Foot Hallux Rigidus . Hallux rigidus is a type of arthritis affecting the big toe's metatarsophalangeal (mtp) joint where the big toe meets the foot. It is the most common arthritic condition of the foot, affecting 1 in 40 people over the age of 50 and. It is the most common arthritic condition in the foot and can make walking painful and difficult. Hallux rigidus is a common foot condition characterized by pain and loss of motion of the 1st mtp joint in adults due to. However, this is not always a correct term for this. Hallux rigidus is a disorder of the joint located at the base of the big toe. 'hallux' refers to the big toe and 'rigidus' suggests a rigid toe. It causes pain and stiffness in the joint, and with time, it gets. Hallux rigidus is arthritis of the joint at the base of the big toe. Hallux rigidus (stiff big toe) occurs when the joint at the base of the big toe stiffens. Hallux rigidus is latin for stiff big toe,. It is one of the most common arthritic conditions affecting people ages 30 to 60.
from footeducation.com
Hallux rigidus is latin for stiff big toe,. Hallux rigidus is arthritis of the joint at the base of the big toe. It is the most common arthritic condition of the foot, affecting 1 in 40 people over the age of 50 and. However, this is not always a correct term for this. Hallux rigidus (stiff big toe) occurs when the joint at the base of the big toe stiffens. Hallux rigidus is a disorder of the joint located at the base of the big toe. It causes pain and stiffness in the joint, and with time, it gets. It is the most common arthritic condition in the foot and can make walking painful and difficult. Hallux rigidus is a common foot condition characterized by pain and loss of motion of the 1st mtp joint in adults due to. It is one of the most common arthritic conditions affecting people ages 30 to 60.
Hallux Rigidus (Big Toe Arthritis) FootEducation
Foot Hallux Rigidus Hallux rigidus is arthritis of the joint at the base of the big toe. Hallux rigidus is arthritis of the joint at the base of the big toe. 'hallux' refers to the big toe and 'rigidus' suggests a rigid toe. It causes pain and stiffness in the joint, and with time, it gets. It is one of the most common arthritic conditions affecting people ages 30 to 60. However, this is not always a correct term for this. Hallux rigidus (stiff big toe) occurs when the joint at the base of the big toe stiffens. Hallux rigidus is latin for stiff big toe,. It is the most common arthritic condition in the foot and can make walking painful and difficult. It is the most common arthritic condition of the foot, affecting 1 in 40 people over the age of 50 and. Hallux rigidus is a common foot condition characterized by pain and loss of motion of the 1st mtp joint in adults due to. Hallux rigidus is a disorder of the joint located at the base of the big toe. Hallux rigidus is a type of arthritis affecting the big toe's metatarsophalangeal (mtp) joint where the big toe meets the foot.
From www.archesfootandankle.com
Podiatrist in Lehi Hallux Rigidus in Lehi Arches Foot and Ankle Clinic Foot Hallux Rigidus It causes pain and stiffness in the joint, and with time, it gets. Hallux rigidus is latin for stiff big toe,. It is the most common arthritic condition in the foot and can make walking painful and difficult. It is one of the most common arthritic conditions affecting people ages 30 to 60. 'hallux' refers to the big toe and. Foot Hallux Rigidus.
From footdocsandiego.com
Severe Hallux Rigidus Advanced Foot And Ankle Center Of San Diego Foot Hallux Rigidus Hallux rigidus is a common foot condition characterized by pain and loss of motion of the 1st mtp joint in adults due to. It is the most common arthritic condition of the foot, affecting 1 in 40 people over the age of 50 and. Hallux rigidus is latin for stiff big toe,. Hallux rigidus is a disorder of the joint. Foot Hallux Rigidus.
From hipfootankle.com
Hallux Rigidus Dominic Carreira, MD Hip Arthroscopy & Foot & Ankle Surgery Foot Hallux Rigidus It is the most common arthritic condition in the foot and can make walking painful and difficult. Hallux rigidus is a common foot condition characterized by pain and loss of motion of the 1st mtp joint in adults due to. Hallux rigidus is a disorder of the joint located at the base of the big toe. It is the most. Foot Hallux Rigidus.
From my.clevelandclinic.org
Hallux Rigidus Symptoms, Causes & Treatment Foot Hallux Rigidus 'hallux' refers to the big toe and 'rigidus' suggests a rigid toe. Hallux rigidus is latin for stiff big toe,. However, this is not always a correct term for this. Hallux rigidus (stiff big toe) occurs when the joint at the base of the big toe stiffens. Hallux rigidus is a type of arthritis affecting the big toe's metatarsophalangeal (mtp). Foot Hallux Rigidus.
From www.michiganfootdoctors.com
Hallux Rigidus Treatment *Exercises, Inserts and Surgery* What is Best? Foot Hallux Rigidus Hallux rigidus is a common foot condition characterized by pain and loss of motion of the 1st mtp joint in adults due to. Hallux rigidus (stiff big toe) occurs when the joint at the base of the big toe stiffens. Hallux rigidus is a type of arthritis affecting the big toe's metatarsophalangeal (mtp) joint where the big toe meets the. Foot Hallux Rigidus.
From drschoene.com
Hallux Rigidus Signs & Symptoms Treatment in Chicago, IL Foot Hallux Rigidus Hallux rigidus is arthritis of the joint at the base of the big toe. Hallux rigidus is latin for stiff big toe,. Hallux rigidus is a type of arthritis affecting the big toe's metatarsophalangeal (mtp) joint where the big toe meets the foot. It is the most common arthritic condition in the foot and can make walking painful and difficult.. Foot Hallux Rigidus.
From www.youtube.com
Stiff Big Toe Joint (Hallux Rigidus) Treatment YouTube Foot Hallux Rigidus It causes pain and stiffness in the joint, and with time, it gets. However, this is not always a correct term for this. Hallux rigidus is a disorder of the joint located at the base of the big toe. Hallux rigidus (stiff big toe) occurs when the joint at the base of the big toe stiffens. It is the most. Foot Hallux Rigidus.
From www.chiropody.co.uk
Hallux rigidus The foot Biomechanical problems What We Treat Chiropody.co.uk Leading Foot Hallux Rigidus However, this is not always a correct term for this. Hallux rigidus is a disorder of the joint located at the base of the big toe. Hallux rigidus (stiff big toe) occurs when the joint at the base of the big toe stiffens. Hallux rigidus is a common foot condition characterized by pain and loss of motion of the 1st. Foot Hallux Rigidus.
From www.physiocheck.co.uk
Hallux rigidus Physio Check Foot Hallux Rigidus 'hallux' refers to the big toe and 'rigidus' suggests a rigid toe. Hallux rigidus is arthritis of the joint at the base of the big toe. It causes pain and stiffness in the joint, and with time, it gets. However, this is not always a correct term for this. It is one of the most common arthritic conditions affecting people. Foot Hallux Rigidus.
From hipfootankle.com
Hallux Rigidus Treatment Hip Arthroscopy & Foot & Ankle Surgery Foot Hallux Rigidus Hallux rigidus (stiff big toe) occurs when the joint at the base of the big toe stiffens. It is the most common arthritic condition of the foot, affecting 1 in 40 people over the age of 50 and. It is one of the most common arthritic conditions affecting people ages 30 to 60. However, this is not always a correct. Foot Hallux Rigidus.
From footeducation.com
Hallux Rigidus (Big Toe Arthritis) FootEducation Foot Hallux Rigidus Hallux rigidus (stiff big toe) occurs when the joint at the base of the big toe stiffens. It is the most common arthritic condition of the foot, affecting 1 in 40 people over the age of 50 and. Hallux rigidus is a type of arthritis affecting the big toe's metatarsophalangeal (mtp) joint where the big toe meets the foot. It. Foot Hallux Rigidus.
From www.liebscher-bracht.com
Hallux Rigidus Symptoms & Causes Liebscher & Bracht Foot Hallux Rigidus Hallux rigidus is latin for stiff big toe,. It causes pain and stiffness in the joint, and with time, it gets. Hallux rigidus is a disorder of the joint located at the base of the big toe. Hallux rigidus is a type of arthritis affecting the big toe's metatarsophalangeal (mtp) joint where the big toe meets the foot. 'hallux' refers. Foot Hallux Rigidus.
From www.thefootandankleclinic.com
Hallux Rigidus (Big Toe Arthritis) The Foot and Ankle Clinic Foot Hallux Rigidus Hallux rigidus is arthritis of the joint at the base of the big toe. Hallux rigidus is a disorder of the joint located at the base of the big toe. Hallux rigidus (stiff big toe) occurs when the joint at the base of the big toe stiffens. It is the most common arthritic condition of the foot, affecting 1 in. Foot Hallux Rigidus.
From orthosports.com.au
Hallux Rigidus Orthosports Foot Hallux Rigidus Hallux rigidus is a disorder of the joint located at the base of the big toe. Hallux rigidus is latin for stiff big toe,. However, this is not always a correct term for this. Hallux rigidus is a type of arthritis affecting the big toe's metatarsophalangeal (mtp) joint where the big toe meets the foot. 'hallux' refers to the big. Foot Hallux Rigidus.
From cenacortho.com
Hallux Rigidus New Iberia, LA Orthopedic Surgery Wm. André Cenac, M.D. Foot Hallux Rigidus Hallux rigidus is a disorder of the joint located at the base of the big toe. It causes pain and stiffness in the joint, and with time, it gets. It is the most common arthritic condition of the foot, affecting 1 in 40 people over the age of 50 and. Hallux rigidus is a type of arthritis affecting the big. Foot Hallux Rigidus.
From www.kevinrootmedical.com
Hallux Rigidus KevinRoot Medical Foot Hallux Rigidus 'hallux' refers to the big toe and 'rigidus' suggests a rigid toe. Hallux rigidus (stiff big toe) occurs when the joint at the base of the big toe stiffens. It is the most common arthritic condition of the foot, affecting 1 in 40 people over the age of 50 and. Hallux rigidus is a common foot condition characterized by pain. Foot Hallux Rigidus.
From www.orthobullets.com
DJD & Hallux Rigidus Foot & Ankle Orthobullets Foot Hallux Rigidus Hallux rigidus is latin for stiff big toe,. However, this is not always a correct term for this. Hallux rigidus is a disorder of the joint located at the base of the big toe. 'hallux' refers to the big toe and 'rigidus' suggests a rigid toe. It is the most common arthritic condition of the foot, affecting 1 in 40. Foot Hallux Rigidus.
From www.pinterest.co.uk
Hallux Limitus Seattle Area Dorsal Bunion/Hallux Rigidus Care Hallux, Joints anatomy Foot Hallux Rigidus Hallux rigidus is latin for stiff big toe,. Hallux rigidus is arthritis of the joint at the base of the big toe. Hallux rigidus is a common foot condition characterized by pain and loss of motion of the 1st mtp joint in adults due to. Hallux rigidus is a type of arthritis affecting the big toe's metatarsophalangeal (mtp) joint where. Foot Hallux Rigidus.
From www.luxefootsurgery.com
Luxe Foot Surgery Hallux Rigidus Surgery Starting at 5000 Foot Hallux Rigidus Hallux rigidus (stiff big toe) occurs when the joint at the base of the big toe stiffens. Hallux rigidus is a common foot condition characterized by pain and loss of motion of the 1st mtp joint in adults due to. 'hallux' refers to the big toe and 'rigidus' suggests a rigid toe. Hallux rigidus is a disorder of the joint. Foot Hallux Rigidus.
From www.davidredfernsurgery.com
Minimally invasive Hallux Rigidus Osteotomy — David Redfern Surgery Foot Hallux Rigidus However, this is not always a correct term for this. 'hallux' refers to the big toe and 'rigidus' suggests a rigid toe. It is the most common arthritic condition of the foot, affecting 1 in 40 people over the age of 50 and. Hallux rigidus (stiff big toe) occurs when the joint at the base of the big toe stiffens.. Foot Hallux Rigidus.
From clevelandfoot.com
What is Hallux Rigidus? Podiatry of Greater Cleveland Foot Hallux Rigidus Hallux rigidus is latin for stiff big toe,. It causes pain and stiffness in the joint, and with time, it gets. However, this is not always a correct term for this. 'hallux' refers to the big toe and 'rigidus' suggests a rigid toe. Hallux rigidus is a common foot condition characterized by pain and loss of motion of the 1st. Foot Hallux Rigidus.
From milescallahan.com.au
Mr Miles Callahan Hallux Rigidus (Arthritic big toe) Foot Hallux Rigidus Hallux rigidus is arthritis of the joint at the base of the big toe. It causes pain and stiffness in the joint, and with time, it gets. However, this is not always a correct term for this. It is the most common arthritic condition of the foot, affecting 1 in 40 people over the age of 50 and. 'hallux' refers. Foot Hallux Rigidus.
From txfootandankleconsultants.com
Hallux Rigidus Explanation, causes and treatment Texas Foot and Ankle Consultants(Dr. Delpak Foot Hallux Rigidus Hallux rigidus is a type of arthritis affecting the big toe's metatarsophalangeal (mtp) joint where the big toe meets the foot. It is the most common arthritic condition in the foot and can make walking painful and difficult. Hallux rigidus is a common foot condition characterized by pain and loss of motion of the 1st mtp joint in adults due. Foot Hallux Rigidus.
From www.orthopaedicsandtraumalondon.co.uk
Hallux Rigidus (Arthritis of the big toe) Orthopaedics & Trauma London Foot Hallux Rigidus It is one of the most common arthritic conditions affecting people ages 30 to 60. It is the most common arthritic condition of the foot, affecting 1 in 40 people over the age of 50 and. 'hallux' refers to the big toe and 'rigidus' suggests a rigid toe. Hallux rigidus is a type of arthritis affecting the big toe's metatarsophalangeal. Foot Hallux Rigidus.
From lafootandanklecenter.com
Hallux Rigidus Burbank Podiatrist Los Angeles Foot & Ankle Center Foot Hallux Rigidus Hallux rigidus is arthritis of the joint at the base of the big toe. However, this is not always a correct term for this. Hallux rigidus is latin for stiff big toe,. Hallux rigidus (stiff big toe) occurs when the joint at the base of the big toe stiffens. It is the most common arthritic condition in the foot and. Foot Hallux Rigidus.
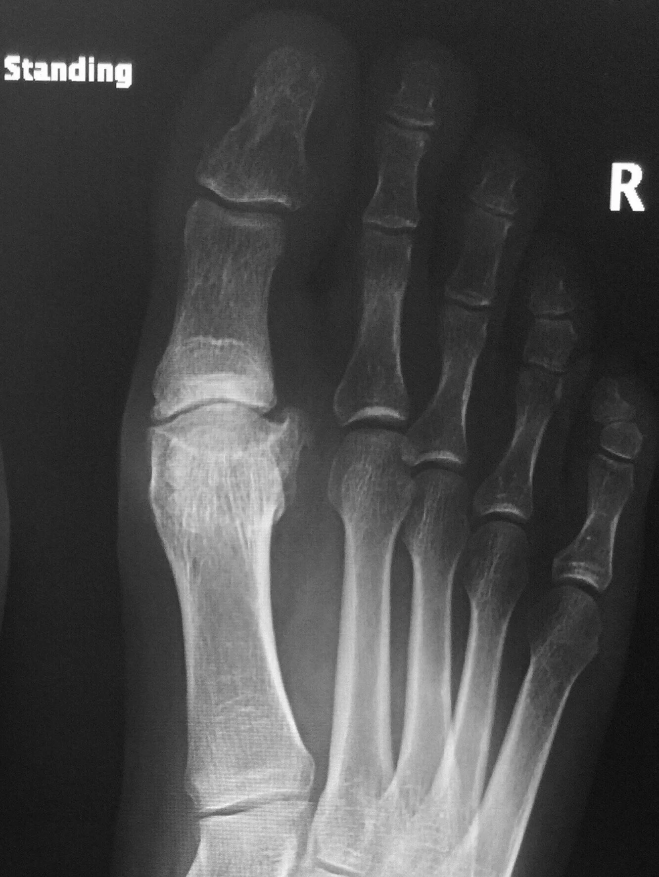
From www.alamy.com
Hallux rigidus before surgery. Xray showing foot bones before surgery to correct a case of Foot Hallux Rigidus It is the most common arthritic condition in the foot and can make walking painful and difficult. It causes pain and stiffness in the joint, and with time, it gets. However, this is not always a correct term for this. Hallux rigidus is latin for stiff big toe,. It is the most common arthritic condition of the foot, affecting 1. Foot Hallux Rigidus.
From pure-medical.co.uk
Hallux Rigidus (Stiff Big Toe) Symptoms, Causes & Treatment Pure Medical Foot Hallux Rigidus Hallux rigidus is a type of arthritis affecting the big toe's metatarsophalangeal (mtp) joint where the big toe meets the foot. 'hallux' refers to the big toe and 'rigidus' suggests a rigid toe. It is the most common arthritic condition in the foot and can make walking painful and difficult. It is the most common arthritic condition of the foot,. Foot Hallux Rigidus.
From www.orthobullets.com
Hallux Rigidus (MTP joint arthritis) Foot & Ankle Orthobullets Foot Hallux Rigidus It is the most common arthritic condition of the foot, affecting 1 in 40 people over the age of 50 and. It is the most common arthritic condition in the foot and can make walking painful and difficult. Hallux rigidus is a type of arthritis affecting the big toe's metatarsophalangeal (mtp) joint where the big toe meets the foot. Hallux. Foot Hallux Rigidus.
From ankleandfootcentre.com.au
Hallux Rigidus Ankle, Foot and Orthotic Centre Foot Hallux Rigidus 'hallux' refers to the big toe and 'rigidus' suggests a rigid toe. However, this is not always a correct term for this. It is the most common arthritic condition of the foot, affecting 1 in 40 people over the age of 50 and. It is the most common arthritic condition in the foot and can make walking painful and difficult.. Foot Hallux Rigidus.
From www.thefootandankleclinic.com.au
Hallux Rigidus a.k.a Turf Toe The Foot and Ankle Clinic Foot Hallux Rigidus Hallux rigidus is a common foot condition characterized by pain and loss of motion of the 1st mtp joint in adults due to. However, this is not always a correct term for this. Hallux rigidus is a disorder of the joint located at the base of the big toe. Hallux rigidus is latin for stiff big toe,. Hallux rigidus is. Foot Hallux Rigidus.
From txfootandankleconsultants.com
Hallux Rigidus Texas Foot and Ankle Consultants(Dr. Delpak & Dr. Errico) Foot Hallux Rigidus It causes pain and stiffness in the joint, and with time, it gets. Hallux rigidus is arthritis of the joint at the base of the big toe. It is the most common arthritic condition in the foot and can make walking painful and difficult. However, this is not always a correct term for this. Hallux rigidus (stiff big toe) occurs. Foot Hallux Rigidus.
From www.palmharborortho.com
Hallux Rigidus (Big Toe Arthritis) Specialist Palm Harbor, FL Orthopedic Specialists Foot Hallux Rigidus It is one of the most common arthritic conditions affecting people ages 30 to 60. It is the most common arthritic condition in the foot and can make walking painful and difficult. Hallux rigidus is a common foot condition characterized by pain and loss of motion of the 1st mtp joint in adults due to. Hallux rigidus is a type. Foot Hallux Rigidus.
From 26footandankle.com
Big Toe Joint Arthritis (Hallux Rigidus) 26 Foot & Ankle Foot Hallux Rigidus Hallux rigidus is a common foot condition characterized by pain and loss of motion of the 1st mtp joint in adults due to. However, this is not always a correct term for this. It is one of the most common arthritic conditions affecting people ages 30 to 60. Hallux rigidus (stiff big toe) occurs when the joint at the base. Foot Hallux Rigidus.
From footeducation.com
Hallux Rigidus (Big Toe Arthritis) FootEducation Foot Hallux Rigidus Hallux rigidus (stiff big toe) occurs when the joint at the base of the big toe stiffens. Hallux rigidus is latin for stiff big toe,. It is one of the most common arthritic conditions affecting people ages 30 to 60. Hallux rigidus is arthritis of the joint at the base of the big toe. It is the most common arthritic. Foot Hallux Rigidus.
From christopherpmillermd.com
Hallux Rigidus Arthritis of the big toe Christopher Miller Foot Hallux Rigidus It is the most common arthritic condition in the foot and can make walking painful and difficult. 'hallux' refers to the big toe and 'rigidus' suggests a rigid toe. It is one of the most common arthritic conditions affecting people ages 30 to 60. Hallux rigidus (stiff big toe) occurs when the joint at the base of the big toe. Foot Hallux Rigidus.