Spacer Tooth Extraction . If your child loses a baby tooth before they're supposed. Its primary purpose is to keep the space open to allow the permanent tooth to erupt and come into place.  space maintainers are a great way to make sure your child’s adult teeth grow into their mouth correctly.  a space maintainer consists of one or two stainless steel crowns or bands that attach to the teeth and hold a bar or wire loop between them.   dental space maintainers (or spacers) are devices used for kids who have lost some baby teeth but their permanent teeth.  your child's space maintainer (spacer) is designed to help hold space after a tooth has been extracted.   the royal college of surgeons guidance on the extraction of primary teeth state that space maintainers would be. It has been custom made to fit your. Basically, it is used to fill the space created when primary teeth are lost prematurely.   orthodontic separators, commonly known as tooth spacers, are rubber bands or orthodontic metal bands measuring about a centimeter in.
        
        from plantationsmiles.com 
     
        
          dental space maintainers (or spacers) are devices used for kids who have lost some baby teeth but their permanent teeth.  space maintainers are a great way to make sure your child’s adult teeth grow into their mouth correctly.  your child's space maintainer (spacer) is designed to help hold space after a tooth has been extracted.   orthodontic separators, commonly known as tooth spacers, are rubber bands or orthodontic metal bands measuring about a centimeter in. If your child loses a baby tooth before they're supposed. Basically, it is used to fill the space created when primary teeth are lost prematurely.   the royal college of surgeons guidance on the extraction of primary teeth state that space maintainers would be. Its primary purpose is to keep the space open to allow the permanent tooth to erupt and come into place. It has been custom made to fit your.  a space maintainer consists of one or two stainless steel crowns or bands that attach to the teeth and hold a bar or wire loop between them.
    
    	
            
	
		 
         
    What Are Dental Spacers For Teeth? Ultimate 2024 Guide 
    Spacer Tooth Extraction   your child's space maintainer (spacer) is designed to help hold space after a tooth has been extracted. Basically, it is used to fill the space created when primary teeth are lost prematurely.  a space maintainer consists of one or two stainless steel crowns or bands that attach to the teeth and hold a bar or wire loop between them. Its primary purpose is to keep the space open to allow the permanent tooth to erupt and come into place. If your child loses a baby tooth before they're supposed.  space maintainers are a great way to make sure your child’s adult teeth grow into their mouth correctly.   orthodontic separators, commonly known as tooth spacers, are rubber bands or orthodontic metal bands measuring about a centimeter in. It has been custom made to fit your.   dental space maintainers (or spacers) are devices used for kids who have lost some baby teeth but their permanent teeth.   the royal college of surgeons guidance on the extraction of primary teeth state that space maintainers would be.  your child's space maintainer (spacer) is designed to help hold space after a tooth has been extracted.
            
	
		 
         
 
    
        From braceshaven.com 
                    Spacers for Teeth What They Are Do Pain (All You Need To Know) Spacer Tooth Extraction   your child's space maintainer (spacer) is designed to help hold space after a tooth has been extracted.  space maintainers are a great way to make sure your child’s adult teeth grow into their mouth correctly. It has been custom made to fit your. Basically, it is used to fill the space created when primary teeth are lost prematurely.. Spacer Tooth Extraction.
     
    
        From takehomesmile.com 
                    What Are the Types of Spacers for Children's Teeth? Take Home Smile Spacer Tooth Extraction    dental space maintainers (or spacers) are devices used for kids who have lost some baby teeth but their permanent teeth. If your child loses a baby tooth before they're supposed. Its primary purpose is to keep the space open to allow the permanent tooth to erupt and come into place. It has been custom made to fit your. . Spacer Tooth Extraction.
     
    
        From exovoeybr.blob.core.windows.net 
                    Spacer Baby Tooth at Steve McCarthy blog Spacer Tooth Extraction   a space maintainer consists of one or two stainless steel crowns or bands that attach to the teeth and hold a bar or wire loop between them.  your child's space maintainer (spacer) is designed to help hold space after a tooth has been extracted. It has been custom made to fit your.   orthodontic separators, commonly known as. Spacer Tooth Extraction.
     
    
        From www.centreorthodontique.ca 
                    Spacers Dr Pascal Carrière Spacer Tooth Extraction   space maintainers are a great way to make sure your child’s adult teeth grow into their mouth correctly. Its primary purpose is to keep the space open to allow the permanent tooth to erupt and come into place.   the royal college of surgeons guidance on the extraction of primary teeth state that space maintainers would be.  your. Spacer Tooth Extraction.
     
    
        From www.kidstoothteam.com 
                    The Placement And Removal Process For Space Maintainers Kids Tooth Team Spacer Tooth Extraction    dental space maintainers (or spacers) are devices used for kids who have lost some baby teeth but their permanent teeth.  your child's space maintainer (spacer) is designed to help hold space after a tooth has been extracted.   orthodontic separators, commonly known as tooth spacers, are rubber bands or orthodontic metal bands measuring about a centimeter in. It. Spacer Tooth Extraction.
     
    
        From www.youtube.com 
                    GETTING BRACES ,TOOTH EXTRACTION🦷 ,SPACERS ,OVERBITE ( Pain , Hunger Spacer Tooth Extraction   your child's space maintainer (spacer) is designed to help hold space after a tooth has been extracted.   dental space maintainers (or spacers) are devices used for kids who have lost some baby teeth but their permanent teeth.  space maintainers are a great way to make sure your child’s adult teeth grow into their mouth correctly.  a. Spacer Tooth Extraction.
     
    
        From icyhealth.com 
                    What Are Spacers For Teeth A Detailed Guide Spacer Tooth Extraction  Its primary purpose is to keep the space open to allow the permanent tooth to erupt and come into place. If your child loses a baby tooth before they're supposed.  a space maintainer consists of one or two stainless steel crowns or bands that attach to the teeth and hold a bar or wire loop between them.   orthodontic. Spacer Tooth Extraction.
     
    
        From cekyvtwi.blob.core.windows.net 
                    Cdt Code For Removal Of Space Maintainer at Blanca Worth blog Spacer Tooth Extraction    orthodontic separators, commonly known as tooth spacers, are rubber bands or orthodontic metal bands measuring about a centimeter in. Its primary purpose is to keep the space open to allow the permanent tooth to erupt and come into place.   dental space maintainers (or spacers) are devices used for kids who have lost some baby teeth but their permanent. Spacer Tooth Extraction.
     
    
        From remeberingtoday.blogspot.com 
                    baby tooth extraction and spacer remeberingtoday Spacer Tooth Extraction    orthodontic separators, commonly known as tooth spacers, are rubber bands or orthodontic metal bands measuring about a centimeter in. Its primary purpose is to keep the space open to allow the permanent tooth to erupt and come into place.  space maintainers are a great way to make sure your child’s adult teeth grow into their mouth correctly. It. Spacer Tooth Extraction.
     
    
        From cembkwlp.blob.core.windows.net 
                    Types Of Space Maintainer at Shawn Williams blog Spacer Tooth Extraction    orthodontic separators, commonly known as tooth spacers, are rubber bands or orthodontic metal bands measuring about a centimeter in. If your child loses a baby tooth before they're supposed. Its primary purpose is to keep the space open to allow the permanent tooth to erupt and come into place.  a space maintainer consists of one or two stainless. Spacer Tooth Extraction.
     
    
        From www.reflectionsortho.com 
                    Dental Spacers Reflections Orthodontics Spacer Tooth Extraction    orthodontic separators, commonly known as tooth spacers, are rubber bands or orthodontic metal bands measuring about a centimeter in.  space maintainers are a great way to make sure your child’s adult teeth grow into their mouth correctly. Basically, it is used to fill the space created when primary teeth are lost prematurely. It has been custom made to. Spacer Tooth Extraction.
     
    
        From www.riendental.com.au 
                    Band and loop space maintainer. Spacer Tooth Extraction  Basically, it is used to fill the space created when primary teeth are lost prematurely.  your child's space maintainer (spacer) is designed to help hold space after a tooth has been extracted.   dental space maintainers (or spacers) are devices used for kids who have lost some baby teeth but their permanent teeth. Its primary purpose is to keep. Spacer Tooth Extraction.
     
    
        From orthodontist-bellevue.com 
                    Expander for teeth Modern Orthodontics in Bellevue Spacer Tooth Extraction   a space maintainer consists of one or two stainless steel crowns or bands that attach to the teeth and hold a bar or wire loop between them. If your child loses a baby tooth before they're supposed.   the royal college of surgeons guidance on the extraction of primary teeth state that space maintainers would be. Basically, it is. Spacer Tooth Extraction.
     
    
        From exookzbyb.blob.core.windows.net 
                    Space Maintainer Removal at Doris Myrie blog Spacer Tooth Extraction   a space maintainer consists of one or two stainless steel crowns or bands that attach to the teeth and hold a bar or wire loop between them. It has been custom made to fit your.  space maintainers are a great way to make sure your child’s adult teeth grow into their mouth correctly.  your child's space maintainer. Spacer Tooth Extraction.
     
    
        From cecfkxiz.blob.core.windows.net 
                    How To Get Spacers Out Of Teeth at Elizabeth Perez blog Spacer Tooth Extraction   a space maintainer consists of one or two stainless steel crowns or bands that attach to the teeth and hold a bar or wire loop between them. Its primary purpose is to keep the space open to allow the permanent tooth to erupt and come into place. Basically, it is used to fill the space created when primary teeth. Spacer Tooth Extraction.
     
    
        From remeberingtoday.blogspot.com 
                    baby tooth extraction and spacer remeberingtoday Spacer Tooth Extraction  Basically, it is used to fill the space created when primary teeth are lost prematurely. If your child loses a baby tooth before they're supposed.  a space maintainer consists of one or two stainless steel crowns or bands that attach to the teeth and hold a bar or wire loop between them. Its primary purpose is to keep the. Spacer Tooth Extraction.
     
    
        From www.youtube.com 
                    Technique for Separator Placement and Removal YouTube Spacer Tooth Extraction  It has been custom made to fit your.   orthodontic separators, commonly known as tooth spacers, are rubber bands or orthodontic metal bands measuring about a centimeter in.   the royal college of surgeons guidance on the extraction of primary teeth state that space maintainers would be. Basically, it is used to fill the space created when primary teeth are. Spacer Tooth Extraction.
     
    
        From teethtribune.com 
                    How To Put Spacers Back In Teeth Teeth Tribune Spacer Tooth Extraction   space maintainers are a great way to make sure your child’s adult teeth grow into their mouth correctly.   orthodontic separators, commonly known as tooth spacers, are rubber bands or orthodontic metal bands measuring about a centimeter in. Its primary purpose is to keep the space open to allow the permanent tooth to erupt and come into place. . Spacer Tooth Extraction.
     
    
        From infoteeth.org 
                    Best Review On Spacers For Teeth After Extraction Infoteeth Spacer Tooth Extraction    dental space maintainers (or spacers) are devices used for kids who have lost some baby teeth but their permanent teeth. It has been custom made to fit your. Basically, it is used to fill the space created when primary teeth are lost prematurely.  a space maintainer consists of one or two stainless steel crowns or bands that attach. Spacer Tooth Extraction.
     
    
        From cardinalorthodontics.com 
                    The Purpose of Teeth Spacers in Orthodontic Treatment Spacer Tooth Extraction    the royal college of surgeons guidance on the extraction of primary teeth state that space maintainers would be.  a space maintainer consists of one or two stainless steel crowns or bands that attach to the teeth and hold a bar or wire loop between them. Basically, it is used to fill the space created when primary teeth are. Spacer Tooth Extraction.
     
    
        From bracesattwenty.blogspot.com 
                    Braces at twenty Spacer and Extraction pictures Spacer Tooth Extraction    the royal college of surgeons guidance on the extraction of primary teeth state that space maintainers would be.  space maintainers are a great way to make sure your child’s adult teeth grow into their mouth correctly.  your child's space maintainer (spacer) is designed to help hold space after a tooth has been extracted.  a space maintainer. Spacer Tooth Extraction.
     
    
        From thesmartlocal.com 
                    15 MustKnows About Braces For Potential Metalmouths To Survive The Spacer Tooth Extraction    the royal college of surgeons guidance on the extraction of primary teeth state that space maintainers would be. It has been custom made to fit your.  space maintainers are a great way to make sure your child’s adult teeth grow into their mouth correctly.   dental space maintainers (or spacers) are devices used for kids who have lost. Spacer Tooth Extraction.
     
    
        From www.verywellhealth.com 
                    Palate Expander Types, Uses, Side Effects, and Care Spacer Tooth Extraction   space maintainers are a great way to make sure your child’s adult teeth grow into their mouth correctly.   the royal college of surgeons guidance on the extraction of primary teeth state that space maintainers would be.  a space maintainer consists of one or two stainless steel crowns or bands that attach to the teeth and hold a. Spacer Tooth Extraction.
     
    
        From www.pinterest.es 
                    A space maintainer is a device cemented to one tooth with an arm that Spacer Tooth Extraction  Basically, it is used to fill the space created when primary teeth are lost prematurely.  space maintainers are a great way to make sure your child’s adult teeth grow into their mouth correctly.   the royal college of surgeons guidance on the extraction of primary teeth state that space maintainers would be.  your child's space maintainer (spacer) is. Spacer Tooth Extraction.
     
    
        From www.youtube.com 
                    Children Dentistry Band & Loop Space Maintainer after Extraction Spacer Tooth Extraction    the royal college of surgeons guidance on the extraction of primary teeth state that space maintainers would be. Its primary purpose is to keep the space open to allow the permanent tooth to erupt and come into place.  your child's space maintainer (spacer) is designed to help hold space after a tooth has been extracted.   dental space. Spacer Tooth Extraction.
     
    
        From www.pinterest.com 
                    What are space maintainers? Space maintainers are used to manage the Spacer Tooth Extraction    orthodontic separators, commonly known as tooth spacers, are rubber bands or orthodontic metal bands measuring about a centimeter in.  a space maintainer consists of one or two stainless steel crowns or bands that attach to the teeth and hold a bar or wire loop between them.   dental space maintainers (or spacers) are devices used for kids who. Spacer Tooth Extraction.
     
    
        From nwpd.com.au 
                    Does my child need a space maintainer? Norwest Paediatric Dentistry Spacer Tooth Extraction    the royal college of surgeons guidance on the extraction of primary teeth state that space maintainers would be.   dental space maintainers (or spacers) are devices used for kids who have lost some baby teeth but their permanent teeth. If your child loses a baby tooth before they're supposed. It has been custom made to fit your.  space. Spacer Tooth Extraction.
     
    
        From sherwaydentalcentre.com 
                    Orthotreatment with Space Maintainers Sherway Gardens Dental Centre Spacer Tooth Extraction   your child's space maintainer (spacer) is designed to help hold space after a tooth has been extracted. Its primary purpose is to keep the space open to allow the permanent tooth to erupt and come into place. It has been custom made to fit your.  space maintainers are a great way to make sure your child’s adult teeth. Spacer Tooth Extraction.
     
    
        From plantationsmiles.com 
                    What Are Dental Spacers For Teeth? Ultimate 2024 Guide Spacer Tooth Extraction   a space maintainer consists of one or two stainless steel crowns or bands that attach to the teeth and hold a bar or wire loop between them.  your child's space maintainer (spacer) is designed to help hold space after a tooth has been extracted. Its primary purpose is to keep the space open to allow the permanent tooth. Spacer Tooth Extraction.
     
    
        From bracesattwenty.blogspot.com 
                    Braces at twenty Spacer and Extraction pictures Spacer Tooth Extraction    dental space maintainers (or spacers) are devices used for kids who have lost some baby teeth but their permanent teeth. Its primary purpose is to keep the space open to allow the permanent tooth to erupt and come into place. Basically, it is used to fill the space created when primary teeth are lost prematurely.   the royal college. Spacer Tooth Extraction.
     
    
        From exodhshui.blob.core.windows.net 
                    Unilateral Space Maintainer Ada Code at Eugene Ortiz blog Spacer Tooth Extraction  If your child loses a baby tooth before they're supposed.   the royal college of surgeons guidance on the extraction of primary teeth state that space maintainers would be.  your child's space maintainer (spacer) is designed to help hold space after a tooth has been extracted. Basically, it is used to fill the space created when primary teeth are. Spacer Tooth Extraction.
     
    
        From www.youtube.com 
                    Orthodontic SPACERS...how they work. McKinney Orthodontist EXPLAINS Spacer Tooth Extraction    orthodontic separators, commonly known as tooth spacers, are rubber bands or orthodontic metal bands measuring about a centimeter in. Basically, it is used to fill the space created when primary teeth are lost prematurely.  your child's space maintainer (spacer) is designed to help hold space after a tooth has been extracted. It has been custom made to fit. Spacer Tooth Extraction.
     
    
        From askanorthodontist.com 
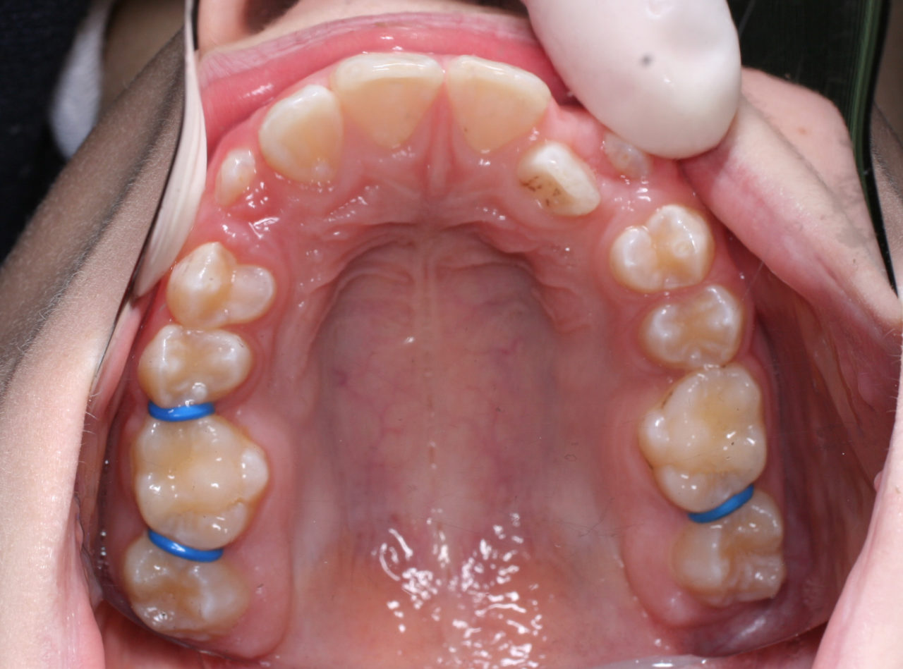
                    What are Separators, Spacers and Orthodontic Bands? Ask an Spacer Tooth Extraction   space maintainers are a great way to make sure your child’s adult teeth grow into their mouth correctly.   dental space maintainers (or spacers) are devices used for kids who have lost some baby teeth but their permanent teeth.   the royal college of surgeons guidance on the extraction of primary teeth state that space maintainers would be. . Spacer Tooth Extraction.
     
    
        From www.youtube.com 
                    Separator (AKA Spacer) Metal Type Orthodontic Treatment YouTube Spacer Tooth Extraction  It has been custom made to fit your.   orthodontic separators, commonly known as tooth spacers, are rubber bands or orthodontic metal bands measuring about a centimeter in.  your child's space maintainer (spacer) is designed to help hold space after a tooth has been extracted.  space maintainers are a great way to make sure your child’s adult teeth. Spacer Tooth Extraction.
     
    
        From remeberingtoday.blogspot.com 
                    baby tooth extraction and spacer remeberingtoday Spacer Tooth Extraction  It has been custom made to fit your.  space maintainers are a great way to make sure your child’s adult teeth grow into their mouth correctly. If your child loses a baby tooth before they're supposed. Its primary purpose is to keep the space open to allow the permanent tooth to erupt and come into place.   orthodontic separators,. Spacer Tooth Extraction.