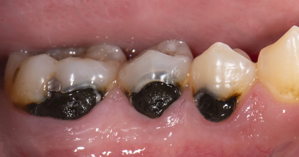
How To Clean Silver Diamine Fluoride . Silver diamine fluoride (sdf) is a clear liquid that can be used to help prevent cavities from growing, particularly in. Applying a 2 x 2 or cotton roll with some hydrogen peroxide to the area will lighten the stain immediately, or it will disappear within two to three. A topical solution, sdf promotes remineralization and hardens carious lesions. Dental caries remains a prevalent and problematic disease to manage, and it disproportionately affects the most vulnerable patient populations. Get a detailed overview of silver diamine fluoride, including the benefits of silver diamine fluoride treatment, how silver diamine. Sdf being a excellent caries arresting agent can also give some unpleasant stains on. Discuss the safety and effectiveness of silver diamine fluoride (sdf). Excavate soft, necrotic, infected dentine eg using a hand instrument (see figures 2b,c) isolate the treatment area eg. Explain the proper technique for sdf application. Identify appropriate patient populations for sdf use. The most recent approach to treating dental caries is silver diamine fluoride (sdf).
from www.slideserve.com
Silver diamine fluoride (sdf) is a clear liquid that can be used to help prevent cavities from growing, particularly in. Excavate soft, necrotic, infected dentine eg using a hand instrument (see figures 2b,c) isolate the treatment area eg. Identify appropriate patient populations for sdf use. The most recent approach to treating dental caries is silver diamine fluoride (sdf). Sdf being a excellent caries arresting agent can also give some unpleasant stains on. A topical solution, sdf promotes remineralization and hardens carious lesions. Explain the proper technique for sdf application. Discuss the safety and effectiveness of silver diamine fluoride (sdf). Dental caries remains a prevalent and problematic disease to manage, and it disproportionately affects the most vulnerable patient populations. Applying a 2 x 2 or cotton roll with some hydrogen peroxide to the area will lighten the stain immediately, or it will disappear within two to three.
PPT Silver Diamine Fluoride PowerPoint Presentation, free download
How To Clean Silver Diamine Fluoride Applying a 2 x 2 or cotton roll with some hydrogen peroxide to the area will lighten the stain immediately, or it will disappear within two to three. Identify appropriate patient populations for sdf use. Excavate soft, necrotic, infected dentine eg using a hand instrument (see figures 2b,c) isolate the treatment area eg. Dental caries remains a prevalent and problematic disease to manage, and it disproportionately affects the most vulnerable patient populations. Get a detailed overview of silver diamine fluoride, including the benefits of silver diamine fluoride treatment, how silver diamine. Sdf being a excellent caries arresting agent can also give some unpleasant stains on. Silver diamine fluoride (sdf) is a clear liquid that can be used to help prevent cavities from growing, particularly in. A topical solution, sdf promotes remineralization and hardens carious lesions. Discuss the safety and effectiveness of silver diamine fluoride (sdf). The most recent approach to treating dental caries is silver diamine fluoride (sdf). Applying a 2 x 2 or cotton roll with some hydrogen peroxide to the area will lighten the stain immediately, or it will disappear within two to three. Explain the proper technique for sdf application.
From www.kidsteethsc.com
What is Silver Diamine Fluoride or SDF? Kids Teeth How To Clean Silver Diamine Fluoride The most recent approach to treating dental caries is silver diamine fluoride (sdf). Discuss the safety and effectiveness of silver diamine fluoride (sdf). Dental caries remains a prevalent and problematic disease to manage, and it disproportionately affects the most vulnerable patient populations. Get a detailed overview of silver diamine fluoride, including the benefits of silver diamine fluoride treatment, how silver. How To Clean Silver Diamine Fluoride.
From www.slideserve.com
PPT Silver Diamine Fluoride PowerPoint Presentation, free download How To Clean Silver Diamine Fluoride Excavate soft, necrotic, infected dentine eg using a hand instrument (see figures 2b,c) isolate the treatment area eg. A topical solution, sdf promotes remineralization and hardens carious lesions. Dental caries remains a prevalent and problematic disease to manage, and it disproportionately affects the most vulnerable patient populations. Silver diamine fluoride (sdf) is a clear liquid that can be used to. How To Clean Silver Diamine Fluoride.
From toothdental.com.au
silverdiaminefluoridefactsheet Tooth Dental How To Clean Silver Diamine Fluoride Discuss the safety and effectiveness of silver diamine fluoride (sdf). Explain the proper technique for sdf application. Sdf being a excellent caries arresting agent can also give some unpleasant stains on. The most recent approach to treating dental caries is silver diamine fluoride (sdf). Identify appropriate patient populations for sdf use. Dental caries remains a prevalent and problematic disease to. How To Clean Silver Diamine Fluoride.
From dentagama.com
Does Silver Diamine Fluoride permanently stain teeth? News Dentagama How To Clean Silver Diamine Fluoride Explain the proper technique for sdf application. Excavate soft, necrotic, infected dentine eg using a hand instrument (see figures 2b,c) isolate the treatment area eg. Applying a 2 x 2 or cotton roll with some hydrogen peroxide to the area will lighten the stain immediately, or it will disappear within two to three. Sdf being a excellent caries arresting agent. How To Clean Silver Diamine Fluoride.
From seattlesmilesdental.com
articles silver diamine fluoride baby teeth after 2 Seattle Smiles Dental How To Clean Silver Diamine Fluoride Applying a 2 x 2 or cotton roll with some hydrogen peroxide to the area will lighten the stain immediately, or it will disappear within two to three. Dental caries remains a prevalent and problematic disease to manage, and it disproportionately affects the most vulnerable patient populations. Get a detailed overview of silver diamine fluoride, including the benefits of silver. How To Clean Silver Diamine Fluoride.
From www.drlanadds.com
What is Silver Diamine Fluoride? How To Clean Silver Diamine Fluoride Silver diamine fluoride (sdf) is a clear liquid that can be used to help prevent cavities from growing, particularly in. Sdf being a excellent caries arresting agent can also give some unpleasant stains on. Applying a 2 x 2 or cotton roll with some hydrogen peroxide to the area will lighten the stain immediately, or it will disappear within two. How To Clean Silver Diamine Fluoride.
From www.keaneydmd.com
Silver Diamine Fluoride (SDF) Arlington, Virginia Michelle Keaney How To Clean Silver Diamine Fluoride A topical solution, sdf promotes remineralization and hardens carious lesions. Sdf being a excellent caries arresting agent can also give some unpleasant stains on. Get a detailed overview of silver diamine fluoride, including the benefits of silver diamine fluoride treatment, how silver diamine. Discuss the safety and effectiveness of silver diamine fluoride (sdf). Explain the proper technique for sdf application.. How To Clean Silver Diamine Fluoride.
From www.odontovida.com
Use of Silver Diamine Fluoride (SDF) General Guide on its application How To Clean Silver Diamine Fluoride Silver diamine fluoride (sdf) is a clear liquid that can be used to help prevent cavities from growing, particularly in. Get a detailed overview of silver diamine fluoride, including the benefits of silver diamine fluoride treatment, how silver diamine. Sdf being a excellent caries arresting agent can also give some unpleasant stains on. A topical solution, sdf promotes remineralization and. How To Clean Silver Diamine Fluoride.
From www.dentalproductsreport.com
Centrix Announces New Silver Diamine Fluoride Solution SilverSense SDF™ How To Clean Silver Diamine Fluoride Excavate soft, necrotic, infected dentine eg using a hand instrument (see figures 2b,c) isolate the treatment area eg. Silver diamine fluoride (sdf) is a clear liquid that can be used to help prevent cavities from growing, particularly in. The most recent approach to treating dental caries is silver diamine fluoride (sdf). Identify appropriate patient populations for sdf use. Applying a. How To Clean Silver Diamine Fluoride.
From www.odontologiavirtual.com
PDF Silver Diamine Fluoride in Pediatric Dentistry Sivakumar Nuvvula How To Clean Silver Diamine Fluoride Applying a 2 x 2 or cotton roll with some hydrogen peroxide to the area will lighten the stain immediately, or it will disappear within two to three. The most recent approach to treating dental caries is silver diamine fluoride (sdf). Dental caries remains a prevalent and problematic disease to manage, and it disproportionately affects the most vulnerable patient populations.. How To Clean Silver Diamine Fluoride.
From www.kidsdds.net
Know everything about silver diamine Fluoride How To Clean Silver Diamine Fluoride Silver diamine fluoride (sdf) is a clear liquid that can be used to help prevent cavities from growing, particularly in. A topical solution, sdf promotes remineralization and hardens carious lesions. Dental caries remains a prevalent and problematic disease to manage, and it disproportionately affects the most vulnerable patient populations. Discuss the safety and effectiveness of silver diamine fluoride (sdf). Excavate. How To Clean Silver Diamine Fluoride.
From sweetlife.dental
Silver Diamine Fluoride in Woodland Hills, CA Sweet Life Dental How To Clean Silver Diamine Fluoride Explain the proper technique for sdf application. Get a detailed overview of silver diamine fluoride, including the benefits of silver diamine fluoride treatment, how silver diamine. Silver diamine fluoride (sdf) is a clear liquid that can be used to help prevent cavities from growing, particularly in. Excavate soft, necrotic, infected dentine eg using a hand instrument (see figures 2b,c) isolate. How To Clean Silver Diamine Fluoride.
From www.gentle-dental.co.uk
Silver Diamine Fluoride (SDF) Gentle Dental How To Clean Silver Diamine Fluoride Silver diamine fluoride (sdf) is a clear liquid that can be used to help prevent cavities from growing, particularly in. A topical solution, sdf promotes remineralization and hardens carious lesions. Explain the proper technique for sdf application. Dental caries remains a prevalent and problematic disease to manage, and it disproportionately affects the most vulnerable patient populations. Sdf being a excellent. How To Clean Silver Diamine Fluoride.
From en.dentisteswm.com
Silver Diamine Fluoride and its benefit How To Clean Silver Diamine Fluoride Get a detailed overview of silver diamine fluoride, including the benefits of silver diamine fluoride treatment, how silver diamine. Excavate soft, necrotic, infected dentine eg using a hand instrument (see figures 2b,c) isolate the treatment area eg. Dental caries remains a prevalent and problematic disease to manage, and it disproportionately affects the most vulnerable patient populations. Sdf being a excellent. How To Clean Silver Diamine Fluoride.
From kidsteethandbraces.com
Silver Diamine Fluoride Affiliated Children's Dental Specialists How To Clean Silver Diamine Fluoride Discuss the safety and effectiveness of silver diamine fluoride (sdf). The most recent approach to treating dental caries is silver diamine fluoride (sdf). Sdf being a excellent caries arresting agent can also give some unpleasant stains on. Applying a 2 x 2 or cotton roll with some hydrogen peroxide to the area will lighten the stain immediately, or it will. How To Clean Silver Diamine Fluoride.
From childhoodsmiles.com
Treatment Gallery Childhood Smiles How To Clean Silver Diamine Fluoride Discuss the safety and effectiveness of silver diamine fluoride (sdf). Identify appropriate patient populations for sdf use. Sdf being a excellent caries arresting agent can also give some unpleasant stains on. Get a detailed overview of silver diamine fluoride, including the benefits of silver diamine fluoride treatment, how silver diamine. Explain the proper technique for sdf application. Silver diamine fluoride. How To Clean Silver Diamine Fluoride.
From www.indiamart.com
38 Silver Diamine Fluoride at best price in Gurgaon by Caredent India How To Clean Silver Diamine Fluoride A topical solution, sdf promotes remineralization and hardens carious lesions. Discuss the safety and effectiveness of silver diamine fluoride (sdf). Explain the proper technique for sdf application. Applying a 2 x 2 or cotton roll with some hydrogen peroxide to the area will lighten the stain immediately, or it will disappear within two to three. Excavate soft, necrotic, infected dentine. How To Clean Silver Diamine Fluoride.
From playtimedentistry.ca
Silver Diamine Fluoride for Cavity Control Playtime Dentistry How To Clean Silver Diamine Fluoride Sdf being a excellent caries arresting agent can also give some unpleasant stains on. Excavate soft, necrotic, infected dentine eg using a hand instrument (see figures 2b,c) isolate the treatment area eg. Silver diamine fluoride (sdf) is a clear liquid that can be used to help prevent cavities from growing, particularly in. The most recent approach to treating dental caries. How To Clean Silver Diamine Fluoride.
From www.smilegarden.dental
Silver Diamine Fluoride New Dental Caries treatment that does not How To Clean Silver Diamine Fluoride Sdf being a excellent caries arresting agent can also give some unpleasant stains on. Silver diamine fluoride (sdf) is a clear liquid that can be used to help prevent cavities from growing, particularly in. Discuss the safety and effectiveness of silver diamine fluoride (sdf). Identify appropriate patient populations for sdf use. Explain the proper technique for sdf application. Get a. How To Clean Silver Diamine Fluoride.
From mykidsdentistoakville.com
Silver diamine fluoride How To Clean Silver Diamine Fluoride Identify appropriate patient populations for sdf use. Dental caries remains a prevalent and problematic disease to manage, and it disproportionately affects the most vulnerable patient populations. Applying a 2 x 2 or cotton roll with some hydrogen peroxide to the area will lighten the stain immediately, or it will disappear within two to three. Excavate soft, necrotic, infected dentine eg. How To Clean Silver Diamine Fluoride.
From www.youtube.com
How to remove SDF (Silver Diamine Fluoride) stains? YouTube How To Clean Silver Diamine Fluoride Sdf being a excellent caries arresting agent can also give some unpleasant stains on. Identify appropriate patient populations for sdf use. Discuss the safety and effectiveness of silver diamine fluoride (sdf). The most recent approach to treating dental caries is silver diamine fluoride (sdf). Applying a 2 x 2 or cotton roll with some hydrogen peroxide to the area will. How To Clean Silver Diamine Fluoride.
From kids360pediatricdentistry.com
How Silver Diamine Fluoride May Change Cavity Care Kids 360 Pediatric How To Clean Silver Diamine Fluoride The most recent approach to treating dental caries is silver diamine fluoride (sdf). A topical solution, sdf promotes remineralization and hardens carious lesions. Silver diamine fluoride (sdf) is a clear liquid that can be used to help prevent cavities from growing, particularly in. Sdf being a excellent caries arresting agent can also give some unpleasant stains on. Excavate soft, necrotic,. How To Clean Silver Diamine Fluoride.
From dimensionsofdentalhygiene.com
Using Silver Diamine Fluoride To Improve the Oral Health of Older How To Clean Silver Diamine Fluoride Silver diamine fluoride (sdf) is a clear liquid that can be used to help prevent cavities from growing, particularly in. Excavate soft, necrotic, infected dentine eg using a hand instrument (see figures 2b,c) isolate the treatment area eg. Discuss the safety and effectiveness of silver diamine fluoride (sdf). Explain the proper technique for sdf application. The most recent approach to. How To Clean Silver Diamine Fluoride.
From dentalehub.com
What Dental Floss Is Made Of How To Clean Silver Diamine Fluoride Discuss the safety and effectiveness of silver diamine fluoride (sdf). Dental caries remains a prevalent and problematic disease to manage, and it disproportionately affects the most vulnerable patient populations. The most recent approach to treating dental caries is silver diamine fluoride (sdf). A topical solution, sdf promotes remineralization and hardens carious lesions. Applying a 2 x 2 or cotton roll. How To Clean Silver Diamine Fluoride.
From www.riverrockdental.ca
Silver Diamine Fluoride A Powerful Tool in Dental Care How To Clean Silver Diamine Fluoride Get a detailed overview of silver diamine fluoride, including the benefits of silver diamine fluoride treatment, how silver diamine. Identify appropriate patient populations for sdf use. Excavate soft, necrotic, infected dentine eg using a hand instrument (see figures 2b,c) isolate the treatment area eg. Dental caries remains a prevalent and problematic disease to manage, and it disproportionately affects the most. How To Clean Silver Diamine Fluoride.
From www.youtube.com
The General Dentists Guide to Using Silver Diamine Fluoride YouTube How To Clean Silver Diamine Fluoride A topical solution, sdf promotes remineralization and hardens carious lesions. Explain the proper technique for sdf application. Silver diamine fluoride (sdf) is a clear liquid that can be used to help prevent cavities from growing, particularly in. The most recent approach to treating dental caries is silver diamine fluoride (sdf). Sdf being a excellent caries arresting agent can also give. How To Clean Silver Diamine Fluoride.
From vigorousism.com
How To Remove Silver Diamine Fluoride From Teeth A Comprehensive Guide How To Clean Silver Diamine Fluoride A topical solution, sdf promotes remineralization and hardens carious lesions. Identify appropriate patient populations for sdf use. Applying a 2 x 2 or cotton roll with some hydrogen peroxide to the area will lighten the stain immediately, or it will disappear within two to three. Get a detailed overview of silver diamine fluoride, including the benefits of silver diamine fluoride. How To Clean Silver Diamine Fluoride.
From kidsdentistuae.com
Silver Diamine Fluoride Treat cavities with a drop of liquid Best How To Clean Silver Diamine Fluoride Sdf being a excellent caries arresting agent can also give some unpleasant stains on. Silver diamine fluoride (sdf) is a clear liquid that can be used to help prevent cavities from growing, particularly in. Explain the proper technique for sdf application. Dental caries remains a prevalent and problematic disease to manage, and it disproportionately affects the most vulnerable patient populations.. How To Clean Silver Diamine Fluoride.
From en.dentisteswm.com
Silver Diamine Fluoride and its benefit How To Clean Silver Diamine Fluoride Applying a 2 x 2 or cotton roll with some hydrogen peroxide to the area will lighten the stain immediately, or it will disappear within two to three. Dental caries remains a prevalent and problematic disease to manage, and it disproportionately affects the most vulnerable patient populations. Sdf being a excellent caries arresting agent can also give some unpleasant stains. How To Clean Silver Diamine Fluoride.
From informacionpublica.svet.gob.gt
Silver Diamine Fluoride Treatment (What's Involved?) MDA How To Clean Silver Diamine Fluoride Applying a 2 x 2 or cotton roll with some hydrogen peroxide to the area will lighten the stain immediately, or it will disappear within two to three. Get a detailed overview of silver diamine fluoride, including the benefits of silver diamine fluoride treatment, how silver diamine. Identify appropriate patient populations for sdf use. Excavate soft, necrotic, infected dentine eg. How To Clean Silver Diamine Fluoride.
From stevensondentalsolutions.com
How to benefit from silver diamine fluoride for adult patients How To Clean Silver Diamine Fluoride Discuss the safety and effectiveness of silver diamine fluoride (sdf). Get a detailed overview of silver diamine fluoride, including the benefits of silver diamine fluoride treatment, how silver diamine. The most recent approach to treating dental caries is silver diamine fluoride (sdf). Silver diamine fluoride (sdf) is a clear liquid that can be used to help prevent cavities from growing,. How To Clean Silver Diamine Fluoride.
From contemppediatrdent.org
Silver Diamine Fluoride As A Minimally Invasive And Aerosol Free How To Clean Silver Diamine Fluoride Explain the proper technique for sdf application. A topical solution, sdf promotes remineralization and hardens carious lesions. Excavate soft, necrotic, infected dentine eg using a hand instrument (see figures 2b,c) isolate the treatment area eg. Discuss the safety and effectiveness of silver diamine fluoride (sdf). Dental caries remains a prevalent and problematic disease to manage, and it disproportionately affects the. How To Clean Silver Diamine Fluoride.
From www.onthegodentalgroup.com
Silver Diamine Fluoride (SDF) On The Go Dental Group How To Clean Silver Diamine Fluoride Sdf being a excellent caries arresting agent can also give some unpleasant stains on. Identify appropriate patient populations for sdf use. Applying a 2 x 2 or cotton roll with some hydrogen peroxide to the area will lighten the stain immediately, or it will disappear within two to three. A topical solution, sdf promotes remineralization and hardens carious lesions. Dental. How To Clean Silver Diamine Fluoride.
From www.silverdaledentalcenter.com
Silver Diamine Fluoride at Silverdale Dental Center for Kids How To Clean Silver Diamine Fluoride Discuss the safety and effectiveness of silver diamine fluoride (sdf). Sdf being a excellent caries arresting agent can also give some unpleasant stains on. Excavate soft, necrotic, infected dentine eg using a hand instrument (see figures 2b,c) isolate the treatment area eg. A topical solution, sdf promotes remineralization and hardens carious lesions. Identify appropriate patient populations for sdf use. Dental. How To Clean Silver Diamine Fluoride.
From www.sounddentalcare.com
TopRated Mobile Dental Clinic in Washington SoundDentalCare How To Clean Silver Diamine Fluoride Discuss the safety and effectiveness of silver diamine fluoride (sdf). Silver diamine fluoride (sdf) is a clear liquid that can be used to help prevent cavities from growing, particularly in. Get a detailed overview of silver diamine fluoride, including the benefits of silver diamine fluoride treatment, how silver diamine. Excavate soft, necrotic, infected dentine eg using a hand instrument (see. How To Clean Silver Diamine Fluoride.