How To Test For Dead Tooth . One of the most common indicators of a dead or dying tooth is a change in color compared to the. The dentist will visually inspect the tooth and. You should see a general dentist immediately if you identify signs of a dead tooth. Common tests for diagnosing a dead tooth include: If you suspect you have a dead tooth, either due to pain, smell, looseness or having a darker hue than the rest of your teeth, it's imperative that you seek treatment from your. Regular dental health exams may detect problems earlier when they are easier to treat. Treatment options for a dead tooth
from www.dentalcarereport.com
Treatment options for a dead tooth Common tests for diagnosing a dead tooth include: If you suspect you have a dead tooth, either due to pain, smell, looseness or having a darker hue than the rest of your teeth, it's imperative that you seek treatment from your. Regular dental health exams may detect problems earlier when they are easier to treat. The dentist will visually inspect the tooth and. One of the most common indicators of a dead or dying tooth is a change in color compared to the. You should see a general dentist immediately if you identify signs of a dead tooth.
How Can I Tell If My Tooth Is Dead? Dental Care Report
How To Test For Dead Tooth Common tests for diagnosing a dead tooth include: Regular dental health exams may detect problems earlier when they are easier to treat. Treatment options for a dead tooth One of the most common indicators of a dead or dying tooth is a change in color compared to the. Common tests for diagnosing a dead tooth include: If you suspect you have a dead tooth, either due to pain, smell, looseness or having a darker hue than the rest of your teeth, it's imperative that you seek treatment from your. You should see a general dentist immediately if you identify signs of a dead tooth. The dentist will visually inspect the tooth and.
From www.bfcdental.com
dead tooth signs and treatment options BFCDental How To Test For Dead Tooth If you suspect you have a dead tooth, either due to pain, smell, looseness or having a darker hue than the rest of your teeth, it's imperative that you seek treatment from your. You should see a general dentist immediately if you identify signs of a dead tooth. One of the most common indicators of a dead or dying tooth. How To Test For Dead Tooth.
From upperhuntclubdentalcentre.com
Dead Tooth Symptoms, Causes, and Treatment How To Test For Dead Tooth Treatment options for a dead tooth Common tests for diagnosing a dead tooth include: One of the most common indicators of a dead or dying tooth is a change in color compared to the. You should see a general dentist immediately if you identify signs of a dead tooth. The dentist will visually inspect the tooth and. If you suspect. How To Test For Dead Tooth.
From www.drfeins.com
Smile Gallery Bringing a Dead Tooth Back to Life How To Test For Dead Tooth You should see a general dentist immediately if you identify signs of a dead tooth. Treatment options for a dead tooth Common tests for diagnosing a dead tooth include: The dentist will visually inspect the tooth and. One of the most common indicators of a dead or dying tooth is a change in color compared to the. If you suspect. How To Test For Dead Tooth.
From dentaldost.com
How to identify and treat a Dead tooth? Dental Dost How To Test For Dead Tooth Common tests for diagnosing a dead tooth include: If you suspect you have a dead tooth, either due to pain, smell, looseness or having a darker hue than the rest of your teeth, it's imperative that you seek treatment from your. You should see a general dentist immediately if you identify signs of a dead tooth. Regular dental health exams. How To Test For Dead Tooth.
From www.medicalnewstoday.com
Dead tooth Symptoms, causes, and treatment How To Test For Dead Tooth You should see a general dentist immediately if you identify signs of a dead tooth. The dentist will visually inspect the tooth and. Treatment options for a dead tooth Regular dental health exams may detect problems earlier when they are easier to treat. Common tests for diagnosing a dead tooth include: If you suspect you have a dead tooth, either. How To Test For Dead Tooth.
From www.thecourtyardclinic.co.uk
Whitening a Dead Tooth The Courtyard Clinic How To Test For Dead Tooth The dentist will visually inspect the tooth and. One of the most common indicators of a dead or dying tooth is a change in color compared to the. Regular dental health exams may detect problems earlier when they are easier to treat. Treatment options for a dead tooth Common tests for diagnosing a dead tooth include: You should see a. How To Test For Dead Tooth.
From hummingbirddental.ca
Dead tooth root canal before and after Hummingbird Dental Voted Top How To Test For Dead Tooth One of the most common indicators of a dead or dying tooth is a change in color compared to the. You should see a general dentist immediately if you identify signs of a dead tooth. If you suspect you have a dead tooth, either due to pain, smell, looseness or having a darker hue than the rest of your teeth,. How To Test For Dead Tooth.
From www.northjacksonvillecompletedentistry.com
Dentist Signs of a Dead Tooth North Jacksonville Complete Dentistry How To Test For Dead Tooth Treatment options for a dead tooth You should see a general dentist immediately if you identify signs of a dead tooth. One of the most common indicators of a dead or dying tooth is a change in color compared to the. Common tests for diagnosing a dead tooth include: The dentist will visually inspect the tooth and. If you suspect. How To Test For Dead Tooth.
From www.youtube.com
Biomimetic Dentistry Prevents the Tooth Cycle of Death YouTube How To Test For Dead Tooth If you suspect you have a dead tooth, either due to pain, smell, looseness or having a darker hue than the rest of your teeth, it's imperative that you seek treatment from your. Regular dental health exams may detect problems earlier when they are easier to treat. The dentist will visually inspect the tooth and. Treatment options for a dead. How To Test For Dead Tooth.
From gargha-arce.blogspot.com
How To Fix A Dead Tooth Naturally How do I know I need a root canal How To Test For Dead Tooth The dentist will visually inspect the tooth and. Common tests for diagnosing a dead tooth include: One of the most common indicators of a dead or dying tooth is a change in color compared to the. Treatment options for a dead tooth Regular dental health exams may detect problems earlier when they are easier to treat. You should see a. How To Test For Dead Tooth.
From www.youtube.com
teeth laser fillingteeth filling YouTube How To Test For Dead Tooth Treatment options for a dead tooth Regular dental health exams may detect problems earlier when they are easier to treat. If you suspect you have a dead tooth, either due to pain, smell, looseness or having a darker hue than the rest of your teeth, it's imperative that you seek treatment from your. Common tests for diagnosing a dead tooth. How To Test For Dead Tooth.
From london-dental-specialists.co.uk
Understanding and Treating a Dead Tooth Expert Insights How To Test For Dead Tooth Regular dental health exams may detect problems earlier when they are easier to treat. One of the most common indicators of a dead or dying tooth is a change in color compared to the. If you suspect you have a dead tooth, either due to pain, smell, looseness or having a darker hue than the rest of your teeth, it's. How To Test For Dead Tooth.
From www.swissdentbodrum.com
Understanding Dead Tooth Swiss Dent How To Test For Dead Tooth The dentist will visually inspect the tooth and. You should see a general dentist immediately if you identify signs of a dead tooth. Treatment options for a dead tooth If you suspect you have a dead tooth, either due to pain, smell, looseness or having a darker hue than the rest of your teeth, it's imperative that you seek treatment. How To Test For Dead Tooth.
From maxcaredental.co.nz
Dead Tooth What is a dead tooth? How can a tooth die? Maxcare Dental How To Test For Dead Tooth You should see a general dentist immediately if you identify signs of a dead tooth. Treatment options for a dead tooth If you suspect you have a dead tooth, either due to pain, smell, looseness or having a darker hue than the rest of your teeth, it's imperative that you seek treatment from your. Common tests for diagnosing a dead. How To Test For Dead Tooth.
From www.medicalnewstoday.com
Dead tooth Symptoms, causes, and treatment How To Test For Dead Tooth Regular dental health exams may detect problems earlier when they are easier to treat. If you suspect you have a dead tooth, either due to pain, smell, looseness or having a darker hue than the rest of your teeth, it's imperative that you seek treatment from your. Common tests for diagnosing a dead tooth include: You should see a general. How To Test For Dead Tooth.
From gargha-arce.blogspot.com
How To Fix A Dead Tooth Naturally How do I know I need a root canal How To Test For Dead Tooth The dentist will visually inspect the tooth and. If you suspect you have a dead tooth, either due to pain, smell, looseness or having a darker hue than the rest of your teeth, it's imperative that you seek treatment from your. Regular dental health exams may detect problems earlier when they are easier to treat. Common tests for diagnosing a. How To Test For Dead Tooth.
From cityclinic.eu
Dead tooth Causes, symptoms & treatment City Dental Clinic How To Test For Dead Tooth Common tests for diagnosing a dead tooth include: You should see a general dentist immediately if you identify signs of a dead tooth. If you suspect you have a dead tooth, either due to pain, smell, looseness or having a darker hue than the rest of your teeth, it's imperative that you seek treatment from your. Treatment options for a. How To Test For Dead Tooth.
From www.youtube.com
Root Canal Or Tooth Extraction YouTube How To Test For Dead Tooth The dentist will visually inspect the tooth and. Treatment options for a dead tooth Regular dental health exams may detect problems earlier when they are easier to treat. One of the most common indicators of a dead or dying tooth is a change in color compared to the. You should see a general dentist immediately if you identify signs of. How To Test For Dead Tooth.
From www.jacksonavedental.com
How To Fix a Dead Tooth At Home 1311 Jackson Ave Dental Dentist in How To Test For Dead Tooth If you suspect you have a dead tooth, either due to pain, smell, looseness or having a darker hue than the rest of your teeth, it's imperative that you seek treatment from your. Treatment options for a dead tooth The dentist will visually inspect the tooth and. You should see a general dentist immediately if you identify signs of a. How To Test For Dead Tooth.
From www.sagedentalnj.com
What Is A Dead Tooth? Sage Dental How To Test For Dead Tooth Treatment options for a dead tooth Common tests for diagnosing a dead tooth include: The dentist will visually inspect the tooth and. One of the most common indicators of a dead or dying tooth is a change in color compared to the. Regular dental health exams may detect problems earlier when they are easier to treat. If you suspect you. How To Test For Dead Tooth.
From eastmandentalgroup.com
How Do You Know if You Have A Dead Tooth Signs and Treatments How To Test For Dead Tooth If you suspect you have a dead tooth, either due to pain, smell, looseness or having a darker hue than the rest of your teeth, it's imperative that you seek treatment from your. One of the most common indicators of a dead or dying tooth is a change in color compared to the. Treatment options for a dead tooth Regular. How To Test For Dead Tooth.
From dentaldost.com
How to identify and treat a Dead tooth? Dental Dost How To Test For Dead Tooth The dentist will visually inspect the tooth and. Common tests for diagnosing a dead tooth include: Treatment options for a dead tooth Regular dental health exams may detect problems earlier when they are easier to treat. You should see a general dentist immediately if you identify signs of a dead tooth. One of the most common indicators of a dead. How To Test For Dead Tooth.
From eppingdentist.com.au
Chipped Tooth Epping Dentist How To Test For Dead Tooth The dentist will visually inspect the tooth and. Common tests for diagnosing a dead tooth include: Treatment options for a dead tooth You should see a general dentist immediately if you identify signs of a dead tooth. If you suspect you have a dead tooth, either due to pain, smell, looseness or having a darker hue than the rest of. How To Test For Dead Tooth.
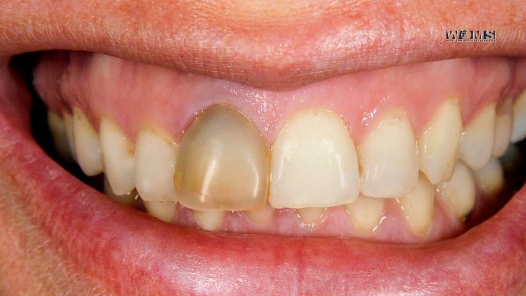
From worldofmedicalsaviours.com
Dead Tooth How to Prevent it? WOMS How To Test For Dead Tooth Regular dental health exams may detect problems earlier when they are easier to treat. You should see a general dentist immediately if you identify signs of a dead tooth. One of the most common indicators of a dead or dying tooth is a change in color compared to the. Common tests for diagnosing a dead tooth include: If you suspect. How To Test For Dead Tooth.
From drstonedds.com
Taking Care of a Dead Tooth Problems and Solutions How To Test For Dead Tooth Regular dental health exams may detect problems earlier when they are easier to treat. If you suspect you have a dead tooth, either due to pain, smell, looseness or having a darker hue than the rest of your teeth, it's imperative that you seek treatment from your. Treatment options for a dead tooth Common tests for diagnosing a dead tooth. How To Test For Dead Tooth.
From www.209nycdental.com
What to Expect if You Have a Dead Tooth 209 NYC Dental How To Test For Dead Tooth Treatment options for a dead tooth You should see a general dentist immediately if you identify signs of a dead tooth. One of the most common indicators of a dead or dying tooth is a change in color compared to the. Regular dental health exams may detect problems earlier when they are easier to treat. The dentist will visually inspect. How To Test For Dead Tooth.
From theelitedental.com
Identifying and Treating a Dead Tooth Elite Dental Care Tracy Elite How To Test For Dead Tooth The dentist will visually inspect the tooth and. Treatment options for a dead tooth If you suspect you have a dead tooth, either due to pain, smell, looseness or having a darker hue than the rest of your teeth, it's imperative that you seek treatment from your. One of the most common indicators of a dead or dying tooth is. How To Test For Dead Tooth.
From www.smileperfectors.com
Dead Tooth Symptoms, Treatment, Identification, and More! How To Test For Dead Tooth Regular dental health exams may detect problems earlier when they are easier to treat. You should see a general dentist immediately if you identify signs of a dead tooth. Common tests for diagnosing a dead tooth include: One of the most common indicators of a dead or dying tooth is a change in color compared to the. The dentist will. How To Test For Dead Tooth.
From www.thecourtyardclinic.co.uk
Whitening a Dead Tooth The Courtyard Clinic How To Test For Dead Tooth Common tests for diagnosing a dead tooth include: Regular dental health exams may detect problems earlier when they are easier to treat. If you suspect you have a dead tooth, either due to pain, smell, looseness or having a darker hue than the rest of your teeth, it's imperative that you seek treatment from your. Treatment options for a dead. How To Test For Dead Tooth.
From wayzatadental.com
4 Ways to Tell if You Have a Dead (Or Dying) Tooth How To Test For Dead Tooth Common tests for diagnosing a dead tooth include: Regular dental health exams may detect problems earlier when they are easier to treat. The dentist will visually inspect the tooth and. Treatment options for a dead tooth You should see a general dentist immediately if you identify signs of a dead tooth. One of the most common indicators of a dead. How To Test For Dead Tooth.
From www.tysonsdentistry.com
How We Treat a Dead Tooth Tysons Dentistry Tysons Corner VA How To Test For Dead Tooth One of the most common indicators of a dead or dying tooth is a change in color compared to the. You should see a general dentist immediately if you identify signs of a dead tooth. Treatment options for a dead tooth The dentist will visually inspect the tooth and. Regular dental health exams may detect problems earlier when they are. How To Test For Dead Tooth.
From www.dentalcarereport.com
How Can I Tell If My Tooth Is Dead? Dental Care Report How To Test For Dead Tooth Common tests for diagnosing a dead tooth include: The dentist will visually inspect the tooth and. One of the most common indicators of a dead or dying tooth is a change in color compared to the. If you suspect you have a dead tooth, either due to pain, smell, looseness or having a darker hue than the rest of your. How To Test For Dead Tooth.
From giopbvzez.blob.core.windows.net
Root Canal Dead Tooth at Arline Murray blog How To Test For Dead Tooth You should see a general dentist immediately if you identify signs of a dead tooth. Regular dental health exams may detect problems earlier when they are easier to treat. Common tests for diagnosing a dead tooth include: The dentist will visually inspect the tooth and. One of the most common indicators of a dead or dying tooth is a change. How To Test For Dead Tooth.
From www.cdhp.org
How Long Can A Tooth Be Dead For? (Affecting Factors & Treatments) How To Test For Dead Tooth The dentist will visually inspect the tooth and. If you suspect you have a dead tooth, either due to pain, smell, looseness or having a darker hue than the rest of your teeth, it's imperative that you seek treatment from your. Treatment options for a dead tooth Common tests for diagnosing a dead tooth include: One of the most common. How To Test For Dead Tooth.
From www.springvaledental.com.au
Dead Tooth Signs & Treatment Causes Of Dead Tooth Blog How To Test For Dead Tooth The dentist will visually inspect the tooth and. Regular dental health exams may detect problems earlier when they are easier to treat. Common tests for diagnosing a dead tooth include: One of the most common indicators of a dead or dying tooth is a change in color compared to the. Treatment options for a dead tooth You should see a. How To Test For Dead Tooth.