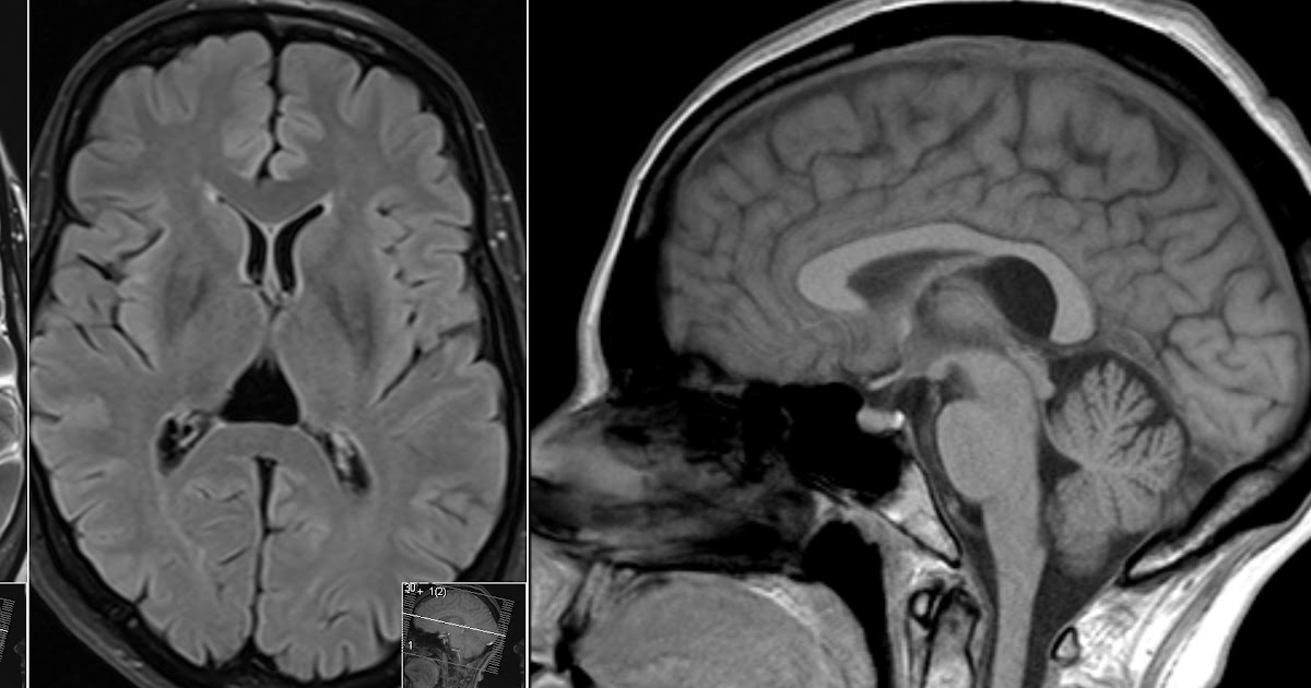
Cavum Velum Interpositum Effects . the term cyst of the velum interpositum or cavum veli interpositi cyst should be used when the lesion is of round. cavum velum interpositi is the space between the layers of the tela choroidea of the third ventricle. abstract cavum velum interpositi is the space between the layers of the tela choroidea of the third ventricle. an enlarged cavum velum interpositum displaces the internal cerebral veins inferiorly and laterally. cavum veli interpositi is a rare anatomical variation characterized by an enlarged space within the velum. Identify the etiology of cavum veli interpositi and the medical conditions.
from ar.inspiredpencil.com
abstract cavum velum interpositi is the space between the layers of the tela choroidea of the third ventricle. cavum veli interpositi is a rare anatomical variation characterized by an enlarged space within the velum. the term cyst of the velum interpositum or cavum veli interpositi cyst should be used when the lesion is of round. an enlarged cavum velum interpositum displaces the internal cerebral veins inferiorly and laterally. Identify the etiology of cavum veli interpositi and the medical conditions. cavum velum interpositi is the space between the layers of the tela choroidea of the third ventricle.
Cavum Velum Interpositum Ultrasound
Cavum Velum Interpositum Effects abstract cavum velum interpositi is the space between the layers of the tela choroidea of the third ventricle. the term cyst of the velum interpositum or cavum veli interpositi cyst should be used when the lesion is of round. cavum veli interpositi is a rare anatomical variation characterized by an enlarged space within the velum. Identify the etiology of cavum veli interpositi and the medical conditions. abstract cavum velum interpositi is the space between the layers of the tela choroidea of the third ventricle. an enlarged cavum velum interpositum displaces the internal cerebral veins inferiorly and laterally. cavum velum interpositi is the space between the layers of the tela choroidea of the third ventricle.
From radiologymri.blogspot.com
Cavum Velum Interpositum on MRI Cavum Velum Interpositum Effects Identify the etiology of cavum veli interpositi and the medical conditions. the term cyst of the velum interpositum or cavum veli interpositi cyst should be used when the lesion is of round. abstract cavum velum interpositi is the space between the layers of the tela choroidea of the third ventricle. cavum velum interpositi is the space between. Cavum Velum Interpositum Effects.
From ar.inspiredpencil.com
Cavum Velum Interpositum Ultrasound Cavum Velum Interpositum Effects cavum velum interpositi is the space between the layers of the tela choroidea of the third ventricle. Identify the etiology of cavum veli interpositi and the medical conditions. the term cyst of the velum interpositum or cavum veli interpositi cyst should be used when the lesion is of round. an enlarged cavum velum interpositum displaces the internal. Cavum Velum Interpositum Effects.
From pediatricimaging.org
Cavum Velum Interpositum Pediatric Radiology Reference Article Cavum Velum Interpositum Effects cavum veli interpositi is a rare anatomical variation characterized by an enlarged space within the velum. the term cyst of the velum interpositum or cavum veli interpositi cyst should be used when the lesion is of round. cavum velum interpositi is the space between the layers of the tela choroidea of the third ventricle. abstract cavum. Cavum Velum Interpositum Effects.
From ar.inspiredpencil.com
Cavum Velum Interpositum Ultrasound Cavum Velum Interpositum Effects the term cyst of the velum interpositum or cavum veli interpositi cyst should be used when the lesion is of round. cavum veli interpositi is a rare anatomical variation characterized by an enlarged space within the velum. cavum velum interpositi is the space between the layers of the tela choroidea of the third ventricle. abstract cavum. Cavum Velum Interpositum Effects.
From ar.inspiredpencil.com
Cavum Velum Interpositum Ultrasound Cavum Velum Interpositum Effects an enlarged cavum velum interpositum displaces the internal cerebral veins inferiorly and laterally. cavum veli interpositi is a rare anatomical variation characterized by an enlarged space within the velum. abstract cavum velum interpositi is the space between the layers of the tela choroidea of the third ventricle. Identify the etiology of cavum veli interpositi and the medical. Cavum Velum Interpositum Effects.
From ar.inspiredpencil.com
Cavum Velum Interpositum Cavum Velum Interpositum Effects the term cyst of the velum interpositum or cavum veli interpositi cyst should be used when the lesion is of round. abstract cavum velum interpositi is the space between the layers of the tela choroidea of the third ventricle. cavum veli interpositi is a rare anatomical variation characterized by an enlarged space within the velum. Identify the. Cavum Velum Interpositum Effects.
From ar.inspiredpencil.com
Cavum Velum Interpositum Ultrasound Cavum Velum Interpositum Effects cavum velum interpositi is the space between the layers of the tela choroidea of the third ventricle. cavum veli interpositi is a rare anatomical variation characterized by an enlarged space within the velum. abstract cavum velum interpositi is the space between the layers of the tela choroidea of the third ventricle. the term cyst of the. Cavum Velum Interpositum Effects.
From ar.inspiredpencil.com
Cavum Velum Interpositum Ultrasound Cavum Velum Interpositum Effects the term cyst of the velum interpositum or cavum veli interpositi cyst should be used when the lesion is of round. abstract cavum velum interpositi is the space between the layers of the tela choroidea of the third ventricle. an enlarged cavum velum interpositum displaces the internal cerebral veins inferiorly and laterally. cavum veli interpositi is. Cavum Velum Interpositum Effects.
From www.slideshare.net
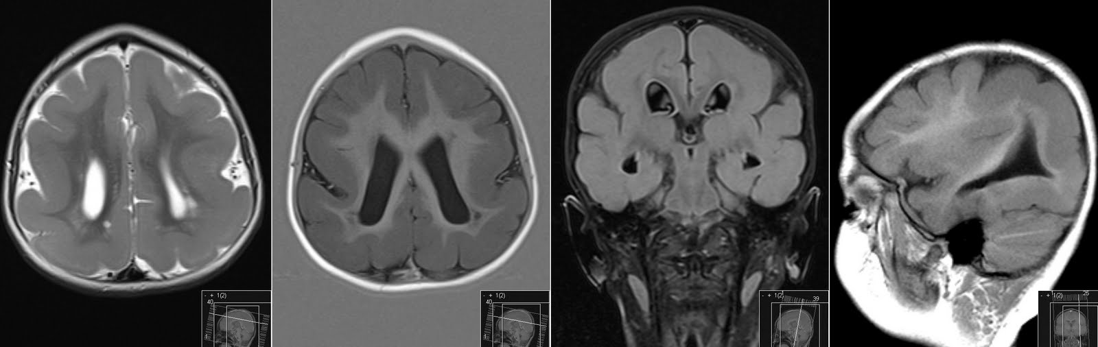
Cavum septum pellucidum (CSP), Cavum vergae and Cavum veli interpositi Cavum Velum Interpositum Effects the term cyst of the velum interpositum or cavum veli interpositi cyst should be used when the lesion is of round. abstract cavum velum interpositi is the space between the layers of the tela choroidea of the third ventricle. cavum veli interpositi is a rare anatomical variation characterized by an enlarged space within the velum. Identify the. Cavum Velum Interpositum Effects.
From radiopaedia.org
Cavum velum interpositum cyst Image Cavum Velum Interpositum Effects abstract cavum velum interpositi is the space between the layers of the tela choroidea of the third ventricle. cavum veli interpositi is a rare anatomical variation characterized by an enlarged space within the velum. Identify the etiology of cavum veli interpositi and the medical conditions. the term cyst of the velum interpositum or cavum veli interpositi cyst. Cavum Velum Interpositum Effects.
From ar.inspiredpencil.com
Cavum Velum Interpositum Ultrasound Cavum Velum Interpositum Effects an enlarged cavum velum interpositum displaces the internal cerebral veins inferiorly and laterally. cavum veli interpositi is a rare anatomical variation characterized by an enlarged space within the velum. cavum velum interpositi is the space between the layers of the tela choroidea of the third ventricle. the term cyst of the velum interpositum or cavum veli. Cavum Velum Interpositum Effects.
From www.researchgate.net
Presented case illustrated in coronal section CSP Cavum septum Cavum Velum Interpositum Effects the term cyst of the velum interpositum or cavum veli interpositi cyst should be used when the lesion is of round. Identify the etiology of cavum veli interpositi and the medical conditions. cavum veli interpositi is a rare anatomical variation characterized by an enlarged space within the velum. an enlarged cavum velum interpositum displaces the internal cerebral. Cavum Velum Interpositum Effects.
From ar.inspiredpencil.com
Cavum Velum Interpositum Ultrasound Cavum Velum Interpositum Effects cavum velum interpositi is the space between the layers of the tela choroidea of the third ventricle. an enlarged cavum velum interpositum displaces the internal cerebral veins inferiorly and laterally. the term cyst of the velum interpositum or cavum veli interpositi cyst should be used when the lesion is of round. abstract cavum velum interpositi is. Cavum Velum Interpositum Effects.
From www.pinterest.co.uk
Pin on Neurology Cavum Velum Interpositum Effects the term cyst of the velum interpositum or cavum veli interpositi cyst should be used when the lesion is of round. Identify the etiology of cavum veli interpositi and the medical conditions. abstract cavum velum interpositi is the space between the layers of the tela choroidea of the third ventricle. cavum velum interpositi is the space between. Cavum Velum Interpositum Effects.
From www.dovepress.com
A unique finding of cavum velum interpositum colloidlike cyst and lit Cavum Velum Interpositum Effects cavum veli interpositi is a rare anatomical variation characterized by an enlarged space within the velum. abstract cavum velum interpositi is the space between the layers of the tela choroidea of the third ventricle. an enlarged cavum velum interpositum displaces the internal cerebral veins inferiorly and laterally. cavum velum interpositi is the space between the layers. Cavum Velum Interpositum Effects.
From www.semanticscholar.org
[PDF] Cavum velum interpositum, cavum septum pellucidum, and cavum Cavum Velum Interpositum Effects abstract cavum velum interpositi is the space between the layers of the tela choroidea of the third ventricle. cavum velum interpositi is the space between the layers of the tela choroidea of the third ventricle. the term cyst of the velum interpositum or cavum veli interpositi cyst should be used when the lesion is of round. . Cavum Velum Interpositum Effects.
From radiopaedia.org
Cavum velum interpositum Image Cavum Velum Interpositum Effects abstract cavum velum interpositi is the space between the layers of the tela choroidea of the third ventricle. Identify the etiology of cavum veli interpositi and the medical conditions. the term cyst of the velum interpositum or cavum veli interpositi cyst should be used when the lesion is of round. an enlarged cavum velum interpositum displaces the. Cavum Velum Interpositum Effects.
From ar.inspiredpencil.com
Cavum Velum Interpositum Ultrasound Cavum Velum Interpositum Effects cavum veli interpositi is a rare anatomical variation characterized by an enlarged space within the velum. abstract cavum velum interpositi is the space between the layers of the tela choroidea of the third ventricle. an enlarged cavum velum interpositum displaces the internal cerebral veins inferiorly and laterally. Identify the etiology of cavum veli interpositi and the medical. Cavum Velum Interpositum Effects.
From ar.inspiredpencil.com
Cavum Velum Interpositum Ultrasound Cavum Velum Interpositum Effects cavum veli interpositi is a rare anatomical variation characterized by an enlarged space within the velum. cavum velum interpositi is the space between the layers of the tela choroidea of the third ventricle. an enlarged cavum velum interpositum displaces the internal cerebral veins inferiorly and laterally. the term cyst of the velum interpositum or cavum veli. Cavum Velum Interpositum Effects.
From www.semanticscholar.org
Figure 2 from Arachnoid cyst of the cavum velum interpositum associated Cavum Velum Interpositum Effects an enlarged cavum velum interpositum displaces the internal cerebral veins inferiorly and laterally. the term cyst of the velum interpositum or cavum veli interpositi cyst should be used when the lesion is of round. cavum velum interpositi is the space between the layers of the tela choroidea of the third ventricle. Identify the etiology of cavum veli. Cavum Velum Interpositum Effects.
From ar.inspiredpencil.com
Cavum Velum Interpositum Ultrasound Cavum Velum Interpositum Effects cavum velum interpositi is the space between the layers of the tela choroidea of the third ventricle. Identify the etiology of cavum veli interpositi and the medical conditions. cavum veli interpositi is a rare anatomical variation characterized by an enlarged space within the velum. the term cyst of the velum interpositum or cavum veli interpositi cyst should. Cavum Velum Interpositum Effects.
From wmsproductions.nl
Cavum Velum Interpositum Mri Cavum Velum Interpositum Effects cavum velum interpositi is the space between the layers of the tela choroidea of the third ventricle. the term cyst of the velum interpositum or cavum veli interpositi cyst should be used when the lesion is of round. abstract cavum velum interpositi is the space between the layers of the tela choroidea of the third ventricle. . Cavum Velum Interpositum Effects.
From www.semanticscholar.org
Figure 1 from Arachnoid Cyst of the Cavum Velum Interpositum in a Cavum Velum Interpositum Effects the term cyst of the velum interpositum or cavum veli interpositi cyst should be used when the lesion is of round. cavum velum interpositi is the space between the layers of the tela choroidea of the third ventricle. an enlarged cavum velum interpositum displaces the internal cerebral veins inferiorly and laterally. Identify the etiology of cavum veli. Cavum Velum Interpositum Effects.
From ar.inspiredpencil.com
Cavum Velum Interpositum Ultrasound Cavum Velum Interpositum Effects Identify the etiology of cavum veli interpositi and the medical conditions. cavum velum interpositi is the space between the layers of the tela choroidea of the third ventricle. cavum veli interpositi is a rare anatomical variation characterized by an enlarged space within the velum. abstract cavum velum interpositi is the space between the layers of the tela. Cavum Velum Interpositum Effects.
From ar.inspiredpencil.com
Cavum Velum Interpositum Ultrasound Cavum Velum Interpositum Effects an enlarged cavum velum interpositum displaces the internal cerebral veins inferiorly and laterally. Identify the etiology of cavum veli interpositi and the medical conditions. abstract cavum velum interpositi is the space between the layers of the tela choroidea of the third ventricle. the term cyst of the velum interpositum or cavum veli interpositi cyst should be used. Cavum Velum Interpositum Effects.
From slidetodoc.com
Intracranial Cysts and Cystic Lesions ASN Annual Meeting Cavum Velum Interpositum Effects Identify the etiology of cavum veli interpositi and the medical conditions. cavum veli interpositi is a rare anatomical variation characterized by an enlarged space within the velum. abstract cavum velum interpositi is the space between the layers of the tela choroidea of the third ventricle. an enlarged cavum velum interpositum displaces the internal cerebral veins inferiorly and. Cavum Velum Interpositum Effects.
From radiologymri.blogspot.com
Radiology MRI Cavum Velum Interpositum on MRI Cavum Velum Interpositum Effects the term cyst of the velum interpositum or cavum veli interpositi cyst should be used when the lesion is of round. cavum veli interpositi is a rare anatomical variation characterized by an enlarged space within the velum. cavum velum interpositi is the space between the layers of the tela choroidea of the third ventricle. an enlarged. Cavum Velum Interpositum Effects.
From radiopaedia.org
Cavum velum interpositum Image Cavum Velum Interpositum Effects cavum velum interpositi is the space between the layers of the tela choroidea of the third ventricle. abstract cavum velum interpositi is the space between the layers of the tela choroidea of the third ventricle. the term cyst of the velum interpositum or cavum veli interpositi cyst should be used when the lesion is of round. . Cavum Velum Interpositum Effects.
From www.semanticscholar.org
Figure 1 from Cavum velum interpositum cyst causing symptomatic trapped Cavum Velum Interpositum Effects abstract cavum velum interpositi is the space between the layers of the tela choroidea of the third ventricle. the term cyst of the velum interpositum or cavum veli interpositi cyst should be used when the lesion is of round. an enlarged cavum velum interpositum displaces the internal cerebral veins inferiorly and laterally. Identify the etiology of cavum. Cavum Velum Interpositum Effects.
From ar.inspiredpencil.com
Cavum Velum Interpositum Ultrasound Cavum Velum Interpositum Effects abstract cavum velum interpositi is the space between the layers of the tela choroidea of the third ventricle. the term cyst of the velum interpositum or cavum veli interpositi cyst should be used when the lesion is of round. an enlarged cavum velum interpositum displaces the internal cerebral veins inferiorly and laterally. Identify the etiology of cavum. Cavum Velum Interpositum Effects.
From ar.inspiredpencil.com
Cavum Velum Interpositum Ultrasound Cavum Velum Interpositum Effects cavum veli interpositi is a rare anatomical variation characterized by an enlarged space within the velum. the term cyst of the velum interpositum or cavum veli interpositi cyst should be used when the lesion is of round. cavum velum interpositi is the space between the layers of the tela choroidea of the third ventricle. an enlarged. Cavum Velum Interpositum Effects.
From www.semanticscholar.org
Figure 1 from Arachnoid Cyst of the Cavum Velum Interpositum in a Cavum Velum Interpositum Effects abstract cavum velum interpositi is the space between the layers of the tela choroidea of the third ventricle. an enlarged cavum velum interpositum displaces the internal cerebral veins inferiorly and laterally. cavum veli interpositi is a rare anatomical variation characterized by an enlarged space within the velum. cavum velum interpositi is the space between the layers. Cavum Velum Interpositum Effects.
From ar.inspiredpencil.com
Cavum Velum Interpositum Ultrasound Cavum Velum Interpositum Effects Identify the etiology of cavum veli interpositi and the medical conditions. cavum veli interpositi is a rare anatomical variation characterized by an enlarged space within the velum. cavum velum interpositi is the space between the layers of the tela choroidea of the third ventricle. the term cyst of the velum interpositum or cavum veli interpositi cyst should. Cavum Velum Interpositum Effects.
From dxolpaaop.blob.core.windows.net
Cavum Velum Interpositum Cyst Fetal Ultrasound at Lisa Perry blog Cavum Velum Interpositum Effects abstract cavum velum interpositi is the space between the layers of the tela choroidea of the third ventricle. Identify the etiology of cavum veli interpositi and the medical conditions. the term cyst of the velum interpositum or cavum veli interpositi cyst should be used when the lesion is of round. cavum veli interpositi is a rare anatomical. Cavum Velum Interpositum Effects.
From radiopaedia.org
Cavum velum interpositum cyst Image Cavum Velum Interpositum Effects abstract cavum velum interpositi is the space between the layers of the tela choroidea of the third ventricle. Identify the etiology of cavum veli interpositi and the medical conditions. cavum veli interpositi is a rare anatomical variation characterized by an enlarged space within the velum. cavum velum interpositi is the space between the layers of the tela. Cavum Velum Interpositum Effects.