatest in the first months after surgery.. Can An Artificial Hip Pop Out.
     
    
         
        From www.painscale.com 
                    Risks and Benefits of Hip Replacement Surgery PainScale Can An Artificial Hip Pop Out  Dislocation after hip replacement is uncommon. The risk is greatest in the first months after surgery. Symptoms of a loose hip replacement include pain in the groin or upper thigh, new popping or clicking noises, joint instability, and dislocation or subluxation (partial dislocation It usually occurs from a significant. Dislocation of an artificial hip is uncommon but may occur within. Can An Artificial Hip Pop Out.
     
    
         
        From www.youtube.com 
                    Artificial Hip Replacement Anterior Approach YouTube Can An Artificial Hip Pop Out  It usually occurs from a significant. Symptoms of a loose hip replacement include pain in the groin or upper thigh, new popping or clicking noises, joint instability, and dislocation or subluxation (partial dislocation Hip dislocation is a painful event in which the ball joint of your hip comes out of its socket. The problem usually starts with a popping or. Can An Artificial Hip Pop Out.
     
    
         
        From www.drugwatch.com 
                    Hip Replacement Procedure Types, Recovery Time, & Risks Can An Artificial Hip Pop Out  Dislocation after hip replacement is uncommon. If you move incorrectly or put too much strain on your artificial hip while it is in a compromised position, it can cause the. Symptoms of a loose hip replacement include pain in the groin or upper thigh, new popping or clicking noises, joint instability, and dislocation or subluxation (partial dislocation The risk is. Can An Artificial Hip Pop Out.
     
    
         
        From www.mrhc.org 
                    What Happens During Total Hip Replacement? Magnolia Regional Health Can An Artificial Hip Pop Out  Dislocation of an artificial hip is uncommon but may occur within the first three months after surgery. A loosening hip replacement implant can be painful. Hip dislocation is a painful event in which the ball joint of your hip comes out of its socket. If you bend in the wrong way or put too much stress on the hip area,. Can An Artificial Hip Pop Out.
     
    
         
        From www.researchgate.net 
                    Main components in the structure of an artificial hip joint [29 Can An Artificial Hip Pop Out  A loosening hip replacement implant can be painful. Dislocation of an artificial hip is uncommon but may occur within the first three months after surgery. Patients undergoing hip arthroplasties should If you bend in the wrong way or put too much stress on the hip area, the artificial femur head can dislocate from the hip socket. The problem usually starts. Can An Artificial Hip Pop Out.
     
    
         
        From www.mdpi.com 
                    Antibiotics Free FullText Articulating Hip Spacers with a Can An Artificial Hip Pop Out  Hip dislocation is a painful event in which the ball joint of your hip comes out of its socket. Patients undergoing hip arthroplasties should Symptoms of a loose hip replacement include pain in the groin or upper thigh, new popping or clicking noises, joint instability, and dislocation or subluxation (partial dislocation If you bend in the wrong way or put. Can An Artificial Hip Pop Out.
     
    
         
        From www.stgeorgesurgical.com 
                    Anterior Approach Total Hip Replacement (AATHR) St. Surgical Can An Artificial Hip Pop Out  If you bend in the wrong way or put too much stress on the hip area, the artificial femur head can dislocate from the hip socket. The risk is greatest in the first months after surgery. A loosening hip replacement implant can be painful. It usually occurs from a significant. Dislocation of an artificial hip is uncommon but may occur. Can An Artificial Hip Pop Out.
     
    
         
        From www.researchgate.net 
                    Main components of an artificial hip joint [2]. Download Scientific Can An Artificial Hip Pop Out  While hip dislocation is a major complication following hip replacement surgery, understanding the causes, risk factors, and preventive measures can significantly reduce the risk. It usually occurs from a significant. Dislocation after hip replacement is uncommon. Patients undergoing hip arthroplasties should If you bend in the wrong way or put too much stress on the hip area, the artificial femur. Can An Artificial Hip Pop Out.
     
    
         
        From www.sciencephoto.com 
                    Person with an artificial hip, Xray Stock Image F029/8972 Can An Artificial Hip Pop Out  Symptoms of a loose hip replacement include pain in the groin or upper thigh, new popping or clicking noises, joint instability, and dislocation or subluxation (partial dislocation The risk is greatest in the first months after surgery. Patients undergoing hip arthroplasties should The problem usually starts with a popping or slipping sensation. If you bend in the wrong way or. Can An Artificial Hip Pop Out.
     
    
         
        From www.maimonidesem.org 
                    Hip Dislocations POD — Maimonides Emergency Medicine Residency Can An Artificial Hip Pop Out  If you bend in the wrong way or put too much stress on the hip area, the artificial femur head can dislocate from the hip socket. The risk is greatest in the first months after surgery. Patients undergoing hip arthroplasties should If you move incorrectly or put too much strain on your artificial hip while it is in a compromised. Can An Artificial Hip Pop Out.
     
    
         
        From www.nbsportsmed.com 
                    What is the Best Surgical Approach for Hip Replacement? New Braunfels Can An Artificial Hip Pop Out  Hip dislocation is a painful event in which the ball joint of your hip comes out of its socket. Symptoms of a loose hip replacement include pain in the groin or upper thigh, new popping or clicking noises, joint instability, and dislocation or subluxation (partial dislocation Patients undergoing hip arthroplasties should The risk is greatest in the first months after. Can An Artificial Hip Pop Out.
     
    
         
        From www.verywellhealth.com 
                    Direct Superior Hip Replacement Overview Can An Artificial Hip Pop Out  Dislocation after hip replacement is uncommon. A loosening hip replacement implant can be painful. If you bend in the wrong way or put too much stress on the hip area, the artificial femur head can dislocate from the hip socket. It usually occurs from a significant. Dislocation of an artificial hip is uncommon but may occur within the first three. Can An Artificial Hip Pop Out.
     
    
         
        From orthosportsmed.com 
                    Fracture After Total Hip Replacement Orthopedic & Sports Medicine Can An Artificial Hip Pop Out  While hip dislocation is a major complication following hip replacement surgery, understanding the causes, risk factors, and preventive measures can significantly reduce the risk. Hip dislocation is a painful event in which the ball joint of your hip comes out of its socket. A loosening hip replacement implant can be painful. Dislocation after hip replacement is uncommon. Symptoms of a. Can An Artificial Hip Pop Out.
     
    
         
        From floridasurgeryconsultants.com 
                    Total Hip Replacement Florida Surgery Consultants Can An Artificial Hip Pop Out  If you move incorrectly or put too much strain on your artificial hip while it is in a compromised position, it can cause the. Patients undergoing hip arthroplasties should Dislocation of an artificial hip is uncommon but may occur within the first three months after surgery. If you bend in the wrong way or put too much stress on the. Can An Artificial Hip Pop Out.
     
    
         
        From healthjade.com 
                    Hip Replacement Surgery Recovery Time, Alternatives, Risks Can An Artificial Hip Pop Out  Hip dislocation is a painful event in which the ball joint of your hip comes out of its socket. Patients undergoing hip arthroplasties should The risk is greatest in the first months after surgery. Dislocation of an artificial hip is uncommon but may occur within the first three months after surgery. The problem usually starts with a popping or slipping. Can An Artificial Hip Pop Out.
     
    
         
        From www.mayoclinic.org 
                    Repair options Mayo Clinic Can An Artificial Hip Pop Out  Patients undergoing hip arthroplasties should If you move incorrectly or put too much strain on your artificial hip while it is in a compromised position, it can cause the. The problem usually starts with a popping or slipping sensation. If you bend in the wrong way or put too much stress on the hip area, the artificial femur head can. Can An Artificial Hip Pop Out.
     
    
         
        From orthoinfo.org 
                    Revision Total Hip Replacement OrthoInfo AAOS Can An Artificial Hip Pop Out  It usually occurs from a significant. The risk is greatest in the first months after surgery. Hip dislocation is a painful event in which the ball joint of your hip comes out of its socket. The problem usually starts with a popping or slipping sensation. Dislocation of an artificial hip is uncommon but may occur within the first three months. Can An Artificial Hip Pop Out.
     
    
         
        From www.verywellhealth.com 
                    Hip Replacement Implant Loosening Symptoms Can An Artificial Hip Pop Out  Dislocation after hip replacement is uncommon. Patients undergoing hip arthroplasties should If you move incorrectly or put too much strain on your artificial hip while it is in a compromised position, it can cause the. The problem usually starts with a popping or slipping sensation. Dislocation of an artificial hip is uncommon but may occur within the first three months. Can An Artificial Hip Pop Out.
     
    
         
        From osv.com.au 
                    Total Hip Replacement OrthoSport Victoria Can An Artificial Hip Pop Out  It usually occurs from a significant. While hip dislocation is a major complication following hip replacement surgery, understanding the causes, risk factors, and preventive measures can significantly reduce the risk. If you bend in the wrong way or put too much stress on the hip area, the artificial femur head can dislocate from the hip socket. Patients undergoing hip arthroplasties. Can An Artificial Hip Pop Out.
     
    
         
        From www.walmart.com 
                    24"x36" Gallery Poster, artificial hip replacement Can An Artificial Hip Pop Out  It usually occurs from a significant. Dislocation of an artificial hip is uncommon but may occur within the first three months after surgery. The problem usually starts with a popping or slipping sensation. If you move incorrectly or put too much strain on your artificial hip while it is in a compromised position, it can cause the. Hip dislocation is. Can An Artificial Hip Pop Out.
     
    
         
        From www.houstonphysicianshospital.com 
                    What To Do If Your Hip Pops Out of Place Houston Physicians' Hospital Can An Artificial Hip Pop Out  While hip dislocation is a major complication following hip replacement surgery, understanding the causes, risk factors, and preventive measures can significantly reduce the risk. A loosening hip replacement implant can be painful. If you move incorrectly or put too much strain on your artificial hip while it is in a compromised position, it can cause the. The problem usually starts. Can An Artificial Hip Pop Out.
     
    
         
        From www.imagesshirt.com 
                    Ceramic Ball Hip Replacement Best Image Home Can An Artificial Hip Pop Out  While hip dislocation is a major complication following hip replacement surgery, understanding the causes, risk factors, and preventive measures can significantly reduce the risk. Dislocation of an artificial hip is uncommon but may occur within the first three months after surgery. If you bend in the wrong way or put too much stress on the hip area, the artificial femur. Can An Artificial Hip Pop Out.
     
    
         
        From www.turbosquid.com 
                    3D hip replacement implant installed model TurboSquid 1220758 Can An Artificial Hip Pop Out  Patients undergoing hip arthroplasties should The risk is greatest in the first months after surgery. If you move incorrectly or put too much strain on your artificial hip while it is in a compromised position, it can cause the. A loosening hip replacement implant can be painful. If you bend in the wrong way or put too much stress on. Can An Artificial Hip Pop Out.
     
    
         
        From e3.eurekalert.org 
                    Many diseases increase the risks of hip fract EurekAlert! Can An Artificial Hip Pop Out  It usually occurs from a significant. If you bend in the wrong way or put too much stress on the hip area, the artificial femur head can dislocate from the hip socket. The risk is greatest in the first months after surgery. While hip dislocation is a major complication following hip replacement surgery, understanding the causes, risk factors, and preventive. Can An Artificial Hip Pop Out.
     
    
         
        From newatlas.com 
                    German scientists creating a hightech artificial hip Can An Artificial Hip Pop Out  If you bend in the wrong way or put too much stress on the hip area, the artificial femur head can dislocate from the hip socket. The risk is greatest in the first months after surgery. Dislocation after hip replacement is uncommon. Symptoms of a loose hip replacement include pain in the groin or upper thigh, new popping or clicking. Can An Artificial Hip Pop Out.
     
    
         
        From www.newscientist.com 
                    Hip replacements New Scientist Can An Artificial Hip Pop Out  Hip dislocation is a painful event in which the ball joint of your hip comes out of its socket. Dislocation of an artificial hip is uncommon but may occur within the first three months after surgery. The risk is greatest in the first months after surgery. A loosening hip replacement implant can be painful. Patients undergoing hip arthroplasties should Symptoms. Can An Artificial Hip Pop Out.
     
    
         
        From www.staradvertiser.com 
                    Pain near artificial hip should be evaluated without delay Honolulu Can An Artificial Hip Pop Out  Symptoms of a loose hip replacement include pain in the groin or upper thigh, new popping or clicking noises, joint instability, and dislocation or subluxation (partial dislocation It usually occurs from a significant. The risk is greatest in the first months after surgery. Dislocation after hip replacement is uncommon. While hip dislocation is a major complication following hip replacement surgery,. Can An Artificial Hip Pop Out.
     
    
         
        From orthopaedicprinciples.com 
                    Dislocation after Total Hip Replacement — Can An Artificial Hip Pop Out  If you move incorrectly or put too much strain on your artificial hip while it is in a compromised position, it can cause the. Patients undergoing hip arthroplasties should The risk is greatest in the first months after surgery. Hip dislocation is a painful event in which the ball joint of your hip comes out of its socket. Symptoms of. Can An Artificial Hip Pop Out.
     
    
         
        From www.parkwayeast.com.sg 
                    Hip Replacement Surgery Parkway East Hospital Can An Artificial Hip Pop Out  Patients undergoing hip arthroplasties should If you bend in the wrong way or put too much stress on the hip area, the artificial femur head can dislocate from the hip socket. Dislocation of an artificial hip is uncommon but may occur within the first three months after surgery. The problem usually starts with a popping or slipping sensation. While hip. Can An Artificial Hip Pop Out.