What Does A Chest X-Ray Show For Shortness Of Breath . Shortness of breath, medically known as dyspnea, is a sensation of not being able to breathe comfortably or deeply enough. There are no visible nodules, tumors or masses. During a pulmonary function test, you blow into a device called a spirometer, which measures how much. Lung inflammation can be acute (rapidly occurring and severe) or chronic (persistent or. Dyspnea, or shortness of breath, is the feeling that you can’t get enough air into your lungs. Symptoms may include wheezing, shortness of breath, chest pain, and coughing. It might feel like your chest is tight, you’re gasping for air or you’re working harder to breathe.
from limmereducation.com
Lung inflammation can be acute (rapidly occurring and severe) or chronic (persistent or. Shortness of breath, medically known as dyspnea, is a sensation of not being able to breathe comfortably or deeply enough. Symptoms may include wheezing, shortness of breath, chest pain, and coughing. There are no visible nodules, tumors or masses. Dyspnea, or shortness of breath, is the feeling that you can’t get enough air into your lungs. During a pulmonary function test, you blow into a device called a spirometer, which measures how much. It might feel like your chest is tight, you’re gasping for air or you’re working harder to breathe.
Back to the Basics CHF vs. Chronic Bronchitis Shortness of Breath
What Does A Chest X-Ray Show For Shortness Of Breath Lung inflammation can be acute (rapidly occurring and severe) or chronic (persistent or. It might feel like your chest is tight, you’re gasping for air or you’re working harder to breathe. Dyspnea, or shortness of breath, is the feeling that you can’t get enough air into your lungs. Lung inflammation can be acute (rapidly occurring and severe) or chronic (persistent or. Shortness of breath, medically known as dyspnea, is a sensation of not being able to breathe comfortably or deeply enough. There are no visible nodules, tumors or masses. During a pulmonary function test, you blow into a device called a spirometer, which measures how much. Symptoms may include wheezing, shortness of breath, chest pain, and coughing.
From pngtree.com
Chest Xray Image Of A Patient Experiencing Shortness Of Breath Photo What Does A Chest X-Ray Show For Shortness Of Breath It might feel like your chest is tight, you’re gasping for air or you’re working harder to breathe. Symptoms may include wheezing, shortness of breath, chest pain, and coughing. Lung inflammation can be acute (rapidly occurring and severe) or chronic (persistent or. Dyspnea, or shortness of breath, is the feeling that you can’t get enough air into your lungs. Shortness. What Does A Chest X-Ray Show For Shortness Of Breath.
From www.slideserve.com
PPT SHORTNESS OF BREATH PowerPoint Presentation ID5093211 What Does A Chest X-Ray Show For Shortness Of Breath During a pulmonary function test, you blow into a device called a spirometer, which measures how much. It might feel like your chest is tight, you’re gasping for air or you’re working harder to breathe. There are no visible nodules, tumors or masses. Dyspnea, or shortness of breath, is the feeling that you can’t get enough air into your lungs.. What Does A Chest X-Ray Show For Shortness Of Breath.
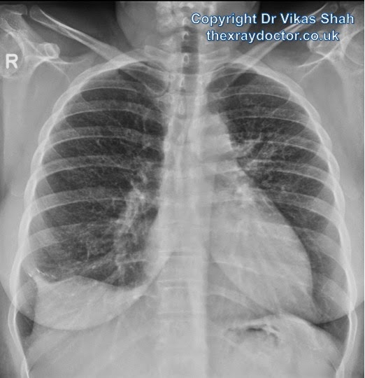
From www.thexraydoctor.co.uk
the xray doctor A young woman with shortness of breath What Does A Chest X-Ray Show For Shortness Of Breath Symptoms may include wheezing, shortness of breath, chest pain, and coughing. It might feel like your chest is tight, you’re gasping for air or you’re working harder to breathe. Dyspnea, or shortness of breath, is the feeling that you can’t get enough air into your lungs. During a pulmonary function test, you blow into a device called a spirometer, which. What Does A Chest X-Ray Show For Shortness Of Breath.
From www.worldofwardcrap.com
How is a Chest XRay performed? worldofwardcrap What Does A Chest X-Ray Show For Shortness Of Breath Symptoms may include wheezing, shortness of breath, chest pain, and coughing. During a pulmonary function test, you blow into a device called a spirometer, which measures how much. It might feel like your chest is tight, you’re gasping for air or you’re working harder to breathe. Shortness of breath, medically known as dyspnea, is a sensation of not being able. What Does A Chest X-Ray Show For Shortness Of Breath.
From limmereducation.com
Back to the Basics CHF vs. Chronic Bronchitis Shortness of Breath What Does A Chest X-Ray Show For Shortness Of Breath There are no visible nodules, tumors or masses. Symptoms may include wheezing, shortness of breath, chest pain, and coughing. Dyspnea, or shortness of breath, is the feeling that you can’t get enough air into your lungs. Lung inflammation can be acute (rapidly occurring and severe) or chronic (persistent or. During a pulmonary function test, you blow into a device called. What Does A Chest X-Ray Show For Shortness Of Breath.
From ppemedical.com
Basic Chest XRay Interpretation Tips and pointers to see it all! What Does A Chest X-Ray Show For Shortness Of Breath Symptoms may include wheezing, shortness of breath, chest pain, and coughing. Shortness of breath, medically known as dyspnea, is a sensation of not being able to breathe comfortably or deeply enough. It might feel like your chest is tight, you’re gasping for air or you’re working harder to breathe. During a pulmonary function test, you blow into a device called. What Does A Chest X-Ray Show For Shortness Of Breath.
From www.reddit.com
Patient with sudden onset of chest pain and shortness of breath. What What Does A Chest X-Ray Show For Shortness Of Breath It might feel like your chest is tight, you’re gasping for air or you’re working harder to breathe. During a pulmonary function test, you blow into a device called a spirometer, which measures how much. There are no visible nodules, tumors or masses. Dyspnea, or shortness of breath, is the feeling that you can’t get enough air into your lungs.. What Does A Chest X-Ray Show For Shortness Of Breath.
From ar.inspiredpencil.com
Normal Chest X Ray Labeled What Does A Chest X-Ray Show For Shortness Of Breath Lung inflammation can be acute (rapidly occurring and severe) or chronic (persistent or. Dyspnea, or shortness of breath, is the feeling that you can’t get enough air into your lungs. During a pulmonary function test, you blow into a device called a spirometer, which measures how much. There are no visible nodules, tumors or masses. Shortness of breath, medically known. What Does A Chest X-Ray Show For Shortness Of Breath.
From brieflands.com
Acute Shortness of Breath in an Adult Asian Journal of Sports What Does A Chest X-Ray Show For Shortness Of Breath Lung inflammation can be acute (rapidly occurring and severe) or chronic (persistent or. It might feel like your chest is tight, you’re gasping for air or you’re working harder to breathe. There are no visible nodules, tumors or masses. Symptoms may include wheezing, shortness of breath, chest pain, and coughing. During a pulmonary function test, you blow into a device. What Does A Chest X-Ray Show For Shortness Of Breath.
From www.thecardiologyadvisor.com
Clinical Case Man With COPD and Worsening Shortness of Breath The What Does A Chest X-Ray Show For Shortness Of Breath During a pulmonary function test, you blow into a device called a spirometer, which measures how much. Lung inflammation can be acute (rapidly occurring and severe) or chronic (persistent or. It might feel like your chest is tight, you’re gasping for air or you’re working harder to breathe. There are no visible nodules, tumors or masses. Shortness of breath, medically. What Does A Chest X-Ray Show For Shortness Of Breath.
From twitter.com
Sam Ghali, M.D. on Twitter "Here’s an important Chest XRay of a young What Does A Chest X-Ray Show For Shortness Of Breath Lung inflammation can be acute (rapidly occurring and severe) or chronic (persistent or. Symptoms may include wheezing, shortness of breath, chest pain, and coughing. Shortness of breath, medically known as dyspnea, is a sensation of not being able to breathe comfortably or deeply enough. It might feel like your chest is tight, you’re gasping for air or you’re working harder. What Does A Chest X-Ray Show For Shortness Of Breath.
From breathe.ersjournals.com
A 61yearold male with generalised lymphadenopathy presenting with What Does A Chest X-Ray Show For Shortness Of Breath Shortness of breath, medically known as dyspnea, is a sensation of not being able to breathe comfortably or deeply enough. Dyspnea, or shortness of breath, is the feeling that you can’t get enough air into your lungs. It might feel like your chest is tight, you’re gasping for air or you’re working harder to breathe. During a pulmonary function test,. What Does A Chest X-Ray Show For Shortness Of Breath.
From www.researchgate.net
1 At 9 years. (a) Chest X ray at presentation with shortness of breath What Does A Chest X-Ray Show For Shortness Of Breath Symptoms may include wheezing, shortness of breath, chest pain, and coughing. During a pulmonary function test, you blow into a device called a spirometer, which measures how much. Shortness of breath, medically known as dyspnea, is a sensation of not being able to breathe comfortably or deeply enough. Dyspnea, or shortness of breath, is the feeling that you can’t get. What Does A Chest X-Ray Show For Shortness Of Breath.
From hubpages.com
X Ray Diagnostics Of Pneumothorax Radiographic Representations Of The What Does A Chest X-Ray Show For Shortness Of Breath Shortness of breath, medically known as dyspnea, is a sensation of not being able to breathe comfortably or deeply enough. Symptoms may include wheezing, shortness of breath, chest pain, and coughing. During a pulmonary function test, you blow into a device called a spirometer, which measures how much. There are no visible nodules, tumors or masses. It might feel like. What Does A Chest X-Ray Show For Shortness Of Breath.
From married2medicine.hubpages.com
Reading The Chest XRay (Chest Radiography) Identifying A Normal Chest What Does A Chest X-Ray Show For Shortness Of Breath During a pulmonary function test, you blow into a device called a spirometer, which measures how much. It might feel like your chest is tight, you’re gasping for air or you’re working harder to breathe. Lung inflammation can be acute (rapidly occurring and severe) or chronic (persistent or. There are no visible nodules, tumors or masses. Shortness of breath, medically. What Does A Chest X-Ray Show For Shortness Of Breath.
From foamed.ebmedicine.net
Shortness of Breath EB Medicine What Does A Chest X-Ray Show For Shortness Of Breath During a pulmonary function test, you blow into a device called a spirometer, which measures how much. There are no visible nodules, tumors or masses. It might feel like your chest is tight, you’re gasping for air or you’re working harder to breathe. Lung inflammation can be acute (rapidly occurring and severe) or chronic (persistent or. Symptoms may include wheezing,. What Does A Chest X-Ray Show For Shortness Of Breath.
From empendium.com
18yearold female patient with complaints of shortness of breath What Does A Chest X-Ray Show For Shortness Of Breath During a pulmonary function test, you blow into a device called a spirometer, which measures how much. There are no visible nodules, tumors or masses. Shortness of breath, medically known as dyspnea, is a sensation of not being able to breathe comfortably or deeply enough. Lung inflammation can be acute (rapidly occurring and severe) or chronic (persistent or. Dyspnea, or. What Does A Chest X-Ray Show For Shortness Of Breath.
From www.slideserve.com
PPT Shortness of breath and cough in a kidneytransplant patient What Does A Chest X-Ray Show For Shortness Of Breath During a pulmonary function test, you blow into a device called a spirometer, which measures how much. Dyspnea, or shortness of breath, is the feeling that you can’t get enough air into your lungs. Lung inflammation can be acute (rapidly occurring and severe) or chronic (persistent or. Symptoms may include wheezing, shortness of breath, chest pain, and coughing. Shortness of. What Does A Chest X-Ray Show For Shortness Of Breath.
From www.knowyourasthma.com
Does A Chest Xray Show Asthma What Does A Chest X-Ray Show For Shortness Of Breath Shortness of breath, medically known as dyspnea, is a sensation of not being able to breathe comfortably or deeply enough. There are no visible nodules, tumors or masses. It might feel like your chest is tight, you’re gasping for air or you’re working harder to breathe. Lung inflammation can be acute (rapidly occurring and severe) or chronic (persistent or. Symptoms. What Does A Chest X-Ray Show For Shortness Of Breath.
From emj.bmj.com
Postoperative shortness of breath Emergency Medicine Journal What Does A Chest X-Ray Show For Shortness Of Breath Symptoms may include wheezing, shortness of breath, chest pain, and coughing. It might feel like your chest is tight, you’re gasping for air or you’re working harder to breathe. There are no visible nodules, tumors or masses. During a pulmonary function test, you blow into a device called a spirometer, which measures how much. Lung inflammation can be acute (rapidly. What Does A Chest X-Ray Show For Shortness Of Breath.
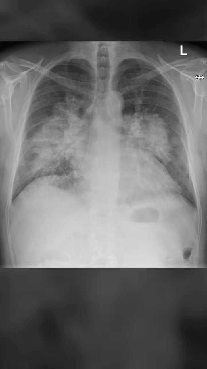
From www.reddit.com
Radiology Case Shortness of Breath r/medicine What Does A Chest X-Ray Show For Shortness Of Breath Lung inflammation can be acute (rapidly occurring and severe) or chronic (persistent or. During a pulmonary function test, you blow into a device called a spirometer, which measures how much. There are no visible nodules, tumors or masses. Symptoms may include wheezing, shortness of breath, chest pain, and coughing. It might feel like your chest is tight, you’re gasping for. What Does A Chest X-Ray Show For Shortness Of Breath.
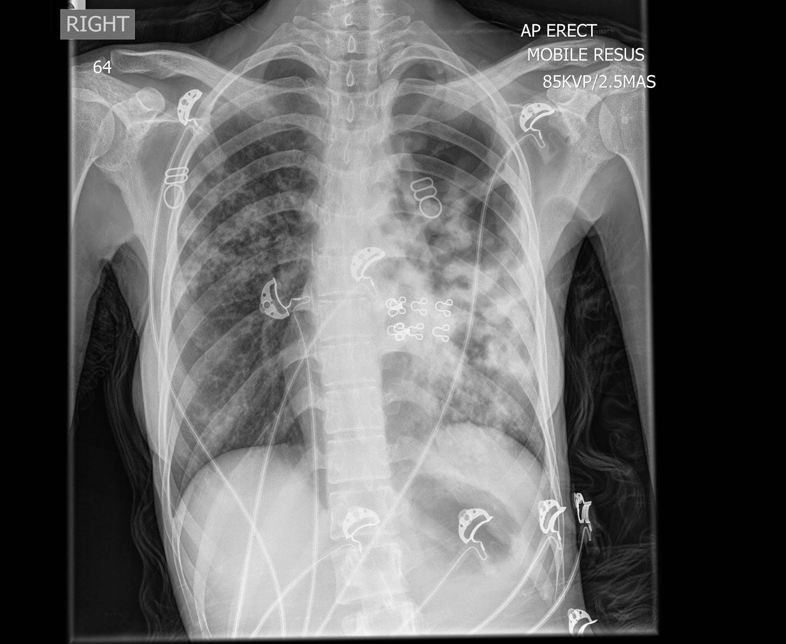
From twitter.com
theRadiologist on Twitter "A male in his 40s presents to the Emergency What Does A Chest X-Ray Show For Shortness Of Breath Lung inflammation can be acute (rapidly occurring and severe) or chronic (persistent or. Dyspnea, or shortness of breath, is the feeling that you can’t get enough air into your lungs. During a pulmonary function test, you blow into a device called a spirometer, which measures how much. It might feel like your chest is tight, you’re gasping for air or. What Does A Chest X-Ray Show For Shortness Of Breath.
From www.istockphoto.com
Chest Xray Film Of A Patient With Shortness Of Breath Showing What Does A Chest X-Ray Show For Shortness Of Breath Shortness of breath, medically known as dyspnea, is a sensation of not being able to breathe comfortably or deeply enough. There are no visible nodules, tumors or masses. Dyspnea, or shortness of breath, is the feeling that you can’t get enough air into your lungs. Symptoms may include wheezing, shortness of breath, chest pain, and coughing. Lung inflammation can be. What Does A Chest X-Ray Show For Shortness Of Breath.
From breathe.ersjournals.com
An interesting case of recurrent shortness of breath and pleuritic What Does A Chest X-Ray Show For Shortness Of Breath Dyspnea, or shortness of breath, is the feeling that you can’t get enough air into your lungs. During a pulmonary function test, you blow into a device called a spirometer, which measures how much. There are no visible nodules, tumors or masses. It might feel like your chest is tight, you’re gasping for air or you’re working harder to breathe.. What Does A Chest X-Ray Show For Shortness Of Breath.
From www.thexraydoctor.co.uk
the xray doctor xrayoftheweek 15 shortness of breath and cough why? What Does A Chest X-Ray Show For Shortness Of Breath During a pulmonary function test, you blow into a device called a spirometer, which measures how much. There are no visible nodules, tumors or masses. Symptoms may include wheezing, shortness of breath, chest pain, and coughing. It might feel like your chest is tight, you’re gasping for air or you’re working harder to breathe. Lung inflammation can be acute (rapidly. What Does A Chest X-Ray Show For Shortness Of Breath.
From medizzy.com
Sudden shortness of breath (chest xray) MEDizzy What Does A Chest X-Ray Show For Shortness Of Breath There are no visible nodules, tumors or masses. Lung inflammation can be acute (rapidly occurring and severe) or chronic (persistent or. During a pulmonary function test, you blow into a device called a spirometer, which measures how much. Shortness of breath, medically known as dyspnea, is a sensation of not being able to breathe comfortably or deeply enough. Dyspnea, or. What Does A Chest X-Ray Show For Shortness Of Breath.
From www.jucm.com
Shortness of Breath in a Postprocedural Pneumothorax Journal of What Does A Chest X-Ray Show For Shortness Of Breath Symptoms may include wheezing, shortness of breath, chest pain, and coughing. It might feel like your chest is tight, you’re gasping for air or you’re working harder to breathe. Lung inflammation can be acute (rapidly occurring and severe) or chronic (persistent or. During a pulmonary function test, you blow into a device called a spirometer, which measures how much. Shortness. What Does A Chest X-Ray Show For Shortness Of Breath.
From www.bmj.com
Gradually worsening shortness of breath The BMJ What Does A Chest X-Ray Show For Shortness Of Breath During a pulmonary function test, you blow into a device called a spirometer, which measures how much. There are no visible nodules, tumors or masses. It might feel like your chest is tight, you’re gasping for air or you’re working harder to breathe. Lung inflammation can be acute (rapidly occurring and severe) or chronic (persistent or. Shortness of breath, medically. What Does A Chest X-Ray Show For Shortness Of Breath.
From www.ezmedlearning.com
Read and Interpret Chest Xrays The ABCDE Mnemonic StepByStep What Does A Chest X-Ray Show For Shortness Of Breath There are no visible nodules, tumors or masses. During a pulmonary function test, you blow into a device called a spirometer, which measures how much. Shortness of breath, medically known as dyspnea, is a sensation of not being able to breathe comfortably or deeply enough. Lung inflammation can be acute (rapidly occurring and severe) or chronic (persistent or. Symptoms may. What Does A Chest X-Ray Show For Shortness Of Breath.
From twitter.com
theRadiologist on Twitter "A male in his 60s presents with acute What Does A Chest X-Ray Show For Shortness Of Breath Symptoms may include wheezing, shortness of breath, chest pain, and coughing. There are no visible nodules, tumors or masses. It might feel like your chest is tight, you’re gasping for air or you’re working harder to breathe. Lung inflammation can be acute (rapidly occurring and severe) or chronic (persistent or. During a pulmonary function test, you blow into a device. What Does A Chest X-Ray Show For Shortness Of Breath.
From www.verywellhealth.com
Chest XRay for the Diagnosis of Lung Cancer What Does A Chest X-Ray Show For Shortness Of Breath Symptoms may include wheezing, shortness of breath, chest pain, and coughing. Dyspnea, or shortness of breath, is the feeling that you can’t get enough air into your lungs. There are no visible nodules, tumors or masses. Shortness of breath, medically known as dyspnea, is a sensation of not being able to breathe comfortably or deeply enough. Lung inflammation can be. What Does A Chest X-Ray Show For Shortness Of Breath.
From journal.medizzy.com
A Rare Cause of Shortness of Breath MEDizzy Journal What Does A Chest X-Ray Show For Shortness Of Breath During a pulmonary function test, you blow into a device called a spirometer, which measures how much. Dyspnea, or shortness of breath, is the feeling that you can’t get enough air into your lungs. It might feel like your chest is tight, you’re gasping for air or you’re working harder to breathe. Symptoms may include wheezing, shortness of breath, chest. What Does A Chest X-Ray Show For Shortness Of Breath.
From www.aliem.com
Case 1 Lethargy and shortness of breath What Does A Chest X-Ray Show For Shortness Of Breath It might feel like your chest is tight, you’re gasping for air or you’re working harder to breathe. During a pulmonary function test, you blow into a device called a spirometer, which measures how much. Symptoms may include wheezing, shortness of breath, chest pain, and coughing. Shortness of breath, medically known as dyspnea, is a sensation of not being able. What Does A Chest X-Ray Show For Shortness Of Breath.
From www.surgicalexam.com
Surgical Exam What Does A Chest X-Ray Show For Shortness Of Breath Lung inflammation can be acute (rapidly occurring and severe) or chronic (persistent or. There are no visible nodules, tumors or masses. Dyspnea, or shortness of breath, is the feeling that you can’t get enough air into your lungs. During a pulmonary function test, you blow into a device called a spirometer, which measures how much. Shortness of breath, medically known. What Does A Chest X-Ray Show For Shortness Of Breath.
From erj.ersjournals.com
A 13yearold female with shortness of breath and pleuritic chest pain What Does A Chest X-Ray Show For Shortness Of Breath Symptoms may include wheezing, shortness of breath, chest pain, and coughing. Shortness of breath, medically known as dyspnea, is a sensation of not being able to breathe comfortably or deeply enough. During a pulmonary function test, you blow into a device called a spirometer, which measures how much. Lung inflammation can be acute (rapidly occurring and severe) or chronic (persistent. What Does A Chest X-Ray Show For Shortness Of Breath.