Boot For Calcaneal Fracture . We recommend the skechers max. For those calcaneus fractures that are not displaced, treatment may involve the use of crutches and/or a protective boot or brace, or, plaster cast immobilization. When conservative treatment is appropriate, a. A calcaneal stress fracture is one or more tiny breaks in your heel bone (calcaneus). A fracture of the calcaneus, or heel bone, can be a painful and disabling injury. Calcaneus fractures are the most common fractured tarsal bone and are associated with a high degree of morbidity and disability. The best shoes for recovery after a calcaneal fracture have a cushioned sole, low heel drop and a mesh upper. Treatment for calcaneus fracture is decided based on the type and location of the fracture.
from united-ortho.com
Treatment for calcaneus fracture is decided based on the type and location of the fracture. The best shoes for recovery after a calcaneal fracture have a cushioned sole, low heel drop and a mesh upper. A fracture of the calcaneus, or heel bone, can be a painful and disabling injury. Calcaneus fractures are the most common fractured tarsal bone and are associated with a high degree of morbidity and disability. For those calcaneus fractures that are not displaced, treatment may involve the use of crutches and/or a protective boot or brace, or, plaster cast immobilization. A calcaneal stress fracture is one or more tiny breaks in your heel bone (calcaneus). We recommend the skechers max. When conservative treatment is appropriate, a.
Short Air Cam Walker Fracture Boot United Ortho
Boot For Calcaneal Fracture Treatment for calcaneus fracture is decided based on the type and location of the fracture. When conservative treatment is appropriate, a. For those calcaneus fractures that are not displaced, treatment may involve the use of crutches and/or a protective boot or brace, or, plaster cast immobilization. Treatment for calcaneus fracture is decided based on the type and location of the fracture. A fracture of the calcaneus, or heel bone, can be a painful and disabling injury. A calcaneal stress fracture is one or more tiny breaks in your heel bone (calcaneus). Calcaneus fractures are the most common fractured tarsal bone and are associated with a high degree of morbidity and disability. We recommend the skechers max. The best shoes for recovery after a calcaneal fracture have a cushioned sole, low heel drop and a mesh upper.
From orthopaedicprinciples.com
Calcaneal Fractures An Overview — Boot For Calcaneal Fracture A fracture of the calcaneus, or heel bone, can be a painful and disabling injury. The best shoes for recovery after a calcaneal fracture have a cushioned sole, low heel drop and a mesh upper. When conservative treatment is appropriate, a. Calcaneus fractures are the most common fractured tarsal bone and are associated with a high degree of morbidity and. Boot For Calcaneal Fracture.
From www.braceability.com
Air Walker Boot Foot Cast Boot for Ankle Sprains & Stress Fractures Boot For Calcaneal Fracture For those calcaneus fractures that are not displaced, treatment may involve the use of crutches and/or a protective boot or brace, or, plaster cast immobilization. We recommend the skechers max. Treatment for calcaneus fracture is decided based on the type and location of the fracture. A fracture of the calcaneus, or heel bone, can be a painful and disabling injury.. Boot For Calcaneal Fracture.
From www.pisceshealth.com
Pisces Healthcare Solutions. Metatarsal Stress Fracture Foot Brace Boot For Calcaneal Fracture Treatment for calcaneus fracture is decided based on the type and location of the fracture. A fracture of the calcaneus, or heel bone, can be a painful and disabling injury. Calcaneus fractures are the most common fractured tarsal bone and are associated with a high degree of morbidity and disability. A calcaneal stress fracture is one or more tiny breaks. Boot For Calcaneal Fracture.
From united-ortho.com
Short Air Cam Walker Fracture Boot United Ortho Boot For Calcaneal Fracture When conservative treatment is appropriate, a. We recommend the skechers max. For those calcaneus fractures that are not displaced, treatment may involve the use of crutches and/or a protective boot or brace, or, plaster cast immobilization. A fracture of the calcaneus, or heel bone, can be a painful and disabling injury. Calcaneus fractures are the most common fractured tarsal bone. Boot For Calcaneal Fracture.
From www.docontherun.com
159 When a fracture boot is necessary for a stress fracture in a Boot For Calcaneal Fracture We recommend the skechers max. A fracture of the calcaneus, or heel bone, can be a painful and disabling injury. For those calcaneus fractures that are not displaced, treatment may involve the use of crutches and/or a protective boot or brace, or, plaster cast immobilization. A calcaneal stress fracture is one or more tiny breaks in your heel bone (calcaneus).. Boot For Calcaneal Fracture.
From www.ubuy.co.in
Buy ExoArmor Ultralight Walking Boot for Sprained Ankle, Stress Boot For Calcaneal Fracture A fracture of the calcaneus, or heel bone, can be a painful and disabling injury. The best shoes for recovery after a calcaneal fracture have a cushioned sole, low heel drop and a mesh upper. For those calcaneus fractures that are not displaced, treatment may involve the use of crutches and/or a protective boot or brace, or, plaster cast immobilization.. Boot For Calcaneal Fracture.
From www.orthobullets.com
Calcaneus Fractures Trauma Orthobullets Boot For Calcaneal Fracture For those calcaneus fractures that are not displaced, treatment may involve the use of crutches and/or a protective boot or brace, or, plaster cast immobilization. Treatment for calcaneus fracture is decided based on the type and location of the fracture. A calcaneal stress fracture is one or more tiny breaks in your heel bone (calcaneus). Calcaneus fractures are the most. Boot For Calcaneal Fracture.
From www.fg-brace.com
Ankle Surgical Cam Walking Support Boot For Sprained Fracture Boot For Calcaneal Fracture For those calcaneus fractures that are not displaced, treatment may involve the use of crutches and/or a protective boot or brace, or, plaster cast immobilization. Treatment for calcaneus fracture is decided based on the type and location of the fracture. When conservative treatment is appropriate, a. The best shoes for recovery after a calcaneal fracture have a cushioned sole, low. Boot For Calcaneal Fracture.
From www.pinterest.com
Best Shoes After Calcaneal Fracture, Heel Spurs Top 8 Picks & Reviews Boot For Calcaneal Fracture A fracture of the calcaneus, or heel bone, can be a painful and disabling injury. A calcaneal stress fracture is one or more tiny breaks in your heel bone (calcaneus). The best shoes for recovery after a calcaneal fracture have a cushioned sole, low heel drop and a mesh upper. Treatment for calcaneus fracture is decided based on the type. Boot For Calcaneal Fracture.
From www.adamsfootsurgery.com
Bad Calcaneus Fracture Fixed through Small Incision Adams Foot Boot For Calcaneal Fracture A calcaneal stress fracture is one or more tiny breaks in your heel bone (calcaneus). We recommend the skechers max. Calcaneus fractures are the most common fractured tarsal bone and are associated with a high degree of morbidity and disability. The best shoes for recovery after a calcaneal fracture have a cushioned sole, low heel drop and a mesh upper.. Boot For Calcaneal Fracture.
From jetem.org
Case Report of a TongueType Calcaneal Fracture JETem Boot For Calcaneal Fracture The best shoes for recovery after a calcaneal fracture have a cushioned sole, low heel drop and a mesh upper. Treatment for calcaneus fracture is decided based on the type and location of the fracture. We recommend the skechers max. Calcaneus fractures are the most common fractured tarsal bone and are associated with a high degree of morbidity and disability.. Boot For Calcaneal Fracture.
From www.svuhradiology.ie
Calcaneal Fracture Radiology at St. Vincent's University Hospital Boot For Calcaneal Fracture A calcaneal stress fracture is one or more tiny breaks in your heel bone (calcaneus). Treatment for calcaneus fracture is decided based on the type and location of the fracture. Calcaneus fractures are the most common fractured tarsal bone and are associated with a high degree of morbidity and disability. For those calcaneus fractures that are not displaced, treatment may. Boot For Calcaneal Fracture.
From sportdoctorlondon.com
Managing Jones Fracture Treatment Options and Recovery Sport Doctor Boot For Calcaneal Fracture We recommend the skechers max. Calcaneus fractures are the most common fractured tarsal bone and are associated with a high degree of morbidity and disability. A fracture of the calcaneus, or heel bone, can be a painful and disabling injury. For those calcaneus fractures that are not displaced, treatment may involve the use of crutches and/or a protective boot or. Boot For Calcaneal Fracture.
From jetem.org
TongueType Calcaneal Fracture Image 4 Unannotated JETem Boot For Calcaneal Fracture A fracture of the calcaneus, or heel bone, can be a painful and disabling injury. A calcaneal stress fracture is one or more tiny breaks in your heel bone (calcaneus). We recommend the skechers max. For those calcaneus fractures that are not displaced, treatment may involve the use of crutches and/or a protective boot or brace, or, plaster cast immobilization.. Boot For Calcaneal Fracture.
From www.jem-journal.com
Calcaneus Fractures A Possible Musculoskeletal Emergency Journal of Boot For Calcaneal Fracture When conservative treatment is appropriate, a. Calcaneus fractures are the most common fractured tarsal bone and are associated with a high degree of morbidity and disability. A calcaneal stress fracture is one or more tiny breaks in your heel bone (calcaneus). The best shoes for recovery after a calcaneal fracture have a cushioned sole, low heel drop and a mesh. Boot For Calcaneal Fracture.
From ar.inspiredpencil.com
Calcaneus Fracture Classification Boot For Calcaneal Fracture When conservative treatment is appropriate, a. We recommend the skechers max. For those calcaneus fractures that are not displaced, treatment may involve the use of crutches and/or a protective boot or brace, or, plaster cast immobilization. Calcaneus fractures are the most common fractured tarsal bone and are associated with a high degree of morbidity and disability. The best shoes for. Boot For Calcaneal Fracture.
From www.researchgate.net
Postoperative longterm radiograph shows that the calcaneus has no loss Boot For Calcaneal Fracture Treatment for calcaneus fracture is decided based on the type and location of the fracture. The best shoes for recovery after a calcaneal fracture have a cushioned sole, low heel drop and a mesh upper. For those calcaneus fractures that are not displaced, treatment may involve the use of crutches and/or a protective boot or brace, or, plaster cast immobilization.. Boot For Calcaneal Fracture.
From www.adelaideankle.com.au
Calcaneus Fractures Dr Ben Beamond Adelaide Boot For Calcaneal Fracture We recommend the skechers max. A calcaneal stress fracture is one or more tiny breaks in your heel bone (calcaneus). Calcaneus fractures are the most common fractured tarsal bone and are associated with a high degree of morbidity and disability. The best shoes for recovery after a calcaneal fracture have a cushioned sole, low heel drop and a mesh upper.. Boot For Calcaneal Fracture.
From www.physioroom.com
Deluxe Air Ankle/Foot Fracture Brace Walking Boot Short Boot For Calcaneal Fracture A calcaneal stress fracture is one or more tiny breaks in your heel bone (calcaneus). A fracture of the calcaneus, or heel bone, can be a painful and disabling injury. Calcaneus fractures are the most common fractured tarsal bone and are associated with a high degree of morbidity and disability. The best shoes for recovery after a calcaneal fracture have. Boot For Calcaneal Fracture.
From www.galleon.ph
Galleon BraceAbility Short Broken Toe Boot Walker For Fracture Boot For Calcaneal Fracture When conservative treatment is appropriate, a. A calcaneal stress fracture is one or more tiny breaks in your heel bone (calcaneus). The best shoes for recovery after a calcaneal fracture have a cushioned sole, low heel drop and a mesh upper. Calcaneus fractures are the most common fractured tarsal bone and are associated with a high degree of morbidity and. Boot For Calcaneal Fracture.
From www.bta-mall.com
Short Broken Toe Boot for Fracture RecoveryXS Health Beauty Health Boot For Calcaneal Fracture A fracture of the calcaneus, or heel bone, can be a painful and disabling injury. We recommend the skechers max. A calcaneal stress fracture is one or more tiny breaks in your heel bone (calcaneus). For those calcaneus fractures that are not displaced, treatment may involve the use of crutches and/or a protective boot or brace, or, plaster cast immobilization.. Boot For Calcaneal Fracture.
From www.indiamart.com
Tynor D 51 Walker Boot Air at best price in Jaipur ID 23188386612 Boot For Calcaneal Fracture For those calcaneus fractures that are not displaced, treatment may involve the use of crutches and/or a protective boot or brace, or, plaster cast immobilization. We recommend the skechers max. A calcaneal stress fracture is one or more tiny breaks in your heel bone (calcaneus). Calcaneus fractures are the most common fractured tarsal bone and are associated with a high. Boot For Calcaneal Fracture.
From respectcaregivers.org
Best Walking Boots For Calcaneal Fracture RespectCareGivers Boot For Calcaneal Fracture We recommend the skechers max. When conservative treatment is appropriate, a. The best shoes for recovery after a calcaneal fracture have a cushioned sole, low heel drop and a mesh upper. A calcaneal stress fracture is one or more tiny breaks in your heel bone (calcaneus). For those calcaneus fractures that are not displaced, treatment may involve the use of. Boot For Calcaneal Fracture.
From ankleaction.com
Best Walking Boot for Stress Fracture 2024 Buyers Guide, Review Boot For Calcaneal Fracture A calcaneal stress fracture is one or more tiny breaks in your heel bone (calcaneus). For those calcaneus fractures that are not displaced, treatment may involve the use of crutches and/or a protective boot or brace, or, plaster cast immobilization. We recommend the skechers max. When conservative treatment is appropriate, a. Treatment for calcaneus fracture is decided based on the. Boot For Calcaneal Fracture.
From proper-cooking.info
Calcaneus Bone Fracture Boot For Calcaneal Fracture When conservative treatment is appropriate, a. We recommend the skechers max. A calcaneal stress fracture is one or more tiny breaks in your heel bone (calcaneus). A fracture of the calcaneus, or heel bone, can be a painful and disabling injury. Treatment for calcaneus fracture is decided based on the type and location of the fracture. Calcaneus fractures are the. Boot For Calcaneal Fracture.
From www.desertcart.in
Buy Vive Wedge PostOp Shoe Offloading Boot for Heel or Ankle Pain Boot For Calcaneal Fracture Treatment for calcaneus fracture is decided based on the type and location of the fracture. Calcaneus fractures are the most common fractured tarsal bone and are associated with a high degree of morbidity and disability. We recommend the skechers max. The best shoes for recovery after a calcaneal fracture have a cushioned sole, low heel drop and a mesh upper.. Boot For Calcaneal Fracture.
From www.cchit.org
Ranking Of The Best Walking Boot For 5th Metatarsal Fracture [ 2022 Boot For Calcaneal Fracture Calcaneus fractures are the most common fractured tarsal bone and are associated with a high degree of morbidity and disability. A fracture of the calcaneus, or heel bone, can be a painful and disabling injury. When conservative treatment is appropriate, a. The best shoes for recovery after a calcaneal fracture have a cushioned sole, low heel drop and a mesh. Boot For Calcaneal Fracture.
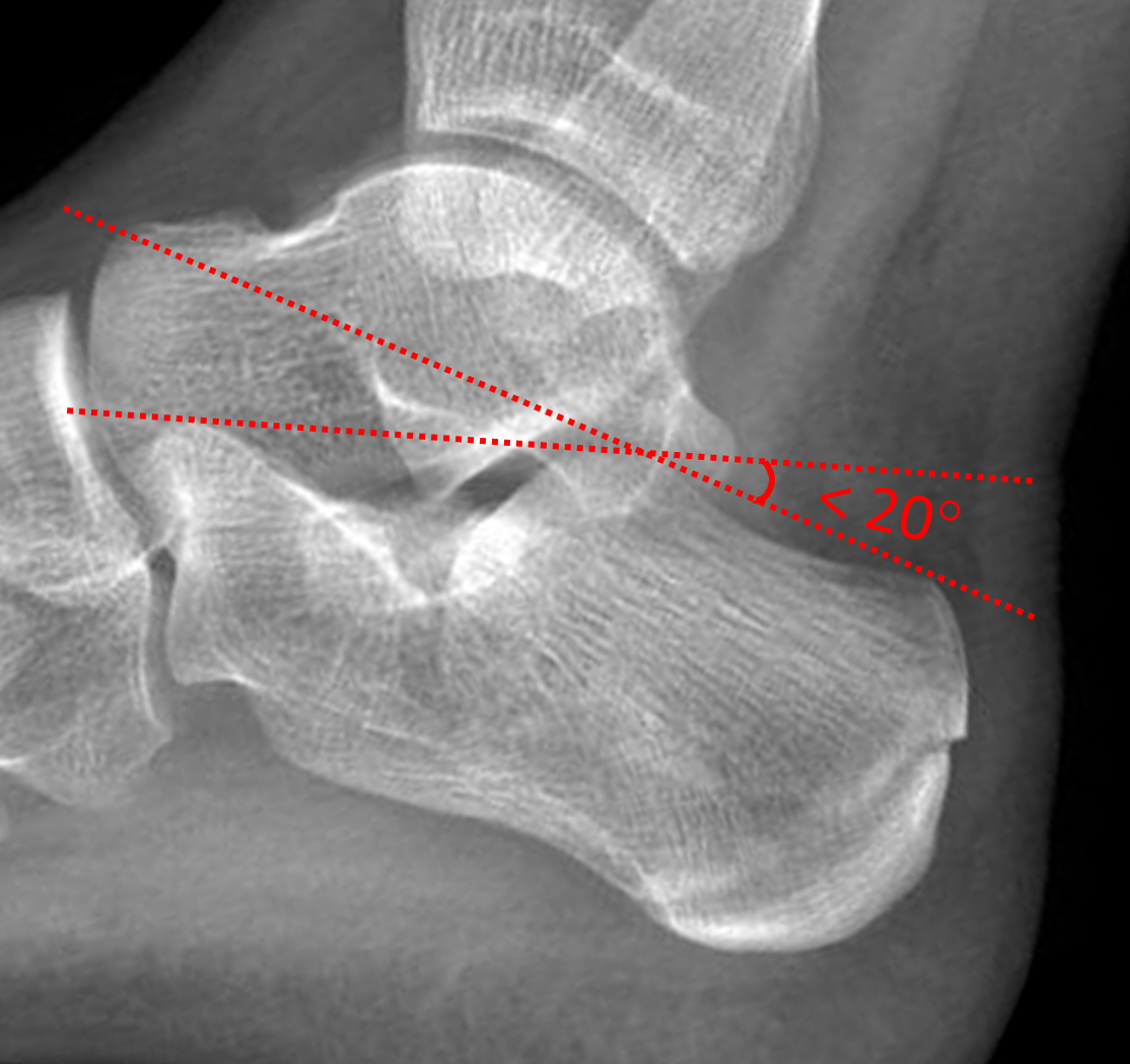
From mavink.com
Calcaneal Fracture Angle Boot For Calcaneal Fracture Calcaneus fractures are the most common fractured tarsal bone and are associated with a high degree of morbidity and disability. For those calcaneus fractures that are not displaced, treatment may involve the use of crutches and/or a protective boot or brace, or, plaster cast immobilization. We recommend the skechers max. Treatment for calcaneus fracture is decided based on the type. Boot For Calcaneal Fracture.
From www.pinterest.com
Best Shoes After Calcaneal Fracture, Heel Spurs Top 8 Picks & Reviews Boot For Calcaneal Fracture A calcaneal stress fracture is one or more tiny breaks in your heel bone (calcaneus). A fracture of the calcaneus, or heel bone, can be a painful and disabling injury. When conservative treatment is appropriate, a. For those calcaneus fractures that are not displaced, treatment may involve the use of crutches and/or a protective boot or brace, or, plaster cast. Boot For Calcaneal Fracture.
From ar.inspiredpencil.com
Calcaneus Stress Fracture Boot For Calcaneal Fracture Calcaneus fractures are the most common fractured tarsal bone and are associated with a high degree of morbidity and disability. When conservative treatment is appropriate, a. Treatment for calcaneus fracture is decided based on the type and location of the fracture. A calcaneal stress fracture is one or more tiny breaks in your heel bone (calcaneus). The best shoes for. Boot For Calcaneal Fracture.
From www.researchgate.net
"Don Juan" calcaneal fractures Are they always impact fractures or Boot For Calcaneal Fracture Calcaneus fractures are the most common fractured tarsal bone and are associated with a high degree of morbidity and disability. A fracture of the calcaneus, or heel bone, can be a painful and disabling injury. A calcaneal stress fracture is one or more tiny breaks in your heel bone (calcaneus). Treatment for calcaneus fracture is decided based on the type. Boot For Calcaneal Fracture.
From www.desertcart.ae
Buy MARS Premium Short Air Cam Walker Boot Large Fracture, ed Ankle Boot For Calcaneal Fracture A fracture of the calcaneus, or heel bone, can be a painful and disabling injury. When conservative treatment is appropriate, a. For those calcaneus fractures that are not displaced, treatment may involve the use of crutches and/or a protective boot or brace, or, plaster cast immobilization. The best shoes for recovery after a calcaneal fracture have a cushioned sole, low. Boot For Calcaneal Fracture.
From savvyaboutshoes.com
Best Shoe After Calcaneal Fracture Savvy About Shoes Boot For Calcaneal Fracture A calcaneal stress fracture is one or more tiny breaks in your heel bone (calcaneus). We recommend the skechers max. The best shoes for recovery after a calcaneal fracture have a cushioned sole, low heel drop and a mesh upper. A fracture of the calcaneus, or heel bone, can be a painful and disabling injury. Calcaneus fractures are the most. Boot For Calcaneal Fracture.
From www.amazon.de
Aircast SP (kurz) Reifen Walker Brace/Walking Boot Amazon.de Gewerbe Boot For Calcaneal Fracture Calcaneus fractures are the most common fractured tarsal bone and are associated with a high degree of morbidity and disability. Treatment for calcaneus fracture is decided based on the type and location of the fracture. The best shoes for recovery after a calcaneal fracture have a cushioned sole, low heel drop and a mesh upper. For those calcaneus fractures that. Boot For Calcaneal Fracture.
From www.youtube.com
Robert Jones Splint For Calcaneus Fractures YouTube Boot For Calcaneal Fracture A fracture of the calcaneus, or heel bone, can be a painful and disabling injury. For those calcaneus fractures that are not displaced, treatment may involve the use of crutches and/or a protective boot or brace, or, plaster cast immobilization. When conservative treatment is appropriate, a. Treatment for calcaneus fracture is decided based on the type and location of the. Boot For Calcaneal Fracture.