Air Fluid Levels In Intestinal Obstruction . Bowel obstruction may be complete or incomplete 8: Complete or high grade obstruction means that no fluid or gas can get beyond the obstruction. The main aims of imaging in cases of suspected bowel obstruction are: The pathologic effects of acute intestinal obstruction are fluid and electrolyte imbalances, and mechanical consequences of increased luminal pressure on intestinal perfusion. Complete or high grade obstruction means that no fluid or gas can get beyond the obstruction. Differentiate true mechanical obstruction from ileus or constipation. Incomplete, low grade or partial obstruction.
from www.pinterest.ca
The main aims of imaging in cases of suspected bowel obstruction are: Bowel obstruction may be complete or incomplete 8: Incomplete, low grade or partial obstruction. Complete or high grade obstruction means that no fluid or gas can get beyond the obstruction. Complete or high grade obstruction means that no fluid or gas can get beyond the obstruction. The pathologic effects of acute intestinal obstruction are fluid and electrolyte imbalances, and mechanical consequences of increased luminal pressure on intestinal perfusion. Differentiate true mechanical obstruction from ileus or constipation.
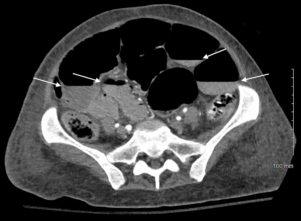
Valvuli conniventis + rigler sign + centrally located dilated bowel
Air Fluid Levels In Intestinal Obstruction Differentiate true mechanical obstruction from ileus or constipation. Complete or high grade obstruction means that no fluid or gas can get beyond the obstruction. The pathologic effects of acute intestinal obstruction are fluid and electrolyte imbalances, and mechanical consequences of increased luminal pressure on intestinal perfusion. Bowel obstruction may be complete or incomplete 8: Complete or high grade obstruction means that no fluid or gas can get beyond the obstruction. The main aims of imaging in cases of suspected bowel obstruction are: Differentiate true mechanical obstruction from ileus or constipation. Incomplete, low grade or partial obstruction.
From pubs.rsna.org
Review of SmallBowel Obstruction The Diagnosis and When to Worry Air Fluid Levels In Intestinal Obstruction The main aims of imaging in cases of suspected bowel obstruction are: Complete or high grade obstruction means that no fluid or gas can get beyond the obstruction. Bowel obstruction may be complete or incomplete 8: Differentiate true mechanical obstruction from ileus or constipation. Incomplete, low grade or partial obstruction. Complete or high grade obstruction means that no fluid or. Air Fluid Levels In Intestinal Obstruction.
From ar.inspiredpencil.com
Small Bowel Obstruction Air Fluid Levels Air Fluid Levels In Intestinal Obstruction The pathologic effects of acute intestinal obstruction are fluid and electrolyte imbalances, and mechanical consequences of increased luminal pressure on intestinal perfusion. Differentiate true mechanical obstruction from ileus or constipation. Bowel obstruction may be complete or incomplete 8: Incomplete, low grade or partial obstruction. Complete or high grade obstruction means that no fluid or gas can get beyond the obstruction.. Air Fluid Levels In Intestinal Obstruction.
From www.slideserve.com
PPT Intestinal Obstruction PowerPoint Presentation, free download Air Fluid Levels In Intestinal Obstruction Incomplete, low grade or partial obstruction. Differentiate true mechanical obstruction from ileus or constipation. Complete or high grade obstruction means that no fluid or gas can get beyond the obstruction. The pathologic effects of acute intestinal obstruction are fluid and electrolyte imbalances, and mechanical consequences of increased luminal pressure on intestinal perfusion. Bowel obstruction may be complete or incomplete 8:. Air Fluid Levels In Intestinal Obstruction.
From www.researchgate.net
Airfluid levels suggesting proximal obstruction on Xray Download Air Fluid Levels In Intestinal Obstruction The pathologic effects of acute intestinal obstruction are fluid and electrolyte imbalances, and mechanical consequences of increased luminal pressure on intestinal perfusion. Bowel obstruction may be complete or incomplete 8: The main aims of imaging in cases of suspected bowel obstruction are: Complete or high grade obstruction means that no fluid or gas can get beyond the obstruction. Differentiate true. Air Fluid Levels In Intestinal Obstruction.
From www.wikiwand.com
Bowel obstruction Wikiwand Air Fluid Levels In Intestinal Obstruction Complete or high grade obstruction means that no fluid or gas can get beyond the obstruction. The main aims of imaging in cases of suspected bowel obstruction are: Differentiate true mechanical obstruction from ileus or constipation. The pathologic effects of acute intestinal obstruction are fluid and electrolyte imbalances, and mechanical consequences of increased luminal pressure on intestinal perfusion. Incomplete, low. Air Fluid Levels In Intestinal Obstruction.
From ar.inspiredpencil.com
Small Bowel Obstruction Air Fluid Levels Air Fluid Levels In Intestinal Obstruction The pathologic effects of acute intestinal obstruction are fluid and electrolyte imbalances, and mechanical consequences of increased luminal pressure on intestinal perfusion. Complete or high grade obstruction means that no fluid or gas can get beyond the obstruction. Complete or high grade obstruction means that no fluid or gas can get beyond the obstruction. Incomplete, low grade or partial obstruction.. Air Fluid Levels In Intestinal Obstruction.
From www.researchgate.net
Intestinal obstruction with airfluid levels, distended and oedematous Air Fluid Levels In Intestinal Obstruction Bowel obstruction may be complete or incomplete 8: The main aims of imaging in cases of suspected bowel obstruction are: Incomplete, low grade or partial obstruction. Complete or high grade obstruction means that no fluid or gas can get beyond the obstruction. The pathologic effects of acute intestinal obstruction are fluid and electrolyte imbalances, and mechanical consequences of increased luminal. Air Fluid Levels In Intestinal Obstruction.
From www.researchgate.net
Abdominal radiography presenting multiple airfluid levels, intestinal Air Fluid Levels In Intestinal Obstruction Incomplete, low grade or partial obstruction. Complete or high grade obstruction means that no fluid or gas can get beyond the obstruction. Complete or high grade obstruction means that no fluid or gas can get beyond the obstruction. Differentiate true mechanical obstruction from ileus or constipation. The pathologic effects of acute intestinal obstruction are fluid and electrolyte imbalances, and mechanical. Air Fluid Levels In Intestinal Obstruction.
From ar.inspiredpencil.com
Small Bowel Obstruction Air Fluid Levels Air Fluid Levels In Intestinal Obstruction Incomplete, low grade or partial obstruction. The main aims of imaging in cases of suspected bowel obstruction are: Complete or high grade obstruction means that no fluid or gas can get beyond the obstruction. Complete or high grade obstruction means that no fluid or gas can get beyond the obstruction. The pathologic effects of acute intestinal obstruction are fluid and. Air Fluid Levels In Intestinal Obstruction.
From www.cureus.com
Cureus Systemic Sclerosis, Malnutrition, and Small Bowel Obstruction Air Fluid Levels In Intestinal Obstruction Bowel obstruction may be complete or incomplete 8: Incomplete, low grade or partial obstruction. The main aims of imaging in cases of suspected bowel obstruction are: Complete or high grade obstruction means that no fluid or gas can get beyond the obstruction. Differentiate true mechanical obstruction from ileus or constipation. Complete or high grade obstruction means that no fluid or. Air Fluid Levels In Intestinal Obstruction.
From www.researchgate.net
Ray abdomen showing multiple dilated small bowel loops with air fluid Air Fluid Levels In Intestinal Obstruction Incomplete, low grade or partial obstruction. Complete or high grade obstruction means that no fluid or gas can get beyond the obstruction. Bowel obstruction may be complete or incomplete 8: Complete or high grade obstruction means that no fluid or gas can get beyond the obstruction. Differentiate true mechanical obstruction from ileus or constipation. The pathologic effects of acute intestinal. Air Fluid Levels In Intestinal Obstruction.
From www.researchgate.net
Case 1 airfluid levels on Xray showed an obstruction in the small Air Fluid Levels In Intestinal Obstruction The main aims of imaging in cases of suspected bowel obstruction are: Bowel obstruction may be complete or incomplete 8: The pathologic effects of acute intestinal obstruction are fluid and electrolyte imbalances, and mechanical consequences of increased luminal pressure on intestinal perfusion. Differentiate true mechanical obstruction from ileus or constipation. Complete or high grade obstruction means that no fluid or. Air Fluid Levels In Intestinal Obstruction.
From ar.inspiredpencil.com
Small Bowel Obstruction Air Fluid Levels Air Fluid Levels In Intestinal Obstruction The pathologic effects of acute intestinal obstruction are fluid and electrolyte imbalances, and mechanical consequences of increased luminal pressure on intestinal perfusion. Complete or high grade obstruction means that no fluid or gas can get beyond the obstruction. Incomplete, low grade or partial obstruction. The main aims of imaging in cases of suspected bowel obstruction are: Differentiate true mechanical obstruction. Air Fluid Levels In Intestinal Obstruction.
From www.slideserve.com
PPT Intestinal Obstruction PowerPoint Presentation, free download Air Fluid Levels In Intestinal Obstruction Complete or high grade obstruction means that no fluid or gas can get beyond the obstruction. Incomplete, low grade or partial obstruction. The main aims of imaging in cases of suspected bowel obstruction are: The pathologic effects of acute intestinal obstruction are fluid and electrolyte imbalances, and mechanical consequences of increased luminal pressure on intestinal perfusion. Complete or high grade. Air Fluid Levels In Intestinal Obstruction.
From buyxraysonline.com
AIR FLUID LEVELS Air Fluid Levels In Intestinal Obstruction Complete or high grade obstruction means that no fluid or gas can get beyond the obstruction. Complete or high grade obstruction means that no fluid or gas can get beyond the obstruction. The main aims of imaging in cases of suspected bowel obstruction are: The pathologic effects of acute intestinal obstruction are fluid and electrolyte imbalances, and mechanical consequences of. Air Fluid Levels In Intestinal Obstruction.
From www.pinterest.ca
Valvuli conniventis + rigler sign + centrally located dilated bowel Air Fluid Levels In Intestinal Obstruction The main aims of imaging in cases of suspected bowel obstruction are: Complete or high grade obstruction means that no fluid or gas can get beyond the obstruction. Differentiate true mechanical obstruction from ileus or constipation. The pathologic effects of acute intestinal obstruction are fluid and electrolyte imbalances, and mechanical consequences of increased luminal pressure on intestinal perfusion. Bowel obstruction. Air Fluid Levels In Intestinal Obstruction.
From ar.inspiredpencil.com
Small Bowel Obstruction Air Fluid Levels Air Fluid Levels In Intestinal Obstruction Bowel obstruction may be complete or incomplete 8: Complete or high grade obstruction means that no fluid or gas can get beyond the obstruction. Complete or high grade obstruction means that no fluid or gas can get beyond the obstruction. The pathologic effects of acute intestinal obstruction are fluid and electrolyte imbalances, and mechanical consequences of increased luminal pressure on. Air Fluid Levels In Intestinal Obstruction.
From geekymedics.com
Abdominal Xray Interpretation (AXR) Radiology OSCE Geeky Medics Air Fluid Levels In Intestinal Obstruction The pathologic effects of acute intestinal obstruction are fluid and electrolyte imbalances, and mechanical consequences of increased luminal pressure on intestinal perfusion. Differentiate true mechanical obstruction from ileus or constipation. Incomplete, low grade or partial obstruction. Bowel obstruction may be complete or incomplete 8: Complete or high grade obstruction means that no fluid or gas can get beyond the obstruction.. Air Fluid Levels In Intestinal Obstruction.
From ar.inspiredpencil.com
Small Bowel Obstruction Air Fluid Levels Air Fluid Levels In Intestinal Obstruction Differentiate true mechanical obstruction from ileus or constipation. The main aims of imaging in cases of suspected bowel obstruction are: Complete or high grade obstruction means that no fluid or gas can get beyond the obstruction. Bowel obstruction may be complete or incomplete 8: Complete or high grade obstruction means that no fluid or gas can get beyond the obstruction.. Air Fluid Levels In Intestinal Obstruction.
From calgaryguide.ucalgary.ca
Small Bowel Obstruction Findings on XRay Calgary Guide Air Fluid Levels In Intestinal Obstruction Incomplete, low grade or partial obstruction. Complete or high grade obstruction means that no fluid or gas can get beyond the obstruction. Differentiate true mechanical obstruction from ileus or constipation. The main aims of imaging in cases of suspected bowel obstruction are: Complete or high grade obstruction means that no fluid or gas can get beyond the obstruction. Bowel obstruction. Air Fluid Levels In Intestinal Obstruction.
From ar.inspiredpencil.com
Small Bowel Obstruction Air Fluid Levels Air Fluid Levels In Intestinal Obstruction Differentiate true mechanical obstruction from ileus or constipation. Complete or high grade obstruction means that no fluid or gas can get beyond the obstruction. Bowel obstruction may be complete or incomplete 8: The pathologic effects of acute intestinal obstruction are fluid and electrolyte imbalances, and mechanical consequences of increased luminal pressure on intestinal perfusion. Complete or high grade obstruction means. Air Fluid Levels In Intestinal Obstruction.
From www.researchgate.net
An air fluid level in abdominal Xray as a sign of intestinal Air Fluid Levels In Intestinal Obstruction Bowel obstruction may be complete or incomplete 8: Complete or high grade obstruction means that no fluid or gas can get beyond the obstruction. Complete or high grade obstruction means that no fluid or gas can get beyond the obstruction. The pathologic effects of acute intestinal obstruction are fluid and electrolyte imbalances, and mechanical consequences of increased luminal pressure on. Air Fluid Levels In Intestinal Obstruction.
From www.researchgate.net
Multiple air fluid levels suggestive of acute intestinal obstruction Air Fluid Levels In Intestinal Obstruction The pathologic effects of acute intestinal obstruction are fluid and electrolyte imbalances, and mechanical consequences of increased luminal pressure on intestinal perfusion. Complete or high grade obstruction means that no fluid or gas can get beyond the obstruction. Bowel obstruction may be complete or incomplete 8: Differentiate true mechanical obstruction from ileus or constipation. Incomplete, low grade or partial obstruction.. Air Fluid Levels In Intestinal Obstruction.
From www.researchgate.net
Plain abdominal Xray in erect position showing multiple airfluid Air Fluid Levels In Intestinal Obstruction Complete or high grade obstruction means that no fluid or gas can get beyond the obstruction. Incomplete, low grade or partial obstruction. Bowel obstruction may be complete or incomplete 8: Differentiate true mechanical obstruction from ileus or constipation. The main aims of imaging in cases of suspected bowel obstruction are: Complete or high grade obstruction means that no fluid or. Air Fluid Levels In Intestinal Obstruction.
From ar.inspiredpencil.com
Small Bowel Obstruction Air Fluid Levels Air Fluid Levels In Intestinal Obstruction Differentiate true mechanical obstruction from ileus or constipation. Bowel obstruction may be complete or incomplete 8: Incomplete, low grade or partial obstruction. Complete or high grade obstruction means that no fluid or gas can get beyond the obstruction. Complete or high grade obstruction means that no fluid or gas can get beyond the obstruction. The pathologic effects of acute intestinal. Air Fluid Levels In Intestinal Obstruction.
From www.ajronline.org
Accuracy of Abdominal Radiography in Acute SmallBowel Obstruction Air Fluid Levels In Intestinal Obstruction Complete or high grade obstruction means that no fluid or gas can get beyond the obstruction. Differentiate true mechanical obstruction from ileus or constipation. The pathologic effects of acute intestinal obstruction are fluid and electrolyte imbalances, and mechanical consequences of increased luminal pressure on intestinal perfusion. The main aims of imaging in cases of suspected bowel obstruction are: Incomplete, low. Air Fluid Levels In Intestinal Obstruction.
From www.slideserve.com
PPT Abdominal Xray Radiological Signs PowerPoint Presentation, free Air Fluid Levels In Intestinal Obstruction The main aims of imaging in cases of suspected bowel obstruction are: Bowel obstruction may be complete or incomplete 8: Complete or high grade obstruction means that no fluid or gas can get beyond the obstruction. Differentiate true mechanical obstruction from ileus or constipation. Incomplete, low grade or partial obstruction. Complete or high grade obstruction means that no fluid or. Air Fluid Levels In Intestinal Obstruction.
From www.researchgate.net
CT scan of the abdomen showing air fluid level in the small bowel Air Fluid Levels In Intestinal Obstruction Complete or high grade obstruction means that no fluid or gas can get beyond the obstruction. Incomplete, low grade or partial obstruction. The pathologic effects of acute intestinal obstruction are fluid and electrolyte imbalances, and mechanical consequences of increased luminal pressure on intestinal perfusion. The main aims of imaging in cases of suspected bowel obstruction are: Complete or high grade. Air Fluid Levels In Intestinal Obstruction.
From www.researchgate.net
Case 1 airfluid levels on Xray showed an obstruction in the small Air Fluid Levels In Intestinal Obstruction Bowel obstruction may be complete or incomplete 8: Complete or high grade obstruction means that no fluid or gas can get beyond the obstruction. The pathologic effects of acute intestinal obstruction are fluid and electrolyte imbalances, and mechanical consequences of increased luminal pressure on intestinal perfusion. Differentiate true mechanical obstruction from ileus or constipation. The main aims of imaging in. Air Fluid Levels In Intestinal Obstruction.
From ar.inspiredpencil.com
Small Bowel Obstruction Air Fluid Levels Air Fluid Levels In Intestinal Obstruction Complete or high grade obstruction means that no fluid or gas can get beyond the obstruction. Bowel obstruction may be complete or incomplete 8: Differentiate true mechanical obstruction from ileus or constipation. Incomplete, low grade or partial obstruction. Complete or high grade obstruction means that no fluid or gas can get beyond the obstruction. The main aims of imaging in. Air Fluid Levels In Intestinal Obstruction.
From www.researchgate.net
Airfluid levels in abdominal Xray graphy. Download Scientific Diagram Air Fluid Levels In Intestinal Obstruction The main aims of imaging in cases of suspected bowel obstruction are: Incomplete, low grade or partial obstruction. Complete or high grade obstruction means that no fluid or gas can get beyond the obstruction. Complete or high grade obstruction means that no fluid or gas can get beyond the obstruction. Differentiate true mechanical obstruction from ileus or constipation. The pathologic. Air Fluid Levels In Intestinal Obstruction.
From healthjade.net
Bowel Obstruction Small & Large Causes, Symptoms, Treatment Air Fluid Levels In Intestinal Obstruction Complete or high grade obstruction means that no fluid or gas can get beyond the obstruction. Complete or high grade obstruction means that no fluid or gas can get beyond the obstruction. The pathologic effects of acute intestinal obstruction are fluid and electrolyte imbalances, and mechanical consequences of increased luminal pressure on intestinal perfusion. The main aims of imaging in. Air Fluid Levels In Intestinal Obstruction.
From www.researchgate.net
X ray of the abdomen showed multiple air fluid levels without any gas Air Fluid Levels In Intestinal Obstruction The main aims of imaging in cases of suspected bowel obstruction are: The pathologic effects of acute intestinal obstruction are fluid and electrolyte imbalances, and mechanical consequences of increased luminal pressure on intestinal perfusion. Complete or high grade obstruction means that no fluid or gas can get beyond the obstruction. Incomplete, low grade or partial obstruction. Complete or high grade. Air Fluid Levels In Intestinal Obstruction.
From www.researchgate.net
Plain Xray abdomen showing dilated bowel loops, multiple airfluid Air Fluid Levels In Intestinal Obstruction The pathologic effects of acute intestinal obstruction are fluid and electrolyte imbalances, and mechanical consequences of increased luminal pressure on intestinal perfusion. The main aims of imaging in cases of suspected bowel obstruction are: Complete or high grade obstruction means that no fluid or gas can get beyond the obstruction. Complete or high grade obstruction means that no fluid or. Air Fluid Levels In Intestinal Obstruction.
From ar.inspiredpencil.com
Small Bowel Obstruction Air Fluid Levels Air Fluid Levels In Intestinal Obstruction Bowel obstruction may be complete or incomplete 8: Complete or high grade obstruction means that no fluid or gas can get beyond the obstruction. Differentiate true mechanical obstruction from ileus or constipation. The main aims of imaging in cases of suspected bowel obstruction are: The pathologic effects of acute intestinal obstruction are fluid and electrolyte imbalances, and mechanical consequences of. Air Fluid Levels In Intestinal Obstruction.