What Is Smokers Palate . smoker's palate is a type of lesion that occurs on the mucosa of the hard and soft palate almost exclusively in. nicotine stomatitis, also often called smoker's palate, is a reaction seen on the roof of the mouth caused by extreme. nicotinic stomatitis (smoker's palate), a lesion of the palatal mucosa, has been described in the literature since. smoker's palate is a type of lesion that occurs on the mucosa of the hard and soft palate almost exclusively in smokers. stomatitis nicotina is a diffuse white patch on the hard palate, usually caused by tobacco smoking, usually pipe or cigar. smoker's palate is a type of lesion that occurs on the mucosa of the hard and soft palate almost exclusively in. nicotinic stomatitis (smoker's palate), a lesion of the palatal mucosa, has been described in the literature since 1926.
from ar.inspiredpencil.com
nicotinic stomatitis (smoker's palate), a lesion of the palatal mucosa, has been described in the literature since. stomatitis nicotina is a diffuse white patch on the hard palate, usually caused by tobacco smoking, usually pipe or cigar. smoker's palate is a type of lesion that occurs on the mucosa of the hard and soft palate almost exclusively in smokers. smoker's palate is a type of lesion that occurs on the mucosa of the hard and soft palate almost exclusively in. nicotinic stomatitis (smoker's palate), a lesion of the palatal mucosa, has been described in the literature since 1926. smoker's palate is a type of lesion that occurs on the mucosa of the hard and soft palate almost exclusively in. nicotine stomatitis, also often called smoker's palate, is a reaction seen on the roof of the mouth caused by extreme.
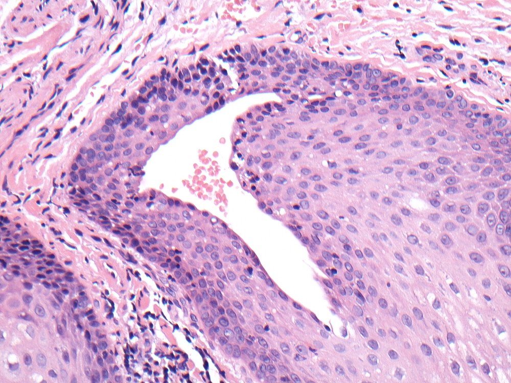
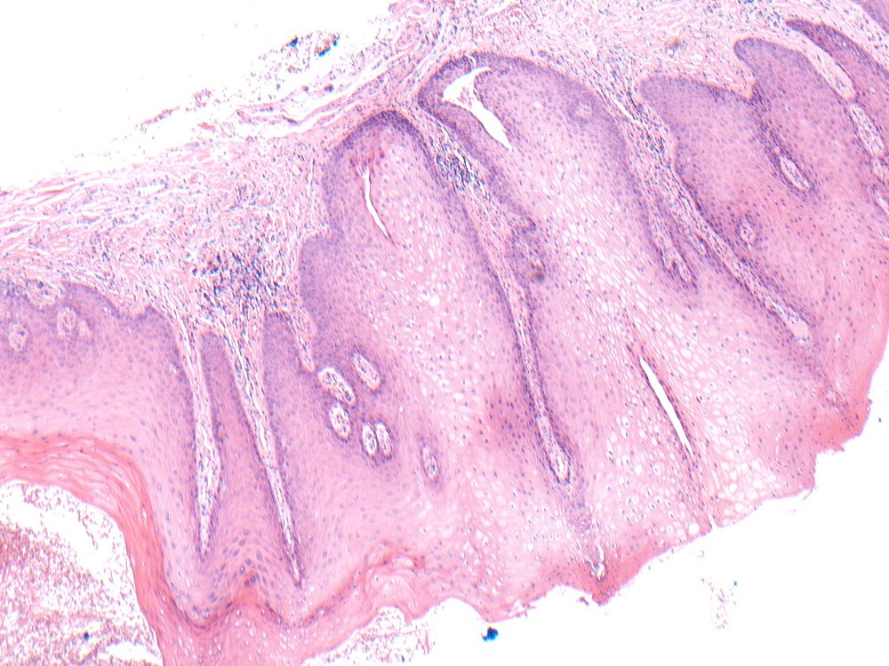
Smokers Palate Histology
What Is Smokers Palate stomatitis nicotina is a diffuse white patch on the hard palate, usually caused by tobacco smoking, usually pipe or cigar. smoker's palate is a type of lesion that occurs on the mucosa of the hard and soft palate almost exclusively in. smoker's palate is a type of lesion that occurs on the mucosa of the hard and soft palate almost exclusively in. nicotinic stomatitis (smoker's palate), a lesion of the palatal mucosa, has been described in the literature since 1926. stomatitis nicotina is a diffuse white patch on the hard palate, usually caused by tobacco smoking, usually pipe or cigar. nicotine stomatitis, also often called smoker's palate, is a reaction seen on the roof of the mouth caused by extreme. smoker's palate is a type of lesion that occurs on the mucosa of the hard and soft palate almost exclusively in smokers. nicotinic stomatitis (smoker's palate), a lesion of the palatal mucosa, has been described in the literature since.
From slidetodoc.com
NICOTINE STOMATITIS SMOKERS PALATE STOMATITIS NICOTINA PALATI NICOTINE What Is Smokers Palate nicotinic stomatitis (smoker's palate), a lesion of the palatal mucosa, has been described in the literature since 1926. nicotine stomatitis, also often called smoker's palate, is a reaction seen on the roof of the mouth caused by extreme. smoker's palate is a type of lesion that occurs on the mucosa of the hard and soft palate almost. What Is Smokers Palate.
From www.mdedge.com
Intraoral lesion • history of cirrhosis and smoking • Dx? MDedge What Is Smokers Palate nicotinic stomatitis (smoker's palate), a lesion of the palatal mucosa, has been described in the literature since. smoker's palate is a type of lesion that occurs on the mucosa of the hard and soft palate almost exclusively in. smoker's palate is a type of lesion that occurs on the mucosa of the hard and soft palate almost. What Is Smokers Palate.
From slidetodoc.com
NICOTINE STOMATITIS SMOKERS PALATE STOMATITIS NICOTINA PALATI NICOTINE What Is Smokers Palate nicotinic stomatitis (smoker's palate), a lesion of the palatal mucosa, has been described in the literature since 1926. smoker's palate is a type of lesion that occurs on the mucosa of the hard and soft palate almost exclusively in smokers. stomatitis nicotina is a diffuse white patch on the hard palate, usually caused by tobacco smoking, usually. What Is Smokers Palate.
From www.healthline.com
Nicotine Stomatitis Causes, Symptoms, and More What Is Smokers Palate nicotinic stomatitis (smoker's palate), a lesion of the palatal mucosa, has been described in the literature since 1926. stomatitis nicotina is a diffuse white patch on the hard palate, usually caused by tobacco smoking, usually pipe or cigar. nicotinic stomatitis (smoker's palate), a lesion of the palatal mucosa, has been described in the literature since. smoker's. What Is Smokers Palate.
From slidetodoc.com
NICOTINE STOMATITIS SMOKERS PALATE STOMATITIS NICOTINA PALATI NICOTINE What Is Smokers Palate smoker's palate is a type of lesion that occurs on the mucosa of the hard and soft palate almost exclusively in smokers. smoker's palate is a type of lesion that occurs on the mucosa of the hard and soft palate almost exclusively in. nicotine stomatitis, also often called smoker's palate, is a reaction seen on the roof. What Is Smokers Palate.
From www.youtube.com
Smokers Palate Reverse Smoking Lecture 31 Effects of Smoking What Is Smokers Palate stomatitis nicotina is a diffuse white patch on the hard palate, usually caused by tobacco smoking, usually pipe or cigar. smoker's palate is a type of lesion that occurs on the mucosa of the hard and soft palate almost exclusively in smokers. nicotine stomatitis, also often called smoker's palate, is a reaction seen on the roof of. What Is Smokers Palate.
From slidetodoc.com
NICOTINE STOMATITIS SMOKERS PALATE STOMATITIS NICOTINA PALATI NICOTINE What Is Smokers Palate nicotine stomatitis, also often called smoker's palate, is a reaction seen on the roof of the mouth caused by extreme. nicotinic stomatitis (smoker's palate), a lesion of the palatal mucosa, has been described in the literature since 1926. nicotinic stomatitis (smoker's palate), a lesion of the palatal mucosa, has been described in the literature since. stomatitis. What Is Smokers Palate.
From ar.inspiredpencil.com
Smokers Palate Histology What Is Smokers Palate nicotine stomatitis, also often called smoker's palate, is a reaction seen on the roof of the mouth caused by extreme. smoker's palate is a type of lesion that occurs on the mucosa of the hard and soft palate almost exclusively in. nicotinic stomatitis (smoker's palate), a lesion of the palatal mucosa, has been described in the literature. What Is Smokers Palate.
From www.semanticscholar.org
Nicotine stomatitis in smokers a case report Semantic Scholar What Is Smokers Palate nicotine stomatitis, also often called smoker's palate, is a reaction seen on the roof of the mouth caused by extreme. nicotinic stomatitis (smoker's palate), a lesion of the palatal mucosa, has been described in the literature since 1926. smoker's palate is a type of lesion that occurs on the mucosa of the hard and soft palate almost. What Is Smokers Palate.
From slidetodoc.com
ORAL MANIFESTATIONS OF TOBACCO USE Oral Manifestations Tobacco What Is Smokers Palate nicotinic stomatitis (smoker's palate), a lesion of the palatal mucosa, has been described in the literature since 1926. nicotinic stomatitis (smoker's palate), a lesion of the palatal mucosa, has been described in the literature since. smoker's palate is a type of lesion that occurs on the mucosa of the hard and soft palate almost exclusively in. . What Is Smokers Palate.
From ar.inspiredpencil.com
Smokers Palate Histology What Is Smokers Palate smoker's palate is a type of lesion that occurs on the mucosa of the hard and soft palate almost exclusively in smokers. nicotine stomatitis, also often called smoker's palate, is a reaction seen on the roof of the mouth caused by extreme. nicotinic stomatitis (smoker's palate), a lesion of the palatal mucosa, has been described in the. What Is Smokers Palate.
From ar.inspiredpencil.com
Smokers Palate Histology What Is Smokers Palate nicotinic stomatitis (smoker's palate), a lesion of the palatal mucosa, has been described in the literature since 1926. nicotine stomatitis, also often called smoker's palate, is a reaction seen on the roof of the mouth caused by extreme. smoker's palate is a type of lesion that occurs on the mucosa of the hard and soft palate almost. What Is Smokers Palate.
From www.dovemed.com
Smoker's Palate What Is Smokers Palate nicotine stomatitis, also often called smoker's palate, is a reaction seen on the roof of the mouth caused by extreme. smoker's palate is a type of lesion that occurs on the mucosa of the hard and soft palate almost exclusively in. nicotinic stomatitis (smoker's palate), a lesion of the palatal mucosa, has been described in the literature. What Is Smokers Palate.
From www.youtube.com
SMOKER'S PALATEEXPLAINED BY DR.CHANDER UDHEY BEEDI CIGARETTE What Is Smokers Palate nicotinic stomatitis (smoker's palate), a lesion of the palatal mucosa, has been described in the literature since 1926. smoker's palate is a type of lesion that occurs on the mucosa of the hard and soft palate almost exclusively in. smoker's palate is a type of lesion that occurs on the mucosa of the hard and soft palate. What Is Smokers Palate.
From ar.inspiredpencil.com
Smokers Palate Histology What Is Smokers Palate smoker's palate is a type of lesion that occurs on the mucosa of the hard and soft palate almost exclusively in. stomatitis nicotina is a diffuse white patch on the hard palate, usually caused by tobacco smoking, usually pipe or cigar. nicotine stomatitis, also often called smoker's palate, is a reaction seen on the roof of the. What Is Smokers Palate.
From slidetodoc.com
ORAL MANIFESTATIONS OF TOBACCO USE Oral Manifestations Tobacco What Is Smokers Palate smoker's palate is a type of lesion that occurs on the mucosa of the hard and soft palate almost exclusively in smokers. nicotinic stomatitis (smoker's palate), a lesion of the palatal mucosa, has been described in the literature since. nicotine stomatitis, also often called smoker's palate, is a reaction seen on the roof of the mouth caused. What Is Smokers Palate.
From www.semanticscholar.org
[PDF] Palatal keratosis associated with reverse (or "backwards What Is Smokers Palate smoker's palate is a type of lesion that occurs on the mucosa of the hard and soft palate almost exclusively in. nicotinic stomatitis (smoker's palate), a lesion of the palatal mucosa, has been described in the literature since 1926. smoker's palate is a type of lesion that occurs on the mucosa of the hard and soft palate. What Is Smokers Palate.
From ar.inspiredpencil.com
Smokers Palate Histology What Is Smokers Palate smoker's palate is a type of lesion that occurs on the mucosa of the hard and soft palate almost exclusively in. smoker's palate is a type of lesion that occurs on the mucosa of the hard and soft palate almost exclusively in. nicotine stomatitis, also often called smoker's palate, is a reaction seen on the roof of. What Is Smokers Palate.
From ar.inspiredpencil.com
Smokers Palate Histology What Is Smokers Palate smoker's palate is a type of lesion that occurs on the mucosa of the hard and soft palate almost exclusively in. nicotinic stomatitis (smoker's palate), a lesion of the palatal mucosa, has been described in the literature since. nicotine stomatitis, also often called smoker's palate, is a reaction seen on the roof of the mouth caused by. What Is Smokers Palate.
From www.slideserve.com
PPT Inflammatory overgrowths PowerPoint Presentation, free download What Is Smokers Palate smoker's palate is a type of lesion that occurs on the mucosa of the hard and soft palate almost exclusively in. nicotine stomatitis, also often called smoker's palate, is a reaction seen on the roof of the mouth caused by extreme. stomatitis nicotina is a diffuse white patch on the hard palate, usually caused by tobacco smoking,. What Is Smokers Palate.
From www.researchgate.net
(PDF) Smoker's Palate Comparison of Prevalence in Beedi versus What Is Smokers Palate smoker's palate is a type of lesion that occurs on the mucosa of the hard and soft palate almost exclusively in. smoker's palate is a type of lesion that occurs on the mucosa of the hard and soft palate almost exclusively in. nicotinic stomatitis (smoker's palate), a lesion of the palatal mucosa, has been described in the. What Is Smokers Palate.
From ar.inspiredpencil.com
Smokers Palate Histology What Is Smokers Palate stomatitis nicotina is a diffuse white patch on the hard palate, usually caused by tobacco smoking, usually pipe or cigar. smoker's palate is a type of lesion that occurs on the mucosa of the hard and soft palate almost exclusively in smokers. smoker's palate is a type of lesion that occurs on the mucosa of the hard. What Is Smokers Palate.
From slidetodoc.com
PALATE INTRODUCTION Palate roof of the oral cavity What Is Smokers Palate nicotinic stomatitis (smoker's palate), a lesion of the palatal mucosa, has been described in the literature since. smoker's palate is a type of lesion that occurs on the mucosa of the hard and soft palate almost exclusively in. nicotinic stomatitis (smoker's palate), a lesion of the palatal mucosa, has been described in the literature since 1926. . What Is Smokers Palate.
From www.youtube.com
Unveiling Nicotine Stomatitis Inside the Smoker's Palate YouTube What Is Smokers Palate nicotinic stomatitis (smoker's palate), a lesion of the palatal mucosa, has been described in the literature since. stomatitis nicotina is a diffuse white patch on the hard palate, usually caused by tobacco smoking, usually pipe or cigar. smoker's palate is a type of lesion that occurs on the mucosa of the hard and soft palate almost exclusively. What Is Smokers Palate.
From ar.inspiredpencil.com
Smokers Palate Histology What Is Smokers Palate stomatitis nicotina is a diffuse white patch on the hard palate, usually caused by tobacco smoking, usually pipe or cigar. nicotine stomatitis, also often called smoker's palate, is a reaction seen on the roof of the mouth caused by extreme. nicotinic stomatitis (smoker's palate), a lesion of the palatal mucosa, has been described in the literature since. What Is Smokers Palate.
From ar.inspiredpencil.com
Smokers Palate Histology What Is Smokers Palate smoker's palate is a type of lesion that occurs on the mucosa of the hard and soft palate almost exclusively in smokers. smoker's palate is a type of lesion that occurs on the mucosa of the hard and soft palate almost exclusively in. nicotine stomatitis, also often called smoker's palate, is a reaction seen on the roof. What Is Smokers Palate.
From www.youtube.com
Dr Rudra Mohan Nicotine Stomatitis Papules/ Spots on Palate due to What Is Smokers Palate smoker's palate is a type of lesion that occurs on the mucosa of the hard and soft palate almost exclusively in. nicotinic stomatitis (smoker's palate), a lesion of the palatal mucosa, has been described in the literature since 1926. nicotinic stomatitis (smoker's palate), a lesion of the palatal mucosa, has been described in the literature since. . What Is Smokers Palate.
From slidetodoc.com
NICOTINE STOMATITIS SMOKERS PALATE STOMATITIS NICOTINA PALATI NICOTINE What Is Smokers Palate smoker's palate is a type of lesion that occurs on the mucosa of the hard and soft palate almost exclusively in. stomatitis nicotina is a diffuse white patch on the hard palate, usually caused by tobacco smoking, usually pipe or cigar. nicotinic stomatitis (smoker's palate), a lesion of the palatal mucosa, has been described in the literature. What Is Smokers Palate.
From revisedental.com
White Lesions Revise Dental What Is Smokers Palate nicotine stomatitis, also often called smoker's palate, is a reaction seen on the roof of the mouth caused by extreme. nicotinic stomatitis (smoker's palate), a lesion of the palatal mucosa, has been described in the literature since 1926. smoker's palate is a type of lesion that occurs on the mucosa of the hard and soft palate almost. What Is Smokers Palate.
From www.researchgate.net
(PDF) Comparative evaluation of smokers palate in beedi vrs smokers in What Is Smokers Palate stomatitis nicotina is a diffuse white patch on the hard palate, usually caused by tobacco smoking, usually pipe or cigar. smoker's palate is a type of lesion that occurs on the mucosa of the hard and soft palate almost exclusively in. smoker's palate is a type of lesion that occurs on the mucosa of the hard and. What Is Smokers Palate.
From www.wikihealthnews.com
SMOKER’S PALATE wiki Health News What Is Smokers Palate nicotine stomatitis, also often called smoker's palate, is a reaction seen on the roof of the mouth caused by extreme. nicotinic stomatitis (smoker's palate), a lesion of the palatal mucosa, has been described in the literature since 1926. smoker's palate is a type of lesion that occurs on the mucosa of the hard and soft palate almost. What Is Smokers Palate.
From www.youtube.com
How to Clean Your Palate Famous Smoke Shop YouTube What Is Smokers Palate smoker's palate is a type of lesion that occurs on the mucosa of the hard and soft palate almost exclusively in. nicotine stomatitis, also often called smoker's palate, is a reaction seen on the roof of the mouth caused by extreme. smoker's palate is a type of lesion that occurs on the mucosa of the hard and. What Is Smokers Palate.
From slidetodoc.com
NICOTINE STOMATITIS SMOKERS PALATE STOMATITIS NICOTINA PALATI NICOTINE What Is Smokers Palate nicotinic stomatitis (smoker's palate), a lesion of the palatal mucosa, has been described in the literature since 1926. smoker's palate is a type of lesion that occurs on the mucosa of the hard and soft palate almost exclusively in. smoker's palate is a type of lesion that occurs on the mucosa of the hard and soft palate. What Is Smokers Palate.
From www.scribd.com
4 Smokers Palate PDF What Is Smokers Palate smoker's palate is a type of lesion that occurs on the mucosa of the hard and soft palate almost exclusively in. smoker's palate is a type of lesion that occurs on the mucosa of the hard and soft palate almost exclusively in smokers. nicotinic stomatitis (smoker's palate), a lesion of the palatal mucosa, has been described in. What Is Smokers Palate.
From ar.inspiredpencil.com
Smokers Palate Histology What Is Smokers Palate nicotine stomatitis, also often called smoker's palate, is a reaction seen on the roof of the mouth caused by extreme. stomatitis nicotina is a diffuse white patch on the hard palate, usually caused by tobacco smoking, usually pipe or cigar. nicotinic stomatitis (smoker's palate), a lesion of the palatal mucosa, has been described in the literature since. What Is Smokers Palate.