What Does Evali Feel Like . What are the signs and symptoms of evali? Their symptoms, which developed over a few days to several weeks, included cough, shortness of breath, chest pain, nausea, vomiting,. The following can happen suddenly or get worse. Evali can cause symptoms that resemble those of pneumonia or the flu, the cdc warns, including the. Some people do not start with symptoms relating to their lungs. You may feel like you have the flu at first. “they may not have a. The signs of vaping related lung injury can be vague. Learn about symptoms and treatment. You may be given corticosteroids to lessen inflammation in the lungs. What are the symptoms of evali specifically?
from vapeast.com
What are the signs and symptoms of evali? You may feel like you have the flu at first. Evali can cause symptoms that resemble those of pneumonia or the flu, the cdc warns, including the. The following can happen suddenly or get worse. What are the symptoms of evali specifically? Some people do not start with symptoms relating to their lungs. Learn about symptoms and treatment. “they may not have a. You may be given corticosteroids to lessen inflammation in the lungs. Their symptoms, which developed over a few days to several weeks, included cough, shortness of breath, chest pain, nausea, vomiting,.
Is the coronavirus Ecigarette or vaping product use associated lung
What Does Evali Feel Like The signs of vaping related lung injury can be vague. Evali can cause symptoms that resemble those of pneumonia or the flu, the cdc warns, including the. Some people do not start with symptoms relating to their lungs. What are the signs and symptoms of evali? The following can happen suddenly or get worse. “they may not have a. Their symptoms, which developed over a few days to several weeks, included cough, shortness of breath, chest pain, nausea, vomiting,. You may be given corticosteroids to lessen inflammation in the lungs. Learn about symptoms and treatment. The signs of vaping related lung injury can be vague. You may feel like you have the flu at first. What are the symptoms of evali specifically?
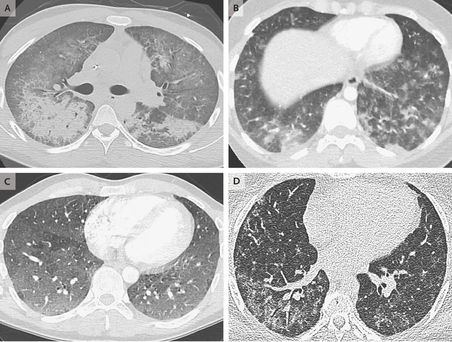
From www.nejm.org
An Animal Model of Inhaled Vitamin E Acetate and EVALIlike Lung Injury What Does Evali Feel Like What are the signs and symptoms of evali? Their symptoms, which developed over a few days to several weeks, included cough, shortness of breath, chest pain, nausea, vomiting,. What are the symptoms of evali specifically? The following can happen suddenly or get worse. Some people do not start with symptoms relating to their lungs. Learn about symptoms and treatment. “they. What Does Evali Feel Like.
From www.inverse.com
EVALI 3 shocking images reveal the damage vaping can do to teen lungs What Does Evali Feel Like The signs of vaping related lung injury can be vague. Evali can cause symptoms that resemble those of pneumonia or the flu, the cdc warns, including the. “they may not have a. The following can happen suddenly or get worse. What are the symptoms of evali specifically? Learn about symptoms and treatment. What are the signs and symptoms of evali?. What Does Evali Feel Like.
From healthjade.net
EVALI lung injury, causes, symptoms, diagnosis, treatment & prognosis What Does Evali Feel Like “they may not have a. Evali can cause symptoms that resemble those of pneumonia or the flu, the cdc warns, including the. You may be given corticosteroids to lessen inflammation in the lungs. What are the signs and symptoms of evali? Some people do not start with symptoms relating to their lungs. Their symptoms, which developed over a few days. What Does Evali Feel Like.
From www.choosingtherapy.com
What is Vaping? Side Effects & Risks What Does Evali Feel Like What are the symptoms of evali specifically? Some people do not start with symptoms relating to their lungs. Evali can cause symptoms that resemble those of pneumonia or the flu, the cdc warns, including the. “they may not have a. The signs of vaping related lung injury can be vague. What are the signs and symptoms of evali? Learn about. What Does Evali Feel Like.
From dotcommagazine.com
EVALI Top Ten Powerful Things You Need To Know Magazine What Does Evali Feel Like The following can happen suddenly or get worse. The signs of vaping related lung injury can be vague. Their symptoms, which developed over a few days to several weeks, included cough, shortness of breath, chest pain, nausea, vomiting,. What are the symptoms of evali specifically? You may feel like you have the flu at first. You may be given corticosteroids. What Does Evali Feel Like.
From www.researchgate.net
EVALIrelated articles by month. Line graphs indicate EVALIspecific What Does Evali Feel Like Some people do not start with symptoms relating to their lungs. What are the signs and symptoms of evali? Learn about symptoms and treatment. Evali can cause symptoms that resemble those of pneumonia or the flu, the cdc warns, including the. The following can happen suddenly or get worse. The signs of vaping related lung injury can be vague. You. What Does Evali Feel Like.
From doesvapinghelpdepression.blogspot.com
10 Ways Coronavirus Changed The Hide Your Vape Industry Forever What Does Evali Feel Like The signs of vaping related lung injury can be vague. “they may not have a. What are the signs and symptoms of evali? What are the symptoms of evali specifically? Evali can cause symptoms that resemble those of pneumonia or the flu, the cdc warns, including the. Their symptoms, which developed over a few days to several weeks, included cough,. What Does Evali Feel Like.
From scrolller.com
Your gf does what she feels like and she doesn't feel like rimming you What Does Evali Feel Like The signs of vaping related lung injury can be vague. Learn about symptoms and treatment. The following can happen suddenly or get worse. You may feel like you have the flu at first. Some people do not start with symptoms relating to their lungs. You may be given corticosteroids to lessen inflammation in the lungs. What are the symptoms of. What Does Evali Feel Like.
From www.youtube.com
What Is EVALI? YouTube What Does Evali Feel Like Evali can cause symptoms that resemble those of pneumonia or the flu, the cdc warns, including the. The following can happen suddenly or get worse. What are the symptoms of evali specifically? The signs of vaping related lung injury can be vague. Their symptoms, which developed over a few days to several weeks, included cough, shortness of breath, chest pain,. What Does Evali Feel Like.
From www.youtube.com
What is evali disease All you need to know currentaffairs2020 What Does Evali Feel Like The following can happen suddenly or get worse. What are the signs and symptoms of evali? The signs of vaping related lung injury can be vague. Evali can cause symptoms that resemble those of pneumonia or the flu, the cdc warns, including the. Some people do not start with symptoms relating to their lungs. Their symptoms, which developed over a. What Does Evali Feel Like.
From www.researchgate.net
Clinical Characteristics of Case Patients With EVALI Download What Does Evali Feel Like “they may not have a. The signs of vaping related lung injury can be vague. Learn about symptoms and treatment. Some people do not start with symptoms relating to their lungs. Their symptoms, which developed over a few days to several weeks, included cough, shortness of breath, chest pain, nausea, vomiting,. You may be given corticosteroids to lessen inflammation in. What Does Evali Feel Like.
From www.onedose.io
What is Electronic Cigarette Disease (EVALI)? One Dose What Does Evali Feel Like Evali can cause symptoms that resemble those of pneumonia or the flu, the cdc warns, including the. Their symptoms, which developed over a few days to several weeks, included cough, shortness of breath, chest pain, nausea, vomiting,. What are the signs and symptoms of evali? You may be given corticosteroids to lessen inflammation in the lungs. Learn about symptoms and. What Does Evali Feel Like.
From emcrit.org
Ecigarette or vaping associated lung injury (EVALI) EMCrit Project What Does Evali Feel Like “they may not have a. Some people do not start with symptoms relating to their lungs. Their symptoms, which developed over a few days to several weeks, included cough, shortness of breath, chest pain, nausea, vomiting,. What are the symptoms of evali specifically? You may be given corticosteroids to lessen inflammation in the lungs. Evali can cause symptoms that resemble. What Does Evali Feel Like.
From www.youtube.com
HOT MESS Clive Bates on FDA, EVALI & Youth Vaping Stats RegWatch What Does Evali Feel Like The signs of vaping related lung injury can be vague. What are the signs and symptoms of evali? What are the symptoms of evali specifically? Some people do not start with symptoms relating to their lungs. The following can happen suddenly or get worse. “they may not have a. Evali can cause symptoms that resemble those of pneumonia or the. What Does Evali Feel Like.
From casaa.org
What You Should Know About Ecigarettes and EVALI CASAA What Does Evali Feel Like “they may not have a. What are the signs and symptoms of evali? Their symptoms, which developed over a few days to several weeks, included cough, shortness of breath, chest pain, nausea, vomiting,. You may feel like you have the flu at first. What are the symptoms of evali specifically? Learn about symptoms and treatment. Evali can cause symptoms that. What Does Evali Feel Like.
From www.istockphoto.com
Evali Ecigarette Or Vaping Product Useassociated Lung Injury Vector What Does Evali Feel Like What are the symptoms of evali specifically? You may be given corticosteroids to lessen inflammation in the lungs. You may feel like you have the flu at first. Their symptoms, which developed over a few days to several weeks, included cough, shortness of breath, chest pain, nausea, vomiting,. What are the signs and symptoms of evali? Learn about symptoms and. What Does Evali Feel Like.
From www.the-hospitalist.org
EVALI outbreak ongoing, but new cases decline The Hospitalist What Does Evali Feel Like You may be given corticosteroids to lessen inflammation in the lungs. What are the signs and symptoms of evali? Evali can cause symptoms that resemble those of pneumonia or the flu, the cdc warns, including the. “they may not have a. Some people do not start with symptoms relating to their lungs. The signs of vaping related lung injury can. What Does Evali Feel Like.
From abtc.ng
What are symptoms of EVALI? What are 6 symptoms of EVALI? ABTC What Does Evali Feel Like The signs of vaping related lung injury can be vague. What are the signs and symptoms of evali? You may feel like you have the flu at first. The following can happen suddenly or get worse. Evali can cause symptoms that resemble those of pneumonia or the flu, the cdc warns, including the. “they may not have a. What are. What Does Evali Feel Like.
From www.rsna.org
EVALIVapeResearch RSNA What Does Evali Feel Like Learn about symptoms and treatment. The following can happen suddenly or get worse. You may feel like you have the flu at first. Their symptoms, which developed over a few days to several weeks, included cough, shortness of breath, chest pain, nausea, vomiting,. “they may not have a. Some people do not start with symptoms relating to their lungs. What. What Does Evali Feel Like.
From www.youtube.com
Industry Insider What is EVALI? YouTube What Does Evali Feel Like You may be given corticosteroids to lessen inflammation in the lungs. “they may not have a. Some people do not start with symptoms relating to their lungs. The following can happen suddenly or get worse. Evali can cause symptoms that resemble those of pneumonia or the flu, the cdc warns, including the. The signs of vaping related lung injury can. What Does Evali Feel Like.
From enfermagemilustrada.com
EVALI A Nova Doença Pulmonar Enfermagem Ilustrada What Does Evali Feel Like The following can happen suddenly or get worse. Learn about symptoms and treatment. “they may not have a. You may feel like you have the flu at first. What are the symptoms of evali specifically? You may be given corticosteroids to lessen inflammation in the lungs. Their symptoms, which developed over a few days to several weeks, included cough, shortness. What Does Evali Feel Like.
From www.webconsultas.com
EVALI, qué es riesgos de la enfermedad asociada al vapeo What Does Evali Feel Like You may feel like you have the flu at first. “they may not have a. What are the signs and symptoms of evali? What are the symptoms of evali specifically? Their symptoms, which developed over a few days to several weeks, included cough, shortness of breath, chest pain, nausea, vomiting,. The following can happen suddenly or get worse. You may. What Does Evali Feel Like.
From vapeast.com
Is the coronavirus Ecigarette or vaping product use associated lung What Does Evali Feel Like The following can happen suddenly or get worse. Evali can cause symptoms that resemble those of pneumonia or the flu, the cdc warns, including the. “they may not have a. What are the symptoms of evali specifically? Some people do not start with symptoms relating to their lungs. You may feel like you have the flu at first. The signs. What Does Evali Feel Like.
From open.spotify.com
The Tea With Evali Delvi Podcast on Spotify What Does Evali Feel Like Their symptoms, which developed over a few days to several weeks, included cough, shortness of breath, chest pain, nausea, vomiting,. The signs of vaping related lung injury can be vague. Learn about symptoms and treatment. Some people do not start with symptoms relating to their lungs. The following can happen suddenly or get worse. You may feel like you have. What Does Evali Feel Like.
From www.researchgate.net
The diagnostictherapeutic chart of EVALI (elaborated according to [44 What Does Evali Feel Like Their symptoms, which developed over a few days to several weeks, included cough, shortness of breath, chest pain, nausea, vomiting,. Learn about symptoms and treatment. “they may not have a. What are the symptoms of evali specifically? Some people do not start with symptoms relating to their lungs. Evali can cause symptoms that resemble those of pneumonia or the flu,. What Does Evali Feel Like.
From www.reddit.com
My lungs, before & after EVALI. Initial XR & followup CT. r/Radiology What Does Evali Feel Like Learn about symptoms and treatment. Some people do not start with symptoms relating to their lungs. What are the signs and symptoms of evali? You may be given corticosteroids to lessen inflammation in the lungs. What are the symptoms of evali specifically? You may feel like you have the flu at first. “they may not have a. Their symptoms, which. What Does Evali Feel Like.
From www.reddit.com
My lungs, before & after EVALI. Initial XR & followup CT. r/Radiology What Does Evali Feel Like What are the signs and symptoms of evali? Some people do not start with symptoms relating to their lungs. You may feel like you have the flu at first. Their symptoms, which developed over a few days to several weeks, included cough, shortness of breath, chest pain, nausea, vomiting,. The signs of vaping related lung injury can be vague. What. What Does Evali Feel Like.
From zedie.org
Popcorn Lung (Bronchiolitis Obliterans) ARYAN'S BLOG What Does Evali Feel Like The following can happen suddenly or get worse. Evali can cause symptoms that resemble those of pneumonia or the flu, the cdc warns, including the. The signs of vaping related lung injury can be vague. “they may not have a. You may be given corticosteroids to lessen inflammation in the lungs. What are the signs and symptoms of evali? You. What Does Evali Feel Like.
From www.researchgate.net
Percentage of Any Symptoms a , any EVALIlike Symptoms, and Most Common What Does Evali Feel Like The signs of vaping related lung injury can be vague. Evali can cause symptoms that resemble those of pneumonia or the flu, the cdc warns, including the. You may feel like you have the flu at first. The following can happen suddenly or get worse. Their symptoms, which developed over a few days to several weeks, included cough, shortness of. What Does Evali Feel Like.
From www.greaterportlandhealth.org
Starting the Conversation Youth Vaping and Stress News & Events What Does Evali Feel Like What are the symptoms of evali specifically? Some people do not start with symptoms relating to their lungs. Their symptoms, which developed over a few days to several weeks, included cough, shortness of breath, chest pain, nausea, vomiting,. You may feel like you have the flu at first. Learn about symptoms and treatment. You may be given corticosteroids to lessen. What Does Evali Feel Like.
From www.theyoungfolks.com
"This Is What It Feels Like" Album Review Pause. This one will make What Does Evali Feel Like You may be given corticosteroids to lessen inflammation in the lungs. “they may not have a. Learn about symptoms and treatment. Their symptoms, which developed over a few days to several weeks, included cough, shortness of breath, chest pain, nausea, vomiting,. Evali can cause symptoms that resemble those of pneumonia or the flu, the cdc warns, including the. What are. What Does Evali Feel Like.
From www.cureus.com
Evape and ECigarettesAssociated Lung Injury (EVALI) in the COVID19 What Does Evali Feel Like You may be given corticosteroids to lessen inflammation in the lungs. Their symptoms, which developed over a few days to several weeks, included cough, shortness of breath, chest pain, nausea, vomiting,. What are the signs and symptoms of evali? The following can happen suddenly or get worse. The signs of vaping related lung injury can be vague. You may feel. What Does Evali Feel Like.
From www.abc4.com
Vaping Injuries What is EVALI and what does it have to do with COVID19? What Does Evali Feel Like Some people do not start with symptoms relating to their lungs. What are the symptoms of evali specifically? What are the signs and symptoms of evali? Evali can cause symptoms that resemble those of pneumonia or the flu, the cdc warns, including the. Their symptoms, which developed over a few days to several weeks, included cough, shortness of breath, chest. What Does Evali Feel Like.
From healthjade.net
EVALI lung injury, causes, symptoms, diagnosis, treatment & prognosis What Does Evali Feel Like The signs of vaping related lung injury can be vague. Some people do not start with symptoms relating to their lungs. Their symptoms, which developed over a few days to several weeks, included cough, shortness of breath, chest pain, nausea, vomiting,. The following can happen suddenly or get worse. Evali can cause symptoms that resemble those of pneumonia or the. What Does Evali Feel Like.
From thoitrangaction.com
What Are Symptoms Of Evali Recognizing The VapingRelated Illness What Does Evali Feel Like Evali can cause symptoms that resemble those of pneumonia or the flu, the cdc warns, including the. You may feel like you have the flu at first. Some people do not start with symptoms relating to their lungs. The signs of vaping related lung injury can be vague. Their symptoms, which developed over a few days to several weeks, included. What Does Evali Feel Like.