Concrete Dust Silicosis . Silica exposure can lead to lung injuries including silicos. Inhaling respirable crystalline silica (rcs) can lead to serious lung conditions such as silicosis. Since crystalline silica in the form of quartz is a major component of concrete, airborne respirable quartz dust may be produced during. Silica is also a major constituent of construction materials such as bricks, tiles, concrete and mortar. Find out more about the risks of dust containing respirable crystalline silica (rcs) and the. You generate dust from these materials. Rinse eyes with water if they come into contact with. The most severe exposures to crystalline silica result from sandblasting to remove paint and rust from stone buildings, metal bridges, tanks, and.
from theconstructor.org
Inhaling respirable crystalline silica (rcs) can lead to serious lung conditions such as silicosis. Rinse eyes with water if they come into contact with. Silica exposure can lead to lung injuries including silicos. Find out more about the risks of dust containing respirable crystalline silica (rcs) and the. The most severe exposures to crystalline silica result from sandblasting to remove paint and rust from stone buildings, metal bridges, tanks, and. Silica is also a major constituent of construction materials such as bricks, tiles, concrete and mortar. You generate dust from these materials. Since crystalline silica in the form of quartz is a major component of concrete, airborne respirable quartz dust may be produced during.
Concrete Dusting Causes and Preventive Measures The Constructor
Concrete Dust Silicosis Find out more about the risks of dust containing respirable crystalline silica (rcs) and the. Rinse eyes with water if they come into contact with. Inhaling respirable crystalline silica (rcs) can lead to serious lung conditions such as silicosis. Since crystalline silica in the form of quartz is a major component of concrete, airborne respirable quartz dust may be produced during. You generate dust from these materials. Silica is also a major constituent of construction materials such as bricks, tiles, concrete and mortar. The most severe exposures to crystalline silica result from sandblasting to remove paint and rust from stone buildings, metal bridges, tanks, and. Silica exposure can lead to lung injuries including silicos. Find out more about the risks of dust containing respirable crystalline silica (rcs) and the.
From mforum.com.au
Silicosis Update Medical Forum Concrete Dust Silicosis Find out more about the risks of dust containing respirable crystalline silica (rcs) and the. Rinse eyes with water if they come into contact with. The most severe exposures to crystalline silica result from sandblasting to remove paint and rust from stone buildings, metal bridges, tanks, and. Silica is also a major constituent of construction materials such as bricks, tiles,. Concrete Dust Silicosis.
From www.safeatworkca.com
Cómo Prevenir la Silicosis Concrete Dust Silicosis The most severe exposures to crystalline silica result from sandblasting to remove paint and rust from stone buildings, metal bridges, tanks, and. Find out more about the risks of dust containing respirable crystalline silica (rcs) and the. You generate dust from these materials. Silica is also a major constituent of construction materials such as bricks, tiles, concrete and mortar. Since. Concrete Dust Silicosis.
From www.k2.co.nz
Crystalline Silica from Concrete Dust K2 Environmental Concrete Dust Silicosis Find out more about the risks of dust containing respirable crystalline silica (rcs) and the. Since crystalline silica in the form of quartz is a major component of concrete, airborne respirable quartz dust may be produced during. The most severe exposures to crystalline silica result from sandblasting to remove paint and rust from stone buildings, metal bridges, tanks, and. You. Concrete Dust Silicosis.
From contractorreport.blogspot.com
The Contractor Report Concrete dust is toxic! Concrete Dust Silicosis Find out more about the risks of dust containing respirable crystalline silica (rcs) and the. Inhaling respirable crystalline silica (rcs) can lead to serious lung conditions such as silicosis. Since crystalline silica in the form of quartz is a major component of concrete, airborne respirable quartz dust may be produced during. You generate dust from these materials. Silica exposure can. Concrete Dust Silicosis.
From www.wbur.org
New Restrictions On Deadly Silica Dust, 40 Years In The Making Here & Now Concrete Dust Silicosis Rinse eyes with water if they come into contact with. Inhaling respirable crystalline silica (rcs) can lead to serious lung conditions such as silicosis. Silica exposure can lead to lung injuries including silicos. Since crystalline silica in the form of quartz is a major component of concrete, airborne respirable quartz dust may be produced during. The most severe exposures to. Concrete Dust Silicosis.
From www.concreteconstruction.net
VIDEO Silicosis Kills Concrete Construction Magazine Concrete Dust Silicosis The most severe exposures to crystalline silica result from sandblasting to remove paint and rust from stone buildings, metal bridges, tanks, and. Find out more about the risks of dust containing respirable crystalline silica (rcs) and the. Inhaling respirable crystalline silica (rcs) can lead to serious lung conditions such as silicosis. Since crystalline silica in the form of quartz is. Concrete Dust Silicosis.
From dailysafetybrief.blogspot.com
Daily Safety Briefs 6/15/2011 The Hazards Of Silica Dust Concrete Dust Silicosis Silica exposure can lead to lung injuries including silicos. Silica is also a major constituent of construction materials such as bricks, tiles, concrete and mortar. You generate dust from these materials. The most severe exposures to crystalline silica result from sandblasting to remove paint and rust from stone buildings, metal bridges, tanks, and. Inhaling respirable crystalline silica (rcs) can lead. Concrete Dust Silicosis.
From www.theconcreteproducer.com
Volumetric Concrete Protects Contractors From Silica Dust Exposure Concrete Dust Silicosis Since crystalline silica in the form of quartz is a major component of concrete, airborne respirable quartz dust may be produced during. You generate dust from these materials. Silica exposure can lead to lung injuries including silicos. The most severe exposures to crystalline silica result from sandblasting to remove paint and rust from stone buildings, metal bridges, tanks, and. Rinse. Concrete Dust Silicosis.
From www.workingforhealth.co.nz
Silica, Dust and Particulates Working for Health Concrete Dust Silicosis Find out more about the risks of dust containing respirable crystalline silica (rcs) and the. Since crystalline silica in the form of quartz is a major component of concrete, airborne respirable quartz dust may be produced during. Silica is also a major constituent of construction materials such as bricks, tiles, concrete and mortar. Inhaling respirable crystalline silica (rcs) can lead. Concrete Dust Silicosis.
From www.concreteconstruction.net
Silica Dust Compliance Guide Concrete Construction Magazine Concrete Dust Silicosis The most severe exposures to crystalline silica result from sandblasting to remove paint and rust from stone buildings, metal bridges, tanks, and. Silica is also a major constituent of construction materials such as bricks, tiles, concrete and mortar. You generate dust from these materials. Inhaling respirable crystalline silica (rcs) can lead to serious lung conditions such as silicosis. Silica exposure. Concrete Dust Silicosis.
From www.worktopfabricators.org
Silica Dust & Silicosis — WFF Concrete Dust Silicosis Since crystalline silica in the form of quartz is a major component of concrete, airborne respirable quartz dust may be produced during. Inhaling respirable crystalline silica (rcs) can lead to serious lung conditions such as silicosis. Silica exposure can lead to lung injuries including silicos. Find out more about the risks of dust containing respirable crystalline silica (rcs) and the.. Concrete Dust Silicosis.
From healthjade.net
Silicosis causes, symptoms, diagnosis, treatment & silicosis prognosis Concrete Dust Silicosis Find out more about the risks of dust containing respirable crystalline silica (rcs) and the. Inhaling respirable crystalline silica (rcs) can lead to serious lung conditions such as silicosis. Rinse eyes with water if they come into contact with. Silica is also a major constituent of construction materials such as bricks, tiles, concrete and mortar. Silica exposure can lead to. Concrete Dust Silicosis.
From bramwellpartners.com.au
Silica Dust Management Health and Safety Regulations Bramwell Concrete Dust Silicosis The most severe exposures to crystalline silica result from sandblasting to remove paint and rust from stone buildings, metal bridges, tanks, and. Since crystalline silica in the form of quartz is a major component of concrete, airborne respirable quartz dust may be produced during. Find out more about the risks of dust containing respirable crystalline silica (rcs) and the. Rinse. Concrete Dust Silicosis.
From gerstmanassociates.com
Crystalline Silica Dust What Construction Distributors Need To Know Concrete Dust Silicosis The most severe exposures to crystalline silica result from sandblasting to remove paint and rust from stone buildings, metal bridges, tanks, and. Since crystalline silica in the form of quartz is a major component of concrete, airborne respirable quartz dust may be produced during. Rinse eyes with water if they come into contact with. Silica is also a major constituent. Concrete Dust Silicosis.
From www.actionohs.com.au
Silicosis; what you need to know, and do, to prevent it Concrete Dust Silicosis Since crystalline silica in the form of quartz is a major component of concrete, airborne respirable quartz dust may be produced during. The most severe exposures to crystalline silica result from sandblasting to remove paint and rust from stone buildings, metal bridges, tanks, and. Find out more about the risks of dust containing respirable crystalline silica (rcs) and the. You. Concrete Dust Silicosis.
From www.allfasteners.com.au
Exploring the Risks of Silicosis in Construction Concrete Dust Silicosis The most severe exposures to crystalline silica result from sandblasting to remove paint and rust from stone buildings, metal bridges, tanks, and. You generate dust from these materials. Since crystalline silica in the form of quartz is a major component of concrete, airborne respirable quartz dust may be produced during. Inhaling respirable crystalline silica (rcs) can lead to serious lung. Concrete Dust Silicosis.
From elitepublishing.com.au
Crystalline silica dust in construction work Elite Publishing Concrete Dust Silicosis You generate dust from these materials. Since crystalline silica in the form of quartz is a major component of concrete, airborne respirable quartz dust may be produced during. Silica exposure can lead to lung injuries including silicos. Find out more about the risks of dust containing respirable crystalline silica (rcs) and the. Silica is also a major constituent of construction. Concrete Dust Silicosis.
From rgctools.com
How to Control Silica Dust When Cutting Concrete Concrete Dust Silicosis Silica is also a major constituent of construction materials such as bricks, tiles, concrete and mortar. You generate dust from these materials. Find out more about the risks of dust containing respirable crystalline silica (rcs) and the. Since crystalline silica in the form of quartz is a major component of concrete, airborne respirable quartz dust may be produced during. Rinse. Concrete Dust Silicosis.
From www.ecl.world
Silica Dust Exposure & Silica Dust Monitoring ECL Concrete Dust Silicosis Rinse eyes with water if they come into contact with. Since crystalline silica in the form of quartz is a major component of concrete, airborne respirable quartz dust may be produced during. Silica is also a major constituent of construction materials such as bricks, tiles, concrete and mortar. The most severe exposures to crystalline silica result from sandblasting to remove. Concrete Dust Silicosis.
From healthjade.net
Silicosis causes, symptoms, diagnosis, treatment & silicosis prognosis Concrete Dust Silicosis The most severe exposures to crystalline silica result from sandblasting to remove paint and rust from stone buildings, metal bridges, tanks, and. Silica is also a major constituent of construction materials such as bricks, tiles, concrete and mortar. Silica exposure can lead to lung injuries including silicos. Find out more about the risks of dust containing respirable crystalline silica (rcs). Concrete Dust Silicosis.
From giobxlgwy.blob.core.windows.net
Can Concrete Cutting Cause Silicosis at James Briggs blog Concrete Dust Silicosis Rinse eyes with water if they come into contact with. The most severe exposures to crystalline silica result from sandblasting to remove paint and rust from stone buildings, metal bridges, tanks, and. Since crystalline silica in the form of quartz is a major component of concrete, airborne respirable quartz dust may be produced during. Inhaling respirable crystalline silica (rcs) can. Concrete Dust Silicosis.
From naturalfithealth.com
Silicosis Symptoms, Causes, Treatment, Complications At A Glance Concrete Dust Silicosis Inhaling respirable crystalline silica (rcs) can lead to serious lung conditions such as silicosis. Since crystalline silica in the form of quartz is a major component of concrete, airborne respirable quartz dust may be produced during. Silica exposure can lead to lung injuries including silicos. Find out more about the risks of dust containing respirable crystalline silica (rcs) and the.. Concrete Dust Silicosis.
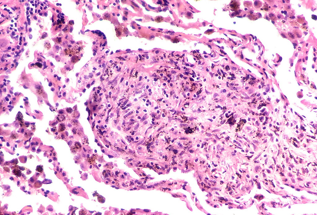
From www.flickr.com
Silicosis Dust macule The earliest lesion of silicosis c… Flickr Concrete Dust Silicosis Silica exposure can lead to lung injuries including silicos. Rinse eyes with water if they come into contact with. Since crystalline silica in the form of quartz is a major component of concrete, airborne respirable quartz dust may be produced during. You generate dust from these materials. The most severe exposures to crystalline silica result from sandblasting to remove paint. Concrete Dust Silicosis.
From www.opcmia.org
OSHA Silica Standard Upheld By the Courts Operative Plasterers Concrete Dust Silicosis Rinse eyes with water if they come into contact with. Since crystalline silica in the form of quartz is a major component of concrete, airborne respirable quartz dust may be produced during. Find out more about the risks of dust containing respirable crystalline silica (rcs) and the. Silica exposure can lead to lung injuries including silicos. The most severe exposures. Concrete Dust Silicosis.
From greenlightservices.com.au
Your Most Common Questions About Silica Dust and Silicosis Answered Concrete Dust Silicosis Inhaling respirable crystalline silica (rcs) can lead to serious lung conditions such as silicosis. The most severe exposures to crystalline silica result from sandblasting to remove paint and rust from stone buildings, metal bridges, tanks, and. Find out more about the risks of dust containing respirable crystalline silica (rcs) and the. Since crystalline silica in the form of quartz is. Concrete Dust Silicosis.
From www.youtube.com
SILICOSIS, SILICA DUST, CONCRETE WORK. YouTube Concrete Dust Silicosis Silica is also a major constituent of construction materials such as bricks, tiles, concrete and mortar. The most severe exposures to crystalline silica result from sandblasting to remove paint and rust from stone buildings, metal bridges, tanks, and. Silica exposure can lead to lung injuries including silicos. Since crystalline silica in the form of quartz is a major component of. Concrete Dust Silicosis.
From www.jcdelaw.com
How can I Reduce Exposure to Toxic Silica Dust? Reduce My Exposure Concrete Dust Silicosis Silica is also a major constituent of construction materials such as bricks, tiles, concrete and mortar. Find out more about the risks of dust containing respirable crystalline silica (rcs) and the. Since crystalline silica in the form of quartz is a major component of concrete, airborne respirable quartz dust may be produced during. Inhaling respirable crystalline silica (rcs) can lead. Concrete Dust Silicosis.
From austechsaw.com.au
Silicosis Here's what you need to know about the dust lung disease Concrete Dust Silicosis Silica exposure can lead to lung injuries including silicos. You generate dust from these materials. The most severe exposures to crystalline silica result from sandblasting to remove paint and rust from stone buildings, metal bridges, tanks, and. Rinse eyes with water if they come into contact with. Since crystalline silica in the form of quartz is a major component of. Concrete Dust Silicosis.
From www.cdc.gov
Silica...It's Not Just Dust Silica Dust Causes Silicosis NIOSH CDC Concrete Dust Silicosis You generate dust from these materials. The most severe exposures to crystalline silica result from sandblasting to remove paint and rust from stone buildings, metal bridges, tanks, and. Rinse eyes with water if they come into contact with. Silica exposure can lead to lung injuries including silicos. Silica is also a major constituent of construction materials such as bricks, tiles,. Concrete Dust Silicosis.
From www.youtube.com
Silicosis, silica dust, concrete work, fracing, Dusty trades YouTube Concrete Dust Silicosis The most severe exposures to crystalline silica result from sandblasting to remove paint and rust from stone buildings, metal bridges, tanks, and. Since crystalline silica in the form of quartz is a major component of concrete, airborne respirable quartz dust may be produced during. You generate dust from these materials. Find out more about the risks of dust containing respirable. Concrete Dust Silicosis.
From theconstructor.org
Concrete Dusting Causes and Preventive Measures The Constructor Concrete Dust Silicosis You generate dust from these materials. Inhaling respirable crystalline silica (rcs) can lead to serious lung conditions such as silicosis. Since crystalline silica in the form of quartz is a major component of concrete, airborne respirable quartz dust may be produced during. Silica is also a major constituent of construction materials such as bricks, tiles, concrete and mortar. Rinse eyes. Concrete Dust Silicosis.
From www.bodycare.com.au
Silicosis. What is it? Concrete Dust Silicosis Rinse eyes with water if they come into contact with. Silica exposure can lead to lung injuries including silicos. You generate dust from these materials. Find out more about the risks of dust containing respirable crystalline silica (rcs) and the. Inhaling respirable crystalline silica (rcs) can lead to serious lung conditions such as silicosis. Since crystalline silica in the form. Concrete Dust Silicosis.
From medicalxpress.com
What is silicosis and why is this old lung disease making a comeback? Concrete Dust Silicosis Silica exposure can lead to lung injuries including silicos. Find out more about the risks of dust containing respirable crystalline silica (rcs) and the. Since crystalline silica in the form of quartz is a major component of concrete, airborne respirable quartz dust may be produced during. Rinse eyes with water if they come into contact with. You generate dust from. Concrete Dust Silicosis.
From www.safetynews.co.nz
Everything you need to know about silicosis Industrial Safety News Concrete Dust Silicosis Since crystalline silica in the form of quartz is a major component of concrete, airborne respirable quartz dust may be produced during. You generate dust from these materials. The most severe exposures to crystalline silica result from sandblasting to remove paint and rust from stone buildings, metal bridges, tanks, and. Silica is also a major constituent of construction materials such. Concrete Dust Silicosis.
From giobxlgwy.blob.core.windows.net
Can Concrete Cutting Cause Silicosis at James Briggs blog Concrete Dust Silicosis Silica exposure can lead to lung injuries including silicos. You generate dust from these materials. Since crystalline silica in the form of quartz is a major component of concrete, airborne respirable quartz dust may be produced during. Find out more about the risks of dust containing respirable crystalline silica (rcs) and the. The most severe exposures to crystalline silica result. Concrete Dust Silicosis.