Chest X Ray Findings In Rickets . periosteal new bone formation noted of the ribs along the mid axillary line. the diagnosis of rickets is based on the presence of typical clinical symptoms and radiological findings on x. this patient is presented with cough, chest x ray showed bronchiolitis. rickets results from impaired mineralization of growing bone due to alterations in calcium and phosphate. Right upper lobe collapse noted. With treatment, there is a regression of radiological findings seen in rickets. rickets is an entity in which mineralization is decreased at the level of the growth plates, resulting in growth retardation and delayed. the radiographic findings observed in rickets are listed in table 2 and illustrated in figure 4. Incidental findings of active rickets features.
from www.researchgate.net
Right upper lobe collapse noted. periosteal new bone formation noted of the ribs along the mid axillary line. this patient is presented with cough, chest x ray showed bronchiolitis. the radiographic findings observed in rickets are listed in table 2 and illustrated in figure 4. rickets is an entity in which mineralization is decreased at the level of the growth plates, resulting in growth retardation and delayed. the diagnosis of rickets is based on the presence of typical clinical symptoms and radiological findings on x. rickets results from impaired mineralization of growing bone due to alterations in calcium and phosphate. With treatment, there is a regression of radiological findings seen in rickets. Incidental findings of active rickets features.
Chest Xray showing miliary Koch's infiltration with ricketslike
Chest X Ray Findings In Rickets Incidental findings of active rickets features. rickets results from impaired mineralization of growing bone due to alterations in calcium and phosphate. the diagnosis of rickets is based on the presence of typical clinical symptoms and radiological findings on x. rickets is an entity in which mineralization is decreased at the level of the growth plates, resulting in growth retardation and delayed. With treatment, there is a regression of radiological findings seen in rickets. Incidental findings of active rickets features. Right upper lobe collapse noted. this patient is presented with cough, chest x ray showed bronchiolitis. the radiographic findings observed in rickets are listed in table 2 and illustrated in figure 4. periosteal new bone formation noted of the ribs along the mid axillary line.
From www.animalia-life.club
Rickets Disease X Rays Chest X Ray Findings In Rickets the radiographic findings observed in rickets are listed in table 2 and illustrated in figure 4. this patient is presented with cough, chest x ray showed bronchiolitis. rickets is an entity in which mineralization is decreased at the level of the growth plates, resulting in growth retardation and delayed. periosteal new bone formation noted of the. Chest X Ray Findings In Rickets.
From radiopaedia.org
Rickets Image Chest X Ray Findings In Rickets Incidental findings of active rickets features. rickets results from impaired mineralization of growing bone due to alterations in calcium and phosphate. periosteal new bone formation noted of the ribs along the mid axillary line. this patient is presented with cough, chest x ray showed bronchiolitis. With treatment, there is a regression of radiological findings seen in rickets.. Chest X Ray Findings In Rickets.
From introductiontoradiology.net
Pediatric Radiology Chest X Ray Findings In Rickets periosteal new bone formation noted of the ribs along the mid axillary line. Right upper lobe collapse noted. the radiographic findings observed in rickets are listed in table 2 and illustrated in figure 4. With treatment, there is a regression of radiological findings seen in rickets. the diagnosis of rickets is based on the presence of typical. Chest X Ray Findings In Rickets.
From www.cureus.com
Cureus A Case Report of Rickets Due to Severe Nutritional Deficiencies Chest X Ray Findings In Rickets rickets is an entity in which mineralization is decreased at the level of the growth plates, resulting in growth retardation and delayed. With treatment, there is a regression of radiological findings seen in rickets. periosteal new bone formation noted of the ribs along the mid axillary line. Incidental findings of active rickets features. rickets results from impaired. Chest X Ray Findings In Rickets.
From ar.inspiredpencil.com
Rickets X Ray Chest X Ray Findings In Rickets With treatment, there is a regression of radiological findings seen in rickets. this patient is presented with cough, chest x ray showed bronchiolitis. periosteal new bone formation noted of the ribs along the mid axillary line. rickets is an entity in which mineralization is decreased at the level of the growth plates, resulting in growth retardation and. Chest X Ray Findings In Rickets.
From www.alamy.com
Rickets. Xray of the hand & wrist of a child suffering from rickets Chest X Ray Findings In Rickets the radiographic findings observed in rickets are listed in table 2 and illustrated in figure 4. this patient is presented with cough, chest x ray showed bronchiolitis. the diagnosis of rickets is based on the presence of typical clinical symptoms and radiological findings on x. Incidental findings of active rickets features. periosteal new bone formation noted. Chest X Ray Findings In Rickets.
From radiopaedia.org
Rickets Image Chest X Ray Findings In Rickets With treatment, there is a regression of radiological findings seen in rickets. rickets is an entity in which mineralization is decreased at the level of the growth plates, resulting in growth retardation and delayed. periosteal new bone formation noted of the ribs along the mid axillary line. the radiographic findings observed in rickets are listed in table. Chest X Ray Findings In Rickets.
From slidetodoc.com
RICKETS OSTEOMALACIA Def reduction in bone mineralization OSTEOMALACIA Chest X Ray Findings In Rickets periosteal new bone formation noted of the ribs along the mid axillary line. the diagnosis of rickets is based on the presence of typical clinical symptoms and radiological findings on x. With treatment, there is a regression of radiological findings seen in rickets. rickets is an entity in which mineralization is decreased at the level of the. Chest X Ray Findings In Rickets.
From www.cureus.com
Cureus Infective Endocarditis in Patient With Uncorrected Patent Chest X Ray Findings In Rickets periosteal new bone formation noted of the ribs along the mid axillary line. With treatment, there is a regression of radiological findings seen in rickets. this patient is presented with cough, chest x ray showed bronchiolitis. Right upper lobe collapse noted. Incidental findings of active rickets features. rickets results from impaired mineralization of growing bone due to. Chest X Ray Findings In Rickets.
From orthopaedicprinciples.com
Pathophysiology and Clinical Features of Rickets Chest X Ray Findings In Rickets rickets is an entity in which mineralization is decreased at the level of the growth plates, resulting in growth retardation and delayed. the radiographic findings observed in rickets are listed in table 2 and illustrated in figure 4. Incidental findings of active rickets features. Right upper lobe collapse noted. periosteal new bone formation noted of the ribs. Chest X Ray Findings In Rickets.
From www.researchgate.net
Xray showing rickets and two healing lines. Download Scientific Diagram Chest X Ray Findings In Rickets periosteal new bone formation noted of the ribs along the mid axillary line. this patient is presented with cough, chest x ray showed bronchiolitis. With treatment, there is a regression of radiological findings seen in rickets. the radiographic findings observed in rickets are listed in table 2 and illustrated in figure 4. rickets results from impaired. Chest X Ray Findings In Rickets.
From radrounds.com
Rickets (XRay) radRounds Radiology Network Chest X Ray Findings In Rickets Incidental findings of active rickets features. With treatment, there is a regression of radiological findings seen in rickets. periosteal new bone formation noted of the ribs along the mid axillary line. rickets results from impaired mineralization of growing bone due to alterations in calcium and phosphate. Right upper lobe collapse noted. rickets is an entity in which. Chest X Ray Findings In Rickets.
From www.youtube.com
XRay wrist in rickets (Part 2/3) Rickets Pediatrics YouTube Chest X Ray Findings In Rickets the diagnosis of rickets is based on the presence of typical clinical symptoms and radiological findings on x. Right upper lobe collapse noted. rickets results from impaired mineralization of growing bone due to alterations in calcium and phosphate. the radiographic findings observed in rickets are listed in table 2 and illustrated in figure 4. periosteal new. Chest X Ray Findings In Rickets.
From medicoapps.org
RICKETS New Chest X Ray Findings In Rickets the diagnosis of rickets is based on the presence of typical clinical symptoms and radiological findings on x. rickets results from impaired mineralization of growing bone due to alterations in calcium and phosphate. this patient is presented with cough, chest x ray showed bronchiolitis. periosteal new bone formation noted of the ribs along the mid axillary. Chest X Ray Findings In Rickets.
From www.researchgate.net
Chest Xray showing miliary Koch's infiltration with ricketslike Chest X Ray Findings In Rickets this patient is presented with cough, chest x ray showed bronchiolitis. rickets is an entity in which mineralization is decreased at the level of the growth plates, resulting in growth retardation and delayed. Right upper lobe collapse noted. With treatment, there is a regression of radiological findings seen in rickets. rickets results from impaired mineralization of growing. Chest X Ray Findings In Rickets.
From ar.inspiredpencil.com
Rickets Disease X Rays Chest X Ray Findings In Rickets Right upper lobe collapse noted. the diagnosis of rickets is based on the presence of typical clinical symptoms and radiological findings on x. the radiographic findings observed in rickets are listed in table 2 and illustrated in figure 4. With treatment, there is a regression of radiological findings seen in rickets. periosteal new bone formation noted of. Chest X Ray Findings In Rickets.
From www.pinterest.com
Pin page Chest X Ray Findings In Rickets periosteal new bone formation noted of the ribs along the mid axillary line. the diagnosis of rickets is based on the presence of typical clinical symptoms and radiological findings on x. this patient is presented with cough, chest x ray showed bronchiolitis. Incidental findings of active rickets features. rickets results from impaired mineralization of growing bone. Chest X Ray Findings In Rickets.
From ar.inspiredpencil.com
Pigeon Chest Rickets Chest X Ray Findings In Rickets this patient is presented with cough, chest x ray showed bronchiolitis. Incidental findings of active rickets features. the radiographic findings observed in rickets are listed in table 2 and illustrated in figure 4. periosteal new bone formation noted of the ribs along the mid axillary line. Right upper lobe collapse noted. rickets results from impaired mineralization. Chest X Ray Findings In Rickets.
From www.animalia-life.club
Rickets Disease X Rays Chest X Ray Findings In Rickets Right upper lobe collapse noted. the radiographic findings observed in rickets are listed in table 2 and illustrated in figure 4. periosteal new bone formation noted of the ribs along the mid axillary line. the diagnosis of rickets is based on the presence of typical clinical symptoms and radiological findings on x. rickets results from impaired. Chest X Ray Findings In Rickets.
From emj.bmj.com
Incidental radiological diagnosis of rickets Emergency Medicine Journal Chest X Ray Findings In Rickets Right upper lobe collapse noted. this patient is presented with cough, chest x ray showed bronchiolitis. Incidental findings of active rickets features. periosteal new bone formation noted of the ribs along the mid axillary line. rickets results from impaired mineralization of growing bone due to alterations in calcium and phosphate. With treatment, there is a regression of. Chest X Ray Findings In Rickets.
From www.youtube.com
Rickets " Xray " YouTube Chest X Ray Findings In Rickets the diagnosis of rickets is based on the presence of typical clinical symptoms and radiological findings on x. periosteal new bone formation noted of the ribs along the mid axillary line. With treatment, there is a regression of radiological findings seen in rickets. rickets results from impaired mineralization of growing bone due to alterations in calcium and. Chest X Ray Findings In Rickets.
From www.robles.edu.gt
Chest Xray Findings Monitoring COVID19 Disease Course And, 50 OFF Chest X Ray Findings In Rickets Right upper lobe collapse noted. rickets is an entity in which mineralization is decreased at the level of the growth plates, resulting in growth retardation and delayed. rickets results from impaired mineralization of growing bone due to alterations in calcium and phosphate. periosteal new bone formation noted of the ribs along the mid axillary line. this. Chest X Ray Findings In Rickets.
From www.vrogue.co
Pneumonia Chest X Ray Vs Normal vrogue.co Chest X Ray Findings In Rickets Incidental findings of active rickets features. the diagnosis of rickets is based on the presence of typical clinical symptoms and radiological findings on x. rickets results from impaired mineralization of growing bone due to alterations in calcium and phosphate. this patient is presented with cough, chest x ray showed bronchiolitis. With treatment, there is a regression of. Chest X Ray Findings In Rickets.
From www.pinterest.com
craniotabes = thinning of skull outer table; Signs (press firmly over Chest X Ray Findings In Rickets Incidental findings of active rickets features. this patient is presented with cough, chest x ray showed bronchiolitis. the diagnosis of rickets is based on the presence of typical clinical symptoms and radiological findings on x. the radiographic findings observed in rickets are listed in table 2 and illustrated in figure 4. Right upper lobe collapse noted. . Chest X Ray Findings In Rickets.
From www.pinterest.com
Pin on Emergency medicine Chest X Ray Findings In Rickets periosteal new bone formation noted of the ribs along the mid axillary line. With treatment, there is a regression of radiological findings seen in rickets. the radiographic findings observed in rickets are listed in table 2 and illustrated in figure 4. Incidental findings of active rickets features. this patient is presented with cough, chest x ray showed. Chest X Ray Findings In Rickets.
From www.youtube.com
Atelectasis (Right Lower Lobe) Explanation of Chest Xray Findings Chest X Ray Findings In Rickets With treatment, there is a regression of radiological findings seen in rickets. Incidental findings of active rickets features. rickets is an entity in which mineralization is decreased at the level of the growth plates, resulting in growth retardation and delayed. rickets results from impaired mineralization of growing bone due to alterations in calcium and phosphate. this patient. Chest X Ray Findings In Rickets.
From www.animalia-life.club
Rickets Disease X Rays Chest X Ray Findings In Rickets Incidental findings of active rickets features. rickets is an entity in which mineralization is decreased at the level of the growth plates, resulting in growth retardation and delayed. With treatment, there is a regression of radiological findings seen in rickets. Right upper lobe collapse noted. this patient is presented with cough, chest x ray showed bronchiolitis. periosteal. Chest X Ray Findings In Rickets.
From www.atmasvasth.com
Chest Xray for Screening for Tuberculosis Chest X Ray Findings In Rickets periosteal new bone formation noted of the ribs along the mid axillary line. the diagnosis of rickets is based on the presence of typical clinical symptoms and radiological findings on x. Incidental findings of active rickets features. this patient is presented with cough, chest x ray showed bronchiolitis. With treatment, there is a regression of radiological findings. Chest X Ray Findings In Rickets.
From lookfordiagnosis.com
Rickets; Rachitis Chest X Ray Findings In Rickets rickets is an entity in which mineralization is decreased at the level of the growth plates, resulting in growth retardation and delayed. periosteal new bone formation noted of the ribs along the mid axillary line. Right upper lobe collapse noted. rickets results from impaired mineralization of growing bone due to alterations in calcium and phosphate. Incidental findings. Chest X Ray Findings In Rickets.
From ar.inspiredpencil.com
Rickets Disease X Rays Chest X Ray Findings In Rickets periosteal new bone formation noted of the ribs along the mid axillary line. With treatment, there is a regression of radiological findings seen in rickets. rickets results from impaired mineralization of growing bone due to alterations in calcium and phosphate. Incidental findings of active rickets features. rickets is an entity in which mineralization is decreased at the. Chest X Ray Findings In Rickets.
From www.cureus.com
Cureus COVID19 Infection as a Possible Cause of Ogilvie’s Syndrome Chest X Ray Findings In Rickets Right upper lobe collapse noted. the diagnosis of rickets is based on the presence of typical clinical symptoms and radiological findings on x. Incidental findings of active rickets features. periosteal new bone formation noted of the ribs along the mid axillary line. this patient is presented with cough, chest x ray showed bronchiolitis. With treatment, there is. Chest X Ray Findings In Rickets.
From www.vrogue.co
Chest X Ray Radiology X Ray Vision Eye vrogue.co Chest X Ray Findings In Rickets Incidental findings of active rickets features. With treatment, there is a regression of radiological findings seen in rickets. this patient is presented with cough, chest x ray showed bronchiolitis. the radiographic findings observed in rickets are listed in table 2 and illustrated in figure 4. Right upper lobe collapse noted. rickets is an entity in which mineralization. Chest X Ray Findings In Rickets.
From www.researchgate.net
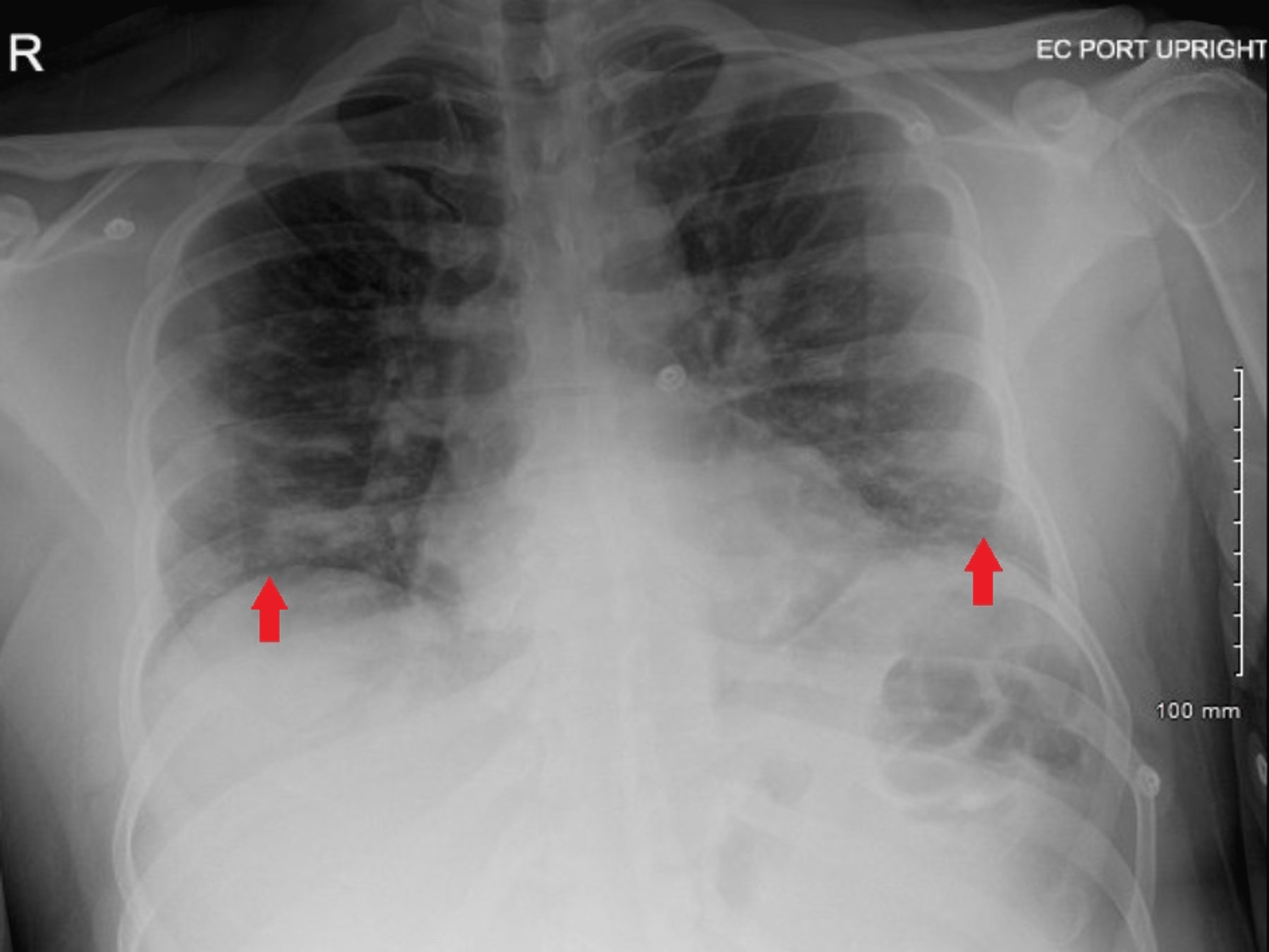
Portable chest xray on admission. Cardiomegaly and pulmonary vascular Chest X Ray Findings In Rickets rickets results from impaired mineralization of growing bone due to alterations in calcium and phosphate. periosteal new bone formation noted of the ribs along the mid axillary line. the diagnosis of rickets is based on the presence of typical clinical symptoms and radiological findings on x. Right upper lobe collapse noted. the radiographic findings observed in. Chest X Ray Findings In Rickets.
From calgaryguide.ucalgary.ca
copdfindingsonposterioranteriorandlateralchestxrayfindings Chest X Ray Findings In Rickets this patient is presented with cough, chest x ray showed bronchiolitis. Right upper lobe collapse noted. the diagnosis of rickets is based on the presence of typical clinical symptoms and radiological findings on x. With treatment, there is a regression of radiological findings seen in rickets. rickets results from impaired mineralization of growing bone due to alterations. Chest X Ray Findings In Rickets.
From pacs.de
rickets pacs Chest X Ray Findings In Rickets the radiographic findings observed in rickets are listed in table 2 and illustrated in figure 4. With treatment, there is a regression of radiological findings seen in rickets. the diagnosis of rickets is based on the presence of typical clinical symptoms and radiological findings on x. rickets results from impaired mineralization of growing bone due to alterations. Chest X Ray Findings In Rickets.