Basal Cell Carcinoma With Sebaceous Differentiation . Basal cell carcinoma arises from the interfollicular or follicular epithelium and is the most common malignant tumor type in humans menu. Rarely, small infundibular cysts (infundibulocystic bcc) or cells. Basal cell carcinoma is the most common skin cancer in the caucasian population. Basal cell carcinoma with sebaceous differentiation is a very rare type of differentiation. Some authors have used sebaceous epithelioma as a synonym for basal cell carcinoma (bcc) with sebaceous differentiation. This comprehensive review aims to provide a succinct. Basal cell carcinoma with sebaceous differentiation is a very rare type of differentiation of a common tumor that has a good prognosis, with. Basal cell carcinoma (bcc) arising within scar tissue is a rare but clinically significant phenomenon.
from www.pathologyoutlines.com
Basal cell carcinoma with sebaceous differentiation is a very rare type of differentiation. Basal cell carcinoma with sebaceous differentiation is a very rare type of differentiation of a common tumor that has a good prognosis, with. Basal cell carcinoma (bcc) arising within scar tissue is a rare but clinically significant phenomenon. Basal cell carcinoma is the most common skin cancer in the caucasian population. Some authors have used sebaceous epithelioma as a synonym for basal cell carcinoma (bcc) with sebaceous differentiation. Rarely, small infundibular cysts (infundibulocystic bcc) or cells. This comprehensive review aims to provide a succinct. Basal cell carcinoma arises from the interfollicular or follicular epithelium and is the most common malignant tumor type in humans menu.
Pathology Outlines Sebaceous carcinoma
Basal Cell Carcinoma With Sebaceous Differentiation Basal cell carcinoma with sebaceous differentiation is a very rare type of differentiation of a common tumor that has a good prognosis, with. Basal cell carcinoma (bcc) arising within scar tissue is a rare but clinically significant phenomenon. Rarely, small infundibular cysts (infundibulocystic bcc) or cells. This comprehensive review aims to provide a succinct. Basal cell carcinoma arises from the interfollicular or follicular epithelium and is the most common malignant tumor type in humans menu. Some authors have used sebaceous epithelioma as a synonym for basal cell carcinoma (bcc) with sebaceous differentiation. Basal cell carcinoma with sebaceous differentiation is a very rare type of differentiation. Basal cell carcinoma is the most common skin cancer in the caucasian population. Basal cell carcinoma with sebaceous differentiation is a very rare type of differentiation of a common tumor that has a good prognosis, with.
From ar.inspiredpencil.com
Superficial Basal Cell Carcinoma Histology Basal Cell Carcinoma With Sebaceous Differentiation Basal cell carcinoma arises from the interfollicular or follicular epithelium and is the most common malignant tumor type in humans menu. Basal cell carcinoma is the most common skin cancer in the caucasian population. Some authors have used sebaceous epithelioma as a synonym for basal cell carcinoma (bcc) with sebaceous differentiation. This comprehensive review aims to provide a succinct. Basal. Basal Cell Carcinoma With Sebaceous Differentiation.
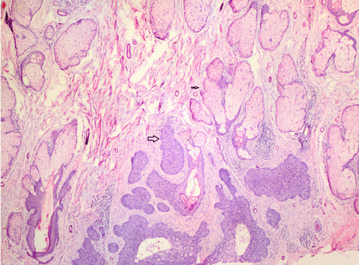
From www.spandidos-publications.com
Basal cell carcinoma Comprehensive clinical and histopathological Basal Cell Carcinoma With Sebaceous Differentiation Basal cell carcinoma (bcc) arising within scar tissue is a rare but clinically significant phenomenon. Basal cell carcinoma with sebaceous differentiation is a very rare type of differentiation. Basal cell carcinoma is the most common skin cancer in the caucasian population. Rarely, small infundibular cysts (infundibulocystic bcc) or cells. Basal cell carcinoma arises from the interfollicular or follicular epithelium and. Basal Cell Carcinoma With Sebaceous Differentiation.
From www.researchgate.net
Differential diagnosis of basal cell carcinoma Download Scientific Basal Cell Carcinoma With Sebaceous Differentiation This comprehensive review aims to provide a succinct. Basal cell carcinoma with sebaceous differentiation is a very rare type of differentiation of a common tumor that has a good prognosis, with. Basal cell carcinoma is the most common skin cancer in the caucasian population. Some authors have used sebaceous epithelioma as a synonym for basal cell carcinoma (bcc) with sebaceous. Basal Cell Carcinoma With Sebaceous Differentiation.
From mungfali.com
Basal Cell Carcinoma Types Basal Cell Carcinoma With Sebaceous Differentiation Some authors have used sebaceous epithelioma as a synonym for basal cell carcinoma (bcc) with sebaceous differentiation. Rarely, small infundibular cysts (infundibulocystic bcc) or cells. Basal cell carcinoma (bcc) arising within scar tissue is a rare but clinically significant phenomenon. Basal cell carcinoma arises from the interfollicular or follicular epithelium and is the most common malignant tumor type in humans. Basal Cell Carcinoma With Sebaceous Differentiation.
From proper-cooking.info
Basal Cell Carcinoma Eyelid Histology Basal Cell Carcinoma With Sebaceous Differentiation Basal cell carcinoma with sebaceous differentiation is a very rare type of differentiation of a common tumor that has a good prognosis, with. Some authors have used sebaceous epithelioma as a synonym for basal cell carcinoma (bcc) with sebaceous differentiation. Basal cell carcinoma is the most common skin cancer in the caucasian population. Rarely, small infundibular cysts (infundibulocystic bcc) or. Basal Cell Carcinoma With Sebaceous Differentiation.
From es.weblogographic.com
Carcinoma basocelular y de células escamosas 2022 ENFERMEDAD Basal Cell Carcinoma With Sebaceous Differentiation Rarely, small infundibular cysts (infundibulocystic bcc) or cells. This comprehensive review aims to provide a succinct. Basal cell carcinoma is the most common skin cancer in the caucasian population. Basal cell carcinoma arises from the interfollicular or follicular epithelium and is the most common malignant tumor type in humans menu. Basal cell carcinoma (bcc) arising within scar tissue is a. Basal Cell Carcinoma With Sebaceous Differentiation.
From www.dermatologyadvisor.com
Sebaceous Carcinoma (Sebaceous Gland Carcinoma, Sebaceous Cell Basal Cell Carcinoma With Sebaceous Differentiation Rarely, small infundibular cysts (infundibulocystic bcc) or cells. Some authors have used sebaceous epithelioma as a synonym for basal cell carcinoma (bcc) with sebaceous differentiation. Basal cell carcinoma with sebaceous differentiation is a very rare type of differentiation of a common tumor that has a good prognosis, with. Basal cell carcinoma arises from the interfollicular or follicular epithelium and is. Basal Cell Carcinoma With Sebaceous Differentiation.
From www.pathologyoutlines.com
Pathology Outlines Sebaceous carcinoma Basal Cell Carcinoma With Sebaceous Differentiation Basal cell carcinoma arises from the interfollicular or follicular epithelium and is the most common malignant tumor type in humans menu. Basal cell carcinoma is the most common skin cancer in the caucasian population. Basal cell carcinoma with sebaceous differentiation is a very rare type of differentiation. Some authors have used sebaceous epithelioma as a synonym for basal cell carcinoma. Basal Cell Carcinoma With Sebaceous Differentiation.
From www.researchgate.net
(PDF) Basal Cell Carcinoma with Sebaceous Differentiation A Case Basal Cell Carcinoma With Sebaceous Differentiation Rarely, small infundibular cysts (infundibulocystic bcc) or cells. Basal cell carcinoma with sebaceous differentiation is a very rare type of differentiation. Basal cell carcinoma (bcc) arising within scar tissue is a rare but clinically significant phenomenon. This comprehensive review aims to provide a succinct. Basal cell carcinoma with sebaceous differentiation is a very rare type of differentiation of a common. Basal Cell Carcinoma With Sebaceous Differentiation.
From www.researchgate.net
Basal cell carcinoma in the background of sebaceous nevus. Sebaceous Basal Cell Carcinoma With Sebaceous Differentiation Some authors have used sebaceous epithelioma as a synonym for basal cell carcinoma (bcc) with sebaceous differentiation. This comprehensive review aims to provide a succinct. Basal cell carcinoma is the most common skin cancer in the caucasian population. Basal cell carcinoma with sebaceous differentiation is a very rare type of differentiation. Basal cell carcinoma with sebaceous differentiation is a very. Basal Cell Carcinoma With Sebaceous Differentiation.
From www.youtube.com
Basal Cell Carcinoma Differential Diagnosis YouTube Basal Cell Carcinoma With Sebaceous Differentiation Basal cell carcinoma with sebaceous differentiation is a very rare type of differentiation. Rarely, small infundibular cysts (infundibulocystic bcc) or cells. Basal cell carcinoma with sebaceous differentiation is a very rare type of differentiation of a common tumor that has a good prognosis, with. Basal cell carcinoma (bcc) arising within scar tissue is a rare but clinically significant phenomenon. Basal. Basal Cell Carcinoma With Sebaceous Differentiation.
From www.pathologyoutlines.com
Pathology Outlines Sebaceous carcinoma Basal Cell Carcinoma With Sebaceous Differentiation Basal cell carcinoma is the most common skin cancer in the caucasian population. Rarely, small infundibular cysts (infundibulocystic bcc) or cells. Some authors have used sebaceous epithelioma as a synonym for basal cell carcinoma (bcc) with sebaceous differentiation. Basal cell carcinoma (bcc) arising within scar tissue is a rare but clinically significant phenomenon. Basal cell carcinoma arises from the interfollicular. Basal Cell Carcinoma With Sebaceous Differentiation.
From www.pathologyoutlines.com
Pathology Outlines Sebaceoma Basal Cell Carcinoma With Sebaceous Differentiation Basal cell carcinoma is the most common skin cancer in the caucasian population. Basal cell carcinoma with sebaceous differentiation is a very rare type of differentiation. Basal cell carcinoma (bcc) arising within scar tissue is a rare but clinically significant phenomenon. Some authors have used sebaceous epithelioma as a synonym for basal cell carcinoma (bcc) with sebaceous differentiation. Basal cell. Basal Cell Carcinoma With Sebaceous Differentiation.
From dddermpath.blogspot.com
Differential Diagnosis in Dermatopathology Clear cells Basal Cell Carcinoma With Sebaceous Differentiation Basal cell carcinoma (bcc) arising within scar tissue is a rare but clinically significant phenomenon. Basal cell carcinoma arises from the interfollicular or follicular epithelium and is the most common malignant tumor type in humans menu. Basal cell carcinoma with sebaceous differentiation is a very rare type of differentiation of a common tumor that has a good prognosis, with. Basal. Basal Cell Carcinoma With Sebaceous Differentiation.
From www.missionforvisionusa.org
Ocular Pathology What is basal cell carcinoma? Basal Cell Carcinoma With Sebaceous Differentiation Some authors have used sebaceous epithelioma as a synonym for basal cell carcinoma (bcc) with sebaceous differentiation. Basal cell carcinoma (bcc) arising within scar tissue is a rare but clinically significant phenomenon. Basal cell carcinoma with sebaceous differentiation is a very rare type of differentiation of a common tumor that has a good prognosis, with. This comprehensive review aims to. Basal Cell Carcinoma With Sebaceous Differentiation.
From www.pathologyoutlines.com
Pathology Outlines Sebaceoma Basal Cell Carcinoma With Sebaceous Differentiation Basal cell carcinoma with sebaceous differentiation is a very rare type of differentiation. Basal cell carcinoma is the most common skin cancer in the caucasian population. Rarely, small infundibular cysts (infundibulocystic bcc) or cells. Basal cell carcinoma with sebaceous differentiation is a very rare type of differentiation of a common tumor that has a good prognosis, with. Basal cell carcinoma. Basal Cell Carcinoma With Sebaceous Differentiation.
From www.youtube.com
Basal Cell Carcinoma Including Variants Histopathology YouTube Basal Cell Carcinoma With Sebaceous Differentiation Basal cell carcinoma arises from the interfollicular or follicular epithelium and is the most common malignant tumor type in humans menu. Rarely, small infundibular cysts (infundibulocystic bcc) or cells. Basal cell carcinoma with sebaceous differentiation is a very rare type of differentiation. Basal cell carcinoma with sebaceous differentiation is a very rare type of differentiation of a common tumor that. Basal Cell Carcinoma With Sebaceous Differentiation.
From ar.inspiredpencil.com
Morpheaform Basal Cell Carcinoma Histology Basal Cell Carcinoma With Sebaceous Differentiation Rarely, small infundibular cysts (infundibulocystic bcc) or cells. Basal cell carcinoma (bcc) arising within scar tissue is a rare but clinically significant phenomenon. Basal cell carcinoma is the most common skin cancer in the caucasian population. Basal cell carcinoma with sebaceous differentiation is a very rare type of differentiation. Basal cell carcinoma arises from the interfollicular or follicular epithelium and. Basal Cell Carcinoma With Sebaceous Differentiation.
From www.dermatologyadvisor.com
Basal Cell Carcinoma Dermatology Advisor Basal Cell Carcinoma With Sebaceous Differentiation Basal cell carcinoma with sebaceous differentiation is a very rare type of differentiation of a common tumor that has a good prognosis, with. Basal cell carcinoma with sebaceous differentiation is a very rare type of differentiation. Basal cell carcinoma is the most common skin cancer in the caucasian population. Some authors have used sebaceous epithelioma as a synonym for basal. Basal Cell Carcinoma With Sebaceous Differentiation.
From jamanetwork.com
Metastatic Basal Cell Carcinoma With Squamous Differentiation Report Basal Cell Carcinoma With Sebaceous Differentiation Some authors have used sebaceous epithelioma as a synonym for basal cell carcinoma (bcc) with sebaceous differentiation. Basal cell carcinoma with sebaceous differentiation is a very rare type of differentiation of a common tumor that has a good prognosis, with. Basal cell carcinoma arises from the interfollicular or follicular epithelium and is the most common malignant tumor type in humans. Basal Cell Carcinoma With Sebaceous Differentiation.
From ar.inspiredpencil.com
Squamous Cell Carcinoma Vs Basal Cell Carcinoma Histology Basal Cell Carcinoma With Sebaceous Differentiation Basal cell carcinoma (bcc) arising within scar tissue is a rare but clinically significant phenomenon. Basal cell carcinoma arises from the interfollicular or follicular epithelium and is the most common malignant tumor type in humans menu. Some authors have used sebaceous epithelioma as a synonym for basal cell carcinoma (bcc) with sebaceous differentiation. Basal cell carcinoma is the most common. Basal Cell Carcinoma With Sebaceous Differentiation.
From www.ijcasereportsandimages.com
FULL TEXT A case of basal cell carcinoma secondary to nevus sebaceous Basal Cell Carcinoma With Sebaceous Differentiation This comprehensive review aims to provide a succinct. Some authors have used sebaceous epithelioma as a synonym for basal cell carcinoma (bcc) with sebaceous differentiation. Rarely, small infundibular cysts (infundibulocystic bcc) or cells. Basal cell carcinoma with sebaceous differentiation is a very rare type of differentiation. Basal cell carcinoma (bcc) arising within scar tissue is a rare but clinically significant. Basal Cell Carcinoma With Sebaceous Differentiation.
From www.pathologyoutlines.com
Pathology Outlines Sebaceoma Basal Cell Carcinoma With Sebaceous Differentiation Basal cell carcinoma is the most common skin cancer in the caucasian population. Some authors have used sebaceous epithelioma as a synonym for basal cell carcinoma (bcc) with sebaceous differentiation. This comprehensive review aims to provide a succinct. Basal cell carcinoma with sebaceous differentiation is a very rare type of differentiation. Basal cell carcinoma (bcc) arising within scar tissue is. Basal Cell Carcinoma With Sebaceous Differentiation.
From www.obgproject.com
Basal Cell Carcinoma Clinical Presentation and Management The ObG Basal Cell Carcinoma With Sebaceous Differentiation This comprehensive review aims to provide a succinct. Basal cell carcinoma (bcc) arising within scar tissue is a rare but clinically significant phenomenon. Basal cell carcinoma with sebaceous differentiation is a very rare type of differentiation. Basal cell carcinoma is the most common skin cancer in the caucasian population. Rarely, small infundibular cysts (infundibulocystic bcc) or cells. Basal cell carcinoma. Basal Cell Carcinoma With Sebaceous Differentiation.
From jamanetwork.com
An Illustrative Case of MuirTorre Syndrome Colorectal Cancer JAMA Basal Cell Carcinoma With Sebaceous Differentiation Basal cell carcinoma with sebaceous differentiation is a very rare type of differentiation. Some authors have used sebaceous epithelioma as a synonym for basal cell carcinoma (bcc) with sebaceous differentiation. Basal cell carcinoma (bcc) arising within scar tissue is a rare but clinically significant phenomenon. Rarely, small infundibular cysts (infundibulocystic bcc) or cells. Basal cell carcinoma arises from the interfollicular. Basal Cell Carcinoma With Sebaceous Differentiation.
From www.pathologyoutlines.com
Pathology Outlines Sebaceoma Basal Cell Carcinoma With Sebaceous Differentiation This comprehensive review aims to provide a succinct. Some authors have used sebaceous epithelioma as a synonym for basal cell carcinoma (bcc) with sebaceous differentiation. Basal cell carcinoma (bcc) arising within scar tissue is a rare but clinically significant phenomenon. Basal cell carcinoma is the most common skin cancer in the caucasian population. Basal cell carcinoma arises from the interfollicular. Basal Cell Carcinoma With Sebaceous Differentiation.
From www.youtube.com
Infundibulocystic Basal Cell Carcinoma (BCC w/ follicular Basal Cell Carcinoma With Sebaceous Differentiation Basal cell carcinoma with sebaceous differentiation is a very rare type of differentiation. Basal cell carcinoma with sebaceous differentiation is a very rare type of differentiation of a common tumor that has a good prognosis, with. Basal cell carcinoma is the most common skin cancer in the caucasian population. Basal cell carcinoma arises from the interfollicular or follicular epithelium and. Basal Cell Carcinoma With Sebaceous Differentiation.
From teachmesurgery.com
Basal Cell Carinoma Risk Factors Management TeachMeSurgery Basal Cell Carcinoma With Sebaceous Differentiation Basal cell carcinoma arises from the interfollicular or follicular epithelium and is the most common malignant tumor type in humans menu. Basal cell carcinoma (bcc) arising within scar tissue is a rare but clinically significant phenomenon. Some authors have used sebaceous epithelioma as a synonym for basal cell carcinoma (bcc) with sebaceous differentiation. This comprehensive review aims to provide a. Basal Cell Carcinoma With Sebaceous Differentiation.
From www.researchgate.net
(PDF) Basal Cell Carcinoma with Sebaceous Differentiation A Rare Case Basal Cell Carcinoma With Sebaceous Differentiation Basal cell carcinoma is the most common skin cancer in the caucasian population. This comprehensive review aims to provide a succinct. Rarely, small infundibular cysts (infundibulocystic bcc) or cells. Some authors have used sebaceous epithelioma as a synonym for basal cell carcinoma (bcc) with sebaceous differentiation. Basal cell carcinoma arises from the interfollicular or follicular epithelium and is the most. Basal Cell Carcinoma With Sebaceous Differentiation.
From www.researchgate.net
(PDF) Basal Cell Carcinoma with Sebaceous Differentiation Basal Cell Carcinoma With Sebaceous Differentiation Basal cell carcinoma with sebaceous differentiation is a very rare type of differentiation. Basal cell carcinoma (bcc) arising within scar tissue is a rare but clinically significant phenomenon. This comprehensive review aims to provide a succinct. Basal cell carcinoma is the most common skin cancer in the caucasian population. Some authors have used sebaceous epithelioma as a synonym for basal. Basal Cell Carcinoma With Sebaceous Differentiation.
From www.differencebetween.com
Difference Between Basal Cell Carcinoma and Squamous Cell Carcinoma Basal Cell Carcinoma With Sebaceous Differentiation Rarely, small infundibular cysts (infundibulocystic bcc) or cells. Basal cell carcinoma is the most common skin cancer in the caucasian population. Basal cell carcinoma with sebaceous differentiation is a very rare type of differentiation. Basal cell carcinoma with sebaceous differentiation is a very rare type of differentiation of a common tumor that has a good prognosis, with. Basal cell carcinoma. Basal Cell Carcinoma With Sebaceous Differentiation.
From miiskin.com
Basal Cell Carcinoma Symptoms, Types and Pictures Basal Cell Carcinoma With Sebaceous Differentiation This comprehensive review aims to provide a succinct. Some authors have used sebaceous epithelioma as a synonym for basal cell carcinoma (bcc) with sebaceous differentiation. Basal cell carcinoma (bcc) arising within scar tissue is a rare but clinically significant phenomenon. Basal cell carcinoma with sebaceous differentiation is a very rare type of differentiation of a common tumor that has a. Basal Cell Carcinoma With Sebaceous Differentiation.
From www.youtube.com
Basal call carcinoma, infundibulocystic type (Dermpath Dermatology Basal Cell Carcinoma With Sebaceous Differentiation This comprehensive review aims to provide a succinct. Some authors have used sebaceous epithelioma as a synonym for basal cell carcinoma (bcc) with sebaceous differentiation. Basal cell carcinoma with sebaceous differentiation is a very rare type of differentiation. Rarely, small infundibular cysts (infundibulocystic bcc) or cells. Basal cell carcinoma (bcc) arising within scar tissue is a rare but clinically significant. Basal Cell Carcinoma With Sebaceous Differentiation.
From twitter.com
Pathology WalkerAuto Tweet Bot on Twitter "Basal cell carcinoma with Basal Cell Carcinoma With Sebaceous Differentiation Basal cell carcinoma (bcc) arising within scar tissue is a rare but clinically significant phenomenon. This comprehensive review aims to provide a succinct. Some authors have used sebaceous epithelioma as a synonym for basal cell carcinoma (bcc) with sebaceous differentiation. Basal cell carcinoma is the most common skin cancer in the caucasian population. Basal cell carcinoma with sebaceous differentiation is. Basal Cell Carcinoma With Sebaceous Differentiation.