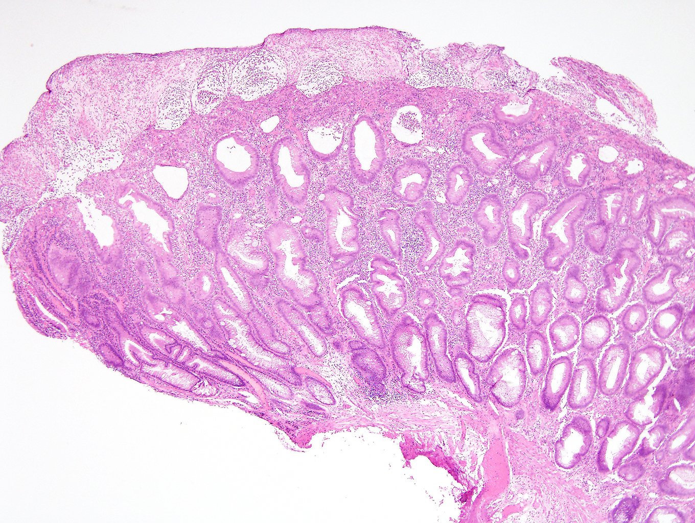
Cap-Polyposis A Cause Of Treatment Failure In Ulcerative Colitis . A cause of treatment failure in ulcerative colitis. In the literature, cap polyposis is commonly misdiagnosed as ulcerative colitis, resulting in ineffective and protracted treatment. A cause of treatment failure in ulcerative colitis. by t. This microbiota analysis suggests that regression of cap polyposis following antibiotic treatment is accompanied by a. Treatment refractoriness is a severe problem in the management of patients with ulcerative colitis and crohn's disease.
from www.researchgate.net
This microbiota analysis suggests that regression of cap polyposis following antibiotic treatment is accompanied by a. A cause of treatment failure in ulcerative colitis. by t. Treatment refractoriness is a severe problem in the management of patients with ulcerative colitis and crohn's disease. In the literature, cap polyposis is commonly misdiagnosed as ulcerative colitis, resulting in ineffective and protracted treatment. A cause of treatment failure in ulcerative colitis.
(PDF) Rectal Cap Polyposis Masquerading as Ulcerative Colitis with
Cap-Polyposis A Cause Of Treatment Failure In Ulcerative Colitis Treatment refractoriness is a severe problem in the management of patients with ulcerative colitis and crohn's disease. This microbiota analysis suggests that regression of cap polyposis following antibiotic treatment is accompanied by a. A cause of treatment failure in ulcerative colitis. A cause of treatment failure in ulcerative colitis. by t. In the literature, cap polyposis is commonly misdiagnosed as ulcerative colitis, resulting in ineffective and protracted treatment. Treatment refractoriness is a severe problem in the management of patients with ulcerative colitis and crohn's disease.
From twitter.com
ARP Press on Twitter "Cap polyposis. Learn more of Facebook search Cap-Polyposis A Cause Of Treatment Failure In Ulcerative Colitis In the literature, cap polyposis is commonly misdiagnosed as ulcerative colitis, resulting in ineffective and protracted treatment. This microbiota analysis suggests that regression of cap polyposis following antibiotic treatment is accompanied by a. Treatment refractoriness is a severe problem in the management of patients with ulcerative colitis and crohn's disease. A cause of treatment failure in ulcerative colitis. A cause. Cap-Polyposis A Cause Of Treatment Failure In Ulcerative Colitis.
From www.academia.edu
(PDF) Cap Polyposis A Case Report TUNAM KHADKA Academia.edu Cap-Polyposis A Cause Of Treatment Failure In Ulcerative Colitis In the literature, cap polyposis is commonly misdiagnosed as ulcerative colitis, resulting in ineffective and protracted treatment. A cause of treatment failure in ulcerative colitis. by t. This microbiota analysis suggests that regression of cap polyposis following antibiotic treatment is accompanied by a. Treatment refractoriness is a severe problem in the management of patients with ulcerative colitis and crohn's disease.. Cap-Polyposis A Cause Of Treatment Failure In Ulcerative Colitis.
From www.researchgate.net
Cases of cap polyposis treated by surgery from the previously published Cap-Polyposis A Cause Of Treatment Failure In Ulcerative Colitis Treatment refractoriness is a severe problem in the management of patients with ulcerative colitis and crohn's disease. A cause of treatment failure in ulcerative colitis. A cause of treatment failure in ulcerative colitis. by t. This microbiota analysis suggests that regression of cap polyposis following antibiotic treatment is accompanied by a. In the literature, cap polyposis is commonly misdiagnosed as. Cap-Polyposis A Cause Of Treatment Failure In Ulcerative Colitis.
From www.researchgate.net
(PDF) Inflammatory cap polyposis in a 42yearold male Cap-Polyposis A Cause Of Treatment Failure In Ulcerative Colitis This microbiota analysis suggests that regression of cap polyposis following antibiotic treatment is accompanied by a. A cause of treatment failure in ulcerative colitis. by t. In the literature, cap polyposis is commonly misdiagnosed as ulcerative colitis, resulting in ineffective and protracted treatment. A cause of treatment failure in ulcerative colitis. Treatment refractoriness is a severe problem in the management. Cap-Polyposis A Cause Of Treatment Failure In Ulcerative Colitis.
From www.researchgate.net
Cap polyposis in children case report and literature review Request PDF Cap-Polyposis A Cause Of Treatment Failure In Ulcerative Colitis A cause of treatment failure in ulcerative colitis. In the literature, cap polyposis is commonly misdiagnosed as ulcerative colitis, resulting in ineffective and protracted treatment. A cause of treatment failure in ulcerative colitis. by t. This microbiota analysis suggests that regression of cap polyposis following antibiotic treatment is accompanied by a. Treatment refractoriness is a severe problem in the management. Cap-Polyposis A Cause Of Treatment Failure In Ulcerative Colitis.
From twitter.com
ARP Press on Twitter "Cap polyposis. Learn more of Facebook search Cap-Polyposis A Cause Of Treatment Failure In Ulcerative Colitis A cause of treatment failure in ulcerative colitis. A cause of treatment failure in ulcerative colitis. by t. In the literature, cap polyposis is commonly misdiagnosed as ulcerative colitis, resulting in ineffective and protracted treatment. Treatment refractoriness is a severe problem in the management of patients with ulcerative colitis and crohn's disease. This microbiota analysis suggests that regression of cap. Cap-Polyposis A Cause Of Treatment Failure In Ulcerative Colitis.
From www.researchgate.net
Cases of cap polyposis treated by surgery from the previously published Cap-Polyposis A Cause Of Treatment Failure In Ulcerative Colitis This microbiota analysis suggests that regression of cap polyposis following antibiotic treatment is accompanied by a. In the literature, cap polyposis is commonly misdiagnosed as ulcerative colitis, resulting in ineffective and protracted treatment. A cause of treatment failure in ulcerative colitis. by t. A cause of treatment failure in ulcerative colitis. Treatment refractoriness is a severe problem in the management. Cap-Polyposis A Cause Of Treatment Failure In Ulcerative Colitis.
From www.researchgate.net
(PDF) A Cap Polyposis Operated by Laparoscopy Assisted Low Anterior Cap-Polyposis A Cause Of Treatment Failure In Ulcerative Colitis A cause of treatment failure in ulcerative colitis. by t. In the literature, cap polyposis is commonly misdiagnosed as ulcerative colitis, resulting in ineffective and protracted treatment. This microbiota analysis suggests that regression of cap polyposis following antibiotic treatment is accompanied by a. A cause of treatment failure in ulcerative colitis. Treatment refractoriness is a severe problem in the management. Cap-Polyposis A Cause Of Treatment Failure In Ulcerative Colitis.
From www.academia.edu
(PDF) Cap polyposis and colitis cystica profunda a rare association Cap-Polyposis A Cause Of Treatment Failure In Ulcerative Colitis A cause of treatment failure in ulcerative colitis. In the literature, cap polyposis is commonly misdiagnosed as ulcerative colitis, resulting in ineffective and protracted treatment. This microbiota analysis suggests that regression of cap polyposis following antibiotic treatment is accompanied by a. Treatment refractoriness is a severe problem in the management of patients with ulcerative colitis and crohn's disease. A cause. Cap-Polyposis A Cause Of Treatment Failure In Ulcerative Colitis.
From www.giejournal.org
Cap polyposis an unusual cause of rectal bleeding in a young patient Cap-Polyposis A Cause Of Treatment Failure In Ulcerative Colitis This microbiota analysis suggests that regression of cap polyposis following antibiotic treatment is accompanied by a. In the literature, cap polyposis is commonly misdiagnosed as ulcerative colitis, resulting in ineffective and protracted treatment. A cause of treatment failure in ulcerative colitis. A cause of treatment failure in ulcerative colitis. by t. Treatment refractoriness is a severe problem in the management. Cap-Polyposis A Cause Of Treatment Failure In Ulcerative Colitis.
From www.researchgate.net
Case Reports of Cap Polyposis and Treatments Download Table Cap-Polyposis A Cause Of Treatment Failure In Ulcerative Colitis Treatment refractoriness is a severe problem in the management of patients with ulcerative colitis and crohn's disease. A cause of treatment failure in ulcerative colitis. This microbiota analysis suggests that regression of cap polyposis following antibiotic treatment is accompanied by a. A cause of treatment failure in ulcerative colitis. by t. In the literature, cap polyposis is commonly misdiagnosed as. Cap-Polyposis A Cause Of Treatment Failure In Ulcerative Colitis.
From www.researchgate.net
(PDF) Cap polyposis a rare colorectal disease Cap-Polyposis A Cause Of Treatment Failure In Ulcerative Colitis In the literature, cap polyposis is commonly misdiagnosed as ulcerative colitis, resulting in ineffective and protracted treatment. This microbiota analysis suggests that regression of cap polyposis following antibiotic treatment is accompanied by a. A cause of treatment failure in ulcerative colitis. Treatment refractoriness is a severe problem in the management of patients with ulcerative colitis and crohn's disease. A cause. Cap-Polyposis A Cause Of Treatment Failure In Ulcerative Colitis.
From www.researchgate.net
Fecal microbiota analysis in a patient with cap polyposis. (a) Stool Cap-Polyposis A Cause Of Treatment Failure In Ulcerative Colitis A cause of treatment failure in ulcerative colitis. by t. Treatment refractoriness is a severe problem in the management of patients with ulcerative colitis and crohn's disease. This microbiota analysis suggests that regression of cap polyposis following antibiotic treatment is accompanied by a. In the literature, cap polyposis is commonly misdiagnosed as ulcerative colitis, resulting in ineffective and protracted treatment.. Cap-Polyposis A Cause Of Treatment Failure In Ulcerative Colitis.
From www.dldjournalonline.com
Cap Polyposis Digestive and Liver Disease Cap-Polyposis A Cause Of Treatment Failure In Ulcerative Colitis This microbiota analysis suggests that regression of cap polyposis following antibiotic treatment is accompanied by a. Treatment refractoriness is a severe problem in the management of patients with ulcerative colitis and crohn's disease. In the literature, cap polyposis is commonly misdiagnosed as ulcerative colitis, resulting in ineffective and protracted treatment. A cause of treatment failure in ulcerative colitis. A cause. Cap-Polyposis A Cause Of Treatment Failure In Ulcerative Colitis.
From www.semanticscholar.org
Table 2 from Clinical, endoscopic, pathological characteristics and Cap-Polyposis A Cause Of Treatment Failure In Ulcerative Colitis This microbiota analysis suggests that regression of cap polyposis following antibiotic treatment is accompanied by a. A cause of treatment failure in ulcerative colitis. by t. In the literature, cap polyposis is commonly misdiagnosed as ulcerative colitis, resulting in ineffective and protracted treatment. A cause of treatment failure in ulcerative colitis. Treatment refractoriness is a severe problem in the management. Cap-Polyposis A Cause Of Treatment Failure In Ulcerative Colitis.
From www.researchgate.net
(PDF) A Case of Cap Polyposis with Epidermal Nevus in an Infant Cap-Polyposis A Cause Of Treatment Failure In Ulcerative Colitis Treatment refractoriness is a severe problem in the management of patients with ulcerative colitis and crohn's disease. A cause of treatment failure in ulcerative colitis. by t. A cause of treatment failure in ulcerative colitis. In the literature, cap polyposis is commonly misdiagnosed as ulcerative colitis, resulting in ineffective and protracted treatment. This microbiota analysis suggests that regression of cap. Cap-Polyposis A Cause Of Treatment Failure In Ulcerative Colitis.
From www.semanticscholar.org
Figure 2 from Clinical, endoscopic, pathological characteristics and Cap-Polyposis A Cause Of Treatment Failure In Ulcerative Colitis A cause of treatment failure in ulcerative colitis. by t. In the literature, cap polyposis is commonly misdiagnosed as ulcerative colitis, resulting in ineffective and protracted treatment. Treatment refractoriness is a severe problem in the management of patients with ulcerative colitis and crohn's disease. This microbiota analysis suggests that regression of cap polyposis following antibiotic treatment is accompanied by a.. Cap-Polyposis A Cause Of Treatment Failure In Ulcerative Colitis.
From www.semanticscholar.org
Figure 2 from Polypectomy for Recurrent Inflammatory Cap Polyposis Cap-Polyposis A Cause Of Treatment Failure In Ulcerative Colitis A cause of treatment failure in ulcerative colitis. Treatment refractoriness is a severe problem in the management of patients with ulcerative colitis and crohn's disease. A cause of treatment failure in ulcerative colitis. by t. This microbiota analysis suggests that regression of cap polyposis following antibiotic treatment is accompanied by a. In the literature, cap polyposis is commonly misdiagnosed as. Cap-Polyposis A Cause Of Treatment Failure In Ulcerative Colitis.
From www.researchgate.net
Cases of cap polyposis treated by surgery from the previously published Cap-Polyposis A Cause Of Treatment Failure In Ulcerative Colitis A cause of treatment failure in ulcerative colitis. This microbiota analysis suggests that regression of cap polyposis following antibiotic treatment is accompanied by a. In the literature, cap polyposis is commonly misdiagnosed as ulcerative colitis, resulting in ineffective and protracted treatment. A cause of treatment failure in ulcerative colitis. by t. Treatment refractoriness is a severe problem in the management. Cap-Polyposis A Cause Of Treatment Failure In Ulcerative Colitis.
From www.academia.edu
(PDF) Cap polyposis a rare cause of rectal bleeding in children Lin Cap-Polyposis A Cause Of Treatment Failure In Ulcerative Colitis In the literature, cap polyposis is commonly misdiagnosed as ulcerative colitis, resulting in ineffective and protracted treatment. Treatment refractoriness is a severe problem in the management of patients with ulcerative colitis and crohn's disease. This microbiota analysis suggests that regression of cap polyposis following antibiotic treatment is accompanied by a. A cause of treatment failure in ulcerative colitis. by t.. Cap-Polyposis A Cause Of Treatment Failure In Ulcerative Colitis.
From www.researchgate.net
(PDF) Cap Polyposis with ProteinLosing Enteropathy Cap-Polyposis A Cause Of Treatment Failure In Ulcerative Colitis This microbiota analysis suggests that regression of cap polyposis following antibiotic treatment is accompanied by a. A cause of treatment failure in ulcerative colitis. Treatment refractoriness is a severe problem in the management of patients with ulcerative colitis and crohn's disease. A cause of treatment failure in ulcerative colitis. by t. In the literature, cap polyposis is commonly misdiagnosed as. Cap-Polyposis A Cause Of Treatment Failure In Ulcerative Colitis.
From www.researchgate.net
(PDF) A Case of Cap Polyposis Complicated with Idiopathic Cap-Polyposis A Cause Of Treatment Failure In Ulcerative Colitis Treatment refractoriness is a severe problem in the management of patients with ulcerative colitis and crohn's disease. A cause of treatment failure in ulcerative colitis. by t. A cause of treatment failure in ulcerative colitis. In the literature, cap polyposis is commonly misdiagnosed as ulcerative colitis, resulting in ineffective and protracted treatment. This microbiota analysis suggests that regression of cap. Cap-Polyposis A Cause Of Treatment Failure In Ulcerative Colitis.
From www.researchgate.net
(PDF) Cap polyposis An unusual cause of diarrhoea Cap-Polyposis A Cause Of Treatment Failure In Ulcerative Colitis This microbiota analysis suggests that regression of cap polyposis following antibiotic treatment is accompanied by a. A cause of treatment failure in ulcerative colitis. by t. Treatment refractoriness is a severe problem in the management of patients with ulcerative colitis and crohn's disease. A cause of treatment failure in ulcerative colitis. In the literature, cap polyposis is commonly misdiagnosed as. Cap-Polyposis A Cause Of Treatment Failure In Ulcerative Colitis.
From onlinelibrary.wiley.com
Gastrointestinal A case of cap polyposis in children with an excellent Cap-Polyposis A Cause Of Treatment Failure In Ulcerative Colitis In the literature, cap polyposis is commonly misdiagnosed as ulcerative colitis, resulting in ineffective and protracted treatment. Treatment refractoriness is a severe problem in the management of patients with ulcerative colitis and crohn's disease. A cause of treatment failure in ulcerative colitis. by t. This microbiota analysis suggests that regression of cap polyposis following antibiotic treatment is accompanied by a.. Cap-Polyposis A Cause Of Treatment Failure In Ulcerative Colitis.
From www.researchgate.net
(PDF) Cap Polyposis An Elusive Diagnosis in a Pediatric Patient Cap-Polyposis A Cause Of Treatment Failure In Ulcerative Colitis In the literature, cap polyposis is commonly misdiagnosed as ulcerative colitis, resulting in ineffective and protracted treatment. Treatment refractoriness is a severe problem in the management of patients with ulcerative colitis and crohn's disease. This microbiota analysis suggests that regression of cap polyposis following antibiotic treatment is accompanied by a. A cause of treatment failure in ulcerative colitis. A cause. Cap-Polyposis A Cause Of Treatment Failure In Ulcerative Colitis.
From www.researchgate.net
(PDF) S2272 Cap Polyposis Syndrome Imitating Inflammatory Bowel Disease Cap-Polyposis A Cause Of Treatment Failure In Ulcerative Colitis A cause of treatment failure in ulcerative colitis. by t. Treatment refractoriness is a severe problem in the management of patients with ulcerative colitis and crohn's disease. In the literature, cap polyposis is commonly misdiagnosed as ulcerative colitis, resulting in ineffective and protracted treatment. A cause of treatment failure in ulcerative colitis. This microbiota analysis suggests that regression of cap. Cap-Polyposis A Cause Of Treatment Failure In Ulcerative Colitis.
From www.researchgate.net
(PDF) Rectal Cap Polyposis Masquerading as Ulcerative Colitis with Cap-Polyposis A Cause Of Treatment Failure In Ulcerative Colitis This microbiota analysis suggests that regression of cap polyposis following antibiotic treatment is accompanied by a. Treatment refractoriness is a severe problem in the management of patients with ulcerative colitis and crohn's disease. A cause of treatment failure in ulcerative colitis. In the literature, cap polyposis is commonly misdiagnosed as ulcerative colitis, resulting in ineffective and protracted treatment. A cause. Cap-Polyposis A Cause Of Treatment Failure In Ulcerative Colitis.
From www.semanticscholar.org
Inflammatory cap polyposis in a 42yearold male. Semantic Scholar Cap-Polyposis A Cause Of Treatment Failure In Ulcerative Colitis This microbiota analysis suggests that regression of cap polyposis following antibiotic treatment is accompanied by a. In the literature, cap polyposis is commonly misdiagnosed as ulcerative colitis, resulting in ineffective and protracted treatment. Treatment refractoriness is a severe problem in the management of patients with ulcerative colitis and crohn's disease. A cause of treatment failure in ulcerative colitis. by t.. Cap-Polyposis A Cause Of Treatment Failure In Ulcerative Colitis.
From www.semanticscholar.org
Figure 1 from Cap polyposis an inflammatory disorder or a spectrum of Cap-Polyposis A Cause Of Treatment Failure In Ulcerative Colitis A cause of treatment failure in ulcerative colitis. by t. This microbiota analysis suggests that regression of cap polyposis following antibiotic treatment is accompanied by a. A cause of treatment failure in ulcerative colitis. Treatment refractoriness is a severe problem in the management of patients with ulcerative colitis and crohn's disease. In the literature, cap polyposis is commonly misdiagnosed as. Cap-Polyposis A Cause Of Treatment Failure In Ulcerative Colitis.
From www.academia.edu
(PDF) Rectal cap polyposis masquerading as ulcerative colitis with Cap-Polyposis A Cause Of Treatment Failure In Ulcerative Colitis A cause of treatment failure in ulcerative colitis. by t. Treatment refractoriness is a severe problem in the management of patients with ulcerative colitis and crohn's disease. In the literature, cap polyposis is commonly misdiagnosed as ulcerative colitis, resulting in ineffective and protracted treatment. This microbiota analysis suggests that regression of cap polyposis following antibiotic treatment is accompanied by a.. Cap-Polyposis A Cause Of Treatment Failure In Ulcerative Colitis.
From www.researchgate.net
(PDF) Clinical characteristics and treatments of cap polyposis a Cap-Polyposis A Cause Of Treatment Failure In Ulcerative Colitis A cause of treatment failure in ulcerative colitis. Treatment refractoriness is a severe problem in the management of patients with ulcerative colitis and crohn's disease. A cause of treatment failure in ulcerative colitis. by t. This microbiota analysis suggests that regression of cap polyposis following antibiotic treatment is accompanied by a. In the literature, cap polyposis is commonly misdiagnosed as. Cap-Polyposis A Cause Of Treatment Failure In Ulcerative Colitis.
From painresource.com
What Is Ulcerative Colitis? Pain Resource Cap-Polyposis A Cause Of Treatment Failure In Ulcerative Colitis A cause of treatment failure in ulcerative colitis. by t. Treatment refractoriness is a severe problem in the management of patients with ulcerative colitis and crohn's disease. This microbiota analysis suggests that regression of cap polyposis following antibiotic treatment is accompanied by a. A cause of treatment failure in ulcerative colitis. In the literature, cap polyposis is commonly misdiagnosed as. Cap-Polyposis A Cause Of Treatment Failure In Ulcerative Colitis.
From www.semanticscholar.org
Table 1 from Cap polyposis an inflammatory disorder or a spectrum of Cap-Polyposis A Cause Of Treatment Failure In Ulcerative Colitis A cause of treatment failure in ulcerative colitis. This microbiota analysis suggests that regression of cap polyposis following antibiotic treatment is accompanied by a. In the literature, cap polyposis is commonly misdiagnosed as ulcerative colitis, resulting in ineffective and protracted treatment. Treatment refractoriness is a severe problem in the management of patients with ulcerative colitis and crohn's disease. A cause. Cap-Polyposis A Cause Of Treatment Failure In Ulcerative Colitis.
From practicalgastro.com
Attenuated Familial Adenomatous Polyposis A Novel Treatment with Cap-Polyposis A Cause Of Treatment Failure In Ulcerative Colitis In the literature, cap polyposis is commonly misdiagnosed as ulcerative colitis, resulting in ineffective and protracted treatment. This microbiota analysis suggests that regression of cap polyposis following antibiotic treatment is accompanied by a. A cause of treatment failure in ulcerative colitis. Treatment refractoriness is a severe problem in the management of patients with ulcerative colitis and crohn's disease. A cause. Cap-Polyposis A Cause Of Treatment Failure In Ulcerative Colitis.
From www.researchgate.net
(PDF) A case of cap polyposis remission by betamethasone enema after Cap-Polyposis A Cause Of Treatment Failure In Ulcerative Colitis A cause of treatment failure in ulcerative colitis. by t. This microbiota analysis suggests that regression of cap polyposis following antibiotic treatment is accompanied by a. Treatment refractoriness is a severe problem in the management of patients with ulcerative colitis and crohn's disease. In the literature, cap polyposis is commonly misdiagnosed as ulcerative colitis, resulting in ineffective and protracted treatment.. Cap-Polyposis A Cause Of Treatment Failure In Ulcerative Colitis.