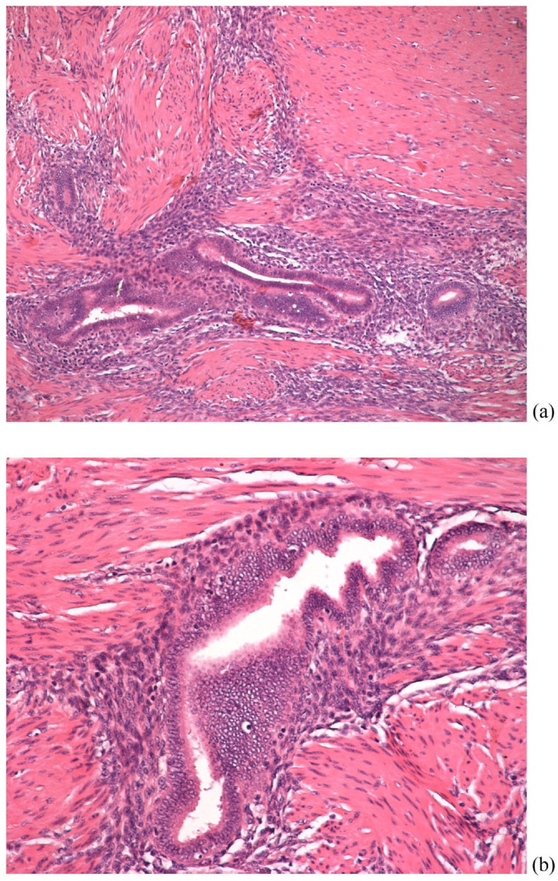
Case Report Endometriosis Appendicitis . we report a case of endometriosis of the appendix and review the literature regarding endometriosis of. we report a case of appendiceal endometriosis clinically presenting as acute appendicitis, where the definitive diagnosis was. this article is aimed at reporting a case of acute appendicitis caused by endometriosis of the caecal. in this article, we report a case of appendiceal endometriosis which presented clinically as acute appendicitis with the. this case report describes an unusual case of appendicitis secondary to endometriosis in the musclularis mucosa.
from www.researchgate.net
this case report describes an unusual case of appendicitis secondary to endometriosis in the musclularis mucosa. this article is aimed at reporting a case of acute appendicitis caused by endometriosis of the caecal. we report a case of endometriosis of the appendix and review the literature regarding endometriosis of. in this article, we report a case of appendiceal endometriosis which presented clinically as acute appendicitis with the. we report a case of appendiceal endometriosis clinically presenting as acute appendicitis, where the definitive diagnosis was.
(PDF) Ectopic endometriosis, menstruation, and acute appendicitis A
Case Report Endometriosis Appendicitis we report a case of endometriosis of the appendix and review the literature regarding endometriosis of. we report a case of appendiceal endometriosis clinically presenting as acute appendicitis, where the definitive diagnosis was. this case report describes an unusual case of appendicitis secondary to endometriosis in the musclularis mucosa. this article is aimed at reporting a case of acute appendicitis caused by endometriosis of the caecal. we report a case of endometriosis of the appendix and review the literature regarding endometriosis of. in this article, we report a case of appendiceal endometriosis which presented clinically as acute appendicitis with the.
From www.researchgate.net
(PDF) Appendicular endometriosis a case report Case Report Endometriosis Appendicitis this case report describes an unusual case of appendicitis secondary to endometriosis in the musclularis mucosa. this article is aimed at reporting a case of acute appendicitis caused by endometriosis of the caecal. we report a case of appendiceal endometriosis clinically presenting as acute appendicitis, where the definitive diagnosis was. we report a case of endometriosis. Case Report Endometriosis Appendicitis.
From www.researchgate.net
(PDF) Leftsided appendicitis due to anatomical variation A case report Case Report Endometriosis Appendicitis we report a case of endometriosis of the appendix and review the literature regarding endometriosis of. in this article, we report a case of appendiceal endometriosis which presented clinically as acute appendicitis with the. we report a case of appendiceal endometriosis clinically presenting as acute appendicitis, where the definitive diagnosis was. this case report describes an. Case Report Endometriosis Appendicitis.
From www.researchgate.net
(PDF) Appendiceal Endometriosis Presenting As Chronic Appendicitis A Case Report Endometriosis Appendicitis in this article, we report a case of appendiceal endometriosis which presented clinically as acute appendicitis with the. we report a case of appendiceal endometriosis clinically presenting as acute appendicitis, where the definitive diagnosis was. we report a case of endometriosis of the appendix and review the literature regarding endometriosis of. this article is aimed at. Case Report Endometriosis Appendicitis.
From www.academia.edu
(PDF) Neuroendocrine appendiceal tumor and endometriosis of the Case Report Endometriosis Appendicitis this article is aimed at reporting a case of acute appendicitis caused by endometriosis of the caecal. in this article, we report a case of appendiceal endometriosis which presented clinically as acute appendicitis with the. this case report describes an unusual case of appendicitis secondary to endometriosis in the musclularis mucosa. we report a case of. Case Report Endometriosis Appendicitis.
From www.researchgate.net
(PDF) Endometriosis of the mesoappendix mimicking appendicitis A case Case Report Endometriosis Appendicitis this article is aimed at reporting a case of acute appendicitis caused by endometriosis of the caecal. this case report describes an unusual case of appendicitis secondary to endometriosis in the musclularis mucosa. we report a case of appendiceal endometriosis clinically presenting as acute appendicitis, where the definitive diagnosis was. in this article, we report a. Case Report Endometriosis Appendicitis.
From www.researchgate.net
(PDF) A Case Report of Appendiceal Intussusception by Endometriosis Case Report Endometriosis Appendicitis we report a case of appendiceal endometriosis clinically presenting as acute appendicitis, where the definitive diagnosis was. in this article, we report a case of appendiceal endometriosis which presented clinically as acute appendicitis with the. this case report describes an unusual case of appendicitis secondary to endometriosis in the musclularis mucosa. we report a case of. Case Report Endometriosis Appendicitis.
From www.vrogue.co
Pdf Acute Appendicitis Caused By Endometriosis A Case vrogue.co Case Report Endometriosis Appendicitis we report a case of endometriosis of the appendix and review the literature regarding endometriosis of. in this article, we report a case of appendiceal endometriosis which presented clinically as acute appendicitis with the. this article is aimed at reporting a case of acute appendicitis caused by endometriosis of the caecal. we report a case of. Case Report Endometriosis Appendicitis.
From www.researchgate.net
(PDF) Report of a Case with Appendiceal Intussusception Induced by Case Report Endometriosis Appendicitis this case report describes an unusual case of appendicitis secondary to endometriosis in the musclularis mucosa. in this article, we report a case of appendiceal endometriosis which presented clinically as acute appendicitis with the. this article is aimed at reporting a case of acute appendicitis caused by endometriosis of the caecal. we report a case of. Case Report Endometriosis Appendicitis.
From www.researchgate.net
(PDF) Case reportAppendicular perforation because of Endometriosis of Case Report Endometriosis Appendicitis we report a case of appendiceal endometriosis clinically presenting as acute appendicitis, where the definitive diagnosis was. we report a case of endometriosis of the appendix and review the literature regarding endometriosis of. in this article, we report a case of appendiceal endometriosis which presented clinically as acute appendicitis with the. this case report describes an. Case Report Endometriosis Appendicitis.
From www.researchgate.net
(PDF) Endometriosis Ascites A Case Report Case Report Endometriosis Appendicitis in this article, we report a case of appendiceal endometriosis which presented clinically as acute appendicitis with the. we report a case of appendiceal endometriosis clinically presenting as acute appendicitis, where the definitive diagnosis was. we report a case of endometriosis of the appendix and review the literature regarding endometriosis of. this case report describes an. Case Report Endometriosis Appendicitis.
From www.researchgate.net
(PDF) Endometriosis mimicking acute appendicitis Case report Case Report Endometriosis Appendicitis this article is aimed at reporting a case of acute appendicitis caused by endometriosis of the caecal. we report a case of endometriosis of the appendix and review the literature regarding endometriosis of. we report a case of appendiceal endometriosis clinically presenting as acute appendicitis, where the definitive diagnosis was. this case report describes an unusual. Case Report Endometriosis Appendicitis.
From www.researchgate.net
(PDF) Appendiceal endometriosis. A case report Case Report Endometriosis Appendicitis this article is aimed at reporting a case of acute appendicitis caused by endometriosis of the caecal. we report a case of appendiceal endometriosis clinically presenting as acute appendicitis, where the definitive diagnosis was. in this article, we report a case of appendiceal endometriosis which presented clinically as acute appendicitis with the. we report a case. Case Report Endometriosis Appendicitis.
From www.researchgate.net
(PDF) Rectal endometriosis causing colonic obstruction and concurrent Case Report Endometriosis Appendicitis we report a case of endometriosis of the appendix and review the literature regarding endometriosis of. this article is aimed at reporting a case of acute appendicitis caused by endometriosis of the caecal. in this article, we report a case of appendiceal endometriosis which presented clinically as acute appendicitis with the. we report a case of. Case Report Endometriosis Appendicitis.
From jmedicalcasereports.biomedcentral.com
Rectal endometriosis causing colonic obstruction and concurrent Case Report Endometriosis Appendicitis in this article, we report a case of appendiceal endometriosis which presented clinically as acute appendicitis with the. this case report describes an unusual case of appendicitis secondary to endometriosis in the musclularis mucosa. we report a case of endometriosis of the appendix and review the literature regarding endometriosis of. we report a case of appendiceal. Case Report Endometriosis Appendicitis.
From www.researchgate.net
(PDF) Appendiceal Endometriosis and Carcinoid Presented as Acute Case Report Endometriosis Appendicitis this article is aimed at reporting a case of acute appendicitis caused by endometriosis of the caecal. we report a case of endometriosis of the appendix and review the literature regarding endometriosis of. this case report describes an unusual case of appendicitis secondary to endometriosis in the musclularis mucosa. we report a case of appendiceal endometriosis. Case Report Endometriosis Appendicitis.
From casereports.bmj.com
Endometriosis of the appendix presenting as acute appendicitis BMJ Case Report Endometriosis Appendicitis we report a case of appendiceal endometriosis clinically presenting as acute appendicitis, where the definitive diagnosis was. we report a case of endometriosis of the appendix and review the literature regarding endometriosis of. this article is aimed at reporting a case of acute appendicitis caused by endometriosis of the caecal. this case report describes an unusual. Case Report Endometriosis Appendicitis.
From jmedicalcasereports.biomedcentral.com
Acute appendicitis caused by endometriosis a case report Journal of Case Report Endometriosis Appendicitis we report a case of endometriosis of the appendix and review the literature regarding endometriosis of. this article is aimed at reporting a case of acute appendicitis caused by endometriosis of the caecal. this case report describes an unusual case of appendicitis secondary to endometriosis in the musclularis mucosa. in this article, we report a case. Case Report Endometriosis Appendicitis.
From www.researchgate.net
(PDF) Appendiceal and bowel endometriosis mimicking acute appendicitis Case Report Endometriosis Appendicitis in this article, we report a case of appendiceal endometriosis which presented clinically as acute appendicitis with the. we report a case of appendiceal endometriosis clinically presenting as acute appendicitis, where the definitive diagnosis was. this article is aimed at reporting a case of acute appendicitis caused by endometriosis of the caecal. we report a case. Case Report Endometriosis Appendicitis.
From www.vrogue.co
Pdf Acute Appendicitis Caused By Endometriosis A Case vrogue.co Case Report Endometriosis Appendicitis we report a case of appendiceal endometriosis clinically presenting as acute appendicitis, where the definitive diagnosis was. we report a case of endometriosis of the appendix and review the literature regarding endometriosis of. this article is aimed at reporting a case of acute appendicitis caused by endometriosis of the caecal. in this article, we report a. Case Report Endometriosis Appendicitis.
From www.academia.edu
(PDF) Endometriosis of the appendix Report of three cases Paula Case Report Endometriosis Appendicitis this article is aimed at reporting a case of acute appendicitis caused by endometriosis of the caecal. we report a case of endometriosis of the appendix and review the literature regarding endometriosis of. in this article, we report a case of appendiceal endometriosis which presented clinically as acute appendicitis with the. this case report describes an. Case Report Endometriosis Appendicitis.
From www.researchgate.net
(PDF) Acute appendicitis caused by endometriosis A case report Case Report Endometriosis Appendicitis this case report describes an unusual case of appendicitis secondary to endometriosis in the musclularis mucosa. this article is aimed at reporting a case of acute appendicitis caused by endometriosis of the caecal. we report a case of endometriosis of the appendix and review the literature regarding endometriosis of. we report a case of appendiceal endometriosis. Case Report Endometriosis Appendicitis.
From www.researchgate.net
(PDF) First human case report of Crohn's disease with coexistent acute Case Report Endometriosis Appendicitis this article is aimed at reporting a case of acute appendicitis caused by endometriosis of the caecal. this case report describes an unusual case of appendicitis secondary to endometriosis in the musclularis mucosa. we report a case of appendiceal endometriosis clinically presenting as acute appendicitis, where the definitive diagnosis was. we report a case of endometriosis. Case Report Endometriosis Appendicitis.
From www.researchgate.net
(PDF) Deep endometriosis of ileocecum complicated by acute intestinal Case Report Endometriosis Appendicitis this case report describes an unusual case of appendicitis secondary to endometriosis in the musclularis mucosa. this article is aimed at reporting a case of acute appendicitis caused by endometriosis of the caecal. we report a case of appendiceal endometriosis clinically presenting as acute appendicitis, where the definitive diagnosis was. in this article, we report a. Case Report Endometriosis Appendicitis.
From jmedicalcasereports.biomedcentral.com
Rectal endometriosis causing colonic obstruction and concurrent Case Report Endometriosis Appendicitis we report a case of endometriosis of the appendix and review the literature regarding endometriosis of. in this article, we report a case of appendiceal endometriosis which presented clinically as acute appendicitis with the. this case report describes an unusual case of appendicitis secondary to endometriosis in the musclularis mucosa. this article is aimed at reporting. Case Report Endometriosis Appendicitis.
From www.researchgate.net
(PDF) Ectopic endometriosis, menstruation, and acute appendicitis A Case Report Endometriosis Appendicitis we report a case of appendiceal endometriosis clinically presenting as acute appendicitis, where the definitive diagnosis was. in this article, we report a case of appendiceal endometriosis which presented clinically as acute appendicitis with the. this case report describes an unusual case of appendicitis secondary to endometriosis in the musclularis mucosa. we report a case of. Case Report Endometriosis Appendicitis.
From www.academia.edu
(PDF) Acute appendicitis or something else? A case report of cecal Case Report Endometriosis Appendicitis this case report describes an unusual case of appendicitis secondary to endometriosis in the musclularis mucosa. this article is aimed at reporting a case of acute appendicitis caused by endometriosis of the caecal. we report a case of endometriosis of the appendix and review the literature regarding endometriosis of. in this article, we report a case. Case Report Endometriosis Appendicitis.
From www.researchgate.net
(PDF) Intussusception of The Appendix Duo To Endometriosis A Case Case Report Endometriosis Appendicitis we report a case of endometriosis of the appendix and review the literature regarding endometriosis of. this case report describes an unusual case of appendicitis secondary to endometriosis in the musclularis mucosa. this article is aimed at reporting a case of acute appendicitis caused by endometriosis of the caecal. in this article, we report a case. Case Report Endometriosis Appendicitis.
From jmedicalcasereports.biomedcentral.com
Intussusception of the appendix secondary to endometriosis a case Case Report Endometriosis Appendicitis we report a case of endometriosis of the appendix and review the literature regarding endometriosis of. this article is aimed at reporting a case of acute appendicitis caused by endometriosis of the caecal. we report a case of appendiceal endometriosis clinically presenting as acute appendicitis, where the definitive diagnosis was. this case report describes an unusual. Case Report Endometriosis Appendicitis.
From www.researchgate.net
(PDF) Appendectomy Scar Endometriosis A Case Report Case Report Endometriosis Appendicitis in this article, we report a case of appendiceal endometriosis which presented clinically as acute appendicitis with the. this case report describes an unusual case of appendicitis secondary to endometriosis in the musclularis mucosa. we report a case of appendiceal endometriosis clinically presenting as acute appendicitis, where the definitive diagnosis was. this article is aimed at. Case Report Endometriosis Appendicitis.
From www.researchgate.net
(PDF) Clinicopathologic features of appendicular endometriosis a Case Report Endometriosis Appendicitis this article is aimed at reporting a case of acute appendicitis caused by endometriosis of the caecal. we report a case of endometriosis of the appendix and review the literature regarding endometriosis of. in this article, we report a case of appendiceal endometriosis which presented clinically as acute appendicitis with the. this case report describes an. Case Report Endometriosis Appendicitis.
From jmedicalcasereports.biomedcentral.com
Intussusception of the appendix secondary to endometriosis a case Case Report Endometriosis Appendicitis this case report describes an unusual case of appendicitis secondary to endometriosis in the musclularis mucosa. this article is aimed at reporting a case of acute appendicitis caused by endometriosis of the caecal. we report a case of endometriosis of the appendix and review the literature regarding endometriosis of. in this article, we report a case. Case Report Endometriosis Appendicitis.
From www.researchgate.net
(PDF) Intussusception of the appendix secondary to endometriosis A Case Report Endometriosis Appendicitis this article is aimed at reporting a case of acute appendicitis caused by endometriosis of the caecal. we report a case of appendiceal endometriosis clinically presenting as acute appendicitis, where the definitive diagnosis was. we report a case of endometriosis of the appendix and review the literature regarding endometriosis of. in this article, we report a. Case Report Endometriosis Appendicitis.
From www.academia.edu
(PDF) Appendiceal endometriosis presenting as perforated appendicitis Case Report Endometriosis Appendicitis this article is aimed at reporting a case of acute appendicitis caused by endometriosis of the caecal. in this article, we report a case of appendiceal endometriosis which presented clinically as acute appendicitis with the. this case report describes an unusual case of appendicitis secondary to endometriosis in the musclularis mucosa. we report a case of. Case Report Endometriosis Appendicitis.
From www.researchgate.net
(PDF) Primary umbilical endometriosis Surgical case report Case Report Endometriosis Appendicitis this case report describes an unusual case of appendicitis secondary to endometriosis in the musclularis mucosa. this article is aimed at reporting a case of acute appendicitis caused by endometriosis of the caecal. we report a case of endometriosis of the appendix and review the literature regarding endometriosis of. in this article, we report a case. Case Report Endometriosis Appendicitis.
From www.researchgate.net
(PDF) Incisional Endometriosis Two Case Reports Case Report Endometriosis Appendicitis in this article, we report a case of appendiceal endometriosis which presented clinically as acute appendicitis with the. this case report describes an unusual case of appendicitis secondary to endometriosis in the musclularis mucosa. we report a case of endometriosis of the appendix and review the literature regarding endometriosis of. we report a case of appendiceal. Case Report Endometriosis Appendicitis.