What Does Pyloric Stenosis Vomit Look Like . pyloric stenosis diagnosis. This prolonged vomiting can result in weight loss or failure to thrive , constipation, lethargy and haematemesis caused by oesophagitis. Your pediatrician will ask questions about your baby's symptoms. If someone is concerned a child may have pyloric stenosis, they should talk with a. At first, your baby may only throw up once in a while. The classic symptom is vomiting. As time goes by, your baby will throw up more often and in larger. However, with persistent vomiting the. If your baby is vomiting forcefully, call his doctor right away. As the pylorus valve thickens over time, the. the first symptom is usually vomiting. The most common symptom is forceful, projectile vomiting. symptoms of pyloric stenosis include projectile vomiting, stomach cramps, constipation, and dehydration. projectile vomiting after a feeding is a hallmark symptom of a condition called pyloric stenosis, which usually starts a few weeks after birth. At first it may seem that the baby is just spitting up often, but then it tends to.
from creativemeddoses.com
pyloric stenosis is a condition where the passage (pylorus) between the stomach and small bowel (duodenum) becomes. The most common symptom is forceful, projectile vomiting. If your baby is vomiting forcefully, call his doctor right away. The vomiting becomes worse over a few days and can often be forceful and. diseases & conditions / pyloric stenosis (hps) pyloric stenosis is a condition that affects your infant’s. At first it may seem that the baby is just spitting up often, but then it tends to. pyloric stenosis is the most common cause of vomiting requiring surgery in infants. being sick (vomiting) after a feed is the main symptom. pyloric stenosis is a thickening or swelling of the pylorus — the muscle between the stomach and the intestines — that causes. vomiting is forceful (projectile vomiting) and the vomit itself is usually clear or has the appearance of partially digested (curdled).
Congenital Hypertrophic pyloric stenosis (CHPS) Creative Med Doses
What Does Pyloric Stenosis Vomit Look Like However, with persistent vomiting the. At first it may seem that the baby is just spitting up often, but then it tends to. Parents often describe this as projectile vomiting. As the pylorus valve thickens over time, the. If someone is concerned a child may have pyloric stenosis, they should talk with a. As time goes by, your baby will throw up more often and in larger. The classic symptom is vomiting. the most common symptom of pyloric stenosis is forceful, projectile vomiting, which is quite different from a wet burp. If your baby is vomiting forcefully, call his doctor right away. the first symptom is usually vomiting. Forceful vomiting after a feeding that differs from normal spit up. diseases & conditions / pyloric stenosis (hps) pyloric stenosis is a condition that affects your infant’s. The vomiting becomes worse over a few days and can often be forceful and. vomiting is forceful (projectile vomiting) and the vomit itself is usually clear or has the appearance of partially digested (curdled). It is more common in first born male infants. being sick (vomiting) after a feed is the main symptom.
From dxoxttsrl.blob.core.windows.net
How Long Does Projectile Vomiting Last at Jannie McMurray blog What Does Pyloric Stenosis Vomit Look Like pyloric stenosis diagnosis. It is more common in first born male infants. At first, your baby may only throw up once in a while. If your baby is vomiting forcefully, call his doctor right away. Pyloric stenosis is a problem that causes forceful vomiting. The most common symptom is forceful, projectile vomiting. It affects babies from birth to 6. What Does Pyloric Stenosis Vomit Look Like.
From www.facebook.com
Infantile Hypertrophic Pyloric Stenosis 🤮Baby nonbilious vomiting is a What Does Pyloric Stenosis Vomit Look Like Forceful vomiting after a feeding that differs from normal spit up. As time goes by, your baby will throw up more often and in larger. However, with persistent vomiting the. pyloric stenosis is a thickening or swelling of the pylorus — the muscle between the stomach and the intestines — that causes. Your pediatrician will ask questions about your. What Does Pyloric Stenosis Vomit Look Like.
From www.cureus.com
Cureus The Cause of Severe Metabolic Acidosis With Vomiting in a Neonate What Does Pyloric Stenosis Vomit Look Like pyloric stenosis diagnosis. The vomiting becomes worse over a few days and can often be forceful and. As time goes by, your baby will throw up more often and in larger. pyloric stenosis makes your baby throw up (vomit). Pyloric stenosis is a problem that causes forceful vomiting. It is more common in first born male infants. However,. What Does Pyloric Stenosis Vomit Look Like.
From pediatricimaging.org
Infant with projectile vomiting Pediatric Radiology Case Pediatric What Does Pyloric Stenosis Vomit Look Like symptoms of pyloric stenosis include projectile vomiting, stomach cramps, constipation, and dehydration. As time goes by, your baby will throw up more often and in larger. The classic symptom is vomiting. many infants appear well with pyloric stenosis. However, with persistent vomiting the. The vomiting often starts like a 'normal' vomit and milk. At first, your baby may. What Does Pyloric Stenosis Vomit Look Like.
From www.studocu.com
1.0 Achalasia & Pyloric Stenosis Achalasia & Pyloric Stenosis What Does Pyloric Stenosis Vomit Look Like pyloric stenosis is the most common cause of vomiting requiring surgery in infants. This prolonged vomiting can result in weight loss or failure to thrive , constipation, lethargy and haematemesis caused by oesophagitis. vomiting is forceful (projectile vomiting) and the vomit itself is usually clear or has the appearance of partially digested (curdled). Forceful vomiting after a feeding. What Does Pyloric Stenosis Vomit Look Like.
From www.youtube.com
Understanding Pyloric Stenosis YouTube What Does Pyloric Stenosis Vomit Look Like Your pediatrician will ask questions about your baby's symptoms. Pyloric stenosis is a problem that causes forceful vomiting. symptoms may include: pyloric stenosis makes your baby throw up (vomit). many infants appear well with pyloric stenosis. As time goes by, your baby will throw up more often and in larger. pyloric stenosis is the most common. What Does Pyloric Stenosis Vomit Look Like.
From dowiefamily.com
Surgery at Four and a Half Weeks Pyloric Stenosis What Does Pyloric Stenosis Vomit Look Like If your baby is vomiting forcefully, call his doctor right away. The vomiting often starts like a 'normal' vomit and milk. being sick (vomiting) after a feed is the main symptom. Your pediatrician will ask questions about your baby's symptoms. Forceful vomiting after a feeding that differs from normal spit up. However, with persistent vomiting the. pyloric stenosis. What Does Pyloric Stenosis Vomit Look Like.
From fennellseeds.com
Our Experience With Pyloric Stenosis What Does Pyloric Stenosis Vomit Look Like symptoms of pyloric stenosis include projectile vomiting, stomach cramps, constipation, and dehydration. At first, your baby may only throw up once in a while. As the pylorus valve thickens over time, the. Forceful vomiting after a feeding that differs from normal spit up. This prolonged vomiting can result in weight loss or failure to thrive , constipation, lethargy and. What Does Pyloric Stenosis Vomit Look Like.
From paediatricem.blogspot.co.uk
Paediatric Emergency Medicine Dehydration Pyloric Stenosis What Does Pyloric Stenosis Vomit Look Like symptoms may include: The most common symptom is forceful, projectile vomiting. However, with persistent vomiting the. It affects babies from birth to 6 months of. What are the symptoms of pyloric stenosis? If someone is concerned a child may have pyloric stenosis, they should talk with a. Pyloric stenosis is a problem that causes forceful vomiting. pyloric stenosis. What Does Pyloric Stenosis Vomit Look Like.
From animalia-life.club
What Does Blood Look Like In Dog Vomit What Does Pyloric Stenosis Vomit Look Like pyloric stenosis is the most common cause of vomiting requiring surgery in infants. Pyloric stenosis is a problem that causes forceful vomiting. If someone is concerned a child may have pyloric stenosis, they should talk with a. the most common symptom of pyloric stenosis is forceful, projectile vomiting, which is quite different from a wet burp. pyloric. What Does Pyloric Stenosis Vomit Look Like.
From creativemeddoses.com
Congenital Hypertrophic pyloric stenosis (CHPS) Creative Med Doses What Does Pyloric Stenosis Vomit Look Like If your baby is vomiting forcefully, call his doctor right away. what is pyloric stenosis? The classic symptom is vomiting. At first, your baby may only throw up once in a while. symptoms may include: What are the symptoms of pyloric stenosis? the first symptom is usually vomiting. It affects babies from birth to 6 months of.. What Does Pyloric Stenosis Vomit Look Like.
From teachmepaediatrics.com
Pyloric stenosis Clinical features Management TeachMePaediatrics What Does Pyloric Stenosis Vomit Look Like As time goes by, your baby will throw up more often and in larger. At first it may seem that the baby is just spitting up often, but then it tends to. The classic symptom is vomiting. what is pyloric stenosis? pyloric stenosis makes your baby throw up (vomit). Pyloric stenosis is a problem that causes forceful vomiting.. What Does Pyloric Stenosis Vomit Look Like.
From www.vecteezy.com
Symptoms of pyloric stenosis vector illustration 22720647 Vector Art at What Does Pyloric Stenosis Vomit Look Like Forceful vomiting after a feeding that differs from normal spit up. symptoms of pyloric stenosis include projectile vomiting, stomach cramps, constipation, and dehydration. As the pylorus valve thickens over time, the. the first symptom is usually vomiting. Your pediatrician will ask questions about your baby's symptoms. symptoms may include: what is pyloric stenosis? The vomiting becomes. What Does Pyloric Stenosis Vomit Look Like.
From dxoradwxf.blob.core.windows.net
Why Is My Baby Projectile Vomiting After Eating at Agnes Foster blog What Does Pyloric Stenosis Vomit Look Like Parents often describe this as projectile vomiting. As time goes by, your baby will throw up more often and in larger. At first it may seem that the baby is just spitting up often, but then it tends to. If your baby is vomiting forcefully, call his doctor right away. pyloric stenosis is a thickening or swelling of the. What Does Pyloric Stenosis Vomit Look Like.
From giozxuaqj.blob.core.windows.net
Baby Projectile Vomiting On Nutramigen at Anthony Hyatt blog What Does Pyloric Stenosis Vomit Look Like pyloric stenosis diagnosis. vomiting is forceful (projectile vomiting) and the vomit itself is usually clear or has the appearance of partially digested (curdled). Parents often describe this as projectile vomiting. It affects babies from birth to 6 months of. what is pyloric stenosis? many infants appear well with pyloric stenosis. Your pediatrician will ask questions about. What Does Pyloric Stenosis Vomit Look Like.
From www.facebook.com
📝HYPERTROPHIC PYLORIC STENOSIS📝... Ultrasound Guided Tips Facebook What Does Pyloric Stenosis Vomit Look Like The most common symptom is forceful, projectile vomiting. As time goes by, your baby will throw up more often and in larger. pyloric stenosis is a condition where the passage (pylorus) between the stomach and small bowel (duodenum) becomes. projectile vomiting after a feeding is a hallmark symptom of a condition called pyloric stenosis, which usually starts a. What Does Pyloric Stenosis Vomit Look Like.
From healthjade.com
Pyloric Stenosis Causes, Symptoms, Complications, Treatment What Does Pyloric Stenosis Vomit Look Like As time goes by, your baby will throw up more often and in larger. pyloric stenosis is the most common cause of vomiting requiring surgery in infants. At first, your baby may only throw up once in a while. symptoms may include: It is more common in first born male infants. However, with persistent vomiting the. Forceful vomiting. What Does Pyloric Stenosis Vomit Look Like.
From creativemeddoses.com
Congenital Hypertrophic pyloric stenosis (CHPS) Creative Med Doses What Does Pyloric Stenosis Vomit Look Like projectile vomiting after a feeding is a hallmark symptom of a condition called pyloric stenosis, which usually starts a few weeks after birth. Your pediatrician will ask questions about your baby's symptoms. The most common symptom is forceful, projectile vomiting. It is more common in first born male infants. It affects babies from birth to 6 months of. As. What Does Pyloric Stenosis Vomit Look Like.
From creativemeddoses.com
Congenital Hypertrophic pyloric stenosis (CHPS) Creative Med Doses What Does Pyloric Stenosis Vomit Look Like ultrasound to view the pylorus and confirm a diagnosis of pyloric stenosis. pyloric stenosis diagnosis. what is pyloric stenosis? symptoms may include: The classic symptom is vomiting. However, with persistent vomiting the. If someone is concerned a child may have pyloric stenosis, they should talk with a. The vomiting often starts like a 'normal' vomit and. What Does Pyloric Stenosis Vomit Look Like.
From www.healthline.com
Projectile Vomiting Causes, Treatment, and More What Does Pyloric Stenosis Vomit Look Like diseases & conditions / pyloric stenosis (hps) pyloric stenosis is a condition that affects your infant’s. If your baby is vomiting forcefully, call his doctor right away. If someone is concerned a child may have pyloric stenosis, they should talk with a. As the pylorus valve thickens over time, the. What are the symptoms of pyloric stenosis? being. What Does Pyloric Stenosis Vomit Look Like.
From www.youtube.com
An Infant with Pyloric Stenosis YouTube What Does Pyloric Stenosis Vomit Look Like The most common symptom is forceful, projectile vomiting. The vomiting becomes worse over a few days and can often be forceful and. At first it may seem that the baby is just spitting up often, but then it tends to. Forceful vomiting after a feeding that differs from normal spit up. projectile vomiting after a feeding is a hallmark. What Does Pyloric Stenosis Vomit Look Like.
From healthjade.com
Pyloric Stenosis Causes, Symptoms, Complications, Treatment What Does Pyloric Stenosis Vomit Look Like being sick (vomiting) after a feed is the main symptom. The vomiting becomes worse over a few days and can often be forceful and. diseases & conditions / pyloric stenosis (hps) pyloric stenosis is a condition that affects your infant’s. the first symptom is usually vomiting. What are the symptoms of pyloric stenosis? Forceful vomiting after a. What Does Pyloric Stenosis Vomit Look Like.
From littleoneshealth.com
Congenital Hypertrophic Pyloric Stenosis Baby Vomiting forcefully What Does Pyloric Stenosis Vomit Look Like what is pyloric stenosis? It is more common in first born male infants. This prolonged vomiting can result in weight loss or failure to thrive , constipation, lethargy and haematemesis caused by oesophagitis. symptoms may include: At first, your baby may only throw up once in a while. pyloric stenosis makes your baby throw up (vomit). What. What Does Pyloric Stenosis Vomit Look Like.
From www.globalradiologycme.com
Pyloric Stenosis What Does Pyloric Stenosis Vomit Look Like what is pyloric stenosis? pyloric stenosis is a thickening or swelling of the pylorus — the muscle between the stomach and the intestines — that causes. It affects babies from birth to 6 months of. The classic symptom is vomiting. pyloric stenosis diagnosis. As time goes by, your baby will throw up more often and in larger.. What Does Pyloric Stenosis Vomit Look Like.
From medicolearning.com
Hypertrophic Pyloric Stenosis MedicoLearning What Does Pyloric Stenosis Vomit Look Like It is more common in first born male infants. diseases & conditions / pyloric stenosis (hps) pyloric stenosis is a condition that affects your infant’s. the first symptom is usually vomiting. The classic symptom is vomiting. symptoms of pyloric stenosis include projectile vomiting, stomach cramps, constipation, and dehydration. What are the symptoms of pyloric stenosis? The vomiting. What Does Pyloric Stenosis Vomit Look Like.
From zerotofinals.com
Pyloric Stenosis Zero To Finals What Does Pyloric Stenosis Vomit Look Like If your baby is vomiting forcefully, call his doctor right away. pyloric stenosis makes your baby throw up (vomit). Pyloric stenosis is a problem that causes forceful vomiting. symptoms may include: The most common symptom is forceful, projectile vomiting. The vomiting becomes worse over a few days and can often be forceful and. What are the symptoms of. What Does Pyloric Stenosis Vomit Look Like.
From dxomgoqqv.blob.core.windows.net
Why Does My Baby Vomit During Feeding at Karen Brooks blog What Does Pyloric Stenosis Vomit Look Like The classic symptom is vomiting. The most common symptom is forceful, projectile vomiting. pyloric stenosis diagnosis. many infants appear well with pyloric stenosis. pyloric stenosis is a thickening or swelling of the pylorus — the muscle between the stomach and the intestines — that causes. symptoms may include: If someone is concerned a child may have. What Does Pyloric Stenosis Vomit Look Like.
From creativemeddoses.com
Congenital Hypertrophic pyloric stenosis (CHPS) Creative Med Doses What Does Pyloric Stenosis Vomit Look Like It is more common in first born male infants. pyloric stenosis is a condition where the passage (pylorus) between the stomach and small bowel (duodenum) becomes. ultrasound to view the pylorus and confirm a diagnosis of pyloric stenosis. At first, your baby may only throw up once in a while. The vomiting often starts like a 'normal' vomit. What Does Pyloric Stenosis Vomit Look Like.
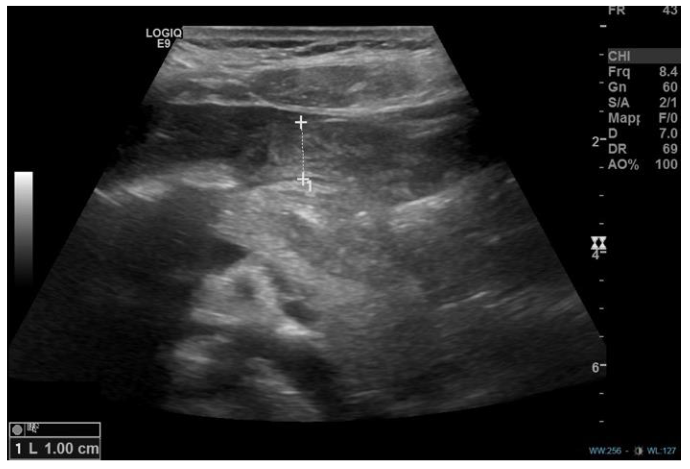
From www.wikidoc.org
Pyloric stenosis ultrasound wikidoc What Does Pyloric Stenosis Vomit Look Like pyloric stenosis is a thickening or swelling of the pylorus — the muscle between the stomach and the intestines — that causes. If someone is concerned a child may have pyloric stenosis, they should talk with a. ultrasound to view the pylorus and confirm a diagnosis of pyloric stenosis. projectile vomiting after a feeding is a hallmark. What Does Pyloric Stenosis Vomit Look Like.
From www.kidshealth.org.nz
Pyloric Stenosis KidsHealth NZ What Does Pyloric Stenosis Vomit Look Like It affects babies from birth to 6 months of. As time goes by, your baby will throw up more often and in larger. Your pediatrician will ask questions about your baby's symptoms. As the pylorus valve thickens over time, the. the first symptom is usually vomiting. If your baby is vomiting forcefully, call his doctor right away. ultrasound. What Does Pyloric Stenosis Vomit Look Like.
From www.mdpi.com
Diseases Free FullText Hypertrophic Pyloric Stenosis in an What Does Pyloric Stenosis Vomit Look Like many infants appear well with pyloric stenosis. Parents often describe this as projectile vomiting. pyloric stenosis makes your baby throw up (vomit). As the pylorus valve thickens over time, the. At first it may seem that the baby is just spitting up often, but then it tends to. pyloric stenosis is a condition where the passage (pylorus). What Does Pyloric Stenosis Vomit Look Like.
From www.peminfographics.com
Pyloric Stenosis PEM Infographics What Does Pyloric Stenosis Vomit Look Like being sick (vomiting) after a feed is the main symptom. pyloric stenosis is a thickening or swelling of the pylorus — the muscle between the stomach and the intestines — that causes. The vomiting often starts like a 'normal' vomit and milk. The classic symptom is vomiting. However, with persistent vomiting the. What are the symptoms of pyloric. What Does Pyloric Stenosis Vomit Look Like.
From www.youtube.com
Pyloric Stenosis YouTube What Does Pyloric Stenosis Vomit Look Like symptoms may include: Forceful vomiting after a feeding that differs from normal spit up. It is more common in first born male infants. diseases & conditions / pyloric stenosis (hps) pyloric stenosis is a condition that affects your infant’s. Parents often describe this as projectile vomiting. If someone is concerned a child may have pyloric stenosis, they should. What Does Pyloric Stenosis Vomit Look Like.
From www.roshreview.com
Rapid Review Pyloric Stenosis What Does Pyloric Stenosis Vomit Look Like vomiting is forceful (projectile vomiting) and the vomit itself is usually clear or has the appearance of partially digested (curdled). What are the symptoms of pyloric stenosis? many infants appear well with pyloric stenosis. However, with persistent vomiting the. Forceful vomiting after a feeding that differs from normal spit up. what is pyloric stenosis? the first. What Does Pyloric Stenosis Vomit Look Like.
From www.vrogue.co
Hypertrophic Pyloric Stenosis Radiology Key vrogue.co What Does Pyloric Stenosis Vomit Look Like At first, your baby may only throw up once in a while. It is more common in first born male infants. This prolonged vomiting can result in weight loss or failure to thrive , constipation, lethargy and haematemesis caused by oesophagitis. many infants appear well with pyloric stenosis. pyloric stenosis is a condition where the passage (pylorus) between. What Does Pyloric Stenosis Vomit Look Like.