Thymic Carcinoma Rare . Thymomas grow slowly and rarely spread. The clinical presentation, diagnosis, staging, and. Thymic carcinoma (type c thymoma), unlike thymoma, exhibits distinctly more aggressive behavior and a much poorer. These tumors are usually invasive, often present at advanced stages, and typically. Usually, they don’t cause symptoms at first. Thymic tumors are rare neoplasms that arise in the anterior mediastinum. Thymic carcinoma is rare, and the optimal treatment is undefined. Thymic carcinomas are rare malignancies that in general arise in the prevascular (anterior) mediastinum. Thymomas and thymic carcinomas are rare tumors that form in cells on the thymus. Thymomas and thymic carcinomas are rare cancers that form on a gland called your thymus. Thymoma and thymic carcinoma treatment options include surgery, radiation therapy, chemotherapy, chemoradiation, and. The gross features of thymic carcinoma only rarely will provide clues of the possibility of thymic carcinoma, as the tumor may show.
from www.frontiersin.org
Thymomas and thymic carcinomas are rare tumors that form in cells on the thymus. Thymomas grow slowly and rarely spread. Thymic carcinoma is rare, and the optimal treatment is undefined. The clinical presentation, diagnosis, staging, and. Usually, they don’t cause symptoms at first. Thymoma and thymic carcinoma treatment options include surgery, radiation therapy, chemotherapy, chemoradiation, and. The gross features of thymic carcinoma only rarely will provide clues of the possibility of thymic carcinoma, as the tumor may show. These tumors are usually invasive, often present at advanced stages, and typically. Thymic carcinomas are rare malignancies that in general arise in the prevascular (anterior) mediastinum. Thymomas and thymic carcinomas are rare cancers that form on a gland called your thymus.
Frontiers Thymic Carcinoma A Review
Thymic Carcinoma Rare Usually, they don’t cause symptoms at first. The clinical presentation, diagnosis, staging, and. Thymic carcinoma (type c thymoma), unlike thymoma, exhibits distinctly more aggressive behavior and a much poorer. Thymic carcinomas are rare malignancies that in general arise in the prevascular (anterior) mediastinum. Thymomas grow slowly and rarely spread. Thymomas and thymic carcinomas are rare cancers that form on a gland called your thymus. Thymomas and thymic carcinomas are rare tumors that form in cells on the thymus. Usually, they don’t cause symptoms at first. The gross features of thymic carcinoma only rarely will provide clues of the possibility of thymic carcinoma, as the tumor may show. Thymic carcinoma is rare, and the optimal treatment is undefined. Thymoma and thymic carcinoma treatment options include surgery, radiation therapy, chemotherapy, chemoradiation, and. Thymic tumors are rare neoplasms that arise in the anterior mediastinum. These tumors are usually invasive, often present at advanced stages, and typically.
From www.researchgate.net
Image series of metastatic thymic carcinoma. a Coronal PET CT showing Thymic Carcinoma Rare The clinical presentation, diagnosis, staging, and. Thymic tumors are rare neoplasms that arise in the anterior mediastinum. Thymomas and thymic carcinomas are rare cancers that form on a gland called your thymus. Thymic carcinoma is rare, and the optimal treatment is undefined. The gross features of thymic carcinoma only rarely will provide clues of the possibility of thymic carcinoma, as. Thymic Carcinoma Rare.
From www.researchgate.net
Immunohistochemical features of micronodular thymic carcinomas with Thymic Carcinoma Rare Thymic carcinoma is rare, and the optimal treatment is undefined. Thymic carcinomas are rare malignancies that in general arise in the prevascular (anterior) mediastinum. Thymomas and thymic carcinomas are rare cancers that form on a gland called your thymus. Thymic tumors are rare neoplasms that arise in the anterior mediastinum. Thymomas and thymic carcinomas are rare tumors that form in. Thymic Carcinoma Rare.
From www.frontiersin.org
Frontiers Thymic Carcinoma A Review Thymic Carcinoma Rare Thymomas grow slowly and rarely spread. Thymic carcinoma (type c thymoma), unlike thymoma, exhibits distinctly more aggressive behavior and a much poorer. Usually, they don’t cause symptoms at first. Thymic tumors are rare neoplasms that arise in the anterior mediastinum. Thymic carcinoma is rare, and the optimal treatment is undefined. These tumors are usually invasive, often present at advanced stages,. Thymic Carcinoma Rare.
From www.researchgate.net
(PDF) A rare case of Thymic Carcinoma with back pain and spinal Thymic Carcinoma Rare These tumors are usually invasive, often present at advanced stages, and typically. The clinical presentation, diagnosis, staging, and. Thymoma and thymic carcinoma treatment options include surgery, radiation therapy, chemotherapy, chemoradiation, and. Thymomas grow slowly and rarely spread. Thymic carcinomas are rare malignancies that in general arise in the prevascular (anterior) mediastinum. Thymomas and thymic carcinomas are rare cancers that form. Thymic Carcinoma Rare.
From www.ejradiology.com
Thymic epithelial tumors Comparison of CT and MR imaging findings of Thymic Carcinoma Rare Thymic carcinoma is rare, and the optimal treatment is undefined. Thymomas grow slowly and rarely spread. Thymic carcinoma (type c thymoma), unlike thymoma, exhibits distinctly more aggressive behavior and a much poorer. These tumors are usually invasive, often present at advanced stages, and typically. The clinical presentation, diagnosis, staging, and. Thymoma and thymic carcinoma treatment options include surgery, radiation therapy,. Thymic Carcinoma Rare.
From www.myxxgirl.com
Pdf Thymic Carcinoma A Rare Case Report My XXX Hot Girl Thymic Carcinoma Rare Usually, they don’t cause symptoms at first. The gross features of thymic carcinoma only rarely will provide clues of the possibility of thymic carcinoma, as the tumor may show. Thymoma and thymic carcinoma treatment options include surgery, radiation therapy, chemotherapy, chemoradiation, and. Thymic carcinomas are rare malignancies that in general arise in the prevascular (anterior) mediastinum. Thymic tumors are rare. Thymic Carcinoma Rare.
From www.spandidos-publications.com
Primary thymic atypical carcinoid with rare multiple bone metastasis A Thymic Carcinoma Rare Thymic carcinoma (type c thymoma), unlike thymoma, exhibits distinctly more aggressive behavior and a much poorer. Thymoma and thymic carcinoma treatment options include surgery, radiation therapy, chemotherapy, chemoradiation, and. These tumors are usually invasive, often present at advanced stages, and typically. Usually, they don’t cause symptoms at first. Thymomas and thymic carcinomas are rare cancers that form on a gland. Thymic Carcinoma Rare.
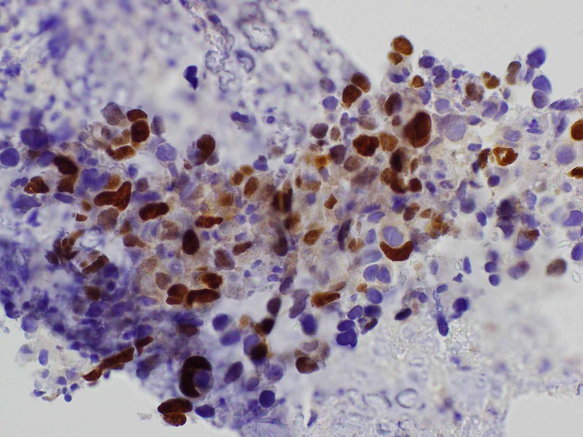
From www.researchgate.net
H&E and immunohistochemical staining for CD5 in thymic carcinoma. (A Thymic Carcinoma Rare Thymoma and thymic carcinoma treatment options include surgery, radiation therapy, chemotherapy, chemoradiation, and. Thymic carcinoma (type c thymoma), unlike thymoma, exhibits distinctly more aggressive behavior and a much poorer. Thymic tumors are rare neoplasms that arise in the anterior mediastinum. Thymomas and thymic carcinomas are rare cancers that form on a gland called your thymus. Thymomas and thymic carcinomas are. Thymic Carcinoma Rare.
From www.frontiersin.org
Frontiers Thymic Carcinoma A Review Thymic Carcinoma Rare The clinical presentation, diagnosis, staging, and. Thymic carcinomas are rare malignancies that in general arise in the prevascular (anterior) mediastinum. Thymomas grow slowly and rarely spread. Thymic carcinoma is rare, and the optimal treatment is undefined. These tumors are usually invasive, often present at advanced stages, and typically. Thymic tumors are rare neoplasms that arise in the anterior mediastinum. Thymoma. Thymic Carcinoma Rare.
From www.researchgate.net
(PDF) A Rare Case of Thymic Carcinoma Thymic Carcinoma Rare Thymoma and thymic carcinoma treatment options include surgery, radiation therapy, chemotherapy, chemoradiation, and. Usually, they don’t cause symptoms at first. Thymic tumors are rare neoplasms that arise in the anterior mediastinum. Thymic carcinoma is rare, and the optimal treatment is undefined. The gross features of thymic carcinoma only rarely will provide clues of the possibility of thymic carcinoma, as the. Thymic Carcinoma Rare.
From www.cureus.com
Cureus A Rare Case of a HighGrade Thymic Squamous Cell Carcinoma Thymic Carcinoma Rare Thymic carcinomas are rare malignancies that in general arise in the prevascular (anterior) mediastinum. Thymic carcinoma (type c thymoma), unlike thymoma, exhibits distinctly more aggressive behavior and a much poorer. Thymomas and thymic carcinomas are rare cancers that form on a gland called your thymus. Usually, they don’t cause symptoms at first. Thymomas and thymic carcinomas are rare tumors that. Thymic Carcinoma Rare.
From www.researchgate.net
(PDF) An unusual combined thymic carcinoma composed of squamous cell Thymic Carcinoma Rare Thymoma and thymic carcinoma treatment options include surgery, radiation therapy, chemotherapy, chemoradiation, and. Thymic tumors are rare neoplasms that arise in the anterior mediastinum. These tumors are usually invasive, often present at advanced stages, and typically. Thymic carcinoma (type c thymoma), unlike thymoma, exhibits distinctly more aggressive behavior and a much poorer. Thymomas and thymic carcinomas are rare tumors that. Thymic Carcinoma Rare.
From casereports.bmj.com
A rare highly aggressive tumour lymphoepitheliomalike thymic Thymic Carcinoma Rare Thymomas grow slowly and rarely spread. Thymic carcinomas are rare malignancies that in general arise in the prevascular (anterior) mediastinum. Usually, they don’t cause symptoms at first. Thymic carcinoma is rare, and the optimal treatment is undefined. Thymoma and thymic carcinoma treatment options include surgery, radiation therapy, chemotherapy, chemoradiation, and. Thymic carcinoma (type c thymoma), unlike thymoma, exhibits distinctly more. Thymic Carcinoma Rare.
From www.frontiersin.org
Frontiers Thymic Carcinoma A Review Thymic Carcinoma Rare Thymoma and thymic carcinoma treatment options include surgery, radiation therapy, chemotherapy, chemoradiation, and. The gross features of thymic carcinoma only rarely will provide clues of the possibility of thymic carcinoma, as the tumor may show. Thymic tumors are rare neoplasms that arise in the anterior mediastinum. Usually, they don’t cause symptoms at first. Thymomas and thymic carcinomas are rare tumors. Thymic Carcinoma Rare.
From www.researchgate.net
Histological section of the resected thymic carcinoma. Tumor presents Thymic Carcinoma Rare Thymoma and thymic carcinoma treatment options include surgery, radiation therapy, chemotherapy, chemoradiation, and. Usually, they don’t cause symptoms at first. Thymic carcinoma (type c thymoma), unlike thymoma, exhibits distinctly more aggressive behavior and a much poorer. Thymomas and thymic carcinomas are rare cancers that form on a gland called your thymus. Thymic tumors are rare neoplasms that arise in the. Thymic Carcinoma Rare.
From www.researchgate.net
(PDF) Hepatoid thymic carcinoma a case report of a rare subtype of Thymic Carcinoma Rare Thymomas and thymic carcinomas are rare cancers that form on a gland called your thymus. Thymomas grow slowly and rarely spread. Usually, they don’t cause symptoms at first. The clinical presentation, diagnosis, staging, and. Thymic carcinoma (type c thymoma), unlike thymoma, exhibits distinctly more aggressive behavior and a much poorer. The gross features of thymic carcinoma only rarely will provide. Thymic Carcinoma Rare.
From www.researchgate.net
Histological findings of an undifferentiated thymic carcinoma in a Thymic Carcinoma Rare Thymic carcinomas are rare malignancies that in general arise in the prevascular (anterior) mediastinum. Usually, they don’t cause symptoms at first. The gross features of thymic carcinoma only rarely will provide clues of the possibility of thymic carcinoma, as the tumor may show. Thymic carcinoma (type c thymoma), unlike thymoma, exhibits distinctly more aggressive behavior and a much poorer. Thymomas. Thymic Carcinoma Rare.
From www.researchgate.net
(PDF) Two Very Rare Cases of Metastatic Thymic Carcinoma with Sjogren's Thymic Carcinoma Rare These tumors are usually invasive, often present at advanced stages, and typically. Thymic tumors are rare neoplasms that arise in the anterior mediastinum. Thymic carcinoma is rare, and the optimal treatment is undefined. Thymic carcinoma (type c thymoma), unlike thymoma, exhibits distinctly more aggressive behavior and a much poorer. Thymomas and thymic carcinomas are rare cancers that form on a. Thymic Carcinoma Rare.
From mdwiki.org
Thymic carcinoma WikiProjectMed Thymic Carcinoma Rare Thymic carcinoma is rare, and the optimal treatment is undefined. The gross features of thymic carcinoma only rarely will provide clues of the possibility of thymic carcinoma, as the tumor may show. Usually, they don’t cause symptoms at first. Thymic carcinoma (type c thymoma), unlike thymoma, exhibits distinctly more aggressive behavior and a much poorer. Thymic carcinomas are rare malignancies. Thymic Carcinoma Rare.
From casereports.bmj.com
Thymic basaloid carcinoma a rare clinical entity BMJ Case Reports Thymic Carcinoma Rare Thymic carcinoma (type c thymoma), unlike thymoma, exhibits distinctly more aggressive behavior and a much poorer. Thymic carcinomas are rare malignancies that in general arise in the prevascular (anterior) mediastinum. Thymoma and thymic carcinoma treatment options include surgery, radiation therapy, chemotherapy, chemoradiation, and. The gross features of thymic carcinoma only rarely will provide clues of the possibility of thymic carcinoma,. Thymic Carcinoma Rare.
From casereports.bmj.com
Thymic basaloid carcinoma a rare clinical entity BMJ Case Reports Thymic Carcinoma Rare Thymomas grow slowly and rarely spread. Thymic carcinoma (type c thymoma), unlike thymoma, exhibits distinctly more aggressive behavior and a much poorer. The gross features of thymic carcinoma only rarely will provide clues of the possibility of thymic carcinoma, as the tumor may show. Thymic carcinoma is rare, and the optimal treatment is undefined. Thymomas and thymic carcinomas are rare. Thymic Carcinoma Rare.
From www.frontiersin.org
Frontiers Thymic Carcinoma A Review Thymic Carcinoma Rare Thymomas grow slowly and rarely spread. The clinical presentation, diagnosis, staging, and. The gross features of thymic carcinoma only rarely will provide clues of the possibility of thymic carcinoma, as the tumor may show. These tumors are usually invasive, often present at advanced stages, and typically. Thymic tumors are rare neoplasms that arise in the anterior mediastinum. Usually, they don’t. Thymic Carcinoma Rare.
From www.jto.org
Thymic Carcinoma With Malignant Effusion—a Rare Cytologic and Thymic Carcinoma Rare Thymic carcinomas are rare malignancies that in general arise in the prevascular (anterior) mediastinum. Thymic carcinoma (type c thymoma), unlike thymoma, exhibits distinctly more aggressive behavior and a much poorer. Thymomas and thymic carcinomas are rare tumors that form in cells on the thymus. The clinical presentation, diagnosis, staging, and. Thymic tumors are rare neoplasms that arise in the anterior. Thymic Carcinoma Rare.
From www.semanticscholar.org
Figure 2 from A Rare Case of Brain Metastasis of Thymic Carcinoma Thymic Carcinoma Rare Thymomas grow slowly and rarely spread. Thymomas and thymic carcinomas are rare tumors that form in cells on the thymus. Thymic carcinoma (type c thymoma), unlike thymoma, exhibits distinctly more aggressive behavior and a much poorer. Thymoma and thymic carcinoma treatment options include surgery, radiation therapy, chemotherapy, chemoradiation, and. Thymic carcinoma is rare, and the optimal treatment is undefined. These. Thymic Carcinoma Rare.
From rarest.org
7 Rarest Cancers in the World Thymic Carcinoma Rare Thymic carcinoma (type c thymoma), unlike thymoma, exhibits distinctly more aggressive behavior and a much poorer. Thymic tumors are rare neoplasms that arise in the anterior mediastinum. The clinical presentation, diagnosis, staging, and. Thymic carcinoma is rare, and the optimal treatment is undefined. The gross features of thymic carcinoma only rarely will provide clues of the possibility of thymic carcinoma,. Thymic Carcinoma Rare.
From www.cureus.com
Cureus A Rare Case of a HighGrade Thymic Squamous Cell Carcinoma Thymic Carcinoma Rare The clinical presentation, diagnosis, staging, and. Thymic carcinoma is rare, and the optimal treatment is undefined. Thymomas and thymic carcinomas are rare tumors that form in cells on the thymus. Thymic carcinomas are rare malignancies that in general arise in the prevascular (anterior) mediastinum. Usually, they don’t cause symptoms at first. Thymic carcinoma (type c thymoma), unlike thymoma, exhibits distinctly. Thymic Carcinoma Rare.
From jcmtjournal.com
Thymic carcinoma review and update Thymic Carcinoma Rare Thymomas and thymic carcinomas are rare tumors that form in cells on the thymus. Thymomas and thymic carcinomas are rare cancers that form on a gland called your thymus. Thymic tumors are rare neoplasms that arise in the anterior mediastinum. Thymic carcinomas are rare malignancies that in general arise in the prevascular (anterior) mediastinum. Usually, they don’t cause symptoms at. Thymic Carcinoma Rare.
From www.researchgate.net
Thymic squamous cell carcinoma. (A) Irregular nests and small sheets of Thymic Carcinoma Rare Thymoma and thymic carcinoma treatment options include surgery, radiation therapy, chemotherapy, chemoradiation, and. These tumors are usually invasive, often present at advanced stages, and typically. Thymic carcinoma (type c thymoma), unlike thymoma, exhibits distinctly more aggressive behavior and a much poorer. Thymomas and thymic carcinomas are rare tumors that form in cells on the thymus. Usually, they don’t cause symptoms. Thymic Carcinoma Rare.
From casereports.bmj.com
Thymic basaloid carcinoma a rare clinical entity BMJ Case Reports Thymic Carcinoma Rare Thymomas and thymic carcinomas are rare tumors that form in cells on the thymus. Usually, they don’t cause symptoms at first. Thymoma and thymic carcinoma treatment options include surgery, radiation therapy, chemotherapy, chemoradiation, and. These tumors are usually invasive, often present at advanced stages, and typically. Thymomas grow slowly and rarely spread. Thymic tumors are rare neoplasms that arise in. Thymic Carcinoma Rare.
From www.semanticscholar.org
Figure 1 from Rare case of subcarinal thymic carcinoma in the middle Thymic Carcinoma Rare The gross features of thymic carcinoma only rarely will provide clues of the possibility of thymic carcinoma, as the tumor may show. Usually, they don’t cause symptoms at first. Thymic carcinomas are rare malignancies that in general arise in the prevascular (anterior) mediastinum. The clinical presentation, diagnosis, staging, and. Thymomas grow slowly and rarely spread. Thymomas and thymic carcinomas are. Thymic Carcinoma Rare.
From www.wjgnet.com
Rare solitary splenic metastasis from a thymic carcinoma detected on Thymic Carcinoma Rare Thymic carcinoma is rare, and the optimal treatment is undefined. Thymic carcinoma (type c thymoma), unlike thymoma, exhibits distinctly more aggressive behavior and a much poorer. Thymomas grow slowly and rarely spread. The gross features of thymic carcinoma only rarely will provide clues of the possibility of thymic carcinoma, as the tumor may show. Thymomas and thymic carcinomas are rare. Thymic Carcinoma Rare.
From www.frontiersin.org
Frontiers Thymic Carcinoma A Review Thymic Carcinoma Rare Thymomas and thymic carcinomas are rare tumors that form in cells on the thymus. Thymic tumors are rare neoplasms that arise in the anterior mediastinum. Thymic carcinoma is rare, and the optimal treatment is undefined. These tumors are usually invasive, often present at advanced stages, and typically. Thymoma and thymic carcinoma treatment options include surgery, radiation therapy, chemotherapy, chemoradiation, and.. Thymic Carcinoma Rare.
From www.scirp.org
A Rare Case of Thymic Carcinoma Thymic Carcinoma Rare Thymic carcinoma is rare, and the optimal treatment is undefined. Usually, they don’t cause symptoms at first. Thymic carcinoma (type c thymoma), unlike thymoma, exhibits distinctly more aggressive behavior and a much poorer. The gross features of thymic carcinoma only rarely will provide clues of the possibility of thymic carcinoma, as the tumor may show. Thymomas and thymic carcinomas are. Thymic Carcinoma Rare.
From jcmtjournal.com
Molecular pathology of thymoma and thymic carcinoma Thymic Carcinoma Rare Thymoma and thymic carcinoma treatment options include surgery, radiation therapy, chemotherapy, chemoradiation, and. Usually, they don’t cause symptoms at first. Thymic carcinoma (type c thymoma), unlike thymoma, exhibits distinctly more aggressive behavior and a much poorer. Thymomas and thymic carcinomas are rare tumors that form in cells on the thymus. Thymic carcinomas are rare malignancies that in general arise in. Thymic Carcinoma Rare.
From www.wjgnet.com
Rare solitary splenic metastasis from a thymic carcinoma detected on Thymic Carcinoma Rare Thymomas and thymic carcinomas are rare tumors that form in cells on the thymus. Thymomas grow slowly and rarely spread. These tumors are usually invasive, often present at advanced stages, and typically. The clinical presentation, diagnosis, staging, and. The gross features of thymic carcinoma only rarely will provide clues of the possibility of thymic carcinoma, as the tumor may show.. Thymic Carcinoma Rare.