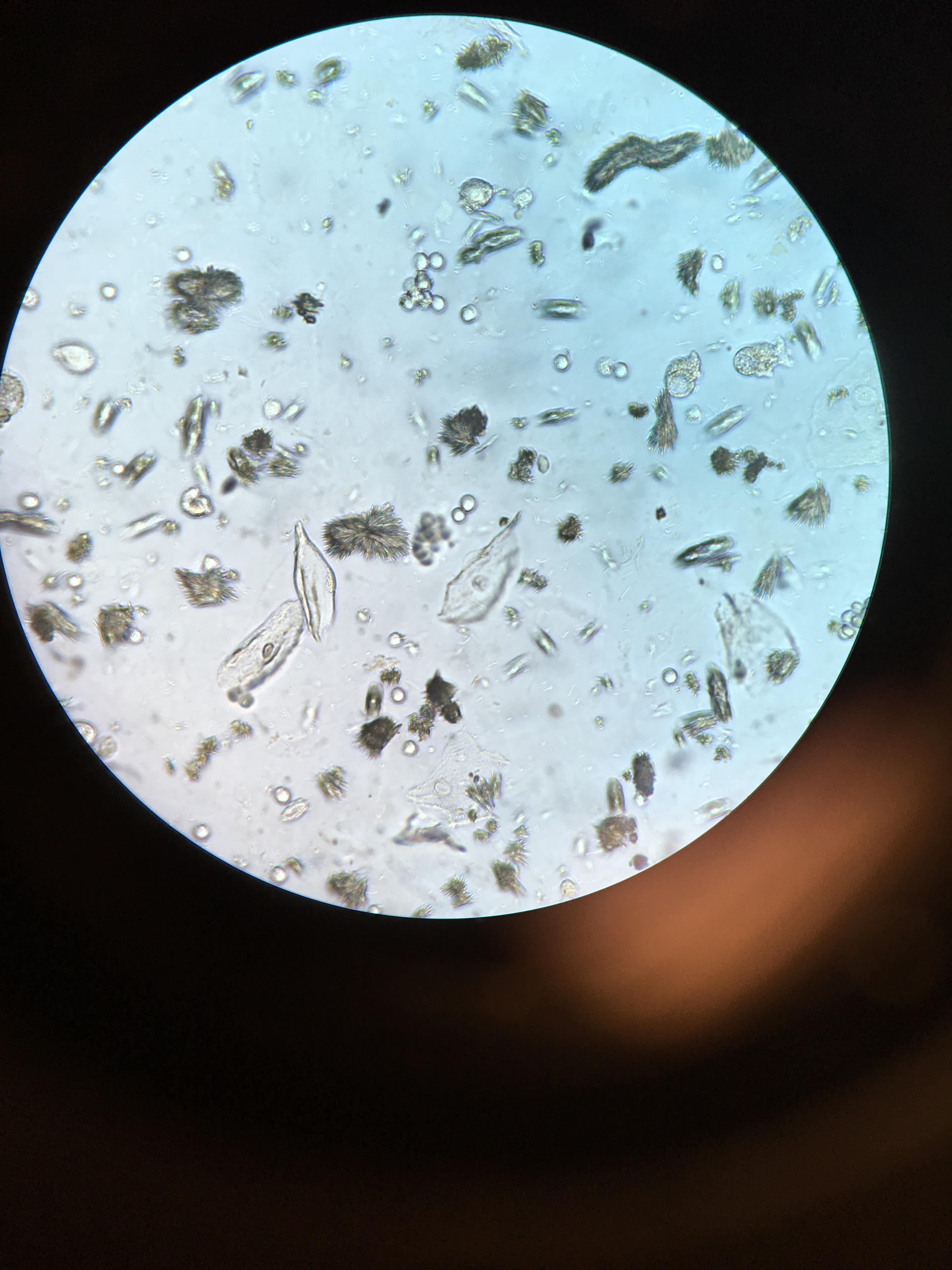
Tyrosine Crystals In Cat Urine . Struvite crystals can be an incidental finding on a urinalysis, but they can also be associated with urinary tract infections. Bladder stones form due to a buildup of crystals in a cat’s bladder. The presence of urinary crystals increases mucus production. Tyosine crystals are microscopic particles in the urine of your cat or dog. Crystalluria in cats can be identified by the main symptom of crystals being present in fresh urine. A few crystals in your cat’s urine likely won’t cause a concern, but even one stone can lead to surgery. Crystals in cat urine are small minerals that may cause pain and lead to urinary blockage. These crystals are typically microscopic and don’t cause cats any pain. Calcium oxalate crystals are found in acidic urine, whereas, triple phosphate, amorphous phosphates, and struvite crystals are found in alkaline urine. The four most common types of crystals, calcium oxalate, uric acid, struvite, and cystine, can be isolated and identified with a urinalysis.
from animalia-life.club
A few crystals in your cat’s urine likely won’t cause a concern, but even one stone can lead to surgery. These crystals are typically microscopic and don’t cause cats any pain. Bladder stones form due to a buildup of crystals in a cat’s bladder. Tyosine crystals are microscopic particles in the urine of your cat or dog. The four most common types of crystals, calcium oxalate, uric acid, struvite, and cystine, can be isolated and identified with a urinalysis. Crystals in cat urine are small minerals that may cause pain and lead to urinary blockage. Struvite crystals can be an incidental finding on a urinalysis, but they can also be associated with urinary tract infections. Crystalluria in cats can be identified by the main symptom of crystals being present in fresh urine. Calcium oxalate crystals are found in acidic urine, whereas, triple phosphate, amorphous phosphates, and struvite crystals are found in alkaline urine. The presence of urinary crystals increases mucus production.
Tyrosine Crystals In Urine
Tyrosine Crystals In Cat Urine The presence of urinary crystals increases mucus production. These crystals are typically microscopic and don’t cause cats any pain. Crystalluria in cats can be identified by the main symptom of crystals being present in fresh urine. The four most common types of crystals, calcium oxalate, uric acid, struvite, and cystine, can be isolated and identified with a urinalysis. Crystals in cat urine are small minerals that may cause pain and lead to urinary blockage. Bladder stones form due to a buildup of crystals in a cat’s bladder. Tyosine crystals are microscopic particles in the urine of your cat or dog. Struvite crystals can be an incidental finding on a urinalysis, but they can also be associated with urinary tract infections. Calcium oxalate crystals are found in acidic urine, whereas, triple phosphate, amorphous phosphates, and struvite crystals are found in alkaline urine. The presence of urinary crystals increases mucus production. A few crystals in your cat’s urine likely won’t cause a concern, but even one stone can lead to surgery.
From pt.slideshare.net
Microscopic examination of urine Tyrosine Crystals In Cat Urine Struvite crystals can be an incidental finding on a urinalysis, but they can also be associated with urinary tract infections. Tyosine crystals are microscopic particles in the urine of your cat or dog. Calcium oxalate crystals are found in acidic urine, whereas, triple phosphate, amorphous phosphates, and struvite crystals are found in alkaline urine. A few crystals in your cat’s. Tyrosine Crystals In Cat Urine.
From labpedia.net
Urine Crystals (Crystalluria) Tyrosine Crystals In Cat Urine Calcium oxalate crystals are found in acidic urine, whereas, triple phosphate, amorphous phosphates, and struvite crystals are found in alkaline urine. Struvite crystals can be an incidental finding on a urinalysis, but they can also be associated with urinary tract infections. A few crystals in your cat’s urine likely won’t cause a concern, but even one stone can lead to. Tyrosine Crystals In Cat Urine.
From microbiologyinfo.com
Types of Crystals in Urine Tyrosine Crystals In Cat Urine Calcium oxalate crystals are found in acidic urine, whereas, triple phosphate, amorphous phosphates, and struvite crystals are found in alkaline urine. These crystals are typically microscopic and don’t cause cats any pain. Tyosine crystals are microscopic particles in the urine of your cat or dog. Struvite crystals can be an incidental finding on a urinalysis, but they can also be. Tyrosine Crystals In Cat Urine.
From microbenotes.com
What are the types of Crystals found in Urine? Tyrosine Crystals In Cat Urine Calcium oxalate crystals are found in acidic urine, whereas, triple phosphate, amorphous phosphates, and struvite crystals are found in alkaline urine. The presence of urinary crystals increases mucus production. Tyosine crystals are microscopic particles in the urine of your cat or dog. Crystalluria in cats can be identified by the main symptom of crystals being present in fresh urine. Crystals. Tyrosine Crystals In Cat Urine.
From betterpet.com
A guide to crystals in your cat’s urine Tyrosine Crystals In Cat Urine Calcium oxalate crystals are found in acidic urine, whereas, triple phosphate, amorphous phosphates, and struvite crystals are found in alkaline urine. The four most common types of crystals, calcium oxalate, uric acid, struvite, and cystine, can be isolated and identified with a urinalysis. Struvite crystals can be an incidental finding on a urinalysis, but they can also be associated with. Tyrosine Crystals In Cat Urine.
From animalia-life.club
Tyrosine Crystals In Urine Tyrosine Crystals In Cat Urine Calcium oxalate crystals are found in acidic urine, whereas, triple phosphate, amorphous phosphates, and struvite crystals are found in alkaline urine. Crystals in cat urine are small minerals that may cause pain and lead to urinary blockage. Struvite crystals can be an incidental finding on a urinalysis, but they can also be associated with urinary tract infections. The four most. Tyrosine Crystals In Cat Urine.
From pethelpful.com
Hereditary Diseases of the Siberian Forest Cat PetHelpful Tyrosine Crystals In Cat Urine Crystalluria in cats can be identified by the main symptom of crystals being present in fresh urine. These crystals are typically microscopic and don’t cause cats any pain. Tyosine crystals are microscopic particles in the urine of your cat or dog. Bladder stones form due to a buildup of crystals in a cat’s bladder. Calcium oxalate crystals are found in. Tyrosine Crystals In Cat Urine.
From mystressedcat.com
Crystals in Cat Urine How to Spot Early Warning Signs Tyrosine Crystals In Cat Urine Tyosine crystals are microscopic particles in the urine of your cat or dog. Crystalluria in cats can be identified by the main symptom of crystals being present in fresh urine. These crystals are typically microscopic and don’t cause cats any pain. Crystals in cat urine are small minerals that may cause pain and lead to urinary blockage. The presence of. Tyrosine Crystals In Cat Urine.
From animalia-life.club
Tyrosine Crystals In Urine Tyrosine Crystals In Cat Urine The four most common types of crystals, calcium oxalate, uric acid, struvite, and cystine, can be isolated and identified with a urinalysis. Calcium oxalate crystals are found in acidic urine, whereas, triple phosphate, amorphous phosphates, and struvite crystals are found in alkaline urine. A few crystals in your cat’s urine likely won’t cause a concern, but even one stone can. Tyrosine Crystals In Cat Urine.
From animalia-life.club
Tyrosine Crystals In Urine Tyrosine Crystals In Cat Urine Calcium oxalate crystals are found in acidic urine, whereas, triple phosphate, amorphous phosphates, and struvite crystals are found in alkaline urine. Tyosine crystals are microscopic particles in the urine of your cat or dog. The four most common types of crystals, calcium oxalate, uric acid, struvite, and cystine, can be isolated and identified with a urinalysis. These crystals are typically. Tyrosine Crystals In Cat Urine.
From microbenotes.com
What are the types of Crystals found in Urine? Tyrosine Crystals In Cat Urine The four most common types of crystals, calcium oxalate, uric acid, struvite, and cystine, can be isolated and identified with a urinalysis. Bladder stones form due to a buildup of crystals in a cat’s bladder. Crystals in cat urine are small minerals that may cause pain and lead to urinary blockage. Tyosine crystals are microscopic particles in the urine of. Tyrosine Crystals In Cat Urine.
From ar.inspiredpencil.com
Tyrosine In Urine Tyrosine Crystals In Cat Urine Struvite crystals can be an incidental finding on a urinalysis, but they can also be associated with urinary tract infections. Bladder stones form due to a buildup of crystals in a cat’s bladder. A few crystals in your cat’s urine likely won’t cause a concern, but even one stone can lead to surgery. These crystals are typically microscopic and don’t. Tyrosine Crystals In Cat Urine.
From www.youtube.com
Tyrosine Crystals in urine sample under Microscope YouTube Tyrosine Crystals In Cat Urine The presence of urinary crystals increases mucus production. These crystals are typically microscopic and don’t cause cats any pain. Crystals in cat urine are small minerals that may cause pain and lead to urinary blockage. Tyosine crystals are microscopic particles in the urine of your cat or dog. Calcium oxalate crystals are found in acidic urine, whereas, triple phosphate, amorphous. Tyrosine Crystals In Cat Urine.
From www.researchgate.net
Tyrosine crystals and renal amino acid loss in collectrin/ymice.a Tyrosine Crystals In Cat Urine These crystals are typically microscopic and don’t cause cats any pain. Bladder stones form due to a buildup of crystals in a cat’s bladder. The presence of urinary crystals increases mucus production. Tyosine crystals are microscopic particles in the urine of your cat or dog. Crystalluria in cats can be identified by the main symptom of crystals being present in. Tyrosine Crystals In Cat Urine.
From exozcbtgi.blob.core.windows.net
Causes Of Crystals In Cat Urine at Albert Palko blog Tyrosine Crystals In Cat Urine These crystals are typically microscopic and don’t cause cats any pain. Struvite crystals can be an incidental finding on a urinalysis, but they can also be associated with urinary tract infections. A few crystals in your cat’s urine likely won’t cause a concern, but even one stone can lead to surgery. Calcium oxalate crystals are found in acidic urine, whereas,. Tyrosine Crystals In Cat Urine.
From www.lupon.gov.ph
Types Of Crystals In Cat Urine lupon.gov.ph Tyrosine Crystals In Cat Urine The presence of urinary crystals increases mucus production. Crystals in cat urine are small minerals that may cause pain and lead to urinary blockage. Tyosine crystals are microscopic particles in the urine of your cat or dog. Crystalluria in cats can be identified by the main symptom of crystals being present in fresh urine. These crystals are typically microscopic and. Tyrosine Crystals In Cat Urine.
From ar.inspiredpencil.com
Tyrosine In Urine Tyrosine Crystals In Cat Urine Bladder stones form due to a buildup of crystals in a cat’s bladder. Calcium oxalate crystals are found in acidic urine, whereas, triple phosphate, amorphous phosphates, and struvite crystals are found in alkaline urine. Tyosine crystals are microscopic particles in the urine of your cat or dog. These crystals are typically microscopic and don’t cause cats any pain. Struvite crystals. Tyrosine Crystals In Cat Urine.
From animalia-life.club
Tyrosine Crystals In Urine Tyrosine Crystals In Cat Urine Crystalluria in cats can be identified by the main symptom of crystals being present in fresh urine. A few crystals in your cat’s urine likely won’t cause a concern, but even one stone can lead to surgery. The presence of urinary crystals increases mucus production. Struvite crystals can be an incidental finding on a urinalysis, but they can also be. Tyrosine Crystals In Cat Urine.
From www.slideshare.net
Urinalysis Tyrosine Crystals In Cat Urine The four most common types of crystals, calcium oxalate, uric acid, struvite, and cystine, can be isolated and identified with a urinalysis. Tyosine crystals are microscopic particles in the urine of your cat or dog. These crystals are typically microscopic and don’t cause cats any pain. Crystals in cat urine are small minerals that may cause pain and lead to. Tyrosine Crystals In Cat Urine.
From animalia-life.club
Tyrosine Crystals In Urine Tyrosine Crystals In Cat Urine The presence of urinary crystals increases mucus production. Tyosine crystals are microscopic particles in the urine of your cat or dog. Crystalluria in cats can be identified by the main symptom of crystals being present in fresh urine. Struvite crystals can be an incidental finding on a urinalysis, but they can also be associated with urinary tract infections. Crystals in. Tyrosine Crystals In Cat Urine.
From dxouazrnh.blob.core.windows.net
High Ph And Crystals In Cat Urine at Bernice House blog Tyrosine Crystals In Cat Urine The four most common types of crystals, calcium oxalate, uric acid, struvite, and cystine, can be isolated and identified with a urinalysis. Calcium oxalate crystals are found in acidic urine, whereas, triple phosphate, amorphous phosphates, and struvite crystals are found in alkaline urine. The presence of urinary crystals increases mucus production. Bladder stones form due to a buildup of crystals. Tyrosine Crystals In Cat Urine.
From www.lovecatstalk.com
Cat With Crystals In Urine Tyrosine Crystals In Cat Urine The four most common types of crystals, calcium oxalate, uric acid, struvite, and cystine, can be isolated and identified with a urinalysis. Bladder stones form due to a buildup of crystals in a cat’s bladder. These crystals are typically microscopic and don’t cause cats any pain. Struvite crystals can be an incidental finding on a urinalysis, but they can also. Tyrosine Crystals In Cat Urine.
From labtests.co.in
Urinary Crystals Types, Causes, and Clinical Significance Tyrosine Crystals In Cat Urine These crystals are typically microscopic and don’t cause cats any pain. Calcium oxalate crystals are found in acidic urine, whereas, triple phosphate, amorphous phosphates, and struvite crystals are found in alkaline urine. The presence of urinary crystals increases mucus production. Tyosine crystals are microscopic particles in the urine of your cat or dog. Crystalluria in cats can be identified by. Tyrosine Crystals In Cat Urine.
From stock.adobe.com
Urine microscopic examination under 40X light microscope with Tyrosine Tyrosine Crystals In Cat Urine The presence of urinary crystals increases mucus production. The four most common types of crystals, calcium oxalate, uric acid, struvite, and cystine, can be isolated and identified with a urinalysis. These crystals are typically microscopic and don’t cause cats any pain. A few crystals in your cat’s urine likely won’t cause a concern, but even one stone can lead to. Tyrosine Crystals In Cat Urine.
From ar.inspiredpencil.com
Tyrosine In Urine Tyrosine Crystals In Cat Urine Struvite crystals can be an incidental finding on a urinalysis, but they can also be associated with urinary tract infections. These crystals are typically microscopic and don’t cause cats any pain. The presence of urinary crystals increases mucus production. Bladder stones form due to a buildup of crystals in a cat’s bladder. Crystalluria in cats can be identified by the. Tyrosine Crystals In Cat Urine.
From animalia-life.club
Tyrosine Crystals In Urine Tyrosine Crystals In Cat Urine A few crystals in your cat’s urine likely won’t cause a concern, but even one stone can lead to surgery. Tyosine crystals are microscopic particles in the urine of your cat or dog. The four most common types of crystals, calcium oxalate, uric acid, struvite, and cystine, can be isolated and identified with a urinalysis. Bladder stones form due to. Tyrosine Crystals In Cat Urine.
From animalia-life.club
Tyrosine Crystals In Urine Tyrosine Crystals In Cat Urine The presence of urinary crystals increases mucus production. These crystals are typically microscopic and don’t cause cats any pain. Calcium oxalate crystals are found in acidic urine, whereas, triple phosphate, amorphous phosphates, and struvite crystals are found in alkaline urine. Bladder stones form due to a buildup of crystals in a cat’s bladder. Crystalluria in cats can be identified by. Tyrosine Crystals In Cat Urine.
From animalia-life.club
Tyrosine Crystals In Urine Tyrosine Crystals In Cat Urine These crystals are typically microscopic and don’t cause cats any pain. Crystalluria in cats can be identified by the main symptom of crystals being present in fresh urine. Tyosine crystals are microscopic particles in the urine of your cat or dog. Struvite crystals can be an incidental finding on a urinalysis, but they can also be associated with urinary tract. Tyrosine Crystals In Cat Urine.
From animalia-life.club
Tyrosine Crystals In Urine Tyrosine Crystals In Cat Urine Crystals in cat urine are small minerals that may cause pain and lead to urinary blockage. Tyosine crystals are microscopic particles in the urine of your cat or dog. Crystalluria in cats can be identified by the main symptom of crystals being present in fresh urine. The presence of urinary crystals increases mucus production. Struvite crystals can be an incidental. Tyrosine Crystals In Cat Urine.
From www.pinterest.com
Tyrosine Crystals in the Urine Vet school, Tyrosine, Vet student Tyrosine Crystals In Cat Urine A few crystals in your cat’s urine likely won’t cause a concern, but even one stone can lead to surgery. Crystalluria in cats can be identified by the main symptom of crystals being present in fresh urine. Struvite crystals can be an incidental finding on a urinalysis, but they can also be associated with urinary tract infections. These crystals are. Tyrosine Crystals In Cat Urine.
From microbiologyinfo.com
Types of Crystals in Urine Tyrosine Crystals In Cat Urine A few crystals in your cat’s urine likely won’t cause a concern, but even one stone can lead to surgery. Crystalluria in cats can be identified by the main symptom of crystals being present in fresh urine. Crystals in cat urine are small minerals that may cause pain and lead to urinary blockage. These crystals are typically microscopic and don’t. Tyrosine Crystals In Cat Urine.
From animalia-life.club
Tyrosine Crystals In Urine Tyrosine Crystals In Cat Urine A few crystals in your cat’s urine likely won’t cause a concern, but even one stone can lead to surgery. Bladder stones form due to a buildup of crystals in a cat’s bladder. The four most common types of crystals, calcium oxalate, uric acid, struvite, and cystine, can be isolated and identified with a urinalysis. Struvite crystals can be an. Tyrosine Crystals In Cat Urine.
From ar.inspiredpencil.com
Tyrosine Crystals In Urine Tyrosine Crystals In Cat Urine Bladder stones form due to a buildup of crystals in a cat’s bladder. A few crystals in your cat’s urine likely won’t cause a concern, but even one stone can lead to surgery. Tyosine crystals are microscopic particles in the urine of your cat or dog. Crystals in cat urine are small minerals that may cause pain and lead to. Tyrosine Crystals In Cat Urine.
From www.prettylitter.com
Crystals in Cat Urine Causes & Prevention PrettyLitter Tyrosine Crystals In Cat Urine Tyosine crystals are microscopic particles in the urine of your cat or dog. A few crystals in your cat’s urine likely won’t cause a concern, but even one stone can lead to surgery. Crystalluria in cats can be identified by the main symptom of crystals being present in fresh urine. Struvite crystals can be an incidental finding on a urinalysis,. Tyrosine Crystals In Cat Urine.
From microbenotes.com
What are the types of Crystals found in Urine? Tyrosine Crystals In Cat Urine The presence of urinary crystals increases mucus production. Bladder stones form due to a buildup of crystals in a cat’s bladder. These crystals are typically microscopic and don’t cause cats any pain. Calcium oxalate crystals are found in acidic urine, whereas, triple phosphate, amorphous phosphates, and struvite crystals are found in alkaline urine. Struvite crystals can be an incidental finding. Tyrosine Crystals In Cat Urine.