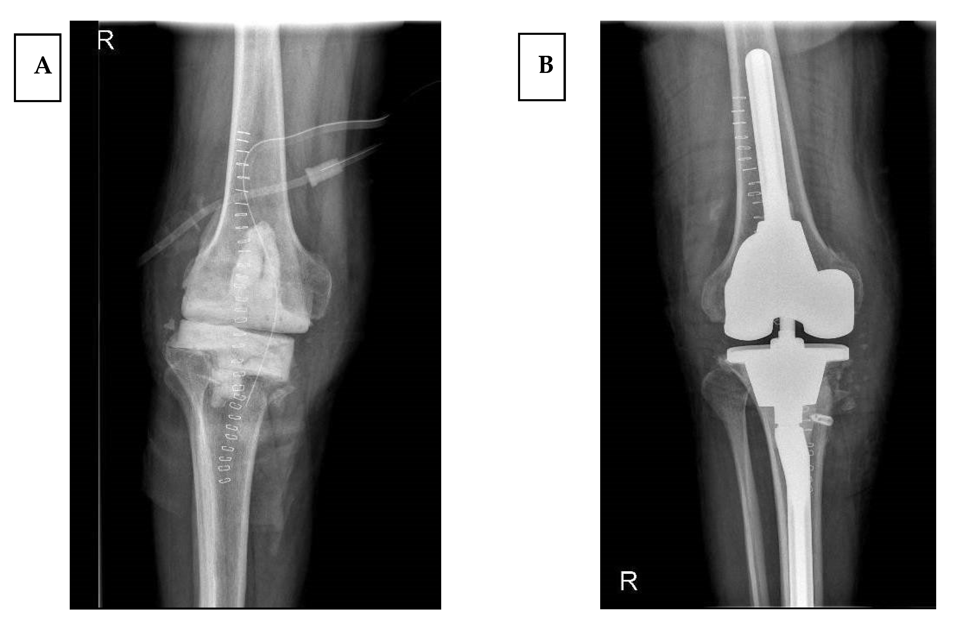
Constrained Hinged Knee Replacement . To address instability in primary tka, implants with varying degrees of constraint are available. Despite this, there are few published guidelines concerning. Rotating hinge knee prostheses (with or without distal femoral replacement) are indicated in cases of unreconstructible bony or soft tissue compromise. Hinged implants are the most constrained knee replacement prostheses. Tibiofemoral instability is increasingly recognized as a common mode of failure in total knee arthroplasty. Gunston introduces first cemented surface arthroplasty of knee joint 1970 guepar develops a new hinged prosthesis based on design by walldius that increases motion. There is debate in the literature whether rotating hinge knee (rhk) or.
from www.semanticscholar.org
Tibiofemoral instability is increasingly recognized as a common mode of failure in total knee arthroplasty. Hinged implants are the most constrained knee replacement prostheses. There is debate in the literature whether rotating hinge knee (rhk) or. Rotating hinge knee prostheses (with or without distal femoral replacement) are indicated in cases of unreconstructible bony or soft tissue compromise. To address instability in primary tka, implants with varying degrees of constraint are available. Gunston introduces first cemented surface arthroplasty of knee joint 1970 guepar develops a new hinged prosthesis based on design by walldius that increases motion. Despite this, there are few published guidelines concerning.
Figure 2 from Hinge total knee replacement revisited. Semantic Scholar
Constrained Hinged Knee Replacement To address instability in primary tka, implants with varying degrees of constraint are available. Despite this, there are few published guidelines concerning. There is debate in the literature whether rotating hinge knee (rhk) or. Rotating hinge knee prostheses (with or without distal femoral replacement) are indicated in cases of unreconstructible bony or soft tissue compromise. Tibiofemoral instability is increasingly recognized as a common mode of failure in total knee arthroplasty. Hinged implants are the most constrained knee replacement prostheses. To address instability in primary tka, implants with varying degrees of constraint are available. Gunston introduces first cemented surface arthroplasty of knee joint 1970 guepar develops a new hinged prosthesis based on design by walldius that increases motion.
From www.researchgate.net
(PDF) Condylar constrained system in primary total knee replacement Our experience and Constrained Hinged Knee Replacement To address instability in primary tka, implants with varying degrees of constraint are available. Despite this, there are few published guidelines concerning. Tibiofemoral instability is increasingly recognized as a common mode of failure in total knee arthroplasty. Rotating hinge knee prostheses (with or without distal femoral replacement) are indicated in cases of unreconstructible bony or soft tissue compromise. Gunston introduces. Constrained Hinged Knee Replacement.
From www.arthroplastyjournal.org
Clinical Following the Use of Constrained Condylar Knees in Primary Total Knee Constrained Hinged Knee Replacement Hinged implants are the most constrained knee replacement prostheses. Despite this, there are few published guidelines concerning. Gunston introduces first cemented surface arthroplasty of knee joint 1970 guepar develops a new hinged prosthesis based on design by walldius that increases motion. There is debate in the literature whether rotating hinge knee (rhk) or. Tibiofemoral instability is increasingly recognized as a. Constrained Hinged Knee Replacement.
From www.intechopen.com
The Evolution of Modern Total Knee Prostheses IntechOpen Constrained Hinged Knee Replacement There is debate in the literature whether rotating hinge knee (rhk) or. Despite this, there are few published guidelines concerning. Tibiofemoral instability is increasingly recognized as a common mode of failure in total knee arthroplasty. Rotating hinge knee prostheses (with or without distal femoral replacement) are indicated in cases of unreconstructible bony or soft tissue compromise. To address instability in. Constrained Hinged Knee Replacement.
From eor.bioscientifica.com
The role of rotating hinge implants in revision total knee arthroplasty in EFORT Open Reviews Constrained Hinged Knee Replacement Rotating hinge knee prostheses (with or without distal femoral replacement) are indicated in cases of unreconstructible bony or soft tissue compromise. Hinged implants are the most constrained knee replacement prostheses. Despite this, there are few published guidelines concerning. Gunston introduces first cemented surface arthroplasty of knee joint 1970 guepar develops a new hinged prosthesis based on design by walldius that. Constrained Hinged Knee Replacement.
From www.semanticscholar.org
[PDF] Condylar constrained knee prosthesis and rotating hinge prosthesis for revision total knee Constrained Hinged Knee Replacement There is debate in the literature whether rotating hinge knee (rhk) or. Hinged implants are the most constrained knee replacement prostheses. Gunston introduces first cemented surface arthroplasty of knee joint 1970 guepar develops a new hinged prosthesis based on design by walldius that increases motion. To address instability in primary tka, implants with varying degrees of constraint are available. Rotating. Constrained Hinged Knee Replacement.
From musculoskeletalkey.com
Hinged Implants for Revision Total Knee Replacement Musculoskeletal Key Constrained Hinged Knee Replacement There is debate in the literature whether rotating hinge knee (rhk) or. Despite this, there are few published guidelines concerning. Gunston introduces first cemented surface arthroplasty of knee joint 1970 guepar develops a new hinged prosthesis based on design by walldius that increases motion. To address instability in primary tka, implants with varying degrees of constraint are available. Tibiofemoral instability. Constrained Hinged Knee Replacement.
From www.mdpi.com
Applied Sciences Free FullText Clinical of Revision Total Knee Arthroplasty among Constrained Hinged Knee Replacement Tibiofemoral instability is increasingly recognized as a common mode of failure in total knee arthroplasty. Despite this, there are few published guidelines concerning. Hinged implants are the most constrained knee replacement prostheses. Rotating hinge knee prostheses (with or without distal femoral replacement) are indicated in cases of unreconstructible bony or soft tissue compromise. There is debate in the literature whether. Constrained Hinged Knee Replacement.
From boneandjoint.org.uk
The multiplyoperated total knee replacement patient Bone & Joint Constrained Hinged Knee Replacement Hinged implants are the most constrained knee replacement prostheses. To address instability in primary tka, implants with varying degrees of constraint are available. Rotating hinge knee prostheses (with or without distal femoral replacement) are indicated in cases of unreconstructible bony or soft tissue compromise. Gunston introduces first cemented surface arthroplasty of knee joint 1970 guepar develops a new hinged prosthesis. Constrained Hinged Knee Replacement.
From www.semanticscholar.org
[PDF] Varusvalgus constrained implants in total knee arthroplasty indications and technique Constrained Hinged Knee Replacement Despite this, there are few published guidelines concerning. To address instability in primary tka, implants with varying degrees of constraint are available. Rotating hinge knee prostheses (with or without distal femoral replacement) are indicated in cases of unreconstructible bony or soft tissue compromise. Hinged implants are the most constrained knee replacement prostheses. There is debate in the literature whether rotating. Constrained Hinged Knee Replacement.
From mednexus.org
Dislocation of a constrained total knee arthroplasty with patellar tendon rupture after trivial Constrained Hinged Knee Replacement Gunston introduces first cemented surface arthroplasty of knee joint 1970 guepar develops a new hinged prosthesis based on design by walldius that increases motion. There is debate in the literature whether rotating hinge knee (rhk) or. Hinged implants are the most constrained knee replacement prostheses. Rotating hinge knee prostheses (with or without distal femoral replacement) are indicated in cases of. Constrained Hinged Knee Replacement.
From ar.inspiredpencil.com
Hinged Knee Revision X Ray Constrained Hinged Knee Replacement Despite this, there are few published guidelines concerning. Gunston introduces first cemented surface arthroplasty of knee joint 1970 guepar develops a new hinged prosthesis based on design by walldius that increases motion. Hinged implants are the most constrained knee replacement prostheses. To address instability in primary tka, implants with varying degrees of constraint are available. Tibiofemoral instability is increasingly recognized. Constrained Hinged Knee Replacement.
From www.researchgate.net
(PDF) Stemless constrained total knee arthroplasty An obsolete concept or a contemporary solution? Constrained Hinged Knee Replacement Despite this, there are few published guidelines concerning. Gunston introduces first cemented surface arthroplasty of knee joint 1970 guepar develops a new hinged prosthesis based on design by walldius that increases motion. Rotating hinge knee prostheses (with or without distal femoral replacement) are indicated in cases of unreconstructible bony or soft tissue compromise. Tibiofemoral instability is increasingly recognized as a. Constrained Hinged Knee Replacement.
From hipandkneebook.com
Knee Implants — Hip & Knee Book Constrained Hinged Knee Replacement Tibiofemoral instability is increasingly recognized as a common mode of failure in total knee arthroplasty. Hinged implants are the most constrained knee replacement prostheses. Rotating hinge knee prostheses (with or without distal femoral replacement) are indicated in cases of unreconstructible bony or soft tissue compromise. There is debate in the literature whether rotating hinge knee (rhk) or. Gunston introduces first. Constrained Hinged Knee Replacement.
From www.arthroplastyjournal.org
Revision Total Knee Arthroplasty Using a Constrained Condylar Knee Prosthesis in Conjunction Constrained Hinged Knee Replacement Tibiofemoral instability is increasingly recognized as a common mode of failure in total knee arthroplasty. There is debate in the literature whether rotating hinge knee (rhk) or. Gunston introduces first cemented surface arthroplasty of knee joint 1970 guepar develops a new hinged prosthesis based on design by walldius that increases motion. To address instability in primary tka, implants with varying. Constrained Hinged Knee Replacement.
From www.pinterest.com
Pin on Radio MSK Constrained Hinged Knee Replacement Despite this, there are few published guidelines concerning. There is debate in the literature whether rotating hinge knee (rhk) or. To address instability in primary tka, implants with varying degrees of constraint are available. Hinged implants are the most constrained knee replacement prostheses. Gunston introduces first cemented surface arthroplasty of knee joint 1970 guepar develops a new hinged prosthesis based. Constrained Hinged Knee Replacement.
From www.researchgate.net
Constrained Implants in Total Knee Replacement Request PDF Constrained Hinged Knee Replacement Despite this, there are few published guidelines concerning. Rotating hinge knee prostheses (with or without distal femoral replacement) are indicated in cases of unreconstructible bony or soft tissue compromise. Tibiofemoral instability is increasingly recognized as a common mode of failure in total knee arthroplasty. Hinged implants are the most constrained knee replacement prostheses. Gunston introduces first cemented surface arthroplasty of. Constrained Hinged Knee Replacement.
From www.orthobullets.com
TKA Prosthesis Design Recon Orthobullets Constrained Hinged Knee Replacement Tibiofemoral instability is increasingly recognized as a common mode of failure in total knee arthroplasty. There is debate in the literature whether rotating hinge knee (rhk) or. Gunston introduces first cemented surface arthroplasty of knee joint 1970 guepar develops a new hinged prosthesis based on design by walldius that increases motion. Hinged implants are the most constrained knee replacement prostheses.. Constrained Hinged Knee Replacement.
From www.orthobullets.com
TKA Prosthesis Design Recon Orthobullets Constrained Hinged Knee Replacement Gunston introduces first cemented surface arthroplasty of knee joint 1970 guepar develops a new hinged prosthesis based on design by walldius that increases motion. Despite this, there are few published guidelines concerning. There is debate in the literature whether rotating hinge knee (rhk) or. Rotating hinge knee prostheses (with or without distal femoral replacement) are indicated in cases of unreconstructible. Constrained Hinged Knee Replacement.
From www.pinterest.co.uk
My constrained hinged knee revision, 2015 Hinges Constrained Hinged Knee Replacement Tibiofemoral instability is increasingly recognized as a common mode of failure in total knee arthroplasty. There is debate in the literature whether rotating hinge knee (rhk) or. Hinged implants are the most constrained knee replacement prostheses. Despite this, there are few published guidelines concerning. Gunston introduces first cemented surface arthroplasty of knee joint 1970 guepar develops a new hinged prosthesis. Constrained Hinged Knee Replacement.
From boneandjoint.org.uk
The multiplyoperated total knee replacement patient Bone & Joint Constrained Hinged Knee Replacement Rotating hinge knee prostheses (with or without distal femoral replacement) are indicated in cases of unreconstructible bony or soft tissue compromise. Despite this, there are few published guidelines concerning. There is debate in the literature whether rotating hinge knee (rhk) or. Tibiofemoral instability is increasingly recognized as a common mode of failure in total knee arthroplasty. Hinged implants are the. Constrained Hinged Knee Replacement.
From eor.bioscientifica.com
Total knee arthroplasty using hinge joints Indications and results in EFORT Open Reviews Constrained Hinged Knee Replacement Tibiofemoral instability is increasingly recognized as a common mode of failure in total knee arthroplasty. There is debate in the literature whether rotating hinge knee (rhk) or. To address instability in primary tka, implants with varying degrees of constraint are available. Rotating hinge knee prostheses (with or without distal femoral replacement) are indicated in cases of unreconstructible bony or soft. Constrained Hinged Knee Replacement.
From www.cortho.org
Hinged Knee Replacement Complete Orthopedics Multiple NY Locations Constrained Hinged Knee Replacement Hinged implants are the most constrained knee replacement prostheses. There is debate in the literature whether rotating hinge knee (rhk) or. Tibiofemoral instability is increasingly recognized as a common mode of failure in total knee arthroplasty. Despite this, there are few published guidelines concerning. Rotating hinge knee prostheses (with or without distal femoral replacement) are indicated in cases of unreconstructible. Constrained Hinged Knee Replacement.
From www.semanticscholar.org
Figure 3 from Comparison between Constrained and Semiconstrained Knee AllograftProsthesis Constrained Hinged Knee Replacement Rotating hinge knee prostheses (with or without distal femoral replacement) are indicated in cases of unreconstructible bony or soft tissue compromise. To address instability in primary tka, implants with varying degrees of constraint are available. Gunston introduces first cemented surface arthroplasty of knee joint 1970 guepar develops a new hinged prosthesis based on design by walldius that increases motion. Hinged. Constrained Hinged Knee Replacement.
From www.zimmerbiomet.com
NexGen® Legacy® Constrained Condylar Knee (LCCK) Zimmer Biomet Constrained Hinged Knee Replacement To address instability in primary tka, implants with varying degrees of constraint are available. Despite this, there are few published guidelines concerning. Gunston introduces first cemented surface arthroplasty of knee joint 1970 guepar develops a new hinged prosthesis based on design by walldius that increases motion. Tibiofemoral instability is increasingly recognized as a common mode of failure in total knee. Constrained Hinged Knee Replacement.
From www.nashvillejointreplacement.com
Pros and cons of different types of knee implants Dr. Kurtz — Nashville Joint Replacement Constrained Hinged Knee Replacement Rotating hinge knee prostheses (with or without distal femoral replacement) are indicated in cases of unreconstructible bony or soft tissue compromise. Gunston introduces first cemented surface arthroplasty of knee joint 1970 guepar develops a new hinged prosthesis based on design by walldius that increases motion. To address instability in primary tka, implants with varying degrees of constraint are available. Despite. Constrained Hinged Knee Replacement.
From www.semanticscholar.org
Figure 2 from Hinge total knee replacement revisited. Semantic Scholar Constrained Hinged Knee Replacement Gunston introduces first cemented surface arthroplasty of knee joint 1970 guepar develops a new hinged prosthesis based on design by walldius that increases motion. To address instability in primary tka, implants with varying degrees of constraint are available. There is debate in the literature whether rotating hinge knee (rhk) or. Tibiofemoral instability is increasingly recognized as a common mode of. Constrained Hinged Knee Replacement.
From step2.medbullets.com
Constraint in primary total knee arthroplasty. Post Orthobullets Constrained Hinged Knee Replacement There is debate in the literature whether rotating hinge knee (rhk) or. Rotating hinge knee prostheses (with or without distal femoral replacement) are indicated in cases of unreconstructible bony or soft tissue compromise. Despite this, there are few published guidelines concerning. Gunston introduces first cemented surface arthroplasty of knee joint 1970 guepar develops a new hinged prosthesis based on design. Constrained Hinged Knee Replacement.
From www.bonepit.com
New Page 1 Constrained Hinged Knee Replacement Tibiofemoral instability is increasingly recognized as a common mode of failure in total knee arthroplasty. Gunston introduces first cemented surface arthroplasty of knee joint 1970 guepar develops a new hinged prosthesis based on design by walldius that increases motion. Hinged implants are the most constrained knee replacement prostheses. To address instability in primary tka, implants with varying degrees of constraint. Constrained Hinged Knee Replacement.
From www.arthroplastyjournal.org
Revision Total Knee Arthroplasty Using a Constrained Condylar Knee Prosthesis in Conjunction Constrained Hinged Knee Replacement Gunston introduces first cemented surface arthroplasty of knee joint 1970 guepar develops a new hinged prosthesis based on design by walldius that increases motion. Rotating hinge knee prostheses (with or without distal femoral replacement) are indicated in cases of unreconstructible bony or soft tissue compromise. Hinged implants are the most constrained knee replacement prostheses. Despite this, there are few published. Constrained Hinged Knee Replacement.
From www.avensonline.org
Avens Publishing Group Rotating Hinge Total Knee Arthroplasty RTPLUS Solution A Clinical and Constrained Hinged Knee Replacement Rotating hinge knee prostheses (with or without distal femoral replacement) are indicated in cases of unreconstructible bony or soft tissue compromise. Hinged implants are the most constrained knee replacement prostheses. To address instability in primary tka, implants with varying degrees of constraint are available. Gunston introduces first cemented surface arthroplasty of knee joint 1970 guepar develops a new hinged prosthesis. Constrained Hinged Knee Replacement.
From www.researchgate.net
Constrained Implants in Total Knee Replacement Request PDF Constrained Hinged Knee Replacement To address instability in primary tka, implants with varying degrees of constraint are available. There is debate in the literature whether rotating hinge knee (rhk) or. Rotating hinge knee prostheses (with or without distal femoral replacement) are indicated in cases of unreconstructible bony or soft tissue compromise. Tibiofemoral instability is increasingly recognized as a common mode of failure in total. Constrained Hinged Knee Replacement.
From www.slideserve.com
PPT Total Knee Arthroplasty PowerPoint Presentation, free download ID265534 Constrained Hinged Knee Replacement Tibiofemoral instability is increasingly recognized as a common mode of failure in total knee arthroplasty. Gunston introduces first cemented surface arthroplasty of knee joint 1970 guepar develops a new hinged prosthesis based on design by walldius that increases motion. Hinged implants are the most constrained knee replacement prostheses. Despite this, there are few published guidelines concerning. To address instability in. Constrained Hinged Knee Replacement.
From www.arthroplastyjournal.org
Clinical Following the Use of Constrained Condylar Knees in Primary Total Knee Constrained Hinged Knee Replacement Gunston introduces first cemented surface arthroplasty of knee joint 1970 guepar develops a new hinged prosthesis based on design by walldius that increases motion. Tibiofemoral instability is increasingly recognized as a common mode of failure in total knee arthroplasty. To address instability in primary tka, implants with varying degrees of constraint are available. Rotating hinge knee prostheses (with or without. Constrained Hinged Knee Replacement.
From www.journal-cot.com
A comparison of joint line height after revision total knee replacement using a rotating hinge Constrained Hinged Knee Replacement Despite this, there are few published guidelines concerning. Hinged implants are the most constrained knee replacement prostheses. Rotating hinge knee prostheses (with or without distal femoral replacement) are indicated in cases of unreconstructible bony or soft tissue compromise. There is debate in the literature whether rotating hinge knee (rhk) or. To address instability in primary tka, implants with varying degrees. Constrained Hinged Knee Replacement.
From www.orthoped.org
Polyethylene wear total knee joints Orthoped Constrained Hinged Knee Replacement Despite this, there are few published guidelines concerning. Gunston introduces first cemented surface arthroplasty of knee joint 1970 guepar develops a new hinged prosthesis based on design by walldius that increases motion. Hinged implants are the most constrained knee replacement prostheses. Rotating hinge knee prostheses (with or without distal femoral replacement) are indicated in cases of unreconstructible bony or soft. Constrained Hinged Knee Replacement.