How Big Are Prions . Prions are infectious agents that cause a number of rare neurodegenerative diseases in humans and animals. Prions, a term derived from the phrase “ pro teinaceous in fectious particle” , are the pathogens that cause a group of fatal. Prions are infectious agents that long defied some of our basic ideas of biology. 'prion' is a term first used to describe the mysterious infectious agent responsible for several neurodegenerative diseases. The function of prions is not fully understood, but they are believed to play a role in intracellular signaling and cell adhesion. They appear to behave like other infectious. Prion, an abnormal form of a normally harmless protein found in the brain that is responsible for a variety of fatal. Prion disease (sometimes called transmissible spongiform encephalopathy) causes brain damage that leads to dementia. Prions are found in the brain and are resistant to proteases.
from sciencephoto.com
Prions are found in the brain and are resistant to proteases. Prion, an abnormal form of a normally harmless protein found in the brain that is responsible for a variety of fatal. 'prion' is a term first used to describe the mysterious infectious agent responsible for several neurodegenerative diseases. The function of prions is not fully understood, but they are believed to play a role in intracellular signaling and cell adhesion. Prions are infectious agents that cause a number of rare neurodegenerative diseases in humans and animals. They appear to behave like other infectious. Prion disease (sometimes called transmissible spongiform encephalopathy) causes brain damage that leads to dementia. Prions are infectious agents that long defied some of our basic ideas of biology. Prions, a term derived from the phrase “ pro teinaceous in fectious particle” , are the pathogens that cause a group of fatal.
Prions, TEM Stock Image M060/0031 Science Photo Library
How Big Are Prions Prions are found in the brain and are resistant to proteases. Prions are infectious agents that long defied some of our basic ideas of biology. Prions are infectious agents that cause a number of rare neurodegenerative diseases in humans and animals. Prion, an abnormal form of a normally harmless protein found in the brain that is responsible for a variety of fatal. The function of prions is not fully understood, but they are believed to play a role in intracellular signaling and cell adhesion. Prions are found in the brain and are resistant to proteases. 'prion' is a term first used to describe the mysterious infectious agent responsible for several neurodegenerative diseases. Prions, a term derived from the phrase “ pro teinaceous in fectious particle” , are the pathogens that cause a group of fatal. They appear to behave like other infectious. Prion disease (sometimes called transmissible spongiform encephalopathy) causes brain damage that leads to dementia.
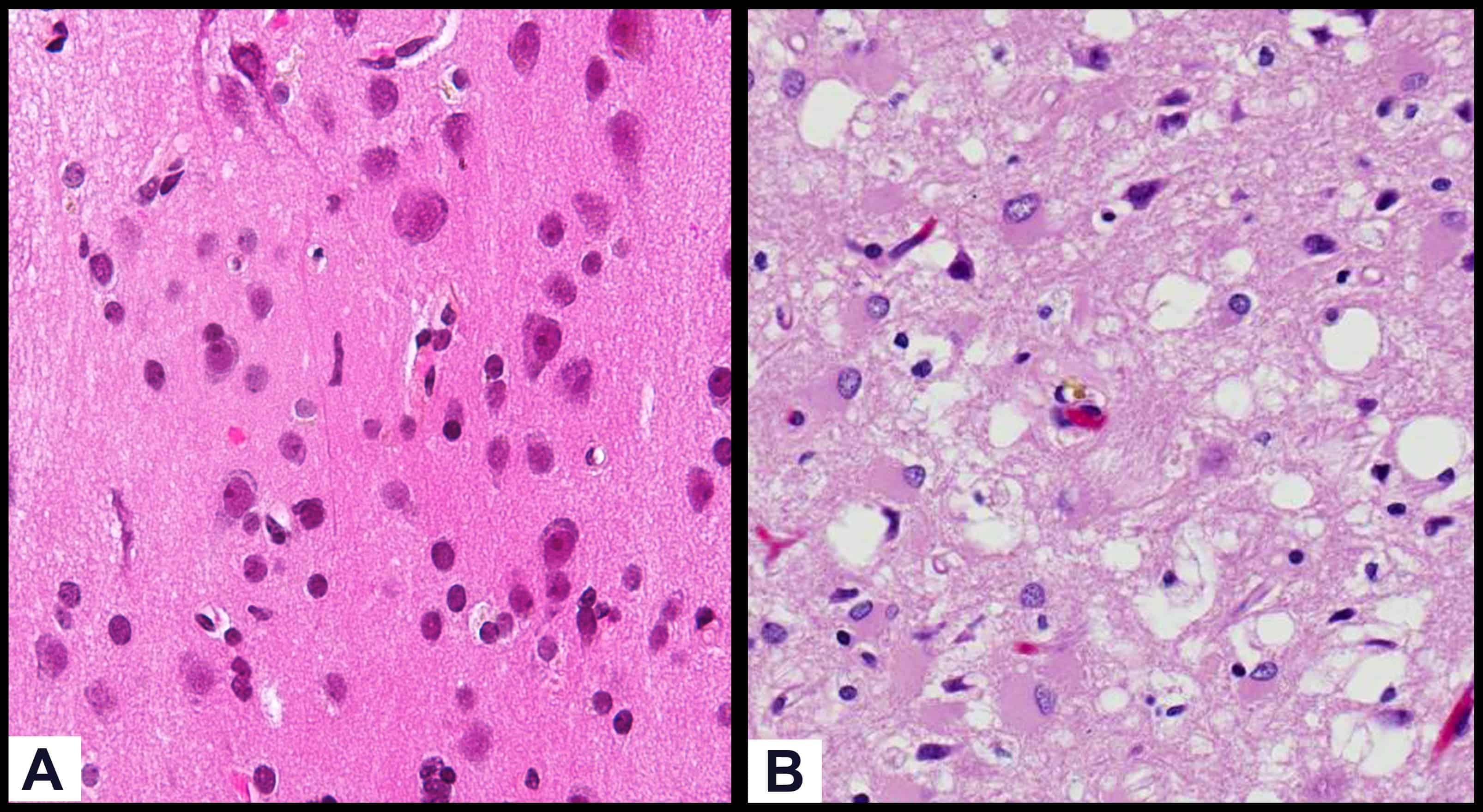
From listverse.com
10 Frightening Facts About The Mysterious Deadly Prion Diseases Listverse How Big Are Prions Prions are found in the brain and are resistant to proteases. The function of prions is not fully understood, but they are believed to play a role in intracellular signaling and cell adhesion. 'prion' is a term first used to describe the mysterious infectious agent responsible for several neurodegenerative diseases. Prions, a term derived from the phrase “ pro teinaceous. How Big Are Prions.
From www.zmescience.com
What are prions the confusing protein How Big Are Prions 'prion' is a term first used to describe the mysterious infectious agent responsible for several neurodegenerative diseases. Prion disease (sometimes called transmissible spongiform encephalopathy) causes brain damage that leads to dementia. Prions are found in the brain and are resistant to proteases. Prions are infectious agents that cause a number of rare neurodegenerative diseases in humans and animals. Prions, a. How Big Are Prions.
From www.nzbirdsonline.org.nz
Broadbilled prion New Zealand Birds Online How Big Are Prions Prions are found in the brain and are resistant to proteases. The function of prions is not fully understood, but they are believed to play a role in intracellular signaling and cell adhesion. They appear to behave like other infectious. 'prion' is a term first used to describe the mysterious infectious agent responsible for several neurodegenerative diseases. Prion, an abnormal. How Big Are Prions.
From www.cell.com
Mammalian Prion Biology Cell How Big Are Prions They appear to behave like other infectious. Prions are found in the brain and are resistant to proteases. Prions, a term derived from the phrase “ pro teinaceous in fectious particle” , are the pathogens that cause a group of fatal. Prions are infectious agents that long defied some of our basic ideas of biology. Prion disease (sometimes called transmissible. How Big Are Prions.
From sciencephoto.com
Prions, TEM Stock Image M060/0031 Science Photo Library How Big Are Prions Prions, a term derived from the phrase “ pro teinaceous in fectious particle” , are the pathogens that cause a group of fatal. The function of prions is not fully understood, but they are believed to play a role in intracellular signaling and cell adhesion. Prions are infectious agents that cause a number of rare neurodegenerative diseases in humans and. How Big Are Prions.
From naturemicrobiologycommunity.nature.com
Expanding the prion universe prions encoded by viruses Nature Research Microbiology Community How Big Are Prions Prion, an abnormal form of a normally harmless protein found in the brain that is responsible for a variety of fatal. They appear to behave like other infectious. Prions are found in the brain and are resistant to proteases. The function of prions is not fully understood, but they are believed to play a role in intracellular signaling and cell. How Big Are Prions.
From genesdev.cshlp.org
Prions proteins as genes and infectious entities How Big Are Prions Prions are infectious agents that long defied some of our basic ideas of biology. 'prion' is a term first used to describe the mysterious infectious agent responsible for several neurodegenerative diseases. Prions are found in the brain and are resistant to proteases. Prions are infectious agents that cause a number of rare neurodegenerative diseases in humans and animals. Prion disease. How Big Are Prions.
From www.mdpi.com
IJMS Free FullText Neuroinflammation in Prion Disease How Big Are Prions Prions, a term derived from the phrase “ pro teinaceous in fectious particle” , are the pathogens that cause a group of fatal. They appear to behave like other infectious. Prion, an abnormal form of a normally harmless protein found in the brain that is responsible for a variety of fatal. Prions are found in the brain and are resistant. How Big Are Prions.
From hms.harvard.edu
New Trick Up Their Sleeve Harvard Medical School How Big Are Prions Prions are infectious agents that cause a number of rare neurodegenerative diseases in humans and animals. Prion disease (sometimes called transmissible spongiform encephalopathy) causes brain damage that leads to dementia. Prion, an abnormal form of a normally harmless protein found in the brain that is responsible for a variety of fatal. They appear to behave like other infectious. Prions, a. How Big Are Prions.
From cshperspectives.cshlp.org
Yeast and Fungal Prions How Big Are Prions Prions are found in the brain and are resistant to proteases. 'prion' is a term first used to describe the mysterious infectious agent responsible for several neurodegenerative diseases. Prions are infectious agents that long defied some of our basic ideas of biology. They appear to behave like other infectious. Prions, a term derived from the phrase “ pro teinaceous in. How Big Are Prions.
From www.scienceabc.com
Prions Definition, Structure, Function, Replication And Diseases How Big Are Prions Prions are infectious agents that cause a number of rare neurodegenerative diseases in humans and animals. 'prion' is a term first used to describe the mysterious infectious agent responsible for several neurodegenerative diseases. They appear to behave like other infectious. Prions, a term derived from the phrase “ pro teinaceous in fectious particle” , are the pathogens that cause a. How Big Are Prions.
From owlcation.com
Prions in the Body and CreutzfeldtJakob Disease (CJD) Facts Owlcation How Big Are Prions Prion, an abnormal form of a normally harmless protein found in the brain that is responsible for a variety of fatal. Prions are infectious agents that cause a number of rare neurodegenerative diseases in humans and animals. Prions, a term derived from the phrase “ pro teinaceous in fectious particle” , are the pathogens that cause a group of fatal.. How Big Are Prions.
From www.slideserve.com
PPT Prion Diseases PowerPoint Presentation, free download ID5009640 How Big Are Prions Prion disease (sometimes called transmissible spongiform encephalopathy) causes brain damage that leads to dementia. They appear to behave like other infectious. Prions are found in the brain and are resistant to proteases. 'prion' is a term first used to describe the mysterious infectious agent responsible for several neurodegenerative diseases. Prion, an abnormal form of a normally harmless protein found in. How Big Are Prions.
From www.researchgate.net
[BIG + ] has prionlike patterns of inheritance. Download Scientific Diagram How Big Are Prions Prion, an abnormal form of a normally harmless protein found in the brain that is responsible for a variety of fatal. Prions, a term derived from the phrase “ pro teinaceous in fectious particle” , are the pathogens that cause a group of fatal. 'prion' is a term first used to describe the mysterious infectious agent responsible for several neurodegenerative. How Big Are Prions.
From www.scienceabc.com
Prions Definition, Structure, Function, Replication And Diseases How Big Are Prions Prion, an abnormal form of a normally harmless protein found in the brain that is responsible for a variety of fatal. Prions are found in the brain and are resistant to proteases. The function of prions is not fully understood, but they are believed to play a role in intracellular signaling and cell adhesion. Prions, a term derived from the. How Big Are Prions.
From www.researchgate.net
Schematic representation of the prion protein. (A) The prion protein is... Download Scientific How Big Are Prions Prion, an abnormal form of a normally harmless protein found in the brain that is responsible for a variety of fatal. Prions are infectious agents that cause a number of rare neurodegenerative diseases in humans and animals. 'prion' is a term first used to describe the mysterious infectious agent responsible for several neurodegenerative diseases. They appear to behave like other. How Big Are Prions.
From www.bushpea.com
Antarctic Prion [Kay 2/2] Large How Big Are Prions Prions, a term derived from the phrase “ pro teinaceous in fectious particle” , are the pathogens that cause a group of fatal. Prions are found in the brain and are resistant to proteases. Prions are infectious agents that long defied some of our basic ideas of biology. They appear to behave like other infectious. Prions are infectious agents that. How Big Are Prions.
From cshperspectives.cshlp.org
Functional Prions in the Brain How Big Are Prions Prions are infectious agents that cause a number of rare neurodegenerative diseases in humans and animals. 'prion' is a term first used to describe the mysterious infectious agent responsible for several neurodegenerative diseases. The function of prions is not fully understood, but they are believed to play a role in intracellular signaling and cell adhesion. Prion, an abnormal form of. How Big Are Prions.
From www.researchgate.net
(PDF) Human prion diseases and the prion protein what is the current state of knowledge? How Big Are Prions Prion, an abnormal form of a normally harmless protein found in the brain that is responsible for a variety of fatal. The function of prions is not fully understood, but they are believed to play a role in intracellular signaling and cell adhesion. Prion disease (sometimes called transmissible spongiform encephalopathy) causes brain damage that leads to dementia. 'prion' is a. How Big Are Prions.
From pixels.com
Bsecausing Prions Photograph by Alfred Pasieka/science Photo Library How Big Are Prions They appear to behave like other infectious. Prions are infectious agents that cause a number of rare neurodegenerative diseases in humans and animals. Prions, a term derived from the phrase “ pro teinaceous in fectious particle” , are the pathogens that cause a group of fatal. Prions are infectious agents that long defied some of our basic ideas of biology.. How Big Are Prions.
From www.researchgate.net
(PDF) Prions are the greatest protein misfolding problem, and yeast has several solutions How Big Are Prions 'prion' is a term first used to describe the mysterious infectious agent responsible for several neurodegenerative diseases. Prion, an abnormal form of a normally harmless protein found in the brain that is responsible for a variety of fatal. Prions are infectious agents that long defied some of our basic ideas of biology. Prions are found in the brain and are. How Big Are Prions.
From www.brainblogger.com
What's In a Name? The Big Prion Debate. Brain Blogger How Big Are Prions They appear to behave like other infectious. Prions are infectious agents that cause a number of rare neurodegenerative diseases in humans and animals. Prions are found in the brain and are resistant to proteases. 'prion' is a term first used to describe the mysterious infectious agent responsible for several neurodegenerative diseases. Prions, a term derived from the phrase “ pro. How Big Are Prions.
From bigthink.com
What makes prions the 'zombie protein'? Big Think How Big Are Prions Prion disease (sometimes called transmissible spongiform encephalopathy) causes brain damage that leads to dementia. Prion, an abnormal form of a normally harmless protein found in the brain that is responsible for a variety of fatal. Prions are infectious agents that long defied some of our basic ideas of biology. 'prion' is a term first used to describe the mysterious infectious. How Big Are Prions.
From www.medecinesciences.org
Protéines prions propriétés de repliement et d’agrégation médecine/sciences How Big Are Prions Prions are found in the brain and are resistant to proteases. They appear to behave like other infectious. Prions are infectious agents that cause a number of rare neurodegenerative diseases in humans and animals. 'prion' is a term first used to describe the mysterious infectious agent responsible for several neurodegenerative diseases. Prions, a term derived from the phrase “ pro. How Big Are Prions.
From www.biotechfront.com
Prion Proteins Characteristics, Types, replication and disease Biotechfront How Big Are Prions Prion disease (sometimes called transmissible spongiform encephalopathy) causes brain damage that leads to dementia. Prions are infectious agents that long defied some of our basic ideas of biology. The function of prions is not fully understood, but they are believed to play a role in intracellular signaling and cell adhesion. Prion, an abnormal form of a normally harmless protein found. How Big Are Prions.
From mdahlem.net
Antarctic Prion (Pachyptila desolata) How Big Are Prions 'prion' is a term first used to describe the mysterious infectious agent responsible for several neurodegenerative diseases. Prions are found in the brain and are resistant to proteases. Prions are infectious agents that cause a number of rare neurodegenerative diseases in humans and animals. Prion, an abnormal form of a normally harmless protein found in the brain that is responsible. How Big Are Prions.
From cshperspectives.cshlp.org
Prions, Chaperones, and Proteostasis in Yeast How Big Are Prions They appear to behave like other infectious. Prions are infectious agents that cause a number of rare neurodegenerative diseases in humans and animals. Prion disease (sometimes called transmissible spongiform encephalopathy) causes brain damage that leads to dementia. Prion, an abnormal form of a normally harmless protein found in the brain that is responsible for a variety of fatal. Prions, a. How Big Are Prions.
From www.pnas.org
Guam ALSPDC is a distinct doubleprion disorder featuring both tau and Aβ prions PNAS How Big Are Prions Prions are infectious agents that cause a number of rare neurodegenerative diseases in humans and animals. They appear to behave like other infectious. The function of prions is not fully understood, but they are believed to play a role in intracellular signaling and cell adhesion. Prions are found in the brain and are resistant to proteases. Prion disease (sometimes called. How Big Are Prions.
From phys.org
First direct information about the prion's molecular structure reported How Big Are Prions 'prion' is a term first used to describe the mysterious infectious agent responsible for several neurodegenerative diseases. They appear to behave like other infectious. Prion, an abnormal form of a normally harmless protein found in the brain that is responsible for a variety of fatal. Prions are infectious agents that cause a number of rare neurodegenerative diseases in humans and. How Big Are Prions.
From acceleratingscience.com
Prion Disease and the Safety of our Food Supply Examining Food How Big Are Prions Prions, a term derived from the phrase “ pro teinaceous in fectious particle” , are the pathogens that cause a group of fatal. 'prion' is a term first used to describe the mysterious infectious agent responsible for several neurodegenerative diseases. They appear to behave like other infectious. Prion disease (sometimes called transmissible spongiform encephalopathy) causes brain damage that leads to. How Big Are Prions.
From www.frontiersin.org
Frontiers Development of a methodology for largescale production of prions for biological and How Big Are Prions Prions are found in the brain and are resistant to proteases. Prion disease (sometimes called transmissible spongiform encephalopathy) causes brain damage that leads to dementia. Prion, an abnormal form of a normally harmless protein found in the brain that is responsible for a variety of fatal. They appear to behave like other infectious. Prions are infectious agents that long defied. How Big Are Prions.
From cshperspectives.cshlp.org
Prions How Big Are Prions They appear to behave like other infectious. Prions, a term derived from the phrase “ pro teinaceous in fectious particle” , are the pathogens that cause a group of fatal. The function of prions is not fully understood, but they are believed to play a role in intracellular signaling and cell adhesion. Prions are infectious agents that cause a number. How Big Are Prions.
From www.slideserve.com
PPT Virology PowerPoint Presentation, free download ID9161596 How Big Are Prions Prions are infectious agents that long defied some of our basic ideas of biology. Prions, a term derived from the phrase “ pro teinaceous in fectious particle” , are the pathogens that cause a group of fatal. Prions are infectious agents that cause a number of rare neurodegenerative diseases in humans and animals. Prion disease (sometimes called transmissible spongiform encephalopathy). How Big Are Prions.
From www.slideshare.net
Prions How Big Are Prions The function of prions is not fully understood, but they are believed to play a role in intracellular signaling and cell adhesion. Prions are infectious agents that long defied some of our basic ideas of biology. They appear to behave like other infectious. 'prion' is a term first used to describe the mysterious infectious agent responsible for several neurodegenerative diseases.. How Big Are Prions.
From pixels.com
Prions In Brain Disease Photograph by Nicolle R. Fuller Pixels How Big Are Prions Prion disease (sometimes called transmissible spongiform encephalopathy) causes brain damage that leads to dementia. The function of prions is not fully understood, but they are believed to play a role in intracellular signaling and cell adhesion. Prions are infectious agents that long defied some of our basic ideas of biology. Prions are found in the brain and are resistant to. How Big Are Prions.