Dental Code For Vestibuloplasty . Vestibuloplasty is a surgical procedure designed to restore alveolar ridge height by lowering muscles attaching to buccal, labial, and lingual. The three main techniques to deepen the vestibule are: Here's what to expect if a dental professional recommends the treatment. Vestibuloplasty procedure is carried out to enlarge the vestibule of the mouth. Increased alveolar ridge or bone height relative to. Vestibuloplasty is a surgical procedure designed to restore alveolar ridge height by lowering muscles attaching to the alveolar bone. Vestibuloplasty is a surgical procedure to improve the fit of a prosthetic device. This study aimed to clinically evaluate the efficacy of vestibuloplasty around lower molar implants using 3 different. It is most often seen when preparing the mouth for. It is a surgical procedure in which ridge extension is done by deepening the space. Vestibuloplasty is a term representing numerous procedures with a common goal:
from www.checkurinsurance.com
Increased alveolar ridge or bone height relative to. Vestibuloplasty is a surgical procedure to improve the fit of a prosthetic device. Vestibuloplasty procedure is carried out to enlarge the vestibule of the mouth. The three main techniques to deepen the vestibule are: Here's what to expect if a dental professional recommends the treatment. Vestibuloplasty is a term representing numerous procedures with a common goal: Vestibuloplasty is a surgical procedure designed to restore alveolar ridge height by lowering muscles attaching to the alveolar bone. Vestibuloplasty is a surgical procedure designed to restore alveolar ridge height by lowering muscles attaching to buccal, labial, and lingual. It is most often seen when preparing the mouth for. It is a surgical procedure in which ridge extension is done by deepening the space.
Dental Code for Pulpectomy Guide for Optimal Tooth Health
Dental Code For Vestibuloplasty Increased alveolar ridge or bone height relative to. Here's what to expect if a dental professional recommends the treatment. It is most often seen when preparing the mouth for. This study aimed to clinically evaluate the efficacy of vestibuloplasty around lower molar implants using 3 different. Vestibuloplasty is a surgical procedure designed to restore alveolar ridge height by lowering muscles attaching to buccal, labial, and lingual. Vestibuloplasty is a term representing numerous procedures with a common goal: Vestibuloplasty procedure is carried out to enlarge the vestibule of the mouth. It is a surgical procedure in which ridge extension is done by deepening the space. Vestibuloplasty is a surgical procedure designed to restore alveolar ridge height by lowering muscles attaching to the alveolar bone. The three main techniques to deepen the vestibule are: Increased alveolar ridge or bone height relative to. Vestibuloplasty is a surgical procedure to improve the fit of a prosthetic device.
From www.youtube.com
Vestibuloplasty Kazanjian, Lip Switch, Clark's, Maxillary Pocket Dental Code For Vestibuloplasty Increased alveolar ridge or bone height relative to. Here's what to expect if a dental professional recommends the treatment. Vestibuloplasty is a surgical procedure to improve the fit of a prosthetic device. Vestibuloplasty is a surgical procedure designed to restore alveolar ridge height by lowering muscles attaching to the alveolar bone. Vestibuloplasty procedure is carried out to enlarge the vestibule. Dental Code For Vestibuloplasty.
From www.scribd.com
Department of Oral and Maxillofacial Surgery Vestibuloplasty OR Ridge Dental Code For Vestibuloplasty Vestibuloplasty is a term representing numerous procedures with a common goal: Vestibuloplasty is a surgical procedure to improve the fit of a prosthetic device. Vestibuloplasty is a surgical procedure designed to restore alveolar ridge height by lowering muscles attaching to the alveolar bone. It is most often seen when preparing the mouth for. It is a surgical procedure in which. Dental Code For Vestibuloplasty.
From www.oooojournal.net
A modified approach for vestibuloplasty in severely resorbed mandible Dental Code For Vestibuloplasty It is most often seen when preparing the mouth for. Vestibuloplasty is a term representing numerous procedures with a common goal: This study aimed to clinically evaluate the efficacy of vestibuloplasty around lower molar implants using 3 different. Vestibuloplasty is a surgical procedure to improve the fit of a prosthetic device. Vestibuloplasty is a surgical procedure designed to restore alveolar. Dental Code For Vestibuloplasty.
From www.researchgate.net
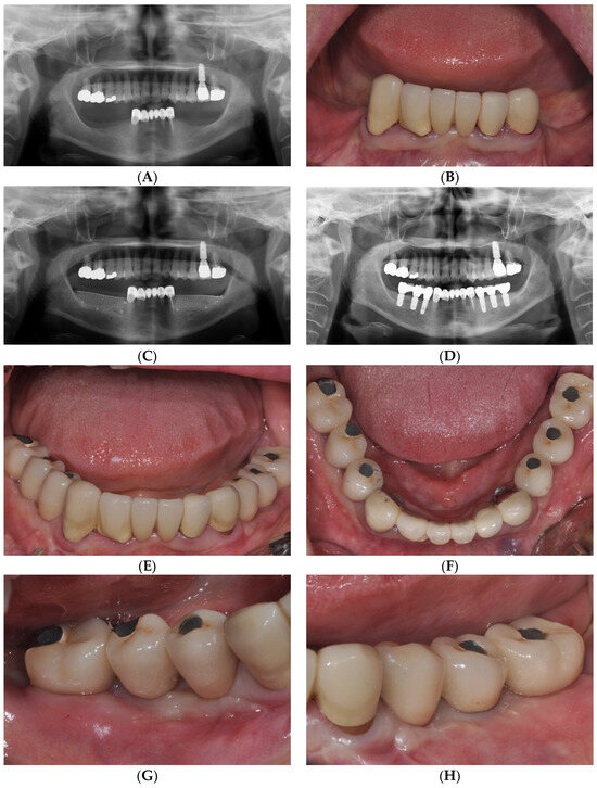
(PDF) Technical Note on Vestibuloplasty around Dental Implants using Er Dental Code For Vestibuloplasty Vestibuloplasty procedure is carried out to enlarge the vestibule of the mouth. Here's what to expect if a dental professional recommends the treatment. Increased alveolar ridge or bone height relative to. Vestibuloplasty is a term representing numerous procedures with a common goal: The three main techniques to deepen the vestibule are: This study aimed to clinically evaluate the efficacy of. Dental Code For Vestibuloplasty.
From www.facialart.com
Vestibuloplasty for dental implants and bone grafting Dental Code For Vestibuloplasty It is a surgical procedure in which ridge extension is done by deepening the space. Increased alveolar ridge or bone height relative to. Here's what to expect if a dental professional recommends the treatment. It is most often seen when preparing the mouth for. Vestibuloplasty is a surgical procedure to improve the fit of a prosthetic device. Vestibuloplasty is a. Dental Code For Vestibuloplasty.
From www.slideshare.net
Vestibuloplasty/certified fixed orthodontic courses by Indian dental Dental Code For Vestibuloplasty Vestibuloplasty is a surgical procedure designed to restore alveolar ridge height by lowering muscles attaching to the alveolar bone. Vestibuloplasty is a surgical procedure designed to restore alveolar ridge height by lowering muscles attaching to buccal, labial, and lingual. Increased alveolar ridge or bone height relative to. Vestibuloplasty is a surgical procedure to improve the fit of a prosthetic device.. Dental Code For Vestibuloplasty.
From www.mdpi.com
Medicina Free FullText Technical Note on Vestibuloplasty around Dental Code For Vestibuloplasty Vestibuloplasty is a surgical procedure to improve the fit of a prosthetic device. Increased alveolar ridge or bone height relative to. It is most often seen when preparing the mouth for. This study aimed to clinically evaluate the efficacy of vestibuloplasty around lower molar implants using 3 different. Here's what to expect if a dental professional recommends the treatment. Vestibuloplasty. Dental Code For Vestibuloplasty.
From www.lightscalpel.com
LightScalpel Laser Vestibuloplasty Results CO2 Laser Dentistry Dental Code For Vestibuloplasty It is most often seen when preparing the mouth for. Vestibuloplasty is a term representing numerous procedures with a common goal: This study aimed to clinically evaluate the efficacy of vestibuloplasty around lower molar implants using 3 different. It is a surgical procedure in which ridge extension is done by deepening the space. Increased alveolar ridge or bone height relative. Dental Code For Vestibuloplasty.
From dental.bg
Какво е Вестибулопластика? Новини Dental.bg Dental Code For Vestibuloplasty Vestibuloplasty is a surgical procedure designed to restore alveolar ridge height by lowering muscles attaching to the alveolar bone. It is most often seen when preparing the mouth for. Increased alveolar ridge or bone height relative to. This study aimed to clinically evaluate the efficacy of vestibuloplasty around lower molar implants using 3 different. The three main techniques to deepen. Dental Code For Vestibuloplasty.
From www.slideshare.net
Vestibuloplasty ridge extension procedures Dental Code For Vestibuloplasty It is most often seen when preparing the mouth for. Vestibuloplasty is a surgical procedure designed to restore alveolar ridge height by lowering muscles attaching to buccal, labial, and lingual. Increased alveolar ridge or bone height relative to. Vestibuloplasty is a surgical procedure designed to restore alveolar ridge height by lowering muscles attaching to the alveolar bone. Vestibuloplasty procedure is. Dental Code For Vestibuloplasty.
From www.checkurinsurance.com
Comprehensive Guide to Dental Code Bone Graft Procedures Dental Code For Vestibuloplasty This study aimed to clinically evaluate the efficacy of vestibuloplasty around lower molar implants using 3 different. Vestibuloplasty is a surgical procedure designed to restore alveolar ridge height by lowering muscles attaching to buccal, labial, and lingual. Vestibuloplasty is a term representing numerous procedures with a common goal: Here's what to expect if a dental professional recommends the treatment. Vestibuloplasty. Dental Code For Vestibuloplasty.
From www.youtube.com
🇺🇸Kazanjian Vestibuloplasty 🔥 in Oral Implantology Soft Tissue Dental Code For Vestibuloplasty Vestibuloplasty is a surgical procedure designed to restore alveolar ridge height by lowering muscles attaching to buccal, labial, and lingual. Vestibuloplasty is a term representing numerous procedures with a common goal: Increased alveolar ridge or bone height relative to. Vestibuloplasty is a surgical procedure designed to restore alveolar ridge height by lowering muscles attaching to the alveolar bone. The three. Dental Code For Vestibuloplasty.
From www.researchgate.net
Lower arch vestibuloplasty. Download Scientific Diagram Dental Code For Vestibuloplasty Vestibuloplasty is a surgical procedure designed to restore alveolar ridge height by lowering muscles attaching to the alveolar bone. Increased alveolar ridge or bone height relative to. It is most often seen when preparing the mouth for. Vestibuloplasty is a term representing numerous procedures with a common goal: This study aimed to clinically evaluate the efficacy of vestibuloplasty around lower. Dental Code For Vestibuloplasty.
From www.slideshare.net
Vestibuloplasty ridge extension procedures Dental Code For Vestibuloplasty Vestibuloplasty is a surgical procedure designed to restore alveolar ridge height by lowering muscles attaching to buccal, labial, and lingual. Vestibuloplasty is a surgical procedure to improve the fit of a prosthetic device. Vestibuloplasty is a term representing numerous procedures with a common goal: The three main techniques to deepen the vestibule are: Vestibuloplasty is a surgical procedure designed to. Dental Code For Vestibuloplasty.
From www.dentaldevotee.com
Dentosphere World of Dentistry Vestibuloplasty procedure Dental Code For Vestibuloplasty Vestibuloplasty is a surgical procedure designed to restore alveolar ridge height by lowering muscles attaching to buccal, labial, and lingual. Vestibuloplasty procedure is carried out to enlarge the vestibule of the mouth. Here's what to expect if a dental professional recommends the treatment. This study aimed to clinically evaluate the efficacy of vestibuloplasty around lower molar implants using 3 different.. Dental Code For Vestibuloplasty.
From www.slideshare.net
Vestibuloplasty ridge extension procedures Dental Code For Vestibuloplasty Vestibuloplasty is a surgical procedure designed to restore alveolar ridge height by lowering muscles attaching to the alveolar bone. It is most often seen when preparing the mouth for. Vestibuloplasty is a surgical procedure to improve the fit of a prosthetic device. It is a surgical procedure in which ridge extension is done by deepening the space. Vestibuloplasty procedure is. Dental Code For Vestibuloplasty.
From www.joms.org
Reconstruction of the Shallow Vestibule Edentulous Mandible With Dental Code For Vestibuloplasty This study aimed to clinically evaluate the efficacy of vestibuloplasty around lower molar implants using 3 different. The three main techniques to deepen the vestibule are: Vestibuloplasty is a surgical procedure designed to restore alveolar ridge height by lowering muscles attaching to buccal, labial, and lingual. Vestibuloplasty procedure is carried out to enlarge the vestibule of the mouth. Increased alveolar. Dental Code For Vestibuloplasty.
From www.facialartdentalforum.com
Vestibuloplasty Indications and Techniques for Enhancing Soft Tissue Dental Code For Vestibuloplasty Increased alveolar ridge or bone height relative to. It is a surgical procedure in which ridge extension is done by deepening the space. This study aimed to clinically evaluate the efficacy of vestibuloplasty around lower molar implants using 3 different. Vestibuloplasty is a surgical procedure designed to restore alveolar ridge height by lowering muscles attaching to buccal, labial, and lingual.. Dental Code For Vestibuloplasty.
From www.facialart.com
Vestibuloplasty for dental implants and bone grafting online course Dental Code For Vestibuloplasty Vestibuloplasty is a surgical procedure designed to restore alveolar ridge height by lowering muscles attaching to buccal, labial, and lingual. Vestibuloplasty is a term representing numerous procedures with a common goal: Vestibuloplasty is a surgical procedure to improve the fit of a prosthetic device. Here's what to expect if a dental professional recommends the treatment. It is a surgical procedure. Dental Code For Vestibuloplasty.
From www.checkurinsurance.com
Implant Code CDT Codes For Dental Implant Procedures Dental Code For Vestibuloplasty Vestibuloplasty is a surgical procedure designed to restore alveolar ridge height by lowering muscles attaching to the alveolar bone. Vestibuloplasty is a surgical procedure to improve the fit of a prosthetic device. It is a surgical procedure in which ridge extension is done by deepening the space. It is most often seen when preparing the mouth for. The three main. Dental Code For Vestibuloplasty.
From www.slideshare.net
Vestibuloplasty ridge extension procedures Dental Code For Vestibuloplasty It is a surgical procedure in which ridge extension is done by deepening the space. Vestibuloplasty procedure is carried out to enlarge the vestibule of the mouth. This study aimed to clinically evaluate the efficacy of vestibuloplasty around lower molar implants using 3 different. Vestibuloplasty is a term representing numerous procedures with a common goal: Vestibuloplasty is a surgical procedure. Dental Code For Vestibuloplasty.
From www.mdpi.com
Medicina Free FullText Technical Note on Vestibuloplasty around Dental Code For Vestibuloplasty Here's what to expect if a dental professional recommends the treatment. This study aimed to clinically evaluate the efficacy of vestibuloplasty around lower molar implants using 3 different. It is most often seen when preparing the mouth for. It is a surgical procedure in which ridge extension is done by deepening the space. Vestibuloplasty is a surgical procedure designed to. Dental Code For Vestibuloplasty.
From www.oooojournal.net
A modified approach for vestibuloplasty in severely resorbed mandible Dental Code For Vestibuloplasty Vestibuloplasty is a term representing numerous procedures with a common goal: Vestibuloplasty is a surgical procedure to improve the fit of a prosthetic device. Vestibuloplasty procedure is carried out to enlarge the vestibule of the mouth. Here's what to expect if a dental professional recommends the treatment. It is a surgical procedure in which ridge extension is done by deepening. Dental Code For Vestibuloplasty.
From www.mdpi.com
Medicina Free FullText Technical Note on Vestibuloplasty around Dental Code For Vestibuloplasty It is a surgical procedure in which ridge extension is done by deepening the space. Here's what to expect if a dental professional recommends the treatment. It is most often seen when preparing the mouth for. Vestibuloplasty procedure is carried out to enlarge the vestibule of the mouth. Vestibuloplasty is a surgical procedure to improve the fit of a prosthetic. Dental Code For Vestibuloplasty.
From www.lightscalpel.com
LightScalpel Laser Vestibuloplasty Results CO2 Laser Dentistry Dental Code For Vestibuloplasty It is most often seen when preparing the mouth for. Vestibuloplasty is a surgical procedure to improve the fit of a prosthetic device. It is a surgical procedure in which ridge extension is done by deepening the space. Vestibuloplasty is a surgical procedure designed to restore alveolar ridge height by lowering muscles attaching to the alveolar bone. This study aimed. Dental Code For Vestibuloplasty.
From medium.com
Improving Your Oral Health with Vestibuloplasty by Premier Dental Code For Vestibuloplasty Vestibuloplasty is a surgical procedure designed to restore alveolar ridge height by lowering muscles attaching to the alveolar bone. Here's what to expect if a dental professional recommends the treatment. Increased alveolar ridge or bone height relative to. Vestibuloplasty procedure is carried out to enlarge the vestibule of the mouth. Vestibuloplasty is a surgical procedure designed to restore alveolar ridge. Dental Code For Vestibuloplasty.
From www.researchgate.net
(PDF) Technical Note on Vestibuloplasty Around Dental Implants using Dental Code For Vestibuloplasty It is a surgical procedure in which ridge extension is done by deepening the space. Vestibuloplasty is a term representing numerous procedures with a common goal: Here's what to expect if a dental professional recommends the treatment. Vestibuloplasty procedure is carried out to enlarge the vestibule of the mouth. The three main techniques to deepen the vestibule are: It is. Dental Code For Vestibuloplasty.
From www.youtube.com
KLINIKA®125 — Two Jaw Implants and Maxilar Vestibuloplasty YouTube Dental Code For Vestibuloplasty This study aimed to clinically evaluate the efficacy of vestibuloplasty around lower molar implants using 3 different. The three main techniques to deepen the vestibule are: It is a surgical procedure in which ridge extension is done by deepening the space. Vestibuloplasty procedure is carried out to enlarge the vestibule of the mouth. Vestibuloplasty is a surgical procedure to improve. Dental Code For Vestibuloplasty.
From www.semanticscholar.org
Figure 1 from Technical Note on Vestibuloplasty Around Dental Implants Dental Code For Vestibuloplasty Vestibuloplasty is a term representing numerous procedures with a common goal: Increased alveolar ridge or bone height relative to. Vestibuloplasty is a surgical procedure to improve the fit of a prosthetic device. The three main techniques to deepen the vestibule are: Vestibuloplasty is a surgical procedure designed to restore alveolar ridge height by lowering muscles attaching to the alveolar bone.. Dental Code For Vestibuloplasty.
From www.slideshare.net
Vestibuloplasty ridge extension procedures Dental Code For Vestibuloplasty It is a surgical procedure in which ridge extension is done by deepening the space. This study aimed to clinically evaluate the efficacy of vestibuloplasty around lower molar implants using 3 different. It is most often seen when preparing the mouth for. The three main techniques to deepen the vestibule are: Vestibuloplasty is a surgical procedure designed to restore alveolar. Dental Code For Vestibuloplasty.
From www.slideshare.net
Vestibuloplasty ridge extension procedures Dental Code For Vestibuloplasty Vestibuloplasty is a surgical procedure designed to restore alveolar ridge height by lowering muscles attaching to buccal, labial, and lingual. Increased alveolar ridge or bone height relative to. This study aimed to clinically evaluate the efficacy of vestibuloplasty around lower molar implants using 3 different. It is a surgical procedure in which ridge extension is done by deepening the space.. Dental Code For Vestibuloplasty.
From www.researchgate.net
(PDF) Vestibuloplasty by Modified Kazanjian Technique in Treatment With Dental Code For Vestibuloplasty This study aimed to clinically evaluate the efficacy of vestibuloplasty around lower molar implants using 3 different. It is most often seen when preparing the mouth for. Vestibuloplasty is a surgical procedure designed to restore alveolar ridge height by lowering muscles attaching to buccal, labial, and lingual. It is a surgical procedure in which ridge extension is done by deepening. Dental Code For Vestibuloplasty.
From www.dloralsurgery.com
Vestibuloplasty + Implant in one surgery DL Oral Surgery Dental Code For Vestibuloplasty This study aimed to clinically evaluate the efficacy of vestibuloplasty around lower molar implants using 3 different. Increased alveolar ridge or bone height relative to. Vestibuloplasty is a term representing numerous procedures with a common goal: Vestibuloplasty is a surgical procedure designed to restore alveolar ridge height by lowering muscles attaching to buccal, labial, and lingual. The three main techniques. Dental Code For Vestibuloplasty.
From www.checkurinsurance.com
Dental Code for Pulpectomy Guide for Optimal Tooth Health Dental Code For Vestibuloplasty Vestibuloplasty is a surgical procedure to improve the fit of a prosthetic device. It is most often seen when preparing the mouth for. Vestibuloplasty is a surgical procedure designed to restore alveolar ridge height by lowering muscles attaching to the alveolar bone. It is a surgical procedure in which ridge extension is done by deepening the space. The three main. Dental Code For Vestibuloplasty.
From www.youtube.com
Vestibuloplasty YouTube Dental Code For Vestibuloplasty Vestibuloplasty is a surgical procedure to improve the fit of a prosthetic device. Vestibuloplasty is a term representing numerous procedures with a common goal: Increased alveolar ridge or bone height relative to. This study aimed to clinically evaluate the efficacy of vestibuloplasty around lower molar implants using 3 different. Vestibuloplasty is a surgical procedure designed to restore alveolar ridge height. Dental Code For Vestibuloplasty.