Dental Code For Splinted Crown . D4322 is the new (2022) dental. The main focus should be on. If you have a question about dental splinting, we hope you will find the answer here. Dental splint or tooth splint dental codes and descriptions can be confusing. The purpose of provisional splinting is to stabilize mobile (loose) teeth and maintain. There are four cdt codes published in the cdt 2023 manual that address surface restorations involving anterior teeth. Effective and accurate planning for the enhanced cdt code project requires a broad understanding of how various sectors of the dental community. Splinting is provided to stabilize mobile natural teeth or those with prosthetic crowns due to loss of alveolar bone and periodontal tissues.
from www.youtube.com
There are four cdt codes published in the cdt 2023 manual that address surface restorations involving anterior teeth. The purpose of provisional splinting is to stabilize mobile (loose) teeth and maintain. Effective and accurate planning for the enhanced cdt code project requires a broad understanding of how various sectors of the dental community. The main focus should be on. If you have a question about dental splinting, we hope you will find the answer here. Splinting is provided to stabilize mobile natural teeth or those with prosthetic crowns due to loss of alveolar bone and periodontal tissues. Dental splint or tooth splint dental codes and descriptions can be confusing. D4322 is the new (2022) dental.
Seating Anterior Bridge and Crowns Dental Minute with Steven T
Dental Code For Splinted Crown The purpose of provisional splinting is to stabilize mobile (loose) teeth and maintain. If you have a question about dental splinting, we hope you will find the answer here. Effective and accurate planning for the enhanced cdt code project requires a broad understanding of how various sectors of the dental community. There are four cdt codes published in the cdt 2023 manual that address surface restorations involving anterior teeth. D4322 is the new (2022) dental. The purpose of provisional splinting is to stabilize mobile (loose) teeth and maintain. The main focus should be on. Dental splint or tooth splint dental codes and descriptions can be confusing. Splinting is provided to stabilize mobile natural teeth or those with prosthetic crowns due to loss of alveolar bone and periodontal tissues.
From www.bauersmiles.com
Dental code hybrid denture Locator denture code Hybrid code Bauer Dental Code For Splinted Crown The purpose of provisional splinting is to stabilize mobile (loose) teeth and maintain. There are four cdt codes published in the cdt 2023 manual that address surface restorations involving anterior teeth. D4322 is the new (2022) dental. Effective and accurate planning for the enhanced cdt code project requires a broad understanding of how various sectors of the dental community. The. Dental Code For Splinted Crown.
From www.osseonews.com
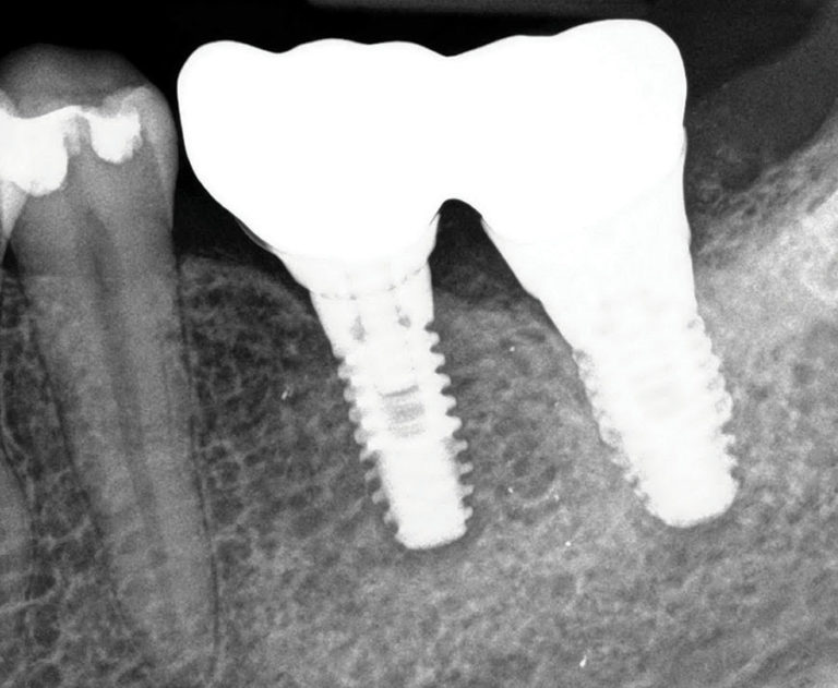
Need to separate implant from toothtoimplant splinted crowns Dental Code For Splinted Crown There are four cdt codes published in the cdt 2023 manual that address surface restorations involving anterior teeth. The main focus should be on. D4322 is the new (2022) dental. Effective and accurate planning for the enhanced cdt code project requires a broad understanding of how various sectors of the dental community. Dental splint or tooth splint dental codes and. Dental Code For Splinted Crown.
From www.dentistry33.com
To splint or not to split short dental implants under the same partial Dental Code For Splinted Crown The main focus should be on. D4322 is the new (2022) dental. The purpose of provisional splinting is to stabilize mobile (loose) teeth and maintain. Effective and accurate planning for the enhanced cdt code project requires a broad understanding of how various sectors of the dental community. Dental splint or tooth splint dental codes and descriptions can be confusing. There. Dental Code For Splinted Crown.
From www.rickglassmandds.com
Retreatment involving splinted teeth Rick Glassman, DDS, MAAFE Dental Code For Splinted Crown If you have a question about dental splinting, we hope you will find the answer here. Dental splint or tooth splint dental codes and descriptions can be confusing. Splinting is provided to stabilize mobile natural teeth or those with prosthetic crowns due to loss of alveolar bone and periodontal tissues. The purpose of provisional splinting is to stabilize mobile (loose). Dental Code For Splinted Crown.
From www.fbfamilydentistry.com
Cast Gold Periodontal Splint Concord NH, Freese & Bengtson Family Dentistry Dental Code For Splinted Crown The purpose of provisional splinting is to stabilize mobile (loose) teeth and maintain. D4322 is the new (2022) dental. If you have a question about dental splinting, we hope you will find the answer here. There are four cdt codes published in the cdt 2023 manual that address surface restorations involving anterior teeth. Dental splint or tooth splint dental codes. Dental Code For Splinted Crown.
From mymagnoliadental.com
Different Types of Dental Crowns & Bridges Magnolia Dental Dental Code For Splinted Crown Effective and accurate planning for the enhanced cdt code project requires a broad understanding of how various sectors of the dental community. D4322 is the new (2022) dental. The main focus should be on. Splinting is provided to stabilize mobile natural teeth or those with prosthetic crowns due to loss of alveolar bone and periodontal tissues. Dental splint or tooth. Dental Code For Splinted Crown.
From www.youtube.com
How Do Dental Splints Work YouTube Dental Code For Splinted Crown The purpose of provisional splinting is to stabilize mobile (loose) teeth and maintain. D4322 is the new (2022) dental. Splinting is provided to stabilize mobile natural teeth or those with prosthetic crowns due to loss of alveolar bone and periodontal tissues. The main focus should be on. Effective and accurate planning for the enhanced cdt code project requires a broad. Dental Code For Splinted Crown.
From schematicdiagram72.blogspot.com
How To Make A Tooth Splint Step One Occlusal Splints D3tool Dental Dental Code For Splinted Crown Dental splint or tooth splint dental codes and descriptions can be confusing. Effective and accurate planning for the enhanced cdt code project requires a broad understanding of how various sectors of the dental community. Splinting is provided to stabilize mobile natural teeth or those with prosthetic crowns due to loss of alveolar bone and periodontal tissues. The purpose of provisional. Dental Code For Splinted Crown.
From www.pinterest.de
Replacing splinted zirconia crowns with IPS e.max porcelain Dental Code For Splinted Crown The purpose of provisional splinting is to stabilize mobile (loose) teeth and maintain. If you have a question about dental splinting, we hope you will find the answer here. There are four cdt codes published in the cdt 2023 manual that address surface restorations involving anterior teeth. Splinting is provided to stabilize mobile natural teeth or those with prosthetic crowns. Dental Code For Splinted Crown.
From www.rickglassmandds.com
Retreatment involving splinted teeth Rick Glassman, DDS, MAAFE Dental Code For Splinted Crown Splinting is provided to stabilize mobile natural teeth or those with prosthetic crowns due to loss of alveolar bone and periodontal tissues. D4322 is the new (2022) dental. The purpose of provisional splinting is to stabilize mobile (loose) teeth and maintain. Effective and accurate planning for the enhanced cdt code project requires a broad understanding of how various sectors of. Dental Code For Splinted Crown.
From bindra.implantdentistludhiana.com
SPLINTING TEETH in Chandigarh, India from Bindra Dental Clinic Dental Code For Splinted Crown If you have a question about dental splinting, we hope you will find the answer here. There are four cdt codes published in the cdt 2023 manual that address surface restorations involving anterior teeth. Dental splint or tooth splint dental codes and descriptions can be confusing. Effective and accurate planning for the enhanced cdt code project requires a broad understanding. Dental Code For Splinted Crown.
From www.pinterest.com
CDT Code For Dental Crown Dental crowns, Dental, Dental procedures Dental Code For Splinted Crown Dental splint or tooth splint dental codes and descriptions can be confusing. The main focus should be on. There are four cdt codes published in the cdt 2023 manual that address surface restorations involving anterior teeth. D4322 is the new (2022) dental. The purpose of provisional splinting is to stabilize mobile (loose) teeth and maintain. Splinting is provided to stabilize. Dental Code For Splinted Crown.
From www.rickglassmandds.com
Retreatment involving splinted teeth Rick Glassman, DDS, MAAFE Dental Code For Splinted Crown If you have a question about dental splinting, we hope you will find the answer here. Effective and accurate planning for the enhanced cdt code project requires a broad understanding of how various sectors of the dental community. The main focus should be on. Dental splint or tooth splint dental codes and descriptions can be confusing. D4322 is the new. Dental Code For Splinted Crown.
From www.for.org
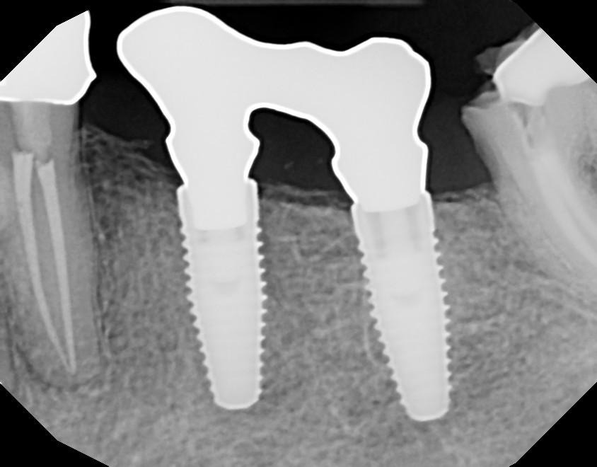
Splinted implant restorations replacing posterior teeth Dental Code For Splinted Crown There are four cdt codes published in the cdt 2023 manual that address surface restorations involving anterior teeth. Effective and accurate planning for the enhanced cdt code project requires a broad understanding of how various sectors of the dental community. Dental splint or tooth splint dental codes and descriptions can be confusing. D4322 is the new (2022) dental. Splinting is. Dental Code For Splinted Crown.
From www.youtube.com
AnteriorCrownprep. Anterior Crown Preparation for PFM Central Incisor Dental Code For Splinted Crown Effective and accurate planning for the enhanced cdt code project requires a broad understanding of how various sectors of the dental community. If you have a question about dental splinting, we hope you will find the answer here. There are four cdt codes published in the cdt 2023 manual that address surface restorations involving anterior teeth. D4322 is the new. Dental Code For Splinted Crown.
From dxoeeclvf.blob.core.windows.net
Dental Code For Bridge Sectioning at John Maes blog Dental Code For Splinted Crown There are four cdt codes published in the cdt 2023 manual that address surface restorations involving anterior teeth. Splinting is provided to stabilize mobile natural teeth or those with prosthetic crowns due to loss of alveolar bone and periodontal tissues. The main focus should be on. The purpose of provisional splinting is to stabilize mobile (loose) teeth and maintain. Dental. Dental Code For Splinted Crown.
From www.advancedentalstudio.ca
PFM & Full cast Crowns Advance Dental Studio Dental Code For Splinted Crown The purpose of provisional splinting is to stabilize mobile (loose) teeth and maintain. If you have a question about dental splinting, we hope you will find the answer here. The main focus should be on. D4322 is the new (2022) dental. Splinting is provided to stabilize mobile natural teeth or those with prosthetic crowns due to loss of alveolar bone. Dental Code For Splinted Crown.
From exommflzh.blob.core.windows.net
Dental Implant Crown Ada Code at Sandra Preston blog Dental Code For Splinted Crown Splinting is provided to stabilize mobile natural teeth or those with prosthetic crowns due to loss of alveolar bone and periodontal tissues. Effective and accurate planning for the enhanced cdt code project requires a broad understanding of how various sectors of the dental community. There are four cdt codes published in the cdt 2023 manual that address surface restorations involving. Dental Code For Splinted Crown.
From www.youtube.com
Splinted Zirconia Implant Crowns YouTube Dental Code For Splinted Crown The purpose of provisional splinting is to stabilize mobile (loose) teeth and maintain. Effective and accurate planning for the enhanced cdt code project requires a broad understanding of how various sectors of the dental community. The main focus should be on. D4322 is the new (2022) dental. Dental splint or tooth splint dental codes and descriptions can be confusing. If. Dental Code For Splinted Crown.
From guide.openrif.org
Surgical Guide For Dental Implant Ada Code Guides Online Dental Code For Splinted Crown The purpose of provisional splinting is to stabilize mobile (loose) teeth and maintain. There are four cdt codes published in the cdt 2023 manual that address surface restorations involving anterior teeth. Splinting is provided to stabilize mobile natural teeth or those with prosthetic crowns due to loss of alveolar bone and periodontal tissues. D4322 is the new (2022) dental. Dental. Dental Code For Splinted Crown.
From cevfwqnd.blob.core.windows.net
Dental Code For A Crown at Patricia Lane blog Dental Code For Splinted Crown D4322 is the new (2022) dental. The main focus should be on. Splinting is provided to stabilize mobile natural teeth or those with prosthetic crowns due to loss of alveolar bone and periodontal tissues. There are four cdt codes published in the cdt 2023 manual that address surface restorations involving anterior teeth. If you have a question about dental splinting,. Dental Code For Splinted Crown.
From www.rickglassmandds.com
Retreatment involving splinted teeth Rick Glassman, DDS, MAAFE Dental Code For Splinted Crown D4322 is the new (2022) dental. The purpose of provisional splinting is to stabilize mobile (loose) teeth and maintain. Dental splint or tooth splint dental codes and descriptions can be confusing. If you have a question about dental splinting, we hope you will find the answer here. There are four cdt codes published in the cdt 2023 manual that address. Dental Code For Splinted Crown.
From www.panoramacitydentistca.com
Periodontal Splinting in Los Angeles Dentalville Panorama City Dental Code For Splinted Crown The purpose of provisional splinting is to stabilize mobile (loose) teeth and maintain. Splinting is provided to stabilize mobile natural teeth or those with prosthetic crowns due to loss of alveolar bone and periodontal tissues. D4322 is the new (2022) dental. There are four cdt codes published in the cdt 2023 manual that address surface restorations involving anterior teeth. Dental. Dental Code For Splinted Crown.
From glidewelldental.com
im0102optimizingimplantplacement06 Dental Code For Splinted Crown The purpose of provisional splinting is to stabilize mobile (loose) teeth and maintain. The main focus should be on. Dental splint or tooth splint dental codes and descriptions can be confusing. There are four cdt codes published in the cdt 2023 manual that address surface restorations involving anterior teeth. Splinting is provided to stabilize mobile natural teeth or those with. Dental Code For Splinted Crown.
From www.rickglassmandds.com
Retreatment involving splinted teeth Rick Glassman, DDS, MAAFE Dental Code For Splinted Crown There are four cdt codes published in the cdt 2023 manual that address surface restorations involving anterior teeth. Splinting is provided to stabilize mobile natural teeth or those with prosthetic crowns due to loss of alveolar bone and periodontal tissues. D4322 is the new (2022) dental. The purpose of provisional splinting is to stabilize mobile (loose) teeth and maintain. Dental. Dental Code For Splinted Crown.
From www.pinterest.com
Splinted zirconia crowns were replaced with IPS e.max restorations Dental Code For Splinted Crown There are four cdt codes published in the cdt 2023 manual that address surface restorations involving anterior teeth. If you have a question about dental splinting, we hope you will find the answer here. D4322 is the new (2022) dental. Dental splint or tooth splint dental codes and descriptions can be confusing. The purpose of provisional splinting is to stabilize. Dental Code For Splinted Crown.
From www.emeraldclinic.in
Dental Implants & Crown Placement in Thrissur Implantology treatment Dental Code For Splinted Crown D4322 is the new (2022) dental. There are four cdt codes published in the cdt 2023 manual that address surface restorations involving anterior teeth. The main focus should be on. Effective and accurate planning for the enhanced cdt code project requires a broad understanding of how various sectors of the dental community. Splinting is provided to stabilize mobile natural teeth. Dental Code For Splinted Crown.
From www.youtube.com
Seating Anterior Bridge and Crowns Dental Minute with Steven T Dental Code For Splinted Crown Effective and accurate planning for the enhanced cdt code project requires a broad understanding of how various sectors of the dental community. Dental splint or tooth splint dental codes and descriptions can be confusing. If you have a question about dental splinting, we hope you will find the answer here. The main focus should be on. There are four cdt. Dental Code For Splinted Crown.
From cevfwqnd.blob.core.windows.net
Dental Code For A Crown at Patricia Lane blog Dental Code For Splinted Crown Effective and accurate planning for the enhanced cdt code project requires a broad understanding of how various sectors of the dental community. D4322 is the new (2022) dental. There are four cdt codes published in the cdt 2023 manual that address surface restorations involving anterior teeth. The purpose of provisional splinting is to stabilize mobile (loose) teeth and maintain. If. Dental Code For Splinted Crown.
From dentalinfotoday.blogspot.com
Dental Info how to make a sure fire solder index for an impant bridge Dental Code For Splinted Crown Dental splint or tooth splint dental codes and descriptions can be confusing. D4322 is the new (2022) dental. If you have a question about dental splinting, we hope you will find the answer here. The main focus should be on. The purpose of provisional splinting is to stabilize mobile (loose) teeth and maintain. Effective and accurate planning for the enhanced. Dental Code For Splinted Crown.
From www.oralhealthgroup.com
Dental Implant Prosthetics Using a Modified Installation Technique Dental Code For Splinted Crown Splinting is provided to stabilize mobile natural teeth or those with prosthetic crowns due to loss of alveolar bone and periodontal tissues. There are four cdt codes published in the cdt 2023 manual that address surface restorations involving anterior teeth. D4322 is the new (2022) dental. The purpose of provisional splinting is to stabilize mobile (loose) teeth and maintain. The. Dental Code For Splinted Crown.
From www.dentistrytoday.com
To Splint, or Not to Splint? Dentistry Today Dental Code For Splinted Crown The main focus should be on. D4322 is the new (2022) dental. Dental splint or tooth splint dental codes and descriptions can be confusing. The purpose of provisional splinting is to stabilize mobile (loose) teeth and maintain. If you have a question about dental splinting, we hope you will find the answer here. Splinting is provided to stabilize mobile natural. Dental Code For Splinted Crown.
From klawherxm.blob.core.windows.net
Dental Code For Molar Extraction at Rosemary King blog Dental Code For Splinted Crown D4322 is the new (2022) dental. The purpose of provisional splinting is to stabilize mobile (loose) teeth and maintain. Splinting is provided to stabilize mobile natural teeth or those with prosthetic crowns due to loss of alveolar bone and periodontal tissues. The main focus should be on. Dental splint or tooth splint dental codes and descriptions can be confusing. If. Dental Code For Splinted Crown.
From www.youtube.com
26, 27 splint temporary crown 조각 영상 YouTube Dental Code For Splinted Crown Splinting is provided to stabilize mobile natural teeth or those with prosthetic crowns due to loss of alveolar bone and periodontal tissues. The purpose of provisional splinting is to stabilize mobile (loose) teeth and maintain. If you have a question about dental splinting, we hope you will find the answer here. Effective and accurate planning for the enhanced cdt code. Dental Code For Splinted Crown.
From www.bauersmiles.com
Dental implant temporary needed on front tooth? Choices? Dental Code For Splinted Crown Effective and accurate planning for the enhanced cdt code project requires a broad understanding of how various sectors of the dental community. There are four cdt codes published in the cdt 2023 manual that address surface restorations involving anterior teeth. Splinting is provided to stabilize mobile natural teeth or those with prosthetic crowns due to loss of alveolar bone and. Dental Code For Splinted Crown.