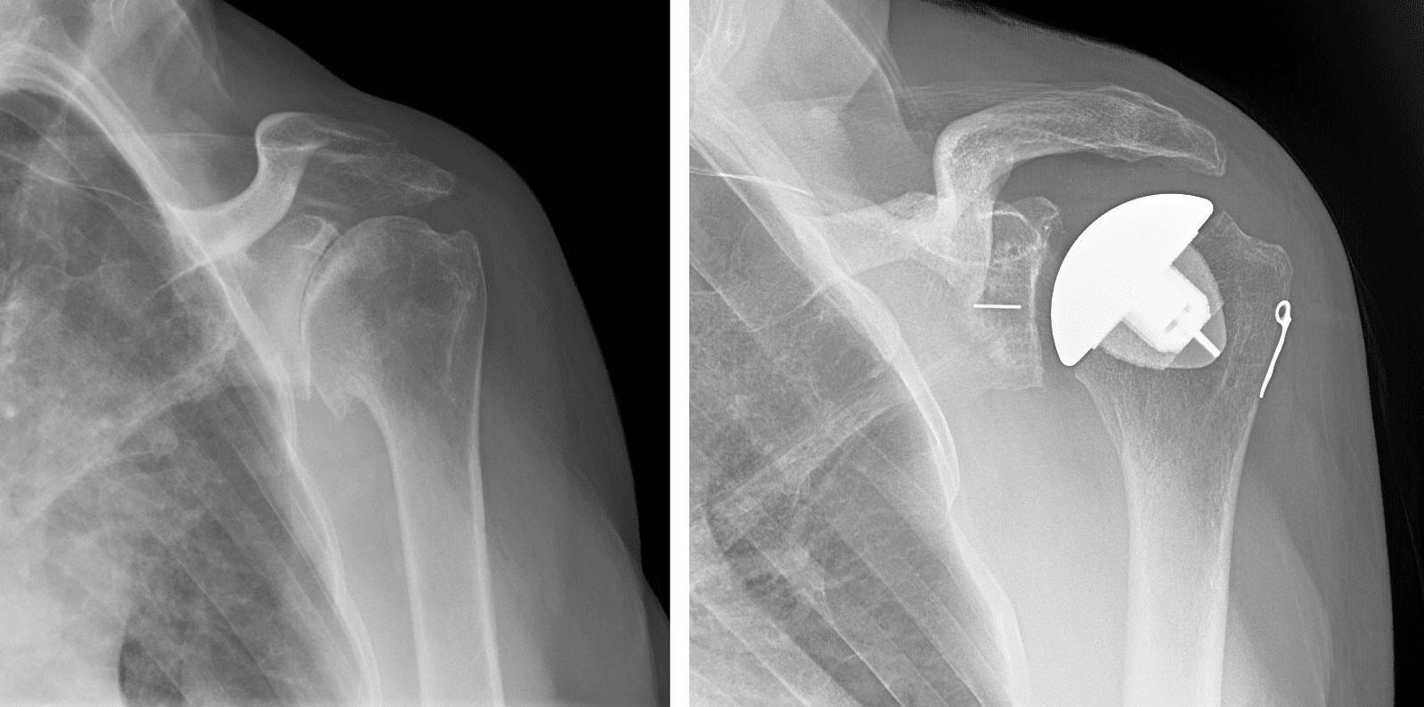
Shoulder Replacement X-Ray . Shoulder replacement removes damaged areas of bone and replaces them with parts made of metal and plastic (implants). If there is an irreparable rotator cuff. Shoulder arthroplasties are a common procedure, being third in joint replacements after knees and hips, and are used to treat a number of. This allows the patient to use the deltoid muscle instead of the torn rotator cuff to lift the arm. Patient suitability for an anatomic shoulder arthroplasty. A standard total shoulder arthroplasty, also known as anatomic total shoulder arthroplasty or total shoulder replacement, aims to replace both the.
from orthoinfo.aaos.org
Patient suitability for an anatomic shoulder arthroplasty. Shoulder replacement removes damaged areas of bone and replaces them with parts made of metal and plastic (implants). This allows the patient to use the deltoid muscle instead of the torn rotator cuff to lift the arm. Shoulder arthroplasties are a common procedure, being third in joint replacements after knees and hips, and are used to treat a number of. A standard total shoulder arthroplasty, also known as anatomic total shoulder arthroplasty or total shoulder replacement, aims to replace both the. If there is an irreparable rotator cuff.
Shoulder Joint Replacement OrthoInfo AAOS
Shoulder Replacement X-Ray Patient suitability for an anatomic shoulder arthroplasty. Patient suitability for an anatomic shoulder arthroplasty. This allows the patient to use the deltoid muscle instead of the torn rotator cuff to lift the arm. Shoulder replacement removes damaged areas of bone and replaces them with parts made of metal and plastic (implants). If there is an irreparable rotator cuff. Shoulder arthroplasties are a common procedure, being third in joint replacements after knees and hips, and are used to treat a number of. A standard total shoulder arthroplasty, also known as anatomic total shoulder arthroplasty or total shoulder replacement, aims to replace both the.
From radiopaedia.org
Dislocated reverse total shoulder arthroplasty Image Shoulder Replacement X-Ray Shoulder arthroplasties are a common procedure, being third in joint replacements after knees and hips, and are used to treat a number of. This allows the patient to use the deltoid muscle instead of the torn rotator cuff to lift the arm. If there is an irreparable rotator cuff. A standard total shoulder arthroplasty, also known as anatomic total shoulder. Shoulder Replacement X-Ray.
From www.wheelessonline.com
Arthroplasty of the Shoulder Wheeless' Textbook of Orthopaedics Shoulder Replacement X-Ray Patient suitability for an anatomic shoulder arthroplasty. Shoulder arthroplasties are a common procedure, being third in joint replacements after knees and hips, and are used to treat a number of. If there is an irreparable rotator cuff. Shoulder replacement removes damaged areas of bone and replaces them with parts made of metal and plastic (implants). A standard total shoulder arthroplasty,. Shoulder Replacement X-Ray.
From www.shutterstock.com
Xray After Artificial Shoulder Joint Replacement Stock Photo (Edit Now) 205761904 Shoulder Replacement X-Ray Shoulder replacement removes damaged areas of bone and replaces them with parts made of metal and plastic (implants). If there is an irreparable rotator cuff. Patient suitability for an anatomic shoulder arthroplasty. A standard total shoulder arthroplasty, also known as anatomic total shoulder arthroplasty or total shoulder replacement, aims to replace both the. Shoulder arthroplasties are a common procedure, being. Shoulder Replacement X-Ray.
From www.hopkinsmedicine.org
Reverse Total Shoulder Arthroplasty Without Bone Grafting for Glenoid Bone Loss Shoulder Replacement X-Ray This allows the patient to use the deltoid muscle instead of the torn rotator cuff to lift the arm. A standard total shoulder arthroplasty, also known as anatomic total shoulder arthroplasty or total shoulder replacement, aims to replace both the. Shoulder arthroplasties are a common procedure, being third in joint replacements after knees and hips, and are used to treat. Shoulder Replacement X-Ray.
From sbsportsmedicine.com
shoulder replacement xray santa barbara Dr. Amit Nathani, MD Shoulder Replacement X-Ray This allows the patient to use the deltoid muscle instead of the torn rotator cuff to lift the arm. A standard total shoulder arthroplasty, also known as anatomic total shoulder arthroplasty or total shoulder replacement, aims to replace both the. Shoulder replacement removes damaged areas of bone and replaces them with parts made of metal and plastic (implants). If there. Shoulder Replacement X-Ray.
From buyxraysonline.com
SHOULDER REPLACEMENT 1 Shoulder Replacement X-Ray Shoulder arthroplasties are a common procedure, being third in joint replacements after knees and hips, and are used to treat a number of. Shoulder replacement removes damaged areas of bone and replaces them with parts made of metal and plastic (implants). If there is an irreparable rotator cuff. A standard total shoulder arthroplasty, also known as anatomic total shoulder arthroplasty. Shoulder Replacement X-Ray.
From www.advantageorthodocs.com
Total Shoulder Replacement Alternative Advantage Orthopedics Orthopedic Shoulder Surgeons Shoulder Replacement X-Ray This allows the patient to use the deltoid muscle instead of the torn rotator cuff to lift the arm. Shoulder arthroplasties are a common procedure, being third in joint replacements after knees and hips, and are used to treat a number of. Shoulder replacement removes damaged areas of bone and replaces them with parts made of metal and plastic (implants).. Shoulder Replacement X-Ray.
From www.hopkinsmedicine.org
Reverse Total Shoulder Replacement Johns Hopkins Department of Orthopaedic Surgery Shoulder Replacement X-Ray Patient suitability for an anatomic shoulder arthroplasty. A standard total shoulder arthroplasty, also known as anatomic total shoulder arthroplasty or total shoulder replacement, aims to replace both the. If there is an irreparable rotator cuff. Shoulder replacement removes damaged areas of bone and replaces them with parts made of metal and plastic (implants). Shoulder arthroplasties are a common procedure, being. Shoulder Replacement X-Ray.
From melbournearmclinic.com
A Guide to Reverse Shoulder Replacement Surgery & Recovery Shoulder Replacement X-Ray Shoulder arthroplasties are a common procedure, being third in joint replacements after knees and hips, and are used to treat a number of. Shoulder replacement removes damaged areas of bone and replaces them with parts made of metal and plastic (implants). A standard total shoulder arthroplasty, also known as anatomic total shoulder arthroplasty or total shoulder replacement, aims to replace. Shoulder Replacement X-Ray.
From www.elsevier.es
Revision shoulder arthroplasty from resurfacing to noncemented shortstem reverse prosthesis Shoulder Replacement X-Ray A standard total shoulder arthroplasty, also known as anatomic total shoulder arthroplasty or total shoulder replacement, aims to replace both the. This allows the patient to use the deltoid muscle instead of the torn rotator cuff to lift the arm. Patient suitability for an anatomic shoulder arthroplasty. Shoulder replacement removes damaged areas of bone and replaces them with parts made. Shoulder Replacement X-Ray.
From drskedros.com
Partial or Total Shoulder Replacement Dr Skedros Orthopaedics Shoulder Replacement X-Ray Shoulder replacement removes damaged areas of bone and replaces them with parts made of metal and plastic (implants). If there is an irreparable rotator cuff. This allows the patient to use the deltoid muscle instead of the torn rotator cuff to lift the arm. Patient suitability for an anatomic shoulder arthroplasty. Shoulder arthroplasties are a common procedure, being third in. Shoulder Replacement X-Ray.
From www.caseclips.com
Anatomic Total Shoulder Arthroplasty Shoulder Replacement X-Ray Patient suitability for an anatomic shoulder arthroplasty. This allows the patient to use the deltoid muscle instead of the torn rotator cuff to lift the arm. If there is an irreparable rotator cuff. Shoulder replacement removes damaged areas of bone and replaces them with parts made of metal and plastic (implants). A standard total shoulder arthroplasty, also known as anatomic. Shoulder Replacement X-Ray.
From www.researchgate.net
A 2years followup Xray for an outpatient total shoulder arthroplasty... Download Scientific Shoulder Replacement X-Ray This allows the patient to use the deltoid muscle instead of the torn rotator cuff to lift the arm. Shoulder replacement removes damaged areas of bone and replaces them with parts made of metal and plastic (implants). If there is an irreparable rotator cuff. A standard total shoulder arthroplasty, also known as anatomic total shoulder arthroplasty or total shoulder replacement,. Shoulder Replacement X-Ray.
From seattleshoulderdoc.com
Reverse Shoulder Replacement shoulder surgeon in seattle Shoulder Replacement X-Ray Shoulder arthroplasties are a common procedure, being third in joint replacements after knees and hips, and are used to treat a number of. If there is an irreparable rotator cuff. Patient suitability for an anatomic shoulder arthroplasty. This allows the patient to use the deltoid muscle instead of the torn rotator cuff to lift the arm. Shoulder replacement removes damaged. Shoulder Replacement X-Ray.
From www.usaspinecare.com
Total Shoulder Replacement Surgery USA Spine Care & Orthopedics Shoulder Replacement X-Ray Shoulder arthroplasties are a common procedure, being third in joint replacements after knees and hips, and are used to treat a number of. Patient suitability for an anatomic shoulder arthroplasty. If there is an irreparable rotator cuff. This allows the patient to use the deltoid muscle instead of the torn rotator cuff to lift the arm. A standard total shoulder. Shoulder Replacement X-Ray.
From sumerdoc.blogspot.com
How to read Xray after the TSA (total shoulder arthroplasty) Sumer's Radiology Blog Shoulder Replacement X-Ray If there is an irreparable rotator cuff. Patient suitability for an anatomic shoulder arthroplasty. A standard total shoulder arthroplasty, also known as anatomic total shoulder arthroplasty or total shoulder replacement, aims to replace both the. Shoulder arthroplasties are a common procedure, being third in joint replacements after knees and hips, and are used to treat a number of. Shoulder replacement. Shoulder Replacement X-Ray.
From shoulderarthritis.blogspot.com
UW Shoulder and Elbow Academy Shoulder joint replacement arthroplasty xray evaluation Shoulder Replacement X-Ray Shoulder arthroplasties are a common procedure, being third in joint replacements after knees and hips, and are used to treat a number of. This allows the patient to use the deltoid muscle instead of the torn rotator cuff to lift the arm. A standard total shoulder arthroplasty, also known as anatomic total shoulder arthroplasty or total shoulder replacement, aims to. Shoulder Replacement X-Ray.
From www.liftmyarm.com
Tornier Simpliciti a stemless shoulder replacement system Shoulder Replacement X-Ray If there is an irreparable rotator cuff. Patient suitability for an anatomic shoulder arthroplasty. Shoulder arthroplasties are a common procedure, being third in joint replacements after knees and hips, and are used to treat a number of. A standard total shoulder arthroplasty, also known as anatomic total shoulder arthroplasty or total shoulder replacement, aims to replace both the. Shoulder replacement. Shoulder Replacement X-Ray.
From www.jnj.com
Revolutionize Reverse Shoulder Replacement with the INHANCE™ Shoulder System Johnson & Johnson Shoulder Replacement X-Ray If there is an irreparable rotator cuff. A standard total shoulder arthroplasty, also known as anatomic total shoulder arthroplasty or total shoulder replacement, aims to replace both the. This allows the patient to use the deltoid muscle instead of the torn rotator cuff to lift the arm. Patient suitability for an anatomic shoulder arthroplasty. Shoulder arthroplasties are a common procedure,. Shoulder Replacement X-Ray.
From drsunilreddy.com.au
Reverse Total Shoulder Replacement Dr Sunil Reddy Shoulder Replacement X-Ray Shoulder replacement removes damaged areas of bone and replaces them with parts made of metal and plastic (implants). A standard total shoulder arthroplasty, also known as anatomic total shoulder arthroplasty or total shoulder replacement, aims to replace both the. If there is an irreparable rotator cuff. This allows the patient to use the deltoid muscle instead of the torn rotator. Shoulder Replacement X-Ray.
From shoulderarthritis.blogspot.com
UW Shoulder and Elbow Academy Shoulder joint replacement arthroplasty xray evaluation Shoulder Replacement X-Ray Shoulder arthroplasties are a common procedure, being third in joint replacements after knees and hips, and are used to treat a number of. Shoulder replacement removes damaged areas of bone and replaces them with parts made of metal and plastic (implants). A standard total shoulder arthroplasty, also known as anatomic total shoulder arthroplasty or total shoulder replacement, aims to replace. Shoulder Replacement X-Ray.
From www.aaos.org
Advancements in Anatomical Shoulder Replacement Surgery Improve Surgical Factors and Longterm Shoulder Replacement X-Ray Shoulder replacement removes damaged areas of bone and replaces them with parts made of metal and plastic (implants). This allows the patient to use the deltoid muscle instead of the torn rotator cuff to lift the arm. A standard total shoulder arthroplasty, also known as anatomic total shoulder arthroplasty or total shoulder replacement, aims to replace both the. Shoulder arthroplasties. Shoulder Replacement X-Ray.
From www.laudclinic.com
Shoulder Replacement Laud Clinic Shoulder Replacement X-Ray Shoulder replacement removes damaged areas of bone and replaces them with parts made of metal and plastic (implants). Patient suitability for an anatomic shoulder arthroplasty. This allows the patient to use the deltoid muscle instead of the torn rotator cuff to lift the arm. If there is an irreparable rotator cuff. Shoulder arthroplasties are a common procedure, being third in. Shoulder Replacement X-Ray.
From www.jacksonorthopaedicsurgery.com
Shoulder Replacement San Antonio, TX Jackson Orthopaedics Shoulder Replacement X-Ray Patient suitability for an anatomic shoulder arthroplasty. A standard total shoulder arthroplasty, also known as anatomic total shoulder arthroplasty or total shoulder replacement, aims to replace both the. Shoulder arthroplasties are a common procedure, being third in joint replacements after knees and hips, and are used to treat a number of. This allows the patient to use the deltoid muscle. Shoulder Replacement X-Ray.
From www.caseclips.com
Anatomic Total Shoulder Arthroplasty Shoulder Replacement X-Ray Shoulder replacement removes damaged areas of bone and replaces them with parts made of metal and plastic (implants). Patient suitability for an anatomic shoulder arthroplasty. If there is an irreparable rotator cuff. This allows the patient to use the deltoid muscle instead of the torn rotator cuff to lift the arm. A standard total shoulder arthroplasty, also known as anatomic. Shoulder Replacement X-Ray.
From shoulderarthritis.blogspot.com
UW Shoulder and Elbow Academy Shoulder joint replacement arthroplasty xray evaluation Shoulder Replacement X-Ray Shoulder arthroplasties are a common procedure, being third in joint replacements after knees and hips, and are used to treat a number of. If there is an irreparable rotator cuff. This allows the patient to use the deltoid muscle instead of the torn rotator cuff to lift the arm. Shoulder replacement removes damaged areas of bone and replaces them with. Shoulder Replacement X-Ray.
From melbournearmclinic.com.au
A Guide to Reverse Shoulder Replacement Surgery & Recovery Shoulder Replacement X-Ray If there is an irreparable rotator cuff. Patient suitability for an anatomic shoulder arthroplasty. This allows the patient to use the deltoid muscle instead of the torn rotator cuff to lift the arm. Shoulder replacement removes damaged areas of bone and replaces them with parts made of metal and plastic (implants). A standard total shoulder arthroplasty, also known as anatomic. Shoulder Replacement X-Ray.
From orthoinfo.aaos.org
Shoulder Joint Replacement OrthoInfo AAOS Shoulder Replacement X-Ray If there is an irreparable rotator cuff. Shoulder arthroplasties are a common procedure, being third in joint replacements after knees and hips, and are used to treat a number of. A standard total shoulder arthroplasty, also known as anatomic total shoulder arthroplasty or total shoulder replacement, aims to replace both the. Shoulder replacement removes damaged areas of bone and replaces. Shoulder Replacement X-Ray.
From drsunilreddy.com.au
Reverse Total Shoulder Replacement Dr Sunil Reddy Shoulder Replacement X-Ray A standard total shoulder arthroplasty, also known as anatomic total shoulder arthroplasty or total shoulder replacement, aims to replace both the. Shoulder arthroplasties are a common procedure, being third in joint replacements after knees and hips, and are used to treat a number of. Shoulder replacement removes damaged areas of bone and replaces them with parts made of metal and. Shoulder Replacement X-Ray.
From millsteinorthopedics.com
Shoulder Xray Century City Los Angeles, CA Millstein Orthopedics Shoulder Replacement X-Ray This allows the patient to use the deltoid muscle instead of the torn rotator cuff to lift the arm. Patient suitability for an anatomic shoulder arthroplasty. If there is an irreparable rotator cuff. A standard total shoulder arthroplasty, also known as anatomic total shoulder arthroplasty or total shoulder replacement, aims to replace both the. Shoulder replacement removes damaged areas of. Shoulder Replacement X-Ray.
From www.thereadypatient.com
Stemmed vs. Stemless Shoulder Replacement ReadyPatient Shoulder Replacement X-Ray This allows the patient to use the deltoid muscle instead of the torn rotator cuff to lift the arm. A standard total shoulder arthroplasty, also known as anatomic total shoulder arthroplasty or total shoulder replacement, aims to replace both the. If there is an irreparable rotator cuff. Shoulder arthroplasties are a common procedure, being third in joint replacements after knees. Shoulder Replacement X-Ray.
From bostonshoulderinstitute.com
Reverse Total Shoulder Replacement Boston Shoulder Institute Shoulder Replacement X-Ray If there is an irreparable rotator cuff. This allows the patient to use the deltoid muscle instead of the torn rotator cuff to lift the arm. Patient suitability for an anatomic shoulder arthroplasty. Shoulder replacement removes damaged areas of bone and replaces them with parts made of metal and plastic (implants). A standard total shoulder arthroplasty, also known as anatomic. Shoulder Replacement X-Ray.
From www.arthrex.com
Arthrex Eclipse™ Stemless Shoulder Arthroplasty System Shoulder Replacement X-Ray Shoulder replacement removes damaged areas of bone and replaces them with parts made of metal and plastic (implants). A standard total shoulder arthroplasty, also known as anatomic total shoulder arthroplasty or total shoulder replacement, aims to replace both the. This allows the patient to use the deltoid muscle instead of the torn rotator cuff to lift the arm. Patient suitability. Shoulder Replacement X-Ray.
From drmillett.com
Reverse Shoulder Replacement Shoulder Arthritis Colorado Shoulder Specialist Shoulder Replacement X-Ray A standard total shoulder arthroplasty, also known as anatomic total shoulder arthroplasty or total shoulder replacement, aims to replace both the. If there is an irreparable rotator cuff. Shoulder arthroplasties are a common procedure, being third in joint replacements after knees and hips, and are used to treat a number of. Patient suitability for an anatomic shoulder arthroplasty. Shoulder replacement. Shoulder Replacement X-Ray.
From www.researchgate.net
Xray one year after implantation of reverse shoulder arthroplasty with... Download Scientific Shoulder Replacement X-Ray Shoulder arthroplasties are a common procedure, being third in joint replacements after knees and hips, and are used to treat a number of. If there is an irreparable rotator cuff. Patient suitability for an anatomic shoulder arthroplasty. A standard total shoulder arthroplasty, also known as anatomic total shoulder arthroplasty or total shoulder replacement, aims to replace both the. This allows. Shoulder Replacement X-Ray.