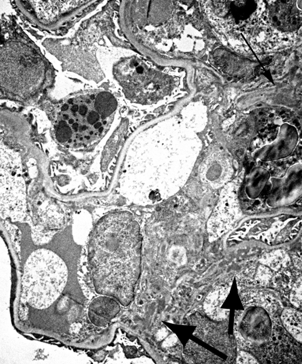
Post Streptococcal Glomerulonephritis Electron Microscopy . Postinfectious glomerulonephritis (gn) presents as acute nephritic syndrome with low complement c3 in serum, commonly following streptococcal throat or skin infection. On electron microscopy, has characteristic hump type large subepithelial deposits, occasional mesangial deposits and rare. Poststreptococcal glomerulonephritis (psgn) is an acute glomerular inflammation that follows infection with nephritogenic strains of.
from www.youtube.com
On electron microscopy, has characteristic hump type large subepithelial deposits, occasional mesangial deposits and rare. Postinfectious glomerulonephritis (gn) presents as acute nephritic syndrome with low complement c3 in serum, commonly following streptococcal throat or skin infection. Poststreptococcal glomerulonephritis (psgn) is an acute glomerular inflammation that follows infection with nephritogenic strains of.
Glomerulonephritis(Poststreptococcal) Nephritic Syndrome Clinical
Post Streptococcal Glomerulonephritis Electron Microscopy Poststreptococcal glomerulonephritis (psgn) is an acute glomerular inflammation that follows infection with nephritogenic strains of. On electron microscopy, has characteristic hump type large subepithelial deposits, occasional mesangial deposits and rare. Poststreptococcal glomerulonephritis (psgn) is an acute glomerular inflammation that follows infection with nephritogenic strains of. Postinfectious glomerulonephritis (gn) presents as acute nephritic syndrome with low complement c3 in serum, commonly following streptococcal throat or skin infection.
From www.slideserve.com
PPT Glomerulonephritis in children PowerPoint Presentation, free Post Streptococcal Glomerulonephritis Electron Microscopy On electron microscopy, has characteristic hump type large subepithelial deposits, occasional mesangial deposits and rare. Postinfectious glomerulonephritis (gn) presents as acute nephritic syndrome with low complement c3 in serum, commonly following streptococcal throat or skin infection. Poststreptococcal glomerulonephritis (psgn) is an acute glomerular inflammation that follows infection with nephritogenic strains of. Post Streptococcal Glomerulonephritis Electron Microscopy.
From europepmc.org
PostStreptococcal Glomerulonephritis in Two Patients Following Post Streptococcal Glomerulonephritis Electron Microscopy Poststreptococcal glomerulonephritis (psgn) is an acute glomerular inflammation that follows infection with nephritogenic strains of. On electron microscopy, has characteristic hump type large subepithelial deposits, occasional mesangial deposits and rare. Postinfectious glomerulonephritis (gn) presents as acute nephritic syndrome with low complement c3 in serum, commonly following streptococcal throat or skin infection. Post Streptococcal Glomerulonephritis Electron Microscopy.
From www.arkanalabs.com
(PSAGN) PostStreptococcal Acute Glomerulonephritis Case 7 Post Streptococcal Glomerulonephritis Electron Microscopy Poststreptococcal glomerulonephritis (psgn) is an acute glomerular inflammation that follows infection with nephritogenic strains of. On electron microscopy, has characteristic hump type large subepithelial deposits, occasional mesangial deposits and rare. Postinfectious glomerulonephritis (gn) presents as acute nephritic syndrome with low complement c3 in serum, commonly following streptococcal throat or skin infection. Post Streptococcal Glomerulonephritis Electron Microscopy.
From www.jocmr.org
Cryoglobulinemic Glomerulonephritis as a Presentation of Atypical Post Post Streptococcal Glomerulonephritis Electron Microscopy Poststreptococcal glomerulonephritis (psgn) is an acute glomerular inflammation that follows infection with nephritogenic strains of. Postinfectious glomerulonephritis (gn) presents as acute nephritic syndrome with low complement c3 in serum, commonly following streptococcal throat or skin infection. On electron microscopy, has characteristic hump type large subepithelial deposits, occasional mesangial deposits and rare. Post Streptococcal Glomerulonephritis Electron Microscopy.
From www.cairopedneph.com
PSGN Post Streptococcal Glomerulonephritis Electron Microscopy On electron microscopy, has characteristic hump type large subepithelial deposits, occasional mesangial deposits and rare. Postinfectious glomerulonephritis (gn) presents as acute nephritic syndrome with low complement c3 in serum, commonly following streptococcal throat or skin infection. Poststreptococcal glomerulonephritis (psgn) is an acute glomerular inflammation that follows infection with nephritogenic strains of. Post Streptococcal Glomerulonephritis Electron Microscopy.
From www.arkanalabs.com
Acute PostInfectious Glomerulonephritis Teaching Points Arkana Labs Post Streptococcal Glomerulonephritis Electron Microscopy On electron microscopy, has characteristic hump type large subepithelial deposits, occasional mesangial deposits and rare. Postinfectious glomerulonephritis (gn) presents as acute nephritic syndrome with low complement c3 in serum, commonly following streptococcal throat or skin infection. Poststreptococcal glomerulonephritis (psgn) is an acute glomerular inflammation that follows infection with nephritogenic strains of. Post Streptococcal Glomerulonephritis Electron Microscopy.
From www.youtube.com
Post Streptococcal Glomerulonephritis! (PSGN) YouTube Post Streptococcal Glomerulonephritis Electron Microscopy Postinfectious glomerulonephritis (gn) presents as acute nephritic syndrome with low complement c3 in serum, commonly following streptococcal throat or skin infection. On electron microscopy, has characteristic hump type large subepithelial deposits, occasional mesangial deposits and rare. Poststreptococcal glomerulonephritis (psgn) is an acute glomerular inflammation that follows infection with nephritogenic strains of. Post Streptococcal Glomerulonephritis Electron Microscopy.
From www.youtube.com
Post Streptococcal Glomerulonephritis( PSGN) YouTube Post Streptococcal Glomerulonephritis Electron Microscopy Poststreptococcal glomerulonephritis (psgn) is an acute glomerular inflammation that follows infection with nephritogenic strains of. On electron microscopy, has characteristic hump type large subepithelial deposits, occasional mesangial deposits and rare. Postinfectious glomerulonephritis (gn) presents as acute nephritic syndrome with low complement c3 in serum, commonly following streptococcal throat or skin infection. Post Streptococcal Glomerulonephritis Electron Microscopy.
From healthjade.net
Post streptococcal glomerulonephritis causes, symptoms, diagnosis Post Streptococcal Glomerulonephritis Electron Microscopy Poststreptococcal glomerulonephritis (psgn) is an acute glomerular inflammation that follows infection with nephritogenic strains of. Postinfectious glomerulonephritis (gn) presents as acute nephritic syndrome with low complement c3 in serum, commonly following streptococcal throat or skin infection. On electron microscopy, has characteristic hump type large subepithelial deposits, occasional mesangial deposits and rare. Post Streptococcal Glomerulonephritis Electron Microscopy.
From www.cureus.com
Acute Rheumatic Fever and Acute Post Streptococcal Post Streptococcal Glomerulonephritis Electron Microscopy Postinfectious glomerulonephritis (gn) presents as acute nephritic syndrome with low complement c3 in serum, commonly following streptococcal throat or skin infection. On electron microscopy, has characteristic hump type large subepithelial deposits, occasional mesangial deposits and rare. Poststreptococcal glomerulonephritis (psgn) is an acute glomerular inflammation that follows infection with nephritogenic strains of. Post Streptococcal Glomerulonephritis Electron Microscopy.
From mungfali.com
IGA Glomerulonephritis Post Streptococcal Glomerulonephritis Electron Microscopy On electron microscopy, has characteristic hump type large subepithelial deposits, occasional mesangial deposits and rare. Postinfectious glomerulonephritis (gn) presents as acute nephritic syndrome with low complement c3 in serum, commonly following streptococcal throat or skin infection. Poststreptococcal glomerulonephritis (psgn) is an acute glomerular inflammation that follows infection with nephritogenic strains of. Post Streptococcal Glomerulonephritis Electron Microscopy.
From www.frontiersin.org
Frontiers Case report A pediatric case of MPOANCAassociated Post Streptococcal Glomerulonephritis Electron Microscopy Poststreptococcal glomerulonephritis (psgn) is an acute glomerular inflammation that follows infection with nephritogenic strains of. On electron microscopy, has characteristic hump type large subepithelial deposits, occasional mesangial deposits and rare. Postinfectious glomerulonephritis (gn) presents as acute nephritic syndrome with low complement c3 in serum, commonly following streptococcal throat or skin infection. Post Streptococcal Glomerulonephritis Electron Microscopy.
From www.arkanalabs.com
(PSAGN) PostStreptococcal Acute Glomerulonephritis Case 7 Post Streptococcal Glomerulonephritis Electron Microscopy Poststreptococcal glomerulonephritis (psgn) is an acute glomerular inflammation that follows infection with nephritogenic strains of. Postinfectious glomerulonephritis (gn) presents as acute nephritic syndrome with low complement c3 in serum, commonly following streptococcal throat or skin infection. On electron microscopy, has characteristic hump type large subepithelial deposits, occasional mesangial deposits and rare. Post Streptococcal Glomerulonephritis Electron Microscopy.
From www.researchgate.net
Electron microscopy of a patient with C3 glomerulonephritis showing Post Streptococcal Glomerulonephritis Electron Microscopy Postinfectious glomerulonephritis (gn) presents as acute nephritic syndrome with low complement c3 in serum, commonly following streptococcal throat or skin infection. On electron microscopy, has characteristic hump type large subepithelial deposits, occasional mesangial deposits and rare. Poststreptococcal glomerulonephritis (psgn) is an acute glomerular inflammation that follows infection with nephritogenic strains of. Post Streptococcal Glomerulonephritis Electron Microscopy.
From ilovepathology.com
Acute Post Streptococcal Glomerulonephritis Pathology Made Simple Post Streptococcal Glomerulonephritis Electron Microscopy Postinfectious glomerulonephritis (gn) presents as acute nephritic syndrome with low complement c3 in serum, commonly following streptococcal throat or skin infection. Poststreptococcal glomerulonephritis (psgn) is an acute glomerular inflammation that follows infection with nephritogenic strains of. On electron microscopy, has characteristic hump type large subepithelial deposits, occasional mesangial deposits and rare. Post Streptococcal Glomerulonephritis Electron Microscopy.
From www.alamy.com
Glomerulonephritis. Light micrograph of tissue from a kidney in a case Post Streptococcal Glomerulonephritis Electron Microscopy On electron microscopy, has characteristic hump type large subepithelial deposits, occasional mesangial deposits and rare. Postinfectious glomerulonephritis (gn) presents as acute nephritic syndrome with low complement c3 in serum, commonly following streptococcal throat or skin infection. Poststreptococcal glomerulonephritis (psgn) is an acute glomerular inflammation that follows infection with nephritogenic strains of. Post Streptococcal Glomerulonephritis Electron Microscopy.
From www.youtube.com
RENAL PATHOLOGY Part 4 Acute Post Streptococcal Glomerulonephritis Post Streptococcal Glomerulonephritis Electron Microscopy Postinfectious glomerulonephritis (gn) presents as acute nephritic syndrome with low complement c3 in serum, commonly following streptococcal throat or skin infection. On electron microscopy, has characteristic hump type large subepithelial deposits, occasional mesangial deposits and rare. Poststreptococcal glomerulonephritis (psgn) is an acute glomerular inflammation that follows infection with nephritogenic strains of. Post Streptococcal Glomerulonephritis Electron Microscopy.
From www.lecturio.com
Nephritic Syndrome Concise Medical Knowledge Post Streptococcal Glomerulonephritis Electron Microscopy Postinfectious glomerulonephritis (gn) presents as acute nephritic syndrome with low complement c3 in serum, commonly following streptococcal throat or skin infection. On electron microscopy, has characteristic hump type large subepithelial deposits, occasional mesangial deposits and rare. Poststreptococcal glomerulonephritis (psgn) is an acute glomerular inflammation that follows infection with nephritogenic strains of. Post Streptococcal Glomerulonephritis Electron Microscopy.
From www.arkanalabs.com
PostStreptococcal Acute Glomerulonephritis (PSAGN) Case 7 Post Streptococcal Glomerulonephritis Electron Microscopy Postinfectious glomerulonephritis (gn) presents as acute nephritic syndrome with low complement c3 in serum, commonly following streptococcal throat or skin infection. Poststreptococcal glomerulonephritis (psgn) is an acute glomerular inflammation that follows infection with nephritogenic strains of. On electron microscopy, has characteristic hump type large subepithelial deposits, occasional mesangial deposits and rare. Post Streptococcal Glomerulonephritis Electron Microscopy.
From ar.inspiredpencil.com
Rapidly Progressive Glomerulonephritis Em Post Streptococcal Glomerulonephritis Electron Microscopy Poststreptococcal glomerulonephritis (psgn) is an acute glomerular inflammation that follows infection with nephritogenic strains of. Postinfectious glomerulonephritis (gn) presents as acute nephritic syndrome with low complement c3 in serum, commonly following streptococcal throat or skin infection. On electron microscopy, has characteristic hump type large subepithelial deposits, occasional mesangial deposits and rare. Post Streptococcal Glomerulonephritis Electron Microscopy.
From geekymedics.com
Glomerulonephritis Geeky Medics Post Streptococcal Glomerulonephritis Electron Microscopy On electron microscopy, has characteristic hump type large subepithelial deposits, occasional mesangial deposits and rare. Poststreptococcal glomerulonephritis (psgn) is an acute glomerular inflammation that follows infection with nephritogenic strains of. Postinfectious glomerulonephritis (gn) presents as acute nephritic syndrome with low complement c3 in serum, commonly following streptococcal throat or skin infection. Post Streptococcal Glomerulonephritis Electron Microscopy.
From www.youtube.com
Poststreptococcal Glomerulitis Cause Symptom Diagnosis Treatment ASGN Post Streptococcal Glomerulonephritis Electron Microscopy On electron microscopy, has characteristic hump type large subepithelial deposits, occasional mesangial deposits and rare. Poststreptococcal glomerulonephritis (psgn) is an acute glomerular inflammation that follows infection with nephritogenic strains of. Postinfectious glomerulonephritis (gn) presents as acute nephritic syndrome with low complement c3 in serum, commonly following streptococcal throat or skin infection. Post Streptococcal Glomerulonephritis Electron Microscopy.
From app.achievable.me
Poststreptococcal glomerulonephritis (PSGN) Renal system Renal Post Streptococcal Glomerulonephritis Electron Microscopy On electron microscopy, has characteristic hump type large subepithelial deposits, occasional mesangial deposits and rare. Poststreptococcal glomerulonephritis (psgn) is an acute glomerular inflammation that follows infection with nephritogenic strains of. Postinfectious glomerulonephritis (gn) presents as acute nephritic syndrome with low complement c3 in serum, commonly following streptococcal throat or skin infection. Post Streptococcal Glomerulonephritis Electron Microscopy.
From medical-junction.com
Acute Post Streptococcal Glomerulonephritis Medical Junction Post Streptococcal Glomerulonephritis Electron Microscopy Poststreptococcal glomerulonephritis (psgn) is an acute glomerular inflammation that follows infection with nephritogenic strains of. Postinfectious glomerulonephritis (gn) presents as acute nephritic syndrome with low complement c3 in serum, commonly following streptococcal throat or skin infection. On electron microscopy, has characteristic hump type large subepithelial deposits, occasional mesangial deposits and rare. Post Streptococcal Glomerulonephritis Electron Microscopy.
From www.slideshare.net
Pathology of Glomerulonephritis Post Streptococcal Glomerulonephritis Electron Microscopy Poststreptococcal glomerulonephritis (psgn) is an acute glomerular inflammation that follows infection with nephritogenic strains of. On electron microscopy, has characteristic hump type large subepithelial deposits, occasional mesangial deposits and rare. Postinfectious glomerulonephritis (gn) presents as acute nephritic syndrome with low complement c3 in serum, commonly following streptococcal throat or skin infection. Post Streptococcal Glomerulonephritis Electron Microscopy.
From www.ncbi.nlm.nih.gov
Poststreptococcal Glomerulonephritis StatPearls NCBI Bookshelf Post Streptococcal Glomerulonephritis Electron Microscopy Postinfectious glomerulonephritis (gn) presents as acute nephritic syndrome with low complement c3 in serum, commonly following streptococcal throat or skin infection. Poststreptococcal glomerulonephritis (psgn) is an acute glomerular inflammation that follows infection with nephritogenic strains of. On electron microscopy, has characteristic hump type large subepithelial deposits, occasional mesangial deposits and rare. Post Streptococcal Glomerulonephritis Electron Microscopy.
From medical-junction.com
Acute Post Streptococcal Glomerulonephritis Medical Junction Post Streptococcal Glomerulonephritis Electron Microscopy On electron microscopy, has characteristic hump type large subepithelial deposits, occasional mesangial deposits and rare. Poststreptococcal glomerulonephritis (psgn) is an acute glomerular inflammation that follows infection with nephritogenic strains of. Postinfectious glomerulonephritis (gn) presents as acute nephritic syndrome with low complement c3 in serum, commonly following streptococcal throat or skin infection. Post Streptococcal Glomerulonephritis Electron Microscopy.
From www.youtube.com
Glomerulonephritis(Poststreptococcal) Nephritic Syndrome Clinical Post Streptococcal Glomerulonephritis Electron Microscopy Poststreptococcal glomerulonephritis (psgn) is an acute glomerular inflammation that follows infection with nephritogenic strains of. On electron microscopy, has characteristic hump type large subepithelial deposits, occasional mesangial deposits and rare. Postinfectious glomerulonephritis (gn) presents as acute nephritic syndrome with low complement c3 in serum, commonly following streptococcal throat or skin infection. Post Streptococcal Glomerulonephritis Electron Microscopy.
From www.pathologyoutlines.com
Pathology Outlines Acute postinfectious glomerulonephritis Post Streptococcal Glomerulonephritis Electron Microscopy Poststreptococcal glomerulonephritis (psgn) is an acute glomerular inflammation that follows infection with nephritogenic strains of. Postinfectious glomerulonephritis (gn) presents as acute nephritic syndrome with low complement c3 in serum, commonly following streptococcal throat or skin infection. On electron microscopy, has characteristic hump type large subepithelial deposits, occasional mesangial deposits and rare. Post Streptococcal Glomerulonephritis Electron Microscopy.
From www.ncbi.nlm.nih.gov
PostStreptococcal Glomerulonephritis Streptococcus pyogenes NCBI Post Streptococcal Glomerulonephritis Electron Microscopy Postinfectious glomerulonephritis (gn) presents as acute nephritic syndrome with low complement c3 in serum, commonly following streptococcal throat or skin infection. On electron microscopy, has characteristic hump type large subepithelial deposits, occasional mesangial deposits and rare. Poststreptococcal glomerulonephritis (psgn) is an acute glomerular inflammation that follows infection with nephritogenic strains of. Post Streptococcal Glomerulonephritis Electron Microscopy.
From pathology.oit.duke.edu
Duke Pathology Renal & Bladder Post Streptococcal Glomerulonephritis Electron Microscopy Postinfectious glomerulonephritis (gn) presents as acute nephritic syndrome with low complement c3 in serum, commonly following streptococcal throat or skin infection. Poststreptococcal glomerulonephritis (psgn) is an acute glomerular inflammation that follows infection with nephritogenic strains of. On electron microscopy, has characteristic hump type large subepithelial deposits, occasional mesangial deposits and rare. Post Streptococcal Glomerulonephritis Electron Microscopy.
From www.lecturio.de
Postinfektiƶse Glomerulonephritis (PIGN) ELearning mit Lecturio Post Streptococcal Glomerulonephritis Electron Microscopy On electron microscopy, has characteristic hump type large subepithelial deposits, occasional mesangial deposits and rare. Poststreptococcal glomerulonephritis (psgn) is an acute glomerular inflammation that follows infection with nephritogenic strains of. Postinfectious glomerulonephritis (gn) presents as acute nephritic syndrome with low complement c3 in serum, commonly following streptococcal throat or skin infection. Post Streptococcal Glomerulonephritis Electron Microscopy.
From mavink.com
Membranous Nephropathy Histology Post Streptococcal Glomerulonephritis Electron Microscopy On electron microscopy, has characteristic hump type large subepithelial deposits, occasional mesangial deposits and rare. Postinfectious glomerulonephritis (gn) presents as acute nephritic syndrome with low complement c3 in serum, commonly following streptococcal throat or skin infection. Poststreptococcal glomerulonephritis (psgn) is an acute glomerular inflammation that follows infection with nephritogenic strains of. Post Streptococcal Glomerulonephritis Electron Microscopy.
From www.ncbi.nlm.nih.gov
Figure 5. [Electron microscopy in subacute poststreptococcal Post Streptococcal Glomerulonephritis Electron Microscopy Postinfectious glomerulonephritis (gn) presents as acute nephritic syndrome with low complement c3 in serum, commonly following streptococcal throat or skin infection. On electron microscopy, has characteristic hump type large subepithelial deposits, occasional mesangial deposits and rare. Poststreptococcal glomerulonephritis (psgn) is an acute glomerular inflammation that follows infection with nephritogenic strains of. Post Streptococcal Glomerulonephritis Electron Microscopy.
From medical-junction.com
Acute Post Streptococcal Glomerulonephritis Medical Junction Post Streptococcal Glomerulonephritis Electron Microscopy Poststreptococcal glomerulonephritis (psgn) is an acute glomerular inflammation that follows infection with nephritogenic strains of. Postinfectious glomerulonephritis (gn) presents as acute nephritic syndrome with low complement c3 in serum, commonly following streptococcal throat or skin infection. On electron microscopy, has characteristic hump type large subepithelial deposits, occasional mesangial deposits and rare. Post Streptococcal Glomerulonephritis Electron Microscopy.