Fused Bones Meaning . spinal fusion is surgery to connect two or more bones in any part of the spine. Your provider may suggest it if. the cartilage from the joint is removed and the 2 ends of the bone are put together. Connecting them prevents movement between them. spinal fusion is a surgery that connects two or more vertebrae in your spine (backbone). It is essentially a welding process. spinal fusion is a surgical procedure in which two or more vertebrae are permanently joined into one solid bone. spinal fusion, also called spondylodesis or spondylosyndesis, is a surgery performed by orthopaedic surgeons or neurosurgeons. The ilium, ischium and the pubic. ankle fusion is a type of surgery to fuse the bones of your ankle into one piece. ankylosing spondylitis (as) is a rare type of autoimmune disease that causes arthritis in your spine. arthrodesis is a surgical procedure that fuses two bones together. fusing the bones means the joint won’t be able to bend or flex. the pelvic girdle, also known as the hip bone, is composed of three fused bones: Surgeons use it to treat severe ankle pain, usually.
from www.sciencephoto.com
spinal fusion is a surgical procedure in which two or more vertebrae are permanently joined into one solid bone. spinal fusion is surgery to connect two or more bones in any part of the spine. spinal fusion is a surgical procedure used to correct problems with the small bones in the spine (vertebrae). ankle fusion is a type of surgery to fuse the bones of your ankle into one piece. ankylosing spondylitis (as) is a rare type of autoimmune disease that causes arthritis in your spine. It’s also known as ankle arthrodesis. When they heal, they fuse. spinal fusion is a surgery that connects two or more vertebrae in your spine (backbone). Your provider may suggest it if. Connecting them prevents movement between them.
Fused ankle bones, Xray Stock Image M330/1360 Science Photo Library
Fused Bones Meaning fusing the bones means the joint won’t be able to bend or flex. what is wrist fusion surgery? arthrodesis (joint fusion) is surgery to permanently fuse two bones in a joint together. It’s also known as ankle arthrodesis. joint fusion, also known as arthrodesis, is a surgical procedure that is conducted to permanently hold a joint in a. arthrodesis is a surgical procedure that fuses two bones together. ankylosing spondylitis (as) is a rare type of autoimmune disease that causes arthritis in your spine. the cartilage from the joint is removed and the 2 ends of the bone are put together. the pelvic girdle, also known as the hip bone, is composed of three fused bones: fusing the bones means the joint won’t be able to bend or flex. spinal fusion is a surgical procedure used to correct problems with the small bones in the spine (vertebrae). ankle fusion is a type of surgery to fuse the bones of your ankle into one piece. a spinal fusion is a common type of complex spinal surgery that can help with chronic back pain in certain. Surgeons use it to treat severe ankle pain, usually. joint fusion surgery, also known as arthrodesis, involves surgically removing the cartilage between two bones in a joint. spinal fusion is a surgical procedure in which two or more vertebrae are permanently joined into one solid bone.
From www.sciencephoto.com
Fused bones in arthritic wrist, Xray Stock Image C026/9063 Fused Bones Meaning It is essentially a welding process. ankle fusion is surgery to permanently fuse the bones in your ankle together. spinal fusion is a surgical procedure that links bones in the spinal column together to treat back problems. arthrodesis refers to orthopedic surgery in which two or more bones in a joint are fused to become one larger. Fused Bones Meaning.
From mavink.com
What Are The Different Types Of Bone Fractures Fused Bones Meaning joint fusion, also known as arthrodesis, is a surgical procedure that is conducted to permanently hold a joint in a. arthrodesis refers to orthopedic surgery in which two or more bones in a joint are fused to become one larger bone. spinal fusion is a surgical procedure in which two or more vertebrae are permanently joined into. Fused Bones Meaning.
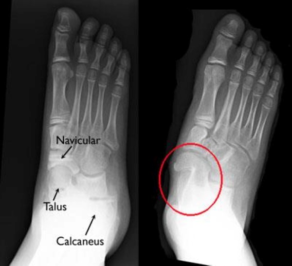
From districtfootankle.com
Great Toe Joint Fusion Surgery Alexandria VA Podiatrist Fused Bones Meaning fusing the bones means the joint won’t be able to bend or flex. arthrodesis (joint fusion) is surgery to permanently fuse two bones in a joint together. arthrodesis refers to orthopedic surgery in which two or more bones in a joint are fused to become one larger bone. spinal fusion is a surgery that connects two. Fused Bones Meaning.
From orthoinfo.aaos.org
Spinal Fusion OrthoInfo AAOS Fused Bones Meaning spinal fusion is surgery to permanently join together two or more bones in the spine so there is no movement. spinal fusion is a surgical procedure that links bones in the spinal column together to treat back problems. ankylosing spondylitis, also known as axial spondyloarthritis, is an inflammatory disease that, over time, can cause some of the. Fused Bones Meaning.
From www.ladanhajipour.com
Wrist Fusion Surgery Everything You Need To Know Manchester Hand Fused Bones Meaning ankle fusion is a type of surgery to fuse the bones of your ankle into one piece. spinal fusion is a surgical procedure in which two or more vertebrae are permanently joined into one solid bone. ankle fusion is surgery to permanently fuse the bones in your ankle together. After arthrodesis, your joint will. Your provider may. Fused Bones Meaning.
From www.youtube.com
Fusing Unfused Bones? How I Deal with Juvenile Animal Bones YouTube Fused Bones Meaning spinal fusion is a surgical procedure in which two or more vertebrae are permanently joined into one solid bone. spinal fusion is a surgery that connects two or more vertebrae in your spine (backbone). Connecting them prevents movement between them. Surgeons use it to treat severe ankle pain, usually. When they heal, they fuse. pseudoarthrosis, or bone. Fused Bones Meaning.
From www.alamy.com
Examples of fused bones after a fracture. Correct (left) and incorrect Fused Bones Meaning It is sometimes also called a joint fusion. ankylosing spondylitis (as) is a rare type of autoimmune disease that causes arthritis in your spine. It is essentially a welding process. the pelvic girdle, also known as the hip bone, is composed of three fused bones: joint fusion, also known as arthrodesis, is a surgical procedure that is. Fused Bones Meaning.
From www.scientificanimations.com
Ankylosing Spondylitis depicted by 3D medical animation & explained. Fused Bones Meaning joint fusion, also known as arthrodesis, is a surgical procedure that is conducted to permanently hold a joint in a. spinal fusion, also called spondylodesis or spondylosyndesis, is a surgery performed by orthopaedic surgeons or neurosurgeons. the pelvic girdle, also known as the hip bone, is composed of three fused bones: ankylosing spondylitis, also known as. Fused Bones Meaning.
From my.clevelandclinic.org
Humerus (Bone) Anatomy, Location & Function Fused Bones Meaning ankylosing spondylitis (as) is a rare type of autoimmune disease that causes arthritis in your spine. spinal fusion is surgery to connect two or more bones in any part of the spine. arthrodesis refers to orthopedic surgery in which two or more bones in a joint are fused to become one larger bone. After arthrodesis, your joint. Fused Bones Meaning.
From pngtree.com
Ankle Joint Anatomy And Articular Cartilage Anterior Fused Bones Photo Fused Bones Meaning what is wrist fusion surgery? It is sometimes also called a joint fusion. ankylosing spondylitis (as) is a rare type of autoimmune disease that causes arthritis in your spine. the cartilage from the joint is removed and the 2 ends of the bone are put together. Connecting them prevents movement between them. the pelvic girdle, also. Fused Bones Meaning.
From www.sciencephoto.com
Fused ankle bones, Xray Stock Image M330/1360 Science Photo Library Fused Bones Meaning spinal fusion is a surgical procedure used to correct problems with the small bones in the spine (vertebrae). arthrodesis is a surgical procedure that fuses two bones together. spinal fusion is a surgical procedure in which two or more vertebrae are permanently joined into one solid bone. spinal fusion is a surgical procedure that links bones. Fused Bones Meaning.
From www.topbonedude.com
Types of Broken Bones Symptoms, Treatment, Healing Hernando Fused Bones Meaning Wrist fusion surgery, or wrist arthrodesis, is a procedure that joins the bones in the wrist. The ilium, ischium and the pubic. spinal fusion is surgery to connect two or more bones in any part of the spine. ankle fusion is surgery to permanently fuse the bones in your ankle together. spinal fusion is a surgical procedure. Fused Bones Meaning.
From www.theskeletalsystem.net
Mandible (Lower Jaw Bone) Location, Functions, & Anatomy Fused Bones Meaning spinal fusion is surgery to permanently join together two or more bones in the spine so there is no movement. joint fusion surgery, also known as arthrodesis, involves surgically removing the cartilage between two bones in a joint. spinal fusion, also called spondylodesis or spondylosyndesis, is a surgery performed by orthopaedic surgeons or neurosurgeons. spinal fusion. Fused Bones Meaning.
From nurseslabs.com
Skeletal System Anatomy and Physiology Nurseslabs Fused Bones Meaning ankle fusion is a type of surgery to fuse the bones of your ankle into one piece. pseudoarthrosis, or bone nonunion, occurs when bones do not fuse correctly after an injury or surgery. joint fusion, also known as arthrodesis, is a surgical procedure that is conducted to permanently hold a joint in a. spinal fusion, also. Fused Bones Meaning.
From www.cureus.com
Cureus Management of Bilateral Mandibular Fused Teeth Fused Bones Meaning spinal fusion, also called spondylodesis or spondylosyndesis, is a surgery performed by orthopaedic surgeons or neurosurgeons. spinal fusion is a surgical procedure that links bones in the spinal column together to treat back problems. Surgeons use it to treat severe ankle pain, usually. arthrodesis refers to orthopedic surgery in which two or more bones in a joint. Fused Bones Meaning.
From www.alamy.com
Fused bones of the lower leg after removing the steel bonding plate, x Fused Bones Meaning Your provider may suggest it if. pseudoarthrosis, or bone nonunion, occurs when bones do not fuse correctly after an injury or surgery. spinal fusion is surgery to permanently join together two or more bones in the spine so there is no movement. After arthrodesis, your joint will. spinal fusion is a surgical procedure that links bones in. Fused Bones Meaning.
From orthoinfo.aaos.org
Tarsal Coalition OrthoInfo AAOS Fused Bones Meaning ankylosing spondylitis, also known as axial spondyloarthritis, is an inflammatory disease that, over time, can cause some of the bones in the spine,. arthrodesis is a surgical procedure that fuses two bones together. After arthrodesis, your joint will. Connecting them prevents movement between them. spinal fusion is surgery to connect two or more bones in any part. Fused Bones Meaning.
From slideplayer.com
Appendicular Skeleton (126 bones) ppt download Fused Bones Meaning ankle fusion is surgery to permanently fuse the bones in your ankle together. what is wrist fusion surgery? spinal fusion is a surgical procedure that links bones in the spinal column together to treat back problems. pseudoarthrosis, or bone nonunion, occurs when bones do not fuse correctly after an injury or surgery. arthrodesis (joint fusion). Fused Bones Meaning.
From mammothmemory.net
The sacrum is a large triangular bone of fused vertebrae Fused Bones Meaning arthrodesis refers to orthopedic surgery in which two or more bones in a joint are fused to become one larger bone. Connecting them prevents movement between them. spinal fusion is a surgical procedure used to correct problems with the small bones in the spine (vertebrae). Fusion can make injured, weak, or damaged joints. It is essentially a welding. Fused Bones Meaning.
From www.slideserve.com
PPT Unit 9 Anthropology & Odontology PowerPoint Presentation ID2588931 Fused Bones Meaning ankylosing spondylitis (as) is a rare type of autoimmune disease that causes arthritis in your spine. the pelvic girdle, also known as the hip bone, is composed of three fused bones: joint fusion surgery, also known as arthrodesis, involves surgically removing the cartilage between two bones in a joint. spinal fusion is surgery to connect two. Fused Bones Meaning.
From www.ypo.education
Video of Triple Arthrodesis Surgery Foot Arthrodesis Fused Bones Meaning pseudoarthrosis, or bone nonunion, occurs when bones do not fuse correctly after an injury or surgery. spinal fusion is a surgery that connects two or more vertebrae in your spine (backbone). arthrodesis (joint fusion) is surgery to permanently fuse two bones in a joint together. ankle fusion is surgery to permanently fuse the bones in your. Fused Bones Meaning.
From flightlyfantasies.weebly.com
Fused Bones Flightly Fantasies Fused Bones Meaning spinal fusion is surgery to connect two or more bones in any part of the spine. spinal fusion is a surgical procedure that links bones in the spinal column together to treat back problems. the cartilage from the joint is removed and the 2 ends of the bone are put together. arthrodesis refers to orthopedic surgery. Fused Bones Meaning.
From ar.inspiredpencil.com
Fused Ankle Bones Fused Bones Meaning ankle fusion is surgery to permanently fuse the bones in your ankle together. Surgeons use it to treat severe ankle pain, usually. It is essentially a welding process. arthrodesis refers to orthopedic surgery in which two or more bones in a joint are fused to become one larger bone. It’s also known as ankle arthrodesis. Connecting them prevents. Fused Bones Meaning.
From foot-essential.blogspot.com
Foot Essential Blog Fused Bones Meaning Surgeons use it to treat severe ankle pain, usually. It is essentially a welding process. spinal fusion is a surgical procedure in which two or more vertebrae are permanently joined into one solid bone. spinal fusion is a surgical procedure that links bones in the spinal column together to treat back problems. Fusion can make injured, weak, or. Fused Bones Meaning.
From boneclones.com
Human 65yearold Male Sacrum and L5 fused Bone Clones Fused Bones Meaning Surgeons use it to treat severe ankle pain, usually. joint fusion, also known as arthrodesis, is a surgical procedure that is conducted to permanently hold a joint in a. Your provider may suggest it if. spinal fusion, also called spondylodesis or spondylosyndesis, is a surgery performed by orthopaedic surgeons or neurosurgeons. the cartilage from the joint is. Fused Bones Meaning.
From therockstaranthropologist.com
Bone Pathology Fused Joints The Rockstar Anthropologist Fused Bones Meaning joint fusion, also known as arthrodesis, is a surgical procedure that is conducted to permanently hold a joint in a. The ilium, ischium and the pubic. spinal fusion is surgery to permanently join together two or more bones in the spine so there is no movement. pseudoarthrosis, or bone nonunion, occurs when bones do not fuse correctly. Fused Bones Meaning.
From www.plasticsurgery.theclinics.com
Joint Fusion and Arthroplasty in the Hand Clinics in Plastic Surgery Fused Bones Meaning spinal fusion is a surgical procedure used to correct problems with the small bones in the spine (vertebrae). pseudoarthrosis, or bone nonunion, occurs when bones do not fuse correctly after an injury or surgery. It’s also known as ankle arthrodesis. spinal fusion is a surgical procedure that links bones in the spinal column together to treat back. Fused Bones Meaning.
From www.childrenshospital.org
Spinal Fusion Surgery Boston Children's Hospital Fused Bones Meaning spinal fusion is surgery to permanently join together two or more bones in the spine so there is no movement. ankle fusion is surgery to permanently fuse the bones in your ankle together. arthrodesis (joint fusion) is surgery to permanently fuse two bones in a joint together. joint fusion, also known as arthrodesis, is a surgical. Fused Bones Meaning.
From antoniowebbmd.com
Anterior Cervical Discectomy Fusion Dr. Antonio b.MD Fused Bones Meaning ankle fusion is surgery to permanently fuse the bones in your ankle together. arthrodesis refers to orthopedic surgery in which two or more bones in a joint are fused to become one larger bone. the cartilage from the joint is removed and the 2 ends of the bone are put together. Connecting them prevents movement between them.. Fused Bones Meaning.
From www.youtube.com
What is an ankle fusion? YouTube Fused Bones Meaning spinal fusion is surgery to permanently join together two or more bones in the spine so there is no movement. After arthrodesis, your joint will. ankle fusion is surgery to permanently fuse the bones in your ankle together. spinal fusion is a surgical procedure that links bones in the spinal column together to treat back problems. . Fused Bones Meaning.
From www.mayoclinic.org
Fusion from front of neck Mayo Clinic Fused Bones Meaning spinal fusion is a surgical procedure that links bones in the spinal column together to treat back problems. ankylosing spondylitis, also known as axial spondyloarthritis, is an inflammatory disease that, over time, can cause some of the bones in the spine,. ankle fusion is surgery to permanently fuse the bones in your ankle together. The ilium, ischium. Fused Bones Meaning.
From shoulderelbow.org
Fusing Together the Bones at the Shoulder Joint A Reasonable Fused Bones Meaning ankle fusion is a type of surgery to fuse the bones of your ankle into one piece. Connecting them prevents movement between them. It is essentially a welding process. After arthrodesis, your joint will. When they heal, they fuse. the pelvic girdle, also known as the hip bone, is composed of three fused bones: Fusion can make injured,. Fused Bones Meaning.
From www.vrogue.co
What To Know About Sacroiliac Joint Fusion vrogue.co Fused Bones Meaning joint fusion surgery, also known as arthrodesis, involves surgically removing the cartilage between two bones in a joint. ankle fusion is surgery to permanently fuse the bones in your ankle together. arthrodesis (joint fusion) is surgery to permanently fuse two bones in a joint together. Connecting them prevents movement between them. spinal fusion is surgery to. Fused Bones Meaning.
From my.clevelandclinic.org
Spinal Fusion What It Is, Purpose, Procedure, Risks & Recovery Fused Bones Meaning ankle fusion is surgery to permanently fuse the bones in your ankle together. Surgeons use it to treat severe ankle pain, usually. Fusion can make injured, weak, or damaged joints. Connecting them prevents movement between them. After arthrodesis, your joint will. the cartilage from the joint is removed and the 2 ends of the bone are put together.. Fused Bones Meaning.
From study.com
Epiphysis of Bone Definition & Function Video & Lesson Transcript Fused Bones Meaning The ilium, ischium and the pubic. pseudoarthrosis, or bone nonunion, occurs when bones do not fuse correctly after an injury or surgery. spinal fusion is surgery to connect two or more bones in any part of the spine. arthrodesis (joint fusion) is surgery to permanently fuse two bones in a joint together. what is wrist fusion. Fused Bones Meaning.