Are Sealants Bad For You . In many cases, adults can have their teeth sealed too. They’re no substitute for brushing and flossing, but they can keep cavities from forming and may even stop early stages of decay from becoming a full. Tooth sealant dangers are minimal, but you may want to consider some pros and cons of. Dental sealants prevent 80% of cavities over 2 years in the back teeth, where 9 in 10 cavities occur. Back teeth with deep fissures are susceptible to decay. Dental sealants are mostly placed on children's permanent back teeth that have erupted. The cdc report states that dental sealants prevent 80 percent of cavities for two years after application. Dental sealants are painless and scientific research has not revealed any adverse effects likely to happen when dental sealants are placed.
from www.hcdentistryak.com
They’re no substitute for brushing and flossing, but they can keep cavities from forming and may even stop early stages of decay from becoming a full. Tooth sealant dangers are minimal, but you may want to consider some pros and cons of. Dental sealants are mostly placed on children's permanent back teeth that have erupted. Back teeth with deep fissures are susceptible to decay. The cdc report states that dental sealants prevent 80 percent of cavities for two years after application. Dental sealants are painless and scientific research has not revealed any adverse effects likely to happen when dental sealants are placed. Dental sealants prevent 80% of cavities over 2 years in the back teeth, where 9 in 10 cavities occur. In many cases, adults can have their teeth sealed too.
Dental Sealants in Anchorage Health Centered Dentistry
Are Sealants Bad For You Dental sealants prevent 80% of cavities over 2 years in the back teeth, where 9 in 10 cavities occur. Dental sealants are mostly placed on children's permanent back teeth that have erupted. The cdc report states that dental sealants prevent 80 percent of cavities for two years after application. They’re no substitute for brushing and flossing, but they can keep cavities from forming and may even stop early stages of decay from becoming a full. Back teeth with deep fissures are susceptible to decay. Dental sealants prevent 80% of cavities over 2 years in the back teeth, where 9 in 10 cavities occur. Dental sealants are painless and scientific research has not revealed any adverse effects likely to happen when dental sealants are placed. In many cases, adults can have their teeth sealed too. Tooth sealant dangers are minimal, but you may want to consider some pros and cons of.
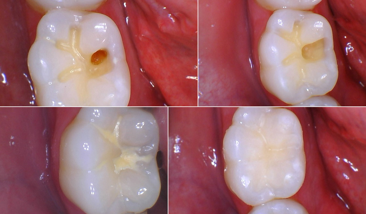
From dentist-gilbert.com
Sealants The Good, the Bad, and the Reality Stone Ridge Dental Are Sealants Bad For You Back teeth with deep fissures are susceptible to decay. Tooth sealant dangers are minimal, but you may want to consider some pros and cons of. They’re no substitute for brushing and flossing, but they can keep cavities from forming and may even stop early stages of decay from becoming a full. Dental sealants are mostly placed on children's permanent back. Are Sealants Bad For You.
From trafalgarvillagedental.com
Everything You Need to Know About Dental Sealants Trafalgar Village Are Sealants Bad For You In many cases, adults can have their teeth sealed too. Tooth sealant dangers are minimal, but you may want to consider some pros and cons of. Dental sealants prevent 80% of cavities over 2 years in the back teeth, where 9 in 10 cavities occur. The cdc report states that dental sealants prevent 80 percent of cavities for two years. Are Sealants Bad For You.
From after-college-experience.blogspot.com
After College Experience Tooth Sealant Dangers Are Sealants Bad For You The cdc report states that dental sealants prevent 80 percent of cavities for two years after application. Tooth sealant dangers are minimal, but you may want to consider some pros and cons of. They’re no substitute for brushing and flossing, but they can keep cavities from forming and may even stop early stages of decay from becoming a full. In. Are Sealants Bad For You.
From smartdocposters.com
DP114 ( Eng.) . THE NEED FOR SEALANTS IN CHILDREN Smart Doc Posters Are Sealants Bad For You Dental sealants prevent 80% of cavities over 2 years in the back teeth, where 9 in 10 cavities occur. Dental sealants are painless and scientific research has not revealed any adverse effects likely to happen when dental sealants are placed. Tooth sealant dangers are minimal, but you may want to consider some pros and cons of. Dental sealants are mostly. Are Sealants Bad For You.
From klanyhqbq.blob.core.windows.net
Sealant For Teeth Side Effects at Roger Murray blog Are Sealants Bad For You Back teeth with deep fissures are susceptible to decay. Dental sealants are mostly placed on children's permanent back teeth that have erupted. They’re no substitute for brushing and flossing, but they can keep cavities from forming and may even stop early stages of decay from becoming a full. In many cases, adults can have their teeth sealed too. Dental sealants. Are Sealants Bad For You.
From www.oraldentalmaterial.com
1.2g Pit And Fissure Sealant For Bad Teeth With Purple Color Are Sealants Bad For You The cdc report states that dental sealants prevent 80 percent of cavities for two years after application. Dental sealants are painless and scientific research has not revealed any adverse effects likely to happen when dental sealants are placed. Tooth sealant dangers are minimal, but you may want to consider some pros and cons of. In many cases, adults can have. Are Sealants Bad For You.
From klanyhqbq.blob.core.windows.net
Sealant For Teeth Side Effects at Roger Murray blog Are Sealants Bad For You Dental sealants are painless and scientific research has not revealed any adverse effects likely to happen when dental sealants are placed. In many cases, adults can have their teeth sealed too. The cdc report states that dental sealants prevent 80 percent of cavities for two years after application. Tooth sealant dangers are minimal, but you may want to consider some. Are Sealants Bad For You.
From www.desertspringsfamilydentistry.com
Dental Sealants Are Sealants Bad For You In many cases, adults can have their teeth sealed too. Dental sealants prevent 80% of cavities over 2 years in the back teeth, where 9 in 10 cavities occur. Dental sealants are painless and scientific research has not revealed any adverse effects likely to happen when dental sealants are placed. Dental sealants are mostly placed on children's permanent back teeth. Are Sealants Bad For You.
From www.pinterest.com
What is the procedure ? The procedure of placing fissure sealants is Are Sealants Bad For You The cdc report states that dental sealants prevent 80 percent of cavities for two years after application. Dental sealants prevent 80% of cavities over 2 years in the back teeth, where 9 in 10 cavities occur. In many cases, adults can have their teeth sealed too. They’re no substitute for brushing and flossing, but they can keep cavities from forming. Are Sealants Bad For You.
From www.kidzfamilydental.com
Sealants Why They Are Important Kidz & Family Dental Center Are Sealants Bad For You Dental sealants prevent 80% of cavities over 2 years in the back teeth, where 9 in 10 cavities occur. They’re no substitute for brushing and flossing, but they can keep cavities from forming and may even stop early stages of decay from becoming a full. Dental sealants are painless and scientific research has not revealed any adverse effects likely to. Are Sealants Bad For You.
From www.amginfotek.com
Sealants Majestic Dentistry Are Sealants Bad For You Dental sealants are painless and scientific research has not revealed any adverse effects likely to happen when dental sealants are placed. Dental sealants prevent 80% of cavities over 2 years in the back teeth, where 9 in 10 cavities occur. They’re no substitute for brushing and flossing, but they can keep cavities from forming and may even stop early stages. Are Sealants Bad For You.
From www.pinterest.com
Tooth sealants have been shown to reduce the risk of decay by nearly 80 Are Sealants Bad For You Back teeth with deep fissures are susceptible to decay. The cdc report states that dental sealants prevent 80 percent of cavities for two years after application. Dental sealants are painless and scientific research has not revealed any adverse effects likely to happen when dental sealants are placed. Dental sealants are mostly placed on children's permanent back teeth that have erupted.. Are Sealants Bad For You.
From www.smilearizonadentistry.com
Guide to Everything You Need to Know About Dental Sealants Are Sealants Bad For You Dental sealants are painless and scientific research has not revealed any adverse effects likely to happen when dental sealants are placed. Dental sealants are mostly placed on children's permanent back teeth that have erupted. In many cases, adults can have their teeth sealed too. They’re no substitute for brushing and flossing, but they can keep cavities from forming and may. Are Sealants Bad For You.
From www.granburydentalcenter.com
Dental Sealants for Kids in Granbury Granbury Dental Center Are Sealants Bad For You In many cases, adults can have their teeth sealed too. Dental sealants are painless and scientific research has not revealed any adverse effects likely to happen when dental sealants are placed. Back teeth with deep fissures are susceptible to decay. They’re no substitute for brushing and flossing, but they can keep cavities from forming and may even stop early stages. Are Sealants Bad For You.
From stjamesdental.com
Fissure Sealants Quedgeley Dental Sealants Gloucester Are Sealants Bad For You The cdc report states that dental sealants prevent 80 percent of cavities for two years after application. Dental sealants prevent 80% of cavities over 2 years in the back teeth, where 9 in 10 cavities occur. Dental sealants are painless and scientific research has not revealed any adverse effects likely to happen when dental sealants are placed. Back teeth with. Are Sealants Bad For You.
From www.slideserve.com
PPT What are Dental Sealants Procedure, Benefits, and Care Are Sealants Bad For You Dental sealants prevent 80% of cavities over 2 years in the back teeth, where 9 in 10 cavities occur. Tooth sealant dangers are minimal, but you may want to consider some pros and cons of. Dental sealants are painless and scientific research has not revealed any adverse effects likely to happen when dental sealants are placed. Back teeth with deep. Are Sealants Bad For You.
From carrollton-smiles.com
Sealants Carrollton Smiles General Dentist in Carrollton TX Are Sealants Bad For You They’re no substitute for brushing and flossing, but they can keep cavities from forming and may even stop early stages of decay from becoming a full. Tooth sealant dangers are minimal, but you may want to consider some pros and cons of. Dental sealants are painless and scientific research has not revealed any adverse effects likely to happen when dental. Are Sealants Bad For You.
From www.mcfarlanedental.com
Leaking Sealant McFarlane Dental Are Sealants Bad For You Dental sealants are mostly placed on children's permanent back teeth that have erupted. They’re no substitute for brushing and flossing, but they can keep cavities from forming and may even stop early stages of decay from becoming a full. Dental sealants are painless and scientific research has not revealed any adverse effects likely to happen when dental sealants are placed.. Are Sealants Bad For You.
From www.tompkinsdental.com
6 Benefits of Dental Sealants (and Why You Need Them!) Tompkins Dental Are Sealants Bad For You Dental sealants are mostly placed on children's permanent back teeth that have erupted. Tooth sealant dangers are minimal, but you may want to consider some pros and cons of. Dental sealants prevent 80% of cavities over 2 years in the back teeth, where 9 in 10 cavities occur. Dental sealants are painless and scientific research has not revealed any adverse. Are Sealants Bad For You.
From www.marinettecosmeticdentist.com
General Dentistry Family Practice Dentistry Are Sealants Bad For You Dental sealants are mostly placed on children's permanent back teeth that have erupted. In many cases, adults can have their teeth sealed too. Tooth sealant dangers are minimal, but you may want to consider some pros and cons of. Dental sealants are painless and scientific research has not revealed any adverse effects likely to happen when dental sealants are placed.. Are Sealants Bad For You.
From bnfdental.com
Dental Fissure Sealants in Singapore B & F Dental Clinic Singapore Are Sealants Bad For You Dental sealants prevent 80% of cavities over 2 years in the back teeth, where 9 in 10 cavities occur. Back teeth with deep fissures are susceptible to decay. Dental sealants are mostly placed on children's permanent back teeth that have erupted. They’re no substitute for brushing and flossing, but they can keep cavities from forming and may even stop early. Are Sealants Bad For You.
From www.stgeorgesmiles.com
What Are Dental Sealants, Who Should Get Them, And How Long Do They Are Sealants Bad For You Dental sealants are painless and scientific research has not revealed any adverse effects likely to happen when dental sealants are placed. Dental sealants are mostly placed on children's permanent back teeth that have erupted. In many cases, adults can have their teeth sealed too. Tooth sealant dangers are minimal, but you may want to consider some pros and cons of.. Are Sealants Bad For You.
From allenfamilydentist.com
How Sealants Help Prevent Childhood Cavities Allen, TX Are Sealants Bad For You They’re no substitute for brushing and flossing, but they can keep cavities from forming and may even stop early stages of decay from becoming a full. Back teeth with deep fissures are susceptible to decay. Dental sealants are painless and scientific research has not revealed any adverse effects likely to happen when dental sealants are placed. Dental sealants prevent 80%. Are Sealants Bad For You.
From www.bradfordfamilydentist.ca
What Are Dental Sealants 7 Important Questions Answered Bradford Are Sealants Bad For You They’re no substitute for brushing and flossing, but they can keep cavities from forming and may even stop early stages of decay from becoming a full. Back teeth with deep fissures are susceptible to decay. Dental sealants are painless and scientific research has not revealed any adverse effects likely to happen when dental sealants are placed. The cdc report states. Are Sealants Bad For You.
From www.oraldentalmaterial.com
1.2g Pit And Fissure Sealant For Bad Teeth With Purple Color Are Sealants Bad For You The cdc report states that dental sealants prevent 80 percent of cavities for two years after application. Back teeth with deep fissures are susceptible to decay. They’re no substitute for brushing and flossing, but they can keep cavities from forming and may even stop early stages of decay from becoming a full. Dental sealants are painless and scientific research has. Are Sealants Bad For You.
From www.pinnacledentalgroupmi.com
Dental Sealants for Kids Are Sealants Bad For You They’re no substitute for brushing and flossing, but they can keep cavities from forming and may even stop early stages of decay from becoming a full. Dental sealants are painless and scientific research has not revealed any adverse effects likely to happen when dental sealants are placed. The cdc report states that dental sealants prevent 80 percent of cavities for. Are Sealants Bad For You.
From dentalvideo.net
Everything You Need to Know About Dental Sealants Are Sealants Bad For You Tooth sealant dangers are minimal, but you may want to consider some pros and cons of. Back teeth with deep fissures are susceptible to decay. Dental sealants are mostly placed on children's permanent back teeth that have erupted. In many cases, adults can have their teeth sealed too. The cdc report states that dental sealants prevent 80 percent of cavities. Are Sealants Bad For You.
From fixaridental.com
What are Dental Sealants? Fixari Family Dental Are Sealants Bad For You They’re no substitute for brushing and flossing, but they can keep cavities from forming and may even stop early stages of decay from becoming a full. Tooth sealant dangers are minimal, but you may want to consider some pros and cons of. Dental sealants are painless and scientific research has not revealed any adverse effects likely to happen when dental. Are Sealants Bad For You.
From www.hcdentistryak.com
Dental Sealants in Anchorage Health Centered Dentistry Are Sealants Bad For You The cdc report states that dental sealants prevent 80 percent of cavities for two years after application. Dental sealants are painless and scientific research has not revealed any adverse effects likely to happen when dental sealants are placed. Tooth sealant dangers are minimal, but you may want to consider some pros and cons of. In many cases, adults can have. Are Sealants Bad For You.
From www.mouthhealthy.org
Sealants MouthHealthy Oral Health Information from the ADA Are Sealants Bad For You In many cases, adults can have their teeth sealed too. Tooth sealant dangers are minimal, but you may want to consider some pros and cons of. They’re no substitute for brushing and flossing, but they can keep cavities from forming and may even stop early stages of decay from becoming a full. Dental sealants are mostly placed on children's permanent. Are Sealants Bad For You.
From waterproofcaulking.com
Why Is Silicone Caulk Bad For Wood? Waterproof Caulking & Restoration Are Sealants Bad For You In many cases, adults can have their teeth sealed too. Back teeth with deep fissures are susceptible to decay. The cdc report states that dental sealants prevent 80 percent of cavities for two years after application. Tooth sealant dangers are minimal, but you may want to consider some pros and cons of. Dental sealants are painless and scientific research has. Are Sealants Bad For You.
From oralhealthnc.org
What Are Dental Sealants? North Carolina Oral Health Collaborative Are Sealants Bad For You Dental sealants are mostly placed on children's permanent back teeth that have erupted. The cdc report states that dental sealants prevent 80 percent of cavities for two years after application. Dental sealants prevent 80% of cavities over 2 years in the back teeth, where 9 in 10 cavities occur. In many cases, adults can have their teeth sealed too. They’re. Are Sealants Bad For You.
From myprecisiondental.com
Dental Sealants Tricks for LongLasting Protection Precision Are Sealants Bad For You Dental sealants prevent 80% of cavities over 2 years in the back teeth, where 9 in 10 cavities occur. Tooth sealant dangers are minimal, but you may want to consider some pros and cons of. They’re no substitute for brushing and flossing, but they can keep cavities from forming and may even stop early stages of decay from becoming a. Are Sealants Bad For You.
From martlabpro.com
Dental Sealants What They Are And The Indications For Their Use Are Sealants Bad For You Dental sealants are mostly placed on children's permanent back teeth that have erupted. Dental sealants prevent 80% of cavities over 2 years in the back teeth, where 9 in 10 cavities occur. Back teeth with deep fissures are susceptible to decay. Dental sealants are painless and scientific research has not revealed any adverse effects likely to happen when dental sealants. Are Sealants Bad For You.
From admiredentistry.com.au
Bleeding Gums & Bad Breath Admire Dentistry Are Sealants Bad For You Tooth sealant dangers are minimal, but you may want to consider some pros and cons of. In many cases, adults can have their teeth sealed too. Dental sealants are mostly placed on children's permanent back teeth that have erupted. Back teeth with deep fissures are susceptible to decay. Dental sealants prevent 80% of cavities over 2 years in the back. Are Sealants Bad For You.