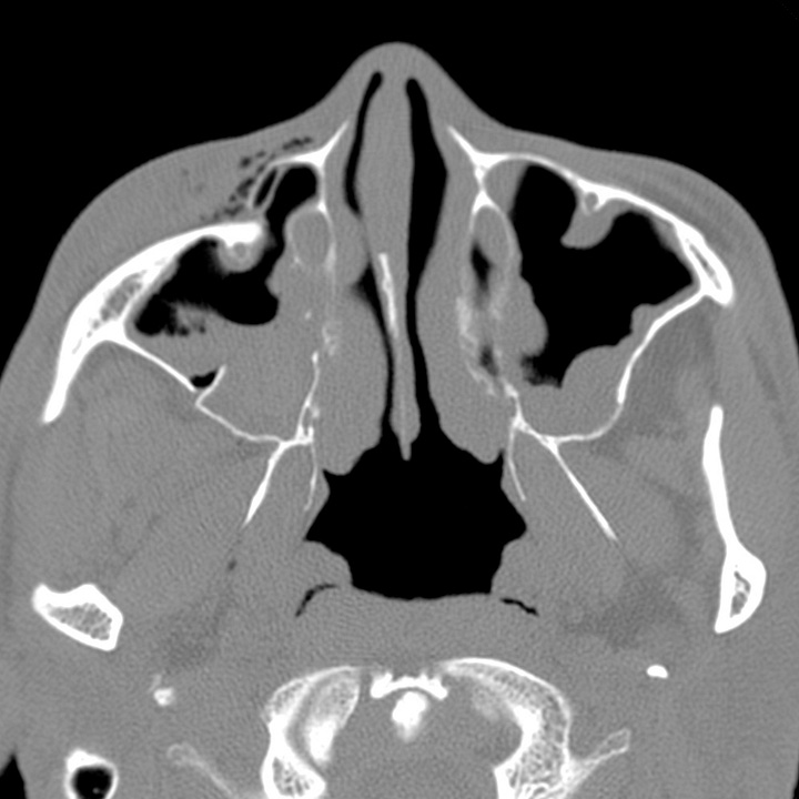
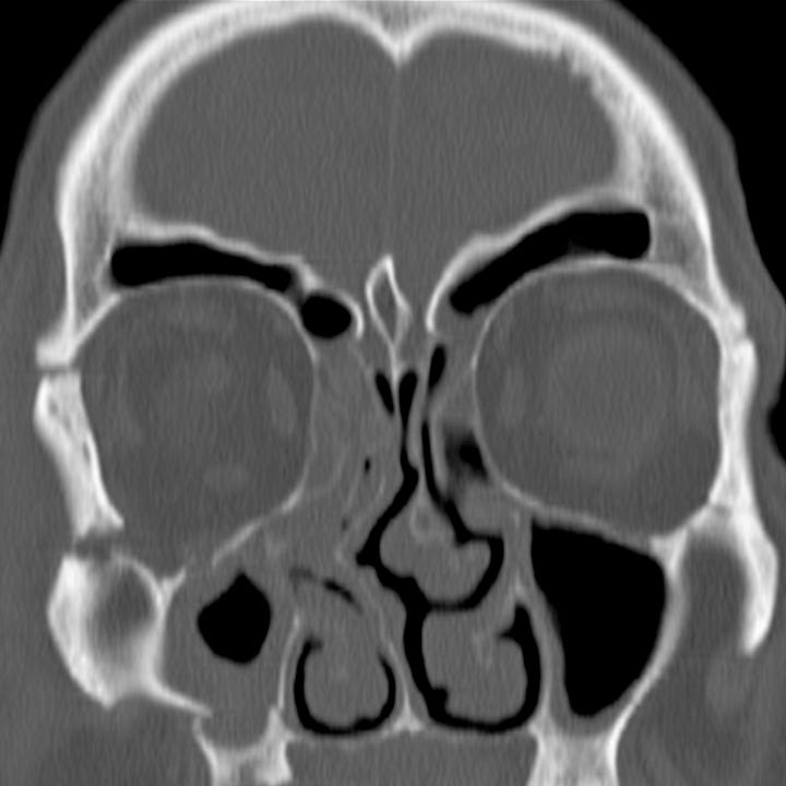
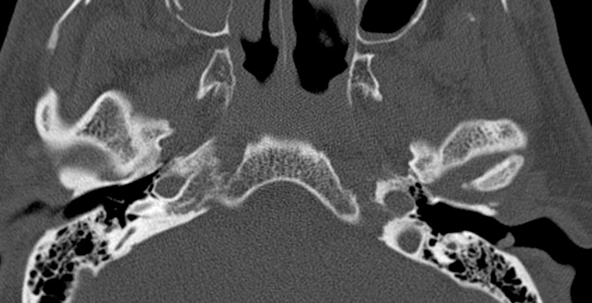
Radiology Zygomaticomaxillary Complex Fracture . the zygomaticomaxillary complex (zmc) has important aesthetic, structural, and functional roles that need to be. zygomaticomaxillary complex fracture is characterised by fractures involving: zygomaticomaxillary complex fracture is one of the most commonly. zygomaticomaxillary complex (zmc) fractures result from blunt trauma to the periorbital area (viz. the detection of fractures of the facial zygomatic complex, with orbital compromise, is essential for surgical. the zygoma and its articulations with. zygomatic complex fracture is second most common mid face fracture and frequent amongst the maxillofacial.
from www.ijoms.com
the zygoma and its articulations with. zygomaticomaxillary complex fracture is characterised by fractures involving: zygomatic complex fracture is second most common mid face fracture and frequent amongst the maxillofacial. zygomaticomaxillary complex fracture is one of the most commonly. the detection of fractures of the facial zygomatic complex, with orbital compromise, is essential for surgical. the zygomaticomaxillary complex (zmc) has important aesthetic, structural, and functional roles that need to be. zygomaticomaxillary complex (zmc) fractures result from blunt trauma to the periorbital area (viz.
Intraoperative imaging of complex fractures using a
Radiology Zygomaticomaxillary Complex Fracture zygomatic complex fracture is second most common mid face fracture and frequent amongst the maxillofacial. the zygoma and its articulations with. zygomaticomaxillary complex (zmc) fractures result from blunt trauma to the periorbital area (viz. zygomaticomaxillary complex fracture is one of the most commonly. the detection of fractures of the facial zygomatic complex, with orbital compromise, is essential for surgical. zygomatic complex fracture is second most common mid face fracture and frequent amongst the maxillofacial. the zygomaticomaxillary complex (zmc) has important aesthetic, structural, and functional roles that need to be. zygomaticomaxillary complex fracture is characterised by fractures involving:
From radnotes.substack.com
Complex Fracture by Alexander Baxter Radiology Zygomaticomaxillary Complex Fracture zygomaticomaxillary complex fracture is one of the most commonly. zygomaticomaxillary complex fracture is characterised by fractures involving: the zygoma and its articulations with. zygomaticomaxillary complex (zmc) fractures result from blunt trauma to the periorbital area (viz. the zygomaticomaxillary complex (zmc) has important aesthetic, structural, and functional roles that need to be. zygomatic complex fracture. Radiology Zygomaticomaxillary Complex Fracture.
From opendentistryjournal.com
Fig. (2). Coronal CTscan image showing a severely dislocated zygomatic Radiology Zygomaticomaxillary Complex Fracture zygomaticomaxillary complex fracture is characterised by fractures involving: zygomatic complex fracture is second most common mid face fracture and frequent amongst the maxillofacial. the detection of fractures of the facial zygomatic complex, with orbital compromise, is essential for surgical. zygomaticomaxillary complex fracture is one of the most commonly. the zygomaticomaxillary complex (zmc) has important aesthetic,. Radiology Zygomaticomaxillary Complex Fracture.
From opendentistryjournal.com
Fig. (2). 3D reconstructed CT scan image showing left side inward Radiology Zygomaticomaxillary Complex Fracture zygomaticomaxillary complex fracture is characterised by fractures involving: zygomatic complex fracture is second most common mid face fracture and frequent amongst the maxillofacial. the detection of fractures of the facial zygomatic complex, with orbital compromise, is essential for surgical. the zygoma and its articulations with. zygomaticomaxillary complex fracture is one of the most commonly. . Radiology Zygomaticomaxillary Complex Fracture.
From photonshouse.com
Depressed zygomatic arch fracture photo Radiology Zygomaticomaxillary Complex Fracture zygomaticomaxillary complex fracture is characterised by fractures involving: the detection of fractures of the facial zygomatic complex, with orbital compromise, is essential for surgical. zygomaticomaxillary complex fracture is one of the most commonly. zygomatic complex fracture is second most common mid face fracture and frequent amongst the maxillofacial. the zygoma and its articulations with. . Radiology Zygomaticomaxillary Complex Fracture.
From www.narodnatribuna.info
Facial Fracture Radiology Zygomaticomaxillary Complex Fracture the zygoma and its articulations with. zygomaticomaxillary complex (zmc) fractures result from blunt trauma to the periorbital area (viz. zygomaticomaxillary complex fracture is characterised by fractures involving: the zygomaticomaxillary complex (zmc) has important aesthetic, structural, and functional roles that need to be. the detection of fractures of the facial zygomatic complex, with orbital compromise, is. Radiology Zygomaticomaxillary Complex Fracture.
From atlas.mudr.org
Radiology case Fracture of complex, ZMK Radiology Zygomaticomaxillary Complex Fracture the zygoma and its articulations with. zygomatic complex fracture is second most common mid face fracture and frequent amongst the maxillofacial. the detection of fractures of the facial zygomatic complex, with orbital compromise, is essential for surgical. zygomaticomaxillary complex fracture is one of the most commonly. zygomaticomaxillary complex (zmc) fractures result from blunt trauma to. Radiology Zygomaticomaxillary Complex Fracture.
From www.researchgate.net
Computed tomography (CT) images showing a complex Radiology Zygomaticomaxillary Complex Fracture the zygomaticomaxillary complex (zmc) has important aesthetic, structural, and functional roles that need to be. the zygoma and its articulations with. the detection of fractures of the facial zygomatic complex, with orbital compromise, is essential for surgical. zygomaticomaxillary complex fracture is characterised by fractures involving: zygomaticomaxillary complex fracture is one of the most commonly. . Radiology Zygomaticomaxillary Complex Fracture.
From www.hmpgloballearningnetwork.com
Complex Fracture Radiology Zygomaticomaxillary Complex Fracture the zygomaticomaxillary complex (zmc) has important aesthetic, structural, and functional roles that need to be. zygomaticomaxillary complex (zmc) fractures result from blunt trauma to the periorbital area (viz. the zygoma and its articulations with. zygomaticomaxillary complex fracture is one of the most commonly. zygomaticomaxillary complex fracture is characterised by fractures involving: zygomatic complex fracture. Radiology Zygomaticomaxillary Complex Fracture.
From www.researchgate.net
Patient with a left complex fracture with the Radiology Zygomaticomaxillary Complex Fracture the detection of fractures of the facial zygomatic complex, with orbital compromise, is essential for surgical. zygomaticomaxillary complex (zmc) fractures result from blunt trauma to the periorbital area (viz. the zygomaticomaxillary complex (zmc) has important aesthetic, structural, and functional roles that need to be. zygomatic complex fracture is second most common mid face fracture and frequent. Radiology Zygomaticomaxillary Complex Fracture.
From www.narodnatribuna.info
Facial Fracture Radiology Zygomaticomaxillary Complex Fracture the detection of fractures of the facial zygomatic complex, with orbital compromise, is essential for surgical. zygomatic complex fracture is second most common mid face fracture and frequent amongst the maxillofacial. the zygoma and its articulations with. zygomaticomaxillary complex fracture is characterised by fractures involving: zygomaticomaxillary complex (zmc) fractures result from blunt trauma to the. Radiology Zygomaticomaxillary Complex Fracture.
From www.sciencephoto.com
CT of Complex Fracture Stock Image C043/5524 Radiology Zygomaticomaxillary Complex Fracture the detection of fractures of the facial zygomatic complex, with orbital compromise, is essential for surgical. zygomaticomaxillary complex fracture is characterised by fractures involving: the zygomaticomaxillary complex (zmc) has important aesthetic, structural, and functional roles that need to be. zygomatic complex fracture is second most common mid face fracture and frequent amongst the maxillofacial. zygomaticomaxillary. Radiology Zygomaticomaxillary Complex Fracture.
From ar.inspiredpencil.com
Complex Fracture Radiology Zygomaticomaxillary Complex Fracture the zygomaticomaxillary complex (zmc) has important aesthetic, structural, and functional roles that need to be. zygomaticomaxillary complex (zmc) fractures result from blunt trauma to the periorbital area (viz. zygomaticomaxillary complex fracture is one of the most commonly. zygomatic complex fracture is second most common mid face fracture and frequent amongst the maxillofacial. the zygoma and. Radiology Zygomaticomaxillary Complex Fracture.
From pocketdentistry.com
16 Fractures of the Zygomatic Complex and Arch Pocket Dentistry Radiology Zygomaticomaxillary Complex Fracture zygomaticomaxillary complex (zmc) fractures result from blunt trauma to the periorbital area (viz. zygomatic complex fracture is second most common mid face fracture and frequent amongst the maxillofacial. zygomaticomaxillary complex fracture is characterised by fractures involving: the zygoma and its articulations with. the zygomaticomaxillary complex (zmc) has important aesthetic, structural, and functional roles that need. Radiology Zygomaticomaxillary Complex Fracture.
From www.sciencephoto.com
3D CT of Complex Fracture Stock Image C043/5618 Radiology Zygomaticomaxillary Complex Fracture zygomaticomaxillary complex fracture is characterised by fractures involving: the detection of fractures of the facial zygomatic complex, with orbital compromise, is essential for surgical. the zygomaticomaxillary complex (zmc) has important aesthetic, structural, and functional roles that need to be. the zygoma and its articulations with. zygomaticomaxillary complex fracture is one of the most commonly. . Radiology Zygomaticomaxillary Complex Fracture.
From pocketdentistry.com
16 Fractures of the Zygomatic Complex and Arch Pocket Dentistry Radiology Zygomaticomaxillary Complex Fracture zygomatic complex fracture is second most common mid face fracture and frequent amongst the maxillofacial. the zygomaticomaxillary complex (zmc) has important aesthetic, structural, and functional roles that need to be. the zygoma and its articulations with. zygomaticomaxillary complex (zmc) fractures result from blunt trauma to the periorbital area (viz. zygomaticomaxillary complex fracture is one of. Radiology Zygomaticomaxillary Complex Fracture.
From www.researchgate.net
Right complex fracture in a 39year old Belarusian Radiology Zygomaticomaxillary Complex Fracture the zygoma and its articulations with. zygomatic complex fracture is second most common mid face fracture and frequent amongst the maxillofacial. zygomaticomaxillary complex fracture is one of the most commonly. zygomaticomaxillary complex (zmc) fractures result from blunt trauma to the periorbital area (viz. the zygomaticomaxillary complex (zmc) has important aesthetic, structural, and functional roles that. Radiology Zygomaticomaxillary Complex Fracture.
From www.theplasticsfella.com
complex (ZMC) fractures Radiology Zygomaticomaxillary Complex Fracture zygomatic complex fracture is second most common mid face fracture and frequent amongst the maxillofacial. zygomaticomaxillary complex fracture is one of the most commonly. zygomaticomaxillary complex (zmc) fractures result from blunt trauma to the periorbital area (viz. zygomaticomaxillary complex fracture is characterised by fractures involving: the zygomaticomaxillary complex (zmc) has important aesthetic, structural, and functional. Radiology Zygomaticomaxillary Complex Fracture.
From www.youtube.com
Diagnostic Imaging for Zygomatic Complex Fractures Oral Radiology Zygomaticomaxillary Complex Fracture the detection of fractures of the facial zygomatic complex, with orbital compromise, is essential for surgical. zygomaticomaxillary complex (zmc) fractures result from blunt trauma to the periorbital area (viz. the zygoma and its articulations with. zygomatic complex fracture is second most common mid face fracture and frequent amongst the maxillofacial. zygomaticomaxillary complex fracture is one. Radiology Zygomaticomaxillary Complex Fracture.
From radiopaedia.org
complex fracture Image Radiology Zygomaticomaxillary Complex Fracture the zygomaticomaxillary complex (zmc) has important aesthetic, structural, and functional roles that need to be. the detection of fractures of the facial zygomatic complex, with orbital compromise, is essential for surgical. zygomaticomaxillary complex (zmc) fractures result from blunt trauma to the periorbital area (viz. the zygoma and its articulations with. zygomaticomaxillary complex fracture is one. Radiology Zygomaticomaxillary Complex Fracture.
From pocketdentistry.com
16 Fractures of the Zygomatic Complex and Arch Pocket Dentistry Radiology Zygomaticomaxillary Complex Fracture zygomaticomaxillary complex (zmc) fractures result from blunt trauma to the periorbital area (viz. zygomatic complex fracture is second most common mid face fracture and frequent amongst the maxillofacial. the zygoma and its articulations with. zygomaticomaxillary complex fracture is one of the most commonly. zygomaticomaxillary complex fracture is characterised by fractures involving: the zygomaticomaxillary complex. Radiology Zygomaticomaxillary Complex Fracture.
From www.theplasticsfella.com
complex (ZMC) fractures Radiology Zygomaticomaxillary Complex Fracture the zygomaticomaxillary complex (zmc) has important aesthetic, structural, and functional roles that need to be. zygomaticomaxillary complex fracture is characterised by fractures involving: zygomatic complex fracture is second most common mid face fracture and frequent amongst the maxillofacial. the detection of fractures of the facial zygomatic complex, with orbital compromise, is essential for surgical. zygomaticomaxillary. Radiology Zygomaticomaxillary Complex Fracture.
From www.wikiwand.com
complex fracture Wikiwand Radiology Zygomaticomaxillary Complex Fracture the zygoma and its articulations with. zygomaticomaxillary complex fracture is characterised by fractures involving: the zygomaticomaxillary complex (zmc) has important aesthetic, structural, and functional roles that need to be. zygomaticomaxillary complex (zmc) fractures result from blunt trauma to the periorbital area (viz. the detection of fractures of the facial zygomatic complex, with orbital compromise, is. Radiology Zygomaticomaxillary Complex Fracture.
From radnotes.substack.com
Complex Fracture by Alexander Baxter Radiology Zygomaticomaxillary Complex Fracture the detection of fractures of the facial zygomatic complex, with orbital compromise, is essential for surgical. zygomaticomaxillary complex (zmc) fractures result from blunt trauma to the periorbital area (viz. the zygoma and its articulations with. the zygomaticomaxillary complex (zmc) has important aesthetic, structural, and functional roles that need to be. zygomatic complex fracture is second. Radiology Zygomaticomaxillary Complex Fracture.
From mavink.com
Zygomatic Fracture X Ray Radiology Zygomaticomaxillary Complex Fracture zygomaticomaxillary complex fracture is characterised by fractures involving: the zygomaticomaxillary complex (zmc) has important aesthetic, structural, and functional roles that need to be. the zygoma and its articulations with. zygomatic complex fracture is second most common mid face fracture and frequent amongst the maxillofacial. the detection of fractures of the facial zygomatic complex, with orbital. Radiology Zygomaticomaxillary Complex Fracture.
From www.narodnatribuna.info
Facial Fracture Radiology Zygomaticomaxillary Complex Fracture zygomaticomaxillary complex fracture is characterised by fractures involving: the zygomaticomaxillary complex (zmc) has important aesthetic, structural, and functional roles that need to be. zygomatic complex fracture is second most common mid face fracture and frequent amongst the maxillofacial. the zygoma and its articulations with. the detection of fractures of the facial zygomatic complex, with orbital. Radiology Zygomaticomaxillary Complex Fracture.
From radnotes.substack.com
Complex Fracture RadNotes Radiology Zygomaticomaxillary Complex Fracture zygomaticomaxillary complex fracture is one of the most commonly. the zygoma and its articulations with. zygomaticomaxillary complex fracture is characterised by fractures involving: the detection of fractures of the facial zygomatic complex, with orbital compromise, is essential for surgical. zygomaticomaxillary complex (zmc) fractures result from blunt trauma to the periorbital area (viz. zygomatic complex. Radiology Zygomaticomaxillary Complex Fracture.
From www.ijoms.com
Intraoperative imaging of complex fractures using a Radiology Zygomaticomaxillary Complex Fracture zygomaticomaxillary complex fracture is characterised by fractures involving: zygomatic complex fracture is second most common mid face fracture and frequent amongst the maxillofacial. the zygomaticomaxillary complex (zmc) has important aesthetic, structural, and functional roles that need to be. the detection of fractures of the facial zygomatic complex, with orbital compromise, is essential for surgical. zygomaticomaxillary. Radiology Zygomaticomaxillary Complex Fracture.
From medicalschoolquicktopics.blogspot.com
zygomatic fracture,what to know? Radiology Zygomaticomaxillary Complex Fracture zygomatic complex fracture is second most common mid face fracture and frequent amongst the maxillofacial. zygomaticomaxillary complex fracture is characterised by fractures involving: the zygoma and its articulations with. zygomaticomaxillary complex (zmc) fractures result from blunt trauma to the periorbital area (viz. zygomaticomaxillary complex fracture is one of the most commonly. the detection of. Radiology Zygomaticomaxillary Complex Fracture.
From healthjade.net
Zygoma anatomy, zygoma fracture & zygoma surgery Radiology Zygomaticomaxillary Complex Fracture the detection of fractures of the facial zygomatic complex, with orbital compromise, is essential for surgical. zygomaticomaxillary complex fracture is characterised by fractures involving: the zygomaticomaxillary complex (zmc) has important aesthetic, structural, and functional roles that need to be. the zygoma and its articulations with. zygomaticomaxillary complex (zmc) fractures result from blunt trauma to the. Radiology Zygomaticomaxillary Complex Fracture.
From radnotes.substack.com
Complex Fracture by Alexander Baxter Radiology Zygomaticomaxillary Complex Fracture the zygomaticomaxillary complex (zmc) has important aesthetic, structural, and functional roles that need to be. zygomaticomaxillary complex fracture is characterised by fractures involving: the detection of fractures of the facial zygomatic complex, with orbital compromise, is essential for surgical. the zygoma and its articulations with. zygomaticomaxillary complex fracture is one of the most commonly. . Radiology Zygomaticomaxillary Complex Fracture.
From radiopaedia.org
Zygomatic arch fracture Image Radiology Zygomaticomaxillary Complex Fracture the zygoma and its articulations with. zygomatic complex fracture is second most common mid face fracture and frequent amongst the maxillofacial. zygomaticomaxillary complex fracture is characterised by fractures involving: the detection of fractures of the facial zygomatic complex, with orbital compromise, is essential for surgical. the zygomaticomaxillary complex (zmc) has important aesthetic, structural, and functional. Radiology Zygomaticomaxillary Complex Fracture.
From radiologyinthai.blogspot.com
RiT radiology Complex (ZMC) Fracture Radiology Zygomaticomaxillary Complex Fracture zygomaticomaxillary complex (zmc) fractures result from blunt trauma to the periorbital area (viz. zygomaticomaxillary complex fracture is one of the most commonly. zygomatic complex fracture is second most common mid face fracture and frequent amongst the maxillofacial. the zygomaticomaxillary complex (zmc) has important aesthetic, structural, and functional roles that need to be. zygomaticomaxillary complex fracture. Radiology Zygomaticomaxillary Complex Fracture.
From radiopaedia.org
complex fracture Image Radiology Zygomaticomaxillary Complex Fracture zygomaticomaxillary complex (zmc) fractures result from blunt trauma to the periorbital area (viz. the zygomaticomaxillary complex (zmc) has important aesthetic, structural, and functional roles that need to be. zygomaticomaxillary complex fracture is characterised by fractures involving: the detection of fractures of the facial zygomatic complex, with orbital compromise, is essential for surgical. zygomatic complex fracture. Radiology Zygomaticomaxillary Complex Fracture.
From emj.bmj.com
Diagnosis and management of common maxillofacial injuries in the Radiology Zygomaticomaxillary Complex Fracture the detection of fractures of the facial zygomatic complex, with orbital compromise, is essential for surgical. the zygomaticomaxillary complex (zmc) has important aesthetic, structural, and functional roles that need to be. zygomatic complex fracture is second most common mid face fracture and frequent amongst the maxillofacial. zygomaticomaxillary complex fracture is characterised by fractures involving: the. Radiology Zygomaticomaxillary Complex Fracture.
From opendentistryjournal.com
Neurosensory Assessment of Infraorbital Nerve Injury Following Radiology Zygomaticomaxillary Complex Fracture the zygomaticomaxillary complex (zmc) has important aesthetic, structural, and functional roles that need to be. the detection of fractures of the facial zygomatic complex, with orbital compromise, is essential for surgical. the zygoma and its articulations with. zygomaticomaxillary complex fracture is characterised by fractures involving: zygomaticomaxillary complex (zmc) fractures result from blunt trauma to the. Radiology Zygomaticomaxillary Complex Fracture.