Crohn's Disease Young Female . Children and teens with crohn’s disease face unique challenges. Crohn's disease may happen at any age. Gaylyn henderson, mph, was diagnosed with crohn’s disease as a teenager and is sharing how the experience impacted her. A person of any gender with crohn’s disease may experience swelling and irritation anywhere along the digestive tract. It most often affects people ages 15 to 35. However, people assigned female at birth may be more likely to experience symptoms such as irregular periods, iron deficiency, osteoporosis, fertility issues, and pain during penetrative sex. Both are chronic inflammatory gi conditions characterized by abdominal discomfort and may result in. Crohn’s disease can stunt growth, weaken bones, and delay. Which children are at risk for crohn's disease? Crohn's disease can occur at any age, but you're likely to develop the condition when you're young. Ibd includes crohn’s disease and ulcerative colitis (uc). Several trials show an incidence of 27.6% for men and women with crohn's disease who present with perianal fistula, 12 but only 18.1% of women.
from www.health.com
Ibd includes crohn’s disease and ulcerative colitis (uc). Both are chronic inflammatory gi conditions characterized by abdominal discomfort and may result in. It most often affects people ages 15 to 35. Gaylyn henderson, mph, was diagnosed with crohn’s disease as a teenager and is sharing how the experience impacted her. Crohn’s disease can stunt growth, weaken bones, and delay. Several trials show an incidence of 27.6% for men and women with crohn's disease who present with perianal fistula, 12 but only 18.1% of women. Crohn's disease may happen at any age. Which children are at risk for crohn's disease? A person of any gender with crohn’s disease may experience swelling and irritation anywhere along the digestive tract. However, people assigned female at birth may be more likely to experience symptoms such as irregular periods, iron deficiency, osteoporosis, fertility issues, and pain during penetrative sex.
Crohn’s Disease Signs and Symptoms
Crohn's Disease Young Female A person of any gender with crohn’s disease may experience swelling and irritation anywhere along the digestive tract. However, people assigned female at birth may be more likely to experience symptoms such as irregular periods, iron deficiency, osteoporosis, fertility issues, and pain during penetrative sex. Crohn's disease can occur at any age, but you're likely to develop the condition when you're young. It most often affects people ages 15 to 35. Crohn’s disease can stunt growth, weaken bones, and delay. Which children are at risk for crohn's disease? Crohn's disease may happen at any age. Gaylyn henderson, mph, was diagnosed with crohn’s disease as a teenager and is sharing how the experience impacted her. Children and teens with crohn’s disease face unique challenges. A person of any gender with crohn’s disease may experience swelling and irritation anywhere along the digestive tract. Both are chronic inflammatory gi conditions characterized by abdominal discomfort and may result in. Several trials show an incidence of 27.6% for men and women with crohn's disease who present with perianal fistula, 12 but only 18.1% of women. Ibd includes crohn’s disease and ulcerative colitis (uc).
From www.rupahealth.com
Crohn's Disease Symptoms, Causes, And Treatment Options Crohn's Disease Young Female Which children are at risk for crohn's disease? Both are chronic inflammatory gi conditions characterized by abdominal discomfort and may result in. Ibd includes crohn’s disease and ulcerative colitis (uc). Crohn’s disease can stunt growth, weaken bones, and delay. However, people assigned female at birth may be more likely to experience symptoms such as irregular periods, iron deficiency, osteoporosis, fertility. Crohn's Disease Young Female.
From drjockers.com
Crohn’s Disease Symptoms, Causes and Support Strategies Crohn's Disease Young Female Several trials show an incidence of 27.6% for men and women with crohn's disease who present with perianal fistula, 12 but only 18.1% of women. Gaylyn henderson, mph, was diagnosed with crohn’s disease as a teenager and is sharing how the experience impacted her. It most often affects people ages 15 to 35. Crohn's disease may happen at any age.. Crohn's Disease Young Female.
From blog.simplynutrients.com
Crohn’s Disease Diet What to Eat and What to Absolutely Avoid Crohn's Disease Young Female Children and teens with crohn’s disease face unique challenges. A person of any gender with crohn’s disease may experience swelling and irritation anywhere along the digestive tract. Which children are at risk for crohn's disease? Ibd includes crohn’s disease and ulcerative colitis (uc). It most often affects people ages 15 to 35. Both are chronic inflammatory gi conditions characterized by. Crohn's Disease Young Female.
From www.researchgate.net
(top). 50yearold female with Crohn's disease. Plain Xray, lateral Crohn's Disease Young Female However, people assigned female at birth may be more likely to experience symptoms such as irregular periods, iron deficiency, osteoporosis, fertility issues, and pain during penetrative sex. Gaylyn henderson, mph, was diagnosed with crohn’s disease as a teenager and is sharing how the experience impacted her. Several trials show an incidence of 27.6% for men and women with crohn's disease. Crohn's Disease Young Female.
From mungfali.com
Crohn's Disease Ulcers Crohn's Disease Young Female Gaylyn henderson, mph, was diagnosed with crohn’s disease as a teenager and is sharing how the experience impacted her. Crohn's disease can occur at any age, but you're likely to develop the condition when you're young. Children and teens with crohn’s disease face unique challenges. Several trials show an incidence of 27.6% for men and women with crohn's disease who. Crohn's Disease Young Female.
From health.kompas.com
Penyakit Crohn's Disease Gejala, Penyebab, Pengobatan Crohn's Disease Young Female It most often affects people ages 15 to 35. Crohn's disease may happen at any age. A person of any gender with crohn’s disease may experience swelling and irritation anywhere along the digestive tract. However, people assigned female at birth may be more likely to experience symptoms such as irregular periods, iron deficiency, osteoporosis, fertility issues, and pain during penetrative. Crohn's Disease Young Female.
From medicspark.cz
Nespecifické střevní záněty, IBD Jaké jsou typy a příznaky Crohn's Disease Young Female A person of any gender with crohn’s disease may experience swelling and irritation anywhere along the digestive tract. Gaylyn henderson, mph, was diagnosed with crohn’s disease as a teenager and is sharing how the experience impacted her. Crohn's disease may happen at any age. Ibd includes crohn’s disease and ulcerative colitis (uc). It most often affects people ages 15 to. Crohn's Disease Young Female.
From www.clinicaladvisor.com
Crohn Disease Update on Diagnosis, Pathophysiology, and Treatment Crohn's Disease Young Female Children and teens with crohn’s disease face unique challenges. Ibd includes crohn’s disease and ulcerative colitis (uc). Crohn's disease can occur at any age, but you're likely to develop the condition when you're young. Which children are at risk for crohn's disease? However, people assigned female at birth may be more likely to experience symptoms such as irregular periods, iron. Crohn's Disease Young Female.
From www.youtube.com
Crohns Disease Treatment Crohns Disease Symptoms and Signs Crohn's Crohn's Disease Young Female Children and teens with crohn’s disease face unique challenges. Both are chronic inflammatory gi conditions characterized by abdominal discomfort and may result in. Crohn’s disease can stunt growth, weaken bones, and delay. It most often affects people ages 15 to 35. Ibd includes crohn’s disease and ulcerative colitis (uc). Several trials show an incidence of 27.6% for men and women. Crohn's Disease Young Female.
From www.facebook.com
Crohn's disease is a chronic inflammatory... Crohn's Disease Young Female Gaylyn henderson, mph, was diagnosed with crohn’s disease as a teenager and is sharing how the experience impacted her. It most often affects people ages 15 to 35. However, people assigned female at birth may be more likely to experience symptoms such as irregular periods, iron deficiency, osteoporosis, fertility issues, and pain during penetrative sex. Several trials show an incidence. Crohn's Disease Young Female.
From radio.egerton.ac.ke
Inflammatory Bowel Disease Pathology Review Video Osmosis, 45 OFF Crohn's Disease Young Female Ibd includes crohn’s disease and ulcerative colitis (uc). Crohn's disease may happen at any age. It most often affects people ages 15 to 35. Which children are at risk for crohn's disease? Crohn’s disease can stunt growth, weaken bones, and delay. A person of any gender with crohn’s disease may experience swelling and irritation anywhere along the digestive tract. Children. Crohn's Disease Young Female.
From www.youtube.com
Crohn’s Disease Weird Symptoms Atypical Clinical Features Skin Crohn's Disease Young Female Which children are at risk for crohn's disease? Crohn's disease can occur at any age, but you're likely to develop the condition when you're young. A person of any gender with crohn’s disease may experience swelling and irritation anywhere along the digestive tract. Both are chronic inflammatory gi conditions characterized by abdominal discomfort and may result in. Ibd includes crohn’s. Crohn's Disease Young Female.
From www.health.com
Crohn’s Disease Signs and Symptoms Crohn's Disease Young Female Both are chronic inflammatory gi conditions characterized by abdominal discomfort and may result in. Crohn's disease can occur at any age, but you're likely to develop the condition when you're young. Children and teens with crohn’s disease face unique challenges. However, people assigned female at birth may be more likely to experience symptoms such as irregular periods, iron deficiency, osteoporosis,. Crohn's Disease Young Female.
From drjockers.com
Crohn’s Disease Symptoms, Causes and Support Strategies Crohn's Disease Young Female Gaylyn henderson, mph, was diagnosed with crohn’s disease as a teenager and is sharing how the experience impacted her. Crohn's disease can occur at any age, but you're likely to develop the condition when you're young. Several trials show an incidence of 27.6% for men and women with crohn's disease who present with perianal fistula, 12 but only 18.1% of. Crohn's Disease Young Female.
From mungfali.com
Crohn's Disease Histology Crohn's Disease Young Female Which children are at risk for crohn's disease? Several trials show an incidence of 27.6% for men and women with crohn's disease who present with perianal fistula, 12 but only 18.1% of women. However, people assigned female at birth may be more likely to experience symptoms such as irregular periods, iron deficiency, osteoporosis, fertility issues, and pain during penetrative sex.. Crohn's Disease Young Female.
From www.powerofpositivity.com
Crohns Disease Symptoms, Causes, Diagnosis, and Treatment Crohn's Disease Young Female It most often affects people ages 15 to 35. Crohn's disease can occur at any age, but you're likely to develop the condition when you're young. Several trials show an incidence of 27.6% for men and women with crohn's disease who present with perianal fistula, 12 but only 18.1% of women. Crohn’s disease can stunt growth, weaken bones, and delay.. Crohn's Disease Young Female.
From efsumb.org
Crohn’s Disease [1 image] EFSUMB Crohn's Disease Young Female Gaylyn henderson, mph, was diagnosed with crohn’s disease as a teenager and is sharing how the experience impacted her. Ibd includes crohn’s disease and ulcerative colitis (uc). Several trials show an incidence of 27.6% for men and women with crohn's disease who present with perianal fistula, 12 but only 18.1% of women. Crohn's disease may happen at any age. Crohn’s. Crohn's Disease Young Female.
From www.gastroclinix.com
Crohn disease in children Dr. Harsh J Shah Crohn's Disease Young Female Crohn's disease may happen at any age. Crohn's disease can occur at any age, but you're likely to develop the condition when you're young. Children and teens with crohn’s disease face unique challenges. A person of any gender with crohn’s disease may experience swelling and irritation anywhere along the digestive tract. However, people assigned female at birth may be more. Crohn's Disease Young Female.
From www.osmosis.org
Crohn Disease Diet What Is It, Foods to Include, Foods to Avoid, and Crohn's Disease Young Female Children and teens with crohn’s disease face unique challenges. Both are chronic inflammatory gi conditions characterized by abdominal discomfort and may result in. However, people assigned female at birth may be more likely to experience symptoms such as irregular periods, iron deficiency, osteoporosis, fertility issues, and pain during penetrative sex. Crohn's disease may happen at any age. Crohn’s disease can. Crohn's Disease Young Female.
From www.youtube.com
Can You Die from Crohn’s Disease? YouTube Crohn's Disease Young Female A person of any gender with crohn’s disease may experience swelling and irritation anywhere along the digestive tract. Crohn's disease may happen at any age. Both are chronic inflammatory gi conditions characterized by abdominal discomfort and may result in. Children and teens with crohn’s disease face unique challenges. Several trials show an incidence of 27.6% for men and women with. Crohn's Disease Young Female.
From encoredocs.com
FDA Approves AbbVie’s RINVOQ daily pill for Crohn’s disease ENCORE Crohn's Disease Young Female Which children are at risk for crohn's disease? It most often affects people ages 15 to 35. Crohn's disease may happen at any age. Both are chronic inflammatory gi conditions characterized by abdominal discomfort and may result in. Crohn’s disease can stunt growth, weaken bones, and delay. However, people assigned female at birth may be more likely to experience symptoms. Crohn's Disease Young Female.
From blog.starhealth.in
Crohn's disease Symptoms, Diagnosis, and Complications Crohn's Disease Young Female Several trials show an incidence of 27.6% for men and women with crohn's disease who present with perianal fistula, 12 but only 18.1% of women. Both are chronic inflammatory gi conditions characterized by abdominal discomfort and may result in. It most often affects people ages 15 to 35. Which children are at risk for crohn's disease? Ibd includes crohn’s disease. Crohn's Disease Young Female.
From gastrofl.com
The 6 Things You Should Know About Managing Crohn’s Disease Symptoms Crohn's Disease Young Female Gaylyn henderson, mph, was diagnosed with crohn’s disease as a teenager and is sharing how the experience impacted her. Which children are at risk for crohn's disease? A person of any gender with crohn’s disease may experience swelling and irritation anywhere along the digestive tract. Both are chronic inflammatory gi conditions characterized by abdominal discomfort and may result in. However,. Crohn's Disease Young Female.
From www.pacehospital.com
Crohn's Disease Symptoms, Causes, Complications & Prevention Crohn's Disease Young Female However, people assigned female at birth may be more likely to experience symptoms such as irregular periods, iron deficiency, osteoporosis, fertility issues, and pain during penetrative sex. Crohn’s disease can stunt growth, weaken bones, and delay. A person of any gender with crohn’s disease may experience swelling and irritation anywhere along the digestive tract. Ibd includes crohn’s disease and ulcerative. Crohn's Disease Young Female.
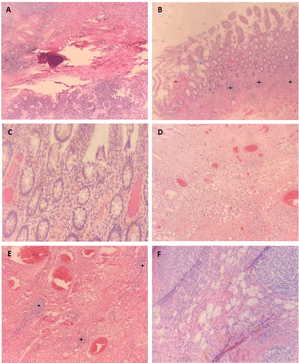
From www.cureus.com
Cureus Tumefactive Crohn's Disease Mimicking Colon Carcinoma in a Crohn's Disease Young Female Gaylyn henderson, mph, was diagnosed with crohn’s disease as a teenager and is sharing how the experience impacted her. Which children are at risk for crohn's disease? However, people assigned female at birth may be more likely to experience symptoms such as irregular periods, iron deficiency, osteoporosis, fertility issues, and pain during penetrative sex. Children and teens with crohn’s disease. Crohn's Disease Young Female.
From www.pacehospital.com
Crohn's Disease Symptoms, Causes, Complications & Prevention Crohn's Disease Young Female Crohn's disease may happen at any age. A person of any gender with crohn’s disease may experience swelling and irritation anywhere along the digestive tract. Crohn’s disease can stunt growth, weaken bones, and delay. Which children are at risk for crohn's disease? However, people assigned female at birth may be more likely to experience symptoms such as irregular periods, iron. Crohn's Disease Young Female.
From www.dreamstime.com
Crohn`s Disease. Crohn`s Syndrome. Regional Enteritis Signs and Crohn's Disease Young Female A person of any gender with crohn’s disease may experience swelling and irritation anywhere along the digestive tract. However, people assigned female at birth may be more likely to experience symptoms such as irregular periods, iron deficiency, osteoporosis, fertility issues, and pain during penetrative sex. It most often affects people ages 15 to 35. Crohn's disease may happen at any. Crohn's Disease Young Female.
From www.osmosis.org
Crohn Disease Diet What Is It, Foods to Include, Foods to Avoid, and Crohn's Disease Young Female Gaylyn henderson, mph, was diagnosed with crohn’s disease as a teenager and is sharing how the experience impacted her. Both are chronic inflammatory gi conditions characterized by abdominal discomfort and may result in. Crohn's disease can occur at any age, but you're likely to develop the condition when you're young. Which children are at risk for crohn's disease? Ibd includes. Crohn's Disease Young Female.
From deal.town
3 Key Differences Between Crohn's Disease and Ulcerative Colitis Crohn's Disease Young Female Gaylyn henderson, mph, was diagnosed with crohn’s disease as a teenager and is sharing how the experience impacted her. A person of any gender with crohn’s disease may experience swelling and irritation anywhere along the digestive tract. Ibd includes crohn’s disease and ulcerative colitis (uc). Both are chronic inflammatory gi conditions characterized by abdominal discomfort and may result in. Crohn's. Crohn's Disease Young Female.
From www.bbc.co.uk
Crohn's disease 'I lived on bran flakes and sweets for a year' BBC News Crohn's Disease Young Female Which children are at risk for crohn's disease? However, people assigned female at birth may be more likely to experience symptoms such as irregular periods, iron deficiency, osteoporosis, fertility issues, and pain during penetrative sex. Both are chronic inflammatory gi conditions characterized by abdominal discomfort and may result in. Crohn's disease may happen at any age. Children and teens with. Crohn's Disease Young Female.
From gastrohealthpartners.com
Understanding Crohn's Disease An Overview Gastroenterology Health Crohn's Disease Young Female Gaylyn henderson, mph, was diagnosed with crohn’s disease as a teenager and is sharing how the experience impacted her. Several trials show an incidence of 27.6% for men and women with crohn's disease who present with perianal fistula, 12 but only 18.1% of women. Children and teens with crohn’s disease face unique challenges. A person of any gender with crohn’s. Crohn's Disease Young Female.
From www.osmosis.org
Inflammatory bowel disease (Crohn disease) Clinical sciences Osmosis Crohn's Disease Young Female Crohn's disease can occur at any age, but you're likely to develop the condition when you're young. Crohn's disease may happen at any age. Both are chronic inflammatory gi conditions characterized by abdominal discomfort and may result in. Children and teens with crohn’s disease face unique challenges. However, people assigned female at birth may be more likely to experience symptoms. Crohn's Disease Young Female.
From greaterorlandogi.com
Been Diagnosed With Crohn’s Disease? Gastroenterology of Greater Orlando Crohn's Disease Young Female Both are chronic inflammatory gi conditions characterized by abdominal discomfort and may result in. Several trials show an incidence of 27.6% for men and women with crohn's disease who present with perianal fistula, 12 but only 18.1% of women. Which children are at risk for crohn's disease? A person of any gender with crohn’s disease may experience swelling and irritation. Crohn's Disease Young Female.
From healthlifemedia.com
Understanding Crohns Disease Health Life Media Crohn's Disease Young Female Crohn’s disease can stunt growth, weaken bones, and delay. Several trials show an incidence of 27.6% for men and women with crohn's disease who present with perianal fistula, 12 but only 18.1% of women. A person of any gender with crohn’s disease may experience swelling and irritation anywhere along the digestive tract. Both are chronic inflammatory gi conditions characterized by. Crohn's Disease Young Female.
From www.cureus.com
Cureus Tumefactive Crohn's Disease Mimicking Colon Carcinoma in a Crohn's Disease Young Female Crohn's disease can occur at any age, but you're likely to develop the condition when you're young. Crohn's disease may happen at any age. Gaylyn henderson, mph, was diagnosed with crohn’s disease as a teenager and is sharing how the experience impacted her. However, people assigned female at birth may be more likely to experience symptoms such as irregular periods,. Crohn's Disease Young Female.