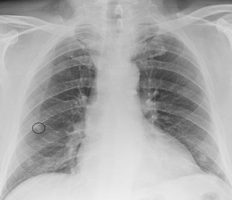
Rib Bone Island . Bone island, also known as enostosis, is a benign bone lesion commonly found on radiographs. They sometimes resemble other types of lesions. • asymptomatic focal areas of bony sclerosis. A bone island, also known as an enostosis, is a focus of compact bone located in cancellous bone (see the images below). Bone islands are lesions which are composed of dense bone within another bone in your body. A bone island is a harmless piece of compact bone inside cancellous bone. It appears as a small, circular, opaque area within. They are round and small (2 to 20 mm) intramedullary. Bone islands, previously known as enostoses, are common benign sclerotic bone lesions that usually represent an incidental finding. Bone islands almost never cause. You might need a biopsy if it causes pain. This is a benign entity that is usually found. Bone island, also called an enostosis, is a benign bone tumor mostly encountered as an incidental and asymptomatic finding.
from cescvwpi.blob.core.windows.net
They are round and small (2 to 20 mm) intramedullary. Bone islands, previously known as enostoses, are common benign sclerotic bone lesions that usually represent an incidental finding. A bone island is a harmless piece of compact bone inside cancellous bone. Bone islands almost never cause. Bone islands are lesions which are composed of dense bone within another bone in your body. You might need a biopsy if it causes pain. This is a benign entity that is usually found. • asymptomatic focal areas of bony sclerosis. It appears as a small, circular, opaque area within. Bone island, also known as enostosis, is a benign bone lesion commonly found on radiographs.
Best Recipe Ribs Crock Pot at Brian Oshea blog
Rib Bone Island A bone island is a harmless piece of compact bone inside cancellous bone. Bone island, also called an enostosis, is a benign bone tumor mostly encountered as an incidental and asymptomatic finding. You might need a biopsy if it causes pain. Bone islands almost never cause. Bone islands, previously known as enostoses, are common benign sclerotic bone lesions that usually represent an incidental finding. A bone island, also known as an enostosis, is a focus of compact bone located in cancellous bone (see the images below). It appears as a small, circular, opaque area within. They are round and small (2 to 20 mm) intramedullary. • asymptomatic focal areas of bony sclerosis. Bone islands are lesions which are composed of dense bone within another bone in your body. This is a benign entity that is usually found. Bone island, also known as enostosis, is a benign bone lesion commonly found on radiographs. They sometimes resemble other types of lesions. A bone island is a harmless piece of compact bone inside cancellous bone.
From www.alamy.com
Relic of past whaling rib bone on the beach, Aitcho islands Rib Bone Island Bone islands almost never cause. Bone islands, previously known as enostoses, are common benign sclerotic bone lesions that usually represent an incidental finding. It appears as a small, circular, opaque area within. Bone island, also called an enostosis, is a benign bone tumor mostly encountered as an incidental and asymptomatic finding. You might need a biopsy if it causes pain.. Rib Bone Island.
From blog.naver.com
Bone island on Xray 네이버 블로그 Rib Bone Island They sometimes resemble other types of lesions. A bone island, also known as an enostosis, is a focus of compact bone located in cancellous bone (see the images below). Bone islands are lesions which are composed of dense bone within another bone in your body. Bone island, also known as enostosis, is a benign bone lesion commonly found on radiographs.. Rib Bone Island.
From www.theskeletalsystem.net
The Ribs Location, Anatomy, Functions, & Labeled Diagram Rib Bone Island Bone islands are lesions which are composed of dense bone within another bone in your body. This is a benign entity that is usually found. They sometimes resemble other types of lesions. Bone islands almost never cause. • asymptomatic focal areas of bony sclerosis. A bone island, also known as an enostosis, is a focus of compact bone located in. Rib Bone Island.
From www.eurorad.org
Osteopoikilosis presenting with symptoms of Melorheostosis Eurorad Rib Bone Island Bone islands, previously known as enostoses, are common benign sclerotic bone lesions that usually represent an incidental finding. A bone island, also known as an enostosis, is a focus of compact bone located in cancellous bone (see the images below). It appears as a small, circular, opaque area within. They sometimes resemble other types of lesions. They are round and. Rib Bone Island.
From www.pinterest.com
Rib cage anatomy, Rib cage, Anatomy Rib Bone Island They sometimes resemble other types of lesions. Bone island, also called an enostosis, is a benign bone tumor mostly encountered as an incidental and asymptomatic finding. Bone islands, previously known as enostoses, are common benign sclerotic bone lesions that usually represent an incidental finding. Bone islands are lesions which are composed of dense bone within another bone in your body.. Rib Bone Island.
From www.breuninger.com
SKIMS LoungeLeggings COTTON RIB in bone Rib Bone Island Bone islands, previously known as enostoses, are common benign sclerotic bone lesions that usually represent an incidental finding. Bone island, also called an enostosis, is a benign bone tumor mostly encountered as an incidental and asymptomatic finding. • asymptomatic focal areas of bony sclerosis. They are round and small (2 to 20 mm) intramedullary. Bone islands are lesions which are. Rib Bone Island.
From fluentwoof.com
My Dog Ate Rib Bones. What Should I Do? Rib Bone Island A bone island, also known as an enostosis, is a focus of compact bone located in cancellous bone (see the images below). Bone islands are lesions which are composed of dense bone within another bone in your body. You might need a biopsy if it causes pain. This is a benign entity that is usually found. • asymptomatic focal areas. Rib Bone Island.
From www.thebutchershoppe.com.au
King Island Rib on The Bone The Butcher Shoppe Rib Bone Island Bone island, also known as enostosis, is a benign bone lesion commonly found on radiographs. It appears as a small, circular, opaque area within. Bone islands almost never cause. They are round and small (2 to 20 mm) intramedullary. Bone islands are lesions which are composed of dense bone within another bone in your body. Bone islands, previously known as. Rib Bone Island.
From www.youtube.com
Ribs Osteology (World of Anatomy) YouTube Rib Bone Island They are round and small (2 to 20 mm) intramedullary. This is a benign entity that is usually found. A bone island is a harmless piece of compact bone inside cancellous bone. Bone islands, previously known as enostoses, are common benign sclerotic bone lesions that usually represent an incidental finding. Bone island, also known as enostosis, is a benign bone. Rib Bone Island.
From www.youtube.com
How To Fix Uneven Rib Flare with 1 Exercise! (you've never tried this Rib Bone Island Bone islands are lesions which are composed of dense bone within another bone in your body. They are round and small (2 to 20 mm) intramedullary. Bone islands, previously known as enostoses, are common benign sclerotic bone lesions that usually represent an incidental finding. You might need a biopsy if it causes pain. It appears as a small, circular, opaque. Rib Bone Island.
From kor.pngtree.com
갈비뼈 관절의 뼈, 3d 렌더링 이미지, 천골의 사진 배경 일러스트 및 사진 무료 다운로드 Pngtree Rib Bone Island • asymptomatic focal areas of bony sclerosis. Bone islands are lesions which are composed of dense bone within another bone in your body. A bone island is a harmless piece of compact bone inside cancellous bone. They sometimes resemble other types of lesions. They are round and small (2 to 20 mm) intramedullary. A bone island, also known as an. Rib Bone Island.
From www.pinterest.com
An enostosis (pl. enostoses, also known as a "bone island") is a common Rib Bone Island A bone island is a harmless piece of compact bone inside cancellous bone. It appears as a small, circular, opaque area within. Bone islands almost never cause. They sometimes resemble other types of lesions. • asymptomatic focal areas of bony sclerosis. Bone island, also known as enostosis, is a benign bone lesion commonly found on radiographs. Bone islands, previously known. Rib Bone Island.
From www.bonetumor.org
Bone island Rib Bone Island They are round and small (2 to 20 mm) intramedullary. A bone island is a harmless piece of compact bone inside cancellous bone. You might need a biopsy if it causes pain. Bone islands, previously known as enostoses, are common benign sclerotic bone lesions that usually represent an incidental finding. Bone islands are lesions which are composed of dense bone. Rib Bone Island.
From www.pinterest.com
Whale skeleton Gray Whale, Skeleton Art, John Muir, Clock Tower, Rib Rib Bone Island A bone island is a harmless piece of compact bone inside cancellous bone. Bone islands, previously known as enostoses, are common benign sclerotic bone lesions that usually represent an incidental finding. A bone island, also known as an enostosis, is a focus of compact bone located in cancellous bone (see the images below). Bone islands are lesions which are composed. Rib Bone Island.
From blog.naver.com
Bone island on Xray 네이버 블로그 Rib Bone Island They sometimes resemble other types of lesions. You might need a biopsy if it causes pain. Bone islands are lesions which are composed of dense bone within another bone in your body. It appears as a small, circular, opaque area within. Bone islands almost never cause. Bone islands, previously known as enostoses, are common benign sclerotic bone lesions that usually. Rib Bone Island.
From barbecuefaq.com
Should You Smoke Ribs Bone Side Up or Down? Barbecue FAQ Rib Bone Island Bone islands almost never cause. Bone islands, previously known as enostoses, are common benign sclerotic bone lesions that usually represent an incidental finding. Bone islands are lesions which are composed of dense bone within another bone in your body. A bone island, also known as an enostosis, is a focus of compact bone located in cancellous bone (see the images. Rib Bone Island.
From exofcjqzl.blob.core.windows.net
Soup Made With Standing Rib Roast Bones at Tina Tobin blog Rib Bone Island This is a benign entity that is usually found. You might need a biopsy if it causes pain. Bone island, also called an enostosis, is a benign bone tumor mostly encountered as an incidental and asymptomatic finding. • asymptomatic focal areas of bony sclerosis. A bone island is a harmless piece of compact bone inside cancellous bone. They sometimes resemble. Rib Bone Island.
From www.youtube.com
Dense Bone Island Intraoral Radiographic Interpretation YouTube Rib Bone Island Bone islands are lesions which are composed of dense bone within another bone in your body. They are round and small (2 to 20 mm) intramedullary. A bone island is a harmless piece of compact bone inside cancellous bone. A bone island, also known as an enostosis, is a focus of compact bone located in cancellous bone (see the images. Rib Bone Island.
From mmsjournals.org
Atypical presentation of a Rib Malta Medical Journal Rib Bone Island This is a benign entity that is usually found. A bone island, also known as an enostosis, is a focus of compact bone located in cancellous bone (see the images below). Bone islands are lesions which are composed of dense bone within another bone in your body. • asymptomatic focal areas of bony sclerosis. Bone islands almost never cause. It. Rib Bone Island.
From radiologykey.com
Bone Island Radiology Key Rib Bone Island Bone islands, previously known as enostoses, are common benign sclerotic bone lesions that usually represent an incidental finding. Bone island, also called an enostosis, is a benign bone tumor mostly encountered as an incidental and asymptomatic finding. Bone island, also known as enostosis, is a benign bone lesion commonly found on radiographs. This is a benign entity that is usually. Rib Bone Island.
From microbenotes.com
Rib Cage Anatomy, Parts, Bones, Structures, Functions Rib Bone Island Bone island, also known as enostosis, is a benign bone lesion commonly found on radiographs. A bone island, also known as an enostosis, is a focus of compact bone located in cancellous bone (see the images below). A bone island is a harmless piece of compact bone inside cancellous bone. You might need a biopsy if it causes pain. It. Rib Bone Island.
From bonetumor.org
Bone island Rib Bone Island Bone islands are lesions which are composed of dense bone within another bone in your body. Bone islands almost never cause. They sometimes resemble other types of lesions. A bone island, also known as an enostosis, is a focus of compact bone located in cancellous bone (see the images below). Bone island, also known as enostosis, is a benign bone. Rib Bone Island.
From blog.naver.com
Bone island on Xray 네이버 블로그 Rib Bone Island Bone islands almost never cause. • asymptomatic focal areas of bony sclerosis. Bone islands are lesions which are composed of dense bone within another bone in your body. Bone island, also called an enostosis, is a benign bone tumor mostly encountered as an incidental and asymptomatic finding. This is a benign entity that is usually found. They sometimes resemble other. Rib Bone Island.
From cescvwpi.blob.core.windows.net
Best Recipe Ribs Crock Pot at Brian Oshea blog Rib Bone Island It appears as a small, circular, opaque area within. Bone island, also called an enostosis, is a benign bone tumor mostly encountered as an incidental and asymptomatic finding. You might need a biopsy if it causes pain. They are round and small (2 to 20 mm) intramedullary. Bone island, also known as enostosis, is a benign bone lesion commonly found. Rib Bone Island.
From epos.myesr.org
EPOS™ Rib Bone Island They are round and small (2 to 20 mm) intramedullary. • asymptomatic focal areas of bony sclerosis. Bone islands are lesions which are composed of dense bone within another bone in your body. Bone island, also known as enostosis, is a benign bone lesion commonly found on radiographs. You might need a biopsy if it causes pain. Bone islands almost. Rib Bone Island.
From www.mdpi.com
Medicina Free FullText Atypical Enostoses—Series of Ten Cases and Rib Bone Island A bone island is a harmless piece of compact bone inside cancellous bone. It appears as a small, circular, opaque area within. Bone islands, previously known as enostoses, are common benign sclerotic bone lesions that usually represent an incidental finding. They sometimes resemble other types of lesions. Bone island, also called an enostosis, is a benign bone tumor mostly encountered. Rib Bone Island.
From stock.adobe.com
Human ribs. Human rib bones hand drawn vector illustration. Part of Rib Bone Island A bone island is a harmless piece of compact bone inside cancellous bone. They are round and small (2 to 20 mm) intramedullary. It appears as a small, circular, opaque area within. Bone islands are lesions which are composed of dense bone within another bone in your body. A bone island, also known as an enostosis, is a focus of. Rib Bone Island.
From www.slideserve.com
PPT How Common are Bone Islands on Abdominal and Pelvic CT Rib Bone Island A bone island is a harmless piece of compact bone inside cancellous bone. Bone islands almost never cause. Bone islands are lesions which are composed of dense bone within another bone in your body. • asymptomatic focal areas of bony sclerosis. This is a benign entity that is usually found. Bone island, also known as enostosis, is a benign bone. Rib Bone Island.
From www.dmorrisbutchers.co.uk
Rib of Beef on the Bone Daniel Morris Butchers Rib Bone Island Bone islands almost never cause. Bone islands, previously known as enostoses, are common benign sclerotic bone lesions that usually represent an incidental finding. • asymptomatic focal areas of bony sclerosis. They are round and small (2 to 20 mm) intramedullary. It appears as a small, circular, opaque area within. Bone island, also called an enostosis, is a benign bone tumor. Rib Bone Island.
From www.wikidoc.org
Bone island wikidoc Rib Bone Island Bone island, also known as enostosis, is a benign bone lesion commonly found on radiographs. They sometimes resemble other types of lesions. You might need a biopsy if it causes pain. Bone islands, previously known as enostoses, are common benign sclerotic bone lesions that usually represent an incidental finding. It appears as a small, circular, opaque area within. They are. Rib Bone Island.
From www.emotionsandbody.com
KNOWING OURSELVES What does the body want to tell us with diseases Rib Bone Island They are round and small (2 to 20 mm) intramedullary. Bone islands, previously known as enostoses, are common benign sclerotic bone lesions that usually represent an incidental finding. A bone island is a harmless piece of compact bone inside cancellous bone. This is a benign entity that is usually found. It appears as a small, circular, opaque area within. You. Rib Bone Island.
From slidesharetrick.blogspot.com
What Is A Bone Island slidesharetrick Rib Bone Island It appears as a small, circular, opaque area within. This is a benign entity that is usually found. They are round and small (2 to 20 mm) intramedullary. Bone island, also known as enostosis, is a benign bone lesion commonly found on radiographs. You might need a biopsy if it causes pain. Bone islands are lesions which are composed of. Rib Bone Island.
From learn-gsk.com
Design your ampere theorizing sight such highlights this dynamics Rib Bone Island They sometimes resemble other types of lesions. Bone islands almost never cause. They are round and small (2 to 20 mm) intramedullary. This is a benign entity that is usually found. Bone island, also called an enostosis, is a benign bone tumor mostly encountered as an incidental and asymptomatic finding. A bone island is a harmless piece of compact bone. Rib Bone Island.
From www.pinterest.com
Prime + Proper on Instagram “Plated perfection 🤌🏼 Our short rib Rib Bone Island It appears as a small, circular, opaque area within. They are round and small (2 to 20 mm) intramedullary. They sometimes resemble other types of lesions. Bone islands are lesions which are composed of dense bone within another bone in your body. A bone island, also known as an enostosis, is a focus of compact bone located in cancellous bone. Rib Bone Island.
From www.cureus.com
Outpatient Surgery for Rib Fracture Fixation A Report of Three Cases Rib Bone Island You might need a biopsy if it causes pain. This is a benign entity that is usually found. Bone island, also called an enostosis, is a benign bone tumor mostly encountered as an incidental and asymptomatic finding. Bone islands almost never cause. A bone island, also known as an enostosis, is a focus of compact bone located in cancellous bone. Rib Bone Island.