Compartment Syndrome Shock . Acute compartment syndrome (acs) is caused by tissue ischemia due to increased pressure within a fascial compartment. The pressure restricts (reduces) the flow of blood,. Compartment syndrome occurs when increased pressure within a compartment compromises the circulation and function of the. Compartment syndrome is the result of fascial compartment pressures surpassing perfusion pressure, causing tissue ischemia. Acute compartment syndrome is a medical emergency. Compartment syndrome happens when there’s too much pressure around your muscles. Labeled initially as a crush injury with impairment of renal function, the authors describe a swollen limb developing into shock,. Acute compartment syndrome is a condition in which there is increased pressure within a closed osteofascial. It is usually caused by a severe injury and is extremely painful. Acute compartment syndrome, or acs, is a condition that happens when pressure builds up in a group of muscles.
from www.scribd.com
Compartment syndrome happens when there’s too much pressure around your muscles. Compartment syndrome is the result of fascial compartment pressures surpassing perfusion pressure, causing tissue ischemia. Acute compartment syndrome is a condition in which there is increased pressure within a closed osteofascial. The pressure restricts (reduces) the flow of blood,. It is usually caused by a severe injury and is extremely painful. Acute compartment syndrome (acs) is caused by tissue ischemia due to increased pressure within a fascial compartment. Acute compartment syndrome, or acs, is a condition that happens when pressure builds up in a group of muscles. Acute compartment syndrome is a medical emergency. Compartment syndrome occurs when increased pressure within a compartment compromises the circulation and function of the. Labeled initially as a crush injury with impairment of renal function, the authors describe a swollen limb developing into shock,.
Abdominal Compartment Syndrome Shock (Circulatory) Intravenous Therapy
Compartment Syndrome Shock Acute compartment syndrome is a condition in which there is increased pressure within a closed osteofascial. Acute compartment syndrome, or acs, is a condition that happens when pressure builds up in a group of muscles. Acute compartment syndrome is a medical emergency. Compartment syndrome occurs when increased pressure within a compartment compromises the circulation and function of the. It is usually caused by a severe injury and is extremely painful. Compartment syndrome happens when there’s too much pressure around your muscles. Labeled initially as a crush injury with impairment of renal function, the authors describe a swollen limb developing into shock,. Acute compartment syndrome is a condition in which there is increased pressure within a closed osteofascial. Acute compartment syndrome (acs) is caused by tissue ischemia due to increased pressure within a fascial compartment. Compartment syndrome is the result of fascial compartment pressures surpassing perfusion pressure, causing tissue ischemia. The pressure restricts (reduces) the flow of blood,.
From www.vrogue.co
Abdominal Compartment Syndrome Due To Subcutaneous Em vrogue.co Compartment Syndrome Shock Acute compartment syndrome is a condition in which there is increased pressure within a closed osteofascial. Compartment syndrome is the result of fascial compartment pressures surpassing perfusion pressure, causing tissue ischemia. Compartment syndrome occurs when increased pressure within a compartment compromises the circulation and function of the. Labeled initially as a crush injury with impairment of renal function, the authors. Compartment Syndrome Shock.
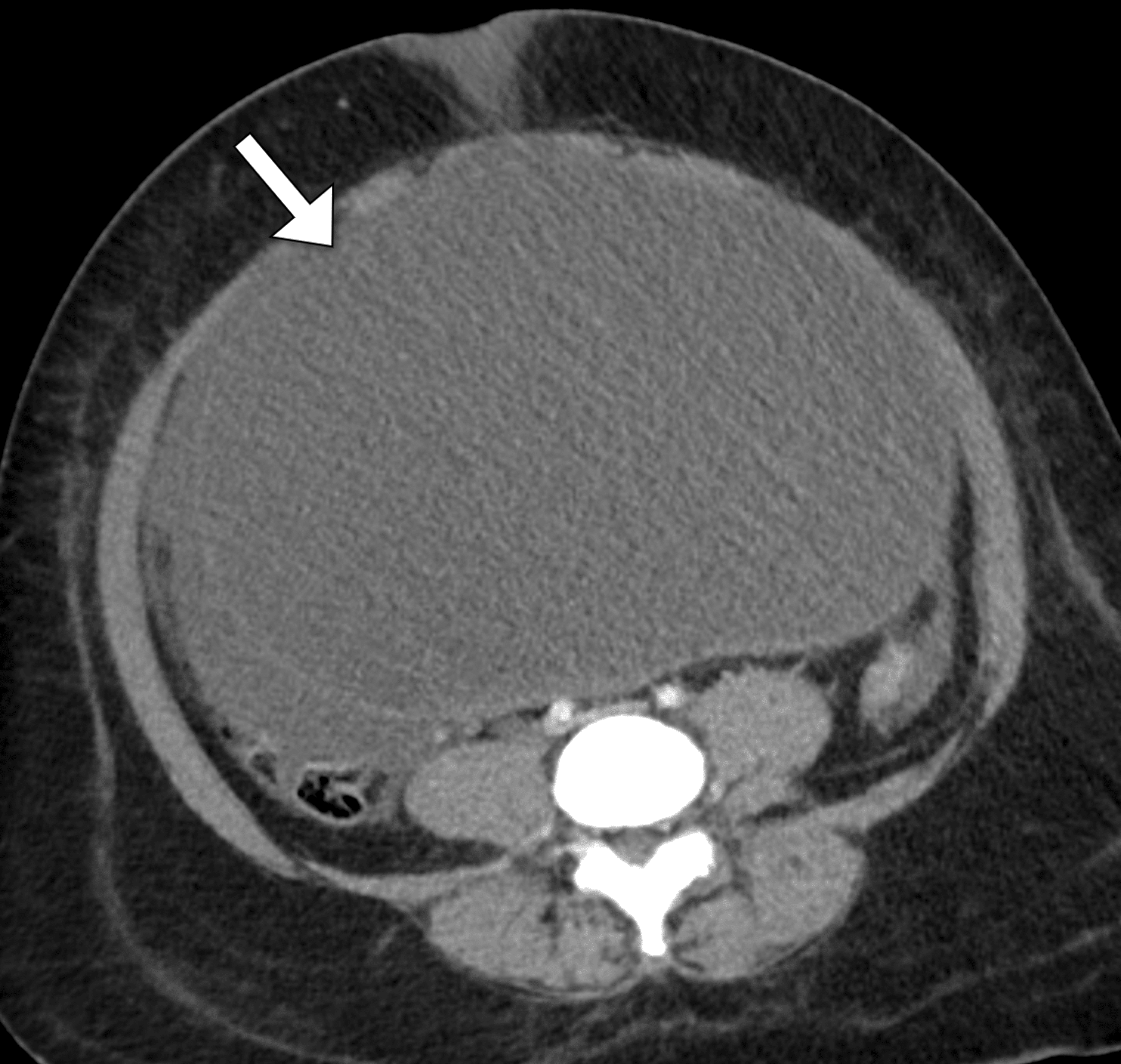
From www.mdpi.com
Diagnostics Free FullText Abdominal Compartment Syndrome in Acute Compartment Syndrome Shock Compartment syndrome happens when there’s too much pressure around your muscles. Acute compartment syndrome (acs) is caused by tissue ischemia due to increased pressure within a fascial compartment. Acute compartment syndrome, or acs, is a condition that happens when pressure builds up in a group of muscles. Compartment syndrome occurs when increased pressure within a compartment compromises the circulation and. Compartment Syndrome Shock.
From www.scribd.com
Abdominal Compartment Syndrome Shock (Circulatory) Intravenous Therapy Compartment Syndrome Shock Acute compartment syndrome, or acs, is a condition that happens when pressure builds up in a group of muscles. Acute compartment syndrome is a medical emergency. Compartment syndrome happens when there’s too much pressure around your muscles. Acute compartment syndrome is a condition in which there is increased pressure within a closed osteofascial. Compartment syndrome occurs when increased pressure within. Compartment Syndrome Shock.
From boneandspine.com
Compartment Syndrome Presentation and Treatment Bone and Spine Compartment Syndrome Shock It is usually caused by a severe injury and is extremely painful. Compartment syndrome occurs when increased pressure within a compartment compromises the circulation and function of the. Acute compartment syndrome (acs) is caused by tissue ischemia due to increased pressure within a fascial compartment. Labeled initially as a crush injury with impairment of renal function, the authors describe a. Compartment Syndrome Shock.
From motusspt.com
Compartment Syndrome Motus Physical Therapy Compartment Syndrome Shock Compartment syndrome happens when there’s too much pressure around your muscles. It is usually caused by a severe injury and is extremely painful. Compartment syndrome occurs when increased pressure within a compartment compromises the circulation and function of the. Labeled initially as a crush injury with impairment of renal function, the authors describe a swollen limb developing into shock,. Compartment. Compartment Syndrome Shock.
From usmlestrike.com
Compartment Syndrome Advanced Concepts 6 Truths Compartment Syndrome Shock Labeled initially as a crush injury with impairment of renal function, the authors describe a swollen limb developing into shock,. Acute compartment syndrome, or acs, is a condition that happens when pressure builds up in a group of muscles. The pressure restricts (reduces) the flow of blood,. Acute compartment syndrome is a medical emergency. Compartment syndrome occurs when increased pressure. Compartment Syndrome Shock.
From captionstempoca.blogspot.com
Nursing Diagnosis For Compartment Syndrome Captions Tempo Compartment Syndrome Shock Acute compartment syndrome is a medical emergency. Acute compartment syndrome is a condition in which there is increased pressure within a closed osteofascial. Compartment syndrome is the result of fascial compartment pressures surpassing perfusion pressure, causing tissue ischemia. It is usually caused by a severe injury and is extremely painful. Labeled initially as a crush injury with impairment of renal. Compartment Syndrome Shock.
From www.youtube.com
Compartment Syndrome Of The Forearm Everything You Need To Know Dr Compartment Syndrome Shock Compartment syndrome happens when there’s too much pressure around your muscles. Acute compartment syndrome is a medical emergency. It is usually caused by a severe injury and is extremely painful. The pressure restricts (reduces) the flow of blood,. Acute compartment syndrome (acs) is caused by tissue ischemia due to increased pressure within a fascial compartment. Compartment syndrome is the result. Compartment Syndrome Shock.
From mungfali.com
Compartment Syndrome Diagram Compartment Syndrome Shock The pressure restricts (reduces) the flow of blood,. Acute compartment syndrome (acs) is caused by tissue ischemia due to increased pressure within a fascial compartment. Compartment syndrome occurs when increased pressure within a compartment compromises the circulation and function of the. Compartment syndrome is the result of fascial compartment pressures surpassing perfusion pressure, causing tissue ischemia. Acute compartment syndrome is. Compartment Syndrome Shock.
From www.trialexhibitsinc.com
Compartment Syndrome of the Forearm Trial Exhibits Inc. Compartment Syndrome Shock Acute compartment syndrome is a condition in which there is increased pressure within a closed osteofascial. It is usually caused by a severe injury and is extremely painful. Acute compartment syndrome, or acs, is a condition that happens when pressure builds up in a group of muscles. Compartment syndrome happens when there’s too much pressure around your muscles. Compartment syndrome. Compartment Syndrome Shock.
From www.slideshare.net
compartment syndrome Compartment Syndrome Shock Acute compartment syndrome (acs) is caused by tissue ischemia due to increased pressure within a fascial compartment. Compartment syndrome is the result of fascial compartment pressures surpassing perfusion pressure, causing tissue ischemia. Labeled initially as a crush injury with impairment of renal function, the authors describe a swollen limb developing into shock,. Compartment syndrome occurs when increased pressure within a. Compartment Syndrome Shock.
From www.slideserve.com
PPT Compartment Syndrome PowerPoint Presentation, free download ID Compartment Syndrome Shock Acute compartment syndrome, or acs, is a condition that happens when pressure builds up in a group of muscles. It is usually caused by a severe injury and is extremely painful. The pressure restricts (reduces) the flow of blood,. Acute compartment syndrome is a medical emergency. Compartment syndrome occurs when increased pressure within a compartment compromises the circulation and function. Compartment Syndrome Shock.
From www.scribd.com
Dr. Jufri Latief Syndromes) PDF Sepsis Shock Compartment Syndrome Shock Compartment syndrome happens when there’s too much pressure around your muscles. Compartment syndrome occurs when increased pressure within a compartment compromises the circulation and function of the. The pressure restricts (reduces) the flow of blood,. Labeled initially as a crush injury with impairment of renal function, the authors describe a swollen limb developing into shock,. Acute compartment syndrome is a. Compartment Syndrome Shock.
From orthopaedicprinciples.com
Single incision fasciotomy for Compartment syndrome Compartment Syndrome Shock Acute compartment syndrome is a condition in which there is increased pressure within a closed osteofascial. Compartment syndrome happens when there’s too much pressure around your muscles. It is usually caused by a severe injury and is extremely painful. Acute compartment syndrome is a medical emergency. The pressure restricts (reduces) the flow of blood,. Acute compartment syndrome, or acs, is. Compartment Syndrome Shock.
From www.studypool.com
SOLUTION Compartment syndrome Studypool Compartment Syndrome Shock Acute compartment syndrome is a medical emergency. Acute compartment syndrome, or acs, is a condition that happens when pressure builds up in a group of muscles. Acute compartment syndrome is a condition in which there is increased pressure within a closed osteofascial. Compartment syndrome is the result of fascial compartment pressures surpassing perfusion pressure, causing tissue ischemia. Acute compartment syndrome. Compartment Syndrome Shock.
From www.slideshare.net
Compartment syndrome Compartment Syndrome Shock Compartment syndrome is the result of fascial compartment pressures surpassing perfusion pressure, causing tissue ischemia. Acute compartment syndrome (acs) is caused by tissue ischemia due to increased pressure within a fascial compartment. Compartment syndrome occurs when increased pressure within a compartment compromises the circulation and function of the. It is usually caused by a severe injury and is extremely painful.. Compartment Syndrome Shock.
From www.studocu.com
Assignment 4 Compartment Syndrome and Shock Ms. Allen Assignment 4 Compartment Syndrome Shock Acute compartment syndrome (acs) is caused by tissue ischemia due to increased pressure within a fascial compartment. Acute compartment syndrome is a medical emergency. Compartment syndrome is the result of fascial compartment pressures surpassing perfusion pressure, causing tissue ischemia. Labeled initially as a crush injury with impairment of renal function, the authors describe a swollen limb developing into shock,. The. Compartment Syndrome Shock.
From mavink.com
Lower Extremity Compartment Syndrome Compartment Syndrome Shock The pressure restricts (reduces) the flow of blood,. Compartment syndrome happens when there’s too much pressure around your muscles. Compartment syndrome is the result of fascial compartment pressures surpassing perfusion pressure, causing tissue ischemia. Compartment syndrome occurs when increased pressure within a compartment compromises the circulation and function of the. It is usually caused by a severe injury and is. Compartment Syndrome Shock.
From www.nhs.uk
Compartment syndrome NHS Compartment Syndrome Shock Compartment syndrome is the result of fascial compartment pressures surpassing perfusion pressure, causing tissue ischemia. The pressure restricts (reduces) the flow of blood,. It is usually caused by a severe injury and is extremely painful. Compartment syndrome occurs when increased pressure within a compartment compromises the circulation and function of the. Labeled initially as a crush injury with impairment of. Compartment Syndrome Shock.
From emcrit.org
Abdominal compartment syndrome EMCrit Project Compartment Syndrome Shock It is usually caused by a severe injury and is extremely painful. Acute compartment syndrome is a medical emergency. Compartment syndrome occurs when increased pressure within a compartment compromises the circulation and function of the. The pressure restricts (reduces) the flow of blood,. Acute compartment syndrome, or acs, is a condition that happens when pressure builds up in a group. Compartment Syndrome Shock.
From www.slideserve.com
PPT Compartment Syndrome PowerPoint Presentation, free download ID Compartment Syndrome Shock Compartment syndrome is the result of fascial compartment pressures surpassing perfusion pressure, causing tissue ischemia. Acute compartment syndrome is a condition in which there is increased pressure within a closed osteofascial. Compartment syndrome occurs when increased pressure within a compartment compromises the circulation and function of the. Labeled initially as a crush injury with impairment of renal function, the authors. Compartment Syndrome Shock.
From www.slideshare.net
Compartment syndrome Compartment Syndrome Shock Acute compartment syndrome is a medical emergency. Acute compartment syndrome is a condition in which there is increased pressure within a closed osteofascial. It is usually caused by a severe injury and is extremely painful. Acute compartment syndrome (acs) is caused by tissue ischemia due to increased pressure within a fascial compartment. Compartment syndrome is the result of fascial compartment. Compartment Syndrome Shock.
From www.aliem.com
Infographic Compartment Syndrome Compartment Syndrome Shock Acute compartment syndrome is a medical emergency. Acute compartment syndrome (acs) is caused by tissue ischemia due to increased pressure within a fascial compartment. Compartment syndrome is the result of fascial compartment pressures surpassing perfusion pressure, causing tissue ischemia. Compartment syndrome happens when there’s too much pressure around your muscles. Compartment syndrome occurs when increased pressure within a compartment compromises. Compartment Syndrome Shock.
From zandergokeday.blogspot.com
6 Ps of Compartment Syndrome Compartment Syndrome Shock Labeled initially as a crush injury with impairment of renal function, the authors describe a swollen limb developing into shock,. Compartment syndrome is the result of fascial compartment pressures surpassing perfusion pressure, causing tissue ischemia. It is usually caused by a severe injury and is extremely painful. Compartment syndrome happens when there’s too much pressure around your muscles. Acute compartment. Compartment Syndrome Shock.
From www.slideserve.com
PPT Acute Compartment Syndrome PowerPoint Presentation ID2259539 Compartment Syndrome Shock Acute compartment syndrome, or acs, is a condition that happens when pressure builds up in a group of muscles. The pressure restricts (reduces) the flow of blood,. Compartment syndrome happens when there’s too much pressure around your muscles. Compartment syndrome is the result of fascial compartment pressures surpassing perfusion pressure, causing tissue ischemia. Compartment syndrome occurs when increased pressure within. Compartment Syndrome Shock.
From www.studocu.com
Assignment 4 Compartment Syndrome and Shock COHORT 06/20/ Assignment Compartment Syndrome Shock Acute compartment syndrome is a medical emergency. Acute compartment syndrome (acs) is caused by tissue ischemia due to increased pressure within a fascial compartment. Acute compartment syndrome is a condition in which there is increased pressure within a closed osteofascial. It is usually caused by a severe injury and is extremely painful. Compartment syndrome occurs when increased pressure within a. Compartment Syndrome Shock.
From vdocuments.mx
Compartment syndrome after antishock trouser application without lower Compartment Syndrome Shock It is usually caused by a severe injury and is extremely painful. Acute compartment syndrome (acs) is caused by tissue ischemia due to increased pressure within a fascial compartment. Acute compartment syndrome is a condition in which there is increased pressure within a closed osteofascial. Acute compartment syndrome is a medical emergency. The pressure restricts (reduces) the flow of blood,.. Compartment Syndrome Shock.
From www.trialexhibitsinc.com
Compartment Syndrome TrialQuest Inc. Compartment Syndrome Shock It is usually caused by a severe injury and is extremely painful. Compartment syndrome happens when there’s too much pressure around your muscles. Acute compartment syndrome, or acs, is a condition that happens when pressure builds up in a group of muscles. Labeled initially as a crush injury with impairment of renal function, the authors describe a swollen limb developing. Compartment Syndrome Shock.
From www.slideshare.net
Abdominal compartment syndrome[1] Compartment Syndrome Shock Compartment syndrome happens when there’s too much pressure around your muscles. Acute compartment syndrome is a condition in which there is increased pressure within a closed osteofascial. The pressure restricts (reduces) the flow of blood,. Acute compartment syndrome, or acs, is a condition that happens when pressure builds up in a group of muscles. It is usually caused by a. Compartment Syndrome Shock.
From www.trialexhibitsinc.com
Compartment Syndrome TrialQuest Inc. Compartment Syndrome Shock Labeled initially as a crush injury with impairment of renal function, the authors describe a swollen limb developing into shock,. Compartment syndrome is the result of fascial compartment pressures surpassing perfusion pressure, causing tissue ischemia. Acute compartment syndrome (acs) is caused by tissue ischemia due to increased pressure within a fascial compartment. Acute compartment syndrome is a condition in which. Compartment Syndrome Shock.
From www.trialexhibitsinc.com
Compartment Syndrome of the Forearm TrialQuest Inc. Compartment Syndrome Shock The pressure restricts (reduces) the flow of blood,. Labeled initially as a crush injury with impairment of renal function, the authors describe a swollen limb developing into shock,. Acute compartment syndrome, or acs, is a condition that happens when pressure builds up in a group of muscles. Acute compartment syndrome is a medical emergency. Compartment syndrome occurs when increased pressure. Compartment Syndrome Shock.
From www.youtube.com
Acute and chronic leg Compartment Syndrome Everything You Need To Compartment Syndrome Shock Labeled initially as a crush injury with impairment of renal function, the authors describe a swollen limb developing into shock,. Compartment syndrome is the result of fascial compartment pressures surpassing perfusion pressure, causing tissue ischemia. Compartment syndrome happens when there’s too much pressure around your muscles. Acute compartment syndrome, or acs, is a condition that happens when pressure builds up. Compartment Syndrome Shock.
From www.vrogue.co
Abdominal Compartment Syndrome Symptoms Diagnostic An vrogue.co Compartment Syndrome Shock Acute compartment syndrome is a condition in which there is increased pressure within a closed osteofascial. Acute compartment syndrome is a medical emergency. Compartment syndrome is the result of fascial compartment pressures surpassing perfusion pressure, causing tissue ischemia. The pressure restricts (reduces) the flow of blood,. Compartment syndrome occurs when increased pressure within a compartment compromises the circulation and function. Compartment Syndrome Shock.
From musculoskeletalkey.com
Compartment Syndrome in Children Musculoskeletal Key Compartment Syndrome Shock Compartment syndrome occurs when increased pressure within a compartment compromises the circulation and function of the. Labeled initially as a crush injury with impairment of renal function, the authors describe a swollen limb developing into shock,. Acute compartment syndrome is a condition in which there is increased pressure within a closed osteofascial. It is usually caused by a severe injury. Compartment Syndrome Shock.
From medizzy.com
Compartment Syndrome MEDizzy Compartment Syndrome Shock Acute compartment syndrome (acs) is caused by tissue ischemia due to increased pressure within a fascial compartment. Compartment syndrome is the result of fascial compartment pressures surpassing perfusion pressure, causing tissue ischemia. Acute compartment syndrome is a condition in which there is increased pressure within a closed osteofascial. The pressure restricts (reduces) the flow of blood,. Compartment syndrome happens when. Compartment Syndrome Shock.