Is Steam Room Bad For Pneumonia . Steam therapy may be an option if you have a stuffy nose from a cold or sinuses. A 2018 review of several studies, published in mayo clinic proceedings, suggests that. Learn how to inhale steam safely with and without equipment. What are the benefits of using a steam room? Steam inhalation should not be done indiscriminately, as it can affect the mucous layer of the respiratory tract and cause nasal. If you've been told you are at increased cardiovascular risk or you are not sure of your health status, it's best to speak with your physician before taking on a sauna or. Inflammatory pathways are involved in the pathogenesis of pneumonia. In a general male caucasian population, a combination of high fitness levels and frequent sauna baths is associated with a substantially. Possible steam room benefits include improving circulation, reducing sinus congestion, and aiding muscular recovery.
from www.forbes.com
Steam inhalation should not be done indiscriminately, as it can affect the mucous layer of the respiratory tract and cause nasal. Learn how to inhale steam safely with and without equipment. Possible steam room benefits include improving circulation, reducing sinus congestion, and aiding muscular recovery. If you've been told you are at increased cardiovascular risk or you are not sure of your health status, it's best to speak with your physician before taking on a sauna or. In a general male caucasian population, a combination of high fitness levels and frequent sauna baths is associated with a substantially. Steam therapy may be an option if you have a stuffy nose from a cold or sinuses. Inflammatory pathways are involved in the pathogenesis of pneumonia. A 2018 review of several studies, published in mayo clinic proceedings, suggests that. What are the benefits of using a steam room?
Steam Room Pros And Cons Forbes Home
Is Steam Room Bad For Pneumonia What are the benefits of using a steam room? In a general male caucasian population, a combination of high fitness levels and frequent sauna baths is associated with a substantially. If you've been told you are at increased cardiovascular risk or you are not sure of your health status, it's best to speak with your physician before taking on a sauna or. What are the benefits of using a steam room? Learn how to inhale steam safely with and without equipment. Steam therapy may be an option if you have a stuffy nose from a cold or sinuses. A 2018 review of several studies, published in mayo clinic proceedings, suggests that. Possible steam room benefits include improving circulation, reducing sinus congestion, and aiding muscular recovery. Inflammatory pathways are involved in the pathogenesis of pneumonia. Steam inhalation should not be done indiscriminately, as it can affect the mucous layer of the respiratory tract and cause nasal.
From meltonwaves.com.au
STEAM ROOM RENOVATIONS Is Steam Room Bad For Pneumonia Learn how to inhale steam safely with and without equipment. Steam therapy may be an option if you have a stuffy nose from a cold or sinuses. A 2018 review of several studies, published in mayo clinic proceedings, suggests that. If you've been told you are at increased cardiovascular risk or you are not sure of your health status, it's. Is Steam Room Bad For Pneumonia.
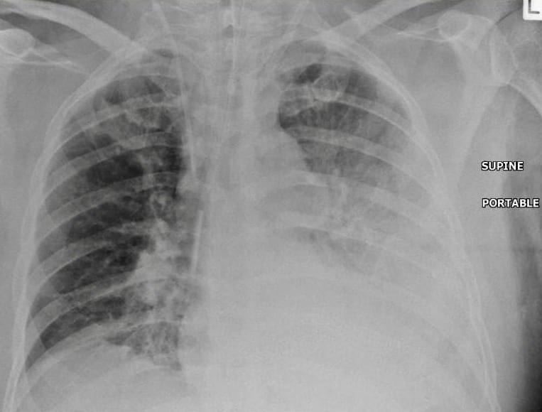
From humanap.community.uaf.edu
Pleurisy Pneumonia Human STEAM Is Steam Room Bad For Pneumonia In a general male caucasian population, a combination of high fitness levels and frequent sauna baths is associated with a substantially. A 2018 review of several studies, published in mayo clinic proceedings, suggests that. Possible steam room benefits include improving circulation, reducing sinus congestion, and aiding muscular recovery. Learn how to inhale steam safely with and without equipment. Steam inhalation. Is Steam Room Bad For Pneumonia.
From fyocaxeng.blob.core.windows.net
Pneumonia In 2 Year Old Symptoms at Barbara White blog Is Steam Room Bad For Pneumonia Possible steam room benefits include improving circulation, reducing sinus congestion, and aiding muscular recovery. Learn how to inhale steam safely with and without equipment. A 2018 review of several studies, published in mayo clinic proceedings, suggests that. What are the benefits of using a steam room? Steam inhalation should not be done indiscriminately, as it can affect the mucous layer. Is Steam Room Bad For Pneumonia.
From prestigeer.org
Emergency Breathing Treatments Prestige ER 24/7 Emergency Room in Is Steam Room Bad For Pneumonia Learn how to inhale steam safely with and without equipment. Inflammatory pathways are involved in the pathogenesis of pneumonia. What are the benefits of using a steam room? A 2018 review of several studies, published in mayo clinic proceedings, suggests that. Steam inhalation should not be done indiscriminately, as it can affect the mucous layer of the respiratory tract and. Is Steam Room Bad For Pneumonia.
From www.minosadesign.com
Minosa Personal Steam Room Private Wellness Is Steam Room Bad For Pneumonia A 2018 review of several studies, published in mayo clinic proceedings, suggests that. Inflammatory pathways are involved in the pathogenesis of pneumonia. Learn how to inhale steam safely with and without equipment. If you've been told you are at increased cardiovascular risk or you are not sure of your health status, it's best to speak with your physician before taking. Is Steam Room Bad For Pneumonia.
From coolmisthumidifier.org
Are Humidifiers Good For Pneumonia? Is Steam Room Bad For Pneumonia Possible steam room benefits include improving circulation, reducing sinus congestion, and aiding muscular recovery. Steam therapy may be an option if you have a stuffy nose from a cold or sinuses. A 2018 review of several studies, published in mayo clinic proceedings, suggests that. Inflammatory pathways are involved in the pathogenesis of pneumonia. In a general male caucasian population, a. Is Steam Room Bad For Pneumonia.
From www.handpickedhotels.co.uk
The Benefits of a Steam Room Blog Hand Picked Hotels Is Steam Room Bad For Pneumonia What are the benefits of using a steam room? Learn how to inhale steam safely with and without equipment. Steam therapy may be an option if you have a stuffy nose from a cold or sinuses. If you've been told you are at increased cardiovascular risk or you are not sure of your health status, it's best to speak with. Is Steam Room Bad For Pneumonia.
From zeenews.co.uk
Is Steam Room Bad For Pneumonia Learn how to inhale steam safely with and without equipment. A 2018 review of several studies, published in mayo clinic proceedings, suggests that. Inflammatory pathways are involved in the pathogenesis of pneumonia. Steam therapy may be an option if you have a stuffy nose from a cold or sinuses. What are the benefits of using a steam room? Possible steam. Is Steam Room Bad For Pneumonia.
From www.pinterest.com
SPA, Steam room sauna with infraredheated loungerseat combination Is Steam Room Bad For Pneumonia A 2018 review of several studies, published in mayo clinic proceedings, suggests that. If you've been told you are at increased cardiovascular risk or you are not sure of your health status, it's best to speak with your physician before taking on a sauna or. Possible steam room benefits include improving circulation, reducing sinus congestion, and aiding muscular recovery. Inflammatory. Is Steam Room Bad For Pneumonia.
From www.blogto.com
The top 10 saunas and steam rooms in Toronto Is Steam Room Bad For Pneumonia Steam therapy may be an option if you have a stuffy nose from a cold or sinuses. A 2018 review of several studies, published in mayo clinic proceedings, suggests that. If you've been told you are at increased cardiovascular risk or you are not sure of your health status, it's best to speak with your physician before taking on a. Is Steam Room Bad For Pneumonia.
From hotspring-dayton.com
Steam Rooms Is Steam Room Bad For Pneumonia Steam inhalation should not be done indiscriminately, as it can affect the mucous layer of the respiratory tract and cause nasal. Steam therapy may be an option if you have a stuffy nose from a cold or sinuses. If you've been told you are at increased cardiovascular risk or you are not sure of your health status, it's best to. Is Steam Room Bad For Pneumonia.
From www.forbes.com
Steam Room Pros And Cons Forbes Home Is Steam Room Bad For Pneumonia What are the benefits of using a steam room? Steam inhalation should not be done indiscriminately, as it can affect the mucous layer of the respiratory tract and cause nasal. Learn how to inhale steam safely with and without equipment. Inflammatory pathways are involved in the pathogenesis of pneumonia. Steam therapy may be an option if you have a stuffy. Is Steam Room Bad For Pneumonia.
From joimfgbnj.blob.core.windows.net
Is Steam Room Good For Kidneys at Sonia Cabe blog Is Steam Room Bad For Pneumonia If you've been told you are at increased cardiovascular risk or you are not sure of your health status, it's best to speak with your physician before taking on a sauna or. What are the benefits of using a steam room? In a general male caucasian population, a combination of high fitness levels and frequent sauna baths is associated with. Is Steam Room Bad For Pneumonia.
From www.pinterest.ca
Luxurious Steam Room with Separate Sauna and Toilet Is Steam Room Bad For Pneumonia Steam inhalation should not be done indiscriminately, as it can affect the mucous layer of the respiratory tract and cause nasal. Learn how to inhale steam safely with and without equipment. A 2018 review of several studies, published in mayo clinic proceedings, suggests that. Inflammatory pathways are involved in the pathogenesis of pneumonia. In a general male caucasian population, a. Is Steam Room Bad For Pneumonia.
From well-health-organic.com
Is Steam Room Bad For Pneumonia Inflammatory pathways are involved in the pathogenesis of pneumonia. Possible steam room benefits include improving circulation, reducing sinus congestion, and aiding muscular recovery. If you've been told you are at increased cardiovascular risk or you are not sure of your health status, it's best to speak with your physician before taking on a sauna or. Learn how to inhale steam. Is Steam Room Bad For Pneumonia.
From animalia-life.club
Residential Steam Room Is Steam Room Bad For Pneumonia Steam therapy may be an option if you have a stuffy nose from a cold or sinuses. Steam inhalation should not be done indiscriminately, as it can affect the mucous layer of the respiratory tract and cause nasal. Learn how to inhale steam safely with and without equipment. Possible steam room benefits include improving circulation, reducing sinus congestion, and aiding. Is Steam Room Bad For Pneumonia.
From animalia-life.club
Residential Steam Room Is Steam Room Bad For Pneumonia In a general male caucasian population, a combination of high fitness levels and frequent sauna baths is associated with a substantially. Possible steam room benefits include improving circulation, reducing sinus congestion, and aiding muscular recovery. A 2018 review of several studies, published in mayo clinic proceedings, suggests that. Learn how to inhale steam safely with and without equipment. What are. Is Steam Room Bad For Pneumonia.
From www.redlighttherapydigest.com
Steam Room vs Sauna Unveiling Health Benefits and Differences Is Steam Room Bad For Pneumonia What are the benefits of using a steam room? A 2018 review of several studies, published in mayo clinic proceedings, suggests that. Inflammatory pathways are involved in the pathogenesis of pneumonia. If you've been told you are at increased cardiovascular risk or you are not sure of your health status, it's best to speak with your physician before taking on. Is Steam Room Bad For Pneumonia.
From www.researchgate.net
(PDF) Delayedonset bronchiolitis obliterans with organising pneumonia Is Steam Room Bad For Pneumonia What are the benefits of using a steam room? Possible steam room benefits include improving circulation, reducing sinus congestion, and aiding muscular recovery. If you've been told you are at increased cardiovascular risk or you are not sure of your health status, it's best to speak with your physician before taking on a sauna or. Steam inhalation should not be. Is Steam Room Bad For Pneumonia.
From www.leisurequip.com
Here's 2 of the Best Indoor Steam Rooms for Home use Leisurequip Is Steam Room Bad For Pneumonia What are the benefits of using a steam room? Steam therapy may be an option if you have a stuffy nose from a cold or sinuses. In a general male caucasian population, a combination of high fitness levels and frequent sauna baths is associated with a substantially. Inflammatory pathways are involved in the pathogenesis of pneumonia. Possible steam room benefits. Is Steam Room Bad For Pneumonia.
From www.wovengoldindia.com
Different Health Benefits of Using Steam Rooms Is Steam Room Bad For Pneumonia A 2018 review of several studies, published in mayo clinic proceedings, suggests that. Steam therapy may be an option if you have a stuffy nose from a cold or sinuses. Learn how to inhale steam safely with and without equipment. What are the benefits of using a steam room? Steam inhalation should not be done indiscriminately, as it can affect. Is Steam Room Bad For Pneumonia.
From www.youtube.com
Modern Steam Room Design II Spa Steam Bath /Gym steam Bath Room II Idea Is Steam Room Bad For Pneumonia In a general male caucasian population, a combination of high fitness levels and frequent sauna baths is associated with a substantially. Possible steam room benefits include improving circulation, reducing sinus congestion, and aiding muscular recovery. Inflammatory pathways are involved in the pathogenesis of pneumonia. What are the benefits of using a steam room? If you've been told you are at. Is Steam Room Bad For Pneumonia.
From www.alamy.com
Bad Santa Clause scared woman with open red bathrobe. Confused Is Steam Room Bad For Pneumonia Possible steam room benefits include improving circulation, reducing sinus congestion, and aiding muscular recovery. A 2018 review of several studies, published in mayo clinic proceedings, suggests that. Inflammatory pathways are involved in the pathogenesis of pneumonia. Steam therapy may be an option if you have a stuffy nose from a cold or sinuses. What are the benefits of using a. Is Steam Room Bad For Pneumonia.
From www.pinterest.co.kr
Steam room [ ] steamroom premier luxury Спа Is Steam Room Bad For Pneumonia Inflammatory pathways are involved in the pathogenesis of pneumonia. Steam therapy may be an option if you have a stuffy nose from a cold or sinuses. Steam inhalation should not be done indiscriminately, as it can affect the mucous layer of the respiratory tract and cause nasal. What are the benefits of using a steam room? Learn how to inhale. Is Steam Room Bad For Pneumonia.
From greatist.com
Are Steam Rooms Good for You? 8 Top Benefits and Some Risks Is Steam Room Bad For Pneumonia Inflammatory pathways are involved in the pathogenesis of pneumonia. In a general male caucasian population, a combination of high fitness levels and frequent sauna baths is associated with a substantially. A 2018 review of several studies, published in mayo clinic proceedings, suggests that. Steam therapy may be an option if you have a stuffy nose from a cold or sinuses.. Is Steam Room Bad For Pneumonia.
From litfl.com
Pneumonia gone bad • LITFL • Pulmonary Puzzler Is Steam Room Bad For Pneumonia In a general male caucasian population, a combination of high fitness levels and frequent sauna baths is associated with a substantially. Possible steam room benefits include improving circulation, reducing sinus congestion, and aiding muscular recovery. Inflammatory pathways are involved in the pathogenesis of pneumonia. What are the benefits of using a steam room? Learn how to inhale steam safely with. Is Steam Room Bad For Pneumonia.
From www.dreamstime.com
The Treatment of Pneumonia. the Child Holds and Breathes through the Is Steam Room Bad For Pneumonia A 2018 review of several studies, published in mayo clinic proceedings, suggests that. What are the benefits of using a steam room? Learn how to inhale steam safely with and without equipment. Steam inhalation should not be done indiscriminately, as it can affect the mucous layer of the respiratory tract and cause nasal. In a general male caucasian population, a. Is Steam Room Bad For Pneumonia.
From exoexgmxu.blob.core.windows.net
Steam Room For Sale South Africa at Ronald Morales blog Is Steam Room Bad For Pneumonia In a general male caucasian population, a combination of high fitness levels and frequent sauna baths is associated with a substantially. A 2018 review of several studies, published in mayo clinic proceedings, suggests that. Steam therapy may be an option if you have a stuffy nose from a cold or sinuses. Inflammatory pathways are involved in the pathogenesis of pneumonia.. Is Steam Room Bad For Pneumonia.
From soul2solestudio.com
Blog Is Steam Room Bad For Pneumonia Inflammatory pathways are involved in the pathogenesis of pneumonia. Steam inhalation should not be done indiscriminately, as it can affect the mucous layer of the respiratory tract and cause nasal. In a general male caucasian population, a combination of high fitness levels and frequent sauna baths is associated with a substantially. A 2018 review of several studies, published in mayo. Is Steam Room Bad For Pneumonia.
From instacare.pk
12 Natural Remedies To Treat Pneumonia Quickly And Effectively Is Steam Room Bad For Pneumonia Learn how to inhale steam safely with and without equipment. Steam inhalation should not be done indiscriminately, as it can affect the mucous layer of the respiratory tract and cause nasal. Steam therapy may be an option if you have a stuffy nose from a cold or sinuses. In a general male caucasian population, a combination of high fitness levels. Is Steam Room Bad For Pneumonia.
From www.lorensworld.com
Steam Room Benefits Steam Room Health Benefits Is Steam Room Bad For Pneumonia What are the benefits of using a steam room? Inflammatory pathways are involved in the pathogenesis of pneumonia. Steam inhalation should not be done indiscriminately, as it can affect the mucous layer of the respiratory tract and cause nasal. In a general male caucasian population, a combination of high fitness levels and frequent sauna baths is associated with a substantially.. Is Steam Room Bad For Pneumonia.
From dxoycwpgp.blob.core.windows.net
Is The Steam Room Bad For You at Curtis Kalb blog Is Steam Room Bad For Pneumonia Steam therapy may be an option if you have a stuffy nose from a cold or sinuses. Learn how to inhale steam safely with and without equipment. If you've been told you are at increased cardiovascular risk or you are not sure of your health status, it's best to speak with your physician before taking on a sauna or. In. Is Steam Room Bad For Pneumonia.
From www.pinterest.es
commercial saunas The steam room and spa areas are enhanced giving Is Steam Room Bad For Pneumonia Inflammatory pathways are involved in the pathogenesis of pneumonia. What are the benefits of using a steam room? In a general male caucasian population, a combination of high fitness levels and frequent sauna baths is associated with a substantially. A 2018 review of several studies, published in mayo clinic proceedings, suggests that. Steam inhalation should not be done indiscriminately, as. Is Steam Room Bad For Pneumonia.
From exoefphcj.blob.core.windows.net
Steam Room Sauna Training at Edna Holland blog Is Steam Room Bad For Pneumonia A 2018 review of several studies, published in mayo clinic proceedings, suggests that. What are the benefits of using a steam room? Steam therapy may be an option if you have a stuffy nose from a cold or sinuses. Learn how to inhale steam safely with and without equipment. Steam inhalation should not be done indiscriminately, as it can affect. Is Steam Room Bad For Pneumonia.
From blog.o2fitnessclubs.com
The Surprising Benefits of the Sauna & Steam Room Is Steam Room Bad For Pneumonia What are the benefits of using a steam room? Possible steam room benefits include improving circulation, reducing sinus congestion, and aiding muscular recovery. Learn how to inhale steam safely with and without equipment. Steam inhalation should not be done indiscriminately, as it can affect the mucous layer of the respiratory tract and cause nasal. A 2018 review of several studies,. Is Steam Room Bad For Pneumonia.