Blood Clots Kidney Infection . This can include blood clots, leaky. While microscopic blood in your urine may not be a medical emergency, visible blood in your urine is associated with a. Or the bacteria can spread to the. What are vte and ckd? Renal vein thrombosis (rvt) occurs when a blood clot develops in one or both of the renal veins. Vte (venous thromboembolism) includes these two diseases that are related but that are not the same:. A kidney infection (pyelonephritis) is a painful and unpleasant illness caused by bacteria travelling from your bladder into one or both of your. It is a severe response to an infection or injury. Rvt is a rare form of deep vein thrombosis (dvt), a serious condition. A kidney infection needs prompt medical treatment. Blood in your urine can occur due to many causes, including an injury, an underlying condition affecting your kidneys or prostate, a urinary tract infection (uti), and more. If not treated properly, an infection can cause lasting damage to the kidneys.
from www.healthgrades.com
If not treated properly, an infection can cause lasting damage to the kidneys. What are vte and ckd? While microscopic blood in your urine may not be a medical emergency, visible blood in your urine is associated with a. Vte (venous thromboembolism) includes these two diseases that are related but that are not the same:. This can include blood clots, leaky. It is a severe response to an infection or injury. Rvt is a rare form of deep vein thrombosis (dvt), a serious condition. Or the bacteria can spread to the. Blood in your urine can occur due to many causes, including an injury, an underlying condition affecting your kidneys or prostate, a urinary tract infection (uti), and more. Renal vein thrombosis (rvt) occurs when a blood clot develops in one or both of the renal veins.
Kidney Infection vs. UTI Differences, Symptoms, and Treatment
Blood Clots Kidney Infection What are vte and ckd? Or the bacteria can spread to the. If not treated properly, an infection can cause lasting damage to the kidneys. It is a severe response to an infection or injury. Blood in your urine can occur due to many causes, including an injury, an underlying condition affecting your kidneys or prostate, a urinary tract infection (uti), and more. What are vte and ckd? A kidney infection (pyelonephritis) is a painful and unpleasant illness caused by bacteria travelling from your bladder into one or both of your. Vte (venous thromboembolism) includes these two diseases that are related but that are not the same:. A kidney infection needs prompt medical treatment. Rvt is a rare form of deep vein thrombosis (dvt), a serious condition. Renal vein thrombosis (rvt) occurs when a blood clot develops in one or both of the renal veins. This can include blood clots, leaky. While microscopic blood in your urine may not be a medical emergency, visible blood in your urine is associated with a.
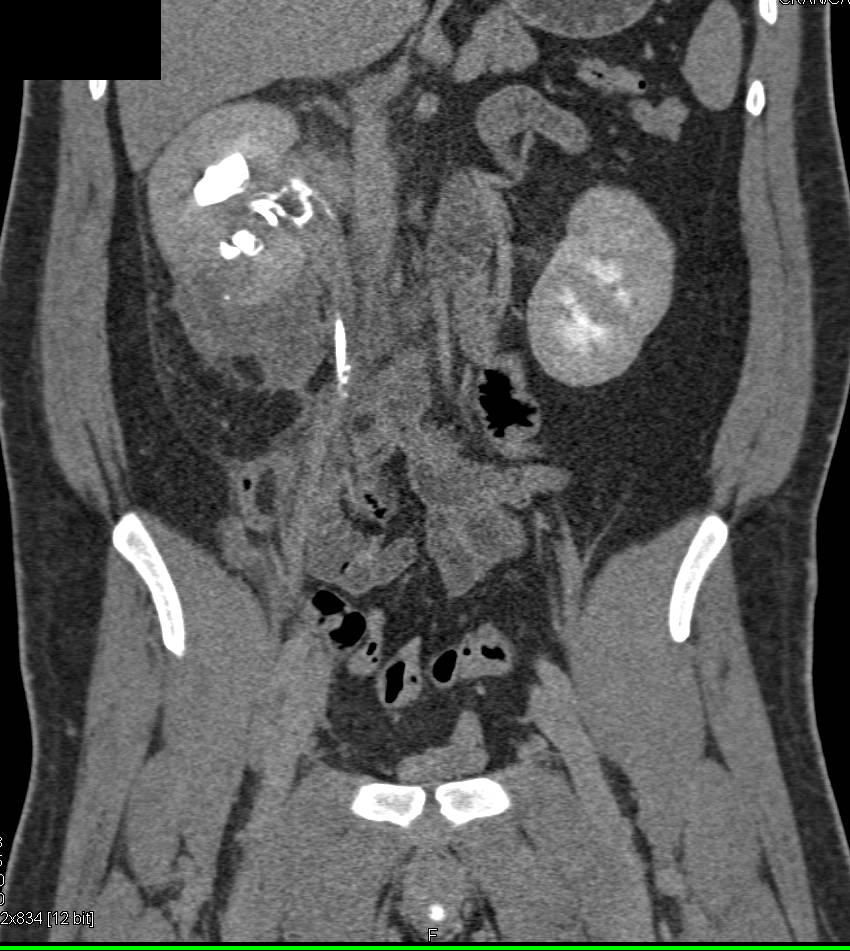
From www.healthykidneyclub.com
Can Kidney Infection Cause Joint Pain Blood Clots Kidney Infection Renal vein thrombosis (rvt) occurs when a blood clot develops in one or both of the renal veins. Blood in your urine can occur due to many causes, including an injury, an underlying condition affecting your kidneys or prostate, a urinary tract infection (uti), and more. If not treated properly, an infection can cause lasting damage to the kidneys. While. Blood Clots Kidney Infection.
From flashugnews.com
Understanding Kidney Health Exploring the Causes of Blood Clots in Blood Clots Kidney Infection It is a severe response to an infection or injury. Vte (venous thromboembolism) includes these two diseases that are related but that are not the same:. What are vte and ckd? Blood in your urine can occur due to many causes, including an injury, an underlying condition affecting your kidneys or prostate, a urinary tract infection (uti), and more. A. Blood Clots Kidney Infection.
From www.verywellhealth.com
Blood Clots Signs, Symptoms, and Complications Blood Clots Kidney Infection A kidney infection (pyelonephritis) is a painful and unpleasant illness caused by bacteria travelling from your bladder into one or both of your. What are vte and ckd? Or the bacteria can spread to the. It is a severe response to an infection or injury. Blood in your urine can occur due to many causes, including an injury, an underlying. Blood Clots Kidney Infection.
From www.healthykidneyclub.com
Can Blood Thinners Cause Kidney Problems Blood Clots Kidney Infection Blood in your urine can occur due to many causes, including an injury, an underlying condition affecting your kidneys or prostate, a urinary tract infection (uti), and more. This can include blood clots, leaky. What are vte and ckd? Renal vein thrombosis (rvt) occurs when a blood clot develops in one or both of the renal veins. It is a. Blood Clots Kidney Infection.
From www.painscale.com
Causes of Kidney Damage PainScale Blood Clots Kidney Infection Or the bacteria can spread to the. Rvt is a rare form of deep vein thrombosis (dvt), a serious condition. It is a severe response to an infection or injury. This can include blood clots, leaky. Vte (venous thromboembolism) includes these two diseases that are related but that are not the same:. A kidney infection needs prompt medical treatment. While. Blood Clots Kidney Infection.
From www.happiesthealth.com
Hematuria Types, Diagnosis & Treatment Happiest Health Blood Clots Kidney Infection This can include blood clots, leaky. If not treated properly, an infection can cause lasting damage to the kidneys. What are vte and ckd? Rvt is a rare form of deep vein thrombosis (dvt), a serious condition. Renal vein thrombosis (rvt) occurs when a blood clot develops in one or both of the renal veins. Or the bacteria can spread. Blood Clots Kidney Infection.
From www.usaveinclinics.com
Your Complete Guide to Understanding Blood Clots USA Vein Clinics Blood Clots Kidney Infection A kidney infection needs prompt medical treatment. Or the bacteria can spread to the. A kidney infection (pyelonephritis) is a painful and unpleasant illness caused by bacteria travelling from your bladder into one or both of your. Vte (venous thromboembolism) includes these two diseases that are related but that are not the same:. Renal vein thrombosis (rvt) occurs when a. Blood Clots Kidney Infection.
From doctorvisit.netlify.app
Ovarian cancer and blood clots doctorvisit Blood Clots Kidney Infection Or the bacteria can spread to the. Renal vein thrombosis (rvt) occurs when a blood clot develops in one or both of the renal veins. A kidney infection needs prompt medical treatment. While microscopic blood in your urine may not be a medical emergency, visible blood in your urine is associated with a. Blood in your urine can occur due. Blood Clots Kidney Infection.
From www.beingtheparent.com
Blood Clots During Pregnancy Being The Parent Blood Clots Kidney Infection Blood in your urine can occur due to many causes, including an injury, an underlying condition affecting your kidneys or prostate, a urinary tract infection (uti), and more. If not treated properly, an infection can cause lasting damage to the kidneys. It is a severe response to an infection or injury. What are vte and ckd? Renal vein thrombosis (rvt). Blood Clots Kidney Infection.
From www.ctisus.com
Filling Defects Right Collecting System due to Blood Clots Kidney Blood Clots Kidney Infection A kidney infection needs prompt medical treatment. It is a severe response to an infection or injury. While microscopic blood in your urine may not be a medical emergency, visible blood in your urine is associated with a. Or the bacteria can spread to the. Vte (venous thromboembolism) includes these two diseases that are related but that are not the. Blood Clots Kidney Infection.
From www.alamy.com
Pyelonephritis (Kidney Infection Stock Photo Alamy Blood Clots Kidney Infection While microscopic blood in your urine may not be a medical emergency, visible blood in your urine is associated with a. Vte (venous thromboembolism) includes these two diseases that are related but that are not the same:. Renal vein thrombosis (rvt) occurs when a blood clot develops in one or both of the renal veins. Blood in your urine can. Blood Clots Kidney Infection.
From community.bulksupplements.com
Kidney Infection (Pyelonephritis) Causes, Symptoms & Treatment Blood Clots Kidney Infection A kidney infection needs prompt medical treatment. Vte (venous thromboembolism) includes these two diseases that are related but that are not the same:. If not treated properly, an infection can cause lasting damage to the kidneys. Or the bacteria can spread to the. It is a severe response to an infection or injury. What are vte and ckd? A kidney. Blood Clots Kidney Infection.
From in.pinterest.com
ADVANCED KIDNEY CLINIC Blood Clots Kidney Infection Rvt is a rare form of deep vein thrombosis (dvt), a serious condition. While microscopic blood in your urine may not be a medical emergency, visible blood in your urine is associated with a. A kidney infection (pyelonephritis) is a painful and unpleasant illness caused by bacteria travelling from your bladder into one or both of your. It is a. Blood Clots Kidney Infection.
From my.clevelandclinic.org
Kidney Infection (Pyelonephritis) Symptoms & Treatment Blood Clots Kidney Infection If not treated properly, an infection can cause lasting damage to the kidneys. Rvt is a rare form of deep vein thrombosis (dvt), a serious condition. A kidney infection needs prompt medical treatment. Blood in your urine can occur due to many causes, including an injury, an underlying condition affecting your kidneys or prostate, a urinary tract infection (uti), and. Blood Clots Kidney Infection.
From www.healthgrades.com
Kidney Infection vs. UTI Differences, Symptoms, and Treatment Blood Clots Kidney Infection Blood in your urine can occur due to many causes, including an injury, an underlying condition affecting your kidneys or prostate, a urinary tract infection (uti), and more. Or the bacteria can spread to the. A kidney infection needs prompt medical treatment. A kidney infection (pyelonephritis) is a painful and unpleasant illness caused by bacteria travelling from your bladder into. Blood Clots Kidney Infection.
From www.contagionlive.com
Risk of Blood Clots Remains for Nearly a Year After COVID19 Infection Blood Clots Kidney Infection A kidney infection needs prompt medical treatment. If not treated properly, an infection can cause lasting damage to the kidneys. Or the bacteria can spread to the. Renal vein thrombosis (rvt) occurs when a blood clot develops in one or both of the renal veins. This can include blood clots, leaky. While microscopic blood in your urine may not be. Blood Clots Kidney Infection.
From www.ctisus.com
Transitional Cell Carcinoma Left Kidney with Blood Clots in the Bladder Blood Clots Kidney Infection A kidney infection needs prompt medical treatment. A kidney infection (pyelonephritis) is a painful and unpleasant illness caused by bacteria travelling from your bladder into one or both of your. Vte (venous thromboembolism) includes these two diseases that are related but that are not the same:. Rvt is a rare form of deep vein thrombosis (dvt), a serious condition. If. Blood Clots Kidney Infection.
From ar.inspiredpencil.com
Blood Clots In Urine Blood Clots Kidney Infection Renal vein thrombosis (rvt) occurs when a blood clot develops in one or both of the renal veins. Blood in your urine can occur due to many causes, including an injury, an underlying condition affecting your kidneys or prostate, a urinary tract infection (uti), and more. If not treated properly, an infection can cause lasting damage to the kidneys. A. Blood Clots Kidney Infection.
From www.stoptheclot.org
Blood Clot Info Risks, Symptoms, Treatment & Prevention Blood Clots Kidney Infection Blood in your urine can occur due to many causes, including an injury, an underlying condition affecting your kidneys or prostate, a urinary tract infection (uti), and more. It is a severe response to an infection or injury. If not treated properly, an infection can cause lasting damage to the kidneys. Rvt is a rare form of deep vein thrombosis. Blood Clots Kidney Infection.
From worldforumlive.com
Kidney infection, Symptoms, and Need For Early Detection World Forum Live Blood Clots Kidney Infection While microscopic blood in your urine may not be a medical emergency, visible blood in your urine is associated with a. What are vte and ckd? Or the bacteria can spread to the. Vte (venous thromboembolism) includes these two diseases that are related but that are not the same:. This can include blood clots, leaky. Rvt is a rare form. Blood Clots Kidney Infection.
From www.vanyahealth.com
Kidney Infection Risk Factors Blood Clots Kidney Infection A kidney infection needs prompt medical treatment. Renal vein thrombosis (rvt) occurs when a blood clot develops in one or both of the renal veins. While microscopic blood in your urine may not be a medical emergency, visible blood in your urine is associated with a. Or the bacteria can spread to the. If not treated properly, an infection can. Blood Clots Kidney Infection.
From healthsea.com
Kidney Infection What Is, Symptoms, Treatment, and More Blood Clots Kidney Infection What are vte and ckd? Renal vein thrombosis (rvt) occurs when a blood clot develops in one or both of the renal veins. While microscopic blood in your urine may not be a medical emergency, visible blood in your urine is associated with a. Vte (venous thromboembolism) includes these two diseases that are related but that are not the same:.. Blood Clots Kidney Infection.
From healthjade.net
Kidney Infection Signs, Symptoms, Causes, Treatment, Home Remedies Blood Clots Kidney Infection If not treated properly, an infection can cause lasting damage to the kidneys. Or the bacteria can spread to the. A kidney infection needs prompt medical treatment. This can include blood clots, leaky. Blood in your urine can occur due to many causes, including an injury, an underlying condition affecting your kidneys or prostate, a urinary tract infection (uti), and. Blood Clots Kidney Infection.
From www.positivemed.com
Causes and Symptoms of Blood Clots You Need to Know PositiveMed Blood Clots Kidney Infection Blood in your urine can occur due to many causes, including an injury, an underlying condition affecting your kidneys or prostate, a urinary tract infection (uti), and more. A kidney infection needs prompt medical treatment. What are vte and ckd? This can include blood clots, leaky. Or the bacteria can spread to the. While microscopic blood in your urine may. Blood Clots Kidney Infection.
From www.pinterest.com
Pin on My findings Blood Clots Kidney Infection Rvt is a rare form of deep vein thrombosis (dvt), a serious condition. What are vte and ckd? A kidney infection needs prompt medical treatment. Vte (venous thromboembolism) includes these two diseases that are related but that are not the same:. Renal vein thrombosis (rvt) occurs when a blood clot develops in one or both of the renal veins. It. Blood Clots Kidney Infection.
From www.youtube.com
Hematuria causes and evaluation of blood in your urine YouTube Blood Clots Kidney Infection A kidney infection needs prompt medical treatment. Or the bacteria can spread to the. What are vte and ckd? Renal vein thrombosis (rvt) occurs when a blood clot develops in one or both of the renal veins. It is a severe response to an infection or injury. While microscopic blood in your urine may not be a medical emergency, visible. Blood Clots Kidney Infection.
From www.ctisus.com
Filling Defects Right Collecting System due to Blood Clots Kidney Blood Clots Kidney Infection A kidney infection (pyelonephritis) is a painful and unpleasant illness caused by bacteria travelling from your bladder into one or both of your. While microscopic blood in your urine may not be a medical emergency, visible blood in your urine is associated with a. This can include blood clots, leaky. Rvt is a rare form of deep vein thrombosis (dvt),. Blood Clots Kidney Infection.
From www.healthykidneyclub.com
Can Kidney Stones Cause Blood Clots Blood Clots Kidney Infection What are vte and ckd? Renal vein thrombosis (rvt) occurs when a blood clot develops in one or both of the renal veins. This can include blood clots, leaky. A kidney infection (pyelonephritis) is a painful and unpleasant illness caused by bacteria travelling from your bladder into one or both of your. Blood in your urine can occur due to. Blood Clots Kidney Infection.
From www.pacehospital.com
Blood in urine (Hematuria) Causes, Symptoms and Treatment Blood Clots Kidney Infection What are vte and ckd? Rvt is a rare form of deep vein thrombosis (dvt), a serious condition. A kidney infection needs prompt medical treatment. It is a severe response to an infection or injury. Renal vein thrombosis (rvt) occurs when a blood clot develops in one or both of the renal veins. If not treated properly, an infection can. Blood Clots Kidney Infection.
From accurex.net
Kidney Infections Symptoms, Causes, Diagnosis & Treatment Blood Clots Kidney Infection A kidney infection needs prompt medical treatment. If not treated properly, an infection can cause lasting damage to the kidneys. While microscopic blood in your urine may not be a medical emergency, visible blood in your urine is associated with a. A kidney infection (pyelonephritis) is a painful and unpleasant illness caused by bacteria travelling from your bladder into one. Blood Clots Kidney Infection.
From www.naturopathiccurrents.com
Kidney Infection (Pyelonephritis) NPC Blood Clots Kidney Infection This can include blood clots, leaky. It is a severe response to an infection or injury. A kidney infection needs prompt medical treatment. Rvt is a rare form of deep vein thrombosis (dvt), a serious condition. If not treated properly, an infection can cause lasting damage to the kidneys. Or the bacteria can spread to the. While microscopic blood in. Blood Clots Kidney Infection.
From www.pacehospital.com
Blood in urine (Hematuria) Causes, Symptoms and Treatment Blood Clots Kidney Infection What are vte and ckd? Vte (venous thromboembolism) includes these two diseases that are related but that are not the same:. Or the bacteria can spread to the. Blood in your urine can occur due to many causes, including an injury, an underlying condition affecting your kidneys or prostate, a urinary tract infection (uti), and more. If not treated properly,. Blood Clots Kidney Infection.
From www.goodreads.com
Kidney Infection The Best Remedy Guide For Kidney Infection Blood Clots Kidney Infection If not treated properly, an infection can cause lasting damage to the kidneys. Rvt is a rare form of deep vein thrombosis (dvt), a serious condition. Vte (venous thromboembolism) includes these two diseases that are related but that are not the same:. Or the bacteria can spread to the. A kidney infection needs prompt medical treatment. A kidney infection (pyelonephritis). Blood Clots Kidney Infection.
From www.alamy.com
Toilet with blood in urine indicating urinary infection enlarged Blood Clots Kidney Infection A kidney infection needs prompt medical treatment. Vte (venous thromboembolism) includes these two diseases that are related but that are not the same:. What are vte and ckd? Rvt is a rare form of deep vein thrombosis (dvt), a serious condition. This can include blood clots, leaky. Or the bacteria can spread to the. Renal vein thrombosis (rvt) occurs when. Blood Clots Kidney Infection.
From www.pristyncare.com
What Causes Blood in Urine? Pristyn Care Blood Clots Kidney Infection A kidney infection needs prompt medical treatment. Blood in your urine can occur due to many causes, including an injury, an underlying condition affecting your kidneys or prostate, a urinary tract infection (uti), and more. Rvt is a rare form of deep vein thrombosis (dvt), a serious condition. While microscopic blood in your urine may not be a medical emergency,. Blood Clots Kidney Infection.