Horse Skin Vs Human Skin . To do this, i took a piece of horse skin from the flank area (the area where. we decided to see if horse skin thickness and nerves were really that different to human. But horse’s can cheat our. when one forensic veterinary pathologist actually compared skin taken from equivalent places on a horse and human for a report addressing this question, the results were surprising. there is no significant difference in the way humans and horses feel pain when being whipped, according to a landmark new study. the skin of horse’s and humans are both relatively thin compared to many other species. The darker layer shown here is the epidermis. The study, published in the journal animals and funded by rspca. Researchers have found a horse can feel the same amount of pain from whipping as a human.
from absorbine.com
there is no significant difference in the way humans and horses feel pain when being whipped, according to a landmark new study. we decided to see if horse skin thickness and nerves were really that different to human. To do this, i took a piece of horse skin from the flank area (the area where. when one forensic veterinary pathologist actually compared skin taken from equivalent places on a horse and human for a report addressing this question, the results were surprising. The darker layer shown here is the epidermis. But horse’s can cheat our. the skin of horse’s and humans are both relatively thin compared to many other species. The study, published in the journal animals and funded by rspca. Researchers have found a horse can feel the same amount of pain from whipping as a human.
Identify, Treat & Prevent Skin Conditions on Horses
Horse Skin Vs Human Skin Researchers have found a horse can feel the same amount of pain from whipping as a human. when one forensic veterinary pathologist actually compared skin taken from equivalent places on a horse and human for a report addressing this question, the results were surprising. there is no significant difference in the way humans and horses feel pain when being whipped, according to a landmark new study. the skin of horse’s and humans are both relatively thin compared to many other species. The study, published in the journal animals and funded by rspca. But horse’s can cheat our. To do this, i took a piece of horse skin from the flank area (the area where. The darker layer shown here is the epidermis. Researchers have found a horse can feel the same amount of pain from whipping as a human. we decided to see if horse skin thickness and nerves were really that different to human.
From www.abc.net.au
Whip use on racehorses questioned by study which finds they're thin Horse Skin Vs Human Skin The study, published in the journal animals and funded by rspca. Researchers have found a horse can feel the same amount of pain from whipping as a human. we decided to see if horse skin thickness and nerves were really that different to human. there is no significant difference in the way humans and horses feel pain when. Horse Skin Vs Human Skin.
From www.horsehealthproducts.com
Anatomy of Your Horse’s Skin Horse Skin Vs Human Skin there is no significant difference in the way humans and horses feel pain when being whipped, according to a landmark new study. the skin of horse’s and humans are both relatively thin compared to many other species. we decided to see if horse skin thickness and nerves were really that different to human. To do this, i. Horse Skin Vs Human Skin.
From howtoownahorse.com
How Thick Is Horse Skin How To Own a Horse Horse Skin Vs Human Skin The study, published in the journal animals and funded by rspca. when one forensic veterinary pathologist actually compared skin taken from equivalent places on a horse and human for a report addressing this question, the results were surprising. Researchers have found a horse can feel the same amount of pain from whipping as a human. But horse’s can cheat. Horse Skin Vs Human Skin.
From studylib.net
Thickness of the horse skin Horse Skin Vs Human Skin But horse’s can cheat our. The darker layer shown here is the epidermis. The study, published in the journal animals and funded by rspca. when one forensic veterinary pathologist actually compared skin taken from equivalent places on a horse and human for a report addressing this question, the results were surprising. Researchers have found a horse can feel the. Horse Skin Vs Human Skin.
From www.youtube.com
inar Recognising, managing and preventing skin conditions in horses Horse Skin Vs Human Skin But horse’s can cheat our. The study, published in the journal animals and funded by rspca. there is no significant difference in the way humans and horses feel pain when being whipped, according to a landmark new study. To do this, i took a piece of horse skin from the flank area (the area where. the skin of. Horse Skin Vs Human Skin.
From love-all-pets.blogspot.com
Introducing the Anatomy of a Horse We love pets Horse Skin Vs Human Skin the skin of horse’s and humans are both relatively thin compared to many other species. But horse’s can cheat our. To do this, i took a piece of horse skin from the flank area (the area where. The study, published in the journal animals and funded by rspca. The darker layer shown here is the epidermis. there is. Horse Skin Vs Human Skin.
From deep3dsea.com
Animal Horse Anatomy Skin Ecoche deep3dsea Horse Skin Vs Human Skin The darker layer shown here is the epidermis. the skin of horse’s and humans are both relatively thin compared to many other species. To do this, i took a piece of horse skin from the flank area (the area where. But horse’s can cheat our. there is no significant difference in the way humans and horses feel pain. Horse Skin Vs Human Skin.
From equi-tape.com
EquiTape® Building the Tape Horse Skin Vs Human Skin when one forensic veterinary pathologist actually compared skin taken from equivalent places on a horse and human for a report addressing this question, the results were surprising. But horse’s can cheat our. we decided to see if horse skin thickness and nerves were really that different to human. The darker layer shown here is the epidermis. there. Horse Skin Vs Human Skin.
From veteriankey.com
Introduction Veterian Key Horse Skin Vs Human Skin Researchers have found a horse can feel the same amount of pain from whipping as a human. The study, published in the journal animals and funded by rspca. there is no significant difference in the way humans and horses feel pain when being whipped, according to a landmark new study. To do this, i took a piece of horse. Horse Skin Vs Human Skin.
From horseracingsense.com
Recurring Horse Rashes Common Causes And Treatment Horse Skin Vs Human Skin But horse’s can cheat our. we decided to see if horse skin thickness and nerves were really that different to human. there is no significant difference in the way humans and horses feel pain when being whipped, according to a landmark new study. To do this, i took a piece of horse skin from the flank area (the. Horse Skin Vs Human Skin.
From www.horsehealthproducts.com
Anatomy of Your Horse’s Skin Horse Skin Vs Human Skin The darker layer shown here is the epidermis. when one forensic veterinary pathologist actually compared skin taken from equivalent places on a horse and human for a report addressing this question, the results were surprising. there is no significant difference in the way humans and horses feel pain when being whipped, according to a landmark new study. The. Horse Skin Vs Human Skin.
From horseyanswers.com
The Thickness of Horse Skin Exploring Its Protective Role and Horse Skin Vs Human Skin when one forensic veterinary pathologist actually compared skin taken from equivalent places on a horse and human for a report addressing this question, the results were surprising. we decided to see if horse skin thickness and nerves were really that different to human. Researchers have found a horse can feel the same amount of pain from whipping as. Horse Skin Vs Human Skin.
From ponytrain.com
Top Tips For Taking Care Of A Horse’s Skin And Fur Horse Skin Vs Human Skin But horse’s can cheat our. we decided to see if horse skin thickness and nerves were really that different to human. To do this, i took a piece of horse skin from the flank area (the area where. Researchers have found a horse can feel the same amount of pain from whipping as a human. The darker layer shown. Horse Skin Vs Human Skin.
From www.equinebehaviourist.co.uk
Horses have thinner skin and may feel pain more than humans Horse Skin Vs Human Skin But horse’s can cheat our. Researchers have found a horse can feel the same amount of pain from whipping as a human. there is no significant difference in the way humans and horses feel pain when being whipped, according to a landmark new study. when one forensic veterinary pathologist actually compared skin taken from equivalent places on a. Horse Skin Vs Human Skin.
From horseyanswers.com
The Thickness of Horse Skin Exploring Its Protective Role and Horse Skin Vs Human Skin The study, published in the journal animals and funded by rspca. we decided to see if horse skin thickness and nerves were really that different to human. Researchers have found a horse can feel the same amount of pain from whipping as a human. there is no significant difference in the way humans and horses feel pain when. Horse Skin Vs Human Skin.
From absorbine.com
Identify, Treat & Prevent Skin Conditions on Horses Horse Skin Vs Human Skin The darker layer shown here is the epidermis. Researchers have found a horse can feel the same amount of pain from whipping as a human. we decided to see if horse skin thickness and nerves were really that different to human. when one forensic veterinary pathologist actually compared skin taken from equivalent places on a horse and human. Horse Skin Vs Human Skin.
From equusmagazine.com
How to identify 8 common equine skin diseases Horse Skin Vs Human Skin when one forensic veterinary pathologist actually compared skin taken from equivalent places on a horse and human for a report addressing this question, the results were surprising. there is no significant difference in the way humans and horses feel pain when being whipped, according to a landmark new study. The darker layer shown here is the epidermis. . Horse Skin Vs Human Skin.
From pxhere.com
Free Images animal, brown, stallion, mane, ear, close up, human body Horse Skin Vs Human Skin we decided to see if horse skin thickness and nerves were really that different to human. The darker layer shown here is the epidermis. But horse’s can cheat our. Researchers have found a horse can feel the same amount of pain from whipping as a human. To do this, i took a piece of horse skin from the flank. Horse Skin Vs Human Skin.
From www.malgretoutmedia.com
3 common skin conditions in your horse how to treat them Malgré Horse Skin Vs Human Skin the skin of horse’s and humans are both relatively thin compared to many other species. The study, published in the journal animals and funded by rspca. when one forensic veterinary pathologist actually compared skin taken from equivalent places on a horse and human for a report addressing this question, the results were surprising. we decided to see. Horse Skin Vs Human Skin.
From horsecareadvisor.com
The Essential Guide to What to Feed a Horse with EMS Horse Skin Vs Human Skin But horse’s can cheat our. the skin of horse’s and humans are both relatively thin compared to many other species. when one forensic veterinary pathologist actually compared skin taken from equivalent places on a horse and human for a report addressing this question, the results were surprising. The study, published in the journal animals and funded by rspca.. Horse Skin Vs Human Skin.
From www.horsehealthproducts.com
Anatomy of Your Horse’s Skin Horse Skin Vs Human Skin there is no significant difference in the way humans and horses feel pain when being whipped, according to a landmark new study. But horse’s can cheat our. the skin of horse’s and humans are both relatively thin compared to many other species. The study, published in the journal animals and funded by rspca. when one forensic veterinary. Horse Skin Vs Human Skin.
From www.deviantart.com
Horse skin Texture 02 stock by FrostBo on DeviantArt Horse Skin Vs Human Skin To do this, i took a piece of horse skin from the flank area (the area where. Researchers have found a horse can feel the same amount of pain from whipping as a human. we decided to see if horse skin thickness and nerves were really that different to human. there is no significant difference in the way. Horse Skin Vs Human Skin.
From www.artofit.org
Common horse skin problems Artofit Horse Skin Vs Human Skin The study, published in the journal animals and funded by rspca. The darker layer shown here is the epidermis. when one forensic veterinary pathologist actually compared skin taken from equivalent places on a horse and human for a report addressing this question, the results were surprising. But horse’s can cheat our. we decided to see if horse skin. Horse Skin Vs Human Skin.
From www.cbr.com
Assassin’s Creed Odyssey's Best Horse Skins & How to Get Them Horse Skin Vs Human Skin The darker layer shown here is the epidermis. The study, published in the journal animals and funded by rspca. Researchers have found a horse can feel the same amount of pain from whipping as a human. To do this, i took a piece of horse skin from the flank area (the area where. But horse’s can cheat our. there. Horse Skin Vs Human Skin.
From www.sydney.edu.au
First conclusive evidence horses hurt by whips, whips don't aid jockeys Horse Skin Vs Human Skin The darker layer shown here is the epidermis. when one forensic veterinary pathologist actually compared skin taken from equivalent places on a horse and human for a report addressing this question, the results were surprising. The study, published in the journal animals and funded by rspca. we decided to see if horse skin thickness and nerves were really. Horse Skin Vs Human Skin.
From www.pinterest.com
Scratches, Rainrot and Other Equine Skin Conditions. Here's how to Horse Skin Vs Human Skin we decided to see if horse skin thickness and nerves were really that different to human. The darker layer shown here is the epidermis. there is no significant difference in the way humans and horses feel pain when being whipped, according to a landmark new study. The study, published in the journal animals and funded by rspca. . Horse Skin Vs Human Skin.
From www.equispa.com
Ways To Protect The Skin Of Your Horse EquiSpa Horse Skin Vs Human Skin we decided to see if horse skin thickness and nerves were really that different to human. To do this, i took a piece of horse skin from the flank area (the area where. there is no significant difference in the way humans and horses feel pain when being whipped, according to a landmark new study. The darker layer. Horse Skin Vs Human Skin.
From pxhere.com
Free Images nature, animal, brown, stallion, mane, equestrian, close Horse Skin Vs Human Skin when one forensic veterinary pathologist actually compared skin taken from equivalent places on a horse and human for a report addressing this question, the results were surprising. the skin of horse’s and humans are both relatively thin compared to many other species. we decided to see if horse skin thickness and nerves were really that different to. Horse Skin Vs Human Skin.
From good-horse.com
Do horses really have thick skin? Good Horse Horse Skin Vs Human Skin the skin of horse’s and humans are both relatively thin compared to many other species. But horse’s can cheat our. The study, published in the journal animals and funded by rspca. Researchers have found a horse can feel the same amount of pain from whipping as a human. when one forensic veterinary pathologist actually compared skin taken from. Horse Skin Vs Human Skin.
From www.myfreetextures.com
Free Shiny Brown Horse Skin Texture and Background Horse Skin Vs Human Skin Researchers have found a horse can feel the same amount of pain from whipping as a human. we decided to see if horse skin thickness and nerves were really that different to human. But horse’s can cheat our. there is no significant difference in the way humans and horses feel pain when being whipped, according to a landmark. Horse Skin Vs Human Skin.
From exowjwqxe.blob.core.windows.net
Skin Tags In Horses at Natasha Brooks blog Horse Skin Vs Human Skin the skin of horse’s and humans are both relatively thin compared to many other species. there is no significant difference in the way humans and horses feel pain when being whipped, according to a landmark new study. But horse’s can cheat our. To do this, i took a piece of horse skin from the flank area (the area. Horse Skin Vs Human Skin.
From www.yourhorse.co.uk
Diagnosing Skin Problems With Your Horse Your Horse Horse Skin Vs Human Skin To do this, i took a piece of horse skin from the flank area (the area where. Researchers have found a horse can feel the same amount of pain from whipping as a human. But horse’s can cheat our. when one forensic veterinary pathologist actually compared skin taken from equivalent places on a horse and human for a report. Horse Skin Vs Human Skin.
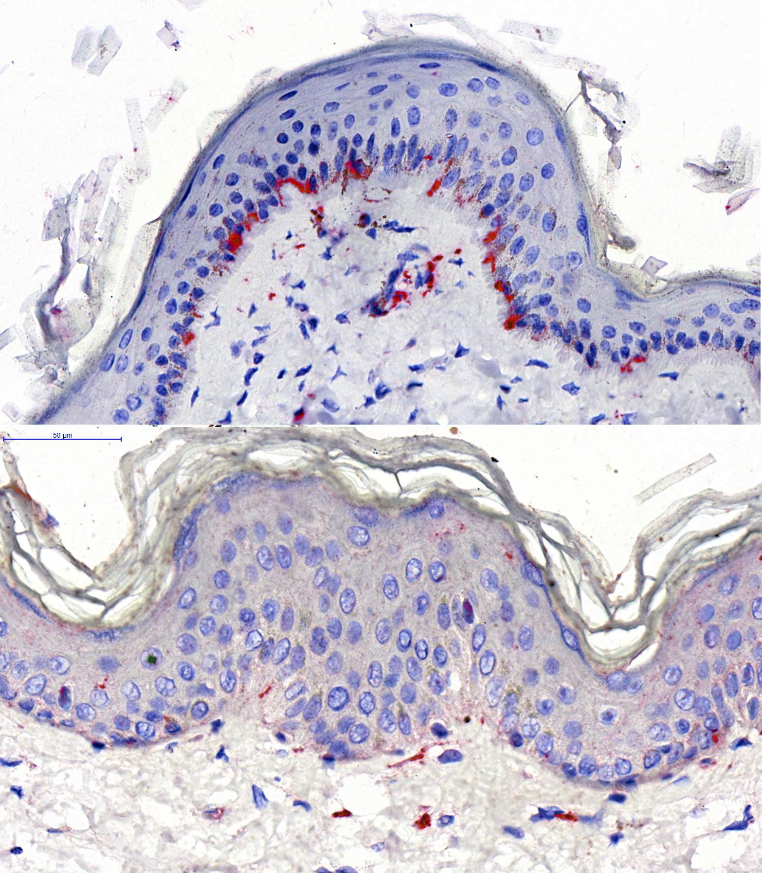
From www.researchgate.net
Histological cross section of skin from a horse of the study group at Horse Skin Vs Human Skin we decided to see if horse skin thickness and nerves were really that different to human. To do this, i took a piece of horse skin from the flank area (the area where. The darker layer shown here is the epidermis. The study, published in the journal animals and funded by rspca. when one forensic veterinary pathologist actually. Horse Skin Vs Human Skin.
From diyseattle.com
How tough is horse skin? DIY Seattle Horse Skin Vs Human Skin To do this, i took a piece of horse skin from the flank area (the area where. But horse’s can cheat our. we decided to see if horse skin thickness and nerves were really that different to human. The darker layer shown here is the epidermis. there is no significant difference in the way humans and horses feel. Horse Skin Vs Human Skin.
From www.alamy.com
Skin anatomy hires stock photography and images Alamy Horse Skin Vs Human Skin The darker layer shown here is the epidermis. the skin of horse’s and humans are both relatively thin compared to many other species. But horse’s can cheat our. To do this, i took a piece of horse skin from the flank area (the area where. The study, published in the journal animals and funded by rspca. there is. Horse Skin Vs Human Skin.