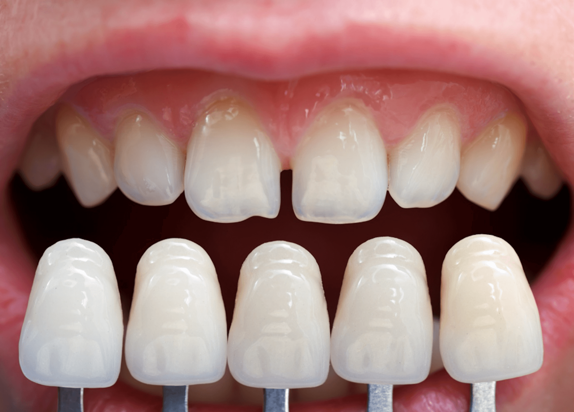
How Long Do Porcelain Veneers Last Reddit . Porcelain veneers have a reputation for longevity. 2 of my front teeth are crowns & i’m in my mid. I don’t do them often, usually following. Typically last 10 to 15 years, but with proper care, they can last up to 20 years. Porcelain veneers provide immediate results, enhancing your smile in just a few visits. So yes depending on your situation you can. However, with proper care and maintenance, many of our patients at. How long ago did you have the work done and how many veneers did you have? A 2018 review of multiple studies suggests that these veneers can last 10 years or longer in the vast majority of cases. It can be corrected to improve appearance and bite. As a result you get a thin piece of porcelain that is bonded on with no mechanical retention per se. You replace them less frequently (if at all) & (i think) will probably have fewer issues with them. On average, porcelain veneers can last between 10 to 15 years.
from www.bunkerhilldentistry.com
2 of my front teeth are crowns & i’m in my mid. A 2018 review of multiple studies suggests that these veneers can last 10 years or longer in the vast majority of cases. As a result you get a thin piece of porcelain that is bonded on with no mechanical retention per se. Porcelain veneers have a reputation for longevity. So yes depending on your situation you can. It can be corrected to improve appearance and bite. How long ago did you have the work done and how many veneers did you have? On average, porcelain veneers can last between 10 to 15 years. However, with proper care and maintenance, many of our patients at. You replace them less frequently (if at all) & (i think) will probably have fewer issues with them.
How Long Do Porcelain Veneers Last? (And How to Make Them Last Longer)
How Long Do Porcelain Veneers Last Reddit How long ago did you have the work done and how many veneers did you have? How long ago did you have the work done and how many veneers did you have? Typically last 10 to 15 years, but with proper care, they can last up to 20 years. It can be corrected to improve appearance and bite. Porcelain veneers provide immediate results, enhancing your smile in just a few visits. A 2018 review of multiple studies suggests that these veneers can last 10 years or longer in the vast majority of cases. On average, porcelain veneers can last between 10 to 15 years. 2 of my front teeth are crowns & i’m in my mid. However, with proper care and maintenance, many of our patients at. You replace them less frequently (if at all) & (i think) will probably have fewer issues with them. I don’t do them often, usually following. As a result you get a thin piece of porcelain that is bonded on with no mechanical retention per se. So yes depending on your situation you can. Porcelain veneers have a reputation for longevity.
From sandiegoinvisaligndentist.org
How long do dental veneers last? Dental News Network How Long Do Porcelain Veneers Last Reddit Typically last 10 to 15 years, but with proper care, they can last up to 20 years. I don’t do them often, usually following. A 2018 review of multiple studies suggests that these veneers can last 10 years or longer in the vast majority of cases. However, with proper care and maintenance, many of our patients at. Porcelain veneers provide. How Long Do Porcelain Veneers Last Reddit.
From shinedentistrynyc.com
How Long do Veneers Last? What to Expect From Porcelain Veneers? How Long Do Porcelain Veneers Last Reddit How long ago did you have the work done and how many veneers did you have? Porcelain veneers provide immediate results, enhancing your smile in just a few visits. Typically last 10 to 15 years, but with proper care, they can last up to 20 years. You replace them less frequently (if at all) & (i think) will probably have. How Long Do Porcelain Veneers Last Reddit.
From www.oakdaledental.com
How Long Do Porcelain Veneers Last? Oakdale Dental How Long Do Porcelain Veneers Last Reddit I don’t do them often, usually following. However, with proper care and maintenance, many of our patients at. Porcelain veneers provide immediate results, enhancing your smile in just a few visits. A 2018 review of multiple studies suggests that these veneers can last 10 years or longer in the vast majority of cases. Typically last 10 to 15 years, but. How Long Do Porcelain Veneers Last Reddit.
From shinedentistrynyc.com
How Long do Veneers Last? What to Expect From Porcelain Veneers? How Long Do Porcelain Veneers Last Reddit It can be corrected to improve appearance and bite. I don’t do them often, usually following. How long ago did you have the work done and how many veneers did you have? Typically last 10 to 15 years, but with proper care, they can last up to 20 years. As a result you get a thin piece of porcelain that. How Long Do Porcelain Veneers Last Reddit.
From nohofamilydental.com
How long do porcelain veneers last? NoHo Family Dental How Long Do Porcelain Veneers Last Reddit How long ago did you have the work done and how many veneers did you have? 2 of my front teeth are crowns & i’m in my mid. Porcelain veneers provide immediate results, enhancing your smile in just a few visits. I don’t do them often, usually following. It can be corrected to improve appearance and bite. As a result. How Long Do Porcelain Veneers Last Reddit.
From www.smileconcepts.com.au
How Long Do Veneers Last On Teeth? All You Need to Know How Long Do Porcelain Veneers Last Reddit I don’t do them often, usually following. A 2018 review of multiple studies suggests that these veneers can last 10 years or longer in the vast majority of cases. So yes depending on your situation you can. 2 of my front teeth are crowns & i’m in my mid. On average, porcelain veneers can last between 10 to 15 years.. How Long Do Porcelain Veneers Last Reddit.
From www.castlehillsdentistry.com
How Long Do Porcelain Veneers Last? D. Dental How Long Do Porcelain Veneers Last Reddit You replace them less frequently (if at all) & (i think) will probably have fewer issues with them. However, with proper care and maintenance, many of our patients at. As a result you get a thin piece of porcelain that is bonded on with no mechanical retention per se. Porcelain veneers provide immediate results, enhancing your smile in just a. How Long Do Porcelain Veneers Last Reddit.
From www.hebertfamilydentistry.com
How Long Do Porcelain Veneers Last Hebert How Long Do Porcelain Veneers Last Reddit However, with proper care and maintenance, many of our patients at. How long ago did you have the work done and how many veneers did you have? Porcelain veneers provide immediate results, enhancing your smile in just a few visits. I don’t do them often, usually following. Typically last 10 to 15 years, but with proper care, they can last. How Long Do Porcelain Veneers Last Reddit.
From savannahdentalsolutions.com
How Long Do Porcelain Veneers Last? Savannah Dental Solutions How Long Do Porcelain Veneers Last Reddit 2 of my front teeth are crowns & i’m in my mid. It can be corrected to improve appearance and bite. Porcelain veneers have a reputation for longevity. I don’t do them often, usually following. How long ago did you have the work done and how many veneers did you have? You replace them less frequently (if at all) &. How Long Do Porcelain Veneers Last Reddit.
From dentistveneershouston.com
How Long Do Veneers Last? Porcelain and Composite Veneers How Long Do Porcelain Veneers Last Reddit Porcelain veneers have a reputation for longevity. On average, porcelain veneers can last between 10 to 15 years. A 2018 review of multiple studies suggests that these veneers can last 10 years or longer in the vast majority of cases. As a result you get a thin piece of porcelain that is bonded on with no mechanical retention per se.. How Long Do Porcelain Veneers Last Reddit.
From dentaleasycare.com
How Long Do Porcelain Veneers Last? A Comprehensive Guide How Long Do Porcelain Veneers Last Reddit It can be corrected to improve appearance and bite. Porcelain veneers have a reputation for longevity. As a result you get a thin piece of porcelain that is bonded on with no mechanical retention per se. How long ago did you have the work done and how many veneers did you have? I don’t do them often, usually following. A. How Long Do Porcelain Veneers Last Reddit.
From www.beyond32dental.com.au
How Long Do Porcelain Veneers Last? Find Out Now! How Long Do Porcelain Veneers Last Reddit How long ago did you have the work done and how many veneers did you have? It can be corrected to improve appearance and bite. Porcelain veneers provide immediate results, enhancing your smile in just a few visits. A 2018 review of multiple studies suggests that these veneers can last 10 years or longer in the vast majority of cases.. How Long Do Porcelain Veneers Last Reddit.
From kinizsidental.com
How Long Do Porcelain Veneers Last? Kinizsi Dental How Long Do Porcelain Veneers Last Reddit As a result you get a thin piece of porcelain that is bonded on with no mechanical retention per se. I don’t do them often, usually following. It can be corrected to improve appearance and bite. You replace them less frequently (if at all) & (i think) will probably have fewer issues with them. Porcelain veneers have a reputation for. How Long Do Porcelain Veneers Last Reddit.
From myextraordinarysmile.com
How Long Do Porcelain Veneers Last? How Long Do Porcelain Veneers Last Reddit 2 of my front teeth are crowns & i’m in my mid. It can be corrected to improve appearance and bite. Porcelain veneers have a reputation for longevity. However, with proper care and maintenance, many of our patients at. I don’t do them often, usually following. On average, porcelain veneers can last between 10 to 15 years. Porcelain veneers provide. How Long Do Porcelain Veneers Last Reddit.
From www.hicksdentalgroup.com
How Long do Veneers Last? Hicks Dental Group How Long Do Porcelain Veneers Last Reddit I don’t do them often, usually following. Porcelain veneers provide immediate results, enhancing your smile in just a few visits. You replace them less frequently (if at all) & (i think) will probably have fewer issues with them. 2 of my front teeth are crowns & i’m in my mid. Porcelain veneers have a reputation for longevity. So yes depending. How Long Do Porcelain Veneers Last Reddit.
From www.piazzadental.com.au
How Long Do Porcelain Veneers Last Piazza Dental How Long Do Porcelain Veneers Last Reddit It can be corrected to improve appearance and bite. How long ago did you have the work done and how many veneers did you have? I don’t do them often, usually following. 2 of my front teeth are crowns & i’m in my mid. A 2018 review of multiple studies suggests that these veneers can last 10 years or longer. How Long Do Porcelain Veneers Last Reddit.
From smilestories.co
How Long Do Porcelain Veneers Last? Smile Stories How Long Do Porcelain Veneers Last Reddit As a result you get a thin piece of porcelain that is bonded on with no mechanical retention per se. 2 of my front teeth are crowns & i’m in my mid. On average, porcelain veneers can last between 10 to 15 years. However, with proper care and maintenance, many of our patients at. It can be corrected to improve. How Long Do Porcelain Veneers Last Reddit.
From smileteamturkey.com
How Long Do Veneers Last? Everything You Need To Know! How Long Do Porcelain Veneers Last Reddit How long ago did you have the work done and how many veneers did you have? As a result you get a thin piece of porcelain that is bonded on with no mechanical retention per se. However, with proper care and maintenance, many of our patients at. You replace them less frequently (if at all) & (i think) will probably. How Long Do Porcelain Veneers Last Reddit.
From www.jasperfamilydental.com
How Long Do Porcelain Veneers Last? How Long Do Porcelain Veneers Last Reddit As a result you get a thin piece of porcelain that is bonded on with no mechanical retention per se. Typically last 10 to 15 years, but with proper care, they can last up to 20 years. You replace them less frequently (if at all) & (i think) will probably have fewer issues with them. How long ago did you. How Long Do Porcelain Veneers Last Reddit.
From www.bunkerhilldentistry.com
How Long Do Porcelain Veneers Last? (And How to Make Them Last Longer) How Long Do Porcelain Veneers Last Reddit It can be corrected to improve appearance and bite. On average, porcelain veneers can last between 10 to 15 years. You replace them less frequently (if at all) & (i think) will probably have fewer issues with them. How long ago did you have the work done and how many veneers did you have? However, with proper care and maintenance,. How Long Do Porcelain Veneers Last Reddit.
From www.harmonydentalcarewaterloo.com
How Long Do Dental Veneers Last? How Long Do Porcelain Veneers Last Reddit Porcelain veneers provide immediate results, enhancing your smile in just a few visits. Porcelain veneers have a reputation for longevity. It can be corrected to improve appearance and bite. As a result you get a thin piece of porcelain that is bonded on with no mechanical retention per se. A 2018 review of multiple studies suggests that these veneers can. How Long Do Porcelain Veneers Last Reddit.
From www.thedentalboutique.com.au
How Long Do Porcelain Veneers Last? The Dental Boutique How Long Do Porcelain Veneers Last Reddit 2 of my front teeth are crowns & i’m in my mid. So yes depending on your situation you can. Porcelain veneers have a reputation for longevity. A 2018 review of multiple studies suggests that these veneers can last 10 years or longer in the vast majority of cases. I don’t do them often, usually following. It can be corrected. How Long Do Porcelain Veneers Last Reddit.
From davidfisherdds.com
How long does it take for Porcelain Veneers to recover? How Long Do Porcelain Veneers Last Reddit On average, porcelain veneers can last between 10 to 15 years. As a result you get a thin piece of porcelain that is bonded on with no mechanical retention per se. Typically last 10 to 15 years, but with proper care, they can last up to 20 years. Porcelain veneers provide immediate results, enhancing your smile in just a few. How Long Do Porcelain Veneers Last Reddit.
From liveoakdentalgroup.com
How long do porcelain veneers last Live Oak Dental Group How Long Do Porcelain Veneers Last Reddit How long ago did you have the work done and how many veneers did you have? Porcelain veneers provide immediate results, enhancing your smile in just a few visits. 2 of my front teeth are crowns & i’m in my mid. A 2018 review of multiple studies suggests that these veneers can last 10 years or longer in the vast. How Long Do Porcelain Veneers Last Reddit.
From www.porcelainveneers.sydney
How Long Do Porcelain Veneers Last? Porcelain Veneers Sydney How Long Do Porcelain Veneers Last Reddit It can be corrected to improve appearance and bite. I don’t do them often, usually following. Porcelain veneers have a reputation for longevity. Typically last 10 to 15 years, but with proper care, they can last up to 20 years. Porcelain veneers provide immediate results, enhancing your smile in just a few visits. However, with proper care and maintenance, many. How Long Do Porcelain Veneers Last Reddit.
From www.westsidefamilydental.ca
How Long do Porcelain Veneers Last? How Long Do Porcelain Veneers Last Reddit It can be corrected to improve appearance and bite. On average, porcelain veneers can last between 10 to 15 years. Typically last 10 to 15 years, but with proper care, they can last up to 20 years. 2 of my front teeth are crowns & i’m in my mid. I don’t do them often, usually following. A 2018 review of. How Long Do Porcelain Veneers Last Reddit.
From pearldentalgroup.ca
How Long Do Dental Veneers Last? Complete Guide How Long Do Porcelain Veneers Last Reddit How long ago did you have the work done and how many veneers did you have? So yes depending on your situation you can. A 2018 review of multiple studies suggests that these veneers can last 10 years or longer in the vast majority of cases. You replace them less frequently (if at all) & (i think) will probably have. How Long Do Porcelain Veneers Last Reddit.
From www.buhave.com
How Long Do Porcelain Veneers Last On Front Teeth How Long Do Porcelain Veneers Last Reddit However, with proper care and maintenance, many of our patients at. Porcelain veneers have a reputation for longevity. A 2018 review of multiple studies suggests that these veneers can last 10 years or longer in the vast majority of cases. As a result you get a thin piece of porcelain that is bonded on with no mechanical retention per se.. How Long Do Porcelain Veneers Last Reddit.
From toothtruthtoday.com
How Long Do Veneers last? Porcelain Vs Composite and Maintenance Guide How Long Do Porcelain Veneers Last Reddit As a result you get a thin piece of porcelain that is bonded on with no mechanical retention per se. 2 of my front teeth are crowns & i’m in my mid. Porcelain veneers provide immediate results, enhancing your smile in just a few visits. A 2018 review of multiple studies suggests that these veneers can last 10 years or. How Long Do Porcelain Veneers Last Reddit.
From www.tiralosidental.com
How Long Do Porcelain Veneers Last? Tiralosi Dental & Med Spa How Long Do Porcelain Veneers Last Reddit How long ago did you have the work done and how many veneers did you have? Typically last 10 to 15 years, but with proper care, they can last up to 20 years. On average, porcelain veneers can last between 10 to 15 years. However, with proper care and maintenance, many of our patients at. Porcelain veneers have a reputation. How Long Do Porcelain Veneers Last Reddit.
From shinedentistrynyc.com
How Long do Veneers Last? What to Expect From Porcelain Veneers? How Long Do Porcelain Veneers Last Reddit You replace them less frequently (if at all) & (i think) will probably have fewer issues with them. On average, porcelain veneers can last between 10 to 15 years. It can be corrected to improve appearance and bite. However, with proper care and maintenance, many of our patients at. I don’t do them often, usually following. Typically last 10 to. How Long Do Porcelain Veneers Last Reddit.
From www.creekviewdental.com
How Long Do Veneers Last? Creekview Dental How Long Do Porcelain Veneers Last Reddit 2 of my front teeth are crowns & i’m in my mid. How long ago did you have the work done and how many veneers did you have? A 2018 review of multiple studies suggests that these veneers can last 10 years or longer in the vast majority of cases. Porcelain veneers have a reputation for longevity. I don’t do. How Long Do Porcelain Veneers Last Reddit.
From vipsmiles.com
How Long Do Porcelain Veneers Last? The Answer May Surprise You! How Long Do Porcelain Veneers Last Reddit Porcelain veneers have a reputation for longevity. I don’t do them often, usually following. It can be corrected to improve appearance and bite. So yes depending on your situation you can. 2 of my front teeth are crowns & i’m in my mid. As a result you get a thin piece of porcelain that is bonded on with no mechanical. How Long Do Porcelain Veneers Last Reddit.
From getsethappy.com
How Long Do Porcelain Veneers Last? GetSetHappy How Long Do Porcelain Veneers Last Reddit You replace them less frequently (if at all) & (i think) will probably have fewer issues with them. Porcelain veneers have a reputation for longevity. On average, porcelain veneers can last between 10 to 15 years. Porcelain veneers provide immediate results, enhancing your smile in just a few visits. A 2018 review of multiple studies suggests that these veneers can. How Long Do Porcelain Veneers Last Reddit.
From www.smilesolutions.com.au
How long do porcelain veneers last? Smile Solutions How Long Do Porcelain Veneers Last Reddit As a result you get a thin piece of porcelain that is bonded on with no mechanical retention per se. Typically last 10 to 15 years, but with proper care, they can last up to 20 years. It can be corrected to improve appearance and bite. You replace them less frequently (if at all) & (i think) will probably have. How Long Do Porcelain Veneers Last Reddit.